Laminate Veneer Porcelain . However, they do require the natural teeth to be shaved down before they are attached. porcelain laminate veneers are known for being the most biocompatible and will rarely cause any damage or irritation to the surrounding gum tissue. porcelain veneers are sometimes referred to as instant orthodontics because of how quickly they. They are also usually more expensive than porcelain veneers. Chips and cracks — veneers provide a flawless new surface, concealing minor imperfections caused by everyday wear and tear. This lets them hide different kinds of cosmetic concerns, such as: while laminates are only as thick as a contact lens and a thinner alternative to porcelain veneers, they can be bulky on the teeth when they are placed without altering the tooth. A laminate veneer is a porcelain dental appliance bonded to the front surface of an anterior tooth to. what are porcelain veneers?
from
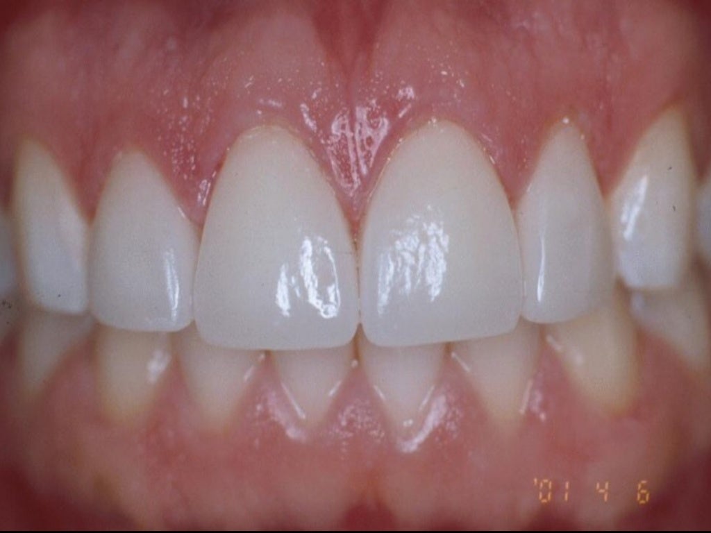
what are porcelain veneers? They are also usually more expensive than porcelain veneers. A laminate veneer is a porcelain dental appliance bonded to the front surface of an anterior tooth to. porcelain laminate veneers are known for being the most biocompatible and will rarely cause any damage or irritation to the surrounding gum tissue. This lets them hide different kinds of cosmetic concerns, such as: Chips and cracks — veneers provide a flawless new surface, concealing minor imperfections caused by everyday wear and tear. while laminates are only as thick as a contact lens and a thinner alternative to porcelain veneers, they can be bulky on the teeth when they are placed without altering the tooth. porcelain veneers are sometimes referred to as instant orthodontics because of how quickly they. However, they do require the natural teeth to be shaved down before they are attached.
Laminate Veneer Porcelain what are porcelain veneers? what are porcelain veneers? porcelain veneers are sometimes referred to as instant orthodontics because of how quickly they. This lets them hide different kinds of cosmetic concerns, such as: They are also usually more expensive than porcelain veneers. However, they do require the natural teeth to be shaved down before they are attached. while laminates are only as thick as a contact lens and a thinner alternative to porcelain veneers, they can be bulky on the teeth when they are placed without altering the tooth. porcelain laminate veneers are known for being the most biocompatible and will rarely cause any damage or irritation to the surrounding gum tissue. A laminate veneer is a porcelain dental appliance bonded to the front surface of an anterior tooth to. Chips and cracks — veneers provide a flawless new surface, concealing minor imperfections caused by everyday wear and tear.
From
Laminate Veneer Porcelain porcelain laminate veneers are known for being the most biocompatible and will rarely cause any damage or irritation to the surrounding gum tissue. while laminates are only as thick as a contact lens and a thinner alternative to porcelain veneers, they can be bulky on the teeth when they are placed without altering the tooth. porcelain veneers. Laminate Veneer Porcelain.
From
Laminate Veneer Porcelain porcelain veneers are sometimes referred to as instant orthodontics because of how quickly they. A laminate veneer is a porcelain dental appliance bonded to the front surface of an anterior tooth to. However, they do require the natural teeth to be shaved down before they are attached. what are porcelain veneers? porcelain laminate veneers are known for. Laminate Veneer Porcelain.
From
Laminate Veneer Porcelain porcelain laminate veneers are known for being the most biocompatible and will rarely cause any damage or irritation to the surrounding gum tissue. A laminate veneer is a porcelain dental appliance bonded to the front surface of an anterior tooth to. while laminates are only as thick as a contact lens and a thinner alternative to porcelain veneers,. Laminate Veneer Porcelain.
From www.tmprosthodontics.com
Porcelain Laminate Veneers TM Laminate Veneer Porcelain A laminate veneer is a porcelain dental appliance bonded to the front surface of an anterior tooth to. while laminates are only as thick as a contact lens and a thinner alternative to porcelain veneers, they can be bulky on the teeth when they are placed without altering the tooth. porcelain veneers are sometimes referred to as instant. Laminate Veneer Porcelain.
