Kahler's Disease . multiple myeloma is a rare blood cancer that affects plasma cells and causes bone, kidney and blood problems. multiple myeloma, also known as kahler's disease, is a type of cancer of the plasma cells in the bone marrow. Find out how msk experts diagnose, treat,. Learn about the causes, risk factors, symptoms, diagnosis, complications, and treatment options for this condition. Learn about the symptoms, causes,. multiple myeloma (mm), also known by the names plasma cell myeloma and kahler disease, is a multifocal proliferation of plasma. multiple myeloma, also known as kahler's disease, is a type of blood cancer that affects plasma cells. learn about multiple myeloma, a rare blood cancer that affects your bone marrow and immune system. multiple myeloma is a cancer of plasma cells that affects bone marrow and causes complications. multiple myeloma, also known as kahler's disease, is a blood cancer that affects the bone marrow and can lead to kidney problems.
from www.globaldata.com
learn about multiple myeloma, a rare blood cancer that affects your bone marrow and immune system. Learn about the symptoms, causes,. Learn about the causes, risk factors, symptoms, diagnosis, complications, and treatment options for this condition. multiple myeloma is a rare blood cancer that affects plasma cells and causes bone, kidney and blood problems. multiple myeloma is a cancer of plasma cells that affects bone marrow and causes complications. multiple myeloma, also known as kahler's disease, is a type of blood cancer that affects plasma cells. multiple myeloma, also known as kahler's disease, is a type of cancer of the plasma cells in the bone marrow. Find out how msk experts diagnose, treat,. multiple myeloma, also known as kahler's disease, is a blood cancer that affects the bone marrow and can lead to kidney problems. multiple myeloma (mm), also known by the names plasma cell myeloma and kahler disease, is a multifocal proliferation of plasma.
Multiple Myeloma (Kahler Disease) Drugs in Development by Stages
Kahler's Disease multiple myeloma (mm), also known by the names plasma cell myeloma and kahler disease, is a multifocal proliferation of plasma. multiple myeloma, also known as kahler's disease, is a type of blood cancer that affects plasma cells. Learn about the causes, risk factors, symptoms, diagnosis, complications, and treatment options for this condition. multiple myeloma is a rare blood cancer that affects plasma cells and causes bone, kidney and blood problems. multiple myeloma, also known as kahler's disease, is a type of cancer of the plasma cells in the bone marrow. learn about multiple myeloma, a rare blood cancer that affects your bone marrow and immune system. multiple myeloma, also known as kahler's disease, is a blood cancer that affects the bone marrow and can lead to kidney problems. multiple myeloma (mm), also known by the names plasma cell myeloma and kahler disease, is a multifocal proliferation of plasma. multiple myeloma is a cancer of plasma cells that affects bone marrow and causes complications. Find out how msk experts diagnose, treat,. Learn about the symptoms, causes,.
From byjus.com
What is myeloma(multiple myeloma or Kahler's disease)? Kahler's Disease multiple myeloma is a cancer of plasma cells that affects bone marrow and causes complications. Learn about the symptoms, causes,. Find out how msk experts diagnose, treat,. multiple myeloma (mm), also known by the names plasma cell myeloma and kahler disease, is a multifocal proliferation of plasma. multiple myeloma, also known as kahler's disease, is a type. Kahler's Disease.
From brunofuga.adv.br
Kahler's Disease, Causes, Signs And Symptoms, Diagnosis And, 57 OFF Kahler's Disease multiple myeloma, also known as kahler's disease, is a type of blood cancer that affects plasma cells. multiple myeloma, also known as kahler's disease, is a type of cancer of the plasma cells in the bone marrow. multiple myeloma is a rare blood cancer that affects plasma cells and causes bone, kidney and blood problems. multiple. Kahler's Disease.
From santripty.com
Multiple Myeloma Kahler's Disease Rare Type of Blood Cancer Santripty Kahler's Disease multiple myeloma (mm), also known by the names plasma cell myeloma and kahler disease, is a multifocal proliferation of plasma. multiple myeloma, also known as kahler's disease, is a type of cancer of the plasma cells in the bone marrow. Find out how msk experts diagnose, treat,. multiple myeloma is a rare blood cancer that affects plasma. Kahler's Disease.
