Can The Diaphragm Be Damaged . Learn about the causes, symptoms,. Phrenic nerve damage can cause your diaphragm to stop working properly, making it hard to breathe and live normally. Traumatic injury to the diaphragm is rare. A tight diaphragm can cause pain in the side, chest, neck, and shoulders, as well as shortness of breath, hiccups, and indigestion. Learn about the possible causes of diaphragm pain, such as muscle strain, acid reflux, or hiatal hernia, and how to alleviate it with rest,. It can occur, however, with penetrating trauma (stab wounds) or blunt force trauma. Learn about the causes, symptoms and treatments of diaphragm paralysis, a condition that affects breathing and is often caused by.
from pubs.rsna.org
It can occur, however, with penetrating trauma (stab wounds) or blunt force trauma. A tight diaphragm can cause pain in the side, chest, neck, and shoulders, as well as shortness of breath, hiccups, and indigestion. Learn about the causes, symptoms and treatments of diaphragm paralysis, a condition that affects breathing and is often caused by. Phrenic nerve damage can cause your diaphragm to stop working properly, making it hard to breathe and live normally. Traumatic injury to the diaphragm is rare. Learn about the possible causes of diaphragm pain, such as muscle strain, acid reflux, or hiatal hernia, and how to alleviate it with rest,. Learn about the causes, symptoms,.
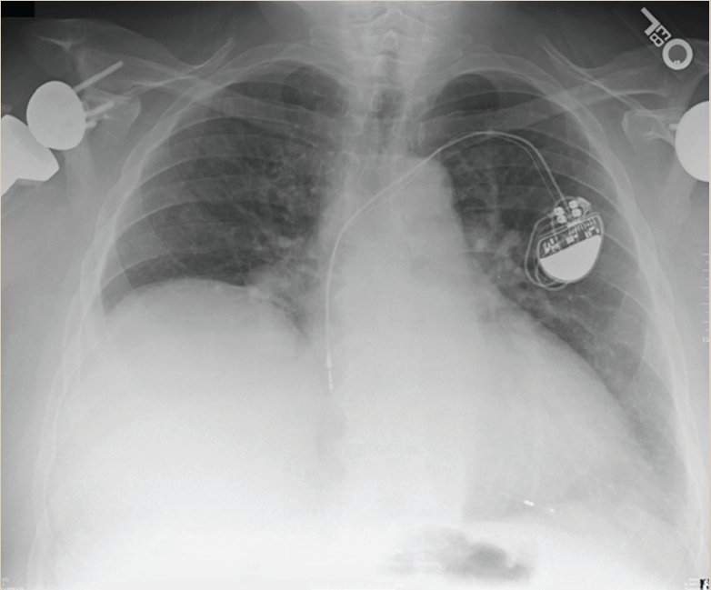
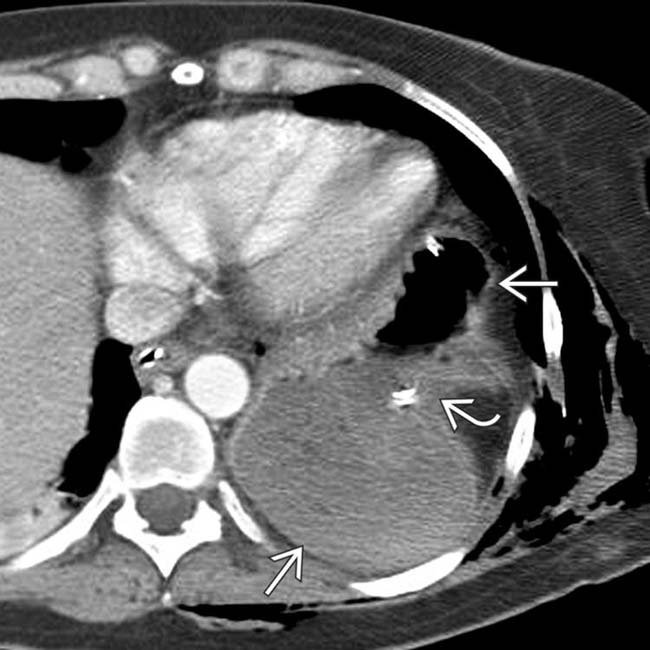
Imaging of Diaphragmatic Injury A Diagnostic Challenge? RadioGraphics
Can The Diaphragm Be Damaged It can occur, however, with penetrating trauma (stab wounds) or blunt force trauma. Traumatic injury to the diaphragm is rare. A tight diaphragm can cause pain in the side, chest, neck, and shoulders, as well as shortness of breath, hiccups, and indigestion. It can occur, however, with penetrating trauma (stab wounds) or blunt force trauma. Learn about the possible causes of diaphragm pain, such as muscle strain, acid reflux, or hiatal hernia, and how to alleviate it with rest,. Phrenic nerve damage can cause your diaphragm to stop working properly, making it hard to breathe and live normally. Learn about the causes, symptoms,. Learn about the causes, symptoms and treatments of diaphragm paralysis, a condition that affects breathing and is often caused by.
From www.cureus.com
