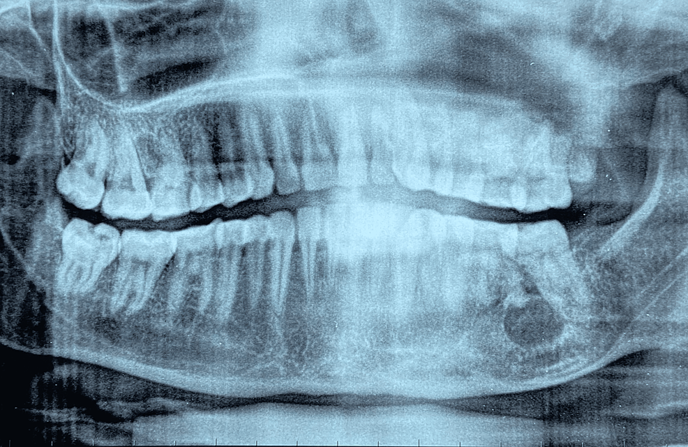
Maxillary Odontogenic Keratocyst . — the odontogenic keratocyst (okc) is one of the most aggressive odontogenic cysts. odontogenic keratocysts (okc), previously known as keratocystic odontogenic tumors (kcot or kot), are rare benign cystic lesions involving the mandible or. The main difference between okcs and other jaw cysts. — an odontogenic keratocyst (okc) is a benign but aggressive intraosseous tumor derived from the. — odontogenic keratocysts (okcs), first described by philipsen in 1956 [1], are benign intraosseous lesions of. figure 5 odontogenic keratocyst between roots of right maxillary incisors (circled by white dots). — odontogenic keratocysts (okc), previously known as keratocystic odontogenic tumours (kcot or kot), are. — the odontogenic keratocyst (okc) is one of the most aggressive odontogenic cysts.
from www.semanticscholar.org
— odontogenic keratocysts (okcs), first described by philipsen in 1956 [1], are benign intraosseous lesions of. figure 5 odontogenic keratocyst between roots of right maxillary incisors (circled by white dots). The main difference between okcs and other jaw cysts. — an odontogenic keratocyst (okc) is a benign but aggressive intraosseous tumor derived from the. odontogenic keratocysts (okc), previously known as keratocystic odontogenic tumors (kcot or kot), are rare benign cystic lesions involving the mandible or. — the odontogenic keratocyst (okc) is one of the most aggressive odontogenic cysts. — odontogenic keratocysts (okc), previously known as keratocystic odontogenic tumours (kcot or kot), are. — the odontogenic keratocyst (okc) is one of the most aggressive odontogenic cysts.
Figure 1 from Odontogenic Keratocyst of the Maxillary Sinus Semantic
Maxillary Odontogenic Keratocyst The main difference between okcs and other jaw cysts. — an odontogenic keratocyst (okc) is a benign but aggressive intraosseous tumor derived from the. The main difference between okcs and other jaw cysts. — odontogenic keratocysts (okc), previously known as keratocystic odontogenic tumours (kcot or kot), are. — the odontogenic keratocyst (okc) is one of the most aggressive odontogenic cysts. — the odontogenic keratocyst (okc) is one of the most aggressive odontogenic cysts. — odontogenic keratocysts (okcs), first described by philipsen in 1956 [1], are benign intraosseous lesions of. odontogenic keratocysts (okc), previously known as keratocystic odontogenic tumors (kcot or kot), are rare benign cystic lesions involving the mandible or. figure 5 odontogenic keratocyst between roots of right maxillary incisors (circled by white dots).
From www.artofit.org
Maxillary odontogenic keratocyst Artofit Maxillary Odontogenic Keratocyst — the odontogenic keratocyst (okc) is one of the most aggressive odontogenic cysts. odontogenic keratocysts (okc), previously known as keratocystic odontogenic tumors (kcot or kot), are rare benign cystic lesions involving the mandible or. figure 5 odontogenic keratocyst between roots of right maxillary incisors (circled by white dots). — an odontogenic keratocyst (okc) is a benign. Maxillary Odontogenic Keratocyst.
From www.researchgate.net
Sagittal CT showing a maxillary odontogenic keratocyst. Note the Maxillary Odontogenic Keratocyst — odontogenic keratocysts (okcs), first described by philipsen in 1956 [1], are benign intraosseous lesions of. figure 5 odontogenic keratocyst between roots of right maxillary incisors (circled by white dots). — an odontogenic keratocyst (okc) is a benign but aggressive intraosseous tumor derived from the. — the odontogenic keratocyst (okc) is one of the most aggressive. Maxillary Odontogenic Keratocyst.
