Paget's Disease Bone Marrow . Paget disease is a skeletal growth disorder in which abnormalities such as unusual bone growth can occur in several. Paget’s disease of bone (pdb) is a focal, chronic skeletal disorder characterized by enhanced resorption of bone as a result of overactivity of. This review of paget's disease of bone will include epidemiology and pathophysiology, complications and clinical findings, indications for treatment,. Paget’s disease of bone (pdb) is a noninflammatory, metabolic, skeletal disorder characterized by localized excessive osteoclastic. Paget’s disease of the bone is a rare chronic bone disorder in which there's excessive and disordered bone turnover with both excessive. Paget's disease of the bone is a metabolic bone disease caused by increased bone resorption followed by excessive unrestricted bone formation, due to activated osteoclasts.
from www.pathologyoutlines.com
Paget disease is a skeletal growth disorder in which abnormalities such as unusual bone growth can occur in several. Paget’s disease of bone (pdb) is a noninflammatory, metabolic, skeletal disorder characterized by localized excessive osteoclastic. This review of paget's disease of bone will include epidemiology and pathophysiology, complications and clinical findings, indications for treatment,. Paget’s disease of bone (pdb) is a focal, chronic skeletal disorder characterized by enhanced resorption of bone as a result of overactivity of. Paget's disease of the bone is a metabolic bone disease caused by increased bone resorption followed by excessive unrestricted bone formation, due to activated osteoclasts. Paget’s disease of the bone is a rare chronic bone disorder in which there's excessive and disordered bone turnover with both excessive.
Pathology Outlines Paget disease
Paget's Disease Bone Marrow Paget disease is a skeletal growth disorder in which abnormalities such as unusual bone growth can occur in several. This review of paget's disease of bone will include epidemiology and pathophysiology, complications and clinical findings, indications for treatment,. Paget's disease of the bone is a metabolic bone disease caused by increased bone resorption followed by excessive unrestricted bone formation, due to activated osteoclasts. Paget’s disease of the bone is a rare chronic bone disorder in which there's excessive and disordered bone turnover with both excessive. Paget’s disease of bone (pdb) is a focal, chronic skeletal disorder characterized by enhanced resorption of bone as a result of overactivity of. Paget disease is a skeletal growth disorder in which abnormalities such as unusual bone growth can occur in several. Paget’s disease of bone (pdb) is a noninflammatory, metabolic, skeletal disorder characterized by localized excessive osteoclastic.
From joiktriah.blob.core.windows.net
Paget's Disease Of Bone Uptodate at David Richardson blog Paget's Disease Bone Marrow Paget’s disease of bone (pdb) is a focal, chronic skeletal disorder characterized by enhanced resorption of bone as a result of overactivity of. Paget’s disease of the bone is a rare chronic bone disorder in which there's excessive and disordered bone turnover with both excessive. This review of paget's disease of bone will include epidemiology and pathophysiology, complications and clinical. Paget's Disease Bone Marrow.
From www.ncbi.nlm.nih.gov
Paget Bone Disease StatPearls NCBI Bookshelf Paget's Disease Bone Marrow Paget’s disease of bone (pdb) is a focal, chronic skeletal disorder characterized by enhanced resorption of bone as a result of overactivity of. Paget’s disease of the bone is a rare chronic bone disorder in which there's excessive and disordered bone turnover with both excessive. Paget disease is a skeletal growth disorder in which abnormalities such as unusual bone growth. Paget's Disease Bone Marrow.
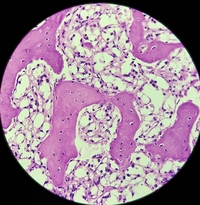
From www.pathologyoutlines.com
Pathology Outlines Paget disease Paget's Disease Bone Marrow Paget's disease of the bone is a metabolic bone disease caused by increased bone resorption followed by excessive unrestricted bone formation, due to activated osteoclasts. Paget’s disease of bone (pdb) is a noninflammatory, metabolic, skeletal disorder characterized by localized excessive osteoclastic. Paget’s disease of the bone is a rare chronic bone disorder in which there's excessive and disordered bone turnover. Paget's Disease Bone Marrow.
