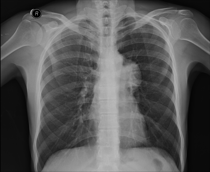
Hilum Anatomy Chest X Ray . The right inferior pulmonary vein is located inferior and medial to the hilum, and does not contribute significantly to the hilar silhouette. There are also important structures that are obscured or become visible only when abnormal. Each of these anatomical structures should be viewed using a systematic approach. Trachea, carina, bronchi and hilar structures. This is termed the hilar angle (fig. a shallow concave angle is formed at the point where the superior pulmonary vein crosses the interlobar pulmonary artery. hilum in human anatomy refers to the depression where structures such as blood vessels and nerves enter.
from www.radiology.expert
Trachea, carina, bronchi and hilar structures. There are also important structures that are obscured or become visible only when abnormal. hilum in human anatomy refers to the depression where structures such as blood vessels and nerves enter. The right inferior pulmonary vein is located inferior and medial to the hilum, and does not contribute significantly to the hilar silhouette. a shallow concave angle is formed at the point where the superior pulmonary vein crosses the interlobar pulmonary artery. This is termed the hilar angle (fig. Each of these anatomical structures should be viewed using a systematic approach.
Chest Xray
Hilum Anatomy Chest X Ray This is termed the hilar angle (fig. Trachea, carina, bronchi and hilar structures. Each of these anatomical structures should be viewed using a systematic approach. hilum in human anatomy refers to the depression where structures such as blood vessels and nerves enter. a shallow concave angle is formed at the point where the superior pulmonary vein crosses the interlobar pulmonary artery. This is termed the hilar angle (fig. There are also important structures that are obscured or become visible only when abnormal. The right inferior pulmonary vein is located inferior and medial to the hilum, and does not contribute significantly to the hilar silhouette.
From mavink.com
Hilum Chest X Ray Hilum Anatomy Chest X Ray Trachea, carina, bronchi and hilar structures. There are also important structures that are obscured or become visible only when abnormal. This is termed the hilar angle (fig. Each of these anatomical structures should be viewed using a systematic approach. a shallow concave angle is formed at the point where the superior pulmonary vein crosses the interlobar pulmonary artery. . Hilum Anatomy Chest X Ray.
From mavink.com
Hilum Of Lung X Ray Hilum Anatomy Chest X Ray a shallow concave angle is formed at the point where the superior pulmonary vein crosses the interlobar pulmonary artery. The right inferior pulmonary vein is located inferior and medial to the hilum, and does not contribute significantly to the hilar silhouette. Each of these anatomical structures should be viewed using a systematic approach. There are also important structures that. Hilum Anatomy Chest X Ray.
From mungfali.com
Hilar Lymphadenopathy On Chest X Ray Hilum Anatomy Chest X Ray Each of these anatomical structures should be viewed using a systematic approach. hilum in human anatomy refers to the depression where structures such as blood vessels and nerves enter. Trachea, carina, bronchi and hilar structures. There are also important structures that are obscured or become visible only when abnormal. This is termed the hilar angle (fig. a shallow. Hilum Anatomy Chest X Ray.
From www.youtube.com
Normal Chest XRay Labelled Anatomy PA View CXR Interpretation Ribs Hilum Anatomy Chest X Ray This is termed the hilar angle (fig. Each of these anatomical structures should be viewed using a systematic approach. a shallow concave angle is formed at the point where the superior pulmonary vein crosses the interlobar pulmonary artery. There are also important structures that are obscured or become visible only when abnormal. Trachea, carina, bronchi and hilar structures. . Hilum Anatomy Chest X Ray.
From www.researchgate.net
Chest Xray showing enlargement of left hilum probably due to main Hilum Anatomy Chest X Ray This is termed the hilar angle (fig. Each of these anatomical structures should be viewed using a systematic approach. hilum in human anatomy refers to the depression where structures such as blood vessels and nerves enter. The right inferior pulmonary vein is located inferior and medial to the hilum, and does not contribute significantly to the hilar silhouette. There. Hilum Anatomy Chest X Ray.
From mavink.com
Hilum Chest X Ray Hilum Anatomy Chest X Ray hilum in human anatomy refers to the depression where structures such as blood vessels and nerves enter. Each of these anatomical structures should be viewed using a systematic approach. Trachea, carina, bronchi and hilar structures. There are also important structures that are obscured or become visible only when abnormal. The right inferior pulmonary vein is located inferior and medial. Hilum Anatomy Chest X Ray.
