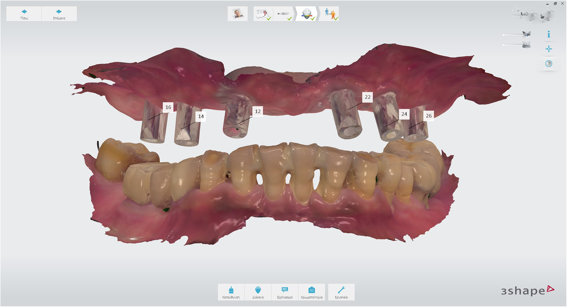
Bite Registration For Implants . Michael ditolla, in conjunction with michael cash, cdt, explains the importance of taking an accurate bite registration and offers technique tips. Taylor manalili demonstrates how to accurately capture the bite when scanning a patient. The bite registration and color assessment should also be done during this step, to provide the required information for the dental lab. Due to the accuracy of intraoral. One of the many benefits of digitally scanning implant cases is that there is no need to take and send in a physical bite registration. This article presented a method for direct digital bite registration at a predetermined ovd in a patient with fully edentulous maxilla.
from journalimplantdent.springeropen.com
This article presented a method for direct digital bite registration at a predetermined ovd in a patient with fully edentulous maxilla. Taylor manalili demonstrates how to accurately capture the bite when scanning a patient. One of the many benefits of digitally scanning implant cases is that there is no need to take and send in a physical bite registration. Due to the accuracy of intraoral. The bite registration and color assessment should also be done during this step, to provide the required information for the dental lab. Michael ditolla, in conjunction with michael cash, cdt, explains the importance of taking an accurate bite registration and offers technique tips.
Using the surgical guide for impressionfree digital bite registration
Bite Registration For Implants The bite registration and color assessment should also be done during this step, to provide the required information for the dental lab. Taylor manalili demonstrates how to accurately capture the bite when scanning a patient. One of the many benefits of digitally scanning implant cases is that there is no need to take and send in a physical bite registration. Michael ditolla, in conjunction with michael cash, cdt, explains the importance of taking an accurate bite registration and offers technique tips. The bite registration and color assessment should also be done during this step, to provide the required information for the dental lab. Due to the accuracy of intraoral. This article presented a method for direct digital bite registration at a predetermined ovd in a patient with fully edentulous maxilla.
From www.youtube.com
Capturing an Accurate Digital Bite Registration for your Implant Bite Registration For Implants The bite registration and color assessment should also be done during this step, to provide the required information for the dental lab. This article presented a method for direct digital bite registration at a predetermined ovd in a patient with fully edentulous maxilla. One of the many benefits of digitally scanning implant cases is that there is no need to. Bite Registration For Implants.
From journalimplantdent.springeropen.com
Using the surgical guide for impressionfree digital bite registration Bite Registration For Implants The bite registration and color assessment should also be done during this step, to provide the required information for the dental lab. Taylor manalili demonstrates how to accurately capture the bite when scanning a patient. This article presented a method for direct digital bite registration at a predetermined ovd in a patient with fully edentulous maxilla. Due to the accuracy. Bite Registration For Implants.
From www.youtube.com
Implant Bite Post inarPerfecting Implant Bite Registration YouTube Bite Registration For Implants Due to the accuracy of intraoral. One of the many benefits of digitally scanning implant cases is that there is no need to take and send in a physical bite registration. Taylor manalili demonstrates how to accurately capture the bite when scanning a patient. This article presented a method for direct digital bite registration at a predetermined ovd in a. Bite Registration For Implants.
From leeannbrady.com
Lucia Jig Lee Ann Brady, DMD's Dental Blog Bite Registration For Implants The bite registration and color assessment should also be done during this step, to provide the required information for the dental lab. One of the many benefits of digitally scanning implant cases is that there is no need to take and send in a physical bite registration. Taylor manalili demonstrates how to accurately capture the bite when scanning a patient.. Bite Registration For Implants.