Cureus A Case of Traumatic Diaphragm Rupture A Differential Diagnosis Not to Be Missed Can The Diaphragm Be Damaged Phrenic nerve damage can cause your diaphragm to stop working properly, making it hard to breathe and live normally. Learn about the causes, symptoms and treatments of diaphragm paralysis, a condition that affects breathing and is often caused by. A tight diaphragm can cause pain in the side, chest, neck, and shoulders, as well as shortness of breath, hiccups, and. Can The Diaphragm Be Damaged.
From news.yahoo.com
Diagnosing and treating diaphragm paralysis Can The Diaphragm Be Damaged Phrenic nerve damage can cause your diaphragm to stop working properly, making it hard to breathe and live normally. Learn about the causes, symptoms and treatments of diaphragm paralysis, a condition that affects breathing and is often caused by. It can occur, however, with penetrating trauma (stab wounds) or blunt force trauma. A tight diaphragm can cause pain in the. Can The Diaphragm Be Damaged.
From www.slideshare.net
Comprehensive surgical management of the paralyzed diaphragm Can The Diaphragm Be Damaged Learn about the causes, symptoms and treatments of diaphragm paralysis, a condition that affects breathing and is often caused by. Phrenic nerve damage can cause your diaphragm to stop working properly, making it hard to breathe and live normally. A tight diaphragm can cause pain in the side, chest, neck, and shoulders, as well as shortness of breath, hiccups, and. Can The Diaphragm Be Damaged.
From www.medicalnewstoday.com
Diaphragm pain 10 causes and how to treat it Can The Diaphragm Be Damaged Learn about the causes, symptoms and treatments of diaphragm paralysis, a condition that affects breathing and is often caused by. Learn about the possible causes of diaphragm pain, such as muscle strain, acid reflux, or hiatal hernia, and how to alleviate it with rest,. A tight diaphragm can cause pain in the side, chest, neck, and shoulders, as well as. Can The Diaphragm Be Damaged.
From healthncare.info
Diaphragm Muscle Spasm Symptoms, Causes, Treatment Can The Diaphragm Be Damaged A tight diaphragm can cause pain in the side, chest, neck, and shoulders, as well as shortness of breath, hiccups, and indigestion. Traumatic injury to the diaphragm is rare. It can occur, however, with penetrating trauma (stab wounds) or blunt force trauma. Learn about the causes, symptoms,. Learn about the possible causes of diaphragm pain, such as muscle strain, acid. Can The Diaphragm Be Damaged.
