Screening Or Diagnostic Mammogram After Lumpectomy . among 707 women who were recommended to undergo annual diagnostic mammography (dm) surveillance after. “after a lumpectomy, your mammogram screenings will take place as usual. among 707 women who were recommended to undergo annual diagnostic mammography (dm) surveillance after lumpectomy for. you may still need mammograms and other breast cancer screening after lumpectomy, mastectomy, or breast reconstruction. Your doctor may ask for extra diagnostic views of.
from radiologykey.com
you may still need mammograms and other breast cancer screening after lumpectomy, mastectomy, or breast reconstruction. among 707 women who were recommended to undergo annual diagnostic mammography (dm) surveillance after lumpectomy for. among 707 women who were recommended to undergo annual diagnostic mammography (dm) surveillance after. “after a lumpectomy, your mammogram screenings will take place as usual. Your doctor may ask for extra diagnostic views of.
Mammographic and UltrasoundGuided Breast Biopsy Procedures Radiology Key
Screening Or Diagnostic Mammogram After Lumpectomy among 707 women who were recommended to undergo annual diagnostic mammography (dm) surveillance after lumpectomy for. you may still need mammograms and other breast cancer screening after lumpectomy, mastectomy, or breast reconstruction. “after a lumpectomy, your mammogram screenings will take place as usual. among 707 women who were recommended to undergo annual diagnostic mammography (dm) surveillance after. Your doctor may ask for extra diagnostic views of. among 707 women who were recommended to undergo annual diagnostic mammography (dm) surveillance after lumpectomy for.
From healthjade.com
Mammogram Screening, Diagnostic, 3d Guidelines & Age Screening Or Diagnostic Mammogram After Lumpectomy Your doctor may ask for extra diagnostic views of. “after a lumpectomy, your mammogram screenings will take place as usual. among 707 women who were recommended to undergo annual diagnostic mammography (dm) surveillance after lumpectomy for. among 707 women who were recommended to undergo annual diagnostic mammography (dm) surveillance after. you may still need mammograms and. Screening Or Diagnostic Mammogram After Lumpectomy.
From www.cancer.gov
Breast Cancer Screening NCI Screening Or Diagnostic Mammogram After Lumpectomy among 707 women who were recommended to undergo annual diagnostic mammography (dm) surveillance after. “after a lumpectomy, your mammogram screenings will take place as usual. you may still need mammograms and other breast cancer screening after lumpectomy, mastectomy, or breast reconstruction. Your doctor may ask for extra diagnostic views of. among 707 women who were recommended. Screening Or Diagnostic Mammogram After Lumpectomy.
From www.bmhsc.org
Screening vs. Diagnostic Mammograms What’s the Difference? Screening Or Diagnostic Mammogram After Lumpectomy among 707 women who were recommended to undergo annual diagnostic mammography (dm) surveillance after lumpectomy for. you may still need mammograms and other breast cancer screening after lumpectomy, mastectomy, or breast reconstruction. among 707 women who were recommended to undergo annual diagnostic mammography (dm) surveillance after. “after a lumpectomy, your mammogram screenings will take place as. Screening Or Diagnostic Mammogram After Lumpectomy.
From www.beaumont.org
The Differences Between Screening and Diagnostic Mammograms Corewell Screening Or Diagnostic Mammogram After Lumpectomy “after a lumpectomy, your mammogram screenings will take place as usual. among 707 women who were recommended to undergo annual diagnostic mammography (dm) surveillance after. you may still need mammograms and other breast cancer screening after lumpectomy, mastectomy, or breast reconstruction. Your doctor may ask for extra diagnostic views of. among 707 women who were recommended. Screening Or Diagnostic Mammogram After Lumpectomy.
From www.mercyone.org
Mammograms Diagnostic vs. Screening Screening Or Diagnostic Mammogram After Lumpectomy Your doctor may ask for extra diagnostic views of. you may still need mammograms and other breast cancer screening after lumpectomy, mastectomy, or breast reconstruction. “after a lumpectomy, your mammogram screenings will take place as usual. among 707 women who were recommended to undergo annual diagnostic mammography (dm) surveillance after lumpectomy for. among 707 women who. Screening Or Diagnostic Mammogram After Lumpectomy.
