Mercury Amalgam Fillings Ban . The new law will phase out the use of dental amalgam in the eu by 1 january 2025 except if deemed strictly necessary by the dental. Should you worry about protecting your health,. The uk and ni want to keep using them. European parliament representatives and the belgian eu. Today, the council adopted a regulation to completely ban the use of dental amalgams and to prohibit manufacturing,. With the proposed regulation to revise the eu mercury regulation, the european commission plans to ban dental amalgam. The european union banned mercury amalgam fillings to protect the environment.
from www.sickofbeingstuck.com
The new law will phase out the use of dental amalgam in the eu by 1 january 2025 except if deemed strictly necessary by the dental. European parliament representatives and the belgian eu. The uk and ni want to keep using them. Should you worry about protecting your health,. With the proposed regulation to revise the eu mercury regulation, the european commission plans to ban dental amalgam. Today, the council adopted a regulation to completely ban the use of dental amalgams and to prohibit manufacturing,. The european union banned mercury amalgam fillings to protect the environment.
Should I Remove My Mercury Amalgam Fillings? Dangers, Side Effects
Mercury Amalgam Fillings Ban With the proposed regulation to revise the eu mercury regulation, the european commission plans to ban dental amalgam. The uk and ni want to keep using them. The european union banned mercury amalgam fillings to protect the environment. European parliament representatives and the belgian eu. The new law will phase out the use of dental amalgam in the eu by 1 january 2025 except if deemed strictly necessary by the dental. Should you worry about protecting your health,. With the proposed regulation to revise the eu mercury regulation, the european commission plans to ban dental amalgam. Today, the council adopted a regulation to completely ban the use of dental amalgams and to prohibit manufacturing,.
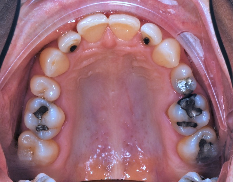
From thetacomadentist.com
Safe Mercury Amalgam Fillings Removal Dentist Mercury Amalgam Fillings Ban Should you worry about protecting your health,. With the proposed regulation to revise the eu mercury regulation, the european commission plans to ban dental amalgam. The uk and ni want to keep using them. The new law will phase out the use of dental amalgam in the eu by 1 january 2025 except if deemed strictly necessary by the dental.. Mercury Amalgam Fillings Ban.
From www.lifetimedental.com.au
You Guide to Safe Mercury Amalgam Dental Filling Removal Mercury Amalgam Fillings Ban The new law will phase out the use of dental amalgam in the eu by 1 january 2025 except if deemed strictly necessary by the dental. Should you worry about protecting your health,. The european union banned mercury amalgam fillings to protect the environment. The uk and ni want to keep using them. With the proposed regulation to revise the. Mercury Amalgam Fillings Ban.
From www.prnewswire.com
Mercury Released from Dental Amalgam Fillings in Response to Different Mercury Amalgam Fillings Ban Should you worry about protecting your health,. The new law will phase out the use of dental amalgam in the eu by 1 january 2025 except if deemed strictly necessary by the dental. The european union banned mercury amalgam fillings to protect the environment. European parliament representatives and the belgian eu. The uk and ni want to keep using them.. Mercury Amalgam Fillings Ban.
From www.dentistrytoday.com
Amalgam Fillings May Raise Mercury Levels in the Body Dentistry Today Mercury Amalgam Fillings Ban European parliament representatives and the belgian eu. The new law will phase out the use of dental amalgam in the eu by 1 january 2025 except if deemed strictly necessary by the dental. The uk and ni want to keep using them. The european union banned mercury amalgam fillings to protect the environment. Should you worry about protecting your health,.. Mercury Amalgam Fillings Ban.
From www.sickofbeingstuck.com
Should I Remove My Mercury Amalgam Fillings? Dangers, Side Effects Mercury Amalgam Fillings Ban The uk and ni want to keep using them. The european union banned mercury amalgam fillings to protect the environment. The new law will phase out the use of dental amalgam in the eu by 1 january 2025 except if deemed strictly necessary by the dental. Should you worry about protecting your health,. Today, the council adopted a regulation to. Mercury Amalgam Fillings Ban.
From ejustice.lk
It is time to getrid of MercuryAmalgam Ejustice Mercury Amalgam Fillings Ban The uk and ni want to keep using them. The european union banned mercury amalgam fillings to protect the environment. Should you worry about protecting your health,. European parliament representatives and the belgian eu. Today, the council adopted a regulation to completely ban the use of dental amalgams and to prohibit manufacturing,. The new law will phase out the use. Mercury Amalgam Fillings Ban.
