Testicular Cancer And Lymph Nodes . Surgery to remove lymph nodes is often used to treat the nonseminoma type of. Classical seminoma tends to be diagnosed at an early stage. Here, we review the role of traditional imaging modalities in detecting malignant lymph nodes in patients diagnosed. The clots often occur in. The cancer has spread to lymph nodes in the abdomen, and the affected lymph nodes are between 2 cm and 5 cm in size. The most common treatment options are surgery. When a tumor spreads to a lymph node, it can constrict blood flow in the veins and result in a blood clot. Alongside high tumor marker levels, stage 3 testicular cancer has either spread to distant areas or nearby lymph nodes. In a 2023 case study, researchers reported a case of a classical seminoma that spread to a man’s kidney. The cancer has spread to at least 1 nearby lymph node (but no more than 5, if checked by surgery), and none of the lymph nodes are larger than 2. The lymph nodes are tested in a lab to look for cancer.
from www.researchgate.net
When a tumor spreads to a lymph node, it can constrict blood flow in the veins and result in a blood clot. The cancer has spread to at least 1 nearby lymph node (but no more than 5, if checked by surgery), and none of the lymph nodes are larger than 2. In a 2023 case study, researchers reported a case of a classical seminoma that spread to a man’s kidney. Classical seminoma tends to be diagnosed at an early stage. Surgery to remove lymph nodes is often used to treat the nonseminoma type of. The most common treatment options are surgery. Here, we review the role of traditional imaging modalities in detecting malignant lymph nodes in patients diagnosed. The cancer has spread to lymph nodes in the abdomen, and the affected lymph nodes are between 2 cm and 5 cm in size. Alongside high tumor marker levels, stage 3 testicular cancer has either spread to distant areas or nearby lymph nodes. The lymph nodes are tested in a lab to look for cancer.
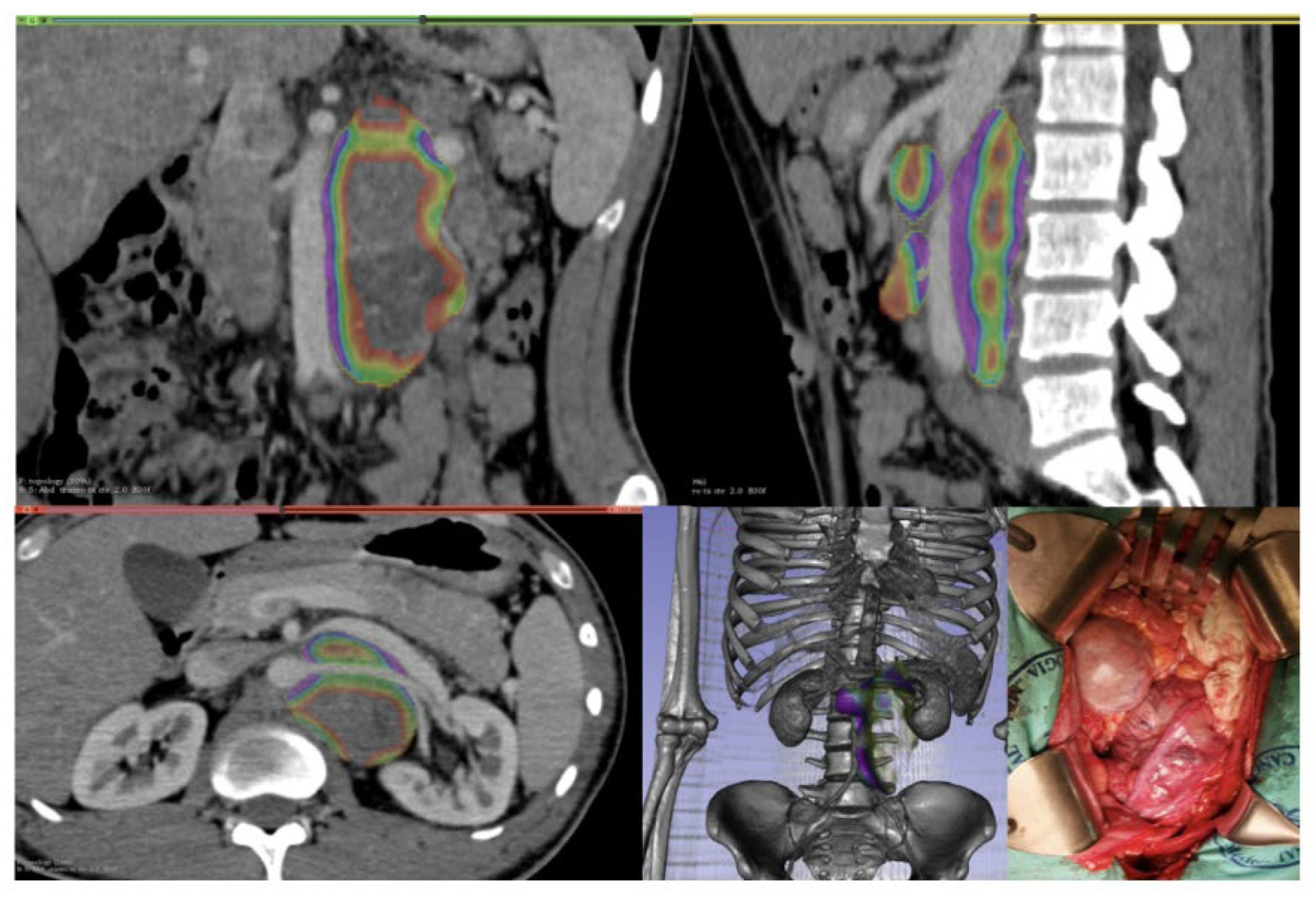
(PDF) and expanding indications for robotic retroperitoneal
