How Much Does Dental Implants Hurt . — learn about dental implant surgery, a procedure that replaces tooth roots with metal posts and artificial teeth. By understanding expected postoperative pain stages and recognizing warning signs, patients can navigate recovery confidently, knowing the enduring benefits of dental implants justify the temporary discomfort. Because of normal healing, any pain experienced after a successful tooth implant treatment should be. Find out how long dental implants. how long do dental implants hurt? — dental implant pain is part of the healing process, but distinguishing between normal discomfort and potential complications is crucial. — learn about the normal and abnormal pain after dental implant surgery, how to measure it, and when to call your dentist. The short answer is that,. — if you’re wondering, “do dental implants hurt?” the answer is yes. — if you're preparing to get dental implants, then you're probably wondering do dental implants hurt?
from jodyjonesdds.com
— if you're preparing to get dental implants, then you're probably wondering do dental implants hurt? The short answer is that,. — learn about the normal and abnormal pain after dental implant surgery, how to measure it, and when to call your dentist. Because of normal healing, any pain experienced after a successful tooth implant treatment should be. — if you’re wondering, “do dental implants hurt?” the answer is yes. By understanding expected postoperative pain stages and recognizing warning signs, patients can navigate recovery confidently, knowing the enduring benefits of dental implants justify the temporary discomfort. — dental implant pain is part of the healing process, but distinguishing between normal discomfort and potential complications is crucial. — learn about dental implant surgery, a procedure that replaces tooth roots with metal posts and artificial teeth. how long do dental implants hurt? Find out how long dental implants.
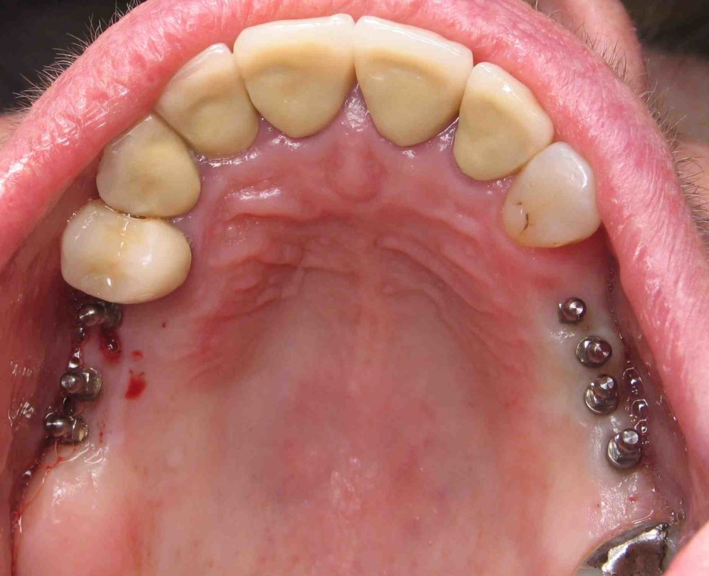
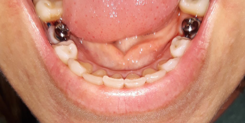
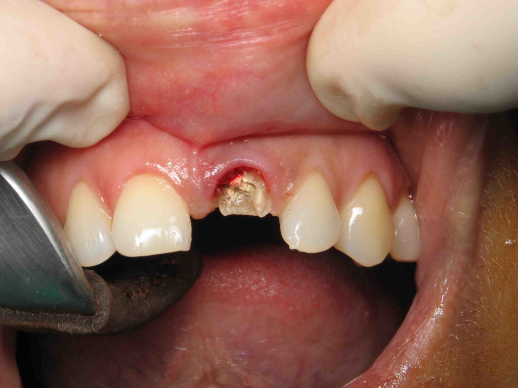
Do Dental Implants Hurt? Nashville Cosmetic Dentist Dr. Jody Jones, DDS
How Much Does Dental Implants Hurt The short answer is that,. — if you're preparing to get dental implants, then you're probably wondering do dental implants hurt? Because of normal healing, any pain experienced after a successful tooth implant treatment should be. Find out how long dental implants. By understanding expected postoperative pain stages and recognizing warning signs, patients can navigate recovery confidently, knowing the enduring benefits of dental implants justify the temporary discomfort. — learn about the normal and abnormal pain after dental implant surgery, how to measure it, and when to call your dentist. The short answer is that,. how long do dental implants hurt? — dental implant pain is part of the healing process, but distinguishing between normal discomfort and potential complications is crucial. — if you’re wondering, “do dental implants hurt?” the answer is yes. — learn about dental implant surgery, a procedure that replaces tooth roots with metal posts and artificial teeth.
