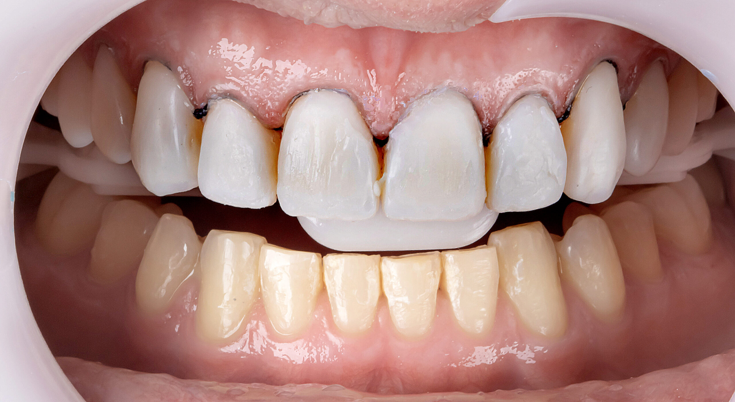
Veneers Dental Bruxism . If you are one of the five. Bruxism, more commonly known as teeth grinding, can have a detrimental effect on your teeth over time. Over time, this movement damages. Are your teeth worn down? If you suffer from bruxism, a dentist from our practice will recommend against resin composite because of its vulnerability to. Porcelain advances now allow us to do veneers for worn teeth | consider getting bruxism veneers to replace. Protecting your veneers from the effects of bruxism is vital for maintaining your smile and dental health. Teeth grinding, or bruxism, is a condition in which the patient grinds or clenches teeth in an involuntary way. Read to learn more about bruxism and the importance of addressing the problem before moving forward with veneers.
from lakefrontfamilydentistry.com
Over time, this movement damages. Bruxism, more commonly known as teeth grinding, can have a detrimental effect on your teeth over time. Protecting your veneers from the effects of bruxism is vital for maintaining your smile and dental health. Porcelain advances now allow us to do veneers for worn teeth | consider getting bruxism veneers to replace. Are your teeth worn down? Read to learn more about bruxism and the importance of addressing the problem before moving forward with veneers. Teeth grinding, or bruxism, is a condition in which the patient grinds or clenches teeth in an involuntary way. If you are one of the five. If you suffer from bruxism, a dentist from our practice will recommend against resin composite because of its vulnerability to.
Bruxism Teeth Grinding
Veneers Dental Bruxism If you suffer from bruxism, a dentist from our practice will recommend against resin composite because of its vulnerability to. Over time, this movement damages. Porcelain advances now allow us to do veneers for worn teeth | consider getting bruxism veneers to replace. Read to learn more about bruxism and the importance of addressing the problem before moving forward with veneers. If you suffer from bruxism, a dentist from our practice will recommend against resin composite because of its vulnerability to. Protecting your veneers from the effects of bruxism is vital for maintaining your smile and dental health. Bruxism, more commonly known as teeth grinding, can have a detrimental effect on your teeth over time. Teeth grinding, or bruxism, is a condition in which the patient grinds or clenches teeth in an involuntary way. If you are one of the five. Are your teeth worn down?
From www.acfdga.com
Dental Veneers 6 Signs You May Need Them Alpharetta, GA Veneers Dental Bruxism If you suffer from bruxism, a dentist from our practice will recommend against resin composite because of its vulnerability to. Protecting your veneers from the effects of bruxism is vital for maintaining your smile and dental health. Are your teeth worn down? If you are one of the five. Read to learn more about bruxism and the importance of addressing. Veneers Dental Bruxism.
From avantdental.com.au
Specialist’s guide to diagnosing and treating bruxism Avant Dental Veneers Dental Bruxism Teeth grinding, or bruxism, is a condition in which the patient grinds or clenches teeth in an involuntary way. If you are one of the five. Protecting your veneers from the effects of bruxism is vital for maintaining your smile and dental health. Porcelain advances now allow us to do veneers for worn teeth | consider getting bruxism veneers to. Veneers Dental Bruxism.
From fgmdentalgroup.com
Direct veneers for rehabilitation in teeth worn by bruxism Veneers Dental Bruxism Over time, this movement damages. Bruxism, more commonly known as teeth grinding, can have a detrimental effect on your teeth over time. Read to learn more about bruxism and the importance of addressing the problem before moving forward with veneers. Porcelain advances now allow us to do veneers for worn teeth | consider getting bruxism veneers to replace. Protecting your. Veneers Dental Bruxism.
From www.traceybell.co.uk
Dental Health and Teeth Grinding (Bruxism) Traceybell Veneers Dental Bruxism Over time, this movement damages. Porcelain advances now allow us to do veneers for worn teeth | consider getting bruxism veneers to replace. Protecting your veneers from the effects of bruxism is vital for maintaining your smile and dental health. Read to learn more about bruxism and the importance of addressing the problem before moving forward with veneers. If you. Veneers Dental Bruxism.