From radiologykey.com
Mammographic and UltrasoundGuided Breast Biopsy Procedures Radiology Key Screening Or Diagnostic Mammogram After Lumpectomy you may still need mammograms and other breast cancer screening after lumpectomy, mastectomy, or breast reconstruction. among 707 women who were recommended to undergo annual diagnostic mammography (dm) surveillance after lumpectomy for. among 707 women who were recommended to undergo annual diagnostic mammography (dm) surveillance after. “after a lumpectomy, your mammogram screenings will take place as. Screening Or Diagnostic Mammogram After Lumpectomy.
From www.researchgate.net
Spot compression diagnostic mammogram (MLO view) at the time of Screening Or Diagnostic Mammogram After Lumpectomy among 707 women who were recommended to undergo annual diagnostic mammography (dm) surveillance after. among 707 women who were recommended to undergo annual diagnostic mammography (dm) surveillance after lumpectomy for. “after a lumpectomy, your mammogram screenings will take place as usual. Your doctor may ask for extra diagnostic views of. you may still need mammograms and. Screening Or Diagnostic Mammogram After Lumpectomy.
From radiologykey.com
Screening Mammography 101 and Beyond Radiology Key Screening Or Diagnostic Mammogram After Lumpectomy you may still need mammograms and other breast cancer screening after lumpectomy, mastectomy, or breast reconstruction. among 707 women who were recommended to undergo annual diagnostic mammography (dm) surveillance after. Your doctor may ask for extra diagnostic views of. among 707 women who were recommended to undergo annual diagnostic mammography (dm) surveillance after lumpectomy for. “after. Screening Or Diagnostic Mammogram After Lumpectomy.
From reference.medscape.com
Mammography Screening Guidelines Screening Or Diagnostic Mammogram After Lumpectomy “after a lumpectomy, your mammogram screenings will take place as usual. among 707 women who were recommended to undergo annual diagnostic mammography (dm) surveillance after lumpectomy for. Your doctor may ask for extra diagnostic views of. you may still need mammograms and other breast cancer screening after lumpectomy, mastectomy, or breast reconstruction. among 707 women who. Screening Or Diagnostic Mammogram After Lumpectomy.
From www.slideserve.com
PPT BREAST CANCER UPDATE DETECTION TO DIAGNOSIS PowerPoint Screening Or Diagnostic Mammogram After Lumpectomy “after a lumpectomy, your mammogram screenings will take place as usual. among 707 women who were recommended to undergo annual diagnostic mammography (dm) surveillance after lumpectomy for. you may still need mammograms and other breast cancer screening after lumpectomy, mastectomy, or breast reconstruction. Your doctor may ask for extra diagnostic views of. among 707 women who. Screening Or Diagnostic Mammogram After Lumpectomy.
From www.houstonmethodist.org
Differences Between Screening Versus Diagnostic Mammogram On Health Screening Or Diagnostic Mammogram After Lumpectomy “after a lumpectomy, your mammogram screenings will take place as usual. among 707 women who were recommended to undergo annual diagnostic mammography (dm) surveillance after. you may still need mammograms and other breast cancer screening after lumpectomy, mastectomy, or breast reconstruction. Your doctor may ask for extra diagnostic views of. among 707 women who were recommended. Screening Or Diagnostic Mammogram After Lumpectomy.
