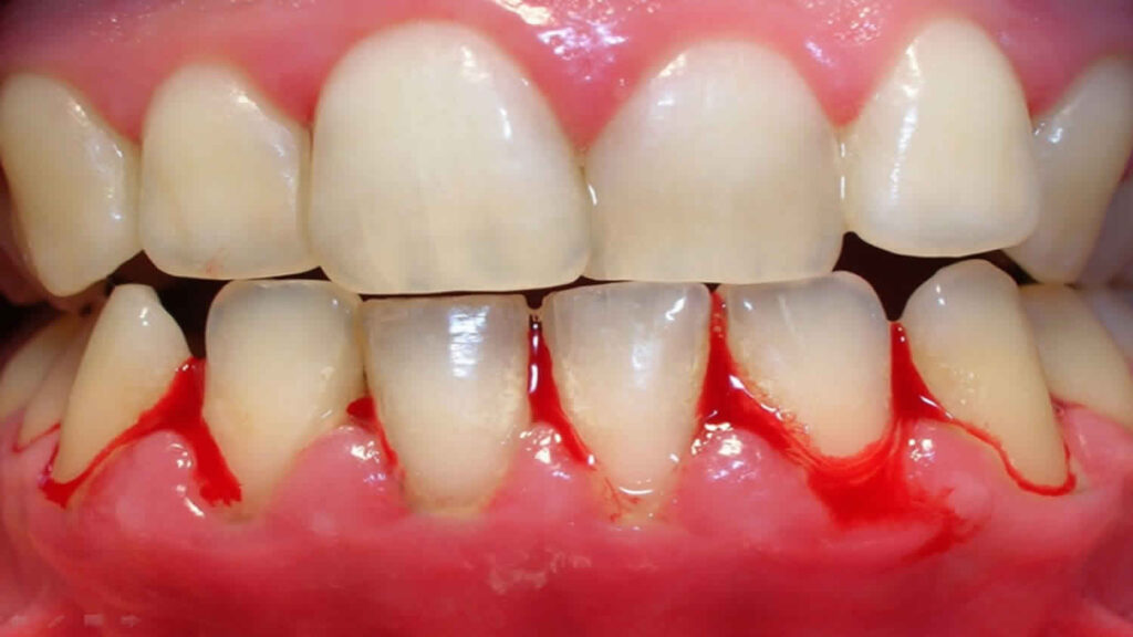
Dental Implant Gum Bleeding . Slight oozing of blood at the site of the implant can last for up to 72 hours. However, if you have dental implant bleeding years later, it can be a sign of infection or other kinds of damage. The gums around the implant should not be swollen, bleeding, producing pus, or reddened in appearance and if this is the case, it’s time to go back to your specialist. If you’ve just got dental implants or are considering them, you might be wondering about implant bleeding. This issue needs to be taken care of immediately. After your surgery for a new dental implant, you may experience bleeding or a blood clot, which are normal. It’s normal to bleed after dental implant surgery because your gums have just been opened and your jawbone has been drilled into to place the titanium post in the jawbone. We’ll discuss what you can expect, and give you some tips on how to properly care for your dental implant after surgery and minimize bleeding. Is it normal or is it a. Whether you have dental implant surgery in one stage or multiple stages, you may experience some of the typical discomforts associated with any type of dental surgery, such as:. Red or tender gums around the implants, or bleeding when brushing.
from www.hendersonvillefamilydental.com
Red or tender gums around the implants, or bleeding when brushing. Slight oozing of blood at the site of the implant can last for up to 72 hours. This issue needs to be taken care of immediately. If you’ve just got dental implants or are considering them, you might be wondering about implant bleeding. We’ll discuss what you can expect, and give you some tips on how to properly care for your dental implant after surgery and minimize bleeding. However, if you have dental implant bleeding years later, it can be a sign of infection or other kinds of damage. After your surgery for a new dental implant, you may experience bleeding or a blood clot, which are normal. Is it normal or is it a. It’s normal to bleed after dental implant surgery because your gums have just been opened and your jawbone has been drilled into to place the titanium post in the jawbone. Whether you have dental implant surgery in one stage or multiple stages, you may experience some of the typical discomforts associated with any type of dental surgery, such as:.
