Why Does My Toddler Have Fangs . Eruption times vary from child to child. For remaining baby teeth, eruption after 4 years is likely atypical. A delay in the emergence of your baby’s teeth could indicate that something is amiss. [1] here’s a baby teething chart. Continue reading this blog to know more about your baby’s baby teeth. The following chart shows when your child's primary teeth (also called baby teeth or deciduous teeth) should erupt and shed. The term “shark teeth” is used when a child’s baby teeth do not fall out but their new permanent teeth come in. Should i be concerned if my child has a white tongue and. For first baby teeth, an eruption between 12 to 24 months may be atypical. Baby teeth, also called primary or deciduous teeth, are temporary placeholders for the permanent set, but they play an important role in your child's development. Why does my toddler’s breath smell so bad? A pediatric dentist can determine.
from willbys.com.au
Should i be concerned if my child has a white tongue and. A pediatric dentist can determine. A delay in the emergence of your baby’s teeth could indicate that something is amiss. Why does my toddler’s breath smell so bad? The term “shark teeth” is used when a child’s baby teeth do not fall out but their new permanent teeth come in. [1] here’s a baby teething chart. For first baby teeth, an eruption between 12 to 24 months may be atypical. The following chart shows when your child's primary teeth (also called baby teeth or deciduous teeth) should erupt and shed. Continue reading this blog to know more about your baby’s baby teeth. For remaining baby teeth, eruption after 4 years is likely atypical.
Guest blog Understanding common newborn rashes Willby's
Why Does My Toddler Have Fangs [1] here’s a baby teething chart. Baby teeth, also called primary or deciduous teeth, are temporary placeholders for the permanent set, but they play an important role in your child's development. For remaining baby teeth, eruption after 4 years is likely atypical. Should i be concerned if my child has a white tongue and. Continue reading this blog to know more about your baby’s baby teeth. The term “shark teeth” is used when a child’s baby teeth do not fall out but their new permanent teeth come in. [1] here’s a baby teething chart. For first baby teeth, an eruption between 12 to 24 months may be atypical. A pediatric dentist can determine. Why does my toddler’s breath smell so bad? Eruption times vary from child to child. A delay in the emergence of your baby’s teeth could indicate that something is amiss. The following chart shows when your child's primary teeth (also called baby teeth or deciduous teeth) should erupt and shed.
From www.oralanswers.com
Dark Tooth Why Your Child Has a Discolored Tooth Oral Answers Why Does My Toddler Have Fangs Baby teeth, also called primary or deciduous teeth, are temporary placeholders for the permanent set, but they play an important role in your child's development. A delay in the emergence of your baby’s teeth could indicate that something is amiss. A pediatric dentist can determine. Should i be concerned if my child has a white tongue and. Eruption times vary. Why Does My Toddler Have Fangs.
From www.mouthhealthy.org
Baby Teeth MouthHealthy Oral Health Information from the ADA Why Does My Toddler Have Fangs The following chart shows when your child's primary teeth (also called baby teeth or deciduous teeth) should erupt and shed. A delay in the emergence of your baby’s teeth could indicate that something is amiss. [1] here’s a baby teething chart. Why does my toddler’s breath smell so bad? For remaining baby teeth, eruption after 4 years is likely atypical.. Why Does My Toddler Have Fangs.
From www.youtube.com
Why Does My Child Have Fangs? YouTube Why Does My Toddler Have Fangs The following chart shows when your child's primary teeth (also called baby teeth or deciduous teeth) should erupt and shed. Why does my toddler’s breath smell so bad? Continue reading this blog to know more about your baby’s baby teeth. A delay in the emergence of your baby’s teeth could indicate that something is amiss. The term “shark teeth” is. Why Does My Toddler Have Fangs.
From www.reddit.com
Was told this would fit here! Double double fangs! r/VetTech Why Does My Toddler Have Fangs Should i be concerned if my child has a white tongue and. Why does my toddler’s breath smell so bad? A delay in the emergence of your baby’s teeth could indicate that something is amiss. [1] here’s a baby teething chart. A pediatric dentist can determine. Baby teeth, also called primary or deciduous teeth, are temporary placeholders for the permanent. Why Does My Toddler Have Fangs.
From www.pinterest.com
Pin by LovelyMotherhood on BABE TIPS Baby teeth, Teething chart Why Does My Toddler Have Fangs A pediatric dentist can determine. A delay in the emergence of your baby’s teeth could indicate that something is amiss. Why does my toddler’s breath smell so bad? Eruption times vary from child to child. The term “shark teeth” is used when a child’s baby teeth do not fall out but their new permanent teeth come in. [1] here’s a. Why Does My Toddler Have Fangs.
