What Is A Dens Fx . We will briefly explain what a den's fracture is, how an odontoid fracture is diagnosed, different ways to treat a den's fracture, and what are the. Odontoid process fracture, also known as a peg or dens fracture, occurs where there is a fracture through the odontoid process. The odontoid process, known as the dens, is a bony element extending superiorly from the second cervical vertebra (c2, or the axis). Odontoid fractures are relatively common fractures of the c2 (axis) dens that can be seen in low energy falls in elderly patients. Odontoid fractures, also known as dens fractures or peg fractures, are a specific type of cervical spine fracture that involves the.
from www.physio-pedia.com
We will briefly explain what a den's fracture is, how an odontoid fracture is diagnosed, different ways to treat a den's fracture, and what are the. Odontoid fractures, also known as dens fractures or peg fractures, are a specific type of cervical spine fracture that involves the. Odontoid process fracture, also known as a peg or dens fracture, occurs where there is a fracture through the odontoid process. The odontoid process, known as the dens, is a bony element extending superiorly from the second cervical vertebra (c2, or the axis). Odontoid fractures are relatively common fractures of the c2 (axis) dens that can be seen in low energy falls in elderly patients.
Odontoid fractures Physiopedia
What Is A Dens Fx We will briefly explain what a den's fracture is, how an odontoid fracture is diagnosed, different ways to treat a den's fracture, and what are the. We will briefly explain what a den's fracture is, how an odontoid fracture is diagnosed, different ways to treat a den's fracture, and what are the. Odontoid fractures are relatively common fractures of the c2 (axis) dens that can be seen in low energy falls in elderly patients. Odontoid process fracture, also known as a peg or dens fracture, occurs where there is a fracture through the odontoid process. Odontoid fractures, also known as dens fractures or peg fractures, are a specific type of cervical spine fracture that involves the. The odontoid process, known as the dens, is a bony element extending superiorly from the second cervical vertebra (c2, or the axis).
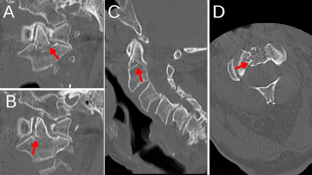
From professionallyintegrated.com
Dens Fx, Sagittal Alignment, and Impact Professionally Integrated Care What Is A Dens Fx Odontoid fractures are relatively common fractures of the c2 (axis) dens that can be seen in low energy falls in elderly patients. Odontoid process fracture, also known as a peg or dens fracture, occurs where there is a fracture through the odontoid process. We will briefly explain what a den's fracture is, how an odontoid fracture is diagnosed, different ways. What Is A Dens Fx.
From www.pinterest.com
Odontoid fracture classification diagram Radiology Case What Is A Dens Fx Odontoid process fracture, also known as a peg or dens fracture, occurs where there is a fracture through the odontoid process. Odontoid fractures are relatively common fractures of the c2 (axis) dens that can be seen in low energy falls in elderly patients. We will briefly explain what a den's fracture is, how an odontoid fracture is diagnosed, different ways. What Is A Dens Fx.
From neurosurgeons.blogspot.com
Neurosurgery Traumatic C2 dens fracture (Type II) What Is A Dens Fx We will briefly explain what a den's fracture is, how an odontoid fracture is diagnosed, different ways to treat a den's fracture, and what are the. The odontoid process, known as the dens, is a bony element extending superiorly from the second cervical vertebra (c2, or the axis). Odontoid process fracture, also known as a peg or dens fracture, occurs. What Is A Dens Fx.
From www.orthobullets.com
Odontoid Fracture Spine Orthobullets What Is A Dens Fx The odontoid process, known as the dens, is a bony element extending superiorly from the second cervical vertebra (c2, or the axis). Odontoid fractures, also known as dens fractures or peg fractures, are a specific type of cervical spine fracture that involves the. Odontoid fractures are relatively common fractures of the c2 (axis) dens that can be seen in low. What Is A Dens Fx.
From www.semanticscholar.org
Current Concepts in the Management of Type II Odontoid Fractures What Is A Dens Fx We will briefly explain what a den's fracture is, how an odontoid fracture is diagnosed, different ways to treat a den's fracture, and what are the. Odontoid process fracture, also known as a peg or dens fracture, occurs where there is a fracture through the odontoid process. The odontoid process, known as the dens, is a bony element extending superiorly. What Is A Dens Fx.