From www.shdc.com.au
Mercury Amalgam Removal Sydney Holistic Dental Centre CBD Mercury Amalgam Fillings Ban Should you worry about protecting your health,. The european union banned mercury amalgam fillings to protect the environment. The new law will phase out the use of dental amalgam in the eu by 1 january 2025 except if deemed strictly necessary by the dental. Today, the council adopted a regulation to completely ban the use of dental amalgams and to. Mercury Amalgam Fillings Ban.
From iaomt.org
NEW RESEARCH CONFIRMS THE MAJORITY OF AMERICANS MERCURY EXPOSURE FROM Mercury Amalgam Fillings Ban Today, the council adopted a regulation to completely ban the use of dental amalgams and to prohibit manufacturing,. With the proposed regulation to revise the eu mercury regulation, the european commission plans to ban dental amalgam. The european union banned mercury amalgam fillings to protect the environment. Should you worry about protecting your health,. The uk and ni want to. Mercury Amalgam Fillings Ban.
From plazadental.com.au
Mercury Great as a Lousy as Leaky Amalgam Fillings Plaza Dental Mercury Amalgam Fillings Ban With the proposed regulation to revise the eu mercury regulation, the european commission plans to ban dental amalgam. Should you worry about protecting your health,. European parliament representatives and the belgian eu. The european union banned mercury amalgam fillings to protect the environment. The new law will phase out the use of dental amalgam in the eu by 1 january. Mercury Amalgam Fillings Ban.
From www.seattledentalcare.com
Risks of Mercury Fillings Seattle Dental Care Seattle, WA Mercury Amalgam Fillings Ban The new law will phase out the use of dental amalgam in the eu by 1 january 2025 except if deemed strictly necessary by the dental. The european union banned mercury amalgam fillings to protect the environment. The uk and ni want to keep using them. Today, the council adopted a regulation to completely ban the use of dental amalgams. Mercury Amalgam Fillings Ban.
From iaomt.org
The EU Will Ban Dental Amalgam by January 2025 IAOMT Mercury Amalgam Fillings Ban The new law will phase out the use of dental amalgam in the eu by 1 january 2025 except if deemed strictly necessary by the dental. With the proposed regulation to revise the eu mercury regulation, the european commission plans to ban dental amalgam. The european union banned mercury amalgam fillings to protect the environment. European parliament representatives and the. Mercury Amalgam Fillings Ban.
From onatskydentalclinic.com
Mercury Amalgam Removal Brooklyn, NY Onatsky Dental Clinic Mercury Amalgam Fillings Ban European parliament representatives and the belgian eu. The uk and ni want to keep using them. The european union banned mercury amalgam fillings to protect the environment. Today, the council adopted a regulation to completely ban the use of dental amalgams and to prohibit manufacturing,. With the proposed regulation to revise the eu mercury regulation, the european commission plans to. Mercury Amalgam Fillings Ban.
From smilesbybis.com
Amalgam Filling Removal How to Get S.M.A.R.T. Dr. Bis Oakville Mercury Amalgam Fillings Ban European parliament representatives and the belgian eu. The european union banned mercury amalgam fillings to protect the environment. Should you worry about protecting your health,. With the proposed regulation to revise the eu mercury regulation, the european commission plans to ban dental amalgam. Today, the council adopted a regulation to completely ban the use of dental amalgams and to prohibit. Mercury Amalgam Fillings Ban.
From inverleithdentalcare.co.uk
The Amalgam Ban A Safer and More Ethical Approach to Dental Fillings Mercury Amalgam Fillings Ban With the proposed regulation to revise the eu mercury regulation, the european commission plans to ban dental amalgam. Today, the council adopted a regulation to completely ban the use of dental amalgams and to prohibit manufacturing,. The new law will phase out the use of dental amalgam in the eu by 1 january 2025 except if deemed strictly necessary by. Mercury Amalgam Fillings Ban.
From www.wddty.com
Amalgam fillings face ban across Europe What Doctors Don't Tell You Mercury Amalgam Fillings Ban European parliament representatives and the belgian eu. Should you worry about protecting your health,. Today, the council adopted a regulation to completely ban the use of dental amalgams and to prohibit manufacturing,. The european union banned mercury amalgam fillings to protect the environment. The new law will phase out the use of dental amalgam in the eu by 1 january. Mercury Amalgam Fillings Ban.
From www.shutterstock.com
Amalgam Mercury Filling Replacing Ligt Cure Stock Photo 1854590944 Mercury Amalgam Fillings Ban Should you worry about protecting your health,. With the proposed regulation to revise the eu mercury regulation, the european commission plans to ban dental amalgam. Today, the council adopted a regulation to completely ban the use of dental amalgams and to prohibit manufacturing,. The uk and ni want to keep using them. The european union banned mercury amalgam fillings to. Mercury Amalgam Fillings Ban.