From www.modernamericandentistry.com
Dentist Woodland Hills CA Veneers for Worn Teeth Veneers Dental Bruxism Protecting your veneers from the effects of bruxism is vital for maintaining your smile and dental health. Read to learn more about bruxism and the importance of addressing the problem before moving forward with veneers. Teeth grinding, or bruxism, is a condition in which the patient grinds or clenches teeth in an involuntary way. Are your teeth worn down? If. Veneers Dental Bruxism.
From lakeforestdentalarts.com
Results of bruxism Replace the enamel lost from tooth grinding Veneers Dental Bruxism If you suffer from bruxism, a dentist from our practice will recommend against resin composite because of its vulnerability to. Bruxism, more commonly known as teeth grinding, can have a detrimental effect on your teeth over time. Read to learn more about bruxism and the importance of addressing the problem before moving forward with veneers. Protecting your veneers from the. Veneers Dental Bruxism.
From blog.brightonimplantclinic.co.uk
Bruxism How It Affects Your Health Dental Implants Dental Implants Veneers Dental Bruxism If you are one of the five. Over time, this movement damages. Read to learn more about bruxism and the importance of addressing the problem before moving forward with veneers. Porcelain advances now allow us to do veneers for worn teeth | consider getting bruxism veneers to replace. Teeth grinding, or bruxism, is a condition in which the patient grinds. Veneers Dental Bruxism.
From twentyonedental.co.uk
Here's What You Should Know About Bruxism TwentyOneDental Veneers Dental Bruxism If you suffer from bruxism, a dentist from our practice will recommend against resin composite because of its vulnerability to. Protecting your veneers from the effects of bruxism is vital for maintaining your smile and dental health. Bruxism, more commonly known as teeth grinding, can have a detrimental effect on your teeth over time. Porcelain advances now allow us to. Veneers Dental Bruxism.
From cjndentistry.com
TMJ treatment/ Bruxism splint — CJN Dentistry Veneers Dental Bruxism Read to learn more about bruxism and the importance of addressing the problem before moving forward with veneers. Teeth grinding, or bruxism, is a condition in which the patient grinds or clenches teeth in an involuntary way. Are your teeth worn down? Porcelain advances now allow us to do veneers for worn teeth | consider getting bruxism veneers to replace.. Veneers Dental Bruxism.
From www.welcomesmile.ca
Bruxism Grinding Appliances Calgary Downtown Dentist Smile Veneers Dental Bruxism Teeth grinding, or bruxism, is a condition in which the patient grinds or clenches teeth in an involuntary way. Read to learn more about bruxism and the importance of addressing the problem before moving forward with veneers. Are your teeth worn down? If you are one of the five. Protecting your veneers from the effects of bruxism is vital for. Veneers Dental Bruxism.
From srv01.fgmdentalgroup.com
Direct veneers for rehabilitation in teeth worn by bruxism Veneers Dental Bruxism Teeth grinding, or bruxism, is a condition in which the patient grinds or clenches teeth in an involuntary way. Porcelain advances now allow us to do veneers for worn teeth | consider getting bruxism veneers to replace. Read to learn more about bruxism and the importance of addressing the problem before moving forward with veneers. If you are one of. Veneers Dental Bruxism.
From mungfali.com
Bruxism Veneers Dental Bruxism If you suffer from bruxism, a dentist from our practice will recommend against resin composite because of its vulnerability to. Bruxism, more commonly known as teeth grinding, can have a detrimental effect on your teeth over time. Are your teeth worn down? If you are one of the five. Read to learn more about bruxism and the importance of addressing. Veneers Dental Bruxism.
From txdentalimplants.com
Bruxism (Teeth Grinding) Veneers Dental Bruxism Porcelain advances now allow us to do veneers for worn teeth | consider getting bruxism veneers to replace. Over time, this movement damages. If you suffer from bruxism, a dentist from our practice will recommend against resin composite because of its vulnerability to. Protecting your veneers from the effects of bruxism is vital for maintaining your smile and dental health.. Veneers Dental Bruxism.
From srv01.fgmdentalgroup.com
Direct veneers for rehabilitation in teeth worn by bruxism Veneers Dental Bruxism Are your teeth worn down? Read to learn more about bruxism and the importance of addressing the problem before moving forward with veneers. Teeth grinding, or bruxism, is a condition in which the patient grinds or clenches teeth in an involuntary way. Over time, this movement damages. If you suffer from bruxism, a dentist from our practice will recommend against. Veneers Dental Bruxism.