From www.researchgate.net
Chest xray showing a solid mass with a clear border at the right hilum Hilum Anatomy Chest X Ray Trachea, carina, bronchi and hilar structures. Each of these anatomical structures should be viewed using a systematic approach. hilum in human anatomy refers to the depression where structures such as blood vessels and nerves enter. a shallow concave angle is formed at the point where the superior pulmonary vein crosses the interlobar pulmonary artery. The right inferior pulmonary. Hilum Anatomy Chest X Ray.
From www.animalia-life.club
Normal Chest Xray Labeled Hilum Anatomy Chest X Ray hilum in human anatomy refers to the depression where structures such as blood vessels and nerves enter. The right inferior pulmonary vein is located inferior and medial to the hilum, and does not contribute significantly to the hilar silhouette. a shallow concave angle is formed at the point where the superior pulmonary vein crosses the interlobar pulmonary artery.. Hilum Anatomy Chest X Ray.
From www.researchgate.net
Chest Xray. Enlarged shadow of the right hilum with features of Hilum Anatomy Chest X Ray Each of these anatomical structures should be viewed using a systematic approach. hilum in human anatomy refers to the depression where structures such as blood vessels and nerves enter. The right inferior pulmonary vein is located inferior and medial to the hilum, and does not contribute significantly to the hilar silhouette. Trachea, carina, bronchi and hilar structures. This is. Hilum Anatomy Chest X Ray.
From www.radiology.expert
Chest Xray Hilum Anatomy Chest X Ray This is termed the hilar angle (fig. Trachea, carina, bronchi and hilar structures. There are also important structures that are obscured or become visible only when abnormal. Each of these anatomical structures should be viewed using a systematic approach. a shallow concave angle is formed at the point where the superior pulmonary vein crosses the interlobar pulmonary artery. . Hilum Anatomy Chest X Ray.
From ppemedical.com
Basic Chest XRay Interpretation Tips and pointers to see it all! Hilum Anatomy Chest X Ray Trachea, carina, bronchi and hilar structures. This is termed the hilar angle (fig. a shallow concave angle is formed at the point where the superior pulmonary vein crosses the interlobar pulmonary artery. hilum in human anatomy refers to the depression where structures such as blood vessels and nerves enter. There are also important structures that are obscured or. Hilum Anatomy Chest X Ray.
From www.radiologymasterclass.co.uk
Chest Xray Mediastinum and hilum Superior mediastinal mass Hilum Anatomy Chest X Ray Trachea, carina, bronchi and hilar structures. hilum in human anatomy refers to the depression where structures such as blood vessels and nerves enter. This is termed the hilar angle (fig. Each of these anatomical structures should be viewed using a systematic approach. a shallow concave angle is formed at the point where the superior pulmonary vein crosses the. Hilum Anatomy Chest X Ray.
From mavink.com
Pulmonary Artery On Chest X Ray Hilum Anatomy Chest X Ray a shallow concave angle is formed at the point where the superior pulmonary vein crosses the interlobar pulmonary artery. Each of these anatomical structures should be viewed using a systematic approach. There are also important structures that are obscured or become visible only when abnormal. Trachea, carina, bronchi and hilar structures. hilum in human anatomy refers to the. Hilum Anatomy Chest X Ray.
From www.researchgate.net
Chest Xray (sitting position) shows prominent right hilum and Hilum Anatomy Chest X Ray There are also important structures that are obscured or become visible only when abnormal. hilum in human anatomy refers to the depression where structures such as blood vessels and nerves enter. The right inferior pulmonary vein is located inferior and medial to the hilum, and does not contribute significantly to the hilar silhouette. a shallow concave angle is. Hilum Anatomy Chest X Ray.
From www.elsevier.es
The hilum of the lung Two classical radiological signs to decipher it Hilum Anatomy Chest X Ray This is termed the hilar angle (fig. hilum in human anatomy refers to the depression where structures such as blood vessels and nerves enter. a shallow concave angle is formed at the point where the superior pulmonary vein crosses the interlobar pulmonary artery. Trachea, carina, bronchi and hilar structures. The right inferior pulmonary vein is located inferior and. Hilum Anatomy Chest X Ray.
From geekymedics.com
Hilum of the Lung Geeky Medics Hilum Anatomy Chest X Ray hilum in human anatomy refers to the depression where structures such as blood vessels and nerves enter. Trachea, carina, bronchi and hilar structures. There are also important structures that are obscured or become visible only when abnormal. a shallow concave angle is formed at the point where the superior pulmonary vein crosses the interlobar pulmonary artery. The right. Hilum Anatomy Chest X Ray.
