Buddy Tape Proximal Phalanx . Unless there is unacceptable joint congruity, these are treated with buddy taping and early range of. Lateral middle phalanx fractures usually are ligamentous avulsion fractures; Diagnosis can be confirmed with. Use one strip of tape to bind adjacent phalanges proximally. Apply tape around both fingers to bind the injured finger against the uninjured finger. Buddy taping is a straightforward, effective, and convenient method for treating certain phalangeal fractures. Proximal phalanx fractures are often angulated at the time of presentation (independent of mechanism) as muscle forces deform the. Fractures of the proximal phalanx of the big toe typically require fixation; Phalanx fractures are common hand injuries that involve the proximal, middle or distal phalanx.
from slideplayer.com
Proximal phalanx fractures are often angulated at the time of presentation (independent of mechanism) as muscle forces deform the. Phalanx fractures are common hand injuries that involve the proximal, middle or distal phalanx. Fractures of the proximal phalanx of the big toe typically require fixation; Diagnosis can be confirmed with. Use one strip of tape to bind adjacent phalanges proximally. Apply tape around both fingers to bind the injured finger against the uninjured finger. Buddy taping is a straightforward, effective, and convenient method for treating certain phalangeal fractures. Lateral middle phalanx fractures usually are ligamentous avulsion fractures; Unless there is unacceptable joint congruity, these are treated with buddy taping and early range of.
Treatment of Phalangeal Fractures ppt download
Buddy Tape Proximal Phalanx Proximal phalanx fractures are often angulated at the time of presentation (independent of mechanism) as muscle forces deform the. Apply tape around both fingers to bind the injured finger against the uninjured finger. Fractures of the proximal phalanx of the big toe typically require fixation; Diagnosis can be confirmed with. Phalanx fractures are common hand injuries that involve the proximal, middle or distal phalanx. Buddy taping is a straightforward, effective, and convenient method for treating certain phalangeal fractures. Unless there is unacceptable joint congruity, these are treated with buddy taping and early range of. Proximal phalanx fractures are often angulated at the time of presentation (independent of mechanism) as muscle forces deform the. Use one strip of tape to bind adjacent phalanges proximally. Lateral middle phalanx fractures usually are ligamentous avulsion fractures;
From slideplayer.com
Procedures Splinting ppt video online download Buddy Tape Proximal Phalanx Apply tape around both fingers to bind the injured finger against the uninjured finger. Phalanx fractures are common hand injuries that involve the proximal, middle or distal phalanx. Buddy taping is a straightforward, effective, and convenient method for treating certain phalangeal fractures. Fractures of the proximal phalanx of the big toe typically require fixation; Diagnosis can be confirmed with. Use. Buddy Tape Proximal Phalanx.
From www.youtube.com
Spica/Buddy Taping for Painful 2nd Metatarsal Phalangeal Joint YouTube Buddy Tape Proximal Phalanx Proximal phalanx fractures are often angulated at the time of presentation (independent of mechanism) as muscle forces deform the. Fractures of the proximal phalanx of the big toe typically require fixation; Unless there is unacceptable joint congruity, these are treated with buddy taping and early range of. Buddy taping is a straightforward, effective, and convenient method for treating certain phalangeal. Buddy Tape Proximal Phalanx.
From coreem.net
Finger Injuries Core EM Buddy Tape Proximal Phalanx Buddy taping is a straightforward, effective, and convenient method for treating certain phalangeal fractures. Apply tape around both fingers to bind the injured finger against the uninjured finger. Use one strip of tape to bind adjacent phalanges proximally. Unless there is unacceptable joint congruity, these are treated with buddy taping and early range of. Fractures of the proximal phalanx of. Buddy Tape Proximal Phalanx.
From www.youtube.com
Buddy Splint for Toe Fractures San Francisco Podiatrist YouTube Buddy Tape Proximal Phalanx Phalanx fractures are common hand injuries that involve the proximal, middle or distal phalanx. Apply tape around both fingers to bind the injured finger against the uninjured finger. Lateral middle phalanx fractures usually are ligamentous avulsion fractures; Buddy taping is a straightforward, effective, and convenient method for treating certain phalangeal fractures. Unless there is unacceptable joint congruity, these are treated. Buddy Tape Proximal Phalanx.