From feildfamilydentistry.com
Bruxism Crowns Give Life to a Hidden Smile Feild Family Dentistry Veneers Dental Bruxism Porcelain advances now allow us to do veneers for worn teeth | consider getting bruxism veneers to replace. Are your teeth worn down? If you suffer from bruxism, a dentist from our practice will recommend against resin composite because of its vulnerability to. Read to learn more about bruxism and the importance of addressing the problem before moving forward with. Veneers Dental Bruxism.
From dreemdentistry.com
The Kinds of Problems Teeth Develop from Bruxism Leawood, KS Veneers Dental Bruxism Teeth grinding, or bruxism, is a condition in which the patient grinds or clenches teeth in an involuntary way. If you are one of the five. Bruxism, more commonly known as teeth grinding, can have a detrimental effect on your teeth over time. Over time, this movement damages. If you suffer from bruxism, a dentist from our practice will recommend. Veneers Dental Bruxism.
From srv01.fgmdentalgroup.com
Direct veneers for rehabilitation in teeth worn by bruxism Veneers Dental Bruxism Protecting your veneers from the effects of bruxism is vital for maintaining your smile and dental health. Are your teeth worn down? Over time, this movement damages. Read to learn more about bruxism and the importance of addressing the problem before moving forward with veneers. If you are one of the five. Teeth grinding, or bruxism, is a condition in. Veneers Dental Bruxism.
From srv01.fgmdentalgroup.com
Direct veneers for rehabilitation in teeth worn by bruxism Veneers Dental Bruxism Porcelain advances now allow us to do veneers for worn teeth | consider getting bruxism veneers to replace. If you suffer from bruxism, a dentist from our practice will recommend against resin composite because of its vulnerability to. Are your teeth worn down? If you are one of the five. Over time, this movement damages. Teeth grinding, or bruxism, is. Veneers Dental Bruxism.
From www.tetrismile.com
Bruxism/Teeth Grinding Treatment in Miami Veneers Dental Bruxism Protecting your veneers from the effects of bruxism is vital for maintaining your smile and dental health. Read to learn more about bruxism and the importance of addressing the problem before moving forward with veneers. Bruxism, more commonly known as teeth grinding, can have a detrimental effect on your teeth over time. Porcelain advances now allow us to do veneers. Veneers Dental Bruxism.
From rollinghillsdentistry.com
Dental Veneers Are Dental Veneers For Me? Rolling Hills Dentistry Veneers Dental Bruxism Are your teeth worn down? Read to learn more about bruxism and the importance of addressing the problem before moving forward with veneers. Protecting your veneers from the effects of bruxism is vital for maintaining your smile and dental health. If you are one of the five. Porcelain advances now allow us to do veneers for worn teeth | consider. Veneers Dental Bruxism.
From srv01.fgmdentalgroup.com
Direct veneers for rehabilitation in teeth worn by bruxism Veneers Dental Bruxism If you are one of the five. If you suffer from bruxism, a dentist from our practice will recommend against resin composite because of its vulnerability to. Read to learn more about bruxism and the importance of addressing the problem before moving forward with veneers. Bruxism, more commonly known as teeth grinding, can have a detrimental effect on your teeth. Veneers Dental Bruxism.
From lakefrontfamilydentistry.com
Bruxism Teeth Grinding Veneers Dental Bruxism Teeth grinding, or bruxism, is a condition in which the patient grinds or clenches teeth in an involuntary way. If you suffer from bruxism, a dentist from our practice will recommend against resin composite because of its vulnerability to. Porcelain advances now allow us to do veneers for worn teeth | consider getting bruxism veneers to replace. Are your teeth. Veneers Dental Bruxism.
From www.belldentalstudio.com
Veneers and Bruxism Addressing Teeth Grinding with Cosmetic Solutions Veneers Dental Bruxism Bruxism, more commonly known as teeth grinding, can have a detrimental effect on your teeth over time. Over time, this movement damages. Are your teeth worn down? If you suffer from bruxism, a dentist from our practice will recommend against resin composite because of its vulnerability to. Read to learn more about bruxism and the importance of addressing the problem. Veneers Dental Bruxism.
From srv01.fgmdentalgroup.com
Direct veneers for rehabilitation in teeth worn by bruxism Veneers Dental Bruxism Porcelain advances now allow us to do veneers for worn teeth | consider getting bruxism veneers to replace. If you are one of the five. Are your teeth worn down? If you suffer from bruxism, a dentist from our practice will recommend against resin composite because of its vulnerability to. Over time, this movement damages. Read to learn more about. Veneers Dental Bruxism.
From sleepation.com
“Enhancing Smiles Veneers as a Solution for Bruxism” Sleepation Veneers Dental Bruxism Over time, this movement damages. Read to learn more about bruxism and the importance of addressing the problem before moving forward with veneers. Protecting your veneers from the effects of bruxism is vital for maintaining your smile and dental health. If you suffer from bruxism, a dentist from our practice will recommend against resin composite because of its vulnerability to.. Veneers Dental Bruxism.
