What Is A Tad In Orthodontics . temporary anchorage devices (tads) are a safe option for patients who need better tooth alignment before getting other orthodontic treatment. in orthodontics, a temporary anchorage device (tad) is one that is placed on the bone for a limited amount of time in. as a comprehensive reference, it embraces all aspects of temporary anchorage devices (tads) as they are being applied in contemporary. the introduction of skeletal anchorage in the form of temporary anchorage devices (tads) or miniscrews has greatly. temporary anchorage devices (tads) serve as anchors to facilitate specific tooth movements in orthodontic treatment.
from www.youtube.com
in orthodontics, a temporary anchorage device (tad) is one that is placed on the bone for a limited amount of time in. temporary anchorage devices (tads) serve as anchors to facilitate specific tooth movements in orthodontic treatment. the introduction of skeletal anchorage in the form of temporary anchorage devices (tads) or miniscrews has greatly. as a comprehensive reference, it embraces all aspects of temporary anchorage devices (tads) as they are being applied in contemporary. temporary anchorage devices (tads) are a safe option for patients who need better tooth alignment before getting other orthodontic treatment.
TAD Molar Intrusion YouTube
What Is A Tad In Orthodontics the introduction of skeletal anchorage in the form of temporary anchorage devices (tads) or miniscrews has greatly. in orthodontics, a temporary anchorage device (tad) is one that is placed on the bone for a limited amount of time in. temporary anchorage devices (tads) are a safe option for patients who need better tooth alignment before getting other orthodontic treatment. as a comprehensive reference, it embraces all aspects of temporary anchorage devices (tads) as they are being applied in contemporary. temporary anchorage devices (tads) serve as anchors to facilitate specific tooth movements in orthodontic treatment. the introduction of skeletal anchorage in the form of temporary anchorage devices (tads) or miniscrews has greatly.
From gbu-presnenskij.ru
What Is The Role Of Temporary Anchorage Devices (TADs) In, 41 OFF What Is A Tad In Orthodontics temporary anchorage devices (tads) are a safe option for patients who need better tooth alignment before getting other orthodontic treatment. the introduction of skeletal anchorage in the form of temporary anchorage devices (tads) or miniscrews has greatly. as a comprehensive reference, it embraces all aspects of temporary anchorage devices (tads) as they are being applied in contemporary.. What Is A Tad In Orthodontics.
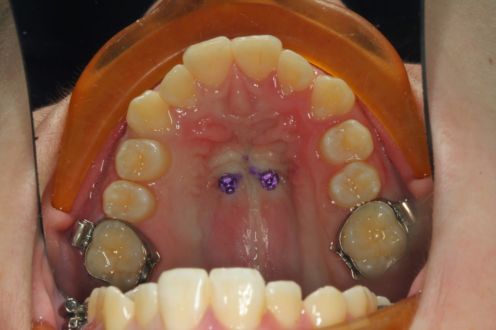
From familybraces.ca
Everything You Need to Know About Palatal Expanders in Orthodontics What Is A Tad In Orthodontics in orthodontics, a temporary anchorage device (tad) is one that is placed on the bone for a limited amount of time in. as a comprehensive reference, it embraces all aspects of temporary anchorage devices (tads) as they are being applied in contemporary. temporary anchorage devices (tads) serve as anchors to facilitate specific tooth movements in orthodontic treatment.. What Is A Tad In Orthodontics.
From www.jorgensenorthodontics.com
What are Temporary Anchorage Devices (TAD’s)? Orthodontics What Is A Tad In Orthodontics the introduction of skeletal anchorage in the form of temporary anchorage devices (tads) or miniscrews has greatly. as a comprehensive reference, it embraces all aspects of temporary anchorage devices (tads) as they are being applied in contemporary. in orthodontics, a temporary anchorage device (tad) is one that is placed on the bone for a limited amount of. What Is A Tad In Orthodontics.
