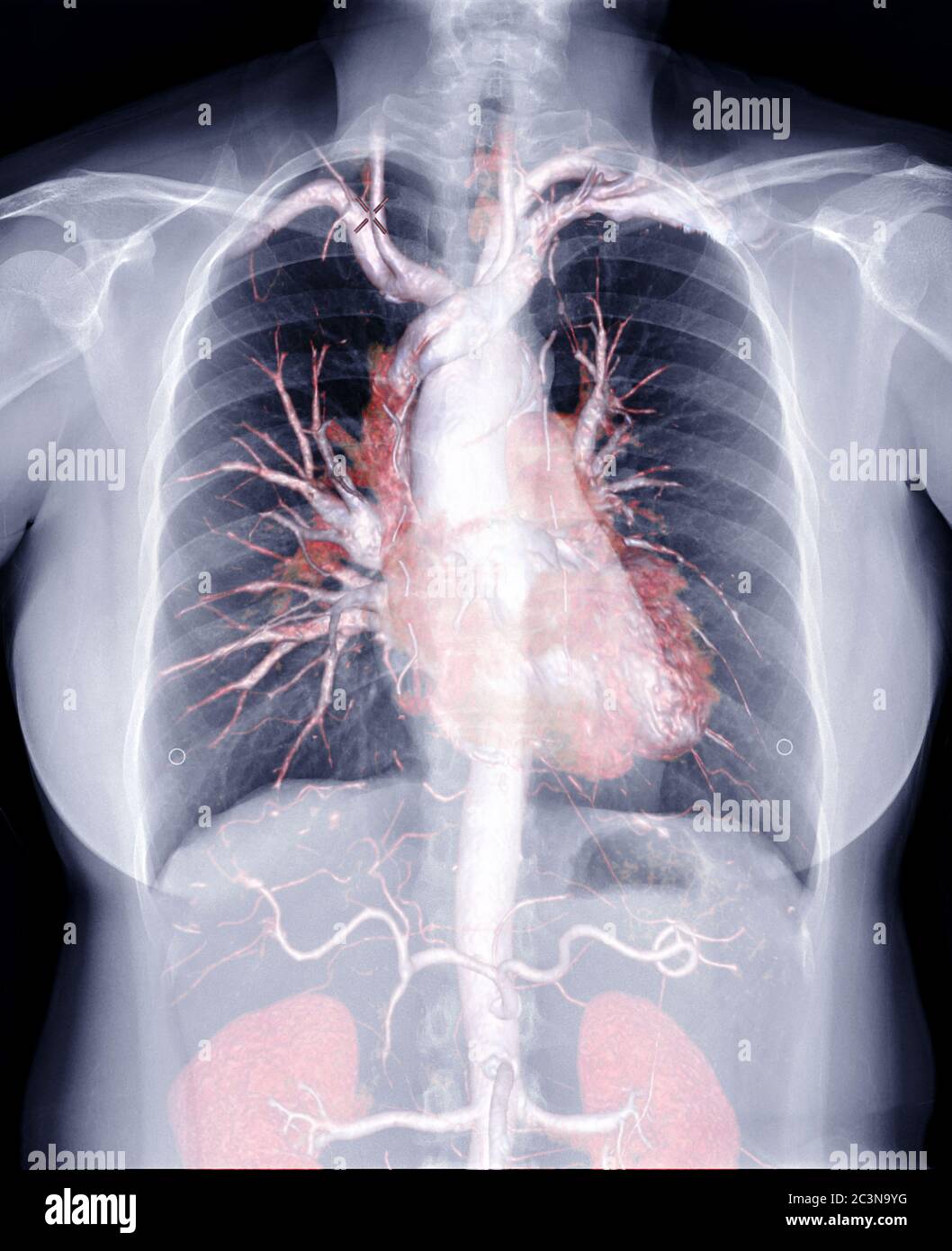
Chest X Ray Unfolding Aorta . The ‘aortic knuckle’ forms a reliable landmark. The chest radiograph shows slight lengthening. A small part of the ascending aorta may be visible. The descending aorta forms a. The degree of ascending aortic dilation with age. “unfolding” is often associated with aortic calcification, which implies aortic degeneration. An unfolded aorta is a radiological finding which is commonly seen in older people. The term unfolded aorta refers to the widened and decreased curvature of the aortic arch on a frontal chest radiograph giving an ‘opened up’. It is not usually considered a pathological finding in itself and should not be mistaken for an aortic aneurysm
from radiologykey.com
A small part of the ascending aorta may be visible. It is not usually considered a pathological finding in itself and should not be mistaken for an aortic aneurysm “unfolding” is often associated with aortic calcification, which implies aortic degeneration. The chest radiograph shows slight lengthening. The descending aorta forms a. The ‘aortic knuckle’ forms a reliable landmark. An unfolded aorta is a radiological finding which is commonly seen in older people. The degree of ascending aortic dilation with age. The term unfolded aorta refers to the widened and decreased curvature of the aortic arch on a frontal chest radiograph giving an ‘opened up’.
