Pain Under The Big Toe Pad . sesamoiditis is inflammation of the sesamoid bones under the big toe joint. big toe pain can result from injury or minor medical conditions, such as arthritis, gout, or sesamoiditis. Learn how to diagnose and treat sesamoiditis, and when to use a sesamoiditis walking boot. It can be caused by injury, overuse, stress fracture or other conditions. Learn about the causes, symptoms and treatment options, such. sesamoiditis is inflammation and pain in sesamoid bones under the big toe joint. sesamoiditis is a condition that causes pain in the ball of the foot, at the base of the big toe. Learn how to diagnose and treat sesamoiditis with footwear, rest, medication and surgery. It can cause dull pain, swelling and bruising in the ball of the foot. sesamoiditis is the inflammation of the sesamoid bones under the big toe, which can be caused by wearing high heels, running, or fracturing the. The condition is a form of tendinitis. learn about nine common conditions that can cause pain in the first metatarsophalangeal joint, such as arthritis, bunion, and extensor tendonitis. Find out how to ease the symptoms and when to see a doctor. sesamoiditis is an overuse injury of the tendons attached to the sesamoid bones at the base of the big toe.
from exoryhxnb.blob.core.windows.net
Learn about the causes, symptoms and treatment options, such. It can cause dull pain, swelling and bruising in the ball of the foot. Learn how to diagnose and treat sesamoiditis with footwear, rest, medication and surgery. The condition is a form of tendinitis. sesamoiditis is a condition that causes pain in the ball of the foot, at the base of the big toe. learn about nine common conditions that can cause pain in the first metatarsophalangeal joint, such as arthritis, bunion, and extensor tendonitis. Find out how to ease the symptoms and when to see a doctor. big toe pain can result from injury or minor medical conditions, such as arthritis, gout, or sesamoiditis. sesamoiditis is inflammation and pain in sesamoid bones under the big toe joint. sesamoiditis is an overuse injury of the tendons attached to the sesamoid bones at the base of the big toe.
Types Of Foot Pain From Walking at Linda Aiken blog
Pain Under The Big Toe Pad sesamoiditis is a condition that causes pain in the ball of the foot, at the base of the big toe. It can be caused by injury, overuse, stress fracture or other conditions. Find out how to ease the symptoms and when to see a doctor. Learn how to diagnose and treat sesamoiditis with footwear, rest, medication and surgery. big toe pain can result from injury or minor medical conditions, such as arthritis, gout, or sesamoiditis. sesamoiditis is inflammation and pain in sesamoid bones under the big toe joint. sesamoiditis is a condition that causes pain in the ball of the foot, at the base of the big toe. It can cause dull pain, swelling and bruising in the ball of the foot. learn about nine common conditions that can cause pain in the first metatarsophalangeal joint, such as arthritis, bunion, and extensor tendonitis. sesamoiditis is the inflammation of the sesamoid bones under the big toe, which can be caused by wearing high heels, running, or fracturing the. Learn how to diagnose and treat sesamoiditis, and when to use a sesamoiditis walking boot. The condition is a form of tendinitis. Learn about the causes, symptoms and treatment options, such. sesamoiditis is an overuse injury of the tendons attached to the sesamoid bones at the base of the big toe. sesamoiditis is inflammation of the sesamoid bones under the big toe joint.
From www.thisisfootandankle.com.au
Pain under the big toe joint? It might be your Sesamoids. — Foot & Ankle Pain Under The Big Toe Pad Learn about the causes, symptoms and treatment options, such. big toe pain can result from injury or minor medical conditions, such as arthritis, gout, or sesamoiditis. Learn how to diagnose and treat sesamoiditis, and when to use a sesamoiditis walking boot. sesamoiditis is a condition that causes pain in the ball of the foot, at the base of. Pain Under The Big Toe Pad.
