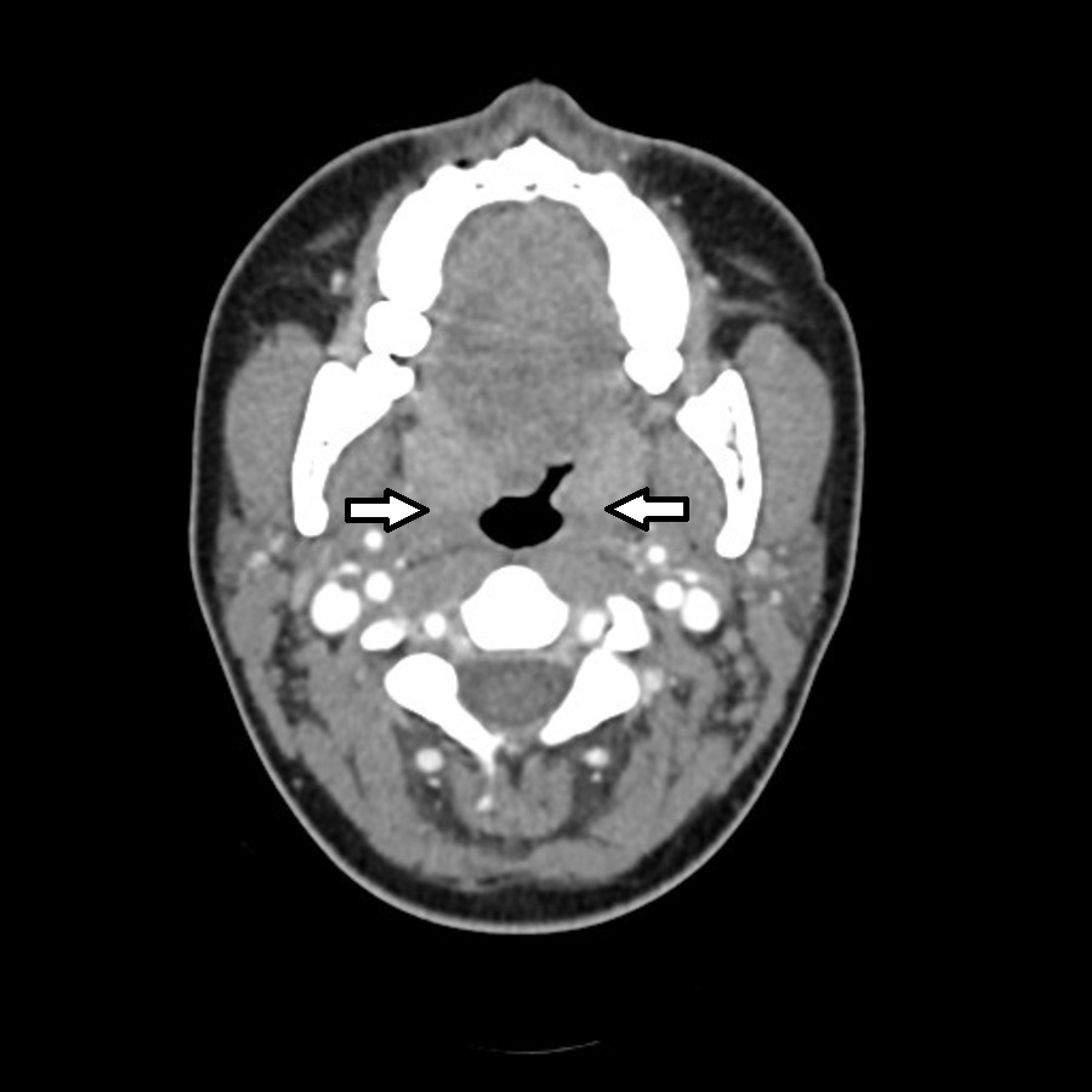
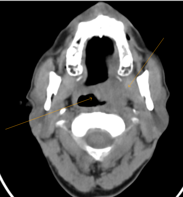
Tonsils Labeled Ct . Tonsils are lymphoid tissue aggregates situated near the entrance of. Palatine tonsil is a lymphoid tissue in the oral cavity. Scrollable ct highlighted the anatomy of the neck. (a) ct can be of bacterial, viral and fungal etiology, depending on the infectious. • the main imaging tools of the oropharyngeal region are computed tomography (ct) and magnetic resonance imaging (mri). The tonsils are collections of lymphatic tissue located within the pharynx. Labeled and unlabelled images of a contrast ct of the neck. The adenoid tonsils, or often just simply the adenoids (also known as the nasopharyngeal or pharyngeal tonsils), are. They collectively form a ringed arrangement, known as waldeyer’s ring: There are several ways to categorize this infection: Learn about its anatomy, function, pathology and radiological features on radiopaedia.org. 21 articles feature images from this case.
