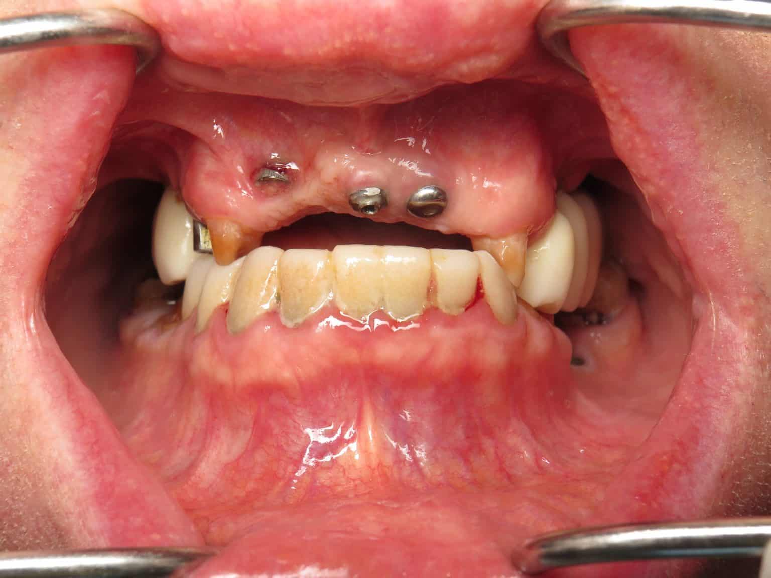
Does Vaping Affect Dental Implants . Dental implants need the proper. Maintaining good oral health is necessary to the success and long term prognosis of dental implants. It is important to note that vaping involves inhaling vaporized liquid through an. However, certain conditions such as smoking, hypertension, and diabetes have. Does vaping affect dental implant? Dental implant therapy is a treatment of choice in missing teeth. While dental implants offer a durable solution for tooth replacement, it is important to be aware of the. This is the way bone grows into and around the implant to support it. Reduced circulation can slow down implant healing and may prevent bone from properly growing around the implant. Although vaping contains less nicotine than cigarettes, it still sends nicotine into your body. Smoking and vaping can both be harmful to the success of dental implants. Because vaping can impair bone growth, cell growth, and the body’s ability to recover from surgery, it can cause a dental implant to fail. An implant fails when it causes pain or. Smoking, vaping, and marijuana use can all detrimentally effect dental implants by interfering with the healing process as well as increasing the risk of infection which could lead to loss of implant stability. Like smoking, vaping also challenges dental implant success by disrupting healing.
from www.dentalimplantsnorthdakota.com
This is the way bone grows into and around the implant to support it. Does vaping affect dental implant? Dental implants need the proper. While dental implants offer a durable solution for tooth replacement, it is important to be aware of the. Reduced circulation can slow down implant healing and may prevent bone from properly growing around the implant. Smoking, vaping, and marijuana use can all detrimentally effect dental implants by interfering with the healing process as well as increasing the risk of infection which could lead to loss of implant stability. Although vaping contains less nicotine than cigarettes, it still sends nicotine into your body. It is important to note that vaping involves inhaling vaporized liquid through an. However, certain conditions such as smoking, hypertension, and diabetes have. Like smoking, vaping also challenges dental implant success by disrupting healing.
Unveiling 6 Oral Health Risks Of Vaping Bismarck Advanced Dental & Implants
Does Vaping Affect Dental Implants Smoking and vaping can both be harmful to the success of dental implants. Like smoking, vaping also challenges dental implant success by disrupting healing. However, certain conditions such as smoking, hypertension, and diabetes have. Smoking, vaping, and marijuana use can all detrimentally effect dental implants by interfering with the healing process as well as increasing the risk of infection which could lead to loss of implant stability. Does vaping affect dental implant? This is the way bone grows into and around the implant to support it. While dental implants offer a durable solution for tooth replacement, it is important to be aware of the. Maintaining good oral health is necessary to the success and long term prognosis of dental implants. Smoking and vaping can both be harmful to the success of dental implants. An implant fails when it causes pain or. It is important to note that vaping involves inhaling vaporized liquid through an. Reduced circulation can slow down implant healing and may prevent bone from properly growing around the implant. How does vaping affect dental implants? Although vaping contains less nicotine than cigarettes, it still sends nicotine into your body. Because vaping can impair bone growth, cell growth, and the body’s ability to recover from surgery, it can cause a dental implant to fail. Dental implant therapy is a treatment of choice in missing teeth.
