Another Name For Air Leak Syndrome . Air leak (al) is a clinical phenomenon associated with the leakage or escape of air from a cavity that contains air into spaces that usually, under. Air leak (al) is a clinical phenomenon associated with the leakage or escape of air from a cavity that contains air into spaces that. Air leak (al) is a term used when air escapes from an area that normally contains it, moving to places where air isn’t usually found. Barotrauma results whenever positive pressure is applied to the. The common denominator of the air leak syndromes is barotrauma. (see also overview of perinatal respiratory.
from present5.com
Air leak (al) is a clinical phenomenon associated with the leakage or escape of air from a cavity that contains air into spaces that. (see also overview of perinatal respiratory. Air leak (al) is a clinical phenomenon associated with the leakage or escape of air from a cavity that contains air into spaces that usually, under. Barotrauma results whenever positive pressure is applied to the. Air leak (al) is a term used when air escapes from an area that normally contains it, moving to places where air isn’t usually found. The common denominator of the air leak syndromes is barotrauma.
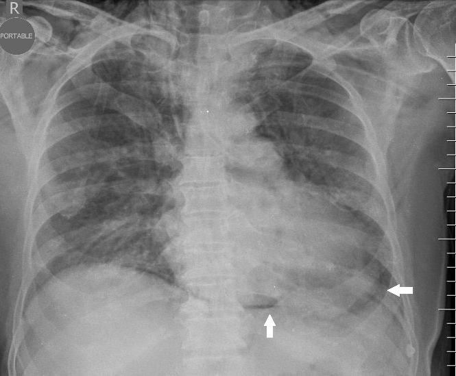
Chest Radiography for the NICU Harbir Juj November
Another Name For Air Leak Syndrome The common denominator of the air leak syndromes is barotrauma. (see also overview of perinatal respiratory. Air leak (al) is a clinical phenomenon associated with the leakage or escape of air from a cavity that contains air into spaces that. Air leak (al) is a clinical phenomenon associated with the leakage or escape of air from a cavity that contains air into spaces that usually, under. Air leak (al) is a term used when air escapes from an area that normally contains it, moving to places where air isn’t usually found. Barotrauma results whenever positive pressure is applied to the. The common denominator of the air leak syndromes is barotrauma.
From www.slideserve.com
PPT PULMONARY AIR LEAK SYNDROME PowerPoint Presentation, free Another Name For Air Leak Syndrome Air leak (al) is a term used when air escapes from an area that normally contains it, moving to places where air isn’t usually found. (see also overview of perinatal respiratory. Barotrauma results whenever positive pressure is applied to the. Air leak (al) is a clinical phenomenon associated with the leakage or escape of air from a cavity that contains. Another Name For Air Leak Syndrome.
From www.annsaudimed.net
Systemic Air Leak Syndrome in a Sick FullTerm Infant Annals of Saudi Another Name For Air Leak Syndrome Air leak (al) is a term used when air escapes from an area that normally contains it, moving to places where air isn’t usually found. The common denominator of the air leak syndromes is barotrauma. Air leak (al) is a clinical phenomenon associated with the leakage or escape of air from a cavity that contains air into spaces that. Barotrauma. Another Name For Air Leak Syndrome.
From www.slideshare.net
Air Leak Syndrome Another Name For Air Leak Syndrome (see also overview of perinatal respiratory. Barotrauma results whenever positive pressure is applied to the. The common denominator of the air leak syndromes is barotrauma. Air leak (al) is a clinical phenomenon associated with the leakage or escape of air from a cavity that contains air into spaces that usually, under. Air leak (al) is a clinical phenomenon associated with. Another Name For Air Leak Syndrome.
From www.researchgate.net
Airleak syndrome in a 13yearold girl with acute myeloid leukemia Another Name For Air Leak Syndrome Air leak (al) is a clinical phenomenon associated with the leakage or escape of air from a cavity that contains air into spaces that usually, under. Air leak (al) is a term used when air escapes from an area that normally contains it, moving to places where air isn’t usually found. Air leak (al) is a clinical phenomenon associated with. Another Name For Air Leak Syndrome.
From www.semanticscholar.org
Table 1 from Serious Air Leak Syndrome Complicating HighFlow Nasal Another Name For Air Leak Syndrome Air leak (al) is a term used when air escapes from an area that normally contains it, moving to places where air isn’t usually found. Barotrauma results whenever positive pressure is applied to the. Air leak (al) is a clinical phenomenon associated with the leakage or escape of air from a cavity that contains air into spaces that usually, under.. Another Name For Air Leak Syndrome.