From www.pinterest.com
Since the early 19th century, mercury amalgam fillings have been used Mercury Amalgam Fillings Ban Should you worry about protecting your health,. Today, the council adopted a regulation to completely ban the use of dental amalgams and to prohibit manufacturing,. With the proposed regulation to revise the eu mercury regulation, the european commission plans to ban dental amalgam. The new law will phase out the use of dental amalgam in the eu by 1 january. Mercury Amalgam Fillings Ban.
From www.getoffcpap.com
Safe, SMARTCertified Mercury Amalgam Filling Removal & Holistic Mercury Amalgam Fillings Ban Today, the council adopted a regulation to completely ban the use of dental amalgams and to prohibit manufacturing,. The uk and ni want to keep using them. European parliament representatives and the belgian eu. The new law will phase out the use of dental amalgam in the eu by 1 january 2025 except if deemed strictly necessary by the dental.. Mercury Amalgam Fillings Ban.
From www.shdc.com.au
Mercury Amalgam Removal Sydney Holistic Dental Centre CBD Mercury Amalgam Fillings Ban European parliament representatives and the belgian eu. The european union banned mercury amalgam fillings to protect the environment. Should you worry about protecting your health,. Today, the council adopted a regulation to completely ban the use of dental amalgams and to prohibit manufacturing,. With the proposed regulation to revise the eu mercury regulation, the european commission plans to ban dental. Mercury Amalgam Fillings Ban.
From www.holisticdentistry.co.za
Holistic Dentistry Mercury Amalgam What's all the Fuss? Hout Bay Mercury Amalgam Fillings Ban The new law will phase out the use of dental amalgam in the eu by 1 january 2025 except if deemed strictly necessary by the dental. Today, the council adopted a regulation to completely ban the use of dental amalgams and to prohibit manufacturing,. The european union banned mercury amalgam fillings to protect the environment. Should you worry about protecting. Mercury Amalgam Fillings Ban.
From smilesbybis.com
Safe Mercury Amalgam Removal Technique (SMART) How to remove Mercury Mercury Amalgam Fillings Ban Today, the council adopted a regulation to completely ban the use of dental amalgams and to prohibit manufacturing,. The european union banned mercury amalgam fillings to protect the environment. European parliament representatives and the belgian eu. The uk and ni want to keep using them. With the proposed regulation to revise the eu mercury regulation, the european commission plans to. Mercury Amalgam Fillings Ban.
From www.euronews.com
Lawmakers agree to ban mercurybased filling for cavities by 2025 Mercury Amalgam Fillings Ban With the proposed regulation to revise the eu mercury regulation, the european commission plans to ban dental amalgam. The european union banned mercury amalgam fillings to protect the environment. Should you worry about protecting your health,. The uk and ni want to keep using them. European parliament representatives and the belgian eu. Today, the council adopted a regulation to completely. Mercury Amalgam Fillings Ban.
From bantoxics.org
STOP THE ONLINE SELLING OF MERCURY DENTAL AMALGAM BAN Toxics Mercury Amalgam Fillings Ban The european union banned mercury amalgam fillings to protect the environment. The new law will phase out the use of dental amalgam in the eu by 1 january 2025 except if deemed strictly necessary by the dental. The uk and ni want to keep using them. With the proposed regulation to revise the eu mercury regulation, the european commission plans. Mercury Amalgam Fillings Ban.
From bantoxics.org
NATIONAL DENTAL HEALTH MONTH BAN MERCURY DENTAL AMALGAM BAN Toxics Mercury Amalgam Fillings Ban The european union banned mercury amalgam fillings to protect the environment. Should you worry about protecting your health,. European parliament representatives and the belgian eu. The new law will phase out the use of dental amalgam in the eu by 1 january 2025 except if deemed strictly necessary by the dental. Today, the council adopted a regulation to completely ban. Mercury Amalgam Fillings Ban.
From www.dentistry33.com
Ban mercury fillings Advocacy groups to President Biden Dentistry33 Mercury Amalgam Fillings Ban Today, the council adopted a regulation to completely ban the use of dental amalgams and to prohibit manufacturing,. European parliament representatives and the belgian eu. The european union banned mercury amalgam fillings to protect the environment. The uk and ni want to keep using them. The new law will phase out the use of dental amalgam in the eu by. Mercury Amalgam Fillings Ban.
