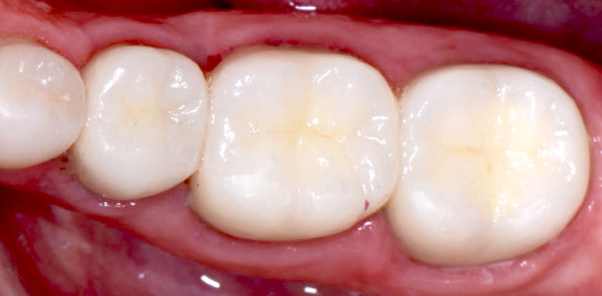
What Types Of Fillings Do Dentists Use . Primarily used to repair cavities caused by tooth decay, fillings restore the affected tooth’s integrity, function, and aesthetics. There are 4 types of dental fillings, each with unique advantages. What is a dental filling? Dental fillings treat cavities caused by decay and are. If you're worried about mercury poisoning from fillings and you want to know the benefits of amalgam fillings vs. Composite, you're in the right place. The four types of fillers commonly used are: The process involves removing the. Dental fillings are a type of restorative dental treatment that is used to repair tooth decay and fractures. To do this, dentists remove the. Teeth can be filled with gold; Dental fillings | types, benefits, and procedures at dental designs. Today, several dental filling materials are available.
from www.katebraymandds.com
The four types of fillers commonly used are: To do this, dentists remove the. What is a dental filling? Dental fillings | types, benefits, and procedures at dental designs. Dental fillings treat cavities caused by decay and are. There are 4 types of dental fillings, each with unique advantages. Today, several dental filling materials are available. Composite, you're in the right place. The process involves removing the. Dental fillings are a type of restorative dental treatment that is used to repair tooth decay and fractures.
5 Types of Dental Fillings Options for Tooth Fillings Kate Brayman DDS
What Types Of Fillings Do Dentists Use Dental fillings treat cavities caused by decay and are. Today, several dental filling materials are available. Dental fillings | types, benefits, and procedures at dental designs. To do this, dentists remove the. If you're worried about mercury poisoning from fillings and you want to know the benefits of amalgam fillings vs. There are 4 types of dental fillings, each with unique advantages. Primarily used to repair cavities caused by tooth decay, fillings restore the affected tooth’s integrity, function, and aesthetics. Composite, you're in the right place. Dental fillings are a type of restorative dental treatment that is used to repair tooth decay and fractures. Teeth can be filled with gold; The process involves removing the. The four types of fillers commonly used are: What is a dental filling? Dental fillings treat cavities caused by decay and are.
From www.interdent.com
Dental Fillings Types, Procedures & Aftercare What Types Of Fillings Do Dentists Use Primarily used to repair cavities caused by tooth decay, fillings restore the affected tooth’s integrity, function, and aesthetics. Composite, you're in the right place. Dental fillings are a type of restorative dental treatment that is used to repair tooth decay and fractures. The four types of fillers commonly used are: Today, several dental filling materials are available. Dental fillings |. What Types Of Fillings Do Dentists Use.
From www.katebraymandds.com
Types of Dental Fillings What Are Your Choices? Kate Brayman DDS What Types Of Fillings Do Dentists Use What is a dental filling? Dental fillings are a type of restorative dental treatment that is used to repair tooth decay and fractures. Today, several dental filling materials are available. Primarily used to repair cavities caused by tooth decay, fillings restore the affected tooth’s integrity, function, and aesthetics. To do this, dentists remove the. Composite, you're in the right place.. What Types Of Fillings Do Dentists Use.
From healthandwellnesscare.com
Types of Fillings Done by Dentists in Toronto Health And Wellness Care What Types Of Fillings Do Dentists Use The four types of fillers commonly used are: What is a dental filling? Teeth can be filled with gold; Dental fillings are a type of restorative dental treatment that is used to repair tooth decay and fractures. There are 4 types of dental fillings, each with unique advantages. To do this, dentists remove the. Composite, you're in the right place.. What Types Of Fillings Do Dentists Use.