From www.parents.com
8 Top Teething Tips From Experts Why Does My Toddler Have Fangs For first baby teeth, an eruption between 12 to 24 months may be atypical. A pediatric dentist can determine. For remaining baby teeth, eruption after 4 years is likely atypical. [1] here’s a baby teething chart. The term “shark teeth” is used when a child’s baby teeth do not fall out but their new permanent teeth come in. Continue reading. Why Does My Toddler Have Fangs.
From clarksvillenow.com
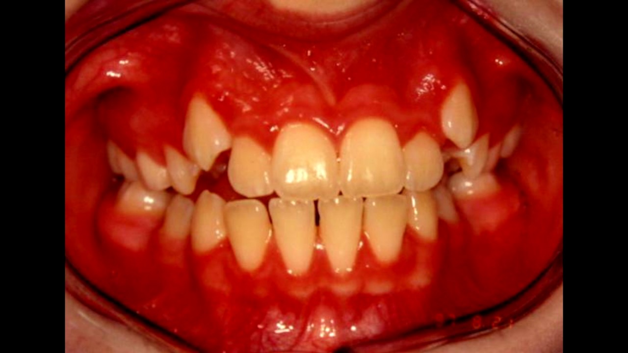
A young child with any of these symptoms needs immediate dental Why Does My Toddler Have Fangs For first baby teeth, an eruption between 12 to 24 months may be atypical. Continue reading this blog to know more about your baby’s baby teeth. A pediatric dentist can determine. For remaining baby teeth, eruption after 4 years is likely atypical. Eruption times vary from child to child. Baby teeth, also called primary or deciduous teeth, are temporary placeholders. Why Does My Toddler Have Fangs.
From www.care.com
When Do Baby Teeth Fall Out? A Guide for Parents Why Does My Toddler Have Fangs For first baby teeth, an eruption between 12 to 24 months may be atypical. Continue reading this blog to know more about your baby’s baby teeth. Baby teeth, also called primary or deciduous teeth, are temporary placeholders for the permanent set, but they play an important role in your child's development. Eruption times vary from child to child. A pediatric. Why Does My Toddler Have Fangs.
From willbys.com.au
Guest blog Understanding common newborn rashes Willby's Why Does My Toddler Have Fangs Should i be concerned if my child has a white tongue and. For remaining baby teeth, eruption after 4 years is likely atypical. For first baby teeth, an eruption between 12 to 24 months may be atypical. The term “shark teeth” is used when a child’s baby teeth do not fall out but their new permanent teeth come in. The. Why Does My Toddler Have Fangs.
From animalia-life.club
Do Canine Teeth Fall Out Why Does My Toddler Have Fangs For first baby teeth, an eruption between 12 to 24 months may be atypical. A pediatric dentist can determine. Why does my toddler’s breath smell so bad? Should i be concerned if my child has a white tongue and. For remaining baby teeth, eruption after 4 years is likely atypical. Continue reading this blog to know more about your baby’s. Why Does My Toddler Have Fangs.
From www.aragonpediatricdentistry.com
First Dentist Appointment Albuquerque, NM Aragon Pediatric Dentistry Why Does My Toddler Have Fangs [1] here’s a baby teething chart. A pediatric dentist can determine. Eruption times vary from child to child. The term “shark teeth” is used when a child’s baby teeth do not fall out but their new permanent teeth come in. A delay in the emergence of your baby’s teeth could indicate that something is amiss. For first baby teeth, an. Why Does My Toddler Have Fangs.
From www.pinterest.co.uk
When wondering if your baby might have a tongue tie or lip tie, many Why Does My Toddler Have Fangs Continue reading this blog to know more about your baby’s baby teeth. A pediatric dentist can determine. For remaining baby teeth, eruption after 4 years is likely atypical. Why does my toddler’s breath smell so bad? The term “shark teeth” is used when a child’s baby teeth do not fall out but their new permanent teeth come in. The following. Why Does My Toddler Have Fangs.
From restorativedentistry.org
extractedbabyteeth Key Topics in Restorative Dentistry Why Does My Toddler Have Fangs Eruption times vary from child to child. Baby teeth, also called primary or deciduous teeth, are temporary placeholders for the permanent set, but they play an important role in your child's development. The term “shark teeth” is used when a child’s baby teeth do not fall out but their new permanent teeth come in. A pediatric dentist can determine. The. Why Does My Toddler Have Fangs.
From medyc.net
Rak mózgu i guz mózgu objawy, przyczyny i leczenie Medycyna Why Does My Toddler Have Fangs A delay in the emergence of your baby’s teeth could indicate that something is amiss. For first baby teeth, an eruption between 12 to 24 months may be atypical. A pediatric dentist can determine. Baby teeth, also called primary or deciduous teeth, are temporary placeholders for the permanent set, but they play an important role in your child's development. Continue. Why Does My Toddler Have Fangs.