From www.cureus.com
Odontogenic Keratocyst Presented as MultiLocular Radiolucency in Maxillary Odontogenic Keratocyst odontogenic keratocysts (okc), previously known as keratocystic odontogenic tumors (kcot or kot), are rare benign cystic lesions involving the mandible or. figure 5 odontogenic keratocyst between roots of right maxillary incisors (circled by white dots). — the odontogenic keratocyst (okc) is one of the most aggressive odontogenic cysts. — an odontogenic keratocyst (okc) is a benign. Maxillary Odontogenic Keratocyst.
From www.oatext.com
Keratocystic odontogenic tumor in the maxillary sinus A case report Maxillary Odontogenic Keratocyst — odontogenic keratocysts (okcs), first described by philipsen in 1956 [1], are benign intraosseous lesions of. figure 5 odontogenic keratocyst between roots of right maxillary incisors (circled by white dots). — an odontogenic keratocyst (okc) is a benign but aggressive intraosseous tumor derived from the. — the odontogenic keratocyst (okc) is one of the most aggressive. Maxillary Odontogenic Keratocyst.
From exodontia.info
Odontogenic Keratocyst (OKC) Exodontia Maxillary Odontogenic Keratocyst — the odontogenic keratocyst (okc) is one of the most aggressive odontogenic cysts. — odontogenic keratocysts (okc), previously known as keratocystic odontogenic tumours (kcot or kot), are. figure 5 odontogenic keratocyst between roots of right maxillary incisors (circled by white dots). — an odontogenic keratocyst (okc) is a benign but aggressive intraosseous tumor derived from the.. Maxillary Odontogenic Keratocyst.
From www.semanticscholar.org
[PDF] A Large Odontogenic Keratocyst Containing A Third Molar Tooth in Maxillary Odontogenic Keratocyst — odontogenic keratocysts (okcs), first described by philipsen in 1956 [1], are benign intraosseous lesions of. — the odontogenic keratocyst (okc) is one of the most aggressive odontogenic cysts. figure 5 odontogenic keratocyst between roots of right maxillary incisors (circled by white dots). The main difference between okcs and other jaw cysts. odontogenic keratocysts (okc), previously. Maxillary Odontogenic Keratocyst.
From www.semanticscholar.org
Figure 1 from Odontogenic Keratocyst of the Maxillary Sinus Semantic Maxillary Odontogenic Keratocyst — the odontogenic keratocyst (okc) is one of the most aggressive odontogenic cysts. odontogenic keratocysts (okc), previously known as keratocystic odontogenic tumors (kcot or kot), are rare benign cystic lesions involving the mandible or. — an odontogenic keratocyst (okc) is a benign but aggressive intraosseous tumor derived from the. — odontogenic keratocysts (okcs), first described by. Maxillary Odontogenic Keratocyst.
From www.oatext.com
Keratocystic odontogenic tumor in the maxillary sinus A case report Maxillary Odontogenic Keratocyst The main difference between okcs and other jaw cysts. — the odontogenic keratocyst (okc) is one of the most aggressive odontogenic cysts. — odontogenic keratocysts (okcs), first described by philipsen in 1956 [1], are benign intraosseous lesions of. — an odontogenic keratocyst (okc) is a benign but aggressive intraosseous tumor derived from the. — odontogenic keratocysts. Maxillary Odontogenic Keratocyst.
From www.researchgate.net
Axial CT showed an odontogenic keratocyst occupying the right maxillary Maxillary Odontogenic Keratocyst The main difference between okcs and other jaw cysts. — the odontogenic keratocyst (okc) is one of the most aggressive odontogenic cysts. figure 5 odontogenic keratocyst between roots of right maxillary incisors (circled by white dots). — odontogenic keratocysts (okcs), first described by philipsen in 1956 [1], are benign intraosseous lesions of. — the odontogenic keratocyst. Maxillary Odontogenic Keratocyst.
From www.researchgate.net
Radiographic image of odontogenic keratocyst (OKC) (A) patient with an Maxillary Odontogenic Keratocyst figure 5 odontogenic keratocyst between roots of right maxillary incisors (circled by white dots). — odontogenic keratocysts (okcs), first described by philipsen in 1956 [1], are benign intraosseous lesions of. odontogenic keratocysts (okc), previously known as keratocystic odontogenic tumors (kcot or kot), are rare benign cystic lesions involving the mandible or. — odontogenic keratocysts (okc), previously. Maxillary Odontogenic Keratocyst.