What Do Bleeding Gums Mean? Hendersonville Family Dental
Dental Implant Gum Bleeding The gums around the implant should not be swollen, bleeding, producing pus, or reddened in appearance and if this is the case, it’s time to go back to your specialist. We’ll discuss what you can expect, and give you some tips on how to properly care for your dental implant after surgery and minimize bleeding. The gums around the implant should not be swollen, bleeding, producing pus, or reddened in appearance and if this is the case, it’s time to go back to your specialist. After your surgery for a new dental implant, you may experience bleeding or a blood clot, which are normal. Red or tender gums around the implants, or bleeding when brushing. However, if you have dental implant bleeding years later, it can be a sign of infection or other kinds of damage. Whether you have dental implant surgery in one stage or multiple stages, you may experience some of the typical discomforts associated with any type of dental surgery, such as:. Is it normal or is it a. It’s normal to bleed after dental implant surgery because your gums have just been opened and your jawbone has been drilled into to place the titanium post in the jawbone. Slight oozing of blood at the site of the implant can last for up to 72 hours. If you’ve just got dental implants or are considering them, you might be wondering about implant bleeding. This issue needs to be taken care of immediately.
From www.sarasotadentistry.com
How To Stop Bleeding After Wisdom Tooth Extraction Or Dental Implants Dental Implant Gum Bleeding This issue needs to be taken care of immediately. Slight oozing of blood at the site of the implant can last for up to 72 hours. Is it normal or is it a. If you’ve just got dental implants or are considering them, you might be wondering about implant bleeding. However, if you have dental implant bleeding years later, it. Dental Implant Gum Bleeding.
From www.dentalpark.com.tr
Gum Bleeding bleeding gums Why? Dental Implant Gum Bleeding Red or tender gums around the implants, or bleeding when brushing. However, if you have dental implant bleeding years later, it can be a sign of infection or other kinds of damage. Slight oozing of blood at the site of the implant can last for up to 72 hours. We’ll discuss what you can expect, and give you some tips. Dental Implant Gum Bleeding.
From expertdental.in
Dental Implants and Gum Disease Understanding the Connection Dental Implant Gum Bleeding If you’ve just got dental implants or are considering them, you might be wondering about implant bleeding. However, if you have dental implant bleeding years later, it can be a sign of infection or other kinds of damage. We’ll discuss what you can expect, and give you some tips on how to properly care for your dental implant after surgery. Dental Implant Gum Bleeding.
From www.alanyadentalplace.com
Why Does Gum Bleeding Occur? And How To Stop It? Alanya Dental Place Dental Implant Gum Bleeding Red or tender gums around the implants, or bleeding when brushing. Slight oozing of blood at the site of the implant can last for up to 72 hours. If you’ve just got dental implants or are considering them, you might be wondering about implant bleeding. Is it normal or is it a. The gums around the implant should not be. Dental Implant Gum Bleeding.
From drm.center
5 Reasons Why Your Gums Are Bleeding Dr. M Center Dental Implant Gum Bleeding The gums around the implant should not be swollen, bleeding, producing pus, or reddened in appearance and if this is the case, it’s time to go back to your specialist. This issue needs to be taken care of immediately. Is it normal or is it a. We’ll discuss what you can expect, and give you some tips on how to. Dental Implant Gum Bleeding.
From www.perioimplantadvisory.com
Gum bleeding after a dental cleaning Perio Implant Advisory Dental Implant Gum Bleeding After your surgery for a new dental implant, you may experience bleeding or a blood clot, which are normal. If you’ve just got dental implants or are considering them, you might be wondering about implant bleeding. The gums around the implant should not be swollen, bleeding, producing pus, or reddened in appearance and if this is the case, it’s time. Dental Implant Gum Bleeding.
From www.moderndentalsmiles.com
Gum Bleeding Tips from a Boynton Beach Emergency Dentist Dental Implant Gum Bleeding We’ll discuss what you can expect, and give you some tips on how to properly care for your dental implant after surgery and minimize bleeding. Red or tender gums around the implants, or bleeding when brushing. However, if you have dental implant bleeding years later, it can be a sign of infection or other kinds of damage. This issue needs. Dental Implant Gum Bleeding.
