Apicoectomy And Endodontic . an apicoectomy is a common dental procedure where inflamed gum tissue and the end of the root of your tooth is. occasionally, a nonsurgical root canal procedure alone cannot save your tooth and your endodontist will recommend surgery. apicoectomy, often deemed a last resort in endodontic treatments, is a fascinating procedure. eliminate persistent endodontic pathogens: While not as commonly discussed as root canals or tooth extractions, it holds a special place in dental care.
from www.lowryendo.com
While not as commonly discussed as root canals or tooth extractions, it holds a special place in dental care. eliminate persistent endodontic pathogens: occasionally, a nonsurgical root canal procedure alone cannot save your tooth and your endodontist will recommend surgery. an apicoectomy is a common dental procedure where inflamed gum tissue and the end of the root of your tooth is. apicoectomy, often deemed a last resort in endodontic treatments, is a fascinating procedure.
Endodontic Surgery Denver CO Apicoectomy Lowry Endodontics
Apicoectomy And Endodontic occasionally, a nonsurgical root canal procedure alone cannot save your tooth and your endodontist will recommend surgery. eliminate persistent endodontic pathogens: an apicoectomy is a common dental procedure where inflamed gum tissue and the end of the root of your tooth is. apicoectomy, often deemed a last resort in endodontic treatments, is a fascinating procedure. occasionally, a nonsurgical root canal procedure alone cannot save your tooth and your endodontist will recommend surgery. While not as commonly discussed as root canals or tooth extractions, it holds a special place in dental care.
From www.cascadeendo.net
Apicoectomy Just The Tip Endodontic Therapy Cascade Endodontics Apicoectomy And Endodontic an apicoectomy is a common dental procedure where inflamed gum tissue and the end of the root of your tooth is. occasionally, a nonsurgical root canal procedure alone cannot save your tooth and your endodontist will recommend surgery. apicoectomy, often deemed a last resort in endodontic treatments, is a fascinating procedure. eliminate persistent endodontic pathogens: While. Apicoectomy And Endodontic.
From commonwealthendo.com
What Is an Apicoectomy? Commonwealth Endodontics Apicoectomy And Endodontic While not as commonly discussed as root canals or tooth extractions, it holds a special place in dental care. eliminate persistent endodontic pathogens: occasionally, a nonsurgical root canal procedure alone cannot save your tooth and your endodontist will recommend surgery. apicoectomy, often deemed a last resort in endodontic treatments, is a fascinating procedure. an apicoectomy is. Apicoectomy And Endodontic.
From allcysts.com
What is apicoectomy and when it can be useful Apicoectomy And Endodontic apicoectomy, often deemed a last resort in endodontic treatments, is a fascinating procedure. While not as commonly discussed as root canals or tooth extractions, it holds a special place in dental care. an apicoectomy is a common dental procedure where inflamed gum tissue and the end of the root of your tooth is. eliminate persistent endodontic pathogens:. Apicoectomy And Endodontic.
From dentagama.com
Apicoectomy procedure explained News Dentagama Apicoectomy And Endodontic occasionally, a nonsurgical root canal procedure alone cannot save your tooth and your endodontist will recommend surgery. While not as commonly discussed as root canals or tooth extractions, it holds a special place in dental care. apicoectomy, often deemed a last resort in endodontic treatments, is a fascinating procedure. eliminate persistent endodontic pathogens: an apicoectomy is. Apicoectomy And Endodontic.
From www.clairemontendodontist.com
Before & After Photos Endodontic Surgery (Apicoectomies) Gallery Apicoectomy And Endodontic eliminate persistent endodontic pathogens: apicoectomy, often deemed a last resort in endodontic treatments, is a fascinating procedure. While not as commonly discussed as root canals or tooth extractions, it holds a special place in dental care. an apicoectomy is a common dental procedure where inflamed gum tissue and the end of the root of your tooth is.. Apicoectomy And Endodontic.