From journalimplantdent.springeropen.com
Using the surgical guide for impressionfree digital bite registration Bite Registration For Implants The bite registration and color assessment should also be done during this step, to provide the required information for the dental lab. Taylor manalili demonstrates how to accurately capture the bite when scanning a patient. Due to the accuracy of intraoral. Michael ditolla, in conjunction with michael cash, cdt, explains the importance of taking an accurate bite registration and offers. Bite Registration For Implants.
From www.researchgate.net
The bite registration was performed with two buccal bitescans tracing Bite Registration For Implants One of the many benefits of digitally scanning implant cases is that there is no need to take and send in a physical bite registration. The bite registration and color assessment should also be done during this step, to provide the required information for the dental lab. This article presented a method for direct digital bite registration at a predetermined. Bite Registration For Implants.
From dmg-connect.com
Using LuxaBite to Achieve Ideal Bite Registrations for Guaranteed Bite Registration For Implants The bite registration and color assessment should also be done during this step, to provide the required information for the dental lab. Michael ditolla, in conjunction with michael cash, cdt, explains the importance of taking an accurate bite registration and offers technique tips. This article presented a method for direct digital bite registration at a predetermined ovd in a patient. Bite Registration For Implants.
From www.youtube.com
EN How to scan the bite registration YouTube Bite Registration For Implants The bite registration and color assessment should also be done during this step, to provide the required information for the dental lab. Due to the accuracy of intraoral. This article presented a method for direct digital bite registration at a predetermined ovd in a patient with fully edentulous maxilla. Michael ditolla, in conjunction with michael cash, cdt, explains the importance. Bite Registration For Implants.
From www.smlglobal.com
How To Scan a Bite Registration SML Bite Registration For Implants Michael ditolla, in conjunction with michael cash, cdt, explains the importance of taking an accurate bite registration and offers technique tips. Due to the accuracy of intraoral. The bite registration and color assessment should also be done during this step, to provide the required information for the dental lab. One of the many benefits of digitally scanning implant cases is. Bite Registration For Implants.
From www.dentalaaka.com
Buy 3M ESPE Imprint Bite Registration Material Vps Online at Best Price Bite Registration For Implants Taylor manalili demonstrates how to accurately capture the bite when scanning a patient. One of the many benefits of digitally scanning implant cases is that there is no need to take and send in a physical bite registration. The bite registration and color assessment should also be done during this step, to provide the required information for the dental lab.. Bite Registration For Implants.
From glidewelldental.com
cm0102biteregistration07 Bite Registration For Implants Due to the accuracy of intraoral. This article presented a method for direct digital bite registration at a predetermined ovd in a patient with fully edentulous maxilla. Michael ditolla, in conjunction with michael cash, cdt, explains the importance of taking an accurate bite registration and offers technique tips. Taylor manalili demonstrates how to accurately capture the bite when scanning a. Bite Registration For Implants.
From bicon.com
Implant Level Impression and Bite Registration Bicon Dental Implants Bite Registration For Implants One of the many benefits of digitally scanning implant cases is that there is no need to take and send in a physical bite registration. Michael ditolla, in conjunction with michael cash, cdt, explains the importance of taking an accurate bite registration and offers technique tips. Taylor manalili demonstrates how to accurately capture the bite when scanning a patient. Due. Bite Registration For Implants.
From www.mdpi.com
JCM Free FullText Reliability and Time Efficiency of Digital vs Bite Registration For Implants Due to the accuracy of intraoral. Michael ditolla, in conjunction with michael cash, cdt, explains the importance of taking an accurate bite registration and offers technique tips. The bite registration and color assessment should also be done during this step, to provide the required information for the dental lab. One of the many benefits of digitally scanning implant cases is. Bite Registration For Implants.
From journalimplantdent.springeropen.com
Using the surgical guide for impressionfree digital bite registration Bite Registration For Implants Michael ditolla, in conjunction with michael cash, cdt, explains the importance of taking an accurate bite registration and offers technique tips. The bite registration and color assessment should also be done during this step, to provide the required information for the dental lab. Due to the accuracy of intraoral. Taylor manalili demonstrates how to accurately capture the bite when scanning. Bite Registration For Implants.