From geelongosteopaths.com.au
Your Diaphragm Isn't Just For Breathing Geelong Osteopaths Can The Diaphragm Be Damaged It can occur, however, with penetrating trauma (stab wounds) or blunt force trauma. Learn about the causes, symptoms,. Learn about the causes, symptoms and treatments of diaphragm paralysis, a condition that affects breathing and is often caused by. Traumatic injury to the diaphragm is rare. Learn about the possible causes of diaphragm pain, such as muscle strain, acid reflux, or. Can The Diaphragm Be Damaged.
From www.advancedreconstruction.com
Diaphragm Paralysis Overview Symptoms, Diagnosis, & Treatments IFAR Can The Diaphragm Be Damaged Learn about the causes, symptoms,. A tight diaphragm can cause pain in the side, chest, neck, and shoulders, as well as shortness of breath, hiccups, and indigestion. Learn about the causes, symptoms and treatments of diaphragm paralysis, a condition that affects breathing and is often caused by. Phrenic nerve damage can cause your diaphragm to stop working properly, making it. Can The Diaphragm Be Damaged.
From radiologykey.com
Traumatic Diaphragmatic Rupture Radiology Key Can The Diaphragm Be Damaged Traumatic injury to the diaphragm is rare. Phrenic nerve damage can cause your diaphragm to stop working properly, making it hard to breathe and live normally. Learn about the possible causes of diaphragm pain, such as muscle strain, acid reflux, or hiatal hernia, and how to alleviate it with rest,. It can occur, however, with penetrating trauma (stab wounds) or. Can The Diaphragm Be Damaged.
From studylib.net
Diaphragm seals damaged? Can The Diaphragm Be Damaged Learn about the possible causes of diaphragm pain, such as muscle strain, acid reflux, or hiatal hernia, and how to alleviate it with rest,. Phrenic nerve damage can cause your diaphragm to stop working properly, making it hard to breathe and live normally. Learn about the causes, symptoms and treatments of diaphragm paralysis, a condition that affects breathing and is. Can The Diaphragm Be Damaged.
From radiologykey.com
Traumatic Diaphragmatic Rupture Radiology Key Can The Diaphragm Be Damaged Traumatic injury to the diaphragm is rare. A tight diaphragm can cause pain in the side, chest, neck, and shoulders, as well as shortness of breath, hiccups, and indigestion. It can occur, however, with penetrating trauma (stab wounds) or blunt force trauma. Phrenic nerve damage can cause your diaphragm to stop working properly, making it hard to breathe and live. Can The Diaphragm Be Damaged.
From www.mdpi.com
Diseases Free FullText Diaphragmatic Palsy Can The Diaphragm Be Damaged It can occur, however, with penetrating trauma (stab wounds) or blunt force trauma. Learn about the possible causes of diaphragm pain, such as muscle strain, acid reflux, or hiatal hernia, and how to alleviate it with rest,. A tight diaphragm can cause pain in the side, chest, neck, and shoulders, as well as shortness of breath, hiccups, and indigestion. Learn. Can The Diaphragm Be Damaged.
From www.linkedin.com
Why is the diaphragm of diaphragm pump easily damaged? Can The Diaphragm Be Damaged Learn about the causes, symptoms and treatments of diaphragm paralysis, a condition that affects breathing and is often caused by. A tight diaphragm can cause pain in the side, chest, neck, and shoulders, as well as shortness of breath, hiccups, and indigestion. Phrenic nerve damage can cause your diaphragm to stop working properly, making it hard to breathe and live. Can The Diaphragm Be Damaged.
From pubs.rsna.org
Imaging of Diaphragmatic Injury A Diagnostic Challenge? RadioGraphics Can The Diaphragm Be Damaged It can occur, however, with penetrating trauma (stab wounds) or blunt force trauma. Phrenic nerve damage can cause your diaphragm to stop working properly, making it hard to breathe and live normally. Learn about the causes, symptoms,. A tight diaphragm can cause pain in the side, chest, neck, and shoulders, as well as shortness of breath, hiccups, and indigestion. Traumatic. Can The Diaphragm Be Damaged.