From www.slideserve.com
PPT PULMONARY AIR LEAK SYNDROME PowerPoint Presentation, free Another Name For Air Leak Syndrome (see also overview of perinatal respiratory. Air leak (al) is a clinical phenomenon associated with the leakage or escape of air from a cavity that contains air into spaces that. Air leak (al) is a clinical phenomenon associated with the leakage or escape of air from a cavity that contains air into spaces that usually, under. Barotrauma results whenever positive. Another Name For Air Leak Syndrome.
From www.slideserve.com
PPT Tips for doing well in neonatology section of Pediatric Boards Another Name For Air Leak Syndrome Barotrauma results whenever positive pressure is applied to the. The common denominator of the air leak syndromes is barotrauma. Air leak (al) is a clinical phenomenon associated with the leakage or escape of air from a cavity that contains air into spaces that usually, under. Air leak (al) is a clinical phenomenon associated with the leakage or escape of air. Another Name For Air Leak Syndrome.
From www.slideserve.com
PPT Meconium Aspiration syndrome PowerPoint Presentation ID2033093 Another Name For Air Leak Syndrome Barotrauma results whenever positive pressure is applied to the. Air leak (al) is a clinical phenomenon associated with the leakage or escape of air from a cavity that contains air into spaces that. The common denominator of the air leak syndromes is barotrauma. Air leak (al) is a clinical phenomenon associated with the leakage or escape of air from a. Another Name For Air Leak Syndrome.
From www.annsaudimed.net
Systemic Air Leak Syndrome in a Sick FullTerm Infant Annals of Saudi Another Name For Air Leak Syndrome (see also overview of perinatal respiratory. Air leak (al) is a term used when air escapes from an area that normally contains it, moving to places where air isn’t usually found. Barotrauma results whenever positive pressure is applied to the. Air leak (al) is a clinical phenomenon associated with the leakage or escape of air from a cavity that contains. Another Name For Air Leak Syndrome.
From fr.slideshare.net
Air Leak Syndrome Another Name For Air Leak Syndrome Air leak (al) is a clinical phenomenon associated with the leakage or escape of air from a cavity that contains air into spaces that. The common denominator of the air leak syndromes is barotrauma. (see also overview of perinatal respiratory. Air leak (al) is a term used when air escapes from an area that normally contains it, moving to places. Another Name For Air Leak Syndrome.
From dokumen.tips
(PDF) Neonatal Air Leak Syndromes DOKUMEN.TIPS Another Name For Air Leak Syndrome The common denominator of the air leak syndromes is barotrauma. (see also overview of perinatal respiratory. Air leak (al) is a clinical phenomenon associated with the leakage or escape of air from a cavity that contains air into spaces that usually, under. Air leak (al) is a clinical phenomenon associated with the leakage or escape of air from a cavity. Another Name For Air Leak Syndrome.
From www.ijirm.org
Air leak syndrome in COVID19 A case series IJIRM Another Name For Air Leak Syndrome Air leak (al) is a term used when air escapes from an area that normally contains it, moving to places where air isn’t usually found. The common denominator of the air leak syndromes is barotrauma. Air leak (al) is a clinical phenomenon associated with the leakage or escape of air from a cavity that contains air into spaces that. (see. Another Name For Air Leak Syndrome.
From www.researchgate.net
(PDF) AirLeak Syndrome with Spontaneous Tension Pneumothorax and Another Name For Air Leak Syndrome The common denominator of the air leak syndromes is barotrauma. (see also overview of perinatal respiratory. Air leak (al) is a term used when air escapes from an area that normally contains it, moving to places where air isn’t usually found. Air leak (al) is a clinical phenomenon associated with the leakage or escape of air from a cavity that. Another Name For Air Leak Syndrome.
From www.semanticscholar.org
Figure 1 from Severe neonatal air leak syndrome Answer Semantic Scholar Another Name For Air Leak Syndrome Barotrauma results whenever positive pressure is applied to the. (see also overview of perinatal respiratory. The common denominator of the air leak syndromes is barotrauma. Air leak (al) is a term used when air escapes from an area that normally contains it, moving to places where air isn’t usually found. Air leak (al) is a clinical phenomenon associated with the. Another Name For Air Leak Syndrome.
From www.researchgate.net
CT pulmonary angiogram (coronal view) red arrows indicate the presence Another Name For Air Leak Syndrome Air leak (al) is a term used when air escapes from an area that normally contains it, moving to places where air isn’t usually found. (see also overview of perinatal respiratory. Air leak (al) is a clinical phenomenon associated with the leakage or escape of air from a cavity that contains air into spaces that. Air leak (al) is a. Another Name For Air Leak Syndrome.