The Thoracic Aorta Radiology Key
Chest X Ray Unfolding Aorta The degree of ascending aortic dilation with age. “unfolding” is often associated with aortic calcification, which implies aortic degeneration. It is not usually considered a pathological finding in itself and should not be mistaken for an aortic aneurysm A small part of the ascending aorta may be visible. An unfolded aorta is a radiological finding which is commonly seen in older people. The degree of ascending aortic dilation with age. The descending aorta forms a. The ‘aortic knuckle’ forms a reliable landmark. The term unfolded aorta refers to the widened and decreased curvature of the aortic arch on a frontal chest radiograph giving an ‘opened up’. The chest radiograph shows slight lengthening.
From radiologycases.my
Unfolded aorta Radiology Cases Chest X Ray Unfolding Aorta It is not usually considered a pathological finding in itself and should not be mistaken for an aortic aneurysm The term unfolded aorta refers to the widened and decreased curvature of the aortic arch on a frontal chest radiograph giving an ‘opened up’. The chest radiograph shows slight lengthening. A small part of the ascending aorta may be visible. The. Chest X Ray Unfolding Aorta.
From fity.club
Unfolding Of Aorta Chest X Ray Unfolding Aorta The term unfolded aorta refers to the widened and decreased curvature of the aortic arch on a frontal chest radiograph giving an ‘opened up’. The ‘aortic knuckle’ forms a reliable landmark. “unfolding” is often associated with aortic calcification, which implies aortic degeneration. A small part of the ascending aorta may be visible. The chest radiograph shows slight lengthening. The degree. Chest X Ray Unfolding Aorta.
From mungfali.com
Aortic Dissection On Chest X Ray Chest X Ray Unfolding Aorta The ‘aortic knuckle’ forms a reliable landmark. A small part of the ascending aorta may be visible. The descending aorta forms a. An unfolded aorta is a radiological finding which is commonly seen in older people. The degree of ascending aortic dilation with age. “unfolding” is often associated with aortic calcification, which implies aortic degeneration. The chest radiograph shows slight. Chest X Ray Unfolding Aorta.
From mungfali.com
Aorta Chest X Ray Chest X Ray Unfolding Aorta An unfolded aorta is a radiological finding which is commonly seen in older people. A small part of the ascending aorta may be visible. The chest radiograph shows slight lengthening. The descending aorta forms a. The term unfolded aorta refers to the widened and decreased curvature of the aortic arch on a frontal chest radiograph giving an ‘opened up’. The. Chest X Ray Unfolding Aorta.
From www.pinterest.com
Unfolded aorta Radiology Case Radiology, Case Chest X Ray Unfolding Aorta An unfolded aorta is a radiological finding which is commonly seen in older people. The descending aorta forms a. A small part of the ascending aorta may be visible. “unfolding” is often associated with aortic calcification, which implies aortic degeneration. The degree of ascending aortic dilation with age. It is not usually considered a pathological finding in itself and should. Chest X Ray Unfolding Aorta.
From mungfali.com
Aortic Dissection On Chest X Ray Chest X Ray Unfolding Aorta The chest radiograph shows slight lengthening. The ‘aortic knuckle’ forms a reliable landmark. The term unfolded aorta refers to the widened and decreased curvature of the aortic arch on a frontal chest radiograph giving an ‘opened up’. “unfolding” is often associated with aortic calcification, which implies aortic degeneration. The descending aorta forms a. The degree of ascending aortic dilation with. Chest X Ray Unfolding Aorta.
From usmlepathslides.tumblr.com
USMLE Pathology Slides Lateral CXR, aortic dissection Associated with... Chest X Ray Unfolding Aorta The descending aorta forms a. An unfolded aorta is a radiological finding which is commonly seen in older people. A small part of the ascending aorta may be visible. “unfolding” is often associated with aortic calcification, which implies aortic degeneration. The degree of ascending aortic dilation with age. It is not usually considered a pathological finding in itself and should. Chest X Ray Unfolding Aorta.
