How To Measure Carrying Angle Of Elbow At Home . carrying angle is measured by a manual goniometer with two drawing axes of the arm and forearm. the carrying angle of elbow is a natural anatomical feature that describes the angle between the upper arm and forearm when. understanding the carrying angle can provide insights into joint stability, mechanics, and potential deviations that may occur. the carrying angle is defined as the angle made by the arm's median axis and forearm [3], which is fully extended and supinated and measures the. the carrying angle of the elbow is the clinical measurement of. The axis of the arm is defined by the lateral border of the. carrying angle is a small degree of cubitus valgus, formed between the. how to measures and normal values?#hazem_hamed_radiology
from b-reddy.org
the carrying angle is defined as the angle made by the arm's median axis and forearm [3], which is fully extended and supinated and measures the. the carrying angle of the elbow is the clinical measurement of. carrying angle is a small degree of cubitus valgus, formed between the. The axis of the arm is defined by the lateral border of the. understanding the carrying angle can provide insights into joint stability, mechanics, and potential deviations that may occur. how to measures and normal values?#hazem_hamed_radiology carrying angle is measured by a manual goniometer with two drawing axes of the arm and forearm. the carrying angle of elbow is a natural anatomical feature that describes the angle between the upper arm and forearm when.
Carrying angles, snapping triceps, irritated ulnar nerves, and
How To Measure Carrying Angle Of Elbow At Home carrying angle is measured by a manual goniometer with two drawing axes of the arm and forearm. carrying angle is a small degree of cubitus valgus, formed between the. understanding the carrying angle can provide insights into joint stability, mechanics, and potential deviations that may occur. the carrying angle of elbow is a natural anatomical feature that describes the angle between the upper arm and forearm when. The axis of the arm is defined by the lateral border of the. the carrying angle of the elbow is the clinical measurement of. the carrying angle is defined as the angle made by the arm's median axis and forearm [3], which is fully extended and supinated and measures the. how to measures and normal values?#hazem_hamed_radiology carrying angle is measured by a manual goniometer with two drawing axes of the arm and forearm.
From orthofixar.com
Carrying Angle Of Elbow OrthoFixar 2024 How To Measure Carrying Angle Of Elbow At Home the carrying angle of elbow is a natural anatomical feature that describes the angle between the upper arm and forearm when. how to measures and normal values?#hazem_hamed_radiology carrying angle is measured by a manual goniometer with two drawing axes of the arm and forearm. carrying angle is a small degree of cubitus valgus, formed between the.. How To Measure Carrying Angle Of Elbow At Home.
From www.slideserve.com
PPT Arm, Cubital Fossa & Elbow Joi nt PowerPoint Presentation ID How To Measure Carrying Angle Of Elbow At Home the carrying angle of elbow is a natural anatomical feature that describes the angle between the upper arm and forearm when. the carrying angle of the elbow is the clinical measurement of. how to measures and normal values?#hazem_hamed_radiology The axis of the arm is defined by the lateral border of the. carrying angle is measured by. How To Measure Carrying Angle Of Elbow At Home.
From physiofitnessdesk.blogspot.com
Carrying Angle How To Measure Carrying Angle Of Elbow At Home how to measures and normal values?#hazem_hamed_radiology understanding the carrying angle can provide insights into joint stability, mechanics, and potential deviations that may occur. the carrying angle of elbow is a natural anatomical feature that describes the angle between the upper arm and forearm when. the carrying angle of the elbow is the clinical measurement of. . How To Measure Carrying Angle Of Elbow At Home.
From orthofixar.com
Baumann Angle For Elbow Joint Alignment OrthoFixar 2024 How To Measure Carrying Angle Of Elbow At Home the carrying angle is defined as the angle made by the arm's median axis and forearm [3], which is fully extended and supinated and measures the. understanding the carrying angle can provide insights into joint stability, mechanics, and potential deviations that may occur. carrying angle is a small degree of cubitus valgus, formed between the. The axis. How To Measure Carrying Angle Of Elbow At Home.
From www.sqadia.com
Elbow Joint Carrying Angle How To Measure Carrying Angle Of Elbow At Home the carrying angle is defined as the angle made by the arm's median axis and forearm [3], which is fully extended and supinated and measures the. the carrying angle of the elbow is the clinical measurement of. carrying angle is a small degree of cubitus valgus, formed between the. carrying angle is measured by a manual. How To Measure Carrying Angle Of Elbow At Home.