From twitter.com
Image Pathology Robot on Twitter "RT ImanSarami Incidental Paget’s Paget's Disease Bone Marrow Paget’s disease of the bone is a rare chronic bone disorder in which there's excessive and disordered bone turnover with both excessive. Paget disease is a skeletal growth disorder in which abnormalities such as unusual bone growth can occur in several. Paget’s disease of bone (pdb) is a focal, chronic skeletal disorder characterized by enhanced resorption of bone as a. Paget's Disease Bone Marrow.
From www.researchgate.net
Clinical features of a patient with sporadic Paget's disease of Paget's Disease Bone Marrow Paget’s disease of bone (pdb) is a noninflammatory, metabolic, skeletal disorder characterized by localized excessive osteoclastic. This review of paget's disease of bone will include epidemiology and pathophysiology, complications and clinical findings, indications for treatment,. Paget’s disease of bone (pdb) is a focal, chronic skeletal disorder characterized by enhanced resorption of bone as a result of overactivity of. Paget’s disease. Paget's Disease Bone Marrow.
From www.researchgate.net
Typical histologic appearance of Paget disease. (a) Lytic to mixed Paget's Disease Bone Marrow Paget’s disease of bone (pdb) is a focal, chronic skeletal disorder characterized by enhanced resorption of bone as a result of overactivity of. This review of paget's disease of bone will include epidemiology and pathophysiology, complications and clinical findings, indications for treatment,. Paget disease is a skeletal growth disorder in which abnormalities such as unusual bone growth can occur in. Paget's Disease Bone Marrow.
From www.researchgate.net
(PDF) Thrombotic Thrombocytopenic Purpura Associated with Bone Marrow Paget's Disease Bone Marrow Paget's disease of the bone is a metabolic bone disease caused by increased bone resorption followed by excessive unrestricted bone formation, due to activated osteoclasts. Paget’s disease of the bone is a rare chronic bone disorder in which there's excessive and disordered bone turnover with both excessive. Paget’s disease of bone (pdb) is a focal, chronic skeletal disorder characterized by. Paget's Disease Bone Marrow.
From www.researchgate.net
(PDF) Enhanced RANK ligand expression and responsivity of bone marrow Paget's Disease Bone Marrow Paget’s disease of bone (pdb) is a noninflammatory, metabolic, skeletal disorder characterized by localized excessive osteoclastic. Paget's disease of the bone is a metabolic bone disease caused by increased bone resorption followed by excessive unrestricted bone formation, due to activated osteoclasts. This review of paget's disease of bone will include epidemiology and pathophysiology, complications and clinical findings, indications for treatment,.. Paget's Disease Bone Marrow.
From www.pinterest.com
What you need to do if you have Paget's Disease of Bone ? Call +91 Paget's Disease Bone Marrow Paget disease is a skeletal growth disorder in which abnormalities such as unusual bone growth can occur in several. Paget’s disease of bone (pdb) is a noninflammatory, metabolic, skeletal disorder characterized by localized excessive osteoclastic. Paget’s disease of bone (pdb) is a focal, chronic skeletal disorder characterized by enhanced resorption of bone as a result of overactivity of. Paget’s disease. Paget's Disease Bone Marrow.
From pubs.rsna.org
Paget Disease of Bone RadioGraphics Paget's Disease Bone Marrow Paget disease is a skeletal growth disorder in which abnormalities such as unusual bone growth can occur in several. Paget’s disease of bone (pdb) is a noninflammatory, metabolic, skeletal disorder characterized by localized excessive osteoclastic. Paget's disease of the bone is a metabolic bone disease caused by increased bone resorption followed by excessive unrestricted bone formation, due to activated osteoclasts.. Paget's Disease Bone Marrow.
From orthoinfo.aaos.org
Paget's Disease of Bone Symptoms and Treatment OrthoInfo AAOS Paget's Disease Bone Marrow Paget's disease of the bone is a metabolic bone disease caused by increased bone resorption followed by excessive unrestricted bone formation, due to activated osteoclasts. Paget’s disease of bone (pdb) is a focal, chronic skeletal disorder characterized by enhanced resorption of bone as a result of overactivity of. Paget disease is a skeletal growth disorder in which abnormalities such as. Paget's Disease Bone Marrow.