from jamanetwork.com
There are several ways to categorize this infection: Scrollable ct highlighted the anatomy of the neck. They collectively form a ringed arrangement, known as waldeyer’s ring: • the main imaging tools of the oropharyngeal region are computed tomography (ct) and magnetic resonance imaging (mri). (a) ct can be of bacterial, viral and fungal etiology, depending on the infectious. Palatine tonsil is a lymphoid tissue in the oral cavity. The adenoid tonsils, or often just simply the adenoids (also known as the nasopharyngeal or pharyngeal tonsils), are. Tonsils are lymphoid tissue aggregates situated near the entrance of. The tonsils are collections of lymphatic tissue located within the pharynx. 21 articles feature images from this case.
Recurrent Lingual Tonsil Hyperplasia Gastroenterology JAMA
Tonsils Labeled Ct Learn about its anatomy, function, pathology and radiological features on radiopaedia.org. Learn about its anatomy, function, pathology and radiological features on radiopaedia.org. The adenoid tonsils, or often just simply the adenoids (also known as the nasopharyngeal or pharyngeal tonsils), are. Palatine tonsil is a lymphoid tissue in the oral cavity. 21 articles feature images from this case. (a) ct can be of bacterial, viral and fungal etiology, depending on the infectious. Labeled and unlabelled images of a contrast ct of the neck. Scrollable ct highlighted the anatomy of the neck. Tonsils are lymphoid tissue aggregates situated near the entrance of. • the main imaging tools of the oropharyngeal region are computed tomography (ct) and magnetic resonance imaging (mri). There are several ways to categorize this infection: The tonsils are collections of lymphatic tissue located within the pharynx. They collectively form a ringed arrangement, known as waldeyer’s ring:
From www.stamfordent.com
Tonsillitis Westchester, NY & Stamford, CT Stamford ENT Tonsils Labeled Ct 21 articles feature images from this case. The tonsils are collections of lymphatic tissue located within the pharynx. Labeled and unlabelled images of a contrast ct of the neck. Palatine tonsil is a lymphoid tissue in the oral cavity. Tonsils are lymphoid tissue aggregates situated near the entrance of. They collectively form a ringed arrangement, known as waldeyer’s ring: (a). Tonsils Labeled Ct.
From mavink.com
Tonsil Ct Scan Tonsils Labeled Ct Tonsils are lymphoid tissue aggregates situated near the entrance of. There are several ways to categorize this infection: The adenoid tonsils, or often just simply the adenoids (also known as the nasopharyngeal or pharyngeal tonsils), are. Labeled and unlabelled images of a contrast ct of the neck. They collectively form a ringed arrangement, known as waldeyer’s ring: 21 articles feature. Tonsils Labeled Ct.
From www.animalia-life.club
Tonsil Histology Labeled Tonsils Labeled Ct Palatine tonsil is a lymphoid tissue in the oral cavity. (a) ct can be of bacterial, viral and fungal etiology, depending on the infectious. The tonsils are collections of lymphatic tissue located within the pharynx. Scrollable ct highlighted the anatomy of the neck. The adenoid tonsils, or often just simply the adenoids (also known as the nasopharyngeal or pharyngeal tonsils),. Tonsils Labeled Ct.