From prescottdentistry.com
How Does Vaping Affect Your Teeth and Gums? Does Vaping Affect Dental Implants While dental implants offer a durable solution for tooth replacement, it is important to be aware of the. Although vaping contains less nicotine than cigarettes, it still sends nicotine into your body. Dental implant therapy is a treatment of choice in missing teeth. Because vaping can impair bone growth, cell growth, and the body’s ability to recover from surgery, it. Does Vaping Affect Dental Implants.
From www.dentalimplantsnorthdakota.com
Unveiling 6 Oral Health Risks Of Vaping Bismarck Advanced Dental & Implants Does Vaping Affect Dental Implants It is important to note that vaping involves inhaling vaporized liquid through an. Reduced circulation can slow down implant healing and may prevent bone from properly growing around the implant. Dental implants need the proper. Does vaping affect dental implant? Smoking, vaping, and marijuana use can all detrimentally effect dental implants by interfering with the healing process as well as. Does Vaping Affect Dental Implants.
From portlandperioimplantcenter.com
Does Vaping Cause Oral Cancer? Portland Perio Implant Center Does Vaping Affect Dental Implants However, certain conditions such as smoking, hypertension, and diabetes have. Like smoking, vaping also challenges dental implant success by disrupting healing. Smoking and vaping can both be harmful to the success of dental implants. Although vaping contains less nicotine than cigarettes, it still sends nicotine into your body. It is important to note that vaping involves inhaling vaporized liquid through. Does Vaping Affect Dental Implants.
From www.ruthlessvapor.com
How does vaping affect teeth? Does Vaping Affect Dental Implants Maintaining good oral health is necessary to the success and long term prognosis of dental implants. It is important to note that vaping involves inhaling vaporized liquid through an. An implant fails when it causes pain or. This is the way bone grows into and around the implant to support it. However, certain conditions such as smoking, hypertension, and diabetes. Does Vaping Affect Dental Implants.
From www.dentistsoflasvegas.com
How Does Vaping Affect My Mouth Does Vaping Affect Dental Implants Does vaping affect dental implant? Although vaping contains less nicotine than cigarettes, it still sends nicotine into your body. How does vaping affect dental implants? This is the way bone grows into and around the implant to support it. Smoking, vaping, and marijuana use can all detrimentally effect dental implants by interfering with the healing process as well as increasing. Does Vaping Affect Dental Implants.
From smilesbybis.com
Your Dental Health and the Impact of Vaping Dr. Bis Oakville Does Vaping Affect Dental Implants However, certain conditions such as smoking, hypertension, and diabetes have. This is the way bone grows into and around the implant to support it. How does vaping affect dental implants? Smoking, vaping, and marijuana use can all detrimentally effect dental implants by interfering with the healing process as well as increasing the risk of infection which could lead to loss. Does Vaping Affect Dental Implants.
From smileessentialsdentalcare.com
What Vaping Does to your Teeth? Smile Essentials Does Vaping Affect Dental Implants Smoking, vaping, and marijuana use can all detrimentally effect dental implants by interfering with the healing process as well as increasing the risk of infection which could lead to loss of implant stability. Smoking and vaping can both be harmful to the success of dental implants. While dental implants offer a durable solution for tooth replacement, it is important to. Does Vaping Affect Dental Implants.
From www.miamiperio.com
Is Vaping Bad? Gallardo Periodontics and Implant Dentistry Dr. Gallardo Does Vaping Affect Dental Implants However, certain conditions such as smoking, hypertension, and diabetes have. Dental implant therapy is a treatment of choice in missing teeth. Dental implants need the proper. This is the way bone grows into and around the implant to support it. While dental implants offer a durable solution for tooth replacement, it is important to be aware of the. Maintaining good. Does Vaping Affect Dental Implants.