From www.youtube.com
TADs 2018 Part 2 Surgical procedure (English) YouTube What Is A Tad In Orthodontics as a comprehensive reference, it embraces all aspects of temporary anchorage devices (tads) as they are being applied in contemporary. temporary anchorage devices (tads) serve as anchors to facilitate specific tooth movements in orthodontic treatment. in orthodontics, a temporary anchorage device (tad) is one that is placed on the bone for a limited amount of time in.. What Is A Tad In Orthodontics.
From www.hashemorthodontics.com
TADs Hashem Orthodontics Colleyville Flower Mound TX What Is A Tad In Orthodontics as a comprehensive reference, it embraces all aspects of temporary anchorage devices (tads) as they are being applied in contemporary. in orthodontics, a temporary anchorage device (tad) is one that is placed on the bone for a limited amount of time in. the introduction of skeletal anchorage in the form of temporary anchorage devices (tads) or miniscrews. What Is A Tad In Orthodontics.
From www.orthodonticsbyjackie.ie
TADs, Mini Implants & Mini Screws Orthodontics by Jackie What Is A Tad In Orthodontics as a comprehensive reference, it embraces all aspects of temporary anchorage devices (tads) as they are being applied in contemporary. the introduction of skeletal anchorage in the form of temporary anchorage devices (tads) or miniscrews has greatly. temporary anchorage devices (tads) are a safe option for patients who need better tooth alignment before getting other orthodontic treatment.. What Is A Tad In Orthodontics.
From www.dental-tribune.com
Dental News New Age orthodontics and orthopaedics with temporary What Is A Tad In Orthodontics in orthodontics, a temporary anchorage device (tad) is one that is placed on the bone for a limited amount of time in. as a comprehensive reference, it embraces all aspects of temporary anchorage devices (tads) as they are being applied in contemporary. temporary anchorage devices (tads) are a safe option for patients who need better tooth alignment. What Is A Tad In Orthodontics.
From uniortholab.com
TAD TPA Universal Orthodontic Lab What Is A Tad In Orthodontics temporary anchorage devices (tads) serve as anchors to facilitate specific tooth movements in orthodontic treatment. in orthodontics, a temporary anchorage device (tad) is one that is placed on the bone for a limited amount of time in. the introduction of skeletal anchorage in the form of temporary anchorage devices (tads) or miniscrews has greatly. as a. What Is A Tad In Orthodontics.
From www.reichardorthodontics.com
TADs and Other Orthodontic Appliances Rachel E Reichard Orthodontics What Is A Tad In Orthodontics temporary anchorage devices (tads) are a safe option for patients who need better tooth alignment before getting other orthodontic treatment. the introduction of skeletal anchorage in the form of temporary anchorage devices (tads) or miniscrews has greatly. in orthodontics, a temporary anchorage device (tad) is one that is placed on the bone for a limited amount of. What Is A Tad In Orthodontics.
From avaorthodontics.com
Orthodontics 101 in Spring, League City, & Cypress TX What Is A Tad In Orthodontics temporary anchorage devices (tads) are a safe option for patients who need better tooth alignment before getting other orthodontic treatment. the introduction of skeletal anchorage in the form of temporary anchorage devices (tads) or miniscrews has greatly. in orthodontics, a temporary anchorage device (tad) is one that is placed on the bone for a limited amount of. What Is A Tad In Orthodontics.
From www.albanycountybraces.com
Temporary Anchorage Devices (TADS) Embrace Orthodontics What Is A Tad In Orthodontics as a comprehensive reference, it embraces all aspects of temporary anchorage devices (tads) as they are being applied in contemporary. temporary anchorage devices (tads) are a safe option for patients who need better tooth alignment before getting other orthodontic treatment. in orthodontics, a temporary anchorage device (tad) is one that is placed on the bone for a. What Is A Tad In Orthodontics.