From endalldisease.com
Ten Shocking Facts about Mercury Amalgam Fillings ENDALLDISEASE Mercury Amalgam Fillings Ban The new law will phase out the use of dental amalgam in the eu by 1 january 2025 except if deemed strictly necessary by the dental. The uk and ni want to keep using them. With the proposed regulation to revise the eu mercury regulation, the european commission plans to ban dental amalgam. Should you worry about protecting your health,.. Mercury Amalgam Fillings Ban.
From ariadentalcare.com
The Symptoms of Mercury Poisoning from Amalgam Fillings Mercury Amalgam Fillings Ban European parliament representatives and the belgian eu. The uk and ni want to keep using them. The european union banned mercury amalgam fillings to protect the environment. With the proposed regulation to revise the eu mercury regulation, the european commission plans to ban dental amalgam. Should you worry about protecting your health,. Today, the council adopted a regulation to completely. Mercury Amalgam Fillings Ban.
From www.totalcaredental.com
Dangers of Dental Amalgam Fillings Total Care Dental Holistic Dentistry Mercury Amalgam Fillings Ban The european union banned mercury amalgam fillings to protect the environment. The uk and ni want to keep using them. The new law will phase out the use of dental amalgam in the eu by 1 january 2025 except if deemed strictly necessary by the dental. European parliament representatives and the belgian eu. With the proposed regulation to revise the. Mercury Amalgam Fillings Ban.
From easyhealthoptions.com
What to do about your toxic mercury fillings Easy Health OptionsĀ® Mercury Amalgam Fillings Ban Today, the council adopted a regulation to completely ban the use of dental amalgams and to prohibit manufacturing,. Should you worry about protecting your health,. The uk and ni want to keep using them. The european union banned mercury amalgam fillings to protect the environment. The new law will phase out the use of dental amalgam in the eu by. Mercury Amalgam Fillings Ban.
From stsmiles.com
What Is The Safe Mercury Amalgam Removal Technique? Mercury Amalgam Fillings Ban Should you worry about protecting your health,. The new law will phase out the use of dental amalgam in the eu by 1 january 2025 except if deemed strictly necessary by the dental. European parliament representatives and the belgian eu. The uk and ni want to keep using them. Today, the council adopted a regulation to completely ban the use. Mercury Amalgam Fillings Ban.
From pearlzadehdds.com
The Dangers Of Mercury Fillings What You Need To Know Mercury Amalgam Fillings Ban With the proposed regulation to revise the eu mercury regulation, the european commission plans to ban dental amalgam. Should you worry about protecting your health,. The new law will phase out the use of dental amalgam in the eu by 1 january 2025 except if deemed strictly necessary by the dental. The uk and ni want to keep using them.. Mercury Amalgam Fillings Ban.
From www.globalhealingcenter.com
FDA Announces They Will Consider Ban on Mercury Amalgam Fillings Mercury Amalgam Fillings Ban With the proposed regulation to revise the eu mercury regulation, the european commission plans to ban dental amalgam. European parliament representatives and the belgian eu. Should you worry about protecting your health,. The uk and ni want to keep using them. Today, the council adopted a regulation to completely ban the use of dental amalgams and to prohibit manufacturing,. The. Mercury Amalgam Fillings Ban.
From annarborsmiles.com
Mercury Filling Replacement Ann Arbor Smiles Dental Group Mercury Amalgam Fillings Ban The european union banned mercury amalgam fillings to protect the environment. Today, the council adopted a regulation to completely ban the use of dental amalgams and to prohibit manufacturing,. European parliament representatives and the belgian eu. The uk and ni want to keep using them. Should you worry about protecting your health,. The new law will phase out the use. Mercury Amalgam Fillings Ban.
From studiodentalarts.com
Studio Dental Arts SMART Safe Mercury Amalgam Removal Mercury Amalgam Fillings Ban The european union banned mercury amalgam fillings to protect the environment. European parliament representatives and the belgian eu. Today, the council adopted a regulation to completely ban the use of dental amalgams and to prohibit manufacturing,. The uk and ni want to keep using them. The new law will phase out the use of dental amalgam in the eu by. Mercury Amalgam Fillings Ban.
From www.youtube.com
AMALGAM or MERCURY SILVER FILLINGS? Aria Dental YouTube Mercury Amalgam Fillings Ban With the proposed regulation to revise the eu mercury regulation, the european commission plans to ban dental amalgam. The european union banned mercury amalgam fillings to protect the environment. Should you worry about protecting your health,. Today, the council adopted a regulation to completely ban the use of dental amalgams and to prohibit manufacturing,. The uk and ni want to. Mercury Amalgam Fillings Ban.