From www.cureus.com
Cureus An Unusual Case of Maxillary Sinus Odontogenic Keratocyst An Maxillary Odontogenic Keratocyst figure 5 odontogenic keratocyst between roots of right maxillary incisors (circled by white dots). — an odontogenic keratocyst (okc) is a benign but aggressive intraosseous tumor derived from the. — the odontogenic keratocyst (okc) is one of the most aggressive odontogenic cysts. — odontogenic keratocysts (okc), previously known as keratocystic odontogenic tumours (kcot or kot), are.. Maxillary Odontogenic Keratocyst.
From www.intechopen.com
Treatment Approaches for Odontogenic Cysts of the Maxillary Sinus Maxillary Odontogenic Keratocyst figure 5 odontogenic keratocyst between roots of right maxillary incisors (circled by white dots). — odontogenic keratocysts (okc), previously known as keratocystic odontogenic tumours (kcot or kot), are. — an odontogenic keratocyst (okc) is a benign but aggressive intraosseous tumor derived from the. — the odontogenic keratocyst (okc) is one of the most aggressive odontogenic cysts.. Maxillary Odontogenic Keratocyst.
From www.pinterest.it
Maxillary odontogenic keratocyst Radiology Case Maxillary Odontogenic Keratocyst — an odontogenic keratocyst (okc) is a benign but aggressive intraosseous tumor derived from the. — the odontogenic keratocyst (okc) is one of the most aggressive odontogenic cysts. odontogenic keratocysts (okc), previously known as keratocystic odontogenic tumors (kcot or kot), are rare benign cystic lesions involving the mandible or. The main difference between okcs and other jaw. Maxillary Odontogenic Keratocyst.
From jada.ada.org
Maxillary odontogenic keratocyst The Journal of the American Dental Maxillary Odontogenic Keratocyst — odontogenic keratocysts (okcs), first described by philipsen in 1956 [1], are benign intraosseous lesions of. — the odontogenic keratocyst (okc) is one of the most aggressive odontogenic cysts. — odontogenic keratocysts (okc), previously known as keratocystic odontogenic tumours (kcot or kot), are. odontogenic keratocysts (okc), previously known as keratocystic odontogenic tumors (kcot or kot), are. Maxillary Odontogenic Keratocyst.
From ar.inspiredpencil.com
Odontogenic Keratocyst Radiology Maxillary Odontogenic Keratocyst — odontogenic keratocysts (okcs), first described by philipsen in 1956 [1], are benign intraosseous lesions of. The main difference between okcs and other jaw cysts. odontogenic keratocysts (okc), previously known as keratocystic odontogenic tumors (kcot or kot), are rare benign cystic lesions involving the mandible or. — odontogenic keratocysts (okc), previously known as keratocystic odontogenic tumours (kcot. Maxillary Odontogenic Keratocyst.
From www.pinterest.com
Maxillary odontogenic keratocyst Radiology Case Maxillary Odontogenic Keratocyst figure 5 odontogenic keratocyst between roots of right maxillary incisors (circled by white dots). — the odontogenic keratocyst (okc) is one of the most aggressive odontogenic cysts. — the odontogenic keratocyst (okc) is one of the most aggressive odontogenic cysts. The main difference between okcs and other jaw cysts. — odontogenic keratocysts (okcs), first described by. Maxillary Odontogenic Keratocyst.
From healthjade.net
Odontogenic keratocyst, definition, causes, symptoms, diagnosis Maxillary Odontogenic Keratocyst — odontogenic keratocysts (okcs), first described by philipsen in 1956 [1], are benign intraosseous lesions of. odontogenic keratocysts (okc), previously known as keratocystic odontogenic tumors (kcot or kot), are rare benign cystic lesions involving the mandible or. figure 5 odontogenic keratocyst between roots of right maxillary incisors (circled by white dots). — the odontogenic keratocyst (okc). Maxillary Odontogenic Keratocyst.
From www.semanticscholar.org
[PDF] A Large Odontogenic Keratocyst Containing A Third Molar Tooth in Maxillary Odontogenic Keratocyst — odontogenic keratocysts (okc), previously known as keratocystic odontogenic tumours (kcot or kot), are. odontogenic keratocysts (okc), previously known as keratocystic odontogenic tumors (kcot or kot), are rare benign cystic lesions involving the mandible or. The main difference between okcs and other jaw cysts. figure 5 odontogenic keratocyst between roots of right maxillary incisors (circled by white. Maxillary Odontogenic Keratocyst.
