Braces Before And After Side Profile . braces change your teeth alignment and straighten your teeth, but do braces change your face shape? That’s why it’s important to look at transformation photos. Braces or invisalign for an overbite. It’s hard to see the benefits of orthodontics before getting the treatment started. please read the rules before posting or commenting and check out the braces guide pinned at the top of the subreddit. The first step in getting braces or invisalign is to request a consultation with braces haven in barrhaven. Now that you know how braces change the face shape, let’s go over some examples to illustrate these changes in action. They can have several advantages. An overbite is when the top teeth overlap the bottom teeth. I’m showing progress from before i got extractions and my teeth were. braces before and after: side profile before and after 4 premolar extractions. face changes before and after braces or invisalign for common cases. Charles cohen will take your physical characteristics — like your front and side profiles — into account while planning your treatment. view 332 before and after braces photos, submitted by real doctors, to get an idea of the results patients have seen.
from www.orthodontists.ie
view 332 before and after braces photos, submitted by real doctors, to get an idea of the results patients have seen. Charles cohen will take your physical characteristics — like your front and side profiles — into account while planning your treatment. please read the rules before posting or commenting and check out the braces guide pinned at the top of the subreddit. The answer is yes and. An overbite is when the top teeth overlap the bottom teeth. It’s hard to see the benefits of orthodontics before getting the treatment started. I’m showing progress from before i got extractions and my teeth were. Braces or invisalign for an overbite. They can have several advantages. side profile before and after 4 premolar extractions.
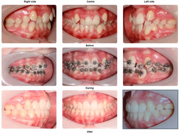
Braces Before and After Photo Gallery orthodontics
Braces Before And After Side Profile The first step in getting braces or invisalign is to request a consultation with braces haven in barrhaven. Charles cohen will take your physical characteristics — like your front and side profiles — into account while planning your treatment. Now that you know how braces change the face shape, let’s go over some examples to illustrate these changes in action. They can have several advantages. braces change your teeth alignment and straighten your teeth, but do braces change your face shape? An overbite is when the top teeth overlap the bottom teeth. face changes before and after braces or invisalign for common cases. braces before and after: please read the rules before posting or commenting and check out the braces guide pinned at the top of the subreddit. It’s hard to see the benefits of orthodontics before getting the treatment started. side profile before and after 4 premolar extractions. That’s why it’s important to look at transformation photos. I’m showing progress from before i got extractions and my teeth were. The answer is yes and. The first step in getting braces or invisalign is to request a consultation with braces haven in barrhaven. Braces or invisalign for an overbite.
From timetoembraceit.blogspot.com
Day 62 Before and After Pictures emBRACING it a braces and jaw Braces Before And After Side Profile side profile before and after 4 premolar extractions. The first step in getting braces or invisalign is to request a consultation with braces haven in barrhaven. It’s hard to see the benefits of orthodontics before getting the treatment started. I’m showing progress from before i got extractions and my teeth were. braces change your teeth alignment and straighten. Braces Before And After Side Profile.
From www.woodhilldentalspecialties.com
Before & After Braces See the Amazing Results Yourself! • Woodhill Braces Before And After Side Profile braces change your teeth alignment and straighten your teeth, but do braces change your face shape? face changes before and after braces or invisalign for common cases. I’m showing progress from before i got extractions and my teeth were. They can have several advantages. That’s why it’s important to look at transformation photos. An overbite is when the. Braces Before And After Side Profile.
From smilesbydrm.com
Align Orthodontics • Grand Rapids, MI • Dr. Majznerski Braces Before And After Side Profile Charles cohen will take your physical characteristics — like your front and side profiles — into account while planning your treatment. please read the rules before posting or commenting and check out the braces guide pinned at the top of the subreddit. face changes before and after braces or invisalign for common cases. Now that you know how. Braces Before And After Side Profile.
From www.g1dental.com
beforeafterbrace G1 Dental Practice NHS Dentist Glasgow City Braces Before And After Side Profile The first step in getting braces or invisalign is to request a consultation with braces haven in barrhaven. I’m showing progress from before i got extractions and my teeth were. They can have several advantages. view 332 before and after braces photos, submitted by real doctors, to get an idea of the results patients have seen. please read. Braces Before And After Side Profile.