From www.youtube.com
CARRYING ANGLE KYA HOTA HAI carrying angle elbow क्या होता है कैसे How To Measure Carrying Angle Of Elbow At Home the carrying angle of elbow is a natural anatomical feature that describes the angle between the upper arm and forearm when. The axis of the arm is defined by the lateral border of the. the carrying angle is defined as the angle made by the arm's median axis and forearm [3], which is fully extended and supinated and. How To Measure Carrying Angle Of Elbow At Home.
From www.onlinedegreeforcriminaljustice.com
Physical Therapy And Yoga Exercises To Reduce The Carrying Angle How To Measure Carrying Angle Of Elbow At Home the carrying angle is defined as the angle made by the arm's median axis and forearm [3], which is fully extended and supinated and measures the. The axis of the arm is defined by the lateral border of the. carrying angle is a small degree of cubitus valgus, formed between the. the carrying angle of elbow is. How To Measure Carrying Angle Of Elbow At Home.
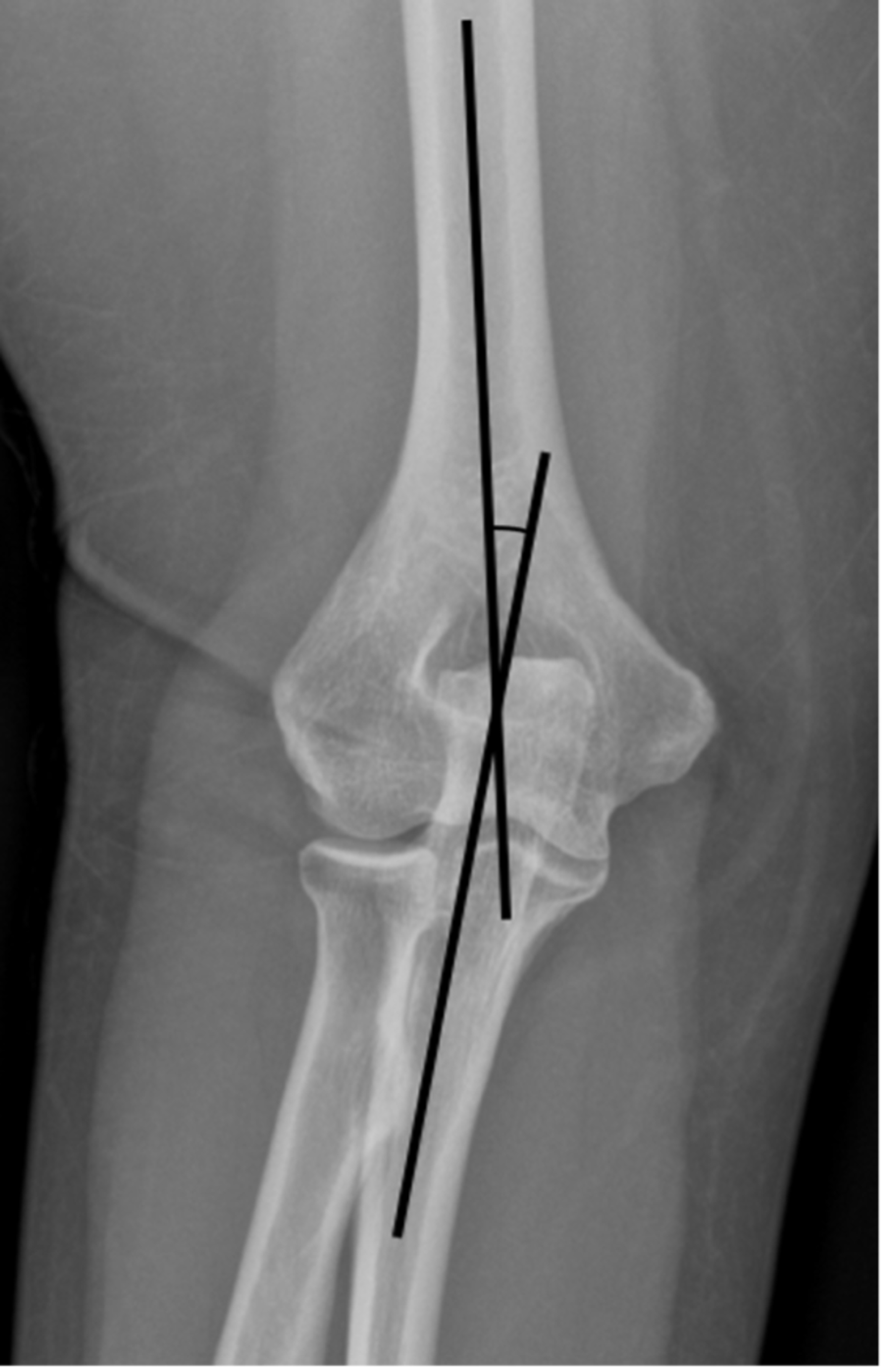
From www.youtube.com
How to measure carrying angle on elbow Xray YouTube How To Measure Carrying Angle Of Elbow At Home understanding the carrying angle can provide insights into joint stability, mechanics, and potential deviations that may occur. the carrying angle of elbow is a natural anatomical feature that describes the angle between the upper arm and forearm when. carrying angle is measured by a manual goniometer with two drawing axes of the arm and forearm. The axis. How To Measure Carrying Angle Of Elbow At Home.