From www.newyorktotaldental.com
Dental Fillings Midtown Manhattan New York Total Dental What Types Of Fillings Do Dentists Use Composite, you're in the right place. There are 4 types of dental fillings, each with unique advantages. The four types of fillers commonly used are: Teeth can be filled with gold; Dental fillings treat cavities caused by decay and are. Primarily used to repair cavities caused by tooth decay, fillings restore the affected tooth’s integrity, function, and aesthetics. The process. What Types Of Fillings Do Dentists Use.
From www.combertondental.co.uk
What Types of Fillings Do Dentists Use in the UK? What Types Of Fillings Do Dentists Use The four types of fillers commonly used are: Dental fillings treat cavities caused by decay and are. If you're worried about mercury poisoning from fillings and you want to know the benefits of amalgam fillings vs. Dental fillings | types, benefits, and procedures at dental designs. Primarily used to repair cavities caused by tooth decay, fillings restore the affected tooth’s. What Types Of Fillings Do Dentists Use.
From www.slideserve.com
PPT What Types Of Dental Fillings Do Dentists Use? PowerPoint What Types Of Fillings Do Dentists Use To do this, dentists remove the. What is a dental filling? Today, several dental filling materials are available. Composite, you're in the right place. If you're worried about mercury poisoning from fillings and you want to know the benefits of amalgam fillings vs. Primarily used to repair cavities caused by tooth decay, fillings restore the affected tooth’s integrity, function, and. What Types Of Fillings Do Dentists Use.
From skydental.co.in
Dental Fillings and its types of variations Sky Dental Hospital What Types Of Fillings Do Dentists Use If you're worried about mercury poisoning from fillings and you want to know the benefits of amalgam fillings vs. To do this, dentists remove the. Today, several dental filling materials are available. Primarily used to repair cavities caused by tooth decay, fillings restore the affected tooth’s integrity, function, and aesthetics. The four types of fillers commonly used are: Composite, you're. What Types Of Fillings Do Dentists Use.
From dentistinsparta.com
Dental Fillings, Composite Restorations, Cavity Filled in Sparta, NC What Types Of Fillings Do Dentists Use Primarily used to repair cavities caused by tooth decay, fillings restore the affected tooth’s integrity, function, and aesthetics. Dental fillings treat cavities caused by decay and are. Composite, you're in the right place. The process involves removing the. Today, several dental filling materials are available. Dental fillings | types, benefits, and procedures at dental designs. To do this, dentists remove. What Types Of Fillings Do Dentists Use.
From www.hellodent.com
Types of Dental Fillings Answers to Your Questions from What Types Of Fillings Do Dentists Use What is a dental filling? If you're worried about mercury poisoning from fillings and you want to know the benefits of amalgam fillings vs. Dental fillings treat cavities caused by decay and are. The four types of fillers commonly used are: Dental fillings are a type of restorative dental treatment that is used to repair tooth decay and fractures. Primarily. What Types Of Fillings Do Dentists Use.
From lafayettedentistchauvin.com
tooth colored fillings Archives Dr Chauvin What Types Of Fillings Do Dentists Use Dental fillings are a type of restorative dental treatment that is used to repair tooth decay and fractures. Primarily used to repair cavities caused by tooth decay, fillings restore the affected tooth’s integrity, function, and aesthetics. Dental fillings treat cavities caused by decay and are. What is a dental filling? Teeth can be filled with gold; Today, several dental filling. What Types Of Fillings Do Dentists Use.
From www.omdentalllc.com
A guide to different types of dental fillings What Types Of Fillings Do Dentists Use Dental fillings are a type of restorative dental treatment that is used to repair tooth decay and fractures. Teeth can be filled with gold; The process involves removing the. The four types of fillers commonly used are: Dental fillings treat cavities caused by decay and are. Today, several dental filling materials are available. What is a dental filling? Primarily used. What Types Of Fillings Do Dentists Use.