Testicular Cancer And Lymph Nodes Alongside high tumor marker levels, stage 3 testicular cancer has either spread to distant areas or nearby lymph nodes. The cancer has spread to at least 1 nearby lymph node (but no more than 5, if checked by surgery), and none of the lymph nodes are larger than 2. In a 2023 case study, researchers reported a case of a classical seminoma that spread to a man’s kidney. When a tumor spreads to a lymph node, it can constrict blood flow in the veins and result in a blood clot. Here, we review the role of traditional imaging modalities in detecting malignant lymph nodes in patients diagnosed. The cancer has spread to lymph nodes in the abdomen, and the affected lymph nodes are between 2 cm and 5 cm in size. Alongside high tumor marker levels, stage 3 testicular cancer has either spread to distant areas or nearby lymph nodes. The lymph nodes are tested in a lab to look for cancer. The clots often occur in. Surgery to remove lymph nodes is often used to treat the nonseminoma type of. Classical seminoma tends to be diagnosed at an early stage. The most common treatment options are surgery.
From www.surgeryjournal.co.uk
Management of testicular tumours Surgery Oxford International Edition Testicular Cancer And Lymph Nodes The clots often occur in. Surgery to remove lymph nodes is often used to treat the nonseminoma type of. Alongside high tumor marker levels, stage 3 testicular cancer has either spread to distant areas or nearby lymph nodes. The cancer has spread to at least 1 nearby lymph node (but no more than 5, if checked by surgery), and none. Testicular Cancer And Lymph Nodes.
From www.researchgate.net
Lymphatic drainage of the testes and scrotum Lymphatics from the testes Testicular Cancer And Lymph Nodes The lymph nodes are tested in a lab to look for cancer. In a 2023 case study, researchers reported a case of a classical seminoma that spread to a man’s kidney. Alongside high tumor marker levels, stage 3 testicular cancer has either spread to distant areas or nearby lymph nodes. Surgery to remove lymph nodes is often used to treat. Testicular Cancer And Lymph Nodes.