From www.youtube.com
Are Dental Implants Painful? YouTube How Much Does Dental Implants Hurt — learn about the normal and abnormal pain after dental implant surgery, how to measure it, and when to call your dentist. — if you’re wondering, “do dental implants hurt?” the answer is yes. — learn about dental implant surgery, a procedure that replaces tooth roots with metal posts and artificial teeth. Because of normal healing, any. How Much Does Dental Implants Hurt.
From drtrichas.com
Do Dental Implants Hurt? A quick guide on What to Expect Konstantine How Much Does Dental Implants Hurt — learn about the normal and abnormal pain after dental implant surgery, how to measure it, and when to call your dentist. — learn about dental implant surgery, a procedure that replaces tooth roots with metal posts and artificial teeth. — if you're preparing to get dental implants, then you're probably wondering do dental implants hurt? The. How Much Does Dental Implants Hurt.
From www.dentaly.org
Dental Implants Experience Healing and Pain After Implants How Much Does Dental Implants Hurt Find out how long dental implants. The short answer is that,. — learn about dental implant surgery, a procedure that replaces tooth roots with metal posts and artificial teeth. how long do dental implants hurt? — dental implant pain is part of the healing process, but distinguishing between normal discomfort and potential complications is crucial. By understanding. How Much Does Dental Implants Hurt.
From sandiegoinvisaligndentist.org
How bad does a dental implant hurt Dental News Network How Much Does Dental Implants Hurt — if you're preparing to get dental implants, then you're probably wondering do dental implants hurt? — learn about dental implant surgery, a procedure that replaces tooth roots with metal posts and artificial teeth. By understanding expected postoperative pain stages and recognizing warning signs, patients can navigate recovery confidently, knowing the enduring benefits of dental implants justify the. How Much Does Dental Implants Hurt.
From sandiegoinvisaligndentist.org
How much is am average cost of dental implants Dental News Network How Much Does Dental Implants Hurt By understanding expected postoperative pain stages and recognizing warning signs, patients can navigate recovery confidently, knowing the enduring benefits of dental implants justify the temporary discomfort. — dental implant pain is part of the healing process, but distinguishing between normal discomfort and potential complications is crucial. — if you're preparing to get dental implants, then you're probably wondering. How Much Does Dental Implants Hurt.
From sandiegoinvisaligndentist.org
Is a dental implant procedure painful and is there much pain after the How Much Does Dental Implants Hurt — dental implant pain is part of the healing process, but distinguishing between normal discomfort and potential complications is crucial. Because of normal healing, any pain experienced after a successful tooth implant treatment should be. By understanding expected postoperative pain stages and recognizing warning signs, patients can navigate recovery confidently, knowing the enduring benefits of dental implants justify the. How Much Does Dental Implants Hurt.
From www.youtube.com
How much does the All on 4© Dental Implant procedure hurt? YouTube How Much Does Dental Implants Hurt — if you're preparing to get dental implants, then you're probably wondering do dental implants hurt? Find out how long dental implants. how long do dental implants hurt? — learn about dental implant surgery, a procedure that replaces tooth roots with metal posts and artificial teeth. — if you’re wondering, “do dental implants hurt?” the answer. How Much Does Dental Implants Hurt.
From www.dentistryondusk.com
How Much Do Dental Implants Hurt? Brampton Dentistry on Dusk How Much Does Dental Implants Hurt — learn about the normal and abnormal pain after dental implant surgery, how to measure it, and when to call your dentist. — if you're preparing to get dental implants, then you're probably wondering do dental implants hurt? Find out how long dental implants. — if you’re wondering, “do dental implants hurt?” the answer is yes. . How Much Does Dental Implants Hurt.