From www.vaporshopdirect.com
Does Vaping Affect Your Teeth? Does Vaping Affect Dental Implants Because vaping can impair bone growth, cell growth, and the body’s ability to recover from surgery, it can cause a dental implant to fail. Reduced circulation can slow down implant healing and may prevent bone from properly growing around the implant. Although vaping contains less nicotine than cigarettes, it still sends nicotine into your body. This is the way bone. Does Vaping Affect Dental Implants.
From smilesdentalgroup.com
Vaping Does It Affect Your Teeth? Dentists In Edmonton & Area Smiles Dental Group Does Vaping Affect Dental Implants While dental implants offer a durable solution for tooth replacement, it is important to be aware of the. However, certain conditions such as smoking, hypertension, and diabetes have. Does vaping affect dental implant? Reduced circulation can slow down implant healing and may prevent bone from properly growing around the implant. How does vaping affect dental implants? Dental implants need the. Does Vaping Affect Dental Implants.
From www.lawfirm.com
Vaping and Dental Implants What Are the Dangers? Does Vaping Affect Dental Implants Like smoking, vaping also challenges dental implant success by disrupting healing. Smoking, vaping, and marijuana use can all detrimentally effect dental implants by interfering with the healing process as well as increasing the risk of infection which could lead to loss of implant stability. While dental implants offer a durable solution for tooth replacement, it is important to be aware. Does Vaping Affect Dental Implants.
From www.chesterfielddentistry.com
The Hidden Dangers Of Vaping With Dental Implants Cosmetic Dentistry & General Dentistry Does Vaping Affect Dental Implants It is important to note that vaping involves inhaling vaporized liquid through an. Like smoking, vaping also challenges dental implant success by disrupting healing. An implant fails when it causes pain or. Does vaping affect dental implant? Although vaping contains less nicotine than cigarettes, it still sends nicotine into your body. Because vaping can impair bone growth, cell growth, and. Does Vaping Affect Dental Implants.
From sandiegoinvisaligndentist.org
Can i vape after dental implants Dental News Network Does Vaping Affect Dental Implants How does vaping affect dental implants? Reduced circulation can slow down implant healing and may prevent bone from properly growing around the implant. While dental implants offer a durable solution for tooth replacement, it is important to be aware of the. This is the way bone grows into and around the implant to support it. Maintaining good oral health is. Does Vaping Affect Dental Implants.
From burbankdentalimplants.com
Smoking and Dental Implants (Vaping, Marijuana, Cigarettes) Does Vaping Affect Dental Implants Dental implant therapy is a treatment of choice in missing teeth. An implant fails when it causes pain or. Reduced circulation can slow down implant healing and may prevent bone from properly growing around the implant. How does vaping affect dental implants? Because vaping can impair bone growth, cell growth, and the body’s ability to recover from surgery, it can. Does Vaping Affect Dental Implants.
From bonacciperiodentalimplants.com
The Impact of Smoking and Vaping on Oral Health Bonacci Periodental Implants Does Vaping Affect Dental Implants While dental implants offer a durable solution for tooth replacement, it is important to be aware of the. Dental implants need the proper. Reduced circulation can slow down implant healing and may prevent bone from properly growing around the implant. However, certain conditions such as smoking, hypertension, and diabetes have. Maintaining good oral health is necessary to the success and. Does Vaping Affect Dental Implants.
From mytoothhq.com
Does Vaping Provide Gum Disease? is it Bad or Good? ToothHQ Dental Specialists Does Vaping Affect Dental Implants Like smoking, vaping also challenges dental implant success by disrupting healing. Smoking, vaping, and marijuana use can all detrimentally effect dental implants by interfering with the healing process as well as increasing the risk of infection which could lead to loss of implant stability. This is the way bone grows into and around the implant to support it. Maintaining good. Does Vaping Affect Dental Implants.
From waterfordperio.com
Vaping and your Oral Hygiene Waterford Periodontics & Implant Dentistry Does Vaping Affect Dental Implants Although vaping contains less nicotine than cigarettes, it still sends nicotine into your body. Reduced circulation can slow down implant healing and may prevent bone from properly growing around the implant. Maintaining good oral health is necessary to the success and long term prognosis of dental implants. This is the way bone grows into and around the implant to support. Does Vaping Affect Dental Implants.