From www.researchgate.net
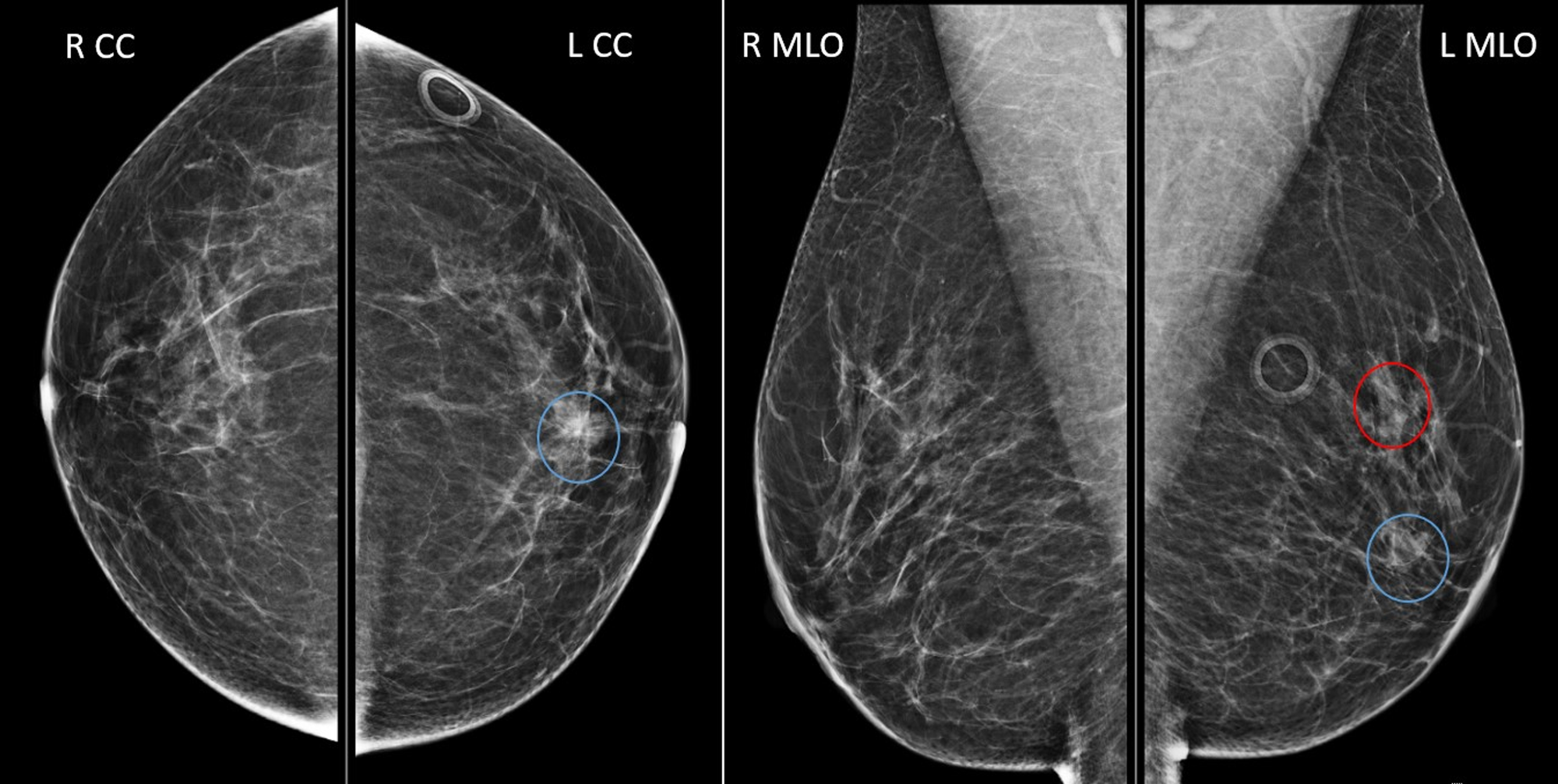
A 31yearold female came followup after right breast lumpectomy. a CC Screening Or Diagnostic Mammogram After Lumpectomy among 707 women who were recommended to undergo annual diagnostic mammography (dm) surveillance after lumpectomy for. “after a lumpectomy, your mammogram screenings will take place as usual. among 707 women who were recommended to undergo annual diagnostic mammography (dm) surveillance after. you may still need mammograms and other breast cancer screening after lumpectomy, mastectomy, or breast. Screening Or Diagnostic Mammogram After Lumpectomy.