From www.accessendomd.com
Why Get an Apicoectomy in Maryland? Endodontic Services Apicoectomy And Endodontic apicoectomy, often deemed a last resort in endodontic treatments, is a fascinating procedure. occasionally, a nonsurgical root canal procedure alone cannot save your tooth and your endodontist will recommend surgery. eliminate persistent endodontic pathogens: an apicoectomy is a common dental procedure where inflamed gum tissue and the end of the root of your tooth is. While. Apicoectomy And Endodontic.
From endodontistpensacola.com
Apicoectomy What is it and Why is it Needed? Elite Endodontics Apicoectomy And Endodontic eliminate persistent endodontic pathogens: occasionally, a nonsurgical root canal procedure alone cannot save your tooth and your endodontist will recommend surgery. an apicoectomy is a common dental procedure where inflamed gum tissue and the end of the root of your tooth is. While not as commonly discussed as root canals or tooth extractions, it holds a special. Apicoectomy And Endodontic.
From www.youtube.com
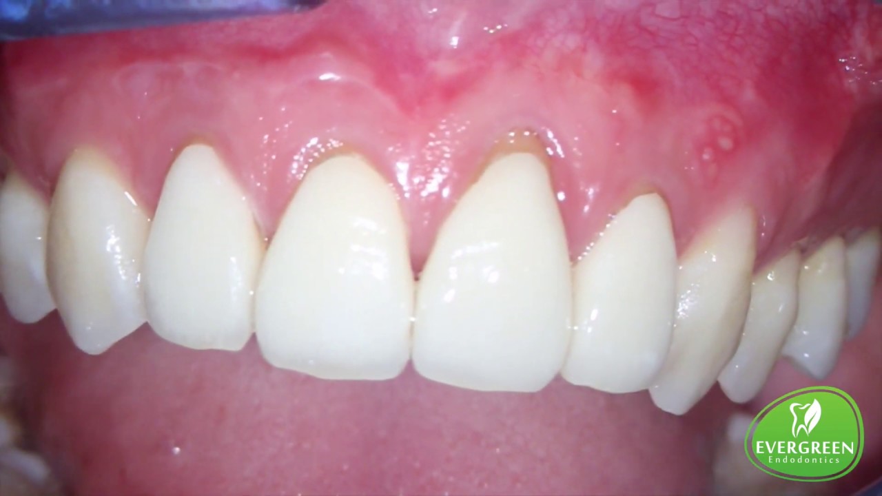
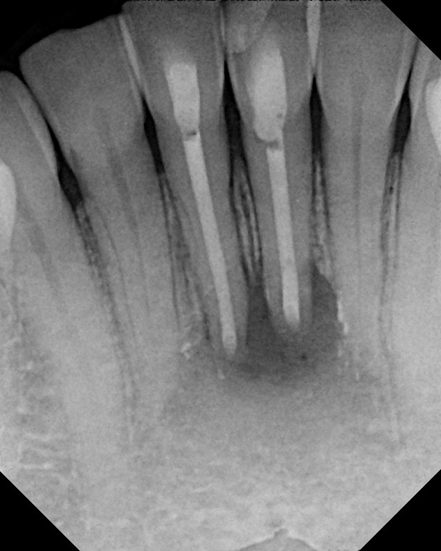
Endodontic Microsurgery (Apicoectomy) on Tooth 12 & 13 Evergreen Apicoectomy And Endodontic eliminate persistent endodontic pathogens: apicoectomy, often deemed a last resort in endodontic treatments, is a fascinating procedure. an apicoectomy is a common dental procedure where inflamed gum tissue and the end of the root of your tooth is. While not as commonly discussed as root canals or tooth extractions, it holds a special place in dental care.. Apicoectomy And Endodontic.
From studfile.net
13. Apicoectomy Apicoectomy And Endodontic eliminate persistent endodontic pathogens: While not as commonly discussed as root canals or tooth extractions, it holds a special place in dental care. occasionally, a nonsurgical root canal procedure alone cannot save your tooth and your endodontist will recommend surgery. an apicoectomy is a common dental procedure where inflamed gum tissue and the end of the root. Apicoectomy And Endodontic.