From www.vrogue.co
Posterior Anterior Pa Chest X Ray Showed Diffuse Subc vrogue.co Hilum Anatomy Chest X Ray Trachea, carina, bronchi and hilar structures. a shallow concave angle is formed at the point where the superior pulmonary vein crosses the interlobar pulmonary artery. Each of these anatomical structures should be viewed using a systematic approach. hilum in human anatomy refers to the depression where structures such as blood vessels and nerves enter. There are also important. Hilum Anatomy Chest X Ray.
From www.academicradiology.org
Lateral Chest Radiograph Academic Radiology Hilum Anatomy Chest X Ray a shallow concave angle is formed at the point where the superior pulmonary vein crosses the interlobar pulmonary artery. The right inferior pulmonary vein is located inferior and medial to the hilum, and does not contribute significantly to the hilar silhouette. Each of these anatomical structures should be viewed using a systematic approach. hilum in human anatomy refers. Hilum Anatomy Chest X Ray.
From mavink.com
Hilum Chest X Ray Hilum Anatomy Chest X Ray a shallow concave angle is formed at the point where the superior pulmonary vein crosses the interlobar pulmonary artery. This is termed the hilar angle (fig. The right inferior pulmonary vein is located inferior and medial to the hilum, and does not contribute significantly to the hilar silhouette. hilum in human anatomy refers to the depression where structures. Hilum Anatomy Chest X Ray.
From www.researchgate.net
Chest Xray posteroanterior view showing bulky hilum on the right side Hilum Anatomy Chest X Ray There are also important structures that are obscured or become visible only when abnormal. hilum in human anatomy refers to the depression where structures such as blood vessels and nerves enter. Trachea, carina, bronchi and hilar structures. Each of these anatomical structures should be viewed using a systematic approach. a shallow concave angle is formed at the point. Hilum Anatomy Chest X Ray.
From www.slideserve.com
PPT The Chest XRay PowerPoint Presentation, free download ID5750796 Hilum Anatomy Chest X Ray The right inferior pulmonary vein is located inferior and medial to the hilum, and does not contribute significantly to the hilar silhouette. Trachea, carina, bronchi and hilar structures. There are also important structures that are obscured or become visible only when abnormal. a shallow concave angle is formed at the point where the superior pulmonary vein crosses the interlobar. Hilum Anatomy Chest X Ray.
From litfl.com
Normal Chest XRay • LITFL Medical Blog • Labelled Radiology Hilum Anatomy Chest X Ray Each of these anatomical structures should be viewed using a systematic approach. a shallow concave angle is formed at the point where the superior pulmonary vein crosses the interlobar pulmonary artery. Trachea, carina, bronchi and hilar structures. There are also important structures that are obscured or become visible only when abnormal. This is termed the hilar angle (fig. The. Hilum Anatomy Chest X Ray.
From www.youtube.com
Do you know the hilum overlay sign on chest xrays? YouTube Hilum Anatomy Chest X Ray a shallow concave angle is formed at the point where the superior pulmonary vein crosses the interlobar pulmonary artery. There are also important structures that are obscured or become visible only when abnormal. Trachea, carina, bronchi and hilar structures. The right inferior pulmonary vein is located inferior and medial to the hilum, and does not contribute significantly to the. Hilum Anatomy Chest X Ray.
From www.researchgate.net
Chest Xray showing homogenous round opacity on right para hilum side Hilum Anatomy Chest X Ray The right inferior pulmonary vein is located inferior and medial to the hilum, and does not contribute significantly to the hilar silhouette. There are also important structures that are obscured or become visible only when abnormal. Each of these anatomical structures should be viewed using a systematic approach. hilum in human anatomy refers to the depression where structures such. Hilum Anatomy Chest X Ray.
From www.vrogue.co
Hilum Chest X Ray vrogue.co Hilum Anatomy Chest X Ray This is termed the hilar angle (fig. The right inferior pulmonary vein is located inferior and medial to the hilum, and does not contribute significantly to the hilar silhouette. hilum in human anatomy refers to the depression where structures such as blood vessels and nerves enter. Trachea, carina, bronchi and hilar structures. Each of these anatomical structures should be. Hilum Anatomy Chest X Ray.