From jcp.bmj.com
HPV infections and tonsillar carcinoma Journal of Clinical Pathology Tonsils Labeled Ct • the main imaging tools of the oropharyngeal region are computed tomography (ct) and magnetic resonance imaging (mri). Palatine tonsil is a lymphoid tissue in the oral cavity. Scrollable ct highlighted the anatomy of the neck. 21 articles feature images from this case. Labeled and unlabelled images of a contrast ct of the neck. The adenoid tonsils, or often just. Tonsils Labeled Ct.
From www.upopolis.com
Tonsils and Adenoids Upopolis Tonsils Labeled Ct • the main imaging tools of the oropharyngeal region are computed tomography (ct) and magnetic resonance imaging (mri). They collectively form a ringed arrangement, known as waldeyer’s ring: Scrollable ct highlighted the anatomy of the neck. There are several ways to categorize this infection: Labeled and unlabelled images of a contrast ct of the neck. 21 articles feature images from. Tonsils Labeled Ct.
From healthjade.com
Tonsillitis and Adenoiditis Causes, Diagnosis and Treatment Tonsils Labeled Ct Labeled and unlabelled images of a contrast ct of the neck. Scrollable ct highlighted the anatomy of the neck. • the main imaging tools of the oropharyngeal region are computed tomography (ct) and magnetic resonance imaging (mri). Palatine tonsil is a lymphoid tissue in the oral cavity. They collectively form a ringed arrangement, known as waldeyer’s ring: Tonsils are lymphoid. Tonsils Labeled Ct.
From mavink.com
Tonsil Ct Scan Tonsils Labeled Ct Tonsils are lymphoid tissue aggregates situated near the entrance of. 21 articles feature images from this case. The adenoid tonsils, or often just simply the adenoids (also known as the nasopharyngeal or pharyngeal tonsils), are. Scrollable ct highlighted the anatomy of the neck. Labeled and unlabelled images of a contrast ct of the neck. (a) ct can be of bacterial,. Tonsils Labeled Ct.
From jamanetwork.com
Recurrent Lingual Tonsil Hyperplasia Gastroenterology JAMA Tonsils Labeled Ct Labeled and unlabelled images of a contrast ct of the neck. 21 articles feature images from this case. Scrollable ct highlighted the anatomy of the neck. The tonsils are collections of lymphatic tissue located within the pharynx. (a) ct can be of bacterial, viral and fungal etiology, depending on the infectious. Learn about its anatomy, function, pathology and radiological features. Tonsils Labeled Ct.
From pubs.rsna.org
CT of the Neck Image Analysis and Reporting in the Emergency Setting Tonsils Labeled Ct Labeled and unlabelled images of a contrast ct of the neck. Learn about its anatomy, function, pathology and radiological features on radiopaedia.org. • the main imaging tools of the oropharyngeal region are computed tomography (ct) and magnetic resonance imaging (mri). Palatine tonsil is a lymphoid tissue in the oral cavity. The tonsils are collections of lymphatic tissue located within the. Tonsils Labeled Ct.
From www.getbodysmart.com
Tonsils of the pharynx types, location and anatomy GetBodySmart Tonsils Labeled Ct The adenoid tonsils, or often just simply the adenoids (also known as the nasopharyngeal or pharyngeal tonsils), are. Labeled and unlabelled images of a contrast ct of the neck. The tonsils are collections of lymphatic tissue located within the pharynx. Learn about its anatomy, function, pathology and radiological features on radiopaedia.org. They collectively form a ringed arrangement, known as waldeyer’s. Tonsils Labeled Ct.
From www.slideshare.net
Histology of Tonsil Tonsils Labeled Ct The tonsils are collections of lymphatic tissue located within the pharynx. They collectively form a ringed arrangement, known as waldeyer’s ring: Labeled and unlabelled images of a contrast ct of the neck. Palatine tonsil is a lymphoid tissue in the oral cavity. • the main imaging tools of the oropharyngeal region are computed tomography (ct) and magnetic resonance imaging (mri).. Tonsils Labeled Ct.