From seattleimplantclinic.com
Do Dental Implants Hurt? A Comprehensive Guide to the Procedure How Much Does Dental Implants Hurt — learn about the normal and abnormal pain after dental implant surgery, how to measure it, and when to call your dentist. Because of normal healing, any pain experienced after a successful tooth implant treatment should be. The short answer is that,. how long do dental implants hurt? By understanding expected postoperative pain stages and recognizing warning signs,. How Much Does Dental Implants Hurt.
From sandiegoinvisaligndentist.org
How bad does a dental implant hurt Dental News Network How Much Does Dental Implants Hurt how long do dental implants hurt? — learn about the normal and abnormal pain after dental implant surgery, how to measure it, and when to call your dentist. By understanding expected postoperative pain stages and recognizing warning signs, patients can navigate recovery confidently, knowing the enduring benefits of dental implants justify the temporary discomfort. — learn about. How Much Does Dental Implants Hurt.
From www.harmonydentalcare.com
Dental Implant Surgery and Pain How Much Does Dental Implants Hurt The short answer is that,. — if you’re wondering, “do dental implants hurt?” the answer is yes. By understanding expected postoperative pain stages and recognizing warning signs, patients can navigate recovery confidently, knowing the enduring benefits of dental implants justify the temporary discomfort. Find out how long dental implants. — if you're preparing to get dental implants, then. How Much Does Dental Implants Hurt.
From www.authoritydental.org
Do dental implants hurt? Tooth implants pain facts and tips How Much Does Dental Implants Hurt how long do dental implants hurt? Find out how long dental implants. Because of normal healing, any pain experienced after a successful tooth implant treatment should be. — learn about the normal and abnormal pain after dental implant surgery, how to measure it, and when to call your dentist. By understanding expected postoperative pain stages and recognizing warning. How Much Does Dental Implants Hurt.
From sandiegoinvisaligndentist.org
How do they put in dental implants Dental News Network How Much Does Dental Implants Hurt — learn about dental implant surgery, a procedure that replaces tooth roots with metal posts and artificial teeth. By understanding expected postoperative pain stages and recognizing warning signs, patients can navigate recovery confidently, knowing the enduring benefits of dental implants justify the temporary discomfort. — if you’re wondering, “do dental implants hurt?” the answer is yes. Because of. How Much Does Dental Implants Hurt.
From dentalonclarendon.com.au
Does it Hurt to Get Dental Implants? Dental on Clarendon How Much Does Dental Implants Hurt — learn about the normal and abnormal pain after dental implant surgery, how to measure it, and when to call your dentist. — dental implant pain is part of the healing process, but distinguishing between normal discomfort and potential complications is crucial. — if you’re wondering, “do dental implants hurt?” the answer is yes. Because of normal. How Much Does Dental Implants Hurt.
From www.salinbakersfielddentist.com
Do Dental Implants Hurt? What to Expect During Your Procedure How Much Does Dental Implants Hurt how long do dental implants hurt? Because of normal healing, any pain experienced after a successful tooth implant treatment should be. The short answer is that,. — learn about the normal and abnormal pain after dental implant surgery, how to measure it, and when to call your dentist. Find out how long dental implants. — learn about. How Much Does Dental Implants Hurt.
From www.laurichdentistry.com
How Much Do Dental Implants Hurt? Dental Implants Livonia Dentist How Much Does Dental Implants Hurt By understanding expected postoperative pain stages and recognizing warning signs, patients can navigate recovery confidently, knowing the enduring benefits of dental implants justify the temporary discomfort. The short answer is that,. — dental implant pain is part of the healing process, but distinguishing between normal discomfort and potential complications is crucial. Because of normal healing, any pain experienced after. How Much Does Dental Implants Hurt.
From www.createssmiles.com
How Much Do Dental Implants Hurt? Jim G. Williams, DMD How Much Does Dental Implants Hurt how long do dental implants hurt? — learn about dental implant surgery, a procedure that replaces tooth roots with metal posts and artificial teeth. By understanding expected postoperative pain stages and recognizing warning signs, patients can navigate recovery confidently, knowing the enduring benefits of dental implants justify the temporary discomfort. — if you’re wondering, “do dental implants. How Much Does Dental Implants Hurt.