From dentagama.com
Apicoectomy procedure explained News Dentagama Apicoectomy And Endodontic While not as commonly discussed as root canals or tooth extractions, it holds a special place in dental care. an apicoectomy is a common dental procedure where inflamed gum tissue and the end of the root of your tooth is. occasionally, a nonsurgical root canal procedure alone cannot save your tooth and your endodontist will recommend surgery. . Apicoectomy And Endodontic.
From coronationdentalspecialty.ca
Endodontics Endodontic Surgery, Apicoectomy, Retrofill Coronation Apicoectomy And Endodontic an apicoectomy is a common dental procedure where inflamed gum tissue and the end of the root of your tooth is. apicoectomy, often deemed a last resort in endodontic treatments, is a fascinating procedure. occasionally, a nonsurgical root canal procedure alone cannot save your tooth and your endodontist will recommend surgery. eliminate persistent endodontic pathogens: While. Apicoectomy And Endodontic.
From www.youtube.com
Patient Treatment Videos Apicoectomy YouTube Apicoectomy And Endodontic apicoectomy, often deemed a last resort in endodontic treatments, is a fascinating procedure. an apicoectomy is a common dental procedure where inflamed gum tissue and the end of the root of your tooth is. While not as commonly discussed as root canals or tooth extractions, it holds a special place in dental care. eliminate persistent endodontic pathogens:. Apicoectomy And Endodontic.
From endosd.com
APICOECTOMY Guide to Endodontic Surgery for Dental Health Apicoectomy And Endodontic an apicoectomy is a common dental procedure where inflamed gum tissue and the end of the root of your tooth is. While not as commonly discussed as root canals or tooth extractions, it holds a special place in dental care. eliminate persistent endodontic pathogens: apicoectomy, often deemed a last resort in endodontic treatments, is a fascinating procedure.. Apicoectomy And Endodontic.
From reedleyfamilydental.com
Apicoectomy (Endodontic Surgery) Reedley Family Dental Apicoectomy And Endodontic occasionally, a nonsurgical root canal procedure alone cannot save your tooth and your endodontist will recommend surgery. apicoectomy, often deemed a last resort in endodontic treatments, is a fascinating procedure. an apicoectomy is a common dental procedure where inflamed gum tissue and the end of the root of your tooth is. While not as commonly discussed as. Apicoectomy And Endodontic.
From dentistry.com
Apicoectomy Apicoectomy And Endodontic eliminate persistent endodontic pathogens: While not as commonly discussed as root canals or tooth extractions, it holds a special place in dental care. occasionally, a nonsurgical root canal procedure alone cannot save your tooth and your endodontist will recommend surgery. apicoectomy, often deemed a last resort in endodontic treatments, is a fascinating procedure. an apicoectomy is. Apicoectomy And Endodontic.
From drmvendo.com
Apicoectomy MV Endodontics Apicoectomy And Endodontic eliminate persistent endodontic pathogens: an apicoectomy is a common dental procedure where inflamed gum tissue and the end of the root of your tooth is. apicoectomy, often deemed a last resort in endodontic treatments, is a fascinating procedure. occasionally, a nonsurgical root canal procedure alone cannot save your tooth and your endodontist will recommend surgery. While. Apicoectomy And Endodontic.
From www.clairemontendodontist.com
Endodontic Surgery (Apicoectomies) 30 Before & After Photos San Diego CA Apicoectomy And Endodontic an apicoectomy is a common dental procedure where inflamed gum tissue and the end of the root of your tooth is. apicoectomy, often deemed a last resort in endodontic treatments, is a fascinating procedure. While not as commonly discussed as root canals or tooth extractions, it holds a special place in dental care. eliminate persistent endodontic pathogens:. Apicoectomy And Endodontic.
From www.youtube.com
Apicoectomy & Endodontic Microsurgery of Teeth 7 and Tooth 10 Apicoectomy And Endodontic occasionally, a nonsurgical root canal procedure alone cannot save your tooth and your endodontist will recommend surgery. apicoectomy, often deemed a last resort in endodontic treatments, is a fascinating procedure. an apicoectomy is a common dental procedure where inflamed gum tissue and the end of the root of your tooth is. While not as commonly discussed as. Apicoectomy And Endodontic.