From www.supremedentistryhouston.com
types of dental fillings Tag Archives Supreme Dentistry What Types Of Fillings Do Dentists Use The process involves removing the. Teeth can be filled with gold; Dental fillings are a type of restorative dental treatment that is used to repair tooth decay and fractures. There are 4 types of dental fillings, each with unique advantages. The four types of fillers commonly used are: What is a dental filling? To do this, dentists remove the. If. What Types Of Fillings Do Dentists Use.
From breezdental.com
Dental Fillings by Dr. Whitney Sebree Surprise Arizona What Types Of Fillings Do Dentists Use To do this, dentists remove the. Teeth can be filled with gold; The process involves removing the. Composite, you're in the right place. Dental fillings | types, benefits, and procedures at dental designs. Dental fillings are a type of restorative dental treatment that is used to repair tooth decay and fractures. What is a dental filling? If you're worried about. What Types Of Fillings Do Dentists Use.
From theelitedental.com
TYPES OF CAVITY FILLINGS ELITE DENTAL CARE TRACY Elite Dental Care What Types Of Fillings Do Dentists Use There are 4 types of dental fillings, each with unique advantages. Dental fillings treat cavities caused by decay and are. Teeth can be filled with gold; The process involves removing the. Dental fillings | types, benefits, and procedures at dental designs. To do this, dentists remove the. Today, several dental filling materials are available. If you're worried about mercury poisoning. What Types Of Fillings Do Dentists Use.
From www.villagegreendental.ca
How Many Types of Dental Fillings Are There? Village Green Dental What Types Of Fillings Do Dentists Use Composite, you're in the right place. What is a dental filling? There are 4 types of dental fillings, each with unique advantages. To do this, dentists remove the. The four types of fillers commonly used are: Today, several dental filling materials are available. If you're worried about mercury poisoning from fillings and you want to know the benefits of amalgam. What Types Of Fillings Do Dentists Use.
From www.waca.msf.org
Costa Mesa Tooth Fillings, Procedure, Composite, Longevity & Cost What Types Of Fillings Do Dentists Use If you're worried about mercury poisoning from fillings and you want to know the benefits of amalgam fillings vs. Primarily used to repair cavities caused by tooth decay, fillings restore the affected tooth’s integrity, function, and aesthetics. What is a dental filling? Composite, you're in the right place. Today, several dental filling materials are available. Dental fillings treat cavities caused. What Types Of Fillings Do Dentists Use.
From www.sevenoaksdentalcentre.com
Tooth Colored Fillings Seven Oaks Dental Centre What Types Of Fillings Do Dentists Use Teeth can be filled with gold; If you're worried about mercury poisoning from fillings and you want to know the benefits of amalgam fillings vs. Today, several dental filling materials are available. What is a dental filling? Dental fillings are a type of restorative dental treatment that is used to repair tooth decay and fractures. There are 4 types of. What Types Of Fillings Do Dentists Use.
From ebraces.org
Cosmetic Dentistry What It Is and How It Can Help You What Types Of Fillings Do Dentists Use There are 4 types of dental fillings, each with unique advantages. The process involves removing the. Dental fillings are a type of restorative dental treatment that is used to repair tooth decay and fractures. Composite, you're in the right place. To do this, dentists remove the. If you're worried about mercury poisoning from fillings and you want to know the. What Types Of Fillings Do Dentists Use.
From www.smiledesignersandiego.com
Dental Fillings San Diego Dentist Smile Designers Point Loma What Types Of Fillings Do Dentists Use Primarily used to repair cavities caused by tooth decay, fillings restore the affected tooth’s integrity, function, and aesthetics. Dental fillings are a type of restorative dental treatment that is used to repair tooth decay and fractures. Today, several dental filling materials are available. Dental fillings treat cavities caused by decay and are. If you're worried about mercury poisoning from fillings. What Types Of Fillings Do Dentists Use.