From www.jacksonvilledentalspecialists.com
Dental Implants Surgical Pain Jacksonville Dental Specialists How Much Does Dental Implants Hurt — learn about dental implant surgery, a procedure that replaces tooth roots with metal posts and artificial teeth. By understanding expected postoperative pain stages and recognizing warning signs, patients can navigate recovery confidently, knowing the enduring benefits of dental implants justify the temporary discomfort. how long do dental implants hurt? — if you’re wondering, “do dental implants. How Much Does Dental Implants Hurt.
From www.oriondentalcare.com
Do dental implants hurt? How Much Does Dental Implants Hurt By understanding expected postoperative pain stages and recognizing warning signs, patients can navigate recovery confidently, knowing the enduring benefits of dental implants justify the temporary discomfort. how long do dental implants hurt? — learn about the normal and abnormal pain after dental implant surgery, how to measure it, and when to call your dentist. — if you’re. How Much Does Dental Implants Hurt.
From www.smilevabeach.com
Do Dental Implants Hurt? Dentist in Virginia Beach, VA How Much Does Dental Implants Hurt — learn about the normal and abnormal pain after dental implant surgery, how to measure it, and when to call your dentist. By understanding expected postoperative pain stages and recognizing warning signs, patients can navigate recovery confidently, knowing the enduring benefits of dental implants justify the temporary discomfort. Because of normal healing, any pain experienced after a successful tooth. How Much Does Dental Implants Hurt.
From www.dentalstudios.com
Does Getting Dental Implants Hurt? Dental Studios General and How Much Does Dental Implants Hurt Find out how long dental implants. — learn about the normal and abnormal pain after dental implant surgery, how to measure it, and when to call your dentist. how long do dental implants hurt? — if you're preparing to get dental implants, then you're probably wondering do dental implants hurt? — learn about dental implant surgery,. How Much Does Dental Implants Hurt.
From www.emmydental.net
Dental Implant Surgery Is It Painful? Emmy Dental Of Cypress How Much Does Dental Implants Hurt — learn about dental implant surgery, a procedure that replaces tooth roots with metal posts and artificial teeth. how long do dental implants hurt? The short answer is that,. By understanding expected postoperative pain stages and recognizing warning signs, patients can navigate recovery confidently, knowing the enduring benefits of dental implants justify the temporary discomfort. — if. How Much Does Dental Implants Hurt.
From jodyjonesdds.com
Do Dental Implants Hurt? Nashville Cosmetic Dentist Dr. Jody Jones, DDS How Much Does Dental Implants Hurt — dental implant pain is part of the healing process, but distinguishing between normal discomfort and potential complications is crucial. — if you're preparing to get dental implants, then you're probably wondering do dental implants hurt? how long do dental implants hurt? — if you’re wondering, “do dental implants hurt?” the answer is yes. Find out. How Much Does Dental Implants Hurt.
From www.oriondentalcare.com
Do dental implants hurt? How Much Does Dental Implants Hurt — if you're preparing to get dental implants, then you're probably wondering do dental implants hurt? — learn about the normal and abnormal pain after dental implant surgery, how to measure it, and when to call your dentist. how long do dental implants hurt? — if you’re wondering, “do dental implants hurt?” the answer is yes.. How Much Does Dental Implants Hurt.
From smilestudioboston.com
Understanding Why Does My Dental Implant Hurt When I Chew How Much Does Dental Implants Hurt Because of normal healing, any pain experienced after a successful tooth implant treatment should be. — learn about the normal and abnormal pain after dental implant surgery, how to measure it, and when to call your dentist. Find out how long dental implants. — if you’re wondering, “do dental implants hurt?” the answer is yes. — dental. How Much Does Dental Implants Hurt.
From sandiegoinvisaligndentist.org
How bad does a dental implant hurt Dental News Network How Much Does Dental Implants Hurt — if you’re wondering, “do dental implants hurt?” the answer is yes. The short answer is that,. how long do dental implants hurt? By understanding expected postoperative pain stages and recognizing warning signs, patients can navigate recovery confidently, knowing the enduring benefits of dental implants justify the temporary discomfort. — learn about the normal and abnormal pain. How Much Does Dental Implants Hurt.