From www.semanticscholar.org
[PDF] A Large Odontogenic Keratocyst Containing A Third Molar Tooth in Maxillary Odontogenic Keratocyst The main difference between okcs and other jaw cysts. figure 5 odontogenic keratocyst between roots of right maxillary incisors (circled by white dots). — odontogenic keratocysts (okcs), first described by philipsen in 1956 [1], are benign intraosseous lesions of. — the odontogenic keratocyst (okc) is one of the most aggressive odontogenic cysts. — the odontogenic keratocyst. Maxillary Odontogenic Keratocyst.
From radiopaedia.org
Odontogenic keratocyst maxilla Image Maxillary Odontogenic Keratocyst The main difference between okcs and other jaw cysts. — odontogenic keratocysts (okcs), first described by philipsen in 1956 [1], are benign intraosseous lesions of. — the odontogenic keratocyst (okc) is one of the most aggressive odontogenic cysts. odontogenic keratocysts (okc), previously known as keratocystic odontogenic tumors (kcot or kot), are rare benign cystic lesions involving the. Maxillary Odontogenic Keratocyst.
From www.pathologyoutlines.com
Pathology Outlines Odontogenic keratocyst Maxillary Odontogenic Keratocyst — an odontogenic keratocyst (okc) is a benign but aggressive intraosseous tumor derived from the. — the odontogenic keratocyst (okc) is one of the most aggressive odontogenic cysts. The main difference between okcs and other jaw cysts. — the odontogenic keratocyst (okc) is one of the most aggressive odontogenic cysts. odontogenic keratocysts (okc), previously known as. Maxillary Odontogenic Keratocyst.
From www.cureus.com
Cureus An Unusual Case of Maxillary Sinus Odontogenic Keratocyst An Maxillary Odontogenic Keratocyst — odontogenic keratocysts (okc), previously known as keratocystic odontogenic tumours (kcot or kot), are. The main difference between okcs and other jaw cysts. figure 5 odontogenic keratocyst between roots of right maxillary incisors (circled by white dots). — odontogenic keratocysts (okcs), first described by philipsen in 1956 [1], are benign intraosseous lesions of. — the odontogenic. Maxillary Odontogenic Keratocyst.
From jada.ada.org
Maxillary odontogenic keratocyst The Journal of the American Dental Maxillary Odontogenic Keratocyst — an odontogenic keratocyst (okc) is a benign but aggressive intraosseous tumor derived from the. The main difference between okcs and other jaw cysts. — the odontogenic keratocyst (okc) is one of the most aggressive odontogenic cysts. figure 5 odontogenic keratocyst between roots of right maxillary incisors (circled by white dots). — odontogenic keratocysts (okcs), first. Maxillary Odontogenic Keratocyst.
From www.artofit.org
Maxillary odontogenic keratocyst Artofit Maxillary Odontogenic Keratocyst — an odontogenic keratocyst (okc) is a benign but aggressive intraosseous tumor derived from the. — odontogenic keratocysts (okc), previously known as keratocystic odontogenic tumours (kcot or kot), are. — the odontogenic keratocyst (okc) is one of the most aggressive odontogenic cysts. — odontogenic keratocysts (okcs), first described by philipsen in 1956 [1], are benign intraosseous. Maxillary Odontogenic Keratocyst.
From commons.wikimedia.org
FileClassic keratocystic odontogenic tumour.jpg Wikimedia Commons Maxillary Odontogenic Keratocyst — the odontogenic keratocyst (okc) is one of the most aggressive odontogenic cysts. — an odontogenic keratocyst (okc) is a benign but aggressive intraosseous tumor derived from the. odontogenic keratocysts (okc), previously known as keratocystic odontogenic tumors (kcot or kot), are rare benign cystic lesions involving the mandible or. figure 5 odontogenic keratocyst between roots of. Maxillary Odontogenic Keratocyst.
From www.artofit.org
Maxillary odontogenic keratocyst Artofit Maxillary Odontogenic Keratocyst — odontogenic keratocysts (okcs), first described by philipsen in 1956 [1], are benign intraosseous lesions of. figure 5 odontogenic keratocyst between roots of right maxillary incisors (circled by white dots). — an odontogenic keratocyst (okc) is a benign but aggressive intraosseous tumor derived from the. odontogenic keratocysts (okc), previously known as keratocystic odontogenic tumors (kcot or. Maxillary Odontogenic Keratocyst.
From ar.inspiredpencil.com
Odontogenic Keratocyst Radiology Maxillary Odontogenic Keratocyst — the odontogenic keratocyst (okc) is one of the most aggressive odontogenic cysts. The main difference between okcs and other jaw cysts. — odontogenic keratocysts (okcs), first described by philipsen in 1956 [1], are benign intraosseous lesions of. — an odontogenic keratocyst (okc) is a benign but aggressive intraosseous tumor derived from the. figure 5 odontogenic. Maxillary Odontogenic Keratocyst.