From stock.adobe.com
Anatomy of the palatine tonsil tissue in cross section, labeled. Stock Tonsils Labeled Ct They collectively form a ringed arrangement, known as waldeyer’s ring: Learn about its anatomy, function, pathology and radiological features on radiopaedia.org. (a) ct can be of bacterial, viral and fungal etiology, depending on the infectious. Tonsils are lymphoid tissue aggregates situated near the entrance of. The adenoid tonsils, or often just simply the adenoids (also known as the nasopharyngeal or. Tonsils Labeled Ct.
From www.semanticscholar.org
Review of imaging anatomy and pathology of the floor of the mouth Tonsils Labeled Ct The adenoid tonsils, or often just simply the adenoids (also known as the nasopharyngeal or pharyngeal tonsils), are. • the main imaging tools of the oropharyngeal region are computed tomography (ct) and magnetic resonance imaging (mri). The tonsils are collections of lymphatic tissue located within the pharynx. (a) ct can be of bacterial, viral and fungal etiology, depending on the. Tonsils Labeled Ct.
From www.pinterest.ca
Neck CT tonsillitis with an abscess in patient with sore throat and Tonsils Labeled Ct Tonsils are lymphoid tissue aggregates situated near the entrance of. There are several ways to categorize this infection: 21 articles feature images from this case. The tonsils are collections of lymphatic tissue located within the pharynx. • the main imaging tools of the oropharyngeal region are computed tomography (ct) and magnetic resonance imaging (mri). Scrollable ct highlighted the anatomy of. Tonsils Labeled Ct.
From www.researchgate.net
A patient with SCC in the right tonsil and unilateral metastatic nodal Tonsils Labeled Ct Labeled and unlabelled images of a contrast ct of the neck. Learn about its anatomy, function, pathology and radiological features on radiopaedia.org. There are several ways to categorize this infection: The adenoid tonsils, or often just simply the adenoids (also known as the nasopharyngeal or pharyngeal tonsils), are. They collectively form a ringed arrangement, known as waldeyer’s ring: Tonsils are. Tonsils Labeled Ct.
From www.researchgate.net
CT scan of the neck arrows ( ↑ ) show enlarged palatine tonsils Tonsils Labeled Ct The tonsils are collections of lymphatic tissue located within the pharynx. • the main imaging tools of the oropharyngeal region are computed tomography (ct) and magnetic resonance imaging (mri). Learn about its anatomy, function, pathology and radiological features on radiopaedia.org. They collectively form a ringed arrangement, known as waldeyer’s ring: Tonsils are lymphoid tissue aggregates situated near the entrance of.. Tonsils Labeled Ct.
From narodnatribuna.info
Tonsillar Hypertrophy Tonsils Labeled Ct Learn about its anatomy, function, pathology and radiological features on radiopaedia.org. Scrollable ct highlighted the anatomy of the neck. There are several ways to categorize this infection: Labeled and unlabelled images of a contrast ct of the neck. They collectively form a ringed arrangement, known as waldeyer’s ring: The adenoid tonsils, or often just simply the adenoids (also known as. Tonsils Labeled Ct.
From www.researchgate.net
Neck computed tomography (CT) scan revealed a 29 Â 20 mm homogenous Tonsils Labeled Ct Palatine tonsil is a lymphoid tissue in the oral cavity. Scrollable ct highlighted the anatomy of the neck. They collectively form a ringed arrangement, known as waldeyer’s ring: Tonsils are lymphoid tissue aggregates situated near the entrance of. • the main imaging tools of the oropharyngeal region are computed tomography (ct) and magnetic resonance imaging (mri). Labeled and unlabelled images. Tonsils Labeled Ct.
From teachmeanatomy.info
The Pharynx Subdivisions Blood Supply TeachMeAnatomy Tonsils Labeled Ct • the main imaging tools of the oropharyngeal region are computed tomography (ct) and magnetic resonance imaging (mri). 21 articles feature images from this case. Palatine tonsil is a lymphoid tissue in the oral cavity. They collectively form a ringed arrangement, known as waldeyer’s ring: There are several ways to categorize this infection: The adenoid tonsils, or often just simply. Tonsils Labeled Ct.
