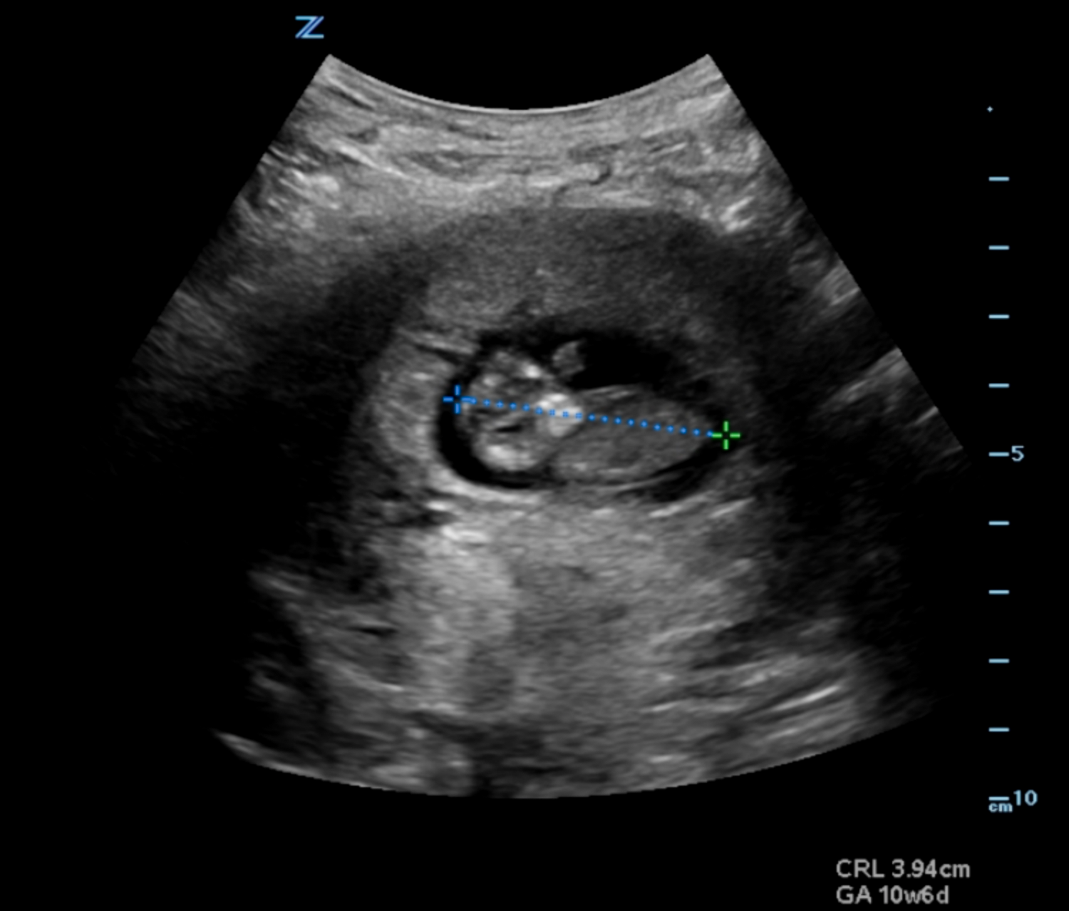
Crown Rump Length 10 Weeks . crown rump length (crl) on ultrasounds. calculates gestational age from crown rump length and expected nuchal translucency thickness. It is the most accurate estimation of gestational. in general, the crl measurement can range from 2 to 4 mm in the earliest stages of pregnancy, around 5 to 12 weeks. crown rump length (crl) is the length of the embryo or fetus from the top of its head to bottom of torso.
from healthjade.net
crown rump length (crl) is the length of the embryo or fetus from the top of its head to bottom of torso. crown rump length (crl) on ultrasounds. in general, the crl measurement can range from 2 to 4 mm in the earliest stages of pregnancy, around 5 to 12 weeks. It is the most accurate estimation of gestational. calculates gestational age from crown rump length and expected nuchal translucency thickness.