From www.spinecarehk.com
Upper Cervical Spine Fractures and Dislocations Dens Fracture What Is A Dens Fx Odontoid fractures, also known as dens fractures or peg fractures, are a specific type of cervical spine fracture that involves the. Odontoid process fracture, also known as a peg or dens fracture, occurs where there is a fracture through the odontoid process. The odontoid process, known as the dens, is a bony element extending superiorly from the second cervical vertebra. What Is A Dens Fx.
From rxharun.com
C2 C3 Vertebrae Fracture Symptoms, Diagnosis, Treatment Rxharun What Is A Dens Fx Odontoid process fracture, also known as a peg or dens fracture, occurs where there is a fracture through the odontoid process. The odontoid process, known as the dens, is a bony element extending superiorly from the second cervical vertebra (c2, or the axis). Odontoid fractures are relatively common fractures of the c2 (axis) dens that can be seen in low. What Is A Dens Fx.
From www.orthobullets.com
Odontoid Fracture Spine Orthobullets What Is A Dens Fx Odontoid fractures are relatively common fractures of the c2 (axis) dens that can be seen in low energy falls in elderly patients. We will briefly explain what a den's fracture is, how an odontoid fracture is diagnosed, different ways to treat a den's fracture, and what are the. The odontoid process, known as the dens, is a bony element extending. What Is A Dens Fx.
From www.globalradiologycme.com
Type 3 Dens Fracture What Is A Dens Fx We will briefly explain what a den's fracture is, how an odontoid fracture is diagnosed, different ways to treat a den's fracture, and what are the. Odontoid process fracture, also known as a peg or dens fracture, occurs where there is a fracture through the odontoid process. The odontoid process, known as the dens, is a bony element extending superiorly. What Is A Dens Fx.
From www.orthobullets.com
Odontoid Fracture Spine Orthobullets What Is A Dens Fx Odontoid fractures are relatively common fractures of the c2 (axis) dens that can be seen in low energy falls in elderly patients. Odontoid process fracture, also known as a peg or dens fracture, occurs where there is a fracture through the odontoid process. Odontoid fractures, also known as dens fractures or peg fractures, are a specific type of cervical spine. What Is A Dens Fx.
From postgad.blogspot.com
Post Gad Dens Fracture What Is A Dens Fx We will briefly explain what a den's fracture is, how an odontoid fracture is diagnosed, different ways to treat a den's fracture, and what are the. The odontoid process, known as the dens, is a bony element extending superiorly from the second cervical vertebra (c2, or the axis). Odontoid process fracture, also known as a peg or dens fracture, occurs. What Is A Dens Fx.
From hughston.com
Odontoid Fractures Hughston Clinic What Is A Dens Fx The odontoid process, known as the dens, is a bony element extending superiorly from the second cervical vertebra (c2, or the axis). Odontoid fractures are relatively common fractures of the c2 (axis) dens that can be seen in low energy falls in elderly patients. We will briefly explain what a den's fracture is, how an odontoid fracture is diagnosed, different. What Is A Dens Fx.
From www.globalradiologycme.com
Type 3 Dens Fracture What Is A Dens Fx The odontoid process, known as the dens, is a bony element extending superiorly from the second cervical vertebra (c2, or the axis). We will briefly explain what a den's fracture is, how an odontoid fracture is diagnosed, different ways to treat a den's fracture, and what are the. Odontoid fractures are relatively common fractures of the c2 (axis) dens that. What Is A Dens Fx.
From www.orthobullets.com
Odontoid Fracture Spine Orthobullets What Is A Dens Fx Odontoid fractures are relatively common fractures of the c2 (axis) dens that can be seen in low energy falls in elderly patients. Odontoid process fracture, also known as a peg or dens fracture, occurs where there is a fracture through the odontoid process. We will briefly explain what a den's fracture is, how an odontoid fracture is diagnosed, different ways. What Is A Dens Fx.
From ec2-52-62-202-235.ap-southeast-2.compute.amazonaws.com
Dens / Odontoid Fracture The Bone School What Is A Dens Fx The odontoid process, known as the dens, is a bony element extending superiorly from the second cervical vertebra (c2, or the axis). Odontoid fractures, also known as dens fractures or peg fractures, are a specific type of cervical spine fracture that involves the. We will briefly explain what a den's fracture is, how an odontoid fracture is diagnosed, different ways. What Is A Dens Fx.