From safarmedical.com
Dental veneers Types, Uses & Process Safar Medical Veneers Dental Bruxism Protecting your veneers from the effects of bruxism is vital for maintaining your smile and dental health. Over time, this movement damages. Bruxism, more commonly known as teeth grinding, can have a detrimental effect on your teeth over time. Porcelain advances now allow us to do veneers for worn teeth | consider getting bruxism veneers to replace. If you are. Veneers Dental Bruxism.
From contemporarysmiles.com.au
Resin Veneers to correct wear from Bruxism Contemporary Smiles Dental Veneers Dental Bruxism Protecting your veneers from the effects of bruxism is vital for maintaining your smile and dental health. Porcelain advances now allow us to do veneers for worn teeth | consider getting bruxism veneers to replace. Are your teeth worn down? If you are one of the five. Bruxism, more commonly known as teeth grinding, can have a detrimental effect on. Veneers Dental Bruxism.
From lakeforestdentalarts.com
Cosmetic Dentistry when You Have Bruxism Will dentistry survive? Veneers Dental Bruxism If you suffer from bruxism, a dentist from our practice will recommend against resin composite because of its vulnerability to. Protecting your veneers from the effects of bruxism is vital for maintaining your smile and dental health. Bruxism, more commonly known as teeth grinding, can have a detrimental effect on your teeth over time. Porcelain advances now allow us to. Veneers Dental Bruxism.
From woodlandhillsdentalarts.com
What Bruxism Can Mean for Other Dental Treatments Woodland Hills, CA Veneers Dental Bruxism Protecting your veneers from the effects of bruxism is vital for maintaining your smile and dental health. Read to learn more about bruxism and the importance of addressing the problem before moving forward with veneers. Porcelain advances now allow us to do veneers for worn teeth | consider getting bruxism veneers to replace. Bruxism, more commonly known as teeth grinding,. Veneers Dental Bruxism.
From srv01.fgmdentalgroup.com
Direct veneers for rehabilitation in teeth worn by bruxism Veneers Dental Bruxism Teeth grinding, or bruxism, is a condition in which the patient grinds or clenches teeth in an involuntary way. Read to learn more about bruxism and the importance of addressing the problem before moving forward with veneers. Bruxism, more commonly known as teeth grinding, can have a detrimental effect on your teeth over time. If you suffer from bruxism, a. Veneers Dental Bruxism.
From contemporarysmiles.com.au
Resin Veneers to correct wear from Bruxism Contemporary Smiles Dental Veneers Dental Bruxism Protecting your veneers from the effects of bruxism is vital for maintaining your smile and dental health. Are your teeth worn down? If you are one of the five. Over time, this movement damages. If you suffer from bruxism, a dentist from our practice will recommend against resin composite because of its vulnerability to. Porcelain advances now allow us to. Veneers Dental Bruxism.
From srv01.fgmdentalgroup.com
Direct veneers for rehabilitation in teeth worn by bruxism Veneers Dental Bruxism Porcelain advances now allow us to do veneers for worn teeth | consider getting bruxism veneers to replace. If you suffer from bruxism, a dentist from our practice will recommend against resin composite because of its vulnerability to. Protecting your veneers from the effects of bruxism is vital for maintaining your smile and dental health. Bruxism, more commonly known as. Veneers Dental Bruxism.
From srv01.fgmdentalgroup.com
Direct veneers for rehabilitation in teeth worn by bruxism Veneers Dental Bruxism Read to learn more about bruxism and the importance of addressing the problem before moving forward with veneers. Protecting your veneers from the effects of bruxism is vital for maintaining your smile and dental health. Bruxism, more commonly known as teeth grinding, can have a detrimental effect on your teeth over time. If you suffer from bruxism, a dentist from. Veneers Dental Bruxism.
From fgmdentalgroup.com
Direct veneers for rehabilitation in teeth worn by bruxism Veneers Dental Bruxism Read to learn more about bruxism and the importance of addressing the problem before moving forward with veneers. If you are one of the five. If you suffer from bruxism, a dentist from our practice will recommend against resin composite because of its vulnerability to. Are your teeth worn down? Porcelain advances now allow us to do veneers for worn. Veneers Dental Bruxism.
From www.demajodental.org
Bruxism Demajo Dental Veneers Dental Bruxism Porcelain advances now allow us to do veneers for worn teeth | consider getting bruxism veneers to replace. Over time, this movement damages. Bruxism, more commonly known as teeth grinding, can have a detrimental effect on your teeth over time. Read to learn more about bruxism and the importance of addressing the problem before moving forward with veneers. Teeth grinding,. Veneers Dental Bruxism.