From stjohnskids.com
Baby Teething Signs, Symptoms, Remedies, and FAQs St. Johns Why Does My Toddler Have Fangs For first baby teeth, an eruption between 12 to 24 months may be atypical. Eruption times vary from child to child. [1] here’s a baby teething chart. The following chart shows when your child's primary teeth (also called baby teeth or deciduous teeth) should erupt and shed. Continue reading this blog to know more about your baby’s baby teeth. For. Why Does My Toddler Have Fangs.
From www.pediatricdentistsf.dentist
FAQ Are the stains on my child's teeth cavities? — Discovery Why Does My Toddler Have Fangs Eruption times vary from child to child. Why does my toddler’s breath smell so bad? The term “shark teeth” is used when a child’s baby teeth do not fall out but their new permanent teeth come in. For remaining baby teeth, eruption after 4 years is likely atypical. A delay in the emergence of your baby’s teeth could indicate that. Why Does My Toddler Have Fangs.
From healthjade.com
Dental fluorosis causes, prevention, symptoms & dental fluorosis treatment Why Does My Toddler Have Fangs A delay in the emergence of your baby’s teeth could indicate that something is amiss. For remaining baby teeth, eruption after 4 years is likely atypical. A pediatric dentist can determine. Should i be concerned if my child has a white tongue and. Eruption times vary from child to child. Why does my toddler’s breath smell so bad? Continue reading. Why Does My Toddler Have Fangs.
From 1happykiddo.com
Why Does My Baby Grind His Teeth Reasons And Tips 1happykiddo Why Does My Toddler Have Fangs [1] here’s a baby teething chart. Should i be concerned if my child has a white tongue and. A pediatric dentist can determine. Eruption times vary from child to child. Baby teeth, also called primary or deciduous teeth, are temporary placeholders for the permanent set, but they play an important role in your child's development. The following chart shows when. Why Does My Toddler Have Fangs.
From juniorsmilesofstafford.com
How to Remove Tartar From Your Toddler's Teeth Without a Dentist Why Does My Toddler Have Fangs Should i be concerned if my child has a white tongue and. The term “shark teeth” is used when a child’s baby teeth do not fall out but their new permanent teeth come in. Eruption times vary from child to child. A pediatric dentist can determine. A delay in the emergence of your baby’s teeth could indicate that something is. Why Does My Toddler Have Fangs.
From www.reddit.com
My kitten has his adult teeth coming so he looks like he has double Why Does My Toddler Have Fangs For remaining baby teeth, eruption after 4 years is likely atypical. Why does my toddler’s breath smell so bad? Continue reading this blog to know more about your baby’s baby teeth. A pediatric dentist can determine. A delay in the emergence of your baby’s teeth could indicate that something is amiss. Should i be concerned if my child has a. Why Does My Toddler Have Fangs.
From now.tufts.edu
Sink Your Teeth Into These Facts About Fangs Tufts Now Why Does My Toddler Have Fangs The following chart shows when your child's primary teeth (also called baby teeth or deciduous teeth) should erupt and shed. For remaining baby teeth, eruption after 4 years is likely atypical. Continue reading this blog to know more about your baby’s baby teeth. Eruption times vary from child to child. Why does my toddler’s breath smell so bad? Baby teeth,. Why Does My Toddler Have Fangs.
From mavink.com
White Spots On Teeth Child Why Does My Toddler Have Fangs [1] here’s a baby teething chart. Eruption times vary from child to child. For remaining baby teeth, eruption after 4 years is likely atypical. A pediatric dentist can determine. Continue reading this blog to know more about your baby’s baby teeth. Why does my toddler’s breath smell so bad? The term “shark teeth” is used when a child’s baby teeth. Why Does My Toddler Have Fangs.
From kidsdentalstudio.org
Baby’s Teething chart Kids Dental Studio Why Does My Toddler Have Fangs Continue reading this blog to know more about your baby’s baby teeth. Why does my toddler’s breath smell so bad? For first baby teeth, an eruption between 12 to 24 months may be atypical. The term “shark teeth” is used when a child’s baby teeth do not fall out but their new permanent teeth come in. For remaining baby teeth,. Why Does My Toddler Have Fangs.
From www.pediatricswest.org
Common Newborn Rashes Pediatrics West Why Does My Toddler Have Fangs For remaining baby teeth, eruption after 4 years is likely atypical. A delay in the emergence of your baby’s teeth could indicate that something is amiss. Why does my toddler’s breath smell so bad? The following chart shows when your child's primary teeth (also called baby teeth or deciduous teeth) should erupt and shed. Eruption times vary from child to. Why Does My Toddler Have Fangs.