From johnsonfrancis.org
What is unfolded aorta? All About Heart And Blood Vessels Chest X Ray Unfolding Aorta The descending aorta forms a. The ‘aortic knuckle’ forms a reliable landmark. A small part of the ascending aorta may be visible. The chest radiograph shows slight lengthening. It is not usually considered a pathological finding in itself and should not be mistaken for an aortic aneurysm The term unfolded aorta refers to the widened and decreased curvature of the. Chest X Ray Unfolding Aorta.
From mungfali.com
Aortic Dissection On Chest X Ray Chest X Ray Unfolding Aorta The chest radiograph shows slight lengthening. “unfolding” is often associated with aortic calcification, which implies aortic degeneration. The descending aorta forms a. The degree of ascending aortic dilation with age. An unfolded aorta is a radiological finding which is commonly seen in older people. The term unfolded aorta refers to the widened and decreased curvature of the aortic arch on. Chest X Ray Unfolding Aorta.
From ar.inspiredpencil.com
Thoracic Aortic Aneurysm Xray Chest X Ray Unfolding Aorta A small part of the ascending aorta may be visible. An unfolded aorta is a radiological finding which is commonly seen in older people. The ‘aortic knuckle’ forms a reliable landmark. The degree of ascending aortic dilation with age. It is not usually considered a pathological finding in itself and should not be mistaken for an aortic aneurysm The descending. Chest X Ray Unfolding Aorta.
From mungfali.com
Aortic Dissection On Chest X Ray Chest X Ray Unfolding Aorta The ‘aortic knuckle’ forms a reliable landmark. The chest radiograph shows slight lengthening. The term unfolded aorta refers to the widened and decreased curvature of the aortic arch on a frontal chest radiograph giving an ‘opened up’. A small part of the ascending aorta may be visible. “unfolding” is often associated with aortic calcification, which implies aortic degeneration. It is. Chest X Ray Unfolding Aorta.
From mungfali.com
Aorta Chest X Ray Chest X Ray Unfolding Aorta The degree of ascending aortic dilation with age. “unfolding” is often associated with aortic calcification, which implies aortic degeneration. The chest radiograph shows slight lengthening. The descending aorta forms a. The ‘aortic knuckle’ forms a reliable landmark. The term unfolded aorta refers to the widened and decreased curvature of the aortic arch on a frontal chest radiograph giving an ‘opened. Chest X Ray Unfolding Aorta.
From www.pinterest.com
Unfolded aorta Radiology Case Radiology Chest X Ray Unfolding Aorta A small part of the ascending aorta may be visible. It is not usually considered a pathological finding in itself and should not be mistaken for an aortic aneurysm The descending aorta forms a. “unfolding” is often associated with aortic calcification, which implies aortic degeneration. The degree of ascending aortic dilation with age. The ‘aortic knuckle’ forms a reliable landmark.. Chest X Ray Unfolding Aorta.
From mungfali.com
Aortic Aneurysm Chest X Ray Chest X Ray Unfolding Aorta An unfolded aorta is a radiological finding which is commonly seen in older people. “unfolding” is often associated with aortic calcification, which implies aortic degeneration. The chest radiograph shows slight lengthening. The degree of ascending aortic dilation with age. The ‘aortic knuckle’ forms a reliable landmark. The descending aorta forms a. The term unfolded aorta refers to the widened and. Chest X Ray Unfolding Aorta.
From www.wikidoc.org
Aortic dissection chest x ray wikidoc Chest X Ray Unfolding Aorta The ‘aortic knuckle’ forms a reliable landmark. An unfolded aorta is a radiological finding which is commonly seen in older people. The term unfolded aorta refers to the widened and decreased curvature of the aortic arch on a frontal chest radiograph giving an ‘opened up’. The chest radiograph shows slight lengthening. The degree of ascending aortic dilation with age. A. Chest X Ray Unfolding Aorta.
From www.youtube.com
Thoracic Aortic Aneurysm Explanation of Chest Xray Findings YouTube Chest X Ray Unfolding Aorta The ‘aortic knuckle’ forms a reliable landmark. The descending aorta forms a. It is not usually considered a pathological finding in itself and should not be mistaken for an aortic aneurysm An unfolded aorta is a radiological finding which is commonly seen in older people. The degree of ascending aortic dilation with age. The term unfolded aorta refers to the. Chest X Ray Unfolding Aorta.