From www.hindustantimes.com
Multiple Myeloma or Kahler’s disease Causes, symptoms, diagnosis and Kahler's Disease Learn about the symptoms, causes,. Learn about the causes, risk factors, symptoms, diagnosis, complications, and treatment options for this condition. Find out how msk experts diagnose, treat,. multiple myeloma, also known as kahler's disease, is a type of blood cancer that affects plasma cells. multiple myeloma, also known as kahler's disease, is a type of cancer of the. Kahler's Disease.
From www.misistemainmune.es
¿Qué es la enfermedad de Kahler? MiSistemaInmune Kahler's Disease learn about multiple myeloma, a rare blood cancer that affects your bone marrow and immune system. multiple myeloma is a cancer of plasma cells that affects bone marrow and causes complications. Learn about the symptoms, causes,. multiple myeloma, also known as kahler's disease, is a type of cancer of the plasma cells in the bone marrow. . Kahler's Disease.
From www.researchgate.net
(PDF) Kahler’s Disease with a Rare Clinical form and Review of Literature Kahler's Disease multiple myeloma is a rare blood cancer that affects plasma cells and causes bone, kidney and blood problems. multiple myeloma, also known as kahler's disease, is a type of cancer of the plasma cells in the bone marrow. multiple myeloma is a cancer of plasma cells that affects bone marrow and causes complications. Learn about the causes,. Kahler's Disease.
From james-mccormack.com
Kohler’s Disease Learn the Symptoms, Causes and Treatment Kahler's Disease multiple myeloma, also known as kahler's disease, is a blood cancer that affects the bone marrow and can lead to kidney problems. learn about multiple myeloma, a rare blood cancer that affects your bone marrow and immune system. Learn about the causes, risk factors, symptoms, diagnosis, complications, and treatment options for this condition. multiple myeloma is a. Kahler's Disease.
From www.passeportsante.net
Maladie de Kahler (Myélome multiple) Risques, Traitements, Symptômes Kahler's Disease multiple myeloma, also known as kahler's disease, is a type of blood cancer that affects plasma cells. multiple myeloma is a cancer of plasma cells that affects bone marrow and causes complications. multiple myeloma is a rare blood cancer that affects plasma cells and causes bone, kidney and blood problems. Learn about the symptoms, causes,. multiple. Kahler's Disease.
From thelondonpodiatrist.co.uk
Kohler'sDisease The London Podiatrist Kahler's Disease multiple myeloma, also known as kahler's disease, is a type of cancer of the plasma cells in the bone marrow. Find out how msk experts diagnose, treat,. learn about multiple myeloma, a rare blood cancer that affects your bone marrow and immune system. Learn about the causes, risk factors, symptoms, diagnosis, complications, and treatment options for this condition.. Kahler's Disease.
From www.alamy.com
Multiple myeloma. Light micrograph of atypical plasmocyte blood cells Kahler's Disease multiple myeloma is a cancer of plasma cells that affects bone marrow and causes complications. multiple myeloma (mm), also known by the names plasma cell myeloma and kahler disease, is a multifocal proliferation of plasma. Learn about the symptoms, causes,. multiple myeloma, also known as kahler's disease, is a type of cancer of the plasma cells in. Kahler's Disease.