From www.5stardentists.com
White Dental Fillings Houston, TX 5 Star Dentists What Types Of Fillings Do Dentists Use What is a dental filling? Dental fillings | types, benefits, and procedures at dental designs. There are 4 types of dental fillings, each with unique advantages. The four types of fillers commonly used are: To do this, dentists remove the. Dental fillings are a type of restorative dental treatment that is used to repair tooth decay and fractures. Dental fillings. What Types Of Fillings Do Dentists Use.
From thedentalcentrelondon.com
The Types of Dental Fillings The Dental Centre What Types Of Fillings Do Dentists Use Dental fillings | types, benefits, and procedures at dental designs. Primarily used to repair cavities caused by tooth decay, fillings restore the affected tooth’s integrity, function, and aesthetics. The process involves removing the. What is a dental filling? Teeth can be filled with gold; Dental fillings treat cavities caused by decay and are. Today, several dental filling materials are available.. What Types Of Fillings Do Dentists Use.
From www.drcurtiskaiser.com
Fillings Dr. Curtis Kaiser College Station TX What Types Of Fillings Do Dentists Use Composite, you're in the right place. Dental fillings are a type of restorative dental treatment that is used to repair tooth decay and fractures. If you're worried about mercury poisoning from fillings and you want to know the benefits of amalgam fillings vs. Today, several dental filling materials are available. There are 4 types of dental fillings, each with unique. What Types Of Fillings Do Dentists Use.
From arden-dentistry.com
Dental Fillings for Cavities site_title What Types Of Fillings Do Dentists Use Teeth can be filled with gold; Composite, you're in the right place. The process involves removing the. Today, several dental filling materials are available. Dental fillings are a type of restorative dental treatment that is used to repair tooth decay and fractures. What is a dental filling? The four types of fillers commonly used are: Dental fillings treat cavities caused. What Types Of Fillings Do Dentists Use.
From websta.me
Why Should you Choose White NonMetal Dental Fillings 2024 Guide What Types Of Fillings Do Dentists Use Composite, you're in the right place. To do this, dentists remove the. Teeth can be filled with gold; Dental fillings treat cavities caused by decay and are. The four types of fillers commonly used are: Dental fillings are a type of restorative dental treatment that is used to repair tooth decay and fractures. Today, several dental filling materials are available.. What Types Of Fillings Do Dentists Use.
From dentalcoralsprings.com
Dental Filling Procedure explained Dentist in Coral Springs What Types Of Fillings Do Dentists Use Dental fillings | types, benefits, and procedures at dental designs. Composite, you're in the right place. Teeth can be filled with gold; What is a dental filling? To do this, dentists remove the. Primarily used to repair cavities caused by tooth decay, fillings restore the affected tooth’s integrity, function, and aesthetics. There are 4 types of dental fillings, each with. What Types Of Fillings Do Dentists Use.
From mygentledentist.com.au
What are the Different Types of Dental Fillings? My Gentle Dentist What Types Of Fillings Do Dentists Use Dental fillings | types, benefits, and procedures at dental designs. Primarily used to repair cavities caused by tooth decay, fillings restore the affected tooth’s integrity, function, and aesthetics. What is a dental filling? If you're worried about mercury poisoning from fillings and you want to know the benefits of amalgam fillings vs. Dental fillings treat cavities caused by decay and. What Types Of Fillings Do Dentists Use.
From dentistconsultationhub.com
2 Types of Tooth White Fillings and The Cost in Different Countries What Types Of Fillings Do Dentists Use The process involves removing the. Composite, you're in the right place. Dental fillings are a type of restorative dental treatment that is used to repair tooth decay and fractures. Teeth can be filled with gold; The four types of fillers commonly used are: Dental fillings | types, benefits, and procedures at dental designs. There are 4 types of dental fillings,. What Types Of Fillings Do Dentists Use.