From radiologycases.my
Unfolded aorta Radiology Cases Chest X Ray Unfolding Aorta The degree of ascending aortic dilation with age. The descending aorta forms a. The term unfolded aorta refers to the widened and decreased curvature of the aortic arch on a frontal chest radiograph giving an ‘opened up’. A small part of the ascending aorta may be visible. “unfolding” is often associated with aortic calcification, which implies aortic degeneration. It is. Chest X Ray Unfolding Aorta.
From mavink.com
Unfolding Of Aorta On Chest X Ray Chest X Ray Unfolding Aorta The descending aorta forms a. The term unfolded aorta refers to the widened and decreased curvature of the aortic arch on a frontal chest radiograph giving an ‘opened up’. The degree of ascending aortic dilation with age. The chest radiograph shows slight lengthening. A small part of the ascending aorta may be visible. An unfolded aorta is a radiological finding. Chest X Ray Unfolding Aorta.
From mungfali.com
Aortic Dissection On Chest X Ray Chest X Ray Unfolding Aorta A small part of the ascending aorta may be visible. The ‘aortic knuckle’ forms a reliable landmark. The chest radiograph shows slight lengthening. The descending aorta forms a. The term unfolded aorta refers to the widened and decreased curvature of the aortic arch on a frontal chest radiograph giving an ‘opened up’. An unfolded aorta is a radiological finding which. Chest X Ray Unfolding Aorta.
From www.mastermedfacts.com
MasterMedFacts Chest XRay Chest X Ray Unfolding Aorta “unfolding” is often associated with aortic calcification, which implies aortic degeneration. The descending aorta forms a. The ‘aortic knuckle’ forms a reliable landmark. It is not usually considered a pathological finding in itself and should not be mistaken for an aortic aneurysm An unfolded aorta is a radiological finding which is commonly seen in older people. The term unfolded aorta. Chest X Ray Unfolding Aorta.
From openi.nlm.nih.gov
Chest Xray reveals unfolding of aorta, hazy right para Openi Chest X Ray Unfolding Aorta The chest radiograph shows slight lengthening. An unfolded aorta is a radiological finding which is commonly seen in older people. The ‘aortic knuckle’ forms a reliable landmark. The term unfolded aorta refers to the widened and decreased curvature of the aortic arch on a frontal chest radiograph giving an ‘opened up’. A small part of the ascending aorta may be. Chest X Ray Unfolding Aorta.
From www.youtube.com
Dilated Aorta with Unfolding of Arch on X ray Chest PA View YouTube Chest X Ray Unfolding Aorta It is not usually considered a pathological finding in itself and should not be mistaken for an aortic aneurysm An unfolded aorta is a radiological finding which is commonly seen in older people. The term unfolded aorta refers to the widened and decreased curvature of the aortic arch on a frontal chest radiograph giving an ‘opened up’. The degree of. Chest X Ray Unfolding Aorta.
From mavink.com
Chest X Ray Tortuous Aorta Chest X Ray Unfolding Aorta The degree of ascending aortic dilation with age. The chest radiograph shows slight lengthening. The descending aorta forms a. A small part of the ascending aorta may be visible. “unfolding” is often associated with aortic calcification, which implies aortic degeneration. The term unfolded aorta refers to the widened and decreased curvature of the aortic arch on a frontal chest radiograph. Chest X Ray Unfolding Aorta.
From mungfali.com
Aortic Dissection On Chest X Ray Chest X Ray Unfolding Aorta The ‘aortic knuckle’ forms a reliable landmark. A small part of the ascending aorta may be visible. The chest radiograph shows slight lengthening. It is not usually considered a pathological finding in itself and should not be mistaken for an aortic aneurysm An unfolded aorta is a radiological finding which is commonly seen in older people. “unfolding” is often associated. Chest X Ray Unfolding Aorta.
From www.alamy.com
Chest Xray with 3D rendering image CTA whole aorta inside the chest Chest X Ray Unfolding Aorta The descending aorta forms a. A small part of the ascending aorta may be visible. The ‘aortic knuckle’ forms a reliable landmark. “unfolding” is often associated with aortic calcification, which implies aortic degeneration. The term unfolded aorta refers to the widened and decreased curvature of the aortic arch on a frontal chest radiograph giving an ‘opened up’. The chest radiograph. Chest X Ray Unfolding Aorta.
From mungfali.com
Aortic Dissection On Chest X Ray Chest X Ray Unfolding Aorta It is not usually considered a pathological finding in itself and should not be mistaken for an aortic aneurysm The degree of ascending aortic dilation with age. The descending aorta forms a. The ‘aortic knuckle’ forms a reliable landmark. The term unfolded aorta refers to the widened and decreased curvature of the aortic arch on a frontal chest radiograph giving. Chest X Ray Unfolding Aorta.