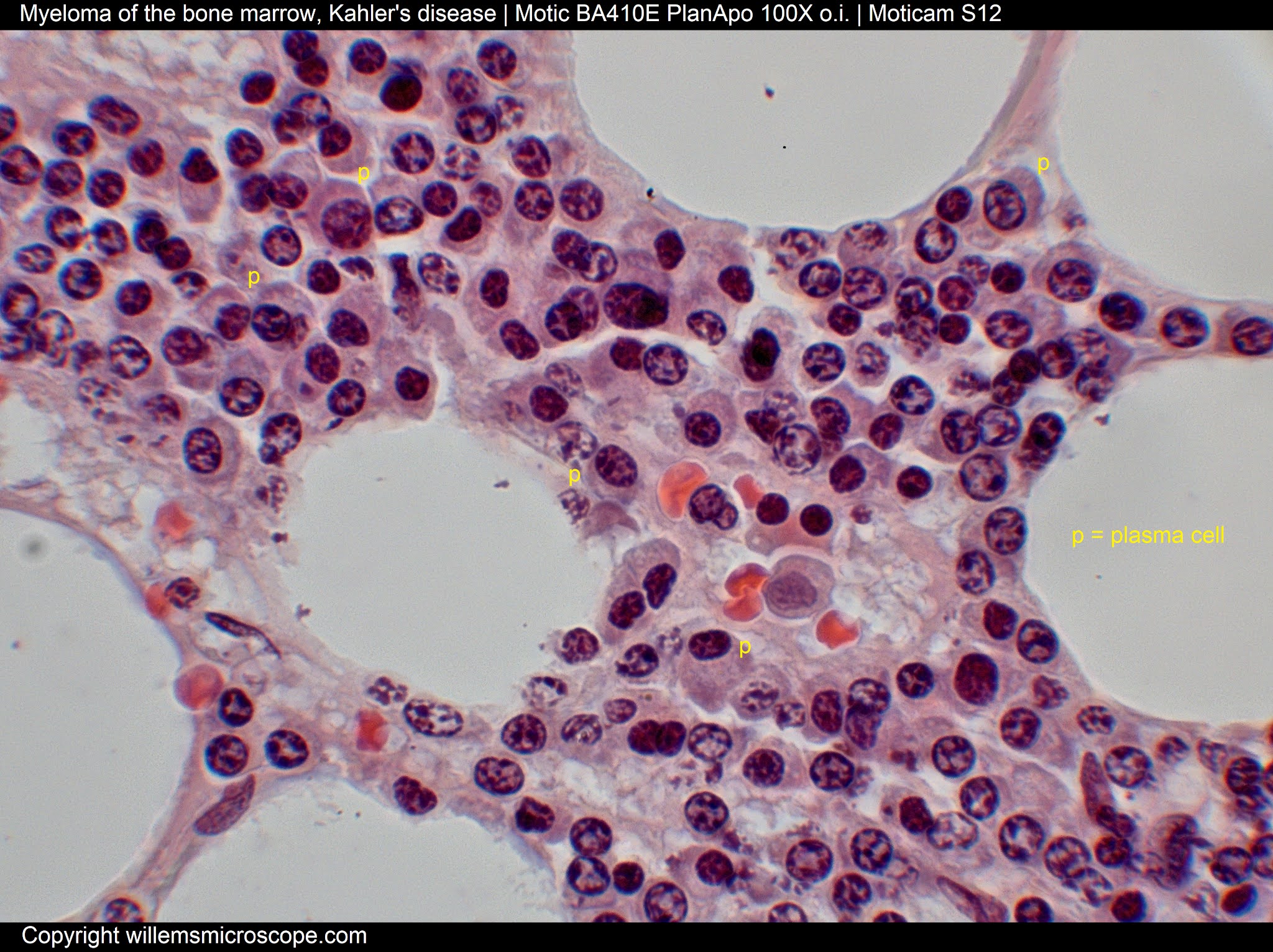
From moticeurope.blogspot.com
Motic Europe Blog Kahler's disease Kahler's Disease multiple myeloma is a rare blood cancer that affects plasma cells and causes bone, kidney and blood problems. Learn about the causes, risk factors, symptoms, diagnosis, complications, and treatment options for this condition. multiple myeloma, also known as kahler's disease, is a type of cancer of the plasma cells in the bone marrow. multiple myeloma, also known. Kahler's Disease.
From www.researchgate.net
(PDF) A Rare Pulmonary Manisfestation of Kahler's disease Kahler's Disease multiple myeloma is a rare blood cancer that affects plasma cells and causes bone, kidney and blood problems. multiple myeloma is a cancer of plasma cells that affects bone marrow and causes complications. multiple myeloma, also known as kahler's disease, is a type of cancer of the plasma cells in the bone marrow. multiple myeloma (mm),. Kahler's Disease.