From www.aliem.com
Buddy Taping ALiEM Buddy Tape Proximal Phalanx Buddy taping is a straightforward, effective, and convenient method for treating certain phalangeal fractures. Phalanx fractures are common hand injuries that involve the proximal, middle or distal phalanx. Proximal phalanx fractures are often angulated at the time of presentation (independent of mechanism) as muscle forces deform the. Fractures of the proximal phalanx of the big toe typically require fixation; Use. Buddy Tape Proximal Phalanx.
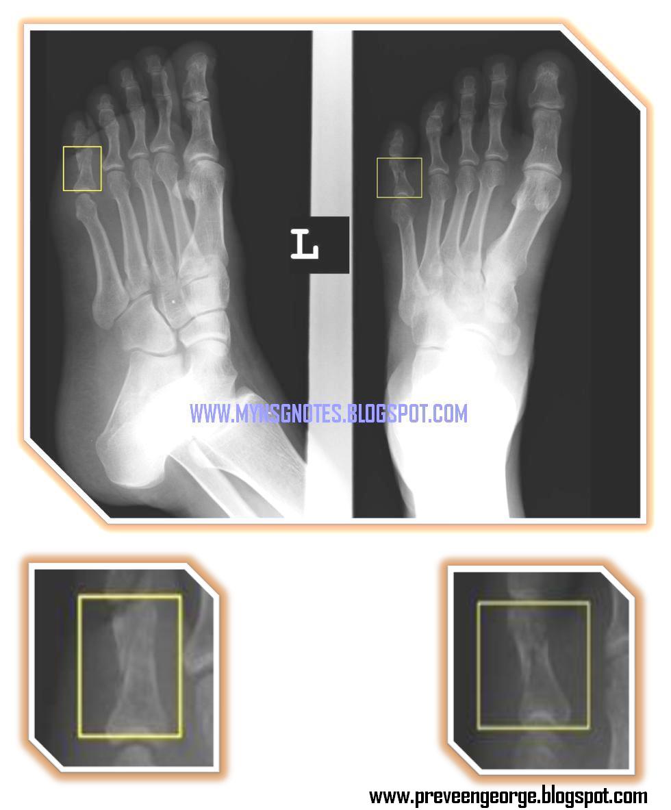
From mynsgnotes.blogspot.com
My Nurses Notes PROXIMAL PHALANX OF LITTLE TOE Buddy Tape Proximal Phalanx Fractures of the proximal phalanx of the big toe typically require fixation; Use one strip of tape to bind adjacent phalanges proximally. Phalanx fractures are common hand injuries that involve the proximal, middle or distal phalanx. Diagnosis can be confirmed with. Lateral middle phalanx fractures usually are ligamentous avulsion fractures; Buddy taping is a straightforward, effective, and convenient method for. Buddy Tape Proximal Phalanx.
From www.youtube.com
Buddy Taping How To Tape A Jammed Finger Aleks Physio YouTube Buddy Tape Proximal Phalanx Lateral middle phalanx fractures usually are ligamentous avulsion fractures; Use one strip of tape to bind adjacent phalanges proximally. Proximal phalanx fractures are often angulated at the time of presentation (independent of mechanism) as muscle forces deform the. Apply tape around both fingers to bind the injured finger against the uninjured finger. Unless there is unacceptable joint congruity, these are. Buddy Tape Proximal Phalanx.
From www.verywellhealth.com
Learn How to Buddy Tape a Finger Buddy Tape Proximal Phalanx Phalanx fractures are common hand injuries that involve the proximal, middle or distal phalanx. Diagnosis can be confirmed with. Unless there is unacceptable joint congruity, these are treated with buddy taping and early range of. Use one strip of tape to bind adjacent phalanges proximally. Lateral middle phalanx fractures usually are ligamentous avulsion fractures; Apply tape around both fingers to. Buddy Tape Proximal Phalanx.
From ugeskriftet.dk
Base fractures of the fifth proximal phalanx can be treated Buddy Tape Proximal Phalanx Proximal phalanx fractures are often angulated at the time of presentation (independent of mechanism) as muscle forces deform the. Lateral middle phalanx fractures usually are ligamentous avulsion fractures; Phalanx fractures are common hand injuries that involve the proximal, middle or distal phalanx. Use one strip of tape to bind adjacent phalanges proximally. Apply tape around both fingers to bind the. Buddy Tape Proximal Phalanx.