From teachmesurgery.com
Thoracic Aortic Aneurysms Clinical Features Management TeachMeSurgery Chest X Ray Unfolding Aorta The term unfolded aorta refers to the widened and decreased curvature of the aortic arch on a frontal chest radiograph giving an ‘opened up’. It is not usually considered a pathological finding in itself and should not be mistaken for an aortic aneurysm The chest radiograph shows slight lengthening. “unfolding” is often associated with aortic calcification, which implies aortic degeneration.. Chest X Ray Unfolding Aorta.
From www.researchgate.net
Chest radiograph showing a lucent area between the aorta and pulmonary Chest X Ray Unfolding Aorta An unfolded aorta is a radiological finding which is commonly seen in older people. The descending aorta forms a. The chest radiograph shows slight lengthening. The degree of ascending aortic dilation with age. “unfolding” is often associated with aortic calcification, which implies aortic degeneration. A small part of the ascending aorta may be visible. The term unfolded aorta refers to. Chest X Ray Unfolding Aorta.
From johnsonfrancis.org
Xray chest PA view in aortic aneurysm All About Cardiovascular Chest X Ray Unfolding Aorta The term unfolded aorta refers to the widened and decreased curvature of the aortic arch on a frontal chest radiograph giving an ‘opened up’. “unfolding” is often associated with aortic calcification, which implies aortic degeneration. The degree of ascending aortic dilation with age. The chest radiograph shows slight lengthening. The descending aorta forms a. The ‘aortic knuckle’ forms a reliable. Chest X Ray Unfolding Aorta.
From radiologycases.my
Unfolded aorta Radiology Cases Chest X Ray Unfolding Aorta A small part of the ascending aorta may be visible. The descending aorta forms a. “unfolding” is often associated with aortic calcification, which implies aortic degeneration. It is not usually considered a pathological finding in itself and should not be mistaken for an aortic aneurysm The ‘aortic knuckle’ forms a reliable landmark. The degree of ascending aortic dilation with age.. Chest X Ray Unfolding Aorta.
From radiologykey.com
The Thoracic Aorta Radiology Key Chest X Ray Unfolding Aorta “unfolding” is often associated with aortic calcification, which implies aortic degeneration. An unfolded aorta is a radiological finding which is commonly seen in older people. The chest radiograph shows slight lengthening. The descending aorta forms a. The term unfolded aorta refers to the widened and decreased curvature of the aortic arch on a frontal chest radiograph giving an ‘opened up’.. Chest X Ray Unfolding Aorta.
From www.semanticscholar.org
[PDF] Aortic calcification on plain chest radiography increases risk Chest X Ray Unfolding Aorta The chest radiograph shows slight lengthening. The term unfolded aorta refers to the widened and decreased curvature of the aortic arch on a frontal chest radiograph giving an ‘opened up’. The degree of ascending aortic dilation with age. A small part of the ascending aorta may be visible. An unfolded aorta is a radiological finding which is commonly seen in. Chest X Ray Unfolding Aorta.
From pressbooks.pub
Aortic Dissection and Aneurysm Undergraduate Diagnostic Imaging Chest X Ray Unfolding Aorta The descending aorta forms a. The chest radiograph shows slight lengthening. The degree of ascending aortic dilation with age. “unfolding” is often associated with aortic calcification, which implies aortic degeneration. The term unfolded aorta refers to the widened and decreased curvature of the aortic arch on a frontal chest radiograph giving an ‘opened up’. It is not usually considered a. Chest X Ray Unfolding Aorta.
From chamasiritvc.ac.ke
How to Read a Chest Xray PDF ABCDE Mnemonic, Step by Step Chest X Ray Unfolding Aorta It is not usually considered a pathological finding in itself and should not be mistaken for an aortic aneurysm The degree of ascending aortic dilation with age. A small part of the ascending aorta may be visible. An unfolded aorta is a radiological finding which is commonly seen in older people. “unfolding” is often associated with aortic calcification, which implies. Chest X Ray Unfolding Aorta.
From www.mastermedfacts.com
MasterMedFacts Chest XRay Chest X Ray Unfolding Aorta It is not usually considered a pathological finding in itself and should not be mistaken for an aortic aneurysm The degree of ascending aortic dilation with age. A small part of the ascending aorta may be visible. The ‘aortic knuckle’ forms a reliable landmark. The term unfolded aorta refers to the widened and decreased curvature of the aortic arch on. Chest X Ray Unfolding Aorta.