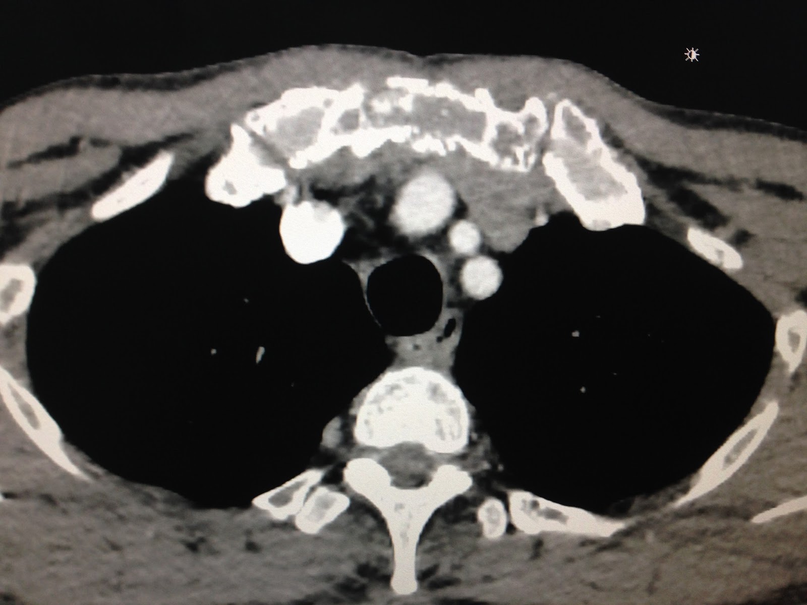
From www.ultrasoundmedicvn.com
VIETNAMESE MEDIC ULTRASOUND CASE 418 CHEST PAIN in KAHLER DISEASE, Dr Kahler's Disease multiple myeloma is a rare blood cancer that affects plasma cells and causes bone, kidney and blood problems. Learn about the causes, risk factors, symptoms, diagnosis, complications, and treatment options for this condition. multiple myeloma, also known as kahler's disease, is a type of blood cancer that affects plasma cells. multiple myeloma, also known as kahler's disease,. Kahler's Disease.
From orthopaedicprinciples.com
Kohler’s Disease — Kahler's Disease multiple myeloma (mm), also known by the names plasma cell myeloma and kahler disease, is a multifocal proliferation of plasma. multiple myeloma, also known as kahler's disease, is a type of blood cancer that affects plasma cells. Find out how msk experts diagnose, treat,. multiple myeloma, also known as kahler's disease, is a blood cancer that affects. Kahler's Disease.
From www.researchgate.net
(PDF) Kahler’s Disease with a Rare Clinical form and Review of Literature Kahler's Disease multiple myeloma, also known as kahler's disease, is a blood cancer that affects the bone marrow and can lead to kidney problems. multiple myeloma, also known as kahler's disease, is a type of blood cancer that affects plasma cells. Find out how msk experts diagnose, treat,. multiple myeloma is a cancer of plasma cells that affects bone. Kahler's Disease.
From www.withpower.com
Selinexor for Kahler Disease Clinical Trial 2022 Power Kahler's Disease multiple myeloma is a rare blood cancer that affects plasma cells and causes bone, kidney and blood problems. learn about multiple myeloma, a rare blood cancer that affects your bone marrow and immune system. Learn about the causes, risk factors, symptoms, diagnosis, complications, and treatment options for this condition. Find out how msk experts diagnose, treat,. multiple. Kahler's Disease.
From www.pinterest.com
Pin on Infographics Kahler's Disease learn about multiple myeloma, a rare blood cancer that affects your bone marrow and immune system. Learn about the symptoms, causes,. multiple myeloma, also known as kahler's disease, is a blood cancer that affects the bone marrow and can lead to kidney problems. Learn about the causes, risk factors, symptoms, diagnosis, complications, and treatment options for this condition.. Kahler's Disease.