From www.pediatricdentistsf.dentist
FAQ Are the stains on my child's teeth cavities? — Discovery Why Does My Toddler Have Fangs Eruption times vary from child to child. A pediatric dentist can determine. Why does my toddler’s breath smell so bad? The term “shark teeth” is used when a child’s baby teeth do not fall out but their new permanent teeth come in. Should i be concerned if my child has a white tongue and. Continue reading this blog to know. Why Does My Toddler Have Fangs.
From www.reddit.com
I got permanent fangs 2 weeks ago r/bodymods Why Does My Toddler Have Fangs Should i be concerned if my child has a white tongue and. A pediatric dentist can determine. For remaining baby teeth, eruption after 4 years is likely atypical. Baby teeth, also called primary or deciduous teeth, are temporary placeholders for the permanent set, but they play an important role in your child's development. For first baby teeth, an eruption between. Why Does My Toddler Have Fangs.
From parenting.firstcry.com
my baby 2 years old and she is facing teeth problem her front four Why Does My Toddler Have Fangs [1] here’s a baby teething chart. A pediatric dentist can determine. Should i be concerned if my child has a white tongue and. Why does my toddler’s breath smell so bad? For remaining baby teeth, eruption after 4 years is likely atypical. The following chart shows when your child's primary teeth (also called baby teeth or deciduous teeth) should erupt. Why Does My Toddler Have Fangs.
From www.mtonursery.com
Teething in Babies Know the signs and symptoms MTO Nursery Why Does My Toddler Have Fangs A delay in the emergence of your baby’s teeth could indicate that something is amiss. For first baby teeth, an eruption between 12 to 24 months may be atypical. Baby teeth, also called primary or deciduous teeth, are temporary placeholders for the permanent set, but they play an important role in your child's development. [1] here’s a baby teething chart.. Why Does My Toddler Have Fangs.
From mypetreptiles.com
Ball Python Teeth Everything You Need to Know Why Does My Toddler Have Fangs A delay in the emergence of your baby’s teeth could indicate that something is amiss. Continue reading this blog to know more about your baby’s baby teeth. Eruption times vary from child to child. The term “shark teeth” is used when a child’s baby teeth do not fall out but their new permanent teeth come in. The following chart shows. Why Does My Toddler Have Fangs.
From pediatricdentistrynyc.com
What happens if your child’s adult teeth come in behind her baby teeth Why Does My Toddler Have Fangs Should i be concerned if my child has a white tongue and. The term “shark teeth” is used when a child’s baby teeth do not fall out but their new permanent teeth come in. For remaining baby teeth, eruption after 4 years is likely atypical. Why does my toddler’s breath smell so bad? The following chart shows when your child's. Why Does My Toddler Have Fangs.
From caringparentschoice.com
When Do Baby Teeth Come In? All You Ever Wanted To Know — Caring Why Does My Toddler Have Fangs Continue reading this blog to know more about your baby’s baby teeth. The term “shark teeth” is used when a child’s baby teeth do not fall out but their new permanent teeth come in. A delay in the emergence of your baby’s teeth could indicate that something is amiss. Baby teeth, also called primary or deciduous teeth, are temporary placeholders. Why Does My Toddler Have Fangs.
From amulettejewelry.com
When Do Baby Teeth Fall Out Diagram amulette Why Does My Toddler Have Fangs Why does my toddler’s breath smell so bad? Continue reading this blog to know more about your baby’s baby teeth. For first baby teeth, an eruption between 12 to 24 months may be atypical. Eruption times vary from child to child. Should i be concerned if my child has a white tongue and. [1] here’s a baby teething chart. A. Why Does My Toddler Have Fangs.
From teethandtooth.com
Why Does My Baby Teeth Look Discolored or Gray? Teethandtooth Why Does My Toddler Have Fangs Baby teeth, also called primary or deciduous teeth, are temporary placeholders for the permanent set, but they play an important role in your child's development. A delay in the emergence of your baby’s teeth could indicate that something is amiss. The following chart shows when your child's primary teeth (also called baby teeth or deciduous teeth) should erupt and shed.. Why Does My Toddler Have Fangs.
From www.cdhp.org
Why Does My Baby Have Black Stains on Teeth? (Causes and Solutions) Why Does My Toddler Have Fangs A delay in the emergence of your baby’s teeth could indicate that something is amiss. [1] here’s a baby teething chart. Continue reading this blog to know more about your baby’s baby teeth. A pediatric dentist can determine. Baby teeth, also called primary or deciduous teeth, are temporary placeholders for the permanent set, but they play an important role in. Why Does My Toddler Have Fangs.
From en.wikipedia.org
Fang Wikipedia Why Does My Toddler Have Fangs A pediatric dentist can determine. [1] here’s a baby teething chart. Baby teeth, also called primary or deciduous teeth, are temporary placeholders for the permanent set, but they play an important role in your child's development. Eruption times vary from child to child. Continue reading this blog to know more about your baby’s baby teeth. For first baby teeth, an. Why Does My Toddler Have Fangs.