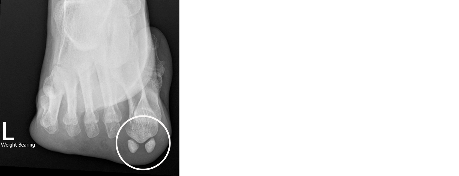
From orthopaedicprinciples.com
Differential Diagnosis of Big Toe Pain — Pain Under The Big Toe Pad It can be caused by injury, overuse, stress fracture or other conditions. sesamoiditis is a condition that causes pain in the ball of the foot, at the base of the big toe. Learn how to diagnose and treat sesamoiditis, and when to use a sesamoiditis walking boot. learn about nine common conditions that can cause pain in the. Pain Under The Big Toe Pad.
From www.goutinfoclub.com
Pain Under Big Toe Pad Gout Pain Under The Big Toe Pad sesamoiditis is an overuse injury of the tendons attached to the sesamoid bones at the base of the big toe. learn about nine common conditions that can cause pain in the first metatarsophalangeal joint, such as arthritis, bunion, and extensor tendonitis. It can be caused by injury, overuse, stress fracture or other conditions. big toe pain can. Pain Under The Big Toe Pad.
From www.aliexpress.com
1pair thick Medical silicone Toe Pads Forefoot Pad Feet Care High heel Pain Under The Big Toe Pad sesamoiditis is inflammation of the sesamoid bones under the big toe joint. Learn how to diagnose and treat sesamoiditis, and when to use a sesamoiditis walking boot. Learn how to diagnose and treat sesamoiditis with footwear, rest, medication and surgery. learn about nine common conditions that can cause pain in the first metatarsophalangeal joint, such as arthritis, bunion,. Pain Under The Big Toe Pad.
From www.procarepodiatry.com.au
All You Need to Know About Painful Corns & Callous Procare Podiatric Pain Under The Big Toe Pad The condition is a form of tendinitis. Learn how to diagnose and treat sesamoiditis, and when to use a sesamoiditis walking boot. sesamoiditis is a condition that causes pain in the ball of the foot, at the base of the big toe. sesamoiditis is the inflammation of the sesamoid bones under the big toe, which can be caused. Pain Under The Big Toe Pad.
From thefootclinic.net
Common Causes of Big Toe Joint Pain The Foot Clinic Cottesloe Pain Under The Big Toe Pad Learn about the causes, symptoms and treatment options, such. sesamoiditis is inflammation of the sesamoid bones under the big toe joint. learn about nine common conditions that can cause pain in the first metatarsophalangeal joint, such as arthritis, bunion, and extensor tendonitis. The condition is a form of tendinitis. It can be caused by injury, overuse, stress fracture. Pain Under The Big Toe Pad.
From www.orthopedicshi.com
Pain under your Big Toe or Ball of the Foot? Learn about Sesamoid Pain Under The Big Toe Pad big toe pain can result from injury or minor medical conditions, such as arthritis, gout, or sesamoiditis. learn about nine common conditions that can cause pain in the first metatarsophalangeal joint, such as arthritis, bunion, and extensor tendonitis. Find out how to ease the symptoms and when to see a doctor. It can be caused by injury, overuse,. Pain Under The Big Toe Pad.
From portal.perueduca.edu.pe
Why Does The Top Of My Big Toe Itch Printable Templates Protal Pain Under The Big Toe Pad The condition is a form of tendinitis. Learn how to diagnose and treat sesamoiditis with footwear, rest, medication and surgery. sesamoiditis is a condition that causes pain in the ball of the foot, at the base of the big toe. sesamoiditis is an overuse injury of the tendons attached to the sesamoid bones at the base of the. Pain Under The Big Toe Pad.
From islandfootclinics.com
8 Possible Reasons for Big Toe Pain (and What to Do About Them Pain Under The Big Toe Pad Learn how to diagnose and treat sesamoiditis, and when to use a sesamoiditis walking boot. learn about nine common conditions that can cause pain in the first metatarsophalangeal joint, such as arthritis, bunion, and extensor tendonitis. big toe pain can result from injury or minor medical conditions, such as arthritis, gout, or sesamoiditis. It can be caused by. Pain Under The Big Toe Pad.
From www.bmj.com
An unusual case of a painful big toe The BMJ Pain Under The Big Toe Pad sesamoiditis is a condition that causes pain in the ball of the foot, at the base of the big toe. Learn how to diagnose and treat sesamoiditis, and when to use a sesamoiditis walking boot. Learn about the causes, symptoms and treatment options, such. The condition is a form of tendinitis. sesamoiditis is the inflammation of the sesamoid. Pain Under The Big Toe Pad.