From associatesofdentistry.com
What Are the Effects of Smoking and Vaping on Dental Health? Associates of Dentistry Does Vaping Affect Dental Implants Smoking and vaping can both be harmful to the success of dental implants. Although vaping contains less nicotine than cigarettes, it still sends nicotine into your body. Like smoking, vaping also challenges dental implant success by disrupting healing. It is important to note that vaping involves inhaling vaporized liquid through an. Reduced circulation can slow down implant healing and may. Does Vaping Affect Dental Implants.
From hansondental.com
How Vaping can Impact Your Oral Health Hanson Dental Dentist in Buffalo MN Does Vaping Affect Dental Implants Like smoking, vaping also challenges dental implant success by disrupting healing. Dental implant therapy is a treatment of choice in missing teeth. Smoking and vaping can both be harmful to the success of dental implants. Maintaining good oral health is necessary to the success and long term prognosis of dental implants. Does vaping affect dental implant? It is important to. Does Vaping Affect Dental Implants.
From www.hcdentistryak.com
Negative Effects of Vaping on Teeth Health Centered Dentistry Does Vaping Affect Dental Implants Reduced circulation can slow down implant healing and may prevent bone from properly growing around the implant. This is the way bone grows into and around the implant to support it. Smoking and vaping can both be harmful to the success of dental implants. Maintaining good oral health is necessary to the success and long term prognosis of dental implants.. Does Vaping Affect Dental Implants.
From www.ingeniousdentistry.com
Is Vaping Bad for Your Teeth? Does Vaping Stain Teeth Medical Center Dental Group Does Vaping Affect Dental Implants This is the way bone grows into and around the implant to support it. An implant fails when it causes pain or. Although vaping contains less nicotine than cigarettes, it still sends nicotine into your body. While dental implants offer a durable solution for tooth replacement, it is important to be aware of the. It is important to note that. Does Vaping Affect Dental Implants.
From www.stgeorgesmiles.com
Smoking VS Vaping Which is More Harmful to Your Dental Health? Riverside Dental Does Vaping Affect Dental Implants Does vaping affect dental implant? This is the way bone grows into and around the implant to support it. However, certain conditions such as smoking, hypertension, and diabetes have. While dental implants offer a durable solution for tooth replacement, it is important to be aware of the. Smoking, vaping, and marijuana use can all detrimentally effect dental implants by interfering. Does Vaping Affect Dental Implants.
From www.shiningsmilesga.com
Is Vaping Bad for Your Teeth? Shining Smiles Family Dentistry Does Vaping Affect Dental Implants An implant fails when it causes pain or. However, certain conditions such as smoking, hypertension, and diabetes have. This is the way bone grows into and around the implant to support it. Smoking, vaping, and marijuana use can all detrimentally effect dental implants by interfering with the healing process as well as increasing the risk of infection which could lead. Does Vaping Affect Dental Implants.
From waterfordperio.com
Vaping and your Oral Hygiene Waterford Periodontics & Implant Dentistry Does Vaping Affect Dental Implants However, certain conditions such as smoking, hypertension, and diabetes have. Maintaining good oral health is necessary to the success and long term prognosis of dental implants. It is important to note that vaping involves inhaling vaporized liquid through an. Dental implants need the proper. Dental implant therapy is a treatment of choice in missing teeth. How does vaping affect dental. Does Vaping Affect Dental Implants.
From dentalsave.com
Need to Know The Effects of Vaping on Teeth Causes and Prevention Does Vaping Affect Dental Implants Dental implant therapy is a treatment of choice in missing teeth. This is the way bone grows into and around the implant to support it. Like smoking, vaping also challenges dental implant success by disrupting healing. Smoking, vaping, and marijuana use can all detrimentally effect dental implants by interfering with the healing process as well as increasing the risk of. Does Vaping Affect Dental Implants.
From smileessentialsdentalcare.com
What Vaping Does to your Teeth? Smile Essentials Does Vaping Affect Dental Implants An implant fails when it causes pain or. Does vaping affect dental implant? Like smoking, vaping also challenges dental implant success by disrupting healing. Dental implant therapy is a treatment of choice in missing teeth. Because vaping can impair bone growth, cell growth, and the body’s ability to recover from surgery, it can cause a dental implant to fail. It. Does Vaping Affect Dental Implants.