From www.intermittent-breathing.com
Blocked diaphragm symptoms and meanings? Can The Diaphragm Be Damaged Phrenic nerve damage can cause your diaphragm to stop working properly, making it hard to breathe and live normally. Learn about the possible causes of diaphragm pain, such as muscle strain, acid reflux, or hiatal hernia, and how to alleviate it with rest,. A tight diaphragm can cause pain in the side, chest, neck, and shoulders, as well as shortness. Can The Diaphragm Be Damaged.
From www.youtube.com
Diaphragm Pain Symptoms, Causes, Remedies YouTube Can The Diaphragm Be Damaged Phrenic nerve damage can cause your diaphragm to stop working properly, making it hard to breathe and live normally. Learn about the causes, symptoms and treatments of diaphragm paralysis, a condition that affects breathing and is often caused by. Traumatic injury to the diaphragm is rare. Learn about the causes, symptoms,. A tight diaphragm can cause pain in the side,. Can The Diaphragm Be Damaged.
From www.medicalnewstoday.com
Diaphragm spasm Symptoms, causes, and treatment Can The Diaphragm Be Damaged Learn about the possible causes of diaphragm pain, such as muscle strain, acid reflux, or hiatal hernia, and how to alleviate it with rest,. A tight diaphragm can cause pain in the side, chest, neck, and shoulders, as well as shortness of breath, hiccups, and indigestion. Learn about the causes, symptoms,. Learn about the causes, symptoms and treatments of diaphragm. Can The Diaphragm Be Damaged.
From www.slideserve.com
PPT Diaphragmatic injury PowerPoint Presentation, free download ID4992948 Can The Diaphragm Be Damaged Learn about the causes, symptoms and treatments of diaphragm paralysis, a condition that affects breathing and is often caused by. Traumatic injury to the diaphragm is rare. Learn about the possible causes of diaphragm pain, such as muscle strain, acid reflux, or hiatal hernia, and how to alleviate it with rest,. It can occur, however, with penetrating trauma (stab wounds). Can The Diaphragm Be Damaged.
From www.journalmc.org
Unilateral Diaphragm Paralysis Following Vaccination Habib Journal of Medical Cases Can The Diaphragm Be Damaged A tight diaphragm can cause pain in the side, chest, neck, and shoulders, as well as shortness of breath, hiccups, and indigestion. Traumatic injury to the diaphragm is rare. Learn about the causes, symptoms and treatments of diaphragm paralysis, a condition that affects breathing and is often caused by. Phrenic nerve damage can cause your diaphragm to stop working properly,. Can The Diaphragm Be Damaged.
From www.youtube.com
Diaphragm Origin Points, Openings and Coverings YouTube Can The Diaphragm Be Damaged It can occur, however, with penetrating trauma (stab wounds) or blunt force trauma. Traumatic injury to the diaphragm is rare. Learn about the causes, symptoms,. Phrenic nerve damage can cause your diaphragm to stop working properly, making it hard to breathe and live normally. A tight diaphragm can cause pain in the side, chest, neck, and shoulders, as well as. Can The Diaphragm Be Damaged.
From www.nejm.org
Dysfunction of the Diaphragm NEJM Can The Diaphragm Be Damaged Learn about the causes, symptoms,. Phrenic nerve damage can cause your diaphragm to stop working properly, making it hard to breathe and live normally. A tight diaphragm can cause pain in the side, chest, neck, and shoulders, as well as shortness of breath, hiccups, and indigestion. Traumatic injury to the diaphragm is rare. Learn about the causes, symptoms and treatments. Can The Diaphragm Be Damaged.