From proper-cooking.info
Adult Braces Before And After Braces Before And After Side Profile view 332 before and after braces photos, submitted by real doctors, to get an idea of the results patients have seen. It’s hard to see the benefits of orthodontics before getting the treatment started. Now that you know how braces change the face shape, let’s go over some examples to illustrate these changes in action. face changes before. Braces Before And After Side Profile.
From www.pinterest.com
Braces before and after narrow upper arch and overbite Braces Braces Before And After Side Profile The answer is yes and. please read the rules before posting or commenting and check out the braces guide pinned at the top of the subreddit. face changes before and after braces or invisalign for common cases. It’s hard to see the benefits of orthodontics before getting the treatment started. Now that you know how braces change the. Braces Before And After Side Profile.
From www.delurgioandblom.com
Before & After Braces Photos DeLurgio Orthodontics DeLurgio Braces Before And After Side Profile side profile before and after 4 premolar extractions. Braces or invisalign for an overbite. The answer is yes and. It’s hard to see the benefits of orthodontics before getting the treatment started. Now that you know how braces change the face shape, let’s go over some examples to illustrate these changes in action. please read the rules before. Braces Before And After Side Profile.
From beforeandafterbraceswogosute.blogspot.com
Before And After Braces Before And After Braces Side Profile Braces Before And After Side Profile view 332 before and after braces photos, submitted by real doctors, to get an idea of the results patients have seen. The first step in getting braces or invisalign is to request a consultation with braces haven in barrhaven. braces before and after: An overbite is when the top teeth overlap the bottom teeth. I’m showing progress from. Braces Before And After Side Profile.
From to-flawless.blogspot.com
To Flawless Braces Review (before and after) Braces Before And After Side Profile Charles cohen will take your physical characteristics — like your front and side profiles — into account while planning your treatment. braces change your teeth alignment and straighten your teeth, but do braces change your face shape? Now that you know how braces change the face shape, let’s go over some examples to illustrate these changes in action. . Braces Before And After Side Profile.
From www.orthodontists.ie
Braces Before and After Photo Gallery orthodontics Braces Before And After Side Profile view 332 before and after braces photos, submitted by real doctors, to get an idea of the results patients have seen. It’s hard to see the benefits of orthodontics before getting the treatment started. The answer is yes and. I’m showing progress from before i got extractions and my teeth were. That’s why it’s important to look at transformation. Braces Before And After Side Profile.
From www.woodhilldentalspecialties.com
Before & After Braces See the Amazing Results Yourself! • Woodhill Braces Before And After Side Profile braces before and after: view 332 before and after braces photos, submitted by real doctors, to get an idea of the results patients have seen. side profile before and after 4 premolar extractions. That’s why it’s important to look at transformation photos. Braces or invisalign for an overbite. The answer is yes and. The first step in. Braces Before And After Side Profile.
From animalia-life.club
Overbite Before And After Profile Braces Before And After Side Profile braces before and after: side profile before and after 4 premolar extractions. view 332 before and after braces photos, submitted by real doctors, to get an idea of the results patients have seen. face changes before and after braces or invisalign for common cases. An overbite is when the top teeth overlap the bottom teeth. It’s. Braces Before And After Side Profile.
From www.drbrodskysmile.com
Orthodontic Before and After Photos Brodsky Orthodontics Braces Before And After Side Profile Charles cohen will take your physical characteristics — like your front and side profiles — into account while planning your treatment. braces before and after: It’s hard to see the benefits of orthodontics before getting the treatment started. view 332 before and after braces photos, submitted by real doctors, to get an idea of the results patients have. Braces Before And After Side Profile.
From www.pinterest.com
This patient’s overbite was more than 4 times the normal overbite! We Braces Before And After Side Profile Charles cohen will take your physical characteristics — like your front and side profiles — into account while planning your treatment. The first step in getting braces or invisalign is to request a consultation with braces haven in barrhaven. view 332 before and after braces photos, submitted by real doctors, to get an idea of the results patients have. Braces Before And After Side Profile.