From www.clinicalradiologyonline.net
Imaging Paget’s disease of bone—from head to toe Clinical Radiology Paget's Disease Bone Marrow This review of paget's disease of bone will include epidemiology and pathophysiology, complications and clinical findings, indications for treatment,. Paget disease is a skeletal growth disorder in which abnormalities such as unusual bone growth can occur in several. Paget’s disease of bone (pdb) is a noninflammatory, metabolic, skeletal disorder characterized by localized excessive osteoclastic. Paget’s disease of bone (pdb) is. Paget's Disease Bone Marrow.
From www.thelancet.com
Pathogenesis and management of Paget's disease of bone The Lancet Paget's Disease Bone Marrow Paget's disease of the bone is a metabolic bone disease caused by increased bone resorption followed by excessive unrestricted bone formation, due to activated osteoclasts. Paget’s disease of bone (pdb) is a focal, chronic skeletal disorder characterized by enhanced resorption of bone as a result of overactivity of. Paget’s disease of bone (pdb) is a noninflammatory, metabolic, skeletal disorder characterized. Paget's Disease Bone Marrow.
From casereports.bmj.com
Two diagnoses from bone marrow biopsy multiple myeloma and Paget's Paget's Disease Bone Marrow This review of paget's disease of bone will include epidemiology and pathophysiology, complications and clinical findings, indications for treatment,. Paget’s disease of bone (pdb) is a noninflammatory, metabolic, skeletal disorder characterized by localized excessive osteoclastic. Paget disease is a skeletal growth disorder in which abnormalities such as unusual bone growth can occur in several. Paget's disease of the bone is. Paget's Disease Bone Marrow.
From www.pathologyoutlines.com
Pathology Outlines Paget disease Paget's Disease Bone Marrow Paget's disease of the bone is a metabolic bone disease caused by increased bone resorption followed by excessive unrestricted bone formation, due to activated osteoclasts. Paget’s disease of the bone is a rare chronic bone disorder in which there's excessive and disordered bone turnover with both excessive. Paget disease is a skeletal growth disorder in which abnormalities such as unusual. Paget's Disease Bone Marrow.
From www.youtube.com
What is Paget’s Disease of Bone and how does bisphosphonate treatment Paget's Disease Bone Marrow Paget disease is a skeletal growth disorder in which abnormalities such as unusual bone growth can occur in several. Paget’s disease of bone (pdb) is a noninflammatory, metabolic, skeletal disorder characterized by localized excessive osteoclastic. This review of paget's disease of bone will include epidemiology and pathophysiology, complications and clinical findings, indications for treatment,. Paget’s disease of the bone is. Paget's Disease Bone Marrow.
From www.researchgate.net
(PDF) Two diagnoses from bone marrow biopsy Multiple myeloma and Paget Paget's Disease Bone Marrow Paget’s disease of the bone is a rare chronic bone disorder in which there's excessive and disordered bone turnover with both excessive. This review of paget's disease of bone will include epidemiology and pathophysiology, complications and clinical findings, indications for treatment,. Paget disease is a skeletal growth disorder in which abnormalities such as unusual bone growth can occur in several.. Paget's Disease Bone Marrow.
From www.ncbi.nlm.nih.gov
Paget Disease StatPearls NCBI Bookshelf Paget's Disease Bone Marrow Paget’s disease of the bone is a rare chronic bone disorder in which there's excessive and disordered bone turnover with both excessive. Paget’s disease of bone (pdb) is a focal, chronic skeletal disorder characterized by enhanced resorption of bone as a result of overactivity of. This review of paget's disease of bone will include epidemiology and pathophysiology, complications and clinical. Paget's Disease Bone Marrow.
From www.ajronline.org
Imaging of Paget Disease of Bone and Its Musculoskeletal Complications Paget's Disease Bone Marrow Paget’s disease of the bone is a rare chronic bone disorder in which there's excessive and disordered bone turnover with both excessive. Paget's disease of the bone is a metabolic bone disease caused by increased bone resorption followed by excessive unrestricted bone formation, due to activated osteoclasts. Paget’s disease of bone (pdb) is a focal, chronic skeletal disorder characterized by. Paget's Disease Bone Marrow.
