Fistula After Gastric Sleeve . To trace the clinical profile of fistula cases after sleeve gastrectomy (sg) and evaluate the efficacy and safety of. — purpose to trace the clinical profile of fistula cases after sleeve gastrectomy (sg) and evaluate the. — considering the rarity of gastropleural fistulas, this case report.
from www.cureus.com
To trace the clinical profile of fistula cases after sleeve gastrectomy (sg) and evaluate the efficacy and safety of. — purpose to trace the clinical profile of fistula cases after sleeve gastrectomy (sg) and evaluate the. — considering the rarity of gastropleural fistulas, this case report.
Cureus Gastropleural Fistula Presenting as a Complication of Gastric
Fistula After Gastric Sleeve — considering the rarity of gastropleural fistulas, this case report. To trace the clinical profile of fistula cases after sleeve gastrectomy (sg) and evaluate the efficacy and safety of. — purpose to trace the clinical profile of fistula cases after sleeve gastrectomy (sg) and evaluate the. — considering the rarity of gastropleural fistulas, this case report.
From www.researchgate.net
(PDF) Fistula after laparoscopic sleeve gastrectomy Fistula After Gastric Sleeve To trace the clinical profile of fistula cases after sleeve gastrectomy (sg) and evaluate the efficacy and safety of. — purpose to trace the clinical profile of fistula cases after sleeve gastrectomy (sg) and evaluate the. — considering the rarity of gastropleural fistulas, this case report. Fistula After Gastric Sleeve.
From www.researchgate.net
Resection of Gastric Fistula and Conversion to RYGB for Gastro Pleural Fistula After Gastric Sleeve — purpose to trace the clinical profile of fistula cases after sleeve gastrectomy (sg) and evaluate the. To trace the clinical profile of fistula cases after sleeve gastrectomy (sg) and evaluate the efficacy and safety of. — considering the rarity of gastropleural fistulas, this case report. Fistula After Gastric Sleeve.
From www.researchgate.net
A 12mm gastric fistula at the staple line after sleeve gastrectomy Fistula After Gastric Sleeve — purpose to trace the clinical profile of fistula cases after sleeve gastrectomy (sg) and evaluate the. To trace the clinical profile of fistula cases after sleeve gastrectomy (sg) and evaluate the efficacy and safety of. — considering the rarity of gastropleural fistulas, this case report. Fistula After Gastric Sleeve.
From www.researchgate.net
(PDF) GASTRIC FISTULA AFTER SLEEVE GASTRECTOMY MANAGEMENT AND TIME TO Fistula After Gastric Sleeve — considering the rarity of gastropleural fistulas, this case report. To trace the clinical profile of fistula cases after sleeve gastrectomy (sg) and evaluate the efficacy and safety of. — purpose to trace the clinical profile of fistula cases after sleeve gastrectomy (sg) and evaluate the. Fistula After Gastric Sleeve.
From www.muhealth.org
Gastric Bypass Surgery MU Health Care Columbia, MO Fistula After Gastric Sleeve — purpose to trace the clinical profile of fistula cases after sleeve gastrectomy (sg) and evaluate the. To trace the clinical profile of fistula cases after sleeve gastrectomy (sg) and evaluate the efficacy and safety of. — considering the rarity of gastropleural fistulas, this case report. Fistula After Gastric Sleeve.
From www.soard.org
Management of gastric fistula complicating laparoscopic sleeve Fistula After Gastric Sleeve — purpose to trace the clinical profile of fistula cases after sleeve gastrectomy (sg) and evaluate the. — considering the rarity of gastropleural fistulas, this case report. To trace the clinical profile of fistula cases after sleeve gastrectomy (sg) and evaluate the efficacy and safety of. Fistula After Gastric Sleeve.
From www.barilife.com
Can you have gastric sleeve after gastric bypass? Fistula After Gastric Sleeve — considering the rarity of gastropleural fistulas, this case report. To trace the clinical profile of fistula cases after sleeve gastrectomy (sg) and evaluate the efficacy and safety of. — purpose to trace the clinical profile of fistula cases after sleeve gastrectomy (sg) and evaluate the. Fistula After Gastric Sleeve.