From www.youtube.com
Kahler's Disease, Causes, Signs and Symptoms, Diagnosis and Treatment Kahler's Disease Learn about the symptoms, causes,. multiple myeloma is a cancer of plasma cells that affects bone marrow and causes complications. learn about multiple myeloma, a rare blood cancer that affects your bone marrow and immune system. multiple myeloma is a rare blood cancer that affects plasma cells and causes bone, kidney and blood problems. Learn about the. Kahler's Disease.
From www.youtube.com
Kahler's disease YouTube Kahler's Disease multiple myeloma is a cancer of plasma cells that affects bone marrow and causes complications. Find out how msk experts diagnose, treat,. multiple myeloma is a rare blood cancer that affects plasma cells and causes bone, kidney and blood problems. Learn about the causes, risk factors, symptoms, diagnosis, complications, and treatment options for this condition. Learn about the. Kahler's Disease.
From healthjade.net
Kohler's disease causes, symptoms, diagnosis, treatment & prognosis Kahler's Disease learn about multiple myeloma, a rare blood cancer that affects your bone marrow and immune system. Learn about the symptoms, causes,. multiple myeloma is a rare blood cancer that affects plasma cells and causes bone, kidney and blood problems. multiple myeloma, also known as kahler's disease, is a type of blood cancer that affects plasma cells. Learn. Kahler's Disease.
From crosslandstudio.net
MALADIE DE KAHLER PDF Kahler's Disease learn about multiple myeloma, a rare blood cancer that affects your bone marrow and immune system. multiple myeloma is a rare blood cancer that affects plasma cells and causes bone, kidney and blood problems. multiple myeloma, also known as kahler's disease, is a type of cancer of the plasma cells in the bone marrow. Learn about the. Kahler's Disease.
From www.slideserve.com
PPT Multiple Myeloma (Kahler Disease) Market Development and Product Kahler's Disease multiple myeloma is a cancer of plasma cells that affects bone marrow and causes complications. multiple myeloma, also known as kahler's disease, is a type of cancer of the plasma cells in the bone marrow. Learn about the symptoms, causes,. Learn about the causes, risk factors, symptoms, diagnosis, complications, and treatment options for this condition. multiple myeloma. Kahler's Disease.
From www.slideteam.net
Kahler Disease Prognosis In Powerpoint And Google Slides Cpb Kahler's Disease multiple myeloma, also known as kahler's disease, is a blood cancer that affects the bone marrow and can lead to kidney problems. multiple myeloma is a cancer of plasma cells that affects bone marrow and causes complications. multiple myeloma, also known as kahler's disease, is a type of cancer of the plasma cells in the bone marrow.. Kahler's Disease.
From james-mccormack.com
Kohler’s Disease Learn the Symptoms, Causes and Treatment Kahler's Disease Learn about the causes, risk factors, symptoms, diagnosis, complications, and treatment options for this condition. Find out how msk experts diagnose, treat,. multiple myeloma, also known as kahler's disease, is a type of cancer of the plasma cells in the bone marrow. multiple myeloma, also known as kahler's disease, is a blood cancer that affects the bone marrow. Kahler's Disease.
From termsinfo.blogspot.com
Medical Terms & Сlinical Сases Kahler’s disease Kahler's Disease Learn about the causes, risk factors, symptoms, diagnosis, complications, and treatment options for this condition. multiple myeloma is a cancer of plasma cells that affects bone marrow and causes complications. Learn about the symptoms, causes,. multiple myeloma (mm), also known by the names plasma cell myeloma and kahler disease, is a multifocal proliferation of plasma. multiple myeloma,. Kahler's Disease.
From www.informationhospitaliere.com
Maladie de Kahler causes, manifestations et traitement Information Kahler's Disease multiple myeloma, also known as kahler's disease, is a type of cancer of the plasma cells in the bone marrow. Learn about the symptoms, causes,. Find out how msk experts diagnose, treat,. multiple myeloma is a cancer of plasma cells that affects bone marrow and causes complications. Learn about the causes, risk factors, symptoms, diagnosis, complications, and treatment. Kahler's Disease.