Crown rump length, crown rump length measurement & crown rump length
Crown Rump Length 10 Weeks calculates gestational age from crown rump length and expected nuchal translucency thickness. calculates gestational age from crown rump length and expected nuchal translucency thickness. crown rump length (crl) is the length of the embryo or fetus from the top of its head to bottom of torso. crown rump length (crl) on ultrasounds. in general, the crl measurement can range from 2 to 4 mm in the earliest stages of pregnancy, around 5 to 12 weeks. It is the most accurate estimation of gestational.
From www.youtube.com
How To Measure Crown Rump Length (CRL) On Ultrasound Intrauterine Crown Rump Length 10 Weeks crown rump length (crl) on ultrasounds. in general, the crl measurement can range from 2 to 4 mm in the earliest stages of pregnancy, around 5 to 12 weeks. crown rump length (crl) is the length of the embryo or fetus from the top of its head to bottom of torso. calculates gestational age from crown. Crown Rump Length 10 Weeks.
From www.momjunction.com
How To Measure CrownRump Length (CRL) In Pregnancy? Crown Rump Length 10 Weeks It is the most accurate estimation of gestational. calculates gestational age from crown rump length and expected nuchal translucency thickness. crown rump length (crl) on ultrasounds. in general, the crl measurement can range from 2 to 4 mm in the earliest stages of pregnancy, around 5 to 12 weeks. crown rump length (crl) is the length. Crown Rump Length 10 Weeks.
From www.omicsonline.org
Intraobserver variability in crown rump. Crown Rump Length 10 Weeks crown rump length (crl) is the length of the embryo or fetus from the top of its head to bottom of torso. It is the most accurate estimation of gestational. calculates gestational age from crown rump length and expected nuchal translucency thickness. in general, the crl measurement can range from 2 to 4 mm in the earliest. Crown Rump Length 10 Weeks.
From www.researchgate.net
The ganglion cardiacum at gesta tional age 10 weeks (crownrump length Crown Rump Length 10 Weeks crown rump length (crl) on ultrasounds. in general, the crl measurement can range from 2 to 4 mm in the earliest stages of pregnancy, around 5 to 12 weeks. crown rump length (crl) is the length of the embryo or fetus from the top of its head to bottom of torso. It is the most accurate estimation. Crown Rump Length 10 Weeks.
From www.acep.org
Sonoguide // Early Pregnancy Crown Rump Length 10 Weeks It is the most accurate estimation of gestational. crown rump length (crl) is the length of the embryo or fetus from the top of its head to bottom of torso. calculates gestational age from crown rump length and expected nuchal translucency thickness. in general, the crl measurement can range from 2 to 4 mm in the earliest. Crown Rump Length 10 Weeks.
From www.slideserve.com
PPT HUMAN EMBRYONIC PERIOD PowerPoint Presentation ID5299695 Crown Rump Length 10 Weeks It is the most accurate estimation of gestational. in general, the crl measurement can range from 2 to 4 mm in the earliest stages of pregnancy, around 5 to 12 weeks. calculates gestational age from crown rump length and expected nuchal translucency thickness. crown rump length (crl) is the length of the embryo or fetus from the. Crown Rump Length 10 Weeks.
From www.dsjuog.com
Normal Nuchal Translucency with Septations at Crownrump Length below 45 mm Crown Rump Length 10 Weeks in general, the crl measurement can range from 2 to 4 mm in the earliest stages of pregnancy, around 5 to 12 weeks. crown rump length (crl) on ultrasounds. crown rump length (crl) is the length of the embryo or fetus from the top of its head to bottom of torso. It is the most accurate estimation. Crown Rump Length 10 Weeks.
From embryology.med.unsw.edu.au
CrownRump Length Embryology Crown Rump Length 10 Weeks calculates gestational age from crown rump length and expected nuchal translucency thickness. It is the most accurate estimation of gestational. crown rump length (crl) is the length of the embryo or fetus from the top of its head to bottom of torso. crown rump length (crl) on ultrasounds. in general, the crl measurement can range from. Crown Rump Length 10 Weeks.