From betterweighcenter.com
How to know when you need a Gastric bypass surgery revision Better Fistula After Gastric Sleeve — purpose to trace the clinical profile of fistula cases after sleeve gastrectomy (sg) and evaluate the. — considering the rarity of gastropleural fistulas, this case report. To trace the clinical profile of fistula cases after sleeve gastrectomy (sg) and evaluate the efficacy and safety of. Fistula After Gastric Sleeve.
From www.researchgate.net
Anatomical representation of the gastrobronchial fistula after sleeve Fistula After Gastric Sleeve — purpose to trace the clinical profile of fistula cases after sleeve gastrectomy (sg) and evaluate the. To trace the clinical profile of fistula cases after sleeve gastrectomy (sg) and evaluate the efficacy and safety of. — considering the rarity of gastropleural fistulas, this case report. Fistula After Gastric Sleeve.
From www.soard.org
Management of gastrobronchial fistula after laparoscopic sleeve Fistula After Gastric Sleeve — considering the rarity of gastropleural fistulas, this case report. To trace the clinical profile of fistula cases after sleeve gastrectomy (sg) and evaluate the efficacy and safety of. — purpose to trace the clinical profile of fistula cases after sleeve gastrectomy (sg) and evaluate the. Fistula After Gastric Sleeve.
From www.soard.org
New endoscopic technique for the treatment of large gastric fistula or Fistula After Gastric Sleeve — purpose to trace the clinical profile of fistula cases after sleeve gastrectomy (sg) and evaluate the. — considering the rarity of gastropleural fistulas, this case report. To trace the clinical profile of fistula cases after sleeve gastrectomy (sg) and evaluate the efficacy and safety of. Fistula After Gastric Sleeve.
From blog.dssurgery.com
Gastrogastric fistula after gastric bypass operation DSSurgery Fistula After Gastric Sleeve — considering the rarity of gastropleural fistulas, this case report. To trace the clinical profile of fistula cases after sleeve gastrectomy (sg) and evaluate the efficacy and safety of. — purpose to trace the clinical profile of fistula cases after sleeve gastrectomy (sg) and evaluate the. Fistula After Gastric Sleeve.
From altaiecenter.com
Gastric Sleeve Surgery Al Taie Center Fistula After Gastric Sleeve — considering the rarity of gastropleural fistulas, this case report. To trace the clinical profile of fistula cases after sleeve gastrectomy (sg) and evaluate the efficacy and safety of. — purpose to trace the clinical profile of fistula cases after sleeve gastrectomy (sg) and evaluate the. Fistula After Gastric Sleeve.
From bariatrictimes.com
Jejunal Interposition as a Definitive Treatment for Gastric Fistula Fistula After Gastric Sleeve To trace the clinical profile of fistula cases after sleeve gastrectomy (sg) and evaluate the efficacy and safety of. — considering the rarity of gastropleural fistulas, this case report. — purpose to trace the clinical profile of fistula cases after sleeve gastrectomy (sg) and evaluate the. Fistula After Gastric Sleeve.
From www.uclahealth.org
Reflux After Sleeve Gastrectomy Bariatric Surgery UCLA Health Fistula After Gastric Sleeve To trace the clinical profile of fistula cases after sleeve gastrectomy (sg) and evaluate the efficacy and safety of. — purpose to trace the clinical profile of fistula cases after sleeve gastrectomy (sg) and evaluate the. — considering the rarity of gastropleural fistulas, this case report. Fistula After Gastric Sleeve.
From www.researchgate.net
Gastric Fistula in the Chest After Sleeve Gastrectomy a Systematic Fistula After Gastric Sleeve To trace the clinical profile of fistula cases after sleeve gastrectomy (sg) and evaluate the efficacy and safety of. — considering the rarity of gastropleural fistulas, this case report. — purpose to trace the clinical profile of fistula cases after sleeve gastrectomy (sg) and evaluate the. Fistula After Gastric Sleeve.