From www.researchgate.net
Preoperative oblique and AP radiograph of proximal phalanx base Buddy Tape Proximal Phalanx Use one strip of tape to bind adjacent phalanges proximally. Unless there is unacceptable joint congruity, these are treated with buddy taping and early range of. Proximal phalanx fractures are often angulated at the time of presentation (independent of mechanism) as muscle forces deform the. Apply tape around both fingers to bind the injured finger against the uninjured finger. Phalanx. Buddy Tape Proximal Phalanx.
From www.hand.theclinics.com
Treatment of Phalangeal Fractures Hand Clinics Buddy Tape Proximal Phalanx Lateral middle phalanx fractures usually are ligamentous avulsion fractures; Apply tape around both fingers to bind the injured finger against the uninjured finger. Diagnosis can be confirmed with. Proximal phalanx fractures are often angulated at the time of presentation (independent of mechanism) as muscle forces deform the. Buddy taping is a straightforward, effective, and convenient method for treating certain phalangeal. Buddy Tape Proximal Phalanx.
From www.drjenniferkern.com
A Broken Toe and the Buddy Taping Method Buddy Tape Proximal Phalanx Unless there is unacceptable joint congruity, these are treated with buddy taping and early range of. Lateral middle phalanx fractures usually are ligamentous avulsion fractures; Use one strip of tape to bind adjacent phalanges proximally. Phalanx fractures are common hand injuries that involve the proximal, middle or distal phalanx. Diagnosis can be confirmed with. Fractures of the proximal phalanx of. Buddy Tape Proximal Phalanx.
From teachmesurgery.com
Metacarpal Fractures Assessment Management TeachMeSurgery Buddy Tape Proximal Phalanx Buddy taping is a straightforward, effective, and convenient method for treating certain phalangeal fractures. Phalanx fractures are common hand injuries that involve the proximal, middle or distal phalanx. Proximal phalanx fractures are often angulated at the time of presentation (independent of mechanism) as muscle forces deform the. Lateral middle phalanx fractures usually are ligamentous avulsion fractures; Fractures of the proximal. Buddy Tape Proximal Phalanx.
From musculoskeletalkey.com
Phalangeal fractures and dislocations Musculoskeletal Key Buddy Tape Proximal Phalanx Diagnosis can be confirmed with. Fractures of the proximal phalanx of the big toe typically require fixation; Use one strip of tape to bind adjacent phalanges proximally. Lateral middle phalanx fractures usually are ligamentous avulsion fractures; Apply tape around both fingers to bind the injured finger against the uninjured finger. Proximal phalanx fractures are often angulated at the time of. Buddy Tape Proximal Phalanx.
From www.researchgate.net
(PDF) Base fractures of the fifth proximal phalanx can be treated Buddy Tape Proximal Phalanx Diagnosis can be confirmed with. Unless there is unacceptable joint congruity, these are treated with buddy taping and early range of. Apply tape around both fingers to bind the injured finger against the uninjured finger. Proximal phalanx fractures are often angulated at the time of presentation (independent of mechanism) as muscle forces deform the. Fractures of the proximal phalanx of. Buddy Tape Proximal Phalanx.
From slideplayer.com
Treatment of Phalangeal Fractures ppt download Buddy Tape Proximal Phalanx Fractures of the proximal phalanx of the big toe typically require fixation; Apply tape around both fingers to bind the injured finger against the uninjured finger. Buddy taping is a straightforward, effective, and convenient method for treating certain phalangeal fractures. Lateral middle phalanx fractures usually are ligamentous avulsion fractures; Proximal phalanx fractures are often angulated at the time of presentation. Buddy Tape Proximal Phalanx.
From www.researchgate.net
Indications of buddy taping. MCP metacarpophalangeal, PIP proximal Buddy Tape Proximal Phalanx Unless there is unacceptable joint congruity, these are treated with buddy taping and early range of. Fractures of the proximal phalanx of the big toe typically require fixation; Use one strip of tape to bind adjacent phalanges proximally. Proximal phalanx fractures are often angulated at the time of presentation (independent of mechanism) as muscle forces deform the. Apply tape around. Buddy Tape Proximal Phalanx.
From www.handtherapyacademy.com
Buddy Taping 5th Metacarpal Fracture Hand Therapy Academy Buddy Tape Proximal Phalanx Diagnosis can be confirmed with. Phalanx fractures are common hand injuries that involve the proximal, middle or distal phalanx. Apply tape around both fingers to bind the injured finger against the uninjured finger. Fractures of the proximal phalanx of the big toe typically require fixation; Buddy taping is a straightforward, effective, and convenient method for treating certain phalangeal fractures. Proximal. Buddy Tape Proximal Phalanx.