From www.studypool.com
SOLUTION Phrenic Nerve Damage and Diaphragmatic Paralysis (overview, definition of terms, types Can The Diaphragm Be Damaged A tight diaphragm can cause pain in the side, chest, neck, and shoulders, as well as shortness of breath, hiccups, and indigestion. Phrenic nerve damage can cause your diaphragm to stop working properly, making it hard to breathe and live normally. Learn about the causes, symptoms,. It can occur, however, with penetrating trauma (stab wounds) or blunt force trauma. Learn. Can The Diaphragm Be Damaged.
From www.rehabmypatient.com
Diaphragm Rehab My Patient Can The Diaphragm Be Damaged It can occur, however, with penetrating trauma (stab wounds) or blunt force trauma. Learn about the causes, symptoms,. Traumatic injury to the diaphragm is rare. Phrenic nerve damage can cause your diaphragm to stop working properly, making it hard to breathe and live normally. Learn about the possible causes of diaphragm pain, such as muscle strain, acid reflux, or hiatal. Can The Diaphragm Be Damaged.
From pubs.rsna.org
Imaging of Diaphragmatic Injury A Diagnostic Challenge? RadioGraphics Can The Diaphragm Be Damaged Phrenic nerve damage can cause your diaphragm to stop working properly, making it hard to breathe and live normally. Learn about the causes, symptoms and treatments of diaphragm paralysis, a condition that affects breathing and is often caused by. Learn about the causes, symptoms,. A tight diaphragm can cause pain in the side, chest, neck, and shoulders, as well as. Can The Diaphragm Be Damaged.
From www.medicalnewstoday.com
Diaphragm spasm Symptoms, causes, and treatment Can The Diaphragm Be Damaged A tight diaphragm can cause pain in the side, chest, neck, and shoulders, as well as shortness of breath, hiccups, and indigestion. Traumatic injury to the diaphragm is rare. Learn about the possible causes of diaphragm pain, such as muscle strain, acid reflux, or hiatal hernia, and how to alleviate it with rest,. Phrenic nerve damage can cause your diaphragm. Can The Diaphragm Be Damaged.
From www.youtube.com
Elevated hemi diaphragm, Chest x ray, causes paralysis or eventration ? YouTube Can The Diaphragm Be Damaged Phrenic nerve damage can cause your diaphragm to stop working properly, making it hard to breathe and live normally. Learn about the causes, symptoms and treatments of diaphragm paralysis, a condition that affects breathing and is often caused by. Traumatic injury to the diaphragm is rare. Learn about the causes, symptoms,. A tight diaphragm can cause pain in the side,. Can The Diaphragm Be Damaged.
From www.researchgate.net
Case 3 An 11monthold male with right diaphragmatic paralysis. Chest... Download Scientific Can The Diaphragm Be Damaged Learn about the causes, symptoms,. Learn about the causes, symptoms and treatments of diaphragm paralysis, a condition that affects breathing and is often caused by. A tight diaphragm can cause pain in the side, chest, neck, and shoulders, as well as shortness of breath, hiccups, and indigestion. Traumatic injury to the diaphragm is rare. Learn about the possible causes of. Can The Diaphragm Be Damaged.
From www.qspray.com
Prevent Expensive Diaphragm Damage with This Easy Tip Can The Diaphragm Be Damaged Learn about the possible causes of diaphragm pain, such as muscle strain, acid reflux, or hiatal hernia, and how to alleviate it with rest,. Traumatic injury to the diaphragm is rare. It can occur, however, with penetrating trauma (stab wounds) or blunt force trauma. A tight diaphragm can cause pain in the side, chest, neck, and shoulders, as well as. Can The Diaphragm Be Damaged.
From madiken-huff.blogspot.com
What Causes An Elevated Hemidiaphragm John Wade Bruidstaart Can The Diaphragm Be Damaged A tight diaphragm can cause pain in the side, chest, neck, and shoulders, as well as shortness of breath, hiccups, and indigestion. Learn about the causes, symptoms,. Phrenic nerve damage can cause your diaphragm to stop working properly, making it hard to breathe and live normally. Traumatic injury to the diaphragm is rare. Learn about the possible causes of diaphragm. Can The Diaphragm Be Damaged.