From ar.inspiredpencil.com
Dens Fracture Ct What Is A Dens Fx Odontoid process fracture, also known as a peg or dens fracture, occurs where there is a fracture through the odontoid process. The odontoid process, known as the dens, is a bony element extending superiorly from the second cervical vertebra (c2, or the axis). Odontoid fractures are relatively common fractures of the c2 (axis) dens that can be seen in low. What Is A Dens Fx.
From anatomy.elpaso.ttuhsc.edu
Clinical Case Deep Back & Spinal Cord What Is A Dens Fx Odontoid fractures, also known as dens fractures or peg fractures, are a specific type of cervical spine fracture that involves the. The odontoid process, known as the dens, is a bony element extending superiorly from the second cervical vertebra (c2, or the axis). Odontoid process fracture, also known as a peg or dens fracture, occurs where there is a fracture. What Is A Dens Fx.
From step1.medbullets.com
Odontoid Fracture (Adult and Pediatric) Spine Medbullets Step 1 What Is A Dens Fx Odontoid fractures are relatively common fractures of the c2 (axis) dens that can be seen in low energy falls in elderly patients. The odontoid process, known as the dens, is a bony element extending superiorly from the second cervical vertebra (c2, or the axis). We will briefly explain what a den's fracture is, how an odontoid fracture is diagnosed, different. What Is A Dens Fx.
From www.slideserve.com
PPT CERVICAL SPINE INJURY PEDIATRICS PowerPoint Presentation, free What Is A Dens Fx Odontoid fractures, also known as dens fractures or peg fractures, are a specific type of cervical spine fracture that involves the. We will briefly explain what a den's fracture is, how an odontoid fracture is diagnosed, different ways to treat a den's fracture, and what are the. The odontoid process, known as the dens, is a bony element extending superiorly. What Is A Dens Fx.
From www.physio-pedia.com
Odontoid fractures Physiopedia What Is A Dens Fx The odontoid process, known as the dens, is a bony element extending superiorly from the second cervical vertebra (c2, or the axis). Odontoid fractures are relatively common fractures of the c2 (axis) dens that can be seen in low energy falls in elderly patients. Odontoid process fracture, also known as a peg or dens fracture, occurs where there is a. What Is A Dens Fx.
From www.globalradiologycme.com
Type 2 Dens Fracture What Is A Dens Fx The odontoid process, known as the dens, is a bony element extending superiorly from the second cervical vertebra (c2, or the axis). Odontoid fractures, also known as dens fractures or peg fractures, are a specific type of cervical spine fracture that involves the. We will briefly explain what a den's fracture is, how an odontoid fracture is diagnosed, different ways. What Is A Dens Fx.
From orthobullets.com
Odontoid Fracture Spine Orthobullets What Is A Dens Fx Odontoid process fracture, also known as a peg or dens fracture, occurs where there is a fracture through the odontoid process. Odontoid fractures, also known as dens fractures or peg fractures, are a specific type of cervical spine fracture that involves the. Odontoid fractures are relatively common fractures of the c2 (axis) dens that can be seen in low energy. What Is A Dens Fx.
From teachmeanatomy.info
The Cervical Spine Features Joints Ligaments TeachMeAnatomy What Is A Dens Fx Odontoid fractures are relatively common fractures of the c2 (axis) dens that can be seen in low energy falls in elderly patients. We will briefly explain what a den's fracture is, how an odontoid fracture is diagnosed, different ways to treat a den's fracture, and what are the. Odontoid process fracture, also known as a peg or dens fracture, occurs. What Is A Dens Fx.
From openi.nlm.nih.gov
Radiography showed dens fracture on C2 (type III hangma Openi What Is A Dens Fx Odontoid fractures, also known as dens fractures or peg fractures, are a specific type of cervical spine fracture that involves the. The odontoid process, known as the dens, is a bony element extending superiorly from the second cervical vertebra (c2, or the axis). We will briefly explain what a den's fracture is, how an odontoid fracture is diagnosed, different ways. What Is A Dens Fx.
From www.slideserve.com
PPT Traumatic Spine and Spinal Cord Injuries PowerPoint Presentation What Is A Dens Fx Odontoid fractures, also known as dens fractures or peg fractures, are a specific type of cervical spine fracture that involves the. We will briefly explain what a den's fracture is, how an odontoid fracture is diagnosed, different ways to treat a den's fracture, and what are the. The odontoid process, known as the dens, is a bony element extending superiorly. What Is A Dens Fx.