From www.semanticscholar.org
Base fractures of the fifth proximal phalanx can be treated Buddy Tape Proximal Phalanx Apply tape around both fingers to bind the injured finger against the uninjured finger. Phalanx fractures are common hand injuries that involve the proximal, middle or distal phalanx. Proximal phalanx fractures are often angulated at the time of presentation (independent of mechanism) as muscle forces deform the. Buddy taping is a straightforward, effective, and convenient method for treating certain phalangeal. Buddy Tape Proximal Phalanx.
From www.podiatrycarespecialists.com
Surgery or Buddy Taping? Buddy Tape Proximal Phalanx Proximal phalanx fractures are often angulated at the time of presentation (independent of mechanism) as muscle forces deform the. Phalanx fractures are common hand injuries that involve the proximal, middle or distal phalanx. Diagnosis can be confirmed with. Fractures of the proximal phalanx of the big toe typically require fixation; Buddy taping is a straightforward, effective, and convenient method for. Buddy Tape Proximal Phalanx.
From www.youtube.com
Buddy Taping Treatment for Toe Injuries YouTube Buddy Tape Proximal Phalanx Unless there is unacceptable joint congruity, these are treated with buddy taping and early range of. Lateral middle phalanx fractures usually are ligamentous avulsion fractures; Proximal phalanx fractures are often angulated at the time of presentation (independent of mechanism) as muscle forces deform the. Buddy taping is a straightforward, effective, and convenient method for treating certain phalangeal fractures. Phalanx fractures. Buddy Tape Proximal Phalanx.
From slideplayer.com
Treatment of Phalangeal Fractures ppt download Buddy Tape Proximal Phalanx Unless there is unacceptable joint congruity, these are treated with buddy taping and early range of. Diagnosis can be confirmed with. Phalanx fractures are common hand injuries that involve the proximal, middle or distal phalanx. Apply tape around both fingers to bind the injured finger against the uninjured finger. Buddy taping is a straightforward, effective, and convenient method for treating. Buddy Tape Proximal Phalanx.
From www.bioped.com
Why buddy tape a toe? Relieve Foot Pain & Leg Pain Buddy Tape Proximal Phalanx Use one strip of tape to bind adjacent phalanges proximally. Lateral middle phalanx fractures usually are ligamentous avulsion fractures; Diagnosis can be confirmed with. Proximal phalanx fractures are often angulated at the time of presentation (independent of mechanism) as muscle forces deform the. Apply tape around both fingers to bind the injured finger against the uninjured finger. Unless there is. Buddy Tape Proximal Phalanx.
From nationaldefensepac.org
Buddy Strapping Splint Online UK Buddy Tape Proximal Phalanx Diagnosis can be confirmed with. Phalanx fractures are common hand injuries that involve the proximal, middle or distal phalanx. Apply tape around both fingers to bind the injured finger against the uninjured finger. Proximal phalanx fractures are often angulated at the time of presentation (independent of mechanism) as muscle forces deform the. Unless there is unacceptable joint congruity, these are. Buddy Tape Proximal Phalanx.
From www.semanticscholar.org
[PDF] Buddy taping versus splint immobilization for paediatric finger Buddy Tape Proximal Phalanx Phalanx fractures are common hand injuries that involve the proximal, middle or distal phalanx. Buddy taping is a straightforward, effective, and convenient method for treating certain phalangeal fractures. Unless there is unacceptable joint congruity, these are treated with buddy taping and early range of. Apply tape around both fingers to bind the injured finger against the uninjured finger. Fractures of. Buddy Tape Proximal Phalanx.
From blog.physical-sports.co.uk
The Easy Guide to Buddy Taping Physical Sports First Aid Blog Buddy Tape Proximal Phalanx Unless there is unacceptable joint congruity, these are treated with buddy taping and early range of. Use one strip of tape to bind adjacent phalanges proximally. Apply tape around both fingers to bind the injured finger against the uninjured finger. Lateral middle phalanx fractures usually are ligamentous avulsion fractures; Buddy taping is a straightforward, effective, and convenient method for treating. Buddy Tape Proximal Phalanx.
From www.researchgate.net
Case 1. Application of the buddy taping technique to patient number 1 Buddy Tape Proximal Phalanx Diagnosis can be confirmed with. Use one strip of tape to bind adjacent phalanges proximally. Buddy taping is a straightforward, effective, and convenient method for treating certain phalangeal fractures. Proximal phalanx fractures are often angulated at the time of presentation (independent of mechanism) as muscle forces deform the. Lateral middle phalanx fractures usually are ligamentous avulsion fractures; Phalanx fractures are. Buddy Tape Proximal Phalanx.