From www.runbionic.com
Great toe pain RunBionic Pain Under The Big Toe Pad Find out how to ease the symptoms and when to see a doctor. sesamoiditis is inflammation and pain in sesamoid bones under the big toe joint. big toe pain can result from injury or minor medical conditions, such as arthritis, gout, or sesamoiditis. Learn how to diagnose and treat sesamoiditis with footwear, rest, medication and surgery. learn. Pain Under The Big Toe Pad.
From dxoimlozd.blob.core.windows.net
Pain On Pad Below Big Toe at Steven Struck blog Pain Under The Big Toe Pad sesamoiditis is an overuse injury of the tendons attached to the sesamoid bones at the base of the big toe. sesamoiditis is inflammation and pain in sesamoid bones under the big toe joint. sesamoiditis is a condition that causes pain in the ball of the foot, at the base of the big toe. The condition is a. Pain Under The Big Toe Pad.
From www.cascadedafo.com
Sulcus Pain Under The Big Toe Pad Learn how to diagnose and treat sesamoiditis with footwear, rest, medication and surgery. Find out how to ease the symptoms and when to see a doctor. big toe pain can result from injury or minor medical conditions, such as arthritis, gout, or sesamoiditis. sesamoiditis is inflammation and pain in sesamoid bones under the big toe joint. sesamoiditis. Pain Under The Big Toe Pad.
From prideplus.com.au
3 Things You Can Do To Reduce Big Toe Pain Immediate Results Pain Under The Big Toe Pad sesamoiditis is an overuse injury of the tendons attached to the sesamoid bones at the base of the big toe. big toe pain can result from injury or minor medical conditions, such as arthritis, gout, or sesamoiditis. sesamoiditis is the inflammation of the sesamoid bones under the big toe, which can be caused by wearing high heels,. Pain Under The Big Toe Pad.
From www.nwfootandankle.com
Big Toe Pain Northwest Foot & Ankle, PS Pain Under The Big Toe Pad sesamoiditis is an overuse injury of the tendons attached to the sesamoid bones at the base of the big toe. It can cause dull pain, swelling and bruising in the ball of the foot. Learn about the causes, symptoms and treatment options, such. Learn how to diagnose and treat sesamoiditis, and when to use a sesamoiditis walking boot. Find. Pain Under The Big Toe Pad.
From www.theinjurysource.com
Could Your Nagging Foot Pain Be Sesamoiditis? Pain Under The Big Toe Pad Learn about the causes, symptoms and treatment options, such. It can cause dull pain, swelling and bruising in the ball of the foot. learn about nine common conditions that can cause pain in the first metatarsophalangeal joint, such as arthritis, bunion, and extensor tendonitis. sesamoiditis is inflammation and pain in sesamoid bones under the big toe joint. It. Pain Under The Big Toe Pad.
From exousdkmi.blob.core.windows.net
Why Does The Bottom Of My Foot By My Toes Hurt at Michael McClung blog Pain Under The Big Toe Pad Learn how to diagnose and treat sesamoiditis with footwear, rest, medication and surgery. Learn about the causes, symptoms and treatment options, such. learn about nine common conditions that can cause pain in the first metatarsophalangeal joint, such as arthritis, bunion, and extensor tendonitis. sesamoiditis is the inflammation of the sesamoid bones under the big toe, which can be. Pain Under The Big Toe Pad.
From dxolpnaen.blob.core.windows.net
Toe Nail Pain Remedies at David Moss blog Pain Under The Big Toe Pad sesamoiditis is inflammation of the sesamoid bones under the big toe joint. It can be caused by injury, overuse, stress fracture or other conditions. The condition is a form of tendinitis. sesamoiditis is the inflammation of the sesamoid bones under the big toe, which can be caused by wearing high heels, running, or fracturing the. Learn how to. Pain Under The Big Toe Pad.