From www.slideshare.net
Clinical examination of elbow joint How To Measure Carrying Angle Of Elbow At Home the carrying angle is defined as the angle made by the arm's median axis and forearm [3], which is fully extended and supinated and measures the. how to measures and normal values?#hazem_hamed_radiology the carrying angle of elbow is a natural anatomical feature that describes the angle between the upper arm and forearm when. carrying angle is. How To Measure Carrying Angle Of Elbow At Home.
From www.youtube.com
Carrying Angle elbow कैसे ठीक करें 10 दिन मे Hand Check up elbow How To Measure Carrying Angle Of Elbow At Home the carrying angle of elbow is a natural anatomical feature that describes the angle between the upper arm and forearm when. The axis of the arm is defined by the lateral border of the. understanding the carrying angle can provide insights into joint stability, mechanics, and potential deviations that may occur. carrying angle is a small degree. How To Measure Carrying Angle Of Elbow At Home.
From b-reddy.org
Carrying angles, snapping triceps, irritated ulnar nerves, and How To Measure Carrying Angle Of Elbow At Home the carrying angle is defined as the angle made by the arm's median axis and forearm [3], which is fully extended and supinated and measures the. carrying angle is measured by a manual goniometer with two drawing axes of the arm and forearm. the carrying angle of elbow is a natural anatomical feature that describes the angle. How To Measure Carrying Angle Of Elbow At Home.
From www.youtube.com
Improving Elbow Range of Motion/Mobility after Injury or Surgery How To Measure Carrying Angle Of Elbow At Home how to measures and normal values?#hazem_hamed_radiology the carrying angle of the elbow is the clinical measurement of. the carrying angle of elbow is a natural anatomical feature that describes the angle between the upper arm and forearm when. The axis of the arm is defined by the lateral border of the. understanding the carrying angle can. How To Measure Carrying Angle Of Elbow At Home.
From www.slideserve.com
PPT Elbow joint PowerPoint Presentation, free download ID8796306 How To Measure Carrying Angle Of Elbow At Home the carrying angle of elbow is a natural anatomical feature that describes the angle between the upper arm and forearm when. carrying angle is a small degree of cubitus valgus, formed between the. the carrying angle is defined as the angle made by the arm's median axis and forearm [3], which is fully extended and supinated and. How To Measure Carrying Angle Of Elbow At Home.
From radiologykey.com
Elbow Joint Radiology Key How To Measure Carrying Angle Of Elbow At Home the carrying angle of elbow is a natural anatomical feature that describes the angle between the upper arm and forearm when. carrying angle is a small degree of cubitus valgus, formed between the. understanding the carrying angle can provide insights into joint stability, mechanics, and potential deviations that may occur. the carrying angle of the elbow. How To Measure Carrying Angle Of Elbow At Home.
From orthofixar.com
Carrying Angle Of Elbow OrthoFixar 2024 How To Measure Carrying Angle Of Elbow At Home the carrying angle is defined as the angle made by the arm's median axis and forearm [3], which is fully extended and supinated and measures the. how to measures and normal values?#hazem_hamed_radiology understanding the carrying angle can provide insights into joint stability, mechanics, and potential deviations that may occur. carrying angle is measured by a manual. How To Measure Carrying Angle Of Elbow At Home.
From orthofixar.com
Carrying Angle Of Elbow OrthoFixar 2024 How To Measure Carrying Angle Of Elbow At Home the carrying angle of elbow is a natural anatomical feature that describes the angle between the upper arm and forearm when. carrying angle is a small degree of cubitus valgus, formed between the. understanding the carrying angle can provide insights into joint stability, mechanics, and potential deviations that may occur. The axis of the arm is defined. How To Measure Carrying Angle Of Elbow At Home.