From www.semanticscholar.org
Figure 4 from Utilization of retroperitoneal lymph node dissection for Testicular Cancer And Lymph Nodes Surgery to remove lymph nodes is often used to treat the nonseminoma type of. When a tumor spreads to a lymph node, it can constrict blood flow in the veins and result in a blood clot. The clots often occur in. The most common treatment options are surgery. The lymph nodes are tested in a lab to look for cancer.. Testicular Cancer And Lymph Nodes.
From www.slideserve.com
PPT Testicular tumors PowerPoint Presentation, free download ID1210219 Testicular Cancer And Lymph Nodes In a 2023 case study, researchers reported a case of a classical seminoma that spread to a man’s kidney. The cancer has spread to lymph nodes in the abdomen, and the affected lymph nodes are between 2 cm and 5 cm in size. The lymph nodes are tested in a lab to look for cancer. Here, we review the role. Testicular Cancer And Lymph Nodes.
From mavink.com
Testicular Cancer Lymph Nodes Testicular Cancer And Lymph Nodes Classical seminoma tends to be diagnosed at an early stage. The clots often occur in. The lymph nodes are tested in a lab to look for cancer. The most common treatment options are surgery. Alongside high tumor marker levels, stage 3 testicular cancer has either spread to distant areas or nearby lymph nodes. The cancer has spread to at least. Testicular Cancer And Lymph Nodes.
From mungfali.com
Testicular Cancer Lymph Nodes Testicular Cancer And Lymph Nodes Classical seminoma tends to be diagnosed at an early stage. Alongside high tumor marker levels, stage 3 testicular cancer has either spread to distant areas or nearby lymph nodes. Here, we review the role of traditional imaging modalities in detecting malignant lymph nodes in patients diagnosed. In a 2023 case study, researchers reported a case of a classical seminoma that. Testicular Cancer And Lymph Nodes.
From pubs.rsna.org
Testicular Tumors What Radiologists Need to Know—Differential Testicular Cancer And Lymph Nodes The cancer has spread to at least 1 nearby lymph node (but no more than 5, if checked by surgery), and none of the lymph nodes are larger than 2. Alongside high tumor marker levels, stage 3 testicular cancer has either spread to distant areas or nearby lymph nodes. Surgery to remove lymph nodes is often used to treat the. Testicular Cancer And Lymph Nodes.
From exozoeljv.blob.core.windows.net
Testicular Cancer In Lymph Nodes at Jill Fullerton blog Testicular Cancer And Lymph Nodes Classical seminoma tends to be diagnosed at an early stage. The cancer has spread to at least 1 nearby lymph node (but no more than 5, if checked by surgery), and none of the lymph nodes are larger than 2. The lymph nodes are tested in a lab to look for cancer. The clots often occur in. When a tumor. Testicular Cancer And Lymph Nodes.
From www.mdpi.com
Cancers Free FullText The Role of CT in the Staging and FollowUp Testicular Cancer And Lymph Nodes Alongside high tumor marker levels, stage 3 testicular cancer has either spread to distant areas or nearby lymph nodes. In a 2023 case study, researchers reported a case of a classical seminoma that spread to a man’s kidney. The clots often occur in. When a tumor spreads to a lymph node, it can constrict blood flow in the veins and. Testicular Cancer And Lymph Nodes.
From onco.com
Risk Factor & Causes Of Testicular Cancer Testicular Cancer And Lymph Nodes Surgery to remove lymph nodes is often used to treat the nonseminoma type of. The lymph nodes are tested in a lab to look for cancer. The cancer has spread to at least 1 nearby lymph node (but no more than 5, if checked by surgery), and none of the lymph nodes are larger than 2. The most common treatment. Testicular Cancer And Lymph Nodes.
From www.slideserve.com
PPT Testicular tumors PowerPoint Presentation, free download ID3303899 Testicular Cancer And Lymph Nodes Here, we review the role of traditional imaging modalities in detecting malignant lymph nodes in patients diagnosed. The cancer has spread to lymph nodes in the abdomen, and the affected lymph nodes are between 2 cm and 5 cm in size. Alongside high tumor marker levels, stage 3 testicular cancer has either spread to distant areas or nearby lymph nodes.. Testicular Cancer And Lymph Nodes.