From www.bmj.com
Lateral radiograph of the chest The BMJ Hilum Anatomy Chest X Ray Each of these anatomical structures should be viewed using a systematic approach. hilum in human anatomy refers to the depression where structures such as blood vessels and nerves enter. There are also important structures that are obscured or become visible only when abnormal. This is termed the hilar angle (fig. The right inferior pulmonary vein is located inferior and. Hilum Anatomy Chest X Ray.
From www.vrogue.co
Hilum Chest X Ray vrogue.co Hilum Anatomy Chest X Ray The right inferior pulmonary vein is located inferior and medial to the hilum, and does not contribute significantly to the hilar silhouette. Trachea, carina, bronchi and hilar structures. This is termed the hilar angle (fig. Each of these anatomical structures should be viewed using a systematic approach. a shallow concave angle is formed at the point where the superior. Hilum Anatomy Chest X Ray.
From www.bhaskarhealth.com
Chest Xray Interpretation Guide Made Easy Hilum Anatomy Chest X Ray The right inferior pulmonary vein is located inferior and medial to the hilum, and does not contribute significantly to the hilar silhouette. This is termed the hilar angle (fig. hilum in human anatomy refers to the depression where structures such as blood vessels and nerves enter. a shallow concave angle is formed at the point where the superior. Hilum Anatomy Chest X Ray.
From mavink.com
Hilum Chest X Ray Hilum Anatomy Chest X Ray The right inferior pulmonary vein is located inferior and medial to the hilum, and does not contribute significantly to the hilar silhouette. This is termed the hilar angle (fig. a shallow concave angle is formed at the point where the superior pulmonary vein crosses the interlobar pulmonary artery. Trachea, carina, bronchi and hilar structures. There are also important structures. Hilum Anatomy Chest X Ray.
From boomwendyrutherford.blogspot.com
chest x ray interpretation Wendy Rutherford Hilum Anatomy Chest X Ray This is termed the hilar angle (fig. Trachea, carina, bronchi and hilar structures. hilum in human anatomy refers to the depression where structures such as blood vessels and nerves enter. a shallow concave angle is formed at the point where the superior pulmonary vein crosses the interlobar pulmonary artery. Each of these anatomical structures should be viewed using. Hilum Anatomy Chest X Ray.
From www.chestmedicine.org
Chest Medicine Made EasyDr Deepu Signs in chest radiology The hilum Hilum Anatomy Chest X Ray The right inferior pulmonary vein is located inferior and medial to the hilum, and does not contribute significantly to the hilar silhouette. hilum in human anatomy refers to the depression where structures such as blood vessels and nerves enter. There are also important structures that are obscured or become visible only when abnormal. Each of these anatomical structures should. Hilum Anatomy Chest X Ray.
From www.radiology.expert
Chest Xray Hilum Anatomy Chest X Ray Each of these anatomical structures should be viewed using a systematic approach. a shallow concave angle is formed at the point where the superior pulmonary vein crosses the interlobar pulmonary artery. There are also important structures that are obscured or become visible only when abnormal. Trachea, carina, bronchi and hilar structures. hilum in human anatomy refers to the. Hilum Anatomy Chest X Ray.
From www.elsevier.es
The hilum of the lung Two classical radiological signs to decipher it Hilum Anatomy Chest X Ray a shallow concave angle is formed at the point where the superior pulmonary vein crosses the interlobar pulmonary artery. Trachea, carina, bronchi and hilar structures. The right inferior pulmonary vein is located inferior and medial to the hilum, and does not contribute significantly to the hilar silhouette. hilum in human anatomy refers to the depression where structures such. Hilum Anatomy Chest X Ray.
From radiologykey.com
Normal Anatomy Radiology Key Hilum Anatomy Chest X Ray hilum in human anatomy refers to the depression where structures such as blood vessels and nerves enter. There are also important structures that are obscured or become visible only when abnormal. Trachea, carina, bronchi and hilar structures. a shallow concave angle is formed at the point where the superior pulmonary vein crosses the interlobar pulmonary artery. The right. Hilum Anatomy Chest X Ray.
From slideplayer.com
Chest Xray Interpretation ppt video online download Hilum Anatomy Chest X Ray There are also important structures that are obscured or become visible only when abnormal. Trachea, carina, bronchi and hilar structures. hilum in human anatomy refers to the depression where structures such as blood vessels and nerves enter. a shallow concave angle is formed at the point where the superior pulmonary vein crosses the interlobar pulmonary artery. The right. Hilum Anatomy Chest X Ray.