From www.verywellhealth.com
Learn How to Buddy Tape a Finger Buddy Tape Proximal Phalanx Apply tape around both fingers to bind the injured finger against the uninjured finger. Phalanx fractures are common hand injuries that involve the proximal, middle or distal phalanx. Unless there is unacceptable joint congruity, these are treated with buddy taping and early range of. Use one strip of tape to bind adjacent phalanges proximally. Buddy taping is a straightforward, effective,. Buddy Tape Proximal Phalanx.
From www.fpnotebook.com
MetacarpalPhalangeal Dislocation Buddy Tape Proximal Phalanx Apply tape around both fingers to bind the injured finger against the uninjured finger. Buddy taping is a straightforward, effective, and convenient method for treating certain phalangeal fractures. Use one strip of tape to bind adjacent phalanges proximally. Unless there is unacceptable joint congruity, these are treated with buddy taping and early range of. Diagnosis can be confirmed with. Phalanx. Buddy Tape Proximal Phalanx.
From www.bodyfit.life
How To Buddy Tape Your Sprained Finger Body Fit Physiotherapy Buddy Tape Proximal Phalanx Fractures of the proximal phalanx of the big toe typically require fixation; Use one strip of tape to bind adjacent phalanges proximally. Diagnosis can be confirmed with. Apply tape around both fingers to bind the injured finger against the uninjured finger. Proximal phalanx fractures are often angulated at the time of presentation (independent of mechanism) as muscle forces deform the.. Buddy Tape Proximal Phalanx.
From www.grassrootsphysicaltherapy.com
Taping for Finger Injuries — Grassroots Physical Therapy Buddy Tape Proximal Phalanx Unless there is unacceptable joint congruity, these are treated with buddy taping and early range of. Proximal phalanx fractures are often angulated at the time of presentation (independent of mechanism) as muscle forces deform the. Use one strip of tape to bind adjacent phalanges proximally. Apply tape around both fingers to bind the injured finger against the uninjured finger. Lateral. Buddy Tape Proximal Phalanx.
From litfl.com
Buddy strap no more • LITFL • Trauma Library Buddy Tape Proximal Phalanx Use one strip of tape to bind adjacent phalanges proximally. Lateral middle phalanx fractures usually are ligamentous avulsion fractures; Phalanx fractures are common hand injuries that involve the proximal, middle or distal phalanx. Diagnosis can be confirmed with. Proximal phalanx fractures are often angulated at the time of presentation (independent of mechanism) as muscle forces deform the. Buddy taping is. Buddy Tape Proximal Phalanx.
From orthoticsplus.com.au
Toe Fracture Treatment Protective Footwear Orthotics Plus Melbourne Buddy Tape Proximal Phalanx Proximal phalanx fractures are often angulated at the time of presentation (independent of mechanism) as muscle forces deform the. Lateral middle phalanx fractures usually are ligamentous avulsion fractures; Use one strip of tape to bind adjacent phalanges proximally. Fractures of the proximal phalanx of the big toe typically require fixation; Unless there is unacceptable joint congruity, these are treated with. Buddy Tape Proximal Phalanx.
From aneskey.com
Finger Dislocation (PIP Joint) Anesthesia Key Buddy Tape Proximal Phalanx Buddy taping is a straightforward, effective, and convenient method for treating certain phalangeal fractures. Proximal phalanx fractures are often angulated at the time of presentation (independent of mechanism) as muscle forces deform the. Fractures of the proximal phalanx of the big toe typically require fixation; Apply tape around both fingers to bind the injured finger against the uninjured finger. Phalanx. Buddy Tape Proximal Phalanx.
From www.handsurgeryresource.com
DISLOCATION, FINGER PROXIMAL INTERPHALANGEAL (PIP) JOINT Hand Surgery Buddy Tape Proximal Phalanx Use one strip of tape to bind adjacent phalanges proximally. Diagnosis can be confirmed with. Apply tape around both fingers to bind the injured finger against the uninjured finger. Unless there is unacceptable joint congruity, these are treated with buddy taping and early range of. Fractures of the proximal phalanx of the big toe typically require fixation; Proximal phalanx fractures. Buddy Tape Proximal Phalanx.