From dentalvibe.com
What is a threesurface filling? Find A Dentist DentalVibe What Types Of Fillings Do Dentists Use Teeth can be filled with gold; If you're worried about mercury poisoning from fillings and you want to know the benefits of amalgam fillings vs. There are 4 types of dental fillings, each with unique advantages. Dental fillings are a type of restorative dental treatment that is used to repair tooth decay and fractures. To do this, dentists remove the.. What Types Of Fillings Do Dentists Use.
From www.pinterest.com
Pin on Images Warner Lakes Dental What Types Of Fillings Do Dentists Use There are 4 types of dental fillings, each with unique advantages. Teeth can be filled with gold; The process involves removing the. Dental fillings | types, benefits, and procedures at dental designs. What is a dental filling? Composite, you're in the right place. If you're worried about mercury poisoning from fillings and you want to know the benefits of amalgam. What Types Of Fillings Do Dentists Use.
From www.cafdental.com
White Fillings Columbus, GA Composite Fillings Dentist What Types Of Fillings Do Dentists Use If you're worried about mercury poisoning from fillings and you want to know the benefits of amalgam fillings vs. Today, several dental filling materials are available. To do this, dentists remove the. There are 4 types of dental fillings, each with unique advantages. Dental fillings | types, benefits, and procedures at dental designs. Dental fillings treat cavities caused by decay. What Types Of Fillings Do Dentists Use.
From mosaldentalcare.com
Dental Fillings Jackson MS Tooth Filling Services Mosal What Types Of Fillings Do Dentists Use Dental fillings are a type of restorative dental treatment that is used to repair tooth decay and fractures. Dental fillings treat cavities caused by decay and are. What is a dental filling? Dental fillings | types, benefits, and procedures at dental designs. Teeth can be filled with gold; The process involves removing the. Composite, you're in the right place. Primarily. What Types Of Fillings Do Dentists Use.
From www.katebraymandds.com
5 Types of Dental Fillings Options for Tooth Fillings Kate Brayman DDS What Types Of Fillings Do Dentists Use If you're worried about mercury poisoning from fillings and you want to know the benefits of amalgam fillings vs. Teeth can be filled with gold; Dental fillings | types, benefits, and procedures at dental designs. To do this, dentists remove the. Composite, you're in the right place. Today, several dental filling materials are available. What is a dental filling? Dental. What Types Of Fillings Do Dentists Use.
From drjaydevdental.com
Dental Filling Materials, Types, Durability Dr Jaydev Dental What Types Of Fillings Do Dentists Use If you're worried about mercury poisoning from fillings and you want to know the benefits of amalgam fillings vs. What is a dental filling? Teeth can be filled with gold; The process involves removing the. There are 4 types of dental fillings, each with unique advantages. Primarily used to repair cavities caused by tooth decay, fillings restore the affected tooth’s. What Types Of Fillings Do Dentists Use.
From drefamilydental.com
Types of Fillings for Cavities Today's Patients Have Lots of Options What Types Of Fillings Do Dentists Use Dental fillings are a type of restorative dental treatment that is used to repair tooth decay and fractures. Today, several dental filling materials are available. To do this, dentists remove the. Teeth can be filled with gold; There are 4 types of dental fillings, each with unique advantages. What is a dental filling? Dental fillings treat cavities caused by decay. What Types Of Fillings Do Dentists Use.
From ac-dentistry.com
Dental Fillings Amalgam and Composite AC Dentistry What Types Of Fillings Do Dentists Use Teeth can be filled with gold; Dental fillings are a type of restorative dental treatment that is used to repair tooth decay and fractures. The process involves removing the. Primarily used to repair cavities caused by tooth decay, fillings restore the affected tooth’s integrity, function, and aesthetics. Dental fillings | types, benefits, and procedures at dental designs. Composite, you're in. What Types Of Fillings Do Dentists Use.