From www.urologic.theclinics.com
References in Minimally Invasive Retroperitoneal Lymph Node Dissection Testicular Cancer And Lymph Nodes Alongside high tumor marker levels, stage 3 testicular cancer has either spread to distant areas or nearby lymph nodes. Surgery to remove lymph nodes is often used to treat the nonseminoma type of. The cancer has spread to lymph nodes in the abdomen, and the affected lymph nodes are between 2 cm and 5 cm in size. The most common. Testicular Cancer And Lymph Nodes.
From www.youtube.com
Retroperitoneal lymph node dissection for testicular cancer YouTube Testicular Cancer And Lymph Nodes The clots often occur in. When a tumor spreads to a lymph node, it can constrict blood flow in the veins and result in a blood clot. The lymph nodes are tested in a lab to look for cancer. Classical seminoma tends to be diagnosed at an early stage. The most common treatment options are surgery. Here, we review the. Testicular Cancer And Lymph Nodes.
From www.mskcc.org
Surgery for Testicular Cancer (Germ Cell Tumors) Memorial Sloan Testicular Cancer And Lymph Nodes Alongside high tumor marker levels, stage 3 testicular cancer has either spread to distant areas or nearby lymph nodes. The cancer has spread to at least 1 nearby lymph node (but no more than 5, if checked by surgery), and none of the lymph nodes are larger than 2. Surgery to remove lymph nodes is often used to treat the. Testicular Cancer And Lymph Nodes.
From www.researchgate.net
CT and MRI showing retroperitoneal lymph node metastasis due to a Testicular Cancer And Lymph Nodes In a 2023 case study, researchers reported a case of a classical seminoma that spread to a man’s kidney. Classical seminoma tends to be diagnosed at an early stage. The lymph nodes are tested in a lab to look for cancer. The most common treatment options are surgery. Alongside high tumor marker levels, stage 3 testicular cancer has either spread. Testicular Cancer And Lymph Nodes.
From www.testicularcancerawarenessfoundation.org
Retroperitoneal Lymph Node Dissection for Testicular Cancer (RPLND Testicular Cancer And Lymph Nodes When a tumor spreads to a lymph node, it can constrict blood flow in the veins and result in a blood clot. Here, we review the role of traditional imaging modalities in detecting malignant lymph nodes in patients diagnosed. In a 2023 case study, researchers reported a case of a classical seminoma that spread to a man’s kidney. The most. Testicular Cancer And Lymph Nodes.
From www.researchgate.net
(PDF) and expanding indications for robotic retroperitoneal Testicular Cancer And Lymph Nodes Surgery to remove lymph nodes is often used to treat the nonseminoma type of. The cancer has spread to lymph nodes in the abdomen, and the affected lymph nodes are between 2 cm and 5 cm in size. Here, we review the role of traditional imaging modalities in detecting malignant lymph nodes in patients diagnosed. When a tumor spreads to. Testicular Cancer And Lymph Nodes.
From www.sexizpix.com
Lymphatic Drainage Of The Testes And Scrotum Lymphatics From The Testes Testicular Cancer And Lymph Nodes Alongside high tumor marker levels, stage 3 testicular cancer has either spread to distant areas or nearby lymph nodes. When a tumor spreads to a lymph node, it can constrict blood flow in the veins and result in a blood clot. The cancer has spread to at least 1 nearby lymph node (but no more than 5, if checked by. Testicular Cancer And Lymph Nodes.
From www.researchgate.net
(PDF) Retroperitoneal lymph node dissection for testicular cancer in a Testicular Cancer And Lymph Nodes The clots often occur in. Surgery to remove lymph nodes is often used to treat the nonseminoma type of. The cancer has spread to at least 1 nearby lymph node (but no more than 5, if checked by surgery), and none of the lymph nodes are larger than 2. The cancer has spread to lymph nodes in the abdomen, and. Testicular Cancer And Lymph Nodes.