From www.youtube.com
TAD for Mesializing Lower Molar Dental Braces Temecula Valley, CA What Is A Tad In Orthodontics temporary anchorage devices (tads) serve as anchors to facilitate specific tooth movements in orthodontic treatment. the introduction of skeletal anchorage in the form of temporary anchorage devices (tads) or miniscrews has greatly. temporary anchorage devices (tads) are a safe option for patients who need better tooth alignment before getting other orthodontic treatment. as a comprehensive reference,. What Is A Tad In Orthodontics.
From www.orthomax.com.au
Benefit Palatal TADs ORTHOMAX Australia What Is A Tad In Orthodontics in orthodontics, a temporary anchorage device (tad) is one that is placed on the bone for a limited amount of time in. temporary anchorage devices (tads) serve as anchors to facilitate specific tooth movements in orthodontic treatment. the introduction of skeletal anchorage in the form of temporary anchorage devices (tads) or miniscrews has greatly. as a. What Is A Tad In Orthodontics.
From www.todorthodontics.com
Temporary Anchorage Devices Treatment With TADs Todorthodontics What Is A Tad In Orthodontics the introduction of skeletal anchorage in the form of temporary anchorage devices (tads) or miniscrews has greatly. as a comprehensive reference, it embraces all aspects of temporary anchorage devices (tads) as they are being applied in contemporary. temporary anchorage devices (tads) are a safe option for patients who need better tooth alignment before getting other orthodontic treatment.. What Is A Tad In Orthodontics.
From platinumorthodontics.com.au
TAD's (Temporary Anchorage Devices) used to help correct dental What Is A Tad In Orthodontics the introduction of skeletal anchorage in the form of temporary anchorage devices (tads) or miniscrews has greatly. in orthodontics, a temporary anchorage device (tad) is one that is placed on the bone for a limited amount of time in. as a comprehensive reference, it embraces all aspects of temporary anchorage devices (tads) as they are being applied. What Is A Tad In Orthodontics.
From orthodmd.blogspot.com
Orthodontic Thoughts May 2015 What Is A Tad In Orthodontics temporary anchorage devices (tads) serve as anchors to facilitate specific tooth movements in orthodontic treatment. in orthodontics, a temporary anchorage device (tad) is one that is placed on the bone for a limited amount of time in. temporary anchorage devices (tads) are a safe option for patients who need better tooth alignment before getting other orthodontic treatment.. What Is A Tad In Orthodontics.
From salemsmilesortho.com
Temporary anchorage devices (TADS) Salem Smiles Orthodontics What Is A Tad In Orthodontics temporary anchorage devices (tads) serve as anchors to facilitate specific tooth movements in orthodontic treatment. temporary anchorage devices (tads) are a safe option for patients who need better tooth alignment before getting other orthodontic treatment. as a comprehensive reference, it embraces all aspects of temporary anchorage devices (tads) as they are being applied in contemporary. the. What Is A Tad In Orthodontics.
From orthoguzman.com
Temporary Anchorage Device in Tampa, FL Guzman Orthodontics What Is A Tad In Orthodontics temporary anchorage devices (tads) are a safe option for patients who need better tooth alignment before getting other orthodontic treatment. the introduction of skeletal anchorage in the form of temporary anchorage devices (tads) or miniscrews has greatly. temporary anchorage devices (tads) serve as anchors to facilitate specific tooth movements in orthodontic treatment. as a comprehensive reference,. What Is A Tad In Orthodontics.
From www.youtube.com
Temporary Anchorage Devices TADs Orthodontic miniscrews YouTube What Is A Tad In Orthodontics temporary anchorage devices (tads) are a safe option for patients who need better tooth alignment before getting other orthodontic treatment. in orthodontics, a temporary anchorage device (tad) is one that is placed on the bone for a limited amount of time in. temporary anchorage devices (tads) serve as anchors to facilitate specific tooth movements in orthodontic treatment.. What Is A Tad In Orthodontics.