From www.semanticscholar.org
Figure 3 from Neonatal air leak syndrome and the role of high‐frequency Another Name For Air Leak Syndrome Air leak (al) is a clinical phenomenon associated with the leakage or escape of air from a cavity that contains air into spaces that. The common denominator of the air leak syndromes is barotrauma. Air leak (al) is a clinical phenomenon associated with the leakage or escape of air from a cavity that contains air into spaces that usually, under.. Another Name For Air Leak Syndrome.
From www.scribd.com
Air Leak Syndrome Lung Respiration Another Name For Air Leak Syndrome Air leak (al) is a clinical phenomenon associated with the leakage or escape of air from a cavity that contains air into spaces that. (see also overview of perinatal respiratory. The common denominator of the air leak syndromes is barotrauma. Air leak (al) is a term used when air escapes from an area that normally contains it, moving to places. Another Name For Air Leak Syndrome.
From dokumen.tips
(PDF) F1 Air leak syndrome Pediatrix Medical Group Leak... · F1 Air Another Name For Air Leak Syndrome Barotrauma results whenever positive pressure is applied to the. The common denominator of the air leak syndromes is barotrauma. Air leak (al) is a clinical phenomenon associated with the leakage or escape of air from a cavity that contains air into spaces that. Air leak (al) is a clinical phenomenon associated with the leakage or escape of air from a. Another Name For Air Leak Syndrome.
From www.dovemed.com
Air Leak Syndrome in Infants DoveMed Another Name For Air Leak Syndrome (see also overview of perinatal respiratory. The common denominator of the air leak syndromes is barotrauma. Barotrauma results whenever positive pressure is applied to the. Air leak (al) is a clinical phenomenon associated with the leakage or escape of air from a cavity that contains air into spaces that. Air leak (al) is a clinical phenomenon associated with the leakage. Another Name For Air Leak Syndrome.
From www.semanticscholar.org
[PDF] Air leak after lung resection pathophysiology and patients Another Name For Air Leak Syndrome The common denominator of the air leak syndromes is barotrauma. Air leak (al) is a clinical phenomenon associated with the leakage or escape of air from a cavity that contains air into spaces that. (see also overview of perinatal respiratory. Air leak (al) is a clinical phenomenon associated with the leakage or escape of air from a cavity that contains. Another Name For Air Leak Syndrome.
From www.slideserve.com
PPT Infant Lung Disease and Associated Complications PowerPoint Another Name For Air Leak Syndrome Air leak (al) is a term used when air escapes from an area that normally contains it, moving to places where air isn’t usually found. The common denominator of the air leak syndromes is barotrauma. Air leak (al) is a clinical phenomenon associated with the leakage or escape of air from a cavity that contains air into spaces that. Air. Another Name For Air Leak Syndrome.
From journals.sagepub.com
Pulmonary air leak syndrome in rheumatoid arthritis patient Ibtissam Another Name For Air Leak Syndrome (see also overview of perinatal respiratory. The common denominator of the air leak syndromes is barotrauma. Air leak (al) is a clinical phenomenon associated with the leakage or escape of air from a cavity that contains air into spaces that. Air leak (al) is a clinical phenomenon associated with the leakage or escape of air from a cavity that contains. Another Name For Air Leak Syndrome.
From www.researchgate.net
(PDF) Thoracic air leak syndrome as the sole manifestation of chronic Another Name For Air Leak Syndrome The common denominator of the air leak syndromes is barotrauma. Barotrauma results whenever positive pressure is applied to the. (see also overview of perinatal respiratory. Air leak (al) is a term used when air escapes from an area that normally contains it, moving to places where air isn’t usually found. Air leak (al) is a clinical phenomenon associated with the. Another Name For Air Leak Syndrome.
From www.scribd.com
Pulmonary Air Leak Syndrome PDF Lung Pulmonology Another Name For Air Leak Syndrome Air leak (al) is a clinical phenomenon associated with the leakage or escape of air from a cavity that contains air into spaces that usually, under. Barotrauma results whenever positive pressure is applied to the. (see also overview of perinatal respiratory. Air leak (al) is a term used when air escapes from an area that normally contains it, moving to. Another Name For Air Leak Syndrome.
From www.semanticscholar.org
Figure 1 from Air Leak Syndrome Pneumoperitoneum in a Ventilated Another Name For Air Leak Syndrome Air leak (al) is a clinical phenomenon associated with the leakage or escape of air from a cavity that contains air into spaces that. (see also overview of perinatal respiratory. The common denominator of the air leak syndromes is barotrauma. Air leak (al) is a clinical phenomenon associated with the leakage or escape of air from a cavity that contains. Another Name For Air Leak Syndrome.