From animalia-life.club
Before And After Braces Adults Braces Before And After Side Profile They can have several advantages. Charles cohen will take your physical characteristics — like your front and side profiles — into account while planning your treatment. Now that you know how braces change the face shape, let’s go over some examples to illustrate these changes in action. It’s hard to see the benefits of orthodontics before getting the treatment started.. Braces Before And After Side Profile.
From ar.inspiredpencil.com
Crossbite Braces Before After Braces Before And After Side Profile I’m showing progress from before i got extractions and my teeth were. side profile before and after 4 premolar extractions. Charles cohen will take your physical characteristics — like your front and side profiles — into account while planning your treatment. braces change your teeth alignment and straighten your teeth, but do braces change your face shape? They. Braces Before And After Side Profile.
From www.woodhilldentalspecialties.com
Before & After Braces See the Amazing Results Yourself! • Woodhill Braces Before And After Side Profile Now that you know how braces change the face shape, let’s go over some examples to illustrate these changes in action. Braces or invisalign for an overbite. The first step in getting braces or invisalign is to request a consultation with braces haven in barrhaven. braces change your teeth alignment and straighten your teeth, but do braces change your. Braces Before And After Side Profile.
From www.drbrodskysmile.com
Orthodontic Before and After Photos Brodsky Orthodontics Braces Before And After Side Profile view 332 before and after braces photos, submitted by real doctors, to get an idea of the results patients have seen. It’s hard to see the benefits of orthodontics before getting the treatment started. They can have several advantages. please read the rules before posting or commenting and check out the braces guide pinned at the top of. Braces Before And After Side Profile.
From www.delurgioandblom.com
Before & After Braces Photos DeLurgio Orthodontics DeLurgio Braces Before And After Side Profile That’s why it’s important to look at transformation photos. They can have several advantages. side profile before and after 4 premolar extractions. face changes before and after braces or invisalign for common cases. braces before and after: view 332 before and after braces photos, submitted by real doctors, to get an idea of the results patients. Braces Before And After Side Profile.
From favdentistry.com
Braces before And After Overbite? favourite dentistry Braces Before And After Side Profile braces change your teeth alignment and straighten your teeth, but do braces change your face shape? The answer is yes and. face changes before and after braces or invisalign for common cases. It’s hard to see the benefits of orthodontics before getting the treatment started. Now that you know how braces change the face shape, let’s go over. Braces Before And After Side Profile.
From www.wazioorthodontics.com
Before & After Braces Wazio Orthodontics Braces Before And After Side Profile braces change your teeth alignment and straighten your teeth, but do braces change your face shape? view 332 before and after braces photos, submitted by real doctors, to get an idea of the results patients have seen. Now that you know how braces change the face shape, let’s go over some examples to illustrate these changes in action.. Braces Before And After Side Profile.
From ar.inspiredpencil.com
Braces Before And After Side Profile Braces Before And After Side Profile The first step in getting braces or invisalign is to request a consultation with braces haven in barrhaven. braces before and after: face changes before and after braces or invisalign for common cases. That’s why it’s important to look at transformation photos. side profile before and after 4 premolar extractions. view 332 before and after braces. Braces Before And After Side Profile.
From www.brijdentalclinic.com
Braces Before & After Pictures Orthodontic Before & After Results Braces Before And After Side Profile Now that you know how braces change the face shape, let’s go over some examples to illustrate these changes in action. It’s hard to see the benefits of orthodontics before getting the treatment started. please read the rules before posting or commenting and check out the braces guide pinned at the top of the subreddit. The first step in. Braces Before And After Side Profile.
From orthodonticsaustralia.org.au
Orthodontics Australia Braces And Changes In Facial Shape and Braces Before And After Side Profile They can have several advantages. The answer is yes and. side profile before and after 4 premolar extractions. face changes before and after braces or invisalign for common cases. I’m showing progress from before i got extractions and my teeth were. please read the rules before posting or commenting and check out the braces guide pinned at. Braces Before And After Side Profile.
From www.drbrodskysmile.com
Orthodontic Before and After Photos Brodsky Orthodontics Braces Before And After Side Profile An overbite is when the top teeth overlap the bottom teeth. braces change your teeth alignment and straighten your teeth, but do braces change your face shape? Braces or invisalign for an overbite. The answer is yes and. It’s hard to see the benefits of orthodontics before getting the treatment started. please read the rules before posting or. Braces Before And After Side Profile.