From www.youtube.com
Fracture of the dens (Odontoid process) Classification, clinical What Is A Dens Fx We will briefly explain what a den's fracture is, how an odontoid fracture is diagnosed, different ways to treat a den's fracture, and what are the. The odontoid process, known as the dens, is a bony element extending superiorly from the second cervical vertebra (c2, or the axis). Odontoid process fracture, also known as a peg or dens fracture, occurs. What Is A Dens Fx.
From hughston.com
Odontoid Fractures Hughston Clinic What Is A Dens Fx The odontoid process, known as the dens, is a bony element extending superiorly from the second cervical vertebra (c2, or the axis). We will briefly explain what a den's fracture is, how an odontoid fracture is diagnosed, different ways to treat a den's fracture, and what are the. Odontoid fractures are relatively common fractures of the c2 (axis) dens that. What Is A Dens Fx.
From www.physio-pedia.com
Odontoid fractures Physiopedia What Is A Dens Fx Odontoid fractures are relatively common fractures of the c2 (axis) dens that can be seen in low energy falls in elderly patients. Odontoid process fracture, also known as a peg or dens fracture, occurs where there is a fracture through the odontoid process. Odontoid fractures, also known as dens fractures or peg fractures, are a specific type of cervical spine. What Is A Dens Fx.
From www.boneschool.com
Dens / Odontoid Fracture The Bone School What Is A Dens Fx The odontoid process, known as the dens, is a bony element extending superiorly from the second cervical vertebra (c2, or the axis). Odontoid fractures are relatively common fractures of the c2 (axis) dens that can be seen in low energy falls in elderly patients. Odontoid process fracture, also known as a peg or dens fracture, occurs where there is a. What Is A Dens Fx.
From www.physio-pedia.com
Odontoid fractures Physiopedia What Is A Dens Fx We will briefly explain what a den's fracture is, how an odontoid fracture is diagnosed, different ways to treat a den's fracture, and what are the. The odontoid process, known as the dens, is a bony element extending superiorly from the second cervical vertebra (c2, or the axis). Odontoid process fracture, also known as a peg or dens fracture, occurs. What Is A Dens Fx.
From smartrad.blogspot.com
ShareMyRadiology 放射线学 Odontoid fracture What Is A Dens Fx Odontoid fractures are relatively common fractures of the c2 (axis) dens that can be seen in low energy falls in elderly patients. We will briefly explain what a den's fracture is, how an odontoid fracture is diagnosed, different ways to treat a den's fracture, and what are the. The odontoid process, known as the dens, is a bony element extending. What Is A Dens Fx.
From medapparatus.com
Medical Devices of the Neck and Spine an imaging guide What Is A Dens Fx The odontoid process, known as the dens, is a bony element extending superiorly from the second cervical vertebra (c2, or the axis). Odontoid fractures are relatively common fractures of the c2 (axis) dens that can be seen in low energy falls in elderly patients. Odontoid fractures, also known as dens fractures or peg fractures, are a specific type of cervical. What Is A Dens Fx.
From www.orthobullets.com
Odontoid Fracture Spine Orthobullets What Is A Dens Fx Odontoid fractures, also known as dens fractures or peg fractures, are a specific type of cervical spine fracture that involves the. The odontoid process, known as the dens, is a bony element extending superiorly from the second cervical vertebra (c2, or the axis). Odontoid process fracture, also known as a peg or dens fracture, occurs where there is a fracture. What Is A Dens Fx.
From www.shutterstock.com
Three Types Odontoid Fractures Fractures Axis Stock Illustration What Is A Dens Fx Odontoid fractures are relatively common fractures of the c2 (axis) dens that can be seen in low energy falls in elderly patients. The odontoid process, known as the dens, is a bony element extending superiorly from the second cervical vertebra (c2, or the axis). We will briefly explain what a den's fracture is, how an odontoid fracture is diagnosed, different. What Is A Dens Fx.
From sites.uw.edu
Anderson D’Alonzo Classification of Odontoid Fractures UW Emergency What Is A Dens Fx The odontoid process, known as the dens, is a bony element extending superiorly from the second cervical vertebra (c2, or the axis). We will briefly explain what a den's fracture is, how an odontoid fracture is diagnosed, different ways to treat a den's fracture, and what are the. Odontoid process fracture, also known as a peg or dens fracture, occurs. What Is A Dens Fx.