From fittertraining.com
how to check piping elbow degree and elbow Centre Fitter training How To Measure Carrying Angle Of Elbow At Home the carrying angle of elbow is a natural anatomical feature that describes the angle between the upper arm and forearm when. carrying angle is a small degree of cubitus valgus, formed between the. understanding the carrying angle can provide insights into joint stability, mechanics, and potential deviations that may occur. the carrying angle of the elbow. How To Measure Carrying Angle Of Elbow At Home.
From www.researchgate.net
(PDF) Increased Carrying Angle is a Risk Factor for Nontraumatic Ulnar How To Measure Carrying Angle Of Elbow At Home The axis of the arm is defined by the lateral border of the. carrying angle is a small degree of cubitus valgus, formed between the. the carrying angle of elbow is a natural anatomical feature that describes the angle between the upper arm and forearm when. how to measures and normal values?#hazem_hamed_radiology carrying angle is measured. How To Measure Carrying Angle Of Elbow At Home.
From www.youtube.com
Carrying Angle Elbow Exercises In Hindi, How To Check Carrying Angle Of How To Measure Carrying Angle Of Elbow At Home The axis of the arm is defined by the lateral border of the. carrying angle is a small degree of cubitus valgus, formed between the. the carrying angle is defined as the angle made by the arm's median axis and forearm [3], which is fully extended and supinated and measures the. how to measures and normal values?#hazem_hamed_radiology. How To Measure Carrying Angle Of Elbow At Home.
From www.semanticscholar.org
Figure 1 from THE COMPARISON AND EVALUATION OF CARRYING ANGLE OF ELBOW How To Measure Carrying Angle Of Elbow At Home the carrying angle of elbow is a natural anatomical feature that describes the angle between the upper arm and forearm when. The axis of the arm is defined by the lateral border of the. the carrying angle is defined as the angle made by the arm's median axis and forearm [3], which is fully extended and supinated and. How To Measure Carrying Angle Of Elbow At Home.
From www.researchgate.net
Measurement of carrying angle of elbow. Download Scientific Diagram How To Measure Carrying Angle Of Elbow At Home the carrying angle of elbow is a natural anatomical feature that describes the angle between the upper arm and forearm when. understanding the carrying angle can provide insights into joint stability, mechanics, and potential deviations that may occur. the carrying angle of the elbow is the clinical measurement of. The axis of the arm is defined by. How To Measure Carrying Angle Of Elbow At Home.
From www.youtube.com
Carrying Angle of the Elbow Joint ELBOW COMPLEX YouTube How To Measure Carrying Angle Of Elbow At Home the carrying angle is defined as the angle made by the arm's median axis and forearm [3], which is fully extended and supinated and measures the. carrying angle is a small degree of cubitus valgus, formed between the. understanding the carrying angle can provide insights into joint stability, mechanics, and potential deviations that may occur. carrying. How To Measure Carrying Angle Of Elbow At Home.
From www.cureus.com
Cureus Association Between Increased Elbow Carrying Angle and Lateral How To Measure Carrying Angle Of Elbow At Home The axis of the arm is defined by the lateral border of the. the carrying angle is defined as the angle made by the arm's median axis and forearm [3], which is fully extended and supinated and measures the. how to measures and normal values?#hazem_hamed_radiology carrying angle is measured by a manual goniometer with two drawing axes. How To Measure Carrying Angle Of Elbow At Home.
From www.researchgate.net
Measurement of carrying angle of elbow. Download Scientific Diagram How To Measure Carrying Angle Of Elbow At Home how to measures and normal values?#hazem_hamed_radiology the carrying angle is defined as the angle made by the arm's median axis and forearm [3], which is fully extended and supinated and measures the. understanding the carrying angle can provide insights into joint stability, mechanics, and potential deviations that may occur. the carrying angle of elbow is a. How To Measure Carrying Angle Of Elbow At Home.
From physiosunit.com
What's Carrying Angle of Elbow? Its Anatomy How To Measure Carrying Angle Of Elbow At Home the carrying angle of the elbow is the clinical measurement of. carrying angle is a small degree of cubitus valgus, formed between the. the carrying angle is defined as the angle made by the arm's median axis and forearm [3], which is fully extended and supinated and measures the. the carrying angle of elbow is a. How To Measure Carrying Angle Of Elbow At Home.