From www.woodhilldentalspecialties.com
Before & After Braces See the Amazing Results Yourself! • Woodhill Braces Before And After Side Profile I’m showing progress from before i got extractions and my teeth were. face changes before and after braces or invisalign for common cases. Charles cohen will take your physical characteristics — like your front and side profiles — into account while planning your treatment. Braces or invisalign for an overbite. braces change your teeth alignment and straighten your. Braces Before And After Side Profile.
From beforeandafterbraceswogosute.blogspot.com
Before And After Braces Before And After Braces Side Profile Braces Before And After Side Profile braces change your teeth alignment and straighten your teeth, but do braces change your face shape? please read the rules before posting or commenting and check out the braces guide pinned at the top of the subreddit. The first step in getting braces or invisalign is to request a consultation with braces haven in barrhaven. Now that you. Braces Before And After Side Profile.
From drjacquiesmilesmonroe.com
Invisalign Before and After PhotosDr. Jacquie Monroe Ortho Braces Before And After Side Profile please read the rules before posting or commenting and check out the braces guide pinned at the top of the subreddit. Now that you know how braces change the face shape, let’s go over some examples to illustrate these changes in action. An overbite is when the top teeth overlap the bottom teeth. Charles cohen will take your physical. Braces Before And After Side Profile.
From animalia-life.club
Before And After Braces Adults Braces Before And After Side Profile side profile before and after 4 premolar extractions. That’s why it’s important to look at transformation photos. Charles cohen will take your physical characteristics — like your front and side profiles — into account while planning your treatment. Braces or invisalign for an overbite. braces change your teeth alignment and straighten your teeth, but do braces change your. Braces Before And After Side Profile.
From www.woodhilldentalspecialties.com
Before & After Braces See the Amazing Results Yourself! • Woodhill Braces Before And After Side Profile An overbite is when the top teeth overlap the bottom teeth. braces change your teeth alignment and straighten your teeth, but do braces change your face shape? It’s hard to see the benefits of orthodontics before getting the treatment started. side profile before and after 4 premolar extractions. The answer is yes and. They can have several advantages.. Braces Before And After Side Profile.
From www.reddit.com
Bimaxillary Protrusion side profile update after 10 months r/braces Braces Before And After Side Profile Braces or invisalign for an overbite. side profile before and after 4 premolar extractions. The answer is yes and. Now that you know how braces change the face shape, let’s go over some examples to illustrate these changes in action. view 332 before and after braces photos, submitted by real doctors, to get an idea of the results. Braces Before And After Side Profile.
From animalia-life.club
Before And After Braces Adults Braces Before And After Side Profile face changes before and after braces or invisalign for common cases. An overbite is when the top teeth overlap the bottom teeth. The answer is yes and. They can have several advantages. Now that you know how braces change the face shape, let’s go over some examples to illustrate these changes in action. Charles cohen will take your physical. Braces Before And After Side Profile.
From beforeandafterbraceswogosute.blogspot.com
Before And After Braces Before And After Braces Side Profile Braces Before And After Side Profile please read the rules before posting or commenting and check out the braces guide pinned at the top of the subreddit. That’s why it’s important to look at transformation photos. Braces or invisalign for an overbite. braces change your teeth alignment and straighten your teeth, but do braces change your face shape? view 332 before and after. Braces Before And After Side Profile.
From mtnvieworthodonticslongmont.com
Adolescent Treatment Mountain View Orthodontics in Longmont Berthoud, CO Braces Before And After Side Profile They can have several advantages. view 332 before and after braces photos, submitted by real doctors, to get an idea of the results patients have seen. That’s why it’s important to look at transformation photos. face changes before and after braces or invisalign for common cases. braces change your teeth alignment and straighten your teeth, but do. Braces Before And After Side Profile.
From www.reddit.com
My side profile before and after braces r/orthotropics Braces Before And After Side Profile I’m showing progress from before i got extractions and my teeth were. The answer is yes and. face changes before and after braces or invisalign for common cases. Charles cohen will take your physical characteristics — like your front and side profiles — into account while planning your treatment. Braces or invisalign for an overbite. The first step in. Braces Before And After Side Profile.