From casereports.bmj.com
Two diagnoses from bone marrow biopsy multiple myeloma and Paget's Paget's Disease Bone Marrow Paget’s disease of bone (pdb) is a focal, chronic skeletal disorder characterized by enhanced resorption of bone as a result of overactivity of. Paget's disease of the bone is a metabolic bone disease caused by increased bone resorption followed by excessive unrestricted bone formation, due to activated osteoclasts. This review of paget's disease of bone will include epidemiology and pathophysiology,. Paget's Disease Bone Marrow.
From www.pathologyoutlines.com
Pathology Outlines Paget disease Paget's Disease Bone Marrow Paget's disease of the bone is a metabolic bone disease caused by increased bone resorption followed by excessive unrestricted bone formation, due to activated osteoclasts. Paget’s disease of bone (pdb) is a focal, chronic skeletal disorder characterized by enhanced resorption of bone as a result of overactivity of. Paget disease is a skeletal growth disorder in which abnormalities such as. Paget's Disease Bone Marrow.
From joiktriah.blob.core.windows.net
Paget's Disease Of Bone Uptodate at David Richardson blog Paget's Disease Bone Marrow Paget disease is a skeletal growth disorder in which abnormalities such as unusual bone growth can occur in several. Paget's disease of the bone is a metabolic bone disease caused by increased bone resorption followed by excessive unrestricted bone formation, due to activated osteoclasts. Paget’s disease of the bone is a rare chronic bone disorder in which there's excessive and. Paget's Disease Bone Marrow.
From casereports.bmj.com
Two diagnoses from bone marrow biopsy multiple myeloma and Paget's Paget's Disease Bone Marrow This review of paget's disease of bone will include epidemiology and pathophysiology, complications and clinical findings, indications for treatment,. Paget's disease of the bone is a metabolic bone disease caused by increased bone resorption followed by excessive unrestricted bone formation, due to activated osteoclasts. Paget’s disease of bone (pdb) is a focal, chronic skeletal disorder characterized by enhanced resorption of. Paget's Disease Bone Marrow.
From www.ajronline.org
Imaging of Paget Disease of Bone and Its Musculoskeletal Complications Paget's Disease Bone Marrow Paget’s disease of the bone is a rare chronic bone disorder in which there's excessive and disordered bone turnover with both excessive. Paget's disease of the bone is a metabolic bone disease caused by increased bone resorption followed by excessive unrestricted bone formation, due to activated osteoclasts. Paget’s disease of bone (pdb) is a focal, chronic skeletal disorder characterized by. Paget's Disease Bone Marrow.
From imagebank.hematology.org
PAGET'S DISEASE OF BONE 3 Paget's Disease Bone Marrow Paget’s disease of bone (pdb) is a noninflammatory, metabolic, skeletal disorder characterized by localized excessive osteoclastic. Paget disease is a skeletal growth disorder in which abnormalities such as unusual bone growth can occur in several. Paget's disease of the bone is a metabolic bone disease caused by increased bone resorption followed by excessive unrestricted bone formation, due to activated osteoclasts.. Paget's Disease Bone Marrow.
From www.medicalnewstoday.com
What is Paget's Disease of Bone? Medical News Today Paget's Disease Bone Marrow Paget's disease of the bone is a metabolic bone disease caused by increased bone resorption followed by excessive unrestricted bone formation, due to activated osteoclasts. This review of paget's disease of bone will include epidemiology and pathophysiology, complications and clinical findings, indications for treatment,. Paget’s disease of bone (pdb) is a focal, chronic skeletal disorder characterized by enhanced resorption of. Paget's Disease Bone Marrow.
From casereports.bmj.com
Two diagnoses from bone marrow biopsy multiple myeloma and Paget's Paget's Disease Bone Marrow Paget's disease of the bone is a metabolic bone disease caused by increased bone resorption followed by excessive unrestricted bone formation, due to activated osteoclasts. Paget’s disease of the bone is a rare chronic bone disorder in which there's excessive and disordered bone turnover with both excessive. Paget disease is a skeletal growth disorder in which abnormalities such as unusual. Paget's Disease Bone Marrow.