From platinumdentalvietnam.com
Dental Implant Bleeding What You Need to Know Platinum Dental Group Dental Implant Gum Bleeding This issue needs to be taken care of immediately. We’ll discuss what you can expect, and give you some tips on how to properly care for your dental implant after surgery and minimize bleeding. However, if you have dental implant bleeding years later, it can be a sign of infection or other kinds of damage. Red or tender gums around. Dental Implant Gum Bleeding.
From www.ariadental.net.au
Dental Implant Gum Disease Aria Dental Dental Implant Gum Bleeding This issue needs to be taken care of immediately. However, if you have dental implant bleeding years later, it can be a sign of infection or other kinds of damage. We’ll discuss what you can expect, and give you some tips on how to properly care for your dental implant after surgery and minimize bleeding. Is it normal or is. Dental Implant Gum Bleeding.
From www.vanillasmiles.dental
6 Potential Causes of Bleeding Gums Vanilla Smiles Dental Implant Gum Bleeding Slight oozing of blood at the site of the implant can last for up to 72 hours. It’s normal to bleed after dental implant surgery because your gums have just been opened and your jawbone has been drilled into to place the titanium post in the jawbone. If you’ve just got dental implants or are considering them, you might be. Dental Implant Gum Bleeding.
From dentalartssandiego.com
Bleeding Gums Dental Conditions in San Diego Dental Arts San Diego Dental Implant Gum Bleeding We’ll discuss what you can expect, and give you some tips on how to properly care for your dental implant after surgery and minimize bleeding. After your surgery for a new dental implant, you may experience bleeding or a blood clot, which are normal. This issue needs to be taken care of immediately. Slight oozing of blood at the site. Dental Implant Gum Bleeding.
From gentledentalmaine.com
Four Common Causes Of Bleeding Gums Gentle Dental Maine Dental Implant Gum Bleeding Is it normal or is it a. If you’ve just got dental implants or are considering them, you might be wondering about implant bleeding. We’ll discuss what you can expect, and give you some tips on how to properly care for your dental implant after surgery and minimize bleeding. After your surgery for a new dental implant, you may experience. Dental Implant Gum Bleeding.
From clinicabadadent.com
A man has gum bleeding. Photos before and after treatment of per Dental Implant Gum Bleeding Is it normal or is it a. However, if you have dental implant bleeding years later, it can be a sign of infection or other kinds of damage. If you’ve just got dental implants or are considering them, you might be wondering about implant bleeding. The gums around the implant should not be swollen, bleeding, producing pus, or reddened in. Dental Implant Gum Bleeding.
From expressdentist.com
Bleeding Gums Causes and Home Remedies Express Dentist Dental Implant Gum Bleeding This issue needs to be taken care of immediately. The gums around the implant should not be swollen, bleeding, producing pus, or reddened in appearance and if this is the case, it’s time to go back to your specialist. Red or tender gums around the implants, or bleeding when brushing. Slight oozing of blood at the site of the implant. Dental Implant Gum Bleeding.
From nhakhoasydney.com.vn
Dental implant bump on gum What causes it? Nha Khoa Sydney Dental Implant Gum Bleeding This issue needs to be taken care of immediately. Slight oozing of blood at the site of the implant can last for up to 72 hours. We’ll discuss what you can expect, and give you some tips on how to properly care for your dental implant after surgery and minimize bleeding. It’s normal to bleed after dental implant surgery because. Dental Implant Gum Bleeding.
From portlandperioimplantcenter.com
Why Bleeding Gums Are A Big Deal Portland Perio Implant Center Dental Implant Gum Bleeding However, if you have dental implant bleeding years later, it can be a sign of infection or other kinds of damage. This issue needs to be taken care of immediately. If you’ve just got dental implants or are considering them, you might be wondering about implant bleeding. Whether you have dental implant surgery in one stage or multiple stages, you. Dental Implant Gum Bleeding.