From www.researchgate.net
a) Sagittal section of the fetus, crownrump length measurement Crown Rump Length 10 Weeks crown rump length (crl) on ultrasounds. calculates gestational age from crown rump length and expected nuchal translucency thickness. It is the most accurate estimation of gestational. crown rump length (crl) is the length of the embryo or fetus from the top of its head to bottom of torso. in general, the crl measurement can range from. Crown Rump Length 10 Weeks.
From telegra.ph
Crown Rump Length Dating Table Telegraph Crown Rump Length 10 Weeks calculates gestational age from crown rump length and expected nuchal translucency thickness. It is the most accurate estimation of gestational. in general, the crl measurement can range from 2 to 4 mm in the earliest stages of pregnancy, around 5 to 12 weeks. crown rump length (crl) on ultrasounds. crown rump length (crl) is the length. Crown Rump Length 10 Weeks.
From obgyn.onlinelibrary.wiley.com
Crownrump length measurement a new age for first‐trimester ultrasound Crown Rump Length 10 Weeks crown rump length (crl) is the length of the embryo or fetus from the top of its head to bottom of torso. It is the most accurate estimation of gestational. calculates gestational age from crown rump length and expected nuchal translucency thickness. in general, the crl measurement can range from 2 to 4 mm in the earliest. Crown Rump Length 10 Weeks.
From www.facebook.com
10 week fetus on ultrasound Pregnancy Ultrasound Series 🤰🏽 this is Crown Rump Length 10 Weeks in general, the crl measurement can range from 2 to 4 mm in the earliest stages of pregnancy, around 5 to 12 weeks. crown rump length (crl) on ultrasounds. calculates gestational age from crown rump length and expected nuchal translucency thickness. It is the most accurate estimation of gestational. crown rump length (crl) is the length. Crown Rump Length 10 Weeks.
From www.slideserve.com
PPT First Trimester Ultrasound PowerPoint Presentation, free download Crown Rump Length 10 Weeks crown rump length (crl) on ultrasounds. It is the most accurate estimation of gestational. calculates gestational age from crown rump length and expected nuchal translucency thickness. crown rump length (crl) is the length of the embryo or fetus from the top of its head to bottom of torso. in general, the crl measurement can range from. Crown Rump Length 10 Weeks.
From www.ansc.purdue.edu
Using Crown Rump Length to Determine Fetal Age Crown Rump Length 10 Weeks It is the most accurate estimation of gestational. calculates gestational age from crown rump length and expected nuchal translucency thickness. in general, the crl measurement can range from 2 to 4 mm in the earliest stages of pregnancy, around 5 to 12 weeks. crown rump length (crl) on ultrasounds. crown rump length (crl) is the length. Crown Rump Length 10 Weeks.
From informacionpublica.svet.gob.gt
Crown Rump Length Chart Fetal Ultrasound Measurements Crown Rump Length 10 Weeks It is the most accurate estimation of gestational. calculates gestational age from crown rump length and expected nuchal translucency thickness. crown rump length (crl) is the length of the embryo or fetus from the top of its head to bottom of torso. crown rump length (crl) on ultrasounds. in general, the crl measurement can range from. Crown Rump Length 10 Weeks.
From www.ajog.org
Quality of firsttrimester measurement of crownrump length American Crown Rump Length 10 Weeks in general, the crl measurement can range from 2 to 4 mm in the earliest stages of pregnancy, around 5 to 12 weeks. crown rump length (crl) is the length of the embryo or fetus from the top of its head to bottom of torso. calculates gestational age from crown rump length and expected nuchal translucency thickness.. Crown Rump Length 10 Weeks.
From www.statpearls.com
Sonography Assessment Of Gestational Age Article Crown Rump Length 10 Weeks It is the most accurate estimation of gestational. crown rump length (crl) on ultrasounds. calculates gestational age from crown rump length and expected nuchal translucency thickness. in general, the crl measurement can range from 2 to 4 mm in the earliest stages of pregnancy, around 5 to 12 weeks. crown rump length (crl) is the length. Crown Rump Length 10 Weeks.