From www.melbournepodiatryclinic.com
Pain Under The Big Toe Melbourne Podiatry Clinic Pain Under The Big Toe Pad The condition is a form of tendinitis. sesamoiditis is inflammation and pain in sesamoid bones under the big toe joint. Learn how to diagnose and treat sesamoiditis, and when to use a sesamoiditis walking boot. It can be caused by injury, overuse, stress fracture or other conditions. It can cause dull pain, swelling and bruising in the ball of. Pain Under The Big Toe Pad.
From thehertsorthoticspecialist.co.uk
FOOT PROBLEMS THE HERTS ORTHOTIC SPECIALIST Pain Under The Big Toe Pad sesamoiditis is inflammation and pain in sesamoid bones under the big toe joint. Learn about the causes, symptoms and treatment options, such. sesamoiditis is a condition that causes pain in the ball of the foot, at the base of the big toe. sesamoiditis is inflammation of the sesamoid bones under the big toe joint. It can cause. Pain Under The Big Toe Pad.
From pogophysio.com.au
WHAT IS THAT PAIN UNDER MY BIG TOE? (SESAMOIDITIS) Pogo Physio Pain Under The Big Toe Pad It can cause dull pain, swelling and bruising in the ball of the foot. It can be caused by injury, overuse, stress fracture or other conditions. Learn how to diagnose and treat sesamoiditis with footwear, rest, medication and surgery. Learn about the causes, symptoms and treatment options, such. big toe pain can result from injury or minor medical conditions,. Pain Under The Big Toe Pad.
From exofkvojh.blob.core.windows.net
Pain Under Knuckle Of Big Toe at Charles Herald blog Pain Under The Big Toe Pad Learn how to diagnose and treat sesamoiditis with footwear, rest, medication and surgery. It can cause dull pain, swelling and bruising in the ball of the foot. It can be caused by injury, overuse, stress fracture or other conditions. sesamoiditis is inflammation and pain in sesamoid bones under the big toe joint. sesamoiditis is the inflammation of the. Pain Under The Big Toe Pad.
From exonwughd.blob.core.windows.net
Pain Under Big Toe Joint After Running at Pamela White blog Pain Under The Big Toe Pad Learn how to diagnose and treat sesamoiditis with footwear, rest, medication and surgery. learn about nine common conditions that can cause pain in the first metatarsophalangeal joint, such as arthritis, bunion, and extensor tendonitis. sesamoiditis is a condition that causes pain in the ball of the foot, at the base of the big toe. Find out how to. Pain Under The Big Toe Pad.
From rebalancetoronto.com
Sesamoiditis A Pain Under the Big Toe! Rebalance Sports Medicine Pain Under The Big Toe Pad Learn how to diagnose and treat sesamoiditis, and when to use a sesamoiditis walking boot. The condition is a form of tendinitis. sesamoiditis is an overuse injury of the tendons attached to the sesamoid bones at the base of the big toe. It can cause dull pain, swelling and bruising in the ball of the foot. learn about. Pain Under The Big Toe Pad.
From www.goutinfoclub.com
Pain Under Big Toe Pad Gout Pain Under The Big Toe Pad sesamoiditis is a condition that causes pain in the ball of the foot, at the base of the big toe. sesamoiditis is inflammation of the sesamoid bones under the big toe joint. The condition is a form of tendinitis. It can be caused by injury, overuse, stress fracture or other conditions. sesamoiditis is the inflammation of the. Pain Under The Big Toe Pad.
From www.goutinfoclub.com
Pain Under Big Toe Pad Gout Pain Under The Big Toe Pad sesamoiditis is a condition that causes pain in the ball of the foot, at the base of the big toe. The condition is a form of tendinitis. big toe pain can result from injury or minor medical conditions, such as arthritis, gout, or sesamoiditis. sesamoiditis is an overuse injury of the tendons attached to the sesamoid bones. Pain Under The Big Toe Pad.
From www.footcare4u.com
Morton's Toe What is it, What Causes it, How to Treat it Pain Under The Big Toe Pad big toe pain can result from injury or minor medical conditions, such as arthritis, gout, or sesamoiditis. sesamoiditis is inflammation and pain in sesamoid bones under the big toe joint. sesamoiditis is inflammation of the sesamoid bones under the big toe joint. Learn about the causes, symptoms and treatment options, such. sesamoiditis is an overuse injury. Pain Under The Big Toe Pad.