From weillcornell.org
Understanding Multiple Myeloma Demystifying Kahler's Disease Patient Kahler's Disease Learn about the causes, risk factors, symptoms, diagnosis, complications, and treatment options for this condition. learn about multiple myeloma, a rare blood cancer that affects your bone marrow and immune system. Learn about the symptoms, causes,. multiple myeloma (mm), also known by the names plasma cell myeloma and kahler disease, is a multifocal proliferation of plasma. multiple. Kahler's Disease.
From www.gezondheidsnet.nl
Wat is de ziekte van Kahler? Kahler's Disease multiple myeloma, also known as kahler's disease, is a blood cancer that affects the bone marrow and can lead to kidney problems. multiple myeloma, also known as kahler's disease, is a type of cancer of the plasma cells in the bone marrow. multiple myeloma, also known as kahler's disease, is a type of blood cancer that affects. Kahler's Disease.
From www.medicalimages.com
STOCK IMAGE, xray showing a shoulder with kahlers disease multiple Kahler's Disease Find out how msk experts diagnose, treat,. multiple myeloma (mm), also known by the names plasma cell myeloma and kahler disease, is a multifocal proliferation of plasma. Learn about the symptoms, causes,. multiple myeloma is a cancer of plasma cells that affects bone marrow and causes complications. learn about multiple myeloma, a rare blood cancer that affects. Kahler's Disease.
From www.youtube.com
Maladie de kahler symptômes YouTube Kahler's Disease Find out how msk experts diagnose, treat,. multiple myeloma (mm), also known by the names plasma cell myeloma and kahler disease, is a multifocal proliferation of plasma. multiple myeloma, also known as kahler's disease, is a type of blood cancer that affects plasma cells. multiple myeloma, also known as kahler's disease, is a blood cancer that affects. Kahler's Disease.
From www.globaldata.com
Multiple Myeloma (Kahler Disease) Drugs in Development by Stages Kahler's Disease Find out how msk experts diagnose, treat,. Learn about the causes, risk factors, symptoms, diagnosis, complications, and treatment options for this condition. multiple myeloma is a cancer of plasma cells that affects bone marrow and causes complications. multiple myeloma, also known as kahler's disease, is a blood cancer that affects the bone marrow and can lead to kidney. Kahler's Disease.
From www.medicalimages.com
STOCK IMAGE, photomicrograph of multiple myeloma kahlers disease in Kahler's Disease Learn about the symptoms, causes,. multiple myeloma (mm), also known by the names plasma cell myeloma and kahler disease, is a multifocal proliferation of plasma. Learn about the causes, risk factors, symptoms, diagnosis, complications, and treatment options for this condition. multiple myeloma is a rare blood cancer that affects plasma cells and causes bone, kidney and blood problems.. Kahler's Disease.
From www.researchgate.net
Radiological images of related disorders in Kohler's disease (multiple Kahler's Disease multiple myeloma is a cancer of plasma cells that affects bone marrow and causes complications. multiple myeloma is a rare blood cancer that affects plasma cells and causes bone, kidney and blood problems. multiple myeloma, also known as kahler's disease, is a blood cancer that affects the bone marrow and can lead to kidney problems. Learn about. Kahler's Disease.
From brunofuga.adv.br
Kahler's Disease, Causes, Signs And Symptoms, Diagnosis And, 57 OFF Kahler's Disease multiple myeloma (mm), also known by the names plasma cell myeloma and kahler disease, is a multifocal proliferation of plasma. multiple myeloma is a cancer of plasma cells that affects bone marrow and causes complications. multiple myeloma, also known as kahler's disease, is a type of blood cancer that affects plasma cells. multiple myeloma is a. Kahler's Disease.
From moticeurope.blogspot.com
Motic Europe Blog Kahler's disease Kahler's Disease learn about multiple myeloma, a rare blood cancer that affects your bone marrow and immune system. Learn about the symptoms, causes,. multiple myeloma, also known as kahler's disease, is a type of blood cancer that affects plasma cells. Find out how msk experts diagnose, treat,. multiple myeloma (mm), also known by the names plasma cell myeloma and. Kahler's Disease.