From www.researchgate.net
Measuring of crownrump length of fetus using a slide calipers Crown Rump Length 10 Weeks in general, the crl measurement can range from 2 to 4 mm in the earliest stages of pregnancy, around 5 to 12 weeks. crown rump length (crl) is the length of the embryo or fetus from the top of its head to bottom of torso. calculates gestational age from crown rump length and expected nuchal translucency thickness.. Crown Rump Length 10 Weeks.
From www.templateroller.com
Crown Rump Length (Crl) Chart Download Printable PDF Templateroller Crown Rump Length 10 Weeks calculates gestational age from crown rump length and expected nuchal translucency thickness. in general, the crl measurement can range from 2 to 4 mm in the earliest stages of pregnancy, around 5 to 12 weeks. It is the most accurate estimation of gestational. crown rump length (crl) on ultrasounds. crown rump length (crl) is the length. Crown Rump Length 10 Weeks.
From www.youtube.com
CrownRump Length Measurement in Sonography YouTube Crown Rump Length 10 Weeks calculates gestational age from crown rump length and expected nuchal translucency thickness. It is the most accurate estimation of gestational. crown rump length (crl) is the length of the embryo or fetus from the top of its head to bottom of torso. in general, the crl measurement can range from 2 to 4 mm in the earliest. Crown Rump Length 10 Weeks.
From telegra.ph
Crown Rump Length Dating Table Telegraph Crown Rump Length 10 Weeks calculates gestational age from crown rump length and expected nuchal translucency thickness. crown rump length (crl) is the length of the embryo or fetus from the top of its head to bottom of torso. It is the most accurate estimation of gestational. in general, the crl measurement can range from 2 to 4 mm in the earliest. Crown Rump Length 10 Weeks.
From www.researchgate.net
Relation between fetal age, crownrump length, head width and head Crown Rump Length 10 Weeks crown rump length (crl) on ultrasounds. crown rump length (crl) is the length of the embryo or fetus from the top of its head to bottom of torso. calculates gestational age from crown rump length and expected nuchal translucency thickness. in general, the crl measurement can range from 2 to 4 mm in the earliest stages. Crown Rump Length 10 Weeks.
From www.youtube.com
10 weeks fetus ultrasound. CRL measured. Detailed view. Head, body Crown Rump Length 10 Weeks crown rump length (crl) is the length of the embryo or fetus from the top of its head to bottom of torso. calculates gestational age from crown rump length and expected nuchal translucency thickness. in general, the crl measurement can range from 2 to 4 mm in the earliest stages of pregnancy, around 5 to 12 weeks.. Crown Rump Length 10 Weeks.
From obgyn.onlinelibrary.wiley.com
New crownrump length curve based on over 3500 pregnancies Pexsters Crown Rump Length 10 Weeks crown rump length (crl) on ultrasounds. in general, the crl measurement can range from 2 to 4 mm in the earliest stages of pregnancy, around 5 to 12 weeks. calculates gestational age from crown rump length and expected nuchal translucency thickness. It is the most accurate estimation of gestational. crown rump length (crl) is the length. Crown Rump Length 10 Weeks.
From mylofamily.com
Crown Rump Length CRL in Pregnancy Meaning, Uses & Measurements Crown Rump Length 10 Weeks in general, the crl measurement can range from 2 to 4 mm in the earliest stages of pregnancy, around 5 to 12 weeks. It is the most accurate estimation of gestational. crown rump length (crl) on ultrasounds. calculates gestational age from crown rump length and expected nuchal translucency thickness. crown rump length (crl) is the length. Crown Rump Length 10 Weeks.
From www.momjunction.com
How To Measure CrownRump Length (CRL) In Pregnancy? MomJunction Crown Rump Length 10 Weeks crown rump length (crl) is the length of the embryo or fetus from the top of its head to bottom of torso. It is the most accurate estimation of gestational. crown rump length (crl) on ultrasounds. calculates gestational age from crown rump length and expected nuchal translucency thickness. in general, the crl measurement can range from. Crown Rump Length 10 Weeks.