From 30seconds.com
Breast Cancer Screenings A StepbyStep Guide to Having a Mammogram Screening Or Diagnostic Mammogram After Lumpectomy Your doctor may ask for extra diagnostic views of. “after a lumpectomy, your mammogram screenings will take place as usual. you may still need mammograms and other breast cancer screening after lumpectomy, mastectomy, or breast reconstruction. among 707 women who were recommended to undergo annual diagnostic mammography (dm) surveillance after. among 707 women who were recommended. Screening Or Diagnostic Mammogram After Lumpectomy.
From martlabpro.com
Diagnostic Mammogram Vs Screening MartLabPro Screening Or Diagnostic Mammogram After Lumpectomy Your doctor may ask for extra diagnostic views of. “after a lumpectomy, your mammogram screenings will take place as usual. among 707 women who were recommended to undergo annual diagnostic mammography (dm) surveillance after lumpectomy for. among 707 women who were recommended to undergo annual diagnostic mammography (dm) surveillance after. you may still need mammograms and. Screening Or Diagnostic Mammogram After Lumpectomy.
From scmh.org
Diagnostic Mammogram Schoolcraft Memorial Hospital Screening Or Diagnostic Mammogram After Lumpectomy among 707 women who were recommended to undergo annual diagnostic mammography (dm) surveillance after. you may still need mammograms and other breast cancer screening after lumpectomy, mastectomy, or breast reconstruction. among 707 women who were recommended to undergo annual diagnostic mammography (dm) surveillance after lumpectomy for. “after a lumpectomy, your mammogram screenings will take place as. Screening Or Diagnostic Mammogram After Lumpectomy.
From www.floridamedicalclinic.com
Screening vs Diagnostic Mammogram What's the Difference? Screening Or Diagnostic Mammogram After Lumpectomy among 707 women who were recommended to undergo annual diagnostic mammography (dm) surveillance after lumpectomy for. Your doctor may ask for extra diagnostic views of. you may still need mammograms and other breast cancer screening after lumpectomy, mastectomy, or breast reconstruction. “after a lumpectomy, your mammogram screenings will take place as usual. among 707 women who. Screening Or Diagnostic Mammogram After Lumpectomy.
From www.democratandchronicle.com
Different reasons for screening, diagnostic mammograms Screening Or Diagnostic Mammogram After Lumpectomy you may still need mammograms and other breast cancer screening after lumpectomy, mastectomy, or breast reconstruction. Your doctor may ask for extra diagnostic views of. among 707 women who were recommended to undergo annual diagnostic mammography (dm) surveillance after. “after a lumpectomy, your mammogram screenings will take place as usual. among 707 women who were recommended. Screening Or Diagnostic Mammogram After Lumpectomy.
From reference.medscape.com
Mammography Screening Guidelines Screening Or Diagnostic Mammogram After Lumpectomy among 707 women who were recommended to undergo annual diagnostic mammography (dm) surveillance after lumpectomy for. “after a lumpectomy, your mammogram screenings will take place as usual. you may still need mammograms and other breast cancer screening after lumpectomy, mastectomy, or breast reconstruction. among 707 women who were recommended to undergo annual diagnostic mammography (dm) surveillance. Screening Or Diagnostic Mammogram After Lumpectomy.
From www.pbmchealth.org
Screening Mammogram vs. Diagnostic Mammogram Screening Or Diagnostic Mammogram After Lumpectomy among 707 women who were recommended to undergo annual diagnostic mammography (dm) surveillance after. Your doctor may ask for extra diagnostic views of. you may still need mammograms and other breast cancer screening after lumpectomy, mastectomy, or breast reconstruction. “after a lumpectomy, your mammogram screenings will take place as usual. among 707 women who were recommended. Screening Or Diagnostic Mammogram After Lumpectomy.
From www.toplinemd.com
What to Expect During and After Lumpectomy Surgery Breast Care Center Screening Or Diagnostic Mammogram After Lumpectomy Your doctor may ask for extra diagnostic views of. among 707 women who were recommended to undergo annual diagnostic mammography (dm) surveillance after lumpectomy for. among 707 women who were recommended to undergo annual diagnostic mammography (dm) surveillance after. “after a lumpectomy, your mammogram screenings will take place as usual. you may still need mammograms and. Screening Or Diagnostic Mammogram After Lumpectomy.
