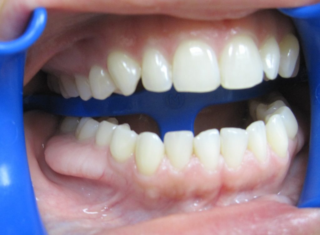
Gum Line Color Change . If your gums are naturally brown and firm, these are healthy qualities. Since your gum tissue’s natural hue can vary based on your skin tone, gum discoloration can look different. Many people unknowingly experience gum problems, often indicated by the color of their. Healthy gums are typically a pink color. A color change in your gums and other small symptoms are signs of gingivitis, which is gum disease. Different gum colors and their meaning for your health. They may range from light pink in some people to dark pink and brown in others. Have you noticed a change in your gum line lately? Gum discoloration happens when your gums turn a different color. The color of healthy gums can vary. But, if you notice your gums changing color, this may be a sign of an oral health issue. Sometimes, gums change color for a number of reasons that aren’t of concern. Gums that are brown in color can be healthy, well maintained gums too! Healthy gums are firm and fit snugly around teeth. If your gums change colors,.
from www.drwilliammckenzie.com
Many people unknowingly experience gum problems, often indicated by the color of their. Gum discoloration happens when your gums turn a different color. Have you noticed a change in your gum line lately? And, inflamed gums that are irritated my display as red. Since your gum tissue’s natural hue can vary based on your skin tone, gum discoloration can look different. If your gums are naturally brown and firm, these are healthy qualities. Different gum colors and their meaning for your health. Healthy gums are typically a pink color. The color of healthy gums can vary. Sometimes, gums change color for a number of reasons that aren’t of concern.
The Five Stages of Gum Disease — The McKenzie Center Implants
Gum Line Color Change If your gums are naturally brown and firm, these are healthy qualities. If your gums change colors,. Gums that are brown in color can be healthy, well maintained gums too! Healthy gums are typically a pink color. They may range from light pink in some people to dark pink and brown in others. Since your gum tissue’s natural hue can vary based on your skin tone, gum discoloration can look different. Different gum colors and their meaning for your health. Have you noticed a change in your gum line lately? But, if you notice your gums changing color, this may be a sign of an oral health issue. Healthy gums are firm and fit snugly around teeth. Many people unknowingly experience gum problems, often indicated by the color of their. If your gums are naturally brown and firm, these are healthy qualities. The color of healthy gums can vary. And, inflamed gums that are irritated my display as red. Sometimes, gums change color for a number of reasons that aren’t of concern. Gum discoloration happens when your gums turn a different color.
From genialsante.com
Gommes blanches Causes, traitements et plus encore Gum Line Color Change And, inflamed gums that are irritated my display as red. The color of healthy gums can vary. Gum discoloration happens when your gums turn a different color. Healthy gums are firm and fit snugly around teeth. They may range from light pink in some people to dark pink and brown in others. If your gums change colors,. Gums that are. Gum Line Color Change.
From www.emergencydentistsusa.com
Gum Boils What They Are, What Causes Them & What to Do About Them Gum Line Color Change Have you noticed a change in your gum line lately? But, if you notice your gums changing color, this may be a sign of an oral health issue. If your gums change colors,. And, inflamed gums that are irritated my display as red. The color of healthy gums can vary. A color change in your gums and other small symptoms. Gum Line Color Change.
From 7dmc.ae
Receding Gums Symptoms, Diagnosis, Causes, and Treatment Gum Line Color Change Healthy gums are firm and fit snugly around teeth. If your gums are naturally brown and firm, these are healthy qualities. Healthy gums are typically a pink color. A color change in your gums and other small symptoms are signs of gingivitis, which is gum disease. But, if you notice your gums changing color, this may be a sign of. Gum Line Color Change.
From drania.com
Color Changes to Your Gums Boulder Dentist Family & Cosmetic Gum Line Color Change If your gums are naturally brown and firm, these are healthy qualities. But, if you notice your gums changing color, this may be a sign of an oral health issue. Gums that are brown in color can be healthy, well maintained gums too! Healthy gums are typically a pink color. Healthy gums are firm and fit snugly around teeth. Sometimes,. Gum Line Color Change.