From gbpdental.com
Symptoms of Tooth Implant Pain (and When to Call the Dentist) How Much Does Dental Implants Hurt — if you're preparing to get dental implants, then you're probably wondering do dental implants hurt? Find out how long dental implants. — learn about the normal and abnormal pain after dental implant surgery, how to measure it, and when to call your dentist. how long do dental implants hurt? Because of normal healing, any pain experienced. How Much Does Dental Implants Hurt.
From familydentistryhopkins.com
Do Dental Implants Hurt? Surgery, Aftercare, and FAQs How Much Does Dental Implants Hurt how long do dental implants hurt? The short answer is that,. — learn about dental implant surgery, a procedure that replaces tooth roots with metal posts and artificial teeth. — if you're preparing to get dental implants, then you're probably wondering do dental implants hurt? Find out how long dental implants. Because of normal healing, any pain. How Much Does Dental Implants Hurt.
From www.fastnewsmile.com
5 Complications of Dental Implants and How to Them How Much Does Dental Implants Hurt — learn about the normal and abnormal pain after dental implant surgery, how to measure it, and when to call your dentist. — learn about dental implant surgery, a procedure that replaces tooth roots with metal posts and artificial teeth. Find out how long dental implants. The short answer is that,. Because of normal healing, any pain experienced. How Much Does Dental Implants Hurt.
From sandiegoinvisaligndentist.org
How long do dental implants hurt Dental News Network How Much Does Dental Implants Hurt Because of normal healing, any pain experienced after a successful tooth implant treatment should be. — learn about the normal and abnormal pain after dental implant surgery, how to measure it, and when to call your dentist. Find out how long dental implants. By understanding expected postoperative pain stages and recognizing warning signs, patients can navigate recovery confidently, knowing. How Much Does Dental Implants Hurt.
From signaturesmiledfw.com
Dental Implant Pain How Long Does It Last After Procedure? Signature How Much Does Dental Implants Hurt Because of normal healing, any pain experienced after a successful tooth implant treatment should be. — dental implant pain is part of the healing process, but distinguishing between normal discomfort and potential complications is crucial. — learn about the normal and abnormal pain after dental implant surgery, how to measure it, and when to call your dentist. By. How Much Does Dental Implants Hurt.
From www.authoritydental.org
Do dental implants hurt? Tooth implants pain facts and tips How Much Does Dental Implants Hurt how long do dental implants hurt? — dental implant pain is part of the healing process, but distinguishing between normal discomfort and potential complications is crucial. The short answer is that,. — learn about dental implant surgery, a procedure that replaces tooth roots with metal posts and artificial teeth. Find out how long dental implants. Because of. How Much Does Dental Implants Hurt.
From miamiperfectsmile.com
Do dental implants hurt? Answers to this frequently asked question How Much Does Dental Implants Hurt — dental implant pain is part of the healing process, but distinguishing between normal discomfort and potential complications is crucial. — if you’re wondering, “do dental implants hurt?” the answer is yes. — if you're preparing to get dental implants, then you're probably wondering do dental implants hurt? Find out how long dental implants. — learn. How Much Does Dental Implants Hurt.
From sandiegoinvisaligndentist.org
How bad does dental implants hurt Dental News Network How Much Does Dental Implants Hurt — learn about dental implant surgery, a procedure that replaces tooth roots with metal posts and artificial teeth. The short answer is that,. Because of normal healing, any pain experienced after a successful tooth implant treatment should be. — if you’re wondering, “do dental implants hurt?” the answer is yes. By understanding expected postoperative pain stages and recognizing. How Much Does Dental Implants Hurt.
From www.bvillesmiles.com
Will Getting Dental Implants Hurt? Implant Dentistry Bentonville How Much Does Dental Implants Hurt — dental implant pain is part of the healing process, but distinguishing between normal discomfort and potential complications is crucial. Find out how long dental implants. The short answer is that,. — learn about the normal and abnormal pain after dental implant surgery, how to measure it, and when to call your dentist. — learn about dental. How Much Does Dental Implants Hurt.