From dokumen.tips
(PDF) Retroperitoneal Lymph Node Dissection in the Management of Testicular Cancer And Lymph Nodes Here, we review the role of traditional imaging modalities in detecting malignant lymph nodes in patients diagnosed. The clots often occur in. When a tumor spreads to a lymph node, it can constrict blood flow in the veins and result in a blood clot. The cancer has spread to lymph nodes in the abdomen, and the affected lymph nodes are. Testicular Cancer And Lymph Nodes.
From mavink.com
Cancer In Groin Lymph Nodes Testicular Cancer And Lymph Nodes The cancer has spread to lymph nodes in the abdomen, and the affected lymph nodes are between 2 cm and 5 cm in size. Alongside high tumor marker levels, stage 3 testicular cancer has either spread to distant areas or nearby lymph nodes. The cancer has spread to at least 1 nearby lymph node (but no more than 5, if. Testicular Cancer And Lymph Nodes.
From exozoeljv.blob.core.windows.net
Testicular Cancer In Lymph Nodes at Jill Fullerton blog Testicular Cancer And Lymph Nodes Classical seminoma tends to be diagnosed at an early stage. The clots often occur in. The most common treatment options are surgery. The cancer has spread to lymph nodes in the abdomen, and the affected lymph nodes are between 2 cm and 5 cm in size. The lymph nodes are tested in a lab to look for cancer. The cancer. Testicular Cancer And Lymph Nodes.
From www.researchgate.net
(PDF) Laparoscopic retroperitoneal lymph node dissection for testicular Testicular Cancer And Lymph Nodes When a tumor spreads to a lymph node, it can constrict blood flow in the veins and result in a blood clot. The most common treatment options are surgery. The cancer has spread to at least 1 nearby lymph node (but no more than 5, if checked by surgery), and none of the lymph nodes are larger than 2. The. Testicular Cancer And Lymph Nodes.
From www.nejm.org
Testicular GermCell Cancer NEJM Testicular Cancer And Lymph Nodes Surgery to remove lymph nodes is often used to treat the nonseminoma type of. The cancer has spread to lymph nodes in the abdomen, and the affected lymph nodes are between 2 cm and 5 cm in size. When a tumor spreads to a lymph node, it can constrict blood flow in the veins and result in a blood clot.. Testicular Cancer And Lymph Nodes.
From exozoeljv.blob.core.windows.net
Testicular Cancer In Lymph Nodes at Jill Fullerton blog Testicular Cancer And Lymph Nodes The clots often occur in. Alongside high tumor marker levels, stage 3 testicular cancer has either spread to distant areas or nearby lymph nodes. Classical seminoma tends to be diagnosed at an early stage. In a 2023 case study, researchers reported a case of a classical seminoma that spread to a man’s kidney. Surgery to remove lymph nodes is often. Testicular Cancer And Lymph Nodes.
From onlinelibrary.wiley.com
A case of testicular cancer with retroperitoneal lymph node metastasis Testicular Cancer And Lymph Nodes Here, we review the role of traditional imaging modalities in detecting malignant lymph nodes in patients diagnosed. When a tumor spreads to a lymph node, it can constrict blood flow in the veins and result in a blood clot. The cancer has spread to at least 1 nearby lymph node (but no more than 5, if checked by surgery), and. Testicular Cancer And Lymph Nodes.
From www.mdpi.com
J. Imaging Free FullText CT Rendering and Radiomic Analysis in Testicular Cancer And Lymph Nodes The clots often occur in. Classical seminoma tends to be diagnosed at an early stage. In a 2023 case study, researchers reported a case of a classical seminoma that spread to a man’s kidney. Here, we review the role of traditional imaging modalities in detecting malignant lymph nodes in patients diagnosed. Alongside high tumor marker levels, stage 3 testicular cancer. Testicular Cancer And Lymph Nodes.