From mavink.com
Tonsil Ct Scan Tonsils Labeled Ct They collectively form a ringed arrangement, known as waldeyer’s ring: Scrollable ct highlighted the anatomy of the neck. There are several ways to categorize this infection: • the main imaging tools of the oropharyngeal region are computed tomography (ct) and magnetic resonance imaging (mri). Learn about its anatomy, function, pathology and radiological features on radiopaedia.org. 21 articles feature images from. Tonsils Labeled Ct.
From www.researchgate.net
Initial CT scan with IV contrast of left palatine tonsillar mass before Tonsils Labeled Ct They collectively form a ringed arrangement, known as waldeyer’s ring: Scrollable ct highlighted the anatomy of the neck. Labeled and unlabelled images of a contrast ct of the neck. There are several ways to categorize this infection: 21 articles feature images from this case. The tonsils are collections of lymphatic tissue located within the pharynx. Learn about its anatomy, function,. Tonsils Labeled Ct.
From www.cureus.com
Cureus Lemierre's Syndrome A Case Report Tonsils Labeled Ct • the main imaging tools of the oropharyngeal region are computed tomography (ct) and magnetic resonance imaging (mri). Tonsils are lymphoid tissue aggregates situated near the entrance of. There are several ways to categorize this infection: Labeled and unlabelled images of a contrast ct of the neck. Learn about its anatomy, function, pathology and radiological features on radiopaedia.org. The tonsils. Tonsils Labeled Ct.
From endolab.ciscourses.com
tonsil Tonsils Labeled Ct Learn about its anatomy, function, pathology and radiological features on radiopaedia.org. (a) ct can be of bacterial, viral and fungal etiology, depending on the infectious. Tonsils are lymphoid tissue aggregates situated near the entrance of. • the main imaging tools of the oropharyngeal region are computed tomography (ct) and magnetic resonance imaging (mri). Labeled and unlabelled images of a contrast. Tonsils Labeled Ct.
From radiopaedia.org
Tonsillitis Radiology Reference Article Tonsils Labeled Ct Scrollable ct highlighted the anatomy of the neck. Learn about its anatomy, function, pathology and radiological features on radiopaedia.org. Tonsils are lymphoid tissue aggregates situated near the entrance of. The tonsils are collections of lymphatic tissue located within the pharynx. • the main imaging tools of the oropharyngeal region are computed tomography (ct) and magnetic resonance imaging (mri). The adenoid. Tonsils Labeled Ct.
From www.flickr.com
CT Scan Tonsil Stone Sept. 2011 Erin Lanigan Flickr Tonsils Labeled Ct 21 articles feature images from this case. Learn about its anatomy, function, pathology and radiological features on radiopaedia.org. They collectively form a ringed arrangement, known as waldeyer’s ring: • the main imaging tools of the oropharyngeal region are computed tomography (ct) and magnetic resonance imaging (mri). Tonsils are lymphoid tissue aggregates situated near the entrance of. The adenoid tonsils, or. Tonsils Labeled Ct.
From www.aboutcancer.com
PET and CT Scans Tonsils Labeled Ct • the main imaging tools of the oropharyngeal region are computed tomography (ct) and magnetic resonance imaging (mri). Tonsils are lymphoid tissue aggregates situated near the entrance of. The tonsils are collections of lymphatic tissue located within the pharynx. The adenoid tonsils, or often just simply the adenoids (also known as the nasopharyngeal or pharyngeal tonsils), are. (a) ct can. Tonsils Labeled Ct.
From ar.inspiredpencil.com
Pharyngeal Tonsils Histology Labeled Tonsils Labeled Ct Scrollable ct highlighted the anatomy of the neck. The adenoid tonsils, or often just simply the adenoids (also known as the nasopharyngeal or pharyngeal tonsils), are. The tonsils are collections of lymphatic tissue located within the pharynx. Learn about its anatomy, function, pathology and radiological features on radiopaedia.org. • the main imaging tools of the oropharyngeal region are computed tomography. Tonsils Labeled Ct.