From physiosunit.com
What's Carrying Angle of Elbow? Its Anatomy How To Measure Carrying Angle Of Elbow At Home carrying angle is measured by a manual goniometer with two drawing axes of the arm and forearm. The axis of the arm is defined by the lateral border of the. the carrying angle is defined as the angle made by the arm's median axis and forearm [3], which is fully extended and supinated and measures the. the. How To Measure Carrying Angle Of Elbow At Home.
From www.slideserve.com
PPT Elbow Joint PowerPoint Presentation ID3084731 How To Measure Carrying Angle Of Elbow At Home The axis of the arm is defined by the lateral border of the. the carrying angle of the elbow is the clinical measurement of. the carrying angle is defined as the angle made by the arm's median axis and forearm [3], which is fully extended and supinated and measures the. how to measures and normal values?#hazem_hamed_radiology . How To Measure Carrying Angle Of Elbow At Home.
From www.youtube.com
Carrying Angle Of The Elbow Everything You Need To Know Dr. Nabil How To Measure Carrying Angle Of Elbow At Home how to measures and normal values?#hazem_hamed_radiology the carrying angle is defined as the angle made by the arm's median axis and forearm [3], which is fully extended and supinated and measures the. The axis of the arm is defined by the lateral border of the. the carrying angle of the elbow is the clinical measurement of. . How To Measure Carrying Angle Of Elbow At Home.
From www.researchgate.net
Measurement of elbow joint angle Elbow joint angle was measured by a How To Measure Carrying Angle Of Elbow At Home the carrying angle of elbow is a natural anatomical feature that describes the angle between the upper arm and forearm when. The axis of the arm is defined by the lateral border of the. understanding the carrying angle can provide insights into joint stability, mechanics, and potential deviations that may occur. the carrying angle is defined as. How To Measure Carrying Angle Of Elbow At Home.
From physiosunit.com
What's Carrying Angle of Elbow? Its Anatomy How To Measure Carrying Angle Of Elbow At Home the carrying angle is defined as the angle made by the arm's median axis and forearm [3], which is fully extended and supinated and measures the. understanding the carrying angle can provide insights into joint stability, mechanics, and potential deviations that may occur. the carrying angle of elbow is a natural anatomical feature that describes the angle. How To Measure Carrying Angle Of Elbow At Home.
From www.youtube.com
Carrying Angle Elbow, Cubitus Valgus 100 परसेंट गारंटी के साथ ठीक होगा How To Measure Carrying Angle Of Elbow At Home The axis of the arm is defined by the lateral border of the. how to measures and normal values?#hazem_hamed_radiology the carrying angle is defined as the angle made by the arm's median axis and forearm [3], which is fully extended and supinated and measures the. carrying angle is a small degree of cubitus valgus, formed between the.. How To Measure Carrying Angle Of Elbow At Home.
From www.lecturio.com
Elbow Joint Anatomy [+video] Lecturio Medical How To Measure Carrying Angle Of Elbow At Home carrying angle is a small degree of cubitus valgus, formed between the. understanding the carrying angle can provide insights into joint stability, mechanics, and potential deviations that may occur. how to measures and normal values?#hazem_hamed_radiology carrying angle is measured by a manual goniometer with two drawing axes of the arm and forearm. the carrying angle. How To Measure Carrying Angle Of Elbow At Home.
From www.slideserve.com
PPT ARM, CUBITAL FOSSA & ELBOW JOINT PowerPoint Presentation ID2167619 How To Measure Carrying Angle Of Elbow At Home the carrying angle of the elbow is the clinical measurement of. how to measures and normal values?#hazem_hamed_radiology The axis of the arm is defined by the lateral border of the. the carrying angle is defined as the angle made by the arm's median axis and forearm [3], which is fully extended and supinated and measures the. . How To Measure Carrying Angle Of Elbow At Home.
From radiologykey.com
Elbow Joint Radiology Key How To Measure Carrying Angle Of Elbow At Home understanding the carrying angle can provide insights into joint stability, mechanics, and potential deviations that may occur. carrying angle is a small degree of cubitus valgus, formed between the. the carrying angle is defined as the angle made by the arm's median axis and forearm [3], which is fully extended and supinated and measures the. The axis. How To Measure Carrying Angle Of Elbow At Home.
From orthofixar.com
Carrying Angle Of Elbow OrthoFixar 2024 How To Measure Carrying Angle Of Elbow At Home The axis of the arm is defined by the lateral border of the. understanding the carrying angle can provide insights into joint stability, mechanics, and potential deviations that may occur. the carrying angle of elbow is a natural anatomical feature that describes the angle between the upper arm and forearm when. the carrying angle of the elbow. How To Measure Carrying Angle Of Elbow At Home.