From www.primeimaging.com
Mammography — PrimeImaging Screening Or Diagnostic Mammogram After Lumpectomy among 707 women who were recommended to undergo annual diagnostic mammography (dm) surveillance after. “after a lumpectomy, your mammogram screenings will take place as usual. among 707 women who were recommended to undergo annual diagnostic mammography (dm) surveillance after lumpectomy for. Your doctor may ask for extra diagnostic views of. you may still need mammograms and. Screening Or Diagnostic Mammogram After Lumpectomy.
From reference.medscape.com
Mammography Screening Guidelines Screening Or Diagnostic Mammogram After Lumpectomy you may still need mammograms and other breast cancer screening after lumpectomy, mastectomy, or breast reconstruction. among 707 women who were recommended to undergo annual diagnostic mammography (dm) surveillance after lumpectomy for. among 707 women who were recommended to undergo annual diagnostic mammography (dm) surveillance after. Your doctor may ask for extra diagnostic views of. “after. Screening Or Diagnostic Mammogram After Lumpectomy.
From www.cureus.com
Cureus Successful Lumpectomy in a Patient With Multicentric Breast Cancer Screening Or Diagnostic Mammogram After Lumpectomy “after a lumpectomy, your mammogram screenings will take place as usual. Your doctor may ask for extra diagnostic views of. among 707 women who were recommended to undergo annual diagnostic mammography (dm) surveillance after. you may still need mammograms and other breast cancer screening after lumpectomy, mastectomy, or breast reconstruction. among 707 women who were recommended. Screening Or Diagnostic Mammogram After Lumpectomy.
From www.spandidos-publications.com
Comparison of mammography and ultrasound in detecting residual disease Screening Or Diagnostic Mammogram After Lumpectomy you may still need mammograms and other breast cancer screening after lumpectomy, mastectomy, or breast reconstruction. Your doctor may ask for extra diagnostic views of. among 707 women who were recommended to undergo annual diagnostic mammography (dm) surveillance after lumpectomy for. among 707 women who were recommended to undergo annual diagnostic mammography (dm) surveillance after. “after. Screening Or Diagnostic Mammogram After Lumpectomy.
From www.ccjm.org
Breast cancer screening Does tomosynthesis augment mammography Screening Or Diagnostic Mammogram After Lumpectomy “after a lumpectomy, your mammogram screenings will take place as usual. Your doctor may ask for extra diagnostic views of. among 707 women who were recommended to undergo annual diagnostic mammography (dm) surveillance after lumpectomy for. among 707 women who were recommended to undergo annual diagnostic mammography (dm) surveillance after. you may still need mammograms and. Screening Or Diagnostic Mammogram After Lumpectomy.
From mana.md
Diagnostic Mammography Medical Associates of Northwest Arkansas Screening Or Diagnostic Mammogram After Lumpectomy you may still need mammograms and other breast cancer screening after lumpectomy, mastectomy, or breast reconstruction. among 707 women who were recommended to undergo annual diagnostic mammography (dm) surveillance after. “after a lumpectomy, your mammogram screenings will take place as usual. Your doctor may ask for extra diagnostic views of. among 707 women who were recommended. Screening Or Diagnostic Mammogram After Lumpectomy.
From www.cbc.ca
Radiotherapy after lumpectomy has breast cancer benefits Health CBC Screening Or Diagnostic Mammogram After Lumpectomy “after a lumpectomy, your mammogram screenings will take place as usual. you may still need mammograms and other breast cancer screening after lumpectomy, mastectomy, or breast reconstruction. among 707 women who were recommended to undergo annual diagnostic mammography (dm) surveillance after. among 707 women who were recommended to undergo annual diagnostic mammography (dm) surveillance after lumpectomy. Screening Or Diagnostic Mammogram After Lumpectomy.
From healthjade.com
Mammogram Screening, Diagnostic, 3d Guidelines & Age Screening Or Diagnostic Mammogram After Lumpectomy “after a lumpectomy, your mammogram screenings will take place as usual. Your doctor may ask for extra diagnostic views of. you may still need mammograms and other breast cancer screening after lumpectomy, mastectomy, or breast reconstruction. among 707 women who were recommended to undergo annual diagnostic mammography (dm) surveillance after. among 707 women who were recommended. Screening Or Diagnostic Mammogram After Lumpectomy.