From www.acrdentistry.com
Discolored Gum Line Alpharetta Dentist Before and After Gum Line Color Change But, if you notice your gums changing color, this may be a sign of an oral health issue. If your gums change colors,. And, inflamed gums that are irritated my display as red. A color change in your gums and other small symptoms are signs of gingivitis, which is gum disease. Different gum colors and their meaning for your health.. Gum Line Color Change.
From www.drwilliammckenzie.com
The Five Stages of Gum Disease — The McKenzie Center Implants Gum Line Color Change Many people unknowingly experience gum problems, often indicated by the color of their. If your gums are naturally brown and firm, these are healthy qualities. The color of healthy gums can vary. Different gum colors and their meaning for your health. Have you noticed a change in your gum line lately? Since your gum tissue’s natural hue can vary based. Gum Line Color Change.
From justhealthlifestyle.com
How To Make Your Receding Gum Line Grow Back Gum Line Color Change But, if you notice your gums changing color, this may be a sign of an oral health issue. If your gums change colors,. If your gums are naturally brown and firm, these are healthy qualities. Gum discoloration happens when your gums turn a different color. Healthy gums are typically a pink color. They may range from light pink in some. Gum Line Color Change.
From www.youtube.com
how to treat receding gum line at home YouTube Gum Line Color Change If your gums are naturally brown and firm, these are healthy qualities. The color of healthy gums can vary. Have you noticed a change in your gum line lately? Gum discoloration happens when your gums turn a different color. Different gum colors and their meaning for your health. A color change in your gums and other small symptoms are signs. Gum Line Color Change.
From www.tompkinsdental.com
Receding Gums and 6 Other Signs of Gum Disease Tompkins Dental Gum Line Color Change The color of healthy gums can vary. Different gum colors and their meaning for your health. Since your gum tissue’s natural hue can vary based on your skin tone, gum discoloration can look different. Many people unknowingly experience gum problems, often indicated by the color of their. Healthy gums are typically a pink color. Gums that are brown in color. Gum Line Color Change.
From www.drkrone.com
Gum Diseases Michael E. Krone, D.D.S. Family Dentistry Gum Line Color Change They may range from light pink in some people to dark pink and brown in others. Sometimes, gums change color for a number of reasons that aren’t of concern. If your gums are naturally brown and firm, these are healthy qualities. Healthy gums are typically a pink color. The color of healthy gums can vary. Have you noticed a change. Gum Line Color Change.
From www.limelightdental.ca
5 Signs You May Have Receding Gums And Treatment Options Lime Light Gum Line Color Change A color change in your gums and other small symptoms are signs of gingivitis, which is gum disease. The color of healthy gums can vary. Sometimes, gums change color for a number of reasons that aren’t of concern. Have you noticed a change in your gum line lately? Many people unknowingly experience gum problems, often indicated by the color of. Gum Line Color Change.
From www.myhealthdosage.com
Black Spot on Gums Near Tooth Learn What Causes Dark Spots on Gums Gum Line Color Change Different gum colors and their meaning for your health. Healthy gums are typically a pink color. Gums that are brown in color can be healthy, well maintained gums too! They may range from light pink in some people to dark pink and brown in others. Healthy gums are firm and fit snugly around teeth. If your gums are naturally brown. Gum Line Color Change.
From ar.inspiredpencil.com
How Your Gums Should Look Gum Line Color Change Since your gum tissue’s natural hue can vary based on your skin tone, gum discoloration can look different. And, inflamed gums that are irritated my display as red. Different gum colors and their meaning for your health. But, if you notice your gums changing color, this may be a sign of an oral health issue. Have you noticed a change. Gum Line Color Change.
From www.alamy.com
Set of color and monochrome bubble gum. Line art Stock Vector Image Gum Line Color Change Different gum colors and their meaning for your health. Sometimes, gums change color for a number of reasons that aren’t of concern. They may range from light pink in some people to dark pink and brown in others. Many people unknowingly experience gum problems, often indicated by the color of their. If your gums are naturally brown and firm, these. Gum Line Color Change.