From www.mdpi.com
JCM Free FullText Reliability and Time Efficiency of Digital vs Bite Registration For Implants One of the many benefits of digitally scanning implant cases is that there is no need to take and send in a physical bite registration. Taylor manalili demonstrates how to accurately capture the bite when scanning a patient. Due to the accuracy of intraoral. This article presented a method for direct digital bite registration at a predetermined ovd in a. Bite Registration For Implants.
From www.smlglobal.com
How To Scan a Bite Registration SML Bite Registration For Implants Michael ditolla, in conjunction with michael cash, cdt, explains the importance of taking an accurate bite registration and offers technique tips. This article presented a method for direct digital bite registration at a predetermined ovd in a patient with fully edentulous maxilla. Taylor manalili demonstrates how to accurately capture the bite when scanning a patient. The bite registration and color. Bite Registration For Implants.
From www.orthotechnology.com
PVSBiteRegistrationMaterialwithOutstandingAccuracy Ortho Technology Bite Registration For Implants The bite registration and color assessment should also be done during this step, to provide the required information for the dental lab. This article presented a method for direct digital bite registration at a predetermined ovd in a patient with fully edentulous maxilla. Due to the accuracy of intraoral. One of the many benefits of digitally scanning implant cases is. Bite Registration For Implants.
From www.hugedental.com
Accurate Bite Registration Help to Create Perfect Restorations Bite Registration For Implants One of the many benefits of digitally scanning implant cases is that there is no need to take and send in a physical bite registration. Due to the accuracy of intraoral. The bite registration and color assessment should also be done during this step, to provide the required information for the dental lab. This article presented a method for direct. Bite Registration For Implants.
From medimatch.co.uk
Recording a Bite Registration for the Edentulous Patient MediMatch Bite Registration For Implants One of the many benefits of digitally scanning implant cases is that there is no need to take and send in a physical bite registration. The bite registration and color assessment should also be done during this step, to provide the required information for the dental lab. This article presented a method for direct digital bite registration at a predetermined. Bite Registration For Implants.
From www.mdpi.com
JCM Free FullText Reliability and Time Efficiency of Digital vs Bite Registration For Implants Due to the accuracy of intraoral. Taylor manalili demonstrates how to accurately capture the bite when scanning a patient. Michael ditolla, in conjunction with michael cash, cdt, explains the importance of taking an accurate bite registration and offers technique tips. One of the many benefits of digitally scanning implant cases is that there is no need to take and send. Bite Registration For Implants.
From magazine.zhermack.com
Bite registration materials which one to choose? Bite Registration For Implants One of the many benefits of digitally scanning implant cases is that there is no need to take and send in a physical bite registration. Taylor manalili demonstrates how to accurately capture the bite when scanning a patient. The bite registration and color assessment should also be done during this step, to provide the required information for the dental lab.. Bite Registration For Implants.
From www.researchgate.net
Laboratory stepsBite registration, impression taken procedure and Bite Registration For Implants One of the many benefits of digitally scanning implant cases is that there is no need to take and send in a physical bite registration. Due to the accuracy of intraoral. This article presented a method for direct digital bite registration at a predetermined ovd in a patient with fully edentulous maxilla. Michael ditolla, in conjunction with michael cash, cdt,. Bite Registration For Implants.
From www.youtube.com
Case of the Week Taking an Accurate Bite Registration YouTube Bite Registration For Implants This article presented a method for direct digital bite registration at a predetermined ovd in a patient with fully edentulous maxilla. One of the many benefits of digitally scanning implant cases is that there is no need to take and send in a physical bite registration. The bite registration and color assessment should also be done during this step, to. Bite Registration For Implants.
From www.slideserve.com
PPT Bite registration PowerPoint Presentation, free download ID623877 Bite Registration For Implants The bite registration and color assessment should also be done during this step, to provide the required information for the dental lab. One of the many benefits of digitally scanning implant cases is that there is no need to take and send in a physical bite registration. Due to the accuracy of intraoral. This article presented a method for direct. Bite Registration For Implants.
From www.smlglobal.com
How To Scan a Bite Registration SML Bite Registration For Implants This article presented a method for direct digital bite registration at a predetermined ovd in a patient with fully edentulous maxilla. Michael ditolla, in conjunction with michael cash, cdt, explains the importance of taking an accurate bite registration and offers technique tips. The bite registration and color assessment should also be done during this step, to provide the required information. Bite Registration For Implants.