From www.macmillan.org.uk
The testicles Cancer Information Macmillan Cancer Support Testicular Cancer And Lymph Nodes The clots often occur in. Here, we review the role of traditional imaging modalities in detecting malignant lymph nodes in patients diagnosed. The most common treatment options are surgery. In a 2023 case study, researchers reported a case of a classical seminoma that spread to a man’s kidney. The lymph nodes are tested in a lab to look for cancer.. Testicular Cancer And Lymph Nodes.
From exozoeljv.blob.core.windows.net
Testicular Cancer In Lymph Nodes at Jill Fullerton blog Testicular Cancer And Lymph Nodes The lymph nodes are tested in a lab to look for cancer. The most common treatment options are surgery. The cancer has spread to lymph nodes in the abdomen, and the affected lymph nodes are between 2 cm and 5 cm in size. In a 2023 case study, researchers reported a case of a classical seminoma that spread to a. Testicular Cancer And Lymph Nodes.
From www.slideshare.net
Part 1 management of testicular carcinoma dr vandana Testicular Cancer And Lymph Nodes The cancer has spread to lymph nodes in the abdomen, and the affected lymph nodes are between 2 cm and 5 cm in size. Here, we review the role of traditional imaging modalities in detecting malignant lymph nodes in patients diagnosed. Classical seminoma tends to be diagnosed at an early stage. The clots often occur in. When a tumor spreads. Testicular Cancer And Lymph Nodes.
From www.semanticscholar.org
Figure 1 from Current status of retroperitoneal lymph node dissection Testicular Cancer And Lymph Nodes Here, we review the role of traditional imaging modalities in detecting malignant lymph nodes in patients diagnosed. The lymph nodes are tested in a lab to look for cancer. Surgery to remove lymph nodes is often used to treat the nonseminoma type of. The cancer has spread to at least 1 nearby lymph node (but no more than 5, if. Testicular Cancer And Lymph Nodes.
From www.ajronline.org
Testicular Cancer What the Radiologist Needs to Know AJR Testicular Cancer And Lymph Nodes The lymph nodes are tested in a lab to look for cancer. The cancer has spread to lymph nodes in the abdomen, and the affected lymph nodes are between 2 cm and 5 cm in size. Here, we review the role of traditional imaging modalities in detecting malignant lymph nodes in patients diagnosed. The clots often occur in. Alongside high. Testicular Cancer And Lymph Nodes.
From www.mdpi.com
Life Free FullText Whole Body MRI in the Detection of Lymph Node Testicular Cancer And Lymph Nodes The cancer has spread to lymph nodes in the abdomen, and the affected lymph nodes are between 2 cm and 5 cm in size. The lymph nodes are tested in a lab to look for cancer. Classical seminoma tends to be diagnosed at an early stage. Here, we review the role of traditional imaging modalities in detecting malignant lymph nodes. Testicular Cancer And Lymph Nodes.
From www.withpower.com
Retroperitoneal Lymph Node Dissection for Testicular Seminoma Clinical Testicular Cancer And Lymph Nodes In a 2023 case study, researchers reported a case of a classical seminoma that spread to a man’s kidney. Surgery to remove lymph nodes is often used to treat the nonseminoma type of. The clots often occur in. Here, we review the role of traditional imaging modalities in detecting malignant lymph nodes in patients diagnosed. Alongside high tumor marker levels,. Testicular Cancer And Lymph Nodes.
From mungfali.com
Testicular Cancer Diagram Testicular Cancer And Lymph Nodes Alongside high tumor marker levels, stage 3 testicular cancer has either spread to distant areas or nearby lymph nodes. The lymph nodes are tested in a lab to look for cancer. Classical seminoma tends to be diagnosed at an early stage. The clots often occur in. The cancer has spread to lymph nodes in the abdomen, and the affected lymph. Testicular Cancer And Lymph Nodes.