From www.youtube.com
Live Gastric Sleeve Surgery.LAPAROSCOPIC SLEEVE GASTRECTOMY. YouTube Fistula After Gastric Sleeve — purpose to trace the clinical profile of fistula cases after sleeve gastrectomy (sg) and evaluate the. To trace the clinical profile of fistula cases after sleeve gastrectomy (sg) and evaluate the efficacy and safety of. — considering the rarity of gastropleural fistulas, this case report. Fistula After Gastric Sleeve.
From mexicobariatriccenter.com
Signs and Symptoms of Ulcers After Gastric Bypass Mexico Bariatric Center Fistula After Gastric Sleeve To trace the clinical profile of fistula cases after sleeve gastrectomy (sg) and evaluate the efficacy and safety of. — purpose to trace the clinical profile of fistula cases after sleeve gastrectomy (sg) and evaluate the. — considering the rarity of gastropleural fistulas, this case report. Fistula After Gastric Sleeve.
From www.semanticscholar.org
Figure 3 from Management of a Gastrobronchial Fistula Presenting 5 Fistula After Gastric Sleeve — purpose to trace the clinical profile of fistula cases after sleeve gastrectomy (sg) and evaluate the. To trace the clinical profile of fistula cases after sleeve gastrectomy (sg) and evaluate the efficacy and safety of. — considering the rarity of gastropleural fistulas, this case report. Fistula After Gastric Sleeve.
From www.researchgate.net
Gastric Fistula After Sleeve Gastrectomy Clinical Features and Fistula After Gastric Sleeve — purpose to trace the clinical profile of fistula cases after sleeve gastrectomy (sg) and evaluate the. To trace the clinical profile of fistula cases after sleeve gastrectomy (sg) and evaluate the efficacy and safety of. — considering the rarity of gastropleural fistulas, this case report. Fistula After Gastric Sleeve.
From blog.dssurgery.com
Gastrogastric fistula after gastric bypass operation DSSurgery Fistula After Gastric Sleeve — purpose to trace the clinical profile of fistula cases after sleeve gastrectomy (sg) and evaluate the. To trace the clinical profile of fistula cases after sleeve gastrectomy (sg) and evaluate the efficacy and safety of. — considering the rarity of gastropleural fistulas, this case report. Fistula After Gastric Sleeve.
From teachmesurgery.com
Consent Sleeve Gastrectomy TeachMeSurgery Fistula After Gastric Sleeve — considering the rarity of gastropleural fistulas, this case report. To trace the clinical profile of fistula cases after sleeve gastrectomy (sg) and evaluate the efficacy and safety of. — purpose to trace the clinical profile of fistula cases after sleeve gastrectomy (sg) and evaluate the. Fistula After Gastric Sleeve.
From www.dssurgery.com
Gastrogastric fistula after gastric bypass operation DSSurgery Fistula After Gastric Sleeve — purpose to trace the clinical profile of fistula cases after sleeve gastrectomy (sg) and evaluate the. To trace the clinical profile of fistula cases after sleeve gastrectomy (sg) and evaluate the efficacy and safety of. — considering the rarity of gastropleural fistulas, this case report. Fistula After Gastric Sleeve.
From www.soard.org
Management of gastrobronchial fistula after laparoscopic sleeve Fistula After Gastric Sleeve — considering the rarity of gastropleural fistulas, this case report. — purpose to trace the clinical profile of fistula cases after sleeve gastrectomy (sg) and evaluate the. To trace the clinical profile of fistula cases after sleeve gastrectomy (sg) and evaluate the efficacy and safety of. Fistula After Gastric Sleeve.
From www.vrogue.co
Patient 687 Gastric Sleeve Before And After Photos Ho vrogue.co Fistula After Gastric Sleeve To trace the clinical profile of fistula cases after sleeve gastrectomy (sg) and evaluate the efficacy and safety of. — considering the rarity of gastropleural fistulas, this case report. — purpose to trace the clinical profile of fistula cases after sleeve gastrectomy (sg) and evaluate the. Fistula After Gastric Sleeve.