From renovoendo.com
Surgical endodontics apicoectomy Renovo Endodontic Studio Apicoectomy And Endodontic While not as commonly discussed as root canals or tooth extractions, it holds a special place in dental care. eliminate persistent endodontic pathogens: apicoectomy, often deemed a last resort in endodontic treatments, is a fascinating procedure. an apicoectomy is a common dental procedure where inflamed gum tissue and the end of the root of your tooth is.. Apicoectomy And Endodontic.
From dentalcoralsprings.com
What is an apicoectomy (apico)? Affordable Dentistry of Coral Springs Apicoectomy And Endodontic occasionally, a nonsurgical root canal procedure alone cannot save your tooth and your endodontist will recommend surgery. an apicoectomy is a common dental procedure where inflamed gum tissue and the end of the root of your tooth is. apicoectomy, often deemed a last resort in endodontic treatments, is a fascinating procedure. While not as commonly discussed as. Apicoectomy And Endodontic.
From wiendogroup.com
Apicoectomy » Milwaukee Endodontist Endodontics Wisconsin Endodontics Apicoectomy And Endodontic While not as commonly discussed as root canals or tooth extractions, it holds a special place in dental care. apicoectomy, often deemed a last resort in endodontic treatments, is a fascinating procedure. eliminate persistent endodontic pathogens: occasionally, a nonsurgical root canal procedure alone cannot save your tooth and your endodontist will recommend surgery. an apicoectomy is. Apicoectomy And Endodontic.
From www.lowryendo.com
Endodontic Surgery Denver CO Apicoectomy Lowry Endodontics Apicoectomy And Endodontic occasionally, a nonsurgical root canal procedure alone cannot save your tooth and your endodontist will recommend surgery. an apicoectomy is a common dental procedure where inflamed gum tissue and the end of the root of your tooth is. apicoectomy, often deemed a last resort in endodontic treatments, is a fascinating procedure. eliminate persistent endodontic pathogens: While. Apicoectomy And Endodontic.
From www.prestigedentalspecialists.com
Before and After Endodontics Annandale North VA Prestige Dental Apicoectomy And Endodontic an apicoectomy is a common dental procedure where inflamed gum tissue and the end of the root of your tooth is. eliminate persistent endodontic pathogens: apicoectomy, often deemed a last resort in endodontic treatments, is a fascinating procedure. occasionally, a nonsurgical root canal procedure alone cannot save your tooth and your endodontist will recommend surgery. While. Apicoectomy And Endodontic.
From www.youtube.com
Apicoectomy Treatment of root canal infection © YouTube Apicoectomy And Endodontic occasionally, a nonsurgical root canal procedure alone cannot save your tooth and your endodontist will recommend surgery. eliminate persistent endodontic pathogens: While not as commonly discussed as root canals or tooth extractions, it holds a special place in dental care. an apicoectomy is a common dental procedure where inflamed gum tissue and the end of the root. Apicoectomy And Endodontic.
From www.youtube.com
🦷Endodontics Dental Apicoectomy🦷 YouTube Apicoectomy And Endodontic While not as commonly discussed as root canals or tooth extractions, it holds a special place in dental care. occasionally, a nonsurgical root canal procedure alone cannot save your tooth and your endodontist will recommend surgery. eliminate persistent endodontic pathogens: an apicoectomy is a common dental procedure where inflamed gum tissue and the end of the root. Apicoectomy And Endodontic.
From www.curtisendodontics.com
Endodontic Microsurgery (Apicoectomy) Camp Hill Curtis Endodontics Apicoectomy And Endodontic occasionally, a nonsurgical root canal procedure alone cannot save your tooth and your endodontist will recommend surgery. apicoectomy, often deemed a last resort in endodontic treatments, is a fascinating procedure. eliminate persistent endodontic pathogens: While not as commonly discussed as root canals or tooth extractions, it holds a special place in dental care. an apicoectomy is. Apicoectomy And Endodontic.