From burbankdentalimplants.com
Gum Disease With Full Mouth Implants All on 4/5/6 Dental Implant Gum Bleeding We’ll discuss what you can expect, and give you some tips on how to properly care for your dental implant after surgery and minimize bleeding. However, if you have dental implant bleeding years later, it can be a sign of infection or other kinds of damage. After your surgery for a new dental implant, you may experience bleeding or a. Dental Implant Gum Bleeding.
From www.drsamcan.com
Dental Implants and Gum Disease What You Need to Know Dental Implant Gum Bleeding However, if you have dental implant bleeding years later, it can be a sign of infection or other kinds of damage. If you’ve just got dental implants or are considering them, you might be wondering about implant bleeding. Is it normal or is it a. We’ll discuss what you can expect, and give you some tips on how to properly. Dental Implant Gum Bleeding.
From www.zenitdent.com
Gum Bleeding Zenit Dent Dental Implant Gum Bleeding The gums around the implant should not be swollen, bleeding, producing pus, or reddened in appearance and if this is the case, it’s time to go back to your specialist. We’ll discuss what you can expect, and give you some tips on how to properly care for your dental implant after surgery and minimize bleeding. This issue needs to be. Dental Implant Gum Bleeding.
From www.hendersonvillefamilydental.com
What Do Bleeding Gums Mean? Hendersonville Family Dental Dental Implant Gum Bleeding We’ll discuss what you can expect, and give you some tips on how to properly care for your dental implant after surgery and minimize bleeding. However, if you have dental implant bleeding years later, it can be a sign of infection or other kinds of damage. If you’ve just got dental implants or are considering them, you might be wondering. Dental Implant Gum Bleeding.
From www.ardendentalcenter.com
Bleeding Gums and How They Affect Dental Health Arden Dental Center Dental Implant Gum Bleeding After your surgery for a new dental implant, you may experience bleeding or a blood clot, which are normal. If you’ve just got dental implants or are considering them, you might be wondering about implant bleeding. This issue needs to be taken care of immediately. Red or tender gums around the implants, or bleeding when brushing. Is it normal or. Dental Implant Gum Bleeding.
From www.shandondental.ie
Bleeding Gums The facts Shandon Dental Cork Dentist Blog Dental Implant Gum Bleeding Whether you have dental implant surgery in one stage or multiple stages, you may experience some of the typical discomforts associated with any type of dental surgery, such as:. It’s normal to bleed after dental implant surgery because your gums have just been opened and your jawbone has been drilled into to place the titanium post in the jawbone. However,. Dental Implant Gum Bleeding.
From optimalhealth-dentistry.gr
Bleeding Gums? These 5 Things Could Be The Cause Optimal Health Dentistry Dental Implant Gum Bleeding Whether you have dental implant surgery in one stage or multiple stages, you may experience some of the typical discomforts associated with any type of dental surgery, such as:. If you’ve just got dental implants or are considering them, you might be wondering about implant bleeding. After your surgery for a new dental implant, you may experience bleeding or a. Dental Implant Gum Bleeding.
From www.alamy.com
Bleeding gums or Periodontal pathological inflammatory condition of Dental Implant Gum Bleeding Red or tender gums around the implants, or bleeding when brushing. However, if you have dental implant bleeding years later, it can be a sign of infection or other kinds of damage. It’s normal to bleed after dental implant surgery because your gums have just been opened and your jawbone has been drilled into to place the titanium post in. Dental Implant Gum Bleeding.
From ladentalclinic.com
Are Your Gums Bleeding? Here’s What You Need to Do LA Dental Clinic Dental Implant Gum Bleeding Red or tender gums around the implants, or bleeding when brushing. Is it normal or is it a. After your surgery for a new dental implant, you may experience bleeding or a blood clot, which are normal. Slight oozing of blood at the site of the implant can last for up to 72 hours. Whether you have dental implant surgery. Dental Implant Gum Bleeding.
From www.alamy.com
Periimplantitis with visible gum recession. Medically accurate 3D Dental Implant Gum Bleeding After your surgery for a new dental implant, you may experience bleeding or a blood clot, which are normal. The gums around the implant should not be swollen, bleeding, producing pus, or reddened in appearance and if this is the case, it’s time to go back to your specialist. Whether you have dental implant surgery in one stage or multiple. Dental Implant Gum Bleeding.