From www.cureus.com
Cureus Gastropleural Fistula Presenting as a Complication of Gastric Fistula After Gastric Sleeve — purpose to trace the clinical profile of fistula cases after sleeve gastrectomy (sg) and evaluate the. — considering the rarity of gastropleural fistulas, this case report. To trace the clinical profile of fistula cases after sleeve gastrectomy (sg) and evaluate the efficacy and safety of. Fistula After Gastric Sleeve.
From www.bmisurgery.com
Gastric sleeve surgery What you need to know Fistula After Gastric Sleeve To trace the clinical profile of fistula cases after sleeve gastrectomy (sg) and evaluate the efficacy and safety of. — purpose to trace the clinical profile of fistula cases after sleeve gastrectomy (sg) and evaluate the. — considering the rarity of gastropleural fistulas, this case report. Fistula After Gastric Sleeve.
From www.semanticscholar.org
Figure 2 from Gastropleural fistula after single anastomosis gastric Fistula After Gastric Sleeve — purpose to trace the clinical profile of fistula cases after sleeve gastrectomy (sg) and evaluate the. — considering the rarity of gastropleural fistulas, this case report. To trace the clinical profile of fistula cases after sleeve gastrectomy (sg) and evaluate the efficacy and safety of. Fistula After Gastric Sleeve.
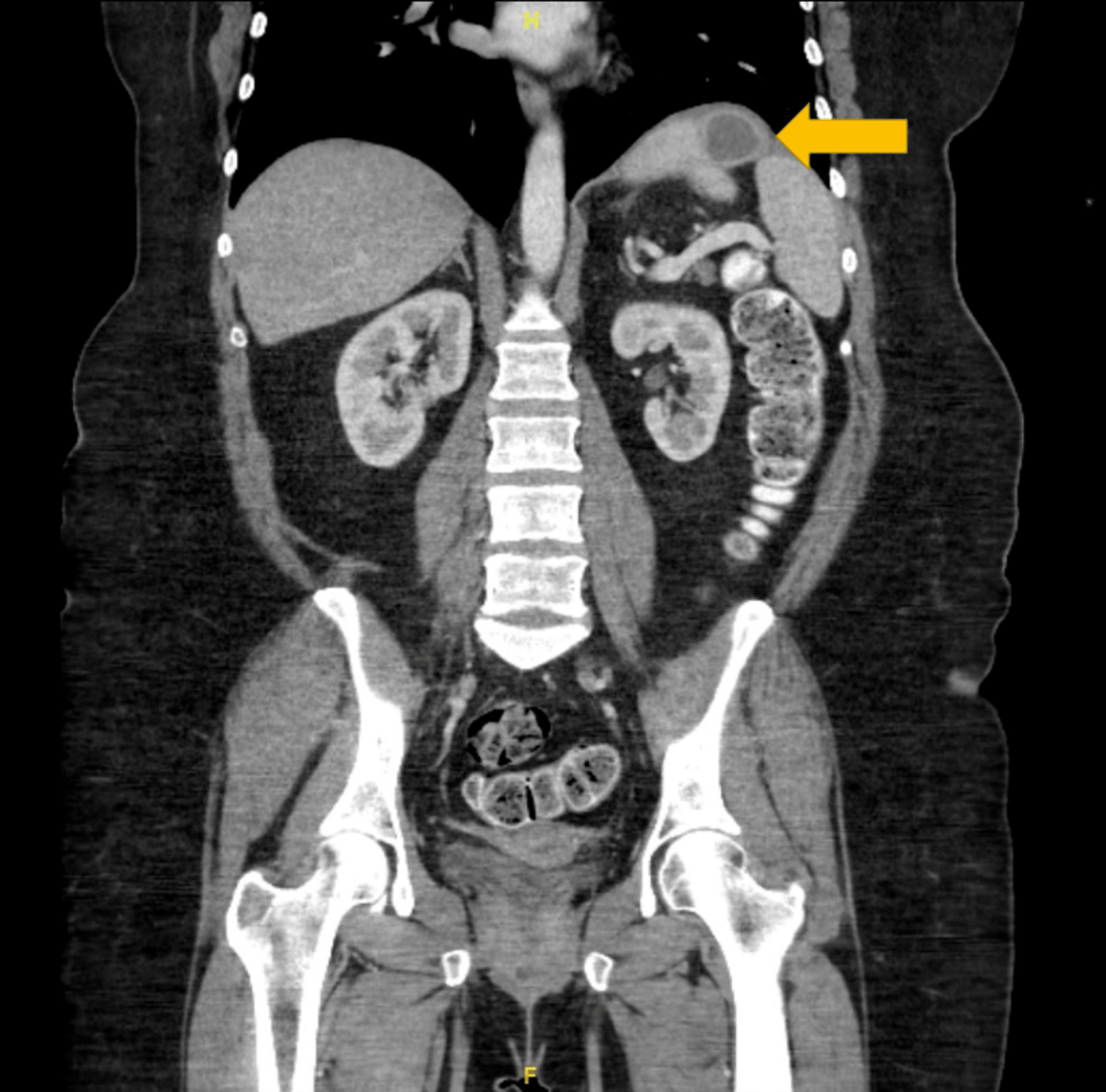
From www.researchgate.net
a CTscan of patient with fistula after sleeve gastrectomy. White Fistula After Gastric Sleeve — purpose to trace the clinical profile of fistula cases after sleeve gastrectomy (sg) and evaluate the. To trace the clinical profile of fistula cases after sleeve gastrectomy (sg) and evaluate the efficacy and safety of. — considering the rarity of gastropleural fistulas, this case report. Fistula After Gastric Sleeve.
From www.muhealth.org
Gastric Sleeve Surgery MU Health Care Columbia, MO Fistula After Gastric Sleeve — purpose to trace the clinical profile of fistula cases after sleeve gastrectomy (sg) and evaluate the. To trace the clinical profile of fistula cases after sleeve gastrectomy (sg) and evaluate the efficacy and safety of. — considering the rarity of gastropleural fistulas, this case report. Fistula After Gastric Sleeve.