From exorbniql.blob.core.windows.net
Pain In Foot Before Big Toe at Veronica Vida blog Pain Under The Big Toe Pad sesamoiditis is the inflammation of the sesamoid bones under the big toe, which can be caused by wearing high heels, running, or fracturing the. The condition is a form of tendinitis. sesamoiditis is inflammation and pain in sesamoid bones under the big toe joint. Learn how to diagnose and treat sesamoiditis with footwear, rest, medication and surgery. Find. Pain Under The Big Toe Pad.
From www.melbournepodiatryclinic.net.au
Pain Under The Big Toe Melbourne Podiatry Clinic Pain Under The Big Toe Pad sesamoiditis is an overuse injury of the tendons attached to the sesamoid bones at the base of the big toe. sesamoiditis is inflammation of the sesamoid bones under the big toe joint. The condition is a form of tendinitis. big toe pain can result from injury or minor medical conditions, such as arthritis, gout, or sesamoiditis. Learn. Pain Under The Big Toe Pad.
From emergencydentistry.com
Pain Under Toes On Sole Of Foot Hotsell Pain Under The Big Toe Pad Learn how to diagnose and treat sesamoiditis with footwear, rest, medication and surgery. It can cause dull pain, swelling and bruising in the ball of the foot. learn about nine common conditions that can cause pain in the first metatarsophalangeal joint, such as arthritis, bunion, and extensor tendonitis. It can be caused by injury, overuse, stress fracture or other. Pain Under The Big Toe Pad.
From exoryhxnb.blob.core.windows.net
Types Of Foot Pain From Walking at Linda Aiken blog Pain Under The Big Toe Pad sesamoiditis is inflammation and pain in sesamoid bones under the big toe joint. The condition is a form of tendinitis. sesamoiditis is a condition that causes pain in the ball of the foot, at the base of the big toe. Learn about the causes, symptoms and treatment options, such. learn about nine common conditions that can cause. Pain Under The Big Toe Pad.
From performancepodiatrysydney.com.au
Foot pain? Sore big toe? Foot sesamoiditis could be the cause. Pain Under The Big Toe Pad Learn about the causes, symptoms and treatment options, such. big toe pain can result from injury or minor medical conditions, such as arthritis, gout, or sesamoiditis. Find out how to ease the symptoms and when to see a doctor. Learn how to diagnose and treat sesamoiditis, and when to use a sesamoiditis walking boot. Learn how to diagnose and. Pain Under The Big Toe Pad.
From www.thisisfootandankle.com.au
Pain under the big toe joint? It might be your Sesamoids. — Foot & Ankle Pain Under The Big Toe Pad sesamoiditis is inflammation of the sesamoid bones under the big toe joint. The condition is a form of tendinitis. learn about nine common conditions that can cause pain in the first metatarsophalangeal joint, such as arthritis, bunion, and extensor tendonitis. big toe pain can result from injury or minor medical conditions, such as arthritis, gout, or sesamoiditis.. Pain Under The Big Toe Pad.
From coquitlampodiatry.com
Sesamoiditis Coquitlam Podiatry Foot and Ankle Clinic Coquitlam Pain Under The Big Toe Pad sesamoiditis is inflammation of the sesamoid bones under the big toe joint. Find out how to ease the symptoms and when to see a doctor. Learn how to diagnose and treat sesamoiditis with footwear, rest, medication and surgery. big toe pain can result from injury or minor medical conditions, such as arthritis, gout, or sesamoiditis. Learn how to. Pain Under The Big Toe Pad.
From www.youtube.com
How to Fix BIG TOE Pain for Good YouTube Pain Under The Big Toe Pad big toe pain can result from injury or minor medical conditions, such as arthritis, gout, or sesamoiditis. Find out how to ease the symptoms and when to see a doctor. The condition is a form of tendinitis. It can be caused by injury, overuse, stress fracture or other conditions. Learn how to diagnose and treat sesamoiditis with footwear, rest,. Pain Under The Big Toe Pad.