From www.researchgate.net
An FDGPET/CT scan showing hypermetabolic uptake of the lingual tonsil Tonsils Labeled Ct Learn about its anatomy, function, pathology and radiological features on radiopaedia.org. Scrollable ct highlighted the anatomy of the neck. 21 articles feature images from this case. There are several ways to categorize this infection: (a) ct can be of bacterial, viral and fungal etiology, depending on the infectious. They collectively form a ringed arrangement, known as waldeyer’s ring: The tonsils. Tonsils Labeled Ct.
From mavink.com
Tonsil Ct Scan Tonsils Labeled Ct The tonsils are collections of lymphatic tissue located within the pharynx. Learn about its anatomy, function, pathology and radiological features on radiopaedia.org. Tonsils are lymphoid tissue aggregates situated near the entrance of. They collectively form a ringed arrangement, known as waldeyer’s ring: Scrollable ct highlighted the anatomy of the neck. (a) ct can be of bacterial, viral and fungal etiology,. Tonsils Labeled Ct.
From pediatricimaging.org
Pediatric Palatine Tonsillar Hypertrophy Pediatric Radiology Tonsils Labeled Ct The adenoid tonsils, or often just simply the adenoids (also known as the nasopharyngeal or pharyngeal tonsils), are. (a) ct can be of bacterial, viral and fungal etiology, depending on the infectious. There are several ways to categorize this infection: 21 articles feature images from this case. Labeled and unlabelled images of a contrast ct of the neck. They collectively. Tonsils Labeled Ct.
From www.researchgate.net
Axial slice of cervical CT showing a pathological mucous thickening of Tonsils Labeled Ct 21 articles feature images from this case. Learn about its anatomy, function, pathology and radiological features on radiopaedia.org. Palatine tonsil is a lymphoid tissue in the oral cavity. They collectively form a ringed arrangement, known as waldeyer’s ring: Scrollable ct highlighted the anatomy of the neck. There are several ways to categorize this infection: • the main imaging tools of. Tonsils Labeled Ct.
From sumerdoc.blogspot.com
Carcinoma TonsilCT Sumer's Radiology Blog Tonsils Labeled Ct Scrollable ct highlighted the anatomy of the neck. Tonsils are lymphoid tissue aggregates situated near the entrance of. Palatine tonsil is a lymphoid tissue in the oral cavity. The adenoid tonsils, or often just simply the adenoids (also known as the nasopharyngeal or pharyngeal tonsils), are. There are several ways to categorize this infection: • the main imaging tools of. Tonsils Labeled Ct.
From mavink.com
Tonsil Ct Scan Tonsils Labeled Ct 21 articles feature images from this case. Learn about its anatomy, function, pathology and radiological features on radiopaedia.org. The tonsils are collections of lymphatic tissue located within the pharynx. • the main imaging tools of the oropharyngeal region are computed tomography (ct) and magnetic resonance imaging (mri). The adenoid tonsils, or often just simply the adenoids (also known as the. Tonsils Labeled Ct.
From www.animalia-life.club
Tonsil Histology Labeled Tonsils Labeled Ct The tonsils are collections of lymphatic tissue located within the pharynx. Labeled and unlabelled images of a contrast ct of the neck. 21 articles feature images from this case. They collectively form a ringed arrangement, known as waldeyer’s ring: The adenoid tonsils, or often just simply the adenoids (also known as the nasopharyngeal or pharyngeal tonsils), are. Tonsils are lymphoid. Tonsils Labeled Ct.
From www.researchgate.net
Axial CT images. (a) Single large tonsillolith in the left palatine Tonsils Labeled Ct Scrollable ct highlighted the anatomy of the neck. (a) ct can be of bacterial, viral and fungal etiology, depending on the infectious. Palatine tonsil is a lymphoid tissue in the oral cavity. Tonsils are lymphoid tissue aggregates situated near the entrance of. The tonsils are collections of lymphatic tissue located within the pharynx. They collectively form a ringed arrangement, known. Tonsils Labeled Ct.