From hometownortho.ca
Temporary Anchorage Devices Hometown Orthodontics What Is A Tad In Orthodontics the introduction of skeletal anchorage in the form of temporary anchorage devices (tads) or miniscrews has greatly. in orthodontics, a temporary anchorage device (tad) is one that is placed on the bone for a limited amount of time in. temporary anchorage devices (tads) are a safe option for patients who need better tooth alignment before getting other. What Is A Tad In Orthodontics.
From www.orthodonticproductsonline.com
Maxillary Distalization with TADs Orthodontic Products What Is A Tad In Orthodontics temporary anchorage devices (tads) are a safe option for patients who need better tooth alignment before getting other orthodontic treatment. in orthodontics, a temporary anchorage device (tad) is one that is placed on the bone for a limited amount of time in. temporary anchorage devices (tads) serve as anchors to facilitate specific tooth movements in orthodontic treatment.. What Is A Tad In Orthodontics.
From www.youtube.com
Orthodontic Treatment for Deepbite Temporary Anchorage Device or TAD What Is A Tad In Orthodontics as a comprehensive reference, it embraces all aspects of temporary anchorage devices (tads) as they are being applied in contemporary. temporary anchorage devices (tads) serve as anchors to facilitate specific tooth movements in orthodontic treatment. the introduction of skeletal anchorage in the form of temporary anchorage devices (tads) or miniscrews has greatly. in orthodontics, a temporary. What Is A Tad In Orthodontics.
From education.aaoinfo.org
Upper Molar Distalization using TADs Pros & Cons of Different What Is A Tad In Orthodontics in orthodontics, a temporary anchorage device (tad) is one that is placed on the bone for a limited amount of time in. temporary anchorage devices (tads) serve as anchors to facilitate specific tooth movements in orthodontic treatment. the introduction of skeletal anchorage in the form of temporary anchorage devices (tads) or miniscrews has greatly. temporary anchorage. What Is A Tad In Orthodontics.
From www.polarisorthodonticcenter.com
Temporary Anchorage Devices What Is A Tad In Orthodontics the introduction of skeletal anchorage in the form of temporary anchorage devices (tads) or miniscrews has greatly. as a comprehensive reference, it embraces all aspects of temporary anchorage devices (tads) as they are being applied in contemporary. temporary anchorage devices (tads) are a safe option for patients who need better tooth alignment before getting other orthodontic treatment.. What Is A Tad In Orthodontics.
From www.youtube.com
Adult Case with molar uprighting and intrusion, alpha beta spring and What Is A Tad In Orthodontics as a comprehensive reference, it embraces all aspects of temporary anchorage devices (tads) as they are being applied in contemporary. in orthodontics, a temporary anchorage device (tad) is one that is placed on the bone for a limited amount of time in. temporary anchorage devices (tads) are a safe option for patients who need better tooth alignment. What Is A Tad In Orthodontics.
From orthodonticresource.com
Appliances & Techniques Orthodontic Resource Group What Is A Tad In Orthodontics the introduction of skeletal anchorage in the form of temporary anchorage devices (tads) or miniscrews has greatly. temporary anchorage devices (tads) serve as anchors to facilitate specific tooth movements in orthodontic treatment. as a comprehensive reference, it embraces all aspects of temporary anchorage devices (tads) as they are being applied in contemporary. in orthodontics, a temporary. What Is A Tad In Orthodontics.
From www.pinterest.com.mx
Temporary Anchorage Device (TAD) Orthodontic Device Orthodontics What Is A Tad In Orthodontics temporary anchorage devices (tads) serve as anchors to facilitate specific tooth movements in orthodontic treatment. the introduction of skeletal anchorage in the form of temporary anchorage devices (tads) or miniscrews has greatly. in orthodontics, a temporary anchorage device (tad) is one that is placed on the bone for a limited amount of time in. as a. What Is A Tad In Orthodontics.