From www.kulzer.com
Bite Registration Materials Bite Registration For Implants The bite registration and color assessment should also be done during this step, to provide the required information for the dental lab. Michael ditolla, in conjunction with michael cash, cdt, explains the importance of taking an accurate bite registration and offers technique tips. This article presented a method for direct digital bite registration at a predetermined ovd in a patient. Bite Registration For Implants.
From www.youtube.com
Implant Level Impression and Bite Registration YouTube Bite Registration For Implants Due to the accuracy of intraoral. This article presented a method for direct digital bite registration at a predetermined ovd in a patient with fully edentulous maxilla. Michael ditolla, in conjunction with michael cash, cdt, explains the importance of taking an accurate bite registration and offers technique tips. Taylor manalili demonstrates how to accurately capture the bite when scanning a. Bite Registration For Implants.
From journalimplantdent.springeropen.com
Using the surgical guide for impressionfree digital bite registration Bite Registration For Implants One of the many benefits of digitally scanning implant cases is that there is no need to take and send in a physical bite registration. Michael ditolla, in conjunction with michael cash, cdt, explains the importance of taking an accurate bite registration and offers technique tips. This article presented a method for direct digital bite registration at a predetermined ovd. Bite Registration For Implants.
From www.youtube.com
Bite Registration Technique For Basal Implants step by step explained Bite Registration For Implants Michael ditolla, in conjunction with michael cash, cdt, explains the importance of taking an accurate bite registration and offers technique tips. Taylor manalili demonstrates how to accurately capture the bite when scanning a patient. The bite registration and color assessment should also be done during this step, to provide the required information for the dental lab. One of the many. Bite Registration For Implants.
From www.smlglobal.com
How To Scan a Bite Registration SML Bite Registration For Implants This article presented a method for direct digital bite registration at a predetermined ovd in a patient with fully edentulous maxilla. The bite registration and color assessment should also be done during this step, to provide the required information for the dental lab. Taylor manalili demonstrates how to accurately capture the bite when scanning a patient. Due to the accuracy. Bite Registration For Implants.
From leeannbrady.com
Flexitime Bite Registration Impression Lee Ann Brady, DMD's Bite Registration For Implants The bite registration and color assessment should also be done during this step, to provide the required information for the dental lab. Due to the accuracy of intraoral. This article presented a method for direct digital bite registration at a predetermined ovd in a patient with fully edentulous maxilla. One of the many benefits of digitally scanning implant cases is. Bite Registration For Implants.
From www.researchgate.net
Bite registration for groups with the healing abutments. (A) Connection Bite Registration For Implants This article presented a method for direct digital bite registration at a predetermined ovd in a patient with fully edentulous maxilla. Due to the accuracy of intraoral. Taylor manalili demonstrates how to accurately capture the bite when scanning a patient. The bite registration and color assessment should also be done during this step, to provide the required information for the. Bite Registration For Implants.
From www.hugedental.com
Accurate Bite Registration Help to Create Perfect Restorations Bite Registration For Implants Due to the accuracy of intraoral. Michael ditolla, in conjunction with michael cash, cdt, explains the importance of taking an accurate bite registration and offers technique tips. One of the many benefits of digitally scanning implant cases is that there is no need to take and send in a physical bite registration. The bite registration and color assessment should also. Bite Registration For Implants.
From www.dental-dictionary.eu
Bite registration material Bite Registration For Implants Due to the accuracy of intraoral. This article presented a method for direct digital bite registration at a predetermined ovd in a patient with fully edentulous maxilla. Michael ditolla, in conjunction with michael cash, cdt, explains the importance of taking an accurate bite registration and offers technique tips. Taylor manalili demonstrates how to accurately capture the bite when scanning a. Bite Registration For Implants.
From www.youtube.com
Dental Implant Bite Registration YouTube Bite Registration For Implants The bite registration and color assessment should also be done during this step, to provide the required information for the dental lab. One of the many benefits of digitally scanning implant cases is that there is no need to take and send in a physical bite registration. This article presented a method for direct digital bite registration at a predetermined. Bite Registration For Implants.