From www.researchgate.net
(PDF) Acupuncture treatment for diaphragm muscle damage after peptic ulcer surgery Can The Diaphragm Be Damaged A tight diaphragm can cause pain in the side, chest, neck, and shoulders, as well as shortness of breath, hiccups, and indigestion. It can occur, however, with penetrating trauma (stab wounds) or blunt force trauma. Traumatic injury to the diaphragm is rare. Phrenic nerve damage can cause your diaphragm to stop working properly, making it hard to breathe and live. Can The Diaphragm Be Damaged.
From www.epainassist.com
Pain in DiaphragmCausesSymptomsTreatmentDiagnosis Can The Diaphragm Be Damaged Learn about the causes, symptoms and treatments of diaphragm paralysis, a condition that affects breathing and is often caused by. Phrenic nerve damage can cause your diaphragm to stop working properly, making it hard to breathe and live normally. Traumatic injury to the diaphragm is rare. Learn about the causes, symptoms,. Learn about the possible causes of diaphragm pain, such. Can The Diaphragm Be Damaged.
From www.statpearls.com
Diaphragm Disorders Article StatPearls Can The Diaphragm Be Damaged Learn about the causes, symptoms,. Learn about the possible causes of diaphragm pain, such as muscle strain, acid reflux, or hiatal hernia, and how to alleviate it with rest,. A tight diaphragm can cause pain in the side, chest, neck, and shoulders, as well as shortness of breath, hiccups, and indigestion. Phrenic nerve damage can cause your diaphragm to stop. Can The Diaphragm Be Damaged.
From www.mdpi.com
JCM Free FullText Diaphragm Dysfunction Diagnostic Approaches and Management Strategies Can The Diaphragm Be Damaged Learn about the causes, symptoms and treatments of diaphragm paralysis, a condition that affects breathing and is often caused by. Phrenic nerve damage can cause your diaphragm to stop working properly, making it hard to breathe and live normally. Learn about the causes, symptoms,. It can occur, however, with penetrating trauma (stab wounds) or blunt force trauma. Traumatic injury to. Can The Diaphragm Be Damaged.
From www.mdpi.com
JCM Free FullText MinimallyInvasive Diaphragmatic Plication in Patients with Unilateral Can The Diaphragm Be Damaged Phrenic nerve damage can cause your diaphragm to stop working properly, making it hard to breathe and live normally. Learn about the causes, symptoms and treatments of diaphragm paralysis, a condition that affects breathing and is often caused by. It can occur, however, with penetrating trauma (stab wounds) or blunt force trauma. Traumatic injury to the diaphragm is rare. A. Can The Diaphragm Be Damaged.
From pulmonarychronicles.com
View of Diaphragmatic Paralysis The Southwest Respiratory and Critical Care Chronicles Can The Diaphragm Be Damaged A tight diaphragm can cause pain in the side, chest, neck, and shoulders, as well as shortness of breath, hiccups, and indigestion. Traumatic injury to the diaphragm is rare. It can occur, however, with penetrating trauma (stab wounds) or blunt force trauma. Phrenic nerve damage can cause your diaphragm to stop working properly, making it hard to breathe and live. Can The Diaphragm Be Damaged.
From www.thoracic.theclinics.com
Management of Traumatic Diaphragmatic Injuries Thoracic Surgery Clinics Can The Diaphragm Be Damaged It can occur, however, with penetrating trauma (stab wounds) or blunt force trauma. Learn about the causes, symptoms,. A tight diaphragm can cause pain in the side, chest, neck, and shoulders, as well as shortness of breath, hiccups, and indigestion. Learn about the causes, symptoms and treatments of diaphragm paralysis, a condition that affects breathing and is often caused by.. Can The Diaphragm Be Damaged.