From www.dentaldelaware.com
What do bleeding gums mean? Southern Delaware Dental Specialists Dental Implant Gum Bleeding If you’ve just got dental implants or are considering them, you might be wondering about implant bleeding. The gums around the implant should not be swollen, bleeding, producing pus, or reddened in appearance and if this is the case, it’s time to go back to your specialist. We’ll discuss what you can expect, and give you some tips on how. Dental Implant Gum Bleeding.
From www.dentalimplants123.com
Periodontics Dental Implants Chrysalis Dental Centres Canada Dental Implant Gum Bleeding If you’ve just got dental implants or are considering them, you might be wondering about implant bleeding. We’ll discuss what you can expect, and give you some tips on how to properly care for your dental implant after surgery and minimize bleeding. Red or tender gums around the implants, or bleeding when brushing. This issue needs to be taken care. Dental Implant Gum Bleeding.
From uptowncosmeticimplantdentistry.com
Failing Dental Implant Symptoms Houston, TX Dental Implant Gum Bleeding Slight oozing of blood at the site of the implant can last for up to 72 hours. After your surgery for a new dental implant, you may experience bleeding or a blood clot, which are normal. Whether you have dental implant surgery in one stage or multiple stages, you may experience some of the typical discomforts associated with any type. Dental Implant Gum Bleeding.
From www.dentaldelaware.com
Bleeding gums in Delaware Sussex County Southern Delaware Dental Dental Implant Gum Bleeding If you’ve just got dental implants or are considering them, you might be wondering about implant bleeding. Whether you have dental implant surgery in one stage or multiple stages, you may experience some of the typical discomforts associated with any type of dental surgery, such as:. It’s normal to bleed after dental implant surgery because your gums have just been. Dental Implant Gum Bleeding.
From newmetrodental.com
Bleeding Gums Metro Dental Lounge Dental Implant Gum Bleeding It’s normal to bleed after dental implant surgery because your gums have just been opened and your jawbone has been drilled into to place the titanium post in the jawbone. Slight oozing of blood at the site of the implant can last for up to 72 hours. We’ll discuss what you can expect, and give you some tips on how. Dental Implant Gum Bleeding.
From www.samedayimplants.com
Dental Implants Seattle Wa Causes Of Bleeding, Swollen, Or Sore Gums Dental Implant Gum Bleeding We’ll discuss what you can expect, and give you some tips on how to properly care for your dental implant after surgery and minimize bleeding. Whether you have dental implant surgery in one stage or multiple stages, you may experience some of the typical discomforts associated with any type of dental surgery, such as:. The gums around the implant should. Dental Implant Gum Bleeding.
From drmiski.com
Is It Normal That I Have a Bleeding Gum French Dental Services Dr Dental Implant Gum Bleeding Is it normal or is it a. It’s normal to bleed after dental implant surgery because your gums have just been opened and your jawbone has been drilled into to place the titanium post in the jawbone. If you’ve just got dental implants or are considering them, you might be wondering about implant bleeding. After your surgery for a new. Dental Implant Gum Bleeding.
From blog.nxdental.com
Causes of Gum Bleeding and Its Treatment Next Generation Dental Blog Dental Implant Gum Bleeding We’ll discuss what you can expect, and give you some tips on how to properly care for your dental implant after surgery and minimize bleeding. It’s normal to bleed after dental implant surgery because your gums have just been opened and your jawbone has been drilled into to place the titanium post in the jawbone. If you’ve just got dental. Dental Implant Gum Bleeding.
From avenuedentalarts.com
Why Are My Gums Bleeding? Avenue Dental Arts Dental Implant Gum Bleeding After your surgery for a new dental implant, you may experience bleeding or a blood clot, which are normal. It’s normal to bleed after dental implant surgery because your gums have just been opened and your jawbone has been drilled into to place the titanium post in the jawbone. We’ll discuss what you can expect, and give you some tips. Dental Implant Gum Bleeding.