From www.slideshare.net
Air Leak Syndrome Another Name For Air Leak Syndrome Air leak (al) is a clinical phenomenon associated with the leakage or escape of air from a cavity that contains air into spaces that. The common denominator of the air leak syndromes is barotrauma. Air leak (al) is a term used when air escapes from an area that normally contains it, moving to places where air isn’t usually found. Barotrauma. Another Name For Air Leak Syndrome.
From present5.com
Chest Radiography for the NICU Harbir Juj November Another Name For Air Leak Syndrome (see also overview of perinatal respiratory. Air leak (al) is a clinical phenomenon associated with the leakage or escape of air from a cavity that contains air into spaces that. Barotrauma results whenever positive pressure is applied to the. Air leak (al) is a term used when air escapes from an area that normally contains it, moving to places where. Another Name For Air Leak Syndrome.
From www.ijirm.org
Air leak syndrome in COVID19 A case series IJIRM Another Name For Air Leak Syndrome The common denominator of the air leak syndromes is barotrauma. Air leak (al) is a term used when air escapes from an area that normally contains it, moving to places where air isn’t usually found. Air leak (al) is a clinical phenomenon associated with the leakage or escape of air from a cavity that contains air into spaces that usually,. Another Name For Air Leak Syndrome.
From www.slideserve.com
PPT PULMONARY AIR LEAK SYNDROME PowerPoint Presentation, free Another Name For Air Leak Syndrome Air leak (al) is a clinical phenomenon associated with the leakage or escape of air from a cavity that contains air into spaces that. Air leak (al) is a clinical phenomenon associated with the leakage or escape of air from a cavity that contains air into spaces that usually, under. (see also overview of perinatal respiratory. Air leak (al) is. Another Name For Air Leak Syndrome.
From www.youtube.com
Air leaks in neonatesa quick review of the types of air leaks. Dr Another Name For Air Leak Syndrome Air leak (al) is a term used when air escapes from an area that normally contains it, moving to places where air isn’t usually found. (see also overview of perinatal respiratory. The common denominator of the air leak syndromes is barotrauma. Air leak (al) is a clinical phenomenon associated with the leakage or escape of air from a cavity that. Another Name For Air Leak Syndrome.
From www.slideserve.com
PPT PULMONARY AIR LEAK SYNDROME PowerPoint Presentation, free Another Name For Air Leak Syndrome The common denominator of the air leak syndromes is barotrauma. Air leak (al) is a clinical phenomenon associated with the leakage or escape of air from a cavity that contains air into spaces that. Air leak (al) is a clinical phenomenon associated with the leakage or escape of air from a cavity that contains air into spaces that usually, under.. Another Name For Air Leak Syndrome.
From ghsnicuresidenthandbook.weebly.com
Air Leak Syndromes 20182019 NEONATAL INTENSIVE CARE UNIT RESIDENT Another Name For Air Leak Syndrome (see also overview of perinatal respiratory. Air leak (al) is a clinical phenomenon associated with the leakage or escape of air from a cavity that contains air into spaces that usually, under. Air leak (al) is a term used when air escapes from an area that normally contains it, moving to places where air isn’t usually found. Air leak (al). Another Name For Air Leak Syndrome.
From www.semanticscholar.org
[PDF] Air Leak Syndrome Pneumoperitoneum in a Ventilated Neonate Another Name For Air Leak Syndrome Air leak (al) is a clinical phenomenon associated with the leakage or escape of air from a cavity that contains air into spaces that. Air leak (al) is a clinical phenomenon associated with the leakage or escape of air from a cavity that contains air into spaces that usually, under. The common denominator of the air leak syndromes is barotrauma.. Another Name For Air Leak Syndrome.
From ghsnicuresidenthandbook.weebly.com
Air Leak Syndromes 20182019 NEONATAL INTENSIVE CARE UNIT RESIDENT Another Name For Air Leak Syndrome Air leak (al) is a term used when air escapes from an area that normally contains it, moving to places where air isn’t usually found. Air leak (al) is a clinical phenomenon associated with the leakage or escape of air from a cavity that contains air into spaces that usually, under. (see also overview of perinatal respiratory. The common denominator. Another Name For Air Leak Syndrome.
From journals.sagepub.com
Pulmonary air leak syndrome in rheumatoid arthritis patient Ibtissam Another Name For Air Leak Syndrome Air leak (al) is a term used when air escapes from an area that normally contains it, moving to places where air isn’t usually found. (see also overview of perinatal respiratory. The common denominator of the air leak syndromes is barotrauma. Air leak (al) is a clinical phenomenon associated with the leakage or escape of air from a cavity that. Another Name For Air Leak Syndrome.