From www.park56dental.com
Why Your Gum Line Recedes Park 56 Dental Gum Line Color Change But, if you notice your gums changing color, this may be a sign of an oral health issue. If your gums are naturally brown and firm, these are healthy qualities. Many people unknowingly experience gum problems, often indicated by the color of their. They may range from light pink in some people to dark pink and brown in others. Gums. Gum Line Color Change.
From www.youtube.com
What are the black lines on gums? Explained YouTube Gum Line Color Change A color change in your gums and other small symptoms are signs of gingivitis, which is gum disease. The color of healthy gums can vary. Since your gum tissue’s natural hue can vary based on your skin tone, gum discoloration can look different. If your gums change colors,. Healthy gums are firm and fit snugly around teeth. Gum discoloration happens. Gum Line Color Change.
From www.retterdentalcare.com
Black Gums, Pink Gums, Pale Gums Best Dentist Montreal Retter Gum Line Color Change If your gums change colors,. Different gum colors and their meaning for your health. Since your gum tissue’s natural hue can vary based on your skin tone, gum discoloration can look different. But, if you notice your gums changing color, this may be a sign of an oral health issue. Gum discoloration happens when your gums turn a different color.. Gum Line Color Change.
From www.drellielove.com
Dental Implant Complication Solutions Palm Desert CA, Periodontists Gum Line Color Change But, if you notice your gums changing color, this may be a sign of an oral health issue. The color of healthy gums can vary. Since your gum tissue’s natural hue can vary based on your skin tone, gum discoloration can look different. Gum discoloration happens when your gums turn a different color. And, inflamed gums that are irritated my. Gum Line Color Change.
From www.pickettfamilydental.com
Receding Gums Everything You Need to Know Pickett Family Dental Gum Line Color Change But, if you notice your gums changing color, this may be a sign of an oral health issue. If your gums change colors,. Different gum colors and their meaning for your health. Healthy gums are typically a pink color. Have you noticed a change in your gum line lately? Sometimes, gums change color for a number of reasons that aren’t. Gum Line Color Change.
From www.implantperiocenter.com
Dark gums 5 discoloration reasons and treatment Implant Perio CENTER Gum Line Color Change If your gums change colors,. Gums that are brown in color can be healthy, well maintained gums too! Healthy gums are typically a pink color. A color change in your gums and other small symptoms are signs of gingivitis, which is gum disease. Gum discoloration happens when your gums turn a different color. But, if you notice your gums changing. Gum Line Color Change.
From signaturesmiledfw.com
Everything you need to know about receding gums Signature Smile Gum Line Color Change If your gums change colors,. If your gums are naturally brown and firm, these are healthy qualities. The color of healthy gums can vary. Have you noticed a change in your gum line lately? A color change in your gums and other small symptoms are signs of gingivitis, which is gum disease. Healthy gums are firm and fit snugly around. Gum Line Color Change.
From colorscombo.com
What Color Should Your Gums Be Gum Line Color Change The color of healthy gums can vary. Gum discoloration happens when your gums turn a different color. Since your gum tissue’s natural hue can vary based on your skin tone, gum discoloration can look different. Sometimes, gums change color for a number of reasons that aren’t of concern. Gums that are brown in color can be healthy, well maintained gums. Gum Line Color Change.
From www.cranbournenorthdental.com.au
Gum Disease How can I tell? Cranbourne North Dental Gum Line Color Change Healthy gums are typically a pink color. A color change in your gums and other small symptoms are signs of gingivitis, which is gum disease. If your gums change colors,. Gum discoloration happens when your gums turn a different color. But, if you notice your gums changing color, this may be a sign of an oral health issue. Gums that. Gum Line Color Change.
From www.balsallcommondental.com
Possible Reasons for a Receding Gum Line Balsall Common Dental Gum Line Color Change And, inflamed gums that are irritated my display as red. They may range from light pink in some people to dark pink and brown in others. Many people unknowingly experience gum problems, often indicated by the color of their. Different gum colors and their meaning for your health. A color change in your gums and other small symptoms are signs. Gum Line Color Change.
From www.pinterest.com
Here's why some people have black gums Receding gums, Black gums Gum Line Color Change Different gum colors and their meaning for your health. Have you noticed a change in your gum line lately? Since your gum tissue’s natural hue can vary based on your skin tone, gum discoloration can look different. They may range from light pink in some people to dark pink and brown in others. If your gums change colors,. Sometimes, gums. Gum Line Color Change.