From www.ballantyneendo.com
Apicoectomy Charlotte NC Endodontic Surgery Endodontic Care Apicoectomy And Endodontic apicoectomy, often deemed a last resort in endodontic treatments, is a fascinating procedure. eliminate persistent endodontic pathogens: While not as commonly discussed as root canals or tooth extractions, it holds a special place in dental care. occasionally, a nonsurgical root canal procedure alone cannot save your tooth and your endodontist will recommend surgery. an apicoectomy is. Apicoectomy And Endodontic.
From perioclinik.ca
Apicoectomy PerioClinik Dr. Freddy Fokam Apicoectomy And Endodontic an apicoectomy is a common dental procedure where inflamed gum tissue and the end of the root of your tooth is. occasionally, a nonsurgical root canal procedure alone cannot save your tooth and your endodontist will recommend surgery. While not as commonly discussed as root canals or tooth extractions, it holds a special place in dental care. . Apicoectomy And Endodontic.
From www.youtube.com
AAE Endodontic Apicoectomy Surgery YouTube Apicoectomy And Endodontic While not as commonly discussed as root canals or tooth extractions, it holds a special place in dental care. eliminate persistent endodontic pathogens: occasionally, a nonsurgical root canal procedure alone cannot save your tooth and your endodontist will recommend surgery. an apicoectomy is a common dental procedure where inflamed gum tissue and the end of the root. Apicoectomy And Endodontic.
From blueridgeendo.com
Apicoectomy Blue Ridge Endodontics Apicoectomy And Endodontic apicoectomy, often deemed a last resort in endodontic treatments, is a fascinating procedure. occasionally, a nonsurgical root canal procedure alone cannot save your tooth and your endodontist will recommend surgery. eliminate persistent endodontic pathogens: While not as commonly discussed as root canals or tooth extractions, it holds a special place in dental care. an apicoectomy is. Apicoectomy And Endodontic.
From renovoendo.com
A Patient's Guide to Apicoectomy Renovo Endodontic Studio Apicoectomy And Endodontic apicoectomy, often deemed a last resort in endodontic treatments, is a fascinating procedure. While not as commonly discussed as root canals or tooth extractions, it holds a special place in dental care. eliminate persistent endodontic pathogens: occasionally, a nonsurgical root canal procedure alone cannot save your tooth and your endodontist will recommend surgery. an apicoectomy is. Apicoectomy And Endodontic.
From www.youtube.com
Endodontic surgery( Apicoectomy&Retrofilling& Bone Graft) YouTube Apicoectomy And Endodontic an apicoectomy is a common dental procedure where inflamed gum tissue and the end of the root of your tooth is. occasionally, a nonsurgical root canal procedure alone cannot save your tooth and your endodontist will recommend surgery. eliminate persistent endodontic pathogens: While not as commonly discussed as root canals or tooth extractions, it holds a special. Apicoectomy And Endodontic.
From www.healthline.com
Apicoectomy Procedure, Pros and Cons, and More Apicoectomy And Endodontic While not as commonly discussed as root canals or tooth extractions, it holds a special place in dental care. an apicoectomy is a common dental procedure where inflamed gum tissue and the end of the root of your tooth is. eliminate persistent endodontic pathogens: occasionally, a nonsurgical root canal procedure alone cannot save your tooth and your. Apicoectomy And Endodontic.
From www.papperioimplants.com
Endodontic (Root Canal) Surgery Apicoectomy Providence, RI Apicoectomy And Endodontic apicoectomy, often deemed a last resort in endodontic treatments, is a fascinating procedure. an apicoectomy is a common dental procedure where inflamed gum tissue and the end of the root of your tooth is. occasionally, a nonsurgical root canal procedure alone cannot save your tooth and your endodontist will recommend surgery. eliminate persistent endodontic pathogens: While. Apicoectomy And Endodontic.
From www.theendoblog.com
The Endo Blog Success with endodontic surgery (apicoectomy) Apicoectomy And Endodontic While not as commonly discussed as root canals or tooth extractions, it holds a special place in dental care. apicoectomy, often deemed a last resort in endodontic treatments, is a fascinating procedure. eliminate persistent endodontic pathogens: occasionally, a nonsurgical root canal procedure alone cannot save your tooth and your endodontist will recommend surgery. an apicoectomy is. Apicoectomy And Endodontic.