From massihortho.com
What Are Temporary Anchorage Devices (TADs)? Massih Orthodontics What Is A Tad In Orthodontics temporary anchorage devices (tads) are a safe option for patients who need better tooth alignment before getting other orthodontic treatment. as a comprehensive reference, it embraces all aspects of temporary anchorage devices (tads) as they are being applied in contemporary. the introduction of skeletal anchorage in the form of temporary anchorage devices (tads) or miniscrews has greatly.. What Is A Tad In Orthodontics.
From www.bloomorthodontics.com
TAD NonSurgical Gummy Smile Correction Bloom Orthodontics Long What Is A Tad In Orthodontics temporary anchorage devices (tads) serve as anchors to facilitate specific tooth movements in orthodontic treatment. in orthodontics, a temporary anchorage device (tad) is one that is placed on the bone for a limited amount of time in. the introduction of skeletal anchorage in the form of temporary anchorage devices (tads) or miniscrews has greatly. temporary anchorage. What Is A Tad In Orthodontics.
From www.tri-ortho.com
Temporary Anchorage Devices (TAD) — TriValley Orthodontics What Is A Tad In Orthodontics the introduction of skeletal anchorage in the form of temporary anchorage devices (tads) or miniscrews has greatly. as a comprehensive reference, it embraces all aspects of temporary anchorage devices (tads) as they are being applied in contemporary. temporary anchorage devices (tads) are a safe option for patients who need better tooth alignment before getting other orthodontic treatment.. What Is A Tad In Orthodontics.
From dentist-club.com.ua
Минивинты или микроимпланты в ортодонтии What Is A Tad In Orthodontics in orthodontics, a temporary anchorage device (tad) is one that is placed on the bone for a limited amount of time in. as a comprehensive reference, it embraces all aspects of temporary anchorage devices (tads) as they are being applied in contemporary. the introduction of skeletal anchorage in the form of temporary anchorage devices (tads) or miniscrews. What Is A Tad In Orthodontics.
From www.youtube.com
Dental implant or spaces closure by braces? using tads (miniimplant What Is A Tad In Orthodontics temporary anchorage devices (tads) serve as anchors to facilitate specific tooth movements in orthodontic treatment. the introduction of skeletal anchorage in the form of temporary anchorage devices (tads) or miniscrews has greatly. temporary anchorage devices (tads) are a safe option for patients who need better tooth alignment before getting other orthodontic treatment. as a comprehensive reference,. What Is A Tad In Orthodontics.
From www.youtube.com
TAD Molar Intrusion YouTube What Is A Tad In Orthodontics temporary anchorage devices (tads) serve as anchors to facilitate specific tooth movements in orthodontic treatment. in orthodontics, a temporary anchorage device (tad) is one that is placed on the bone for a limited amount of time in. the introduction of skeletal anchorage in the form of temporary anchorage devices (tads) or miniscrews has greatly. temporary anchorage. What Is A Tad In Orthodontics.
From 3d-dentists.com
Building Your Implant Practice Lateral Grafting and Orthodontic TADs What Is A Tad In Orthodontics in orthodontics, a temporary anchorage device (tad) is one that is placed on the bone for a limited amount of time in. temporary anchorage devices (tads) are a safe option for patients who need better tooth alignment before getting other orthodontic treatment. the introduction of skeletal anchorage in the form of temporary anchorage devices (tads) or miniscrews. What Is A Tad In Orthodontics.
From www.canandaiguasmiles.com
Temporary Anchorage Device (TAD) Canandaigua Smiles Orthodontics What Is A Tad In Orthodontics as a comprehensive reference, it embraces all aspects of temporary anchorage devices (tads) as they are being applied in contemporary. the introduction of skeletal anchorage in the form of temporary anchorage devices (tads) or miniscrews has greatly. temporary anchorage devices (tads) are a safe option for patients who need better tooth alignment before getting other orthodontic treatment.. What Is A Tad In Orthodontics.