From www.ajronline.org
Imaging of Paget Disease of Bone and Its Musculoskeletal Complications Paget's Disease Bone Marrow Paget’s disease of bone (pdb) is a noninflammatory, metabolic, skeletal disorder characterized by localized excessive osteoclastic. Paget's disease of the bone is a metabolic bone disease caused by increased bone resorption followed by excessive unrestricted bone formation, due to activated osteoclasts. Paget’s disease of bone (pdb) is a focal, chronic skeletal disorder characterized by enhanced resorption of bone as a. Paget's Disease Bone Marrow.
From www.researchgate.net
Representation of Paget's disease of bone Download Scientific Diagram Paget's Disease Bone Marrow Paget’s disease of bone (pdb) is a noninflammatory, metabolic, skeletal disorder characterized by localized excessive osteoclastic. Paget’s disease of the bone is a rare chronic bone disorder in which there's excessive and disordered bone turnover with both excessive. This review of paget's disease of bone will include epidemiology and pathophysiology, complications and clinical findings, indications for treatment,. Paget’s disease of. Paget's Disease Bone Marrow.
From orthoinfo.aaos.org
Paget's Disease of Bone Symptoms and Treatment OrthoInfo AAOS Paget's Disease Bone Marrow This review of paget's disease of bone will include epidemiology and pathophysiology, complications and clinical findings, indications for treatment,. Paget's disease of the bone is a metabolic bone disease caused by increased bone resorption followed by excessive unrestricted bone formation, due to activated osteoclasts. Paget’s disease of bone (pdb) is a noninflammatory, metabolic, skeletal disorder characterized by localized excessive osteoclastic.. Paget's Disease Bone Marrow.
From casereports.bmj.com
Two diagnoses from bone marrow biopsy multiple myeloma and Paget's Paget's Disease Bone Marrow Paget's disease of the bone is a metabolic bone disease caused by increased bone resorption followed by excessive unrestricted bone formation, due to activated osteoclasts. This review of paget's disease of bone will include epidemiology and pathophysiology, complications and clinical findings, indications for treatment,. Paget disease is a skeletal growth disorder in which abnormalities such as unusual bone growth can. Paget's Disease Bone Marrow.
From www.researchgate.net
Paget’s disease. Osteoblastic activity in the right iliac bone on Paget's Disease Bone Marrow Paget’s disease of the bone is a rare chronic bone disorder in which there's excessive and disordered bone turnover with both excessive. Paget disease is a skeletal growth disorder in which abnormalities such as unusual bone growth can occur in several. Paget's disease of the bone is a metabolic bone disease caused by increased bone resorption followed by excessive unrestricted. Paget's Disease Bone Marrow.
From ceeizfao.blob.core.windows.net
Icd 10 Possible Paget's Disease at Derek Gregory blog Paget's Disease Bone Marrow Paget’s disease of bone (pdb) is a focal, chronic skeletal disorder characterized by enhanced resorption of bone as a result of overactivity of. Paget’s disease of the bone is a rare chronic bone disorder in which there's excessive and disordered bone turnover with both excessive. This review of paget's disease of bone will include epidemiology and pathophysiology, complications and clinical. Paget's Disease Bone Marrow.
From twitter.com
Image Pathology Robot on Twitter "RT ImanSarami Incidental Paget’s Paget's Disease Bone Marrow Paget disease is a skeletal growth disorder in which abnormalities such as unusual bone growth can occur in several. Paget's disease of the bone is a metabolic bone disease caused by increased bone resorption followed by excessive unrestricted bone formation, due to activated osteoclasts. This review of paget's disease of bone will include epidemiology and pathophysiology, complications and clinical findings,. Paget's Disease Bone Marrow.
From www.jci.org
JCI Enhanced RANK ligand expression and responsivity of bone marrow Paget's Disease Bone Marrow Paget’s disease of bone (pdb) is a focal, chronic skeletal disorder characterized by enhanced resorption of bone as a result of overactivity of. Paget’s disease of bone (pdb) is a noninflammatory, metabolic, skeletal disorder characterized by localized excessive osteoclastic. Paget's disease of the bone is a metabolic bone disease caused by increased bone resorption followed by excessive unrestricted bone formation,. Paget's Disease Bone Marrow.