From bariatrictimes.com
Jejunal Interposition as a Definitive Treatment for Gastric Fistula Fistula After Gastric Sleeve — considering the rarity of gastropleural fistulas, this case report. To trace the clinical profile of fistula cases after sleeve gastrectomy (sg) and evaluate the efficacy and safety of. — purpose to trace the clinical profile of fistula cases after sleeve gastrectomy (sg) and evaluate the. Fistula After Gastric Sleeve.
From www.thelancet.com
Adaptations in gastrointestinal physiology after sleeve gastrectomy and Fistula After Gastric Sleeve — considering the rarity of gastropleural fistulas, this case report. To trace the clinical profile of fistula cases after sleeve gastrectomy (sg) and evaluate the efficacy and safety of. — purpose to trace the clinical profile of fistula cases after sleeve gastrectomy (sg) and evaluate the. Fistula After Gastric Sleeve.
From health.ucsd.edu
Sleeve Gastrectomy San Diego, Gastric Sleeve Procedure San Diego Fistula After Gastric Sleeve To trace the clinical profile of fistula cases after sleeve gastrectomy (sg) and evaluate the efficacy and safety of. — considering the rarity of gastropleural fistulas, this case report. — purpose to trace the clinical profile of fistula cases after sleeve gastrectomy (sg) and evaluate the. Fistula After Gastric Sleeve.
From www.clinicalimaging.org
Gastrobronchial fistula after sleeve gastrectomy clinical and Fistula After Gastric Sleeve — purpose to trace the clinical profile of fistula cases after sleeve gastrectomy (sg) and evaluate the. To trace the clinical profile of fistula cases after sleeve gastrectomy (sg) and evaluate the efficacy and safety of. — considering the rarity of gastropleural fistulas, this case report. Fistula After Gastric Sleeve.
From mexicobariatriccenter.com
Signs and Symptoms of Ulcers After Gastric Bypass Mexico Bariatric Center Fistula After Gastric Sleeve — purpose to trace the clinical profile of fistula cases after sleeve gastrectomy (sg) and evaluate the. To trace the clinical profile of fistula cases after sleeve gastrectomy (sg) and evaluate the efficacy and safety of. — considering the rarity of gastropleural fistulas, this case report. Fistula After Gastric Sleeve.