From proteith.com
Suffering from swollen, irritated, red or bleeding gums? PROTEITH® Gum Line Color Change If your gums change colors,. Gums that are brown in color can be healthy, well maintained gums too! Many people unknowingly experience gum problems, often indicated by the color of their. And, inflamed gums that are irritated my display as red. Healthy gums are firm and fit snugly around teeth. Healthy gums are typically a pink color. If your gums. Gum Line Color Change.
From ar.inspiredpencil.com
Healthy Lower Gum Line Gum Line Color Change If your gums change colors,. If your gums are naturally brown and firm, these are healthy qualities. The color of healthy gums can vary. Sometimes, gums change color for a number of reasons that aren’t of concern. Many people unknowingly experience gum problems, often indicated by the color of their. Different gum colors and their meaning for your health. A. Gum Line Color Change.
From sandiegosmilecenter.com
Black Gum lines form around teeth in what manner? Gum Line Color Change But, if you notice your gums changing color, this may be a sign of an oral health issue. Healthy gums are firm and fit snugly around teeth. Healthy gums are typically a pink color. Gums that are brown in color can be healthy, well maintained gums too! The color of healthy gums can vary. If your gums change colors,. Have. Gum Line Color Change.
From silverhilldental.com
Black Gums and Spots on Gums Causes, Treatment, and Reasons Gum Line Color Change If your gums change colors,. Different gum colors and their meaning for your health. But, if you notice your gums changing color, this may be a sign of an oral health issue. They may range from light pink in some people to dark pink and brown in others. Healthy gums are typically a pink color. Healthy gums are firm and. Gum Line Color Change.
From teethwalls.blogspot.com
White Lines On Teeth By Gums TeethWalls Gum Line Color Change Many people unknowingly experience gum problems, often indicated by the color of their. And, inflamed gums that are irritated my display as red. Healthy gums are typically a pink color. Since your gum tissue’s natural hue can vary based on your skin tone, gum discoloration can look different. Different gum colors and their meaning for your health. Gum discoloration happens. Gum Line Color Change.
From theimplantexperts.com
Gum disease symptoms and treatment TIE Gum Line Color Change Gum discoloration happens when your gums turn a different color. A color change in your gums and other small symptoms are signs of gingivitis, which is gum disease. If your gums change colors,. Sometimes, gums change color for a number of reasons that aren’t of concern. And, inflamed gums that are irritated my display as red. Different gum colors and. Gum Line Color Change.
From zwivel.com
Gum Line Cavity Symptoms, Cure And Treatment Methods Zwivel Gum Line Color Change Healthy gums are firm and fit snugly around teeth. Since your gum tissue’s natural hue can vary based on your skin tone, gum discoloration can look different. If your gums change colors,. Gums that are brown in color can be healthy, well maintained gums too! If your gums are naturally brown and firm, these are healthy qualities. They may range. Gum Line Color Change.
From www.universitydentalsandiego.com
What Causes a Black Gum Line Around the Tooth? University Dental San Gum Line Color Change If your gums change colors,. Have you noticed a change in your gum line lately? The color of healthy gums can vary. They may range from light pink in some people to dark pink and brown in others. Gum discoloration happens when your gums turn a different color. Healthy gums are firm and fit snugly around teeth. Sometimes, gums change. Gum Line Color Change.
From checkyourmouth.org
Introduction Check Your Mouth 2022 Gum Line Color Change Have you noticed a change in your gum line lately? Many people unknowingly experience gum problems, often indicated by the color of their. Different gum colors and their meaning for your health. If your gums are naturally brown and firm, these are healthy qualities. Healthy gums are typically a pink color. Since your gum tissue’s natural hue can vary based. Gum Line Color Change.
From teethwalls.blogspot.com
What Causes Brown Stains On Front Teeth TeethWalls Gum Line Color Change Sometimes, gums change color for a number of reasons that aren’t of concern. Gums that are brown in color can be healthy, well maintained gums too! If your gums change colors,. Since your gum tissue’s natural hue can vary based on your skin tone, gum discoloration can look different. A color change in your gums and other small symptoms are. Gum Line Color Change.