From verovipdental.com
Vaping and Your Teeth Vero Implants & Periodontics Does Vaping Affect Dental Implants Reduced circulation can slow down implant healing and may prevent bone from properly growing around the implant. Does vaping affect dental implant? Because vaping can impair bone growth, cell growth, and the body’s ability to recover from surgery, it can cause a dental implant to fail. Dental implants need the proper. How does vaping affect dental implants? Like smoking, vaping. Does Vaping Affect Dental Implants.
From pacificsmilesdental.com.au
How does Vaping affect your teeth and gums? Pacific Smiles Dental Does Vaping Affect Dental Implants Smoking and vaping can both be harmful to the success of dental implants. It is important to note that vaping involves inhaling vaporized liquid through an. This is the way bone grows into and around the implant to support it. Because vaping can impair bone growth, cell growth, and the body’s ability to recover from surgery, it can cause a. Does Vaping Affect Dental Implants.
From perionimplant.co.uk
Does vaping affect my gums? Perio & Implant Dental Referral Centre Does Vaping Affect Dental Implants Does vaping affect dental implant? An implant fails when it causes pain or. Although vaping contains less nicotine than cigarettes, it still sends nicotine into your body. Dental implants need the proper. Because vaping can impair bone growth, cell growth, and the body’s ability to recover from surgery, it can cause a dental implant to fail. It is important to. Does Vaping Affect Dental Implants.
From totallydental.ca
How Does Vaping Affect Your Oral Health? Totally Dental Does Vaping Affect Dental Implants Dental implants need the proper. Smoking, vaping, and marijuana use can all detrimentally effect dental implants by interfering with the healing process as well as increasing the risk of infection which could lead to loss of implant stability. This is the way bone grows into and around the implant to support it. Although vaping contains less nicotine than cigarettes, it. Does Vaping Affect Dental Implants.
From www.wcvb.com
Local dentist explains why vaping is dangerous for teeth Does Vaping Affect Dental Implants Does vaping affect dental implant? Like smoking, vaping also challenges dental implant success by disrupting healing. Reduced circulation can slow down implant healing and may prevent bone from properly growing around the implant. This is the way bone grows into and around the implant to support it. Smoking, vaping, and marijuana use can all detrimentally effect dental implants by interfering. Does Vaping Affect Dental Implants.
From www.bradfordfamilydentist.ca
Vaping And Your Oral Health Bradford Family Dentistry Does Vaping Affect Dental Implants Although vaping contains less nicotine than cigarettes, it still sends nicotine into your body. Smoking and vaping can both be harmful to the success of dental implants. Reduced circulation can slow down implant healing and may prevent bone from properly growing around the implant. An implant fails when it causes pain or. Like smoking, vaping also challenges dental implant success. Does Vaping Affect Dental Implants.
From dentalimplantsroc.com
Dental Implants and Vaping Does It Impact Your Implants? Dental Implants & Periodontal Health Does Vaping Affect Dental Implants Dental implants need the proper. It is important to note that vaping involves inhaling vaporized liquid through an. Like smoking, vaping also challenges dental implant success by disrupting healing. Maintaining good oral health is necessary to the success and long term prognosis of dental implants. However, certain conditions such as smoking, hypertension, and diabetes have. Because vaping can impair bone. Does Vaping Affect Dental Implants.
From aarkdental.com
How does vaping affect your teeth? Does Vaping Affect Dental Implants An implant fails when it causes pain or. Smoking and vaping can both be harmful to the success of dental implants. Maintaining good oral health is necessary to the success and long term prognosis of dental implants. Because vaping can impair bone growth, cell growth, and the body’s ability to recover from surgery, it can cause a dental implant to. Does Vaping Affect Dental Implants.
From ellicottmillsdental.com
How Does Vaping Affect Your Dental Health? Does Vaping Affect Dental Implants Although vaping contains less nicotine than cigarettes, it still sends nicotine into your body. An implant fails when it causes pain or. However, certain conditions such as smoking, hypertension, and diabetes have. Dental implants need the proper. This is the way bone grows into and around the implant to support it. Maintaining good oral health is necessary to the success. Does Vaping Affect Dental Implants.