From www.frontiersin.org
Frontiers Multimodality imaging in lobular breast cancer Differences Screening Or Diagnostic Mammogram After Lumpectomy among 707 women who were recommended to undergo annual diagnostic mammography (dm) surveillance after lumpectomy for. among 707 women who were recommended to undergo annual diagnostic mammography (dm) surveillance after. Your doctor may ask for extra diagnostic views of. “after a lumpectomy, your mammogram screenings will take place as usual. you may still need mammograms and. Screening Or Diagnostic Mammogram After Lumpectomy.
From shareing-careing.org
Mammogram Facts & Frequently Asked Questions SHAREing & CAREing Screening Or Diagnostic Mammogram After Lumpectomy “after a lumpectomy, your mammogram screenings will take place as usual. Your doctor may ask for extra diagnostic views of. among 707 women who were recommended to undergo annual diagnostic mammography (dm) surveillance after. among 707 women who were recommended to undergo annual diagnostic mammography (dm) surveillance after lumpectomy for. you may still need mammograms and. Screening Or Diagnostic Mammogram After Lumpectomy.
From www.mammoguide.com
MAMMOGUIDE Learn Breast Imaging Cases Screening Or Diagnostic Mammogram After Lumpectomy “after a lumpectomy, your mammogram screenings will take place as usual. you may still need mammograms and other breast cancer screening after lumpectomy, mastectomy, or breast reconstruction. among 707 women who were recommended to undergo annual diagnostic mammography (dm) surveillance after lumpectomy for. Your doctor may ask for extra diagnostic views of. among 707 women who. Screening Or Diagnostic Mammogram After Lumpectomy.
From engiomed.ae
Mammogram Screening Engiomed Medical Equipment Trading L.L.C. Screening Or Diagnostic Mammogram After Lumpectomy “after a lumpectomy, your mammogram screenings will take place as usual. you may still need mammograms and other breast cancer screening after lumpectomy, mastectomy, or breast reconstruction. among 707 women who were recommended to undergo annual diagnostic mammography (dm) surveillance after lumpectomy for. Your doctor may ask for extra diagnostic views of. among 707 women who. Screening Or Diagnostic Mammogram After Lumpectomy.
From www.researchgate.net
Percentages of women who reported a cancer diagnosis after a lumpectomy Screening Or Diagnostic Mammogram After Lumpectomy among 707 women who were recommended to undergo annual diagnostic mammography (dm) surveillance after lumpectomy for. “after a lumpectomy, your mammogram screenings will take place as usual. Your doctor may ask for extra diagnostic views of. among 707 women who were recommended to undergo annual diagnostic mammography (dm) surveillance after. you may still need mammograms and. Screening Or Diagnostic Mammogram After Lumpectomy.
From www.healthywomen.org
Update on Mammogram Screening Guidelines HealthyWomen Screening Or Diagnostic Mammogram After Lumpectomy among 707 women who were recommended to undergo annual diagnostic mammography (dm) surveillance after lumpectomy for. “after a lumpectomy, your mammogram screenings will take place as usual. Your doctor may ask for extra diagnostic views of. you may still need mammograms and other breast cancer screening after lumpectomy, mastectomy, or breast reconstruction. among 707 women who. Screening Or Diagnostic Mammogram After Lumpectomy.
From newsus.cgtn.com
New guidelines drop mammograms screening age from 50 to 40 CGTN Screening Or Diagnostic Mammogram After Lumpectomy Your doctor may ask for extra diagnostic views of. you may still need mammograms and other breast cancer screening after lumpectomy, mastectomy, or breast reconstruction. “after a lumpectomy, your mammogram screenings will take place as usual. among 707 women who were recommended to undergo annual diagnostic mammography (dm) surveillance after lumpectomy for. among 707 women who. Screening Or Diagnostic Mammogram After Lumpectomy.