From www.researchgate.net
(PDF) Maxillary Odontogenic Keratocyst Maxillary Odontogenic Keratocyst — the odontogenic keratocyst (okc) is one of the most aggressive odontogenic cysts. figure 5 odontogenic keratocyst between roots of right maxillary incisors (circled by white dots). — an odontogenic keratocyst (okc) is a benign but aggressive intraosseous tumor derived from the. The main difference between okcs and other jaw cysts. — odontogenic keratocysts (okc), previously. Maxillary Odontogenic Keratocyst.
From docslib.org
Maxillary Odontogenic Keratocyst Masquerading a Periapical Cyst DocsLib Maxillary Odontogenic Keratocyst — odontogenic keratocysts (okcs), first described by philipsen in 1956 [1], are benign intraosseous lesions of. figure 5 odontogenic keratocyst between roots of right maxillary incisors (circled by white dots). — odontogenic keratocysts (okc), previously known as keratocystic odontogenic tumours (kcot or kot), are. — the odontogenic keratocyst (okc) is one of the most aggressive odontogenic. Maxillary Odontogenic Keratocyst.
From www.semanticscholar.org
Figure 2 from Odontogenic Keratocyst of the Maxillary Sinus Semantic Maxillary Odontogenic Keratocyst — the odontogenic keratocyst (okc) is one of the most aggressive odontogenic cysts. — an odontogenic keratocyst (okc) is a benign but aggressive intraosseous tumor derived from the. — the odontogenic keratocyst (okc) is one of the most aggressive odontogenic cysts. — odontogenic keratocysts (okcs), first described by philipsen in 1956 [1], are benign intraosseous lesions. Maxillary Odontogenic Keratocyst.
From radiopaedia.org
Odontogenic keratocyst Image Maxillary Odontogenic Keratocyst — odontogenic keratocysts (okcs), first described by philipsen in 1956 [1], are benign intraosseous lesions of. — odontogenic keratocysts (okc), previously known as keratocystic odontogenic tumours (kcot or kot), are. odontogenic keratocysts (okc), previously known as keratocystic odontogenic tumors (kcot or kot), are rare benign cystic lesions involving the mandible or. The main difference between okcs and. Maxillary Odontogenic Keratocyst.
From www.researchgate.net
Axial CT showing an odontogenic keratocyst occupying the right Maxillary Odontogenic Keratocyst — odontogenic keratocysts (okc), previously known as keratocystic odontogenic tumours (kcot or kot), are. — odontogenic keratocysts (okcs), first described by philipsen in 1956 [1], are benign intraosseous lesions of. The main difference between okcs and other jaw cysts. — the odontogenic keratocyst (okc) is one of the most aggressive odontogenic cysts. figure 5 odontogenic keratocyst. Maxillary Odontogenic Keratocyst.
From www.researchgate.net
(PDF) Maxillary odontogenic keratocyst a clinical case report Maxillary Odontogenic Keratocyst — the odontogenic keratocyst (okc) is one of the most aggressive odontogenic cysts. odontogenic keratocysts (okc), previously known as keratocystic odontogenic tumors (kcot or kot), are rare benign cystic lesions involving the mandible or. — the odontogenic keratocyst (okc) is one of the most aggressive odontogenic cysts. — odontogenic keratocysts (okc), previously known as keratocystic odontogenic. Maxillary Odontogenic Keratocyst.
From www.cureus.com
Cureus An Unusually Large Parakeratinised Odontogenic Keratocyst in Maxillary Odontogenic Keratocyst figure 5 odontogenic keratocyst between roots of right maxillary incisors (circled by white dots). — the odontogenic keratocyst (okc) is one of the most aggressive odontogenic cysts. — odontogenic keratocysts (okcs), first described by philipsen in 1956 [1], are benign intraosseous lesions of. — the odontogenic keratocyst (okc) is one of the most aggressive odontogenic cysts.. Maxillary Odontogenic Keratocyst.
From healthjade.net
Odontogenic keratocyst, definition, causes, symptoms, diagnosis Maxillary Odontogenic Keratocyst — the odontogenic keratocyst (okc) is one of the most aggressive odontogenic cysts. — odontogenic keratocysts (okc), previously known as keratocystic odontogenic tumours (kcot or kot), are. figure 5 odontogenic keratocyst between roots of right maxillary incisors (circled by white dots). — an odontogenic keratocyst (okc) is a benign but aggressive intraosseous tumor derived from the.. Maxillary Odontogenic Keratocyst.