From teachmeobgyn.com
The Obstetric History OSCE Gravidity Parity TeachMeObGyn Crown Rump Length 10 Weeks in general, the crl measurement can range from 2 to 4 mm in the earliest stages of pregnancy, around 5 to 12 weeks. crown rump length (crl) is the length of the embryo or fetus from the top of its head to bottom of torso. calculates gestational age from crown rump length and expected nuchal translucency thickness.. Crown Rump Length 10 Weeks.
From healthjade.net
Crown rump length, crown rump length measurement & crown rump length Crown Rump Length 10 Weeks in general, the crl measurement can range from 2 to 4 mm in the earliest stages of pregnancy, around 5 to 12 weeks. calculates gestational age from crown rump length and expected nuchal translucency thickness. It is the most accurate estimation of gestational. crown rump length (crl) is the length of the embryo or fetus from the. Crown Rump Length 10 Weeks.
From www.momjunction.com
Crown Rump Length Chart And Measurement Crown Rump Length 10 Weeks crown rump length (crl) is the length of the embryo or fetus from the top of its head to bottom of torso. in general, the crl measurement can range from 2 to 4 mm in the earliest stages of pregnancy, around 5 to 12 weeks. It is the most accurate estimation of gestational. crown rump length (crl). Crown Rump Length 10 Weeks.
From www.youtube.com
Ultrasound Correct Crown Rump Length (CRL) measurement YouTube Crown Rump Length 10 Weeks crown rump length (crl) is the length of the embryo or fetus from the top of its head to bottom of torso. calculates gestational age from crown rump length and expected nuchal translucency thickness. crown rump length (crl) on ultrasounds. in general, the crl measurement can range from 2 to 4 mm in the earliest stages. Crown Rump Length 10 Weeks.
From hkog-info.com
Developmental milestones HKOGINFO Crown Rump Length 10 Weeks crown rump length (crl) is the length of the embryo or fetus from the top of its head to bottom of torso. It is the most accurate estimation of gestational. calculates gestational age from crown rump length and expected nuchal translucency thickness. in general, the crl measurement can range from 2 to 4 mm in the earliest. Crown Rump Length 10 Weeks.
From www.researchgate.net
The ganglion cardiacum at gesta tional age 10 weeks (crownrump length Crown Rump Length 10 Weeks It is the most accurate estimation of gestational. in general, the crl measurement can range from 2 to 4 mm in the earliest stages of pregnancy, around 5 to 12 weeks. crown rump length (crl) is the length of the embryo or fetus from the top of its head to bottom of torso. calculates gestational age from. Crown Rump Length 10 Weeks.
From hkog-info.com
Developmental milestones HKOGINFO Crown Rump Length 10 Weeks It is the most accurate estimation of gestational. crown rump length (crl) on ultrasounds. crown rump length (crl) is the length of the embryo or fetus from the top of its head to bottom of torso. in general, the crl measurement can range from 2 to 4 mm in the earliest stages of pregnancy, around 5 to. Crown Rump Length 10 Weeks.
From embryology.med.unsw.edu.au
CrownRump Length Embryology Crown Rump Length 10 Weeks in general, the crl measurement can range from 2 to 4 mm in the earliest stages of pregnancy, around 5 to 12 weeks. calculates gestational age from crown rump length and expected nuchal translucency thickness. crown rump length (crl) is the length of the embryo or fetus from the top of its head to bottom of torso.. Crown Rump Length 10 Weeks.
From healthjade.net
Crown rump length, crown rump length measurement & crown rump length Crown Rump Length 10 Weeks crown rump length (crl) is the length of the embryo or fetus from the top of its head to bottom of torso. crown rump length (crl) on ultrasounds. It is the most accurate estimation of gestational. calculates gestational age from crown rump length and expected nuchal translucency thickness. in general, the crl measurement can range from. Crown Rump Length 10 Weeks.