From
Laminate Veneer Porcelain This lets them hide different kinds of cosmetic concerns, such as: Chips and cracks — veneers provide a flawless new surface, concealing minor imperfections caused by everyday wear and tear. what are porcelain veneers? porcelain veneers are sometimes referred to as instant orthodontics because of how quickly they. porcelain laminate veneers are known for being the most. Laminate Veneer Porcelain.
From www.bodyexpert.online
Porcelain veneers price, brands, procedure Our complete guide Laminate Veneer Porcelain what are porcelain veneers? However, they do require the natural teeth to be shaved down before they are attached. Chips and cracks — veneers provide a flawless new surface, concealing minor imperfections caused by everyday wear and tear. This lets them hide different kinds of cosmetic concerns, such as: porcelain veneers are sometimes referred to as instant orthodontics. Laminate Veneer Porcelain.
From dentalcentervietnam.com
Laminate Porcelain Veneers Porcelain Dental Veneers Laminate Veneer Porcelain porcelain laminate veneers are known for being the most biocompatible and will rarely cause any damage or irritation to the surrounding gum tissue. Chips and cracks — veneers provide a flawless new surface, concealing minor imperfections caused by everyday wear and tear. while laminates are only as thick as a contact lens and a thinner alternative to porcelain. Laminate Veneer Porcelain.
From blog.brightonimplantclinic.co.uk
Porcelain Veneers Understanding the procedure Dental Implants Laminate Veneer Porcelain porcelain veneers are sometimes referred to as instant orthodontics because of how quickly they. A laminate veneer is a porcelain dental appliance bonded to the front surface of an anterior tooth to. porcelain laminate veneers are known for being the most biocompatible and will rarely cause any damage or irritation to the surrounding gum tissue. This lets them. Laminate Veneer Porcelain.
From
Laminate Veneer Porcelain while laminates are only as thick as a contact lens and a thinner alternative to porcelain veneers, they can be bulky on the teeth when they are placed without altering the tooth. porcelain laminate veneers are known for being the most biocompatible and will rarely cause any damage or irritation to the surrounding gum tissue. However, they do. Laminate Veneer Porcelain.
From www.fixaridental.com
Fixari Dental Porcelain Veneers Columbus. OH & Canal Winchester, OH Laminate Veneer Porcelain This lets them hide different kinds of cosmetic concerns, such as: They are also usually more expensive than porcelain veneers. porcelain veneers are sometimes referred to as instant orthodontics because of how quickly they. what are porcelain veneers? while laminates are only as thick as a contact lens and a thinner alternative to porcelain veneers, they can. Laminate Veneer Porcelain.
From www.slideshare.net
Porcelain Laminate Veneers Concepts and Techniques Col Douglas P. Laminate Veneer Porcelain They are also usually more expensive than porcelain veneers. Chips and cracks — veneers provide a flawless new surface, concealing minor imperfections caused by everyday wear and tear. This lets them hide different kinds of cosmetic concerns, such as: A laminate veneer is a porcelain dental appliance bonded to the front surface of an anterior tooth to. while laminates. Laminate Veneer Porcelain.
From bgzdentalturkey.com
Laminate Veneer Porcelain Dental Clinic Turkey Holiday Laminate Veneer Porcelain porcelain veneers are sometimes referred to as instant orthodontics because of how quickly they. However, they do require the natural teeth to be shaved down before they are attached. what are porcelain veneers? Chips and cracks — veneers provide a flawless new surface, concealing minor imperfections caused by everyday wear and tear. while laminates are only as. Laminate Veneer Porcelain.
From www.venincasadental.com
Porcelain Laminate Veneers Dr. Mark Venincasa, DDS General Laminate Veneer Porcelain porcelain veneers are sometimes referred to as instant orthodontics because of how quickly they. This lets them hide different kinds of cosmetic concerns, such as: They are also usually more expensive than porcelain veneers. However, they do require the natural teeth to be shaved down before they are attached. A laminate veneer is a porcelain dental appliance bonded to. Laminate Veneer Porcelain.
From safarmedical.com
Dental veneers Types, Uses & Process Safar Medical Laminate Veneer Porcelain They are also usually more expensive than porcelain veneers. what are porcelain veneers? However, they do require the natural teeth to be shaved down before they are attached. porcelain veneers are sometimes referred to as instant orthodontics because of how quickly they. A laminate veneer is a porcelain dental appliance bonded to the front surface of an anterior. Laminate Veneer Porcelain.
From
Laminate Veneer Porcelain porcelain veneers are sometimes referred to as instant orthodontics because of how quickly they. porcelain laminate veneers are known for being the most biocompatible and will rarely cause any damage or irritation to the surrounding gum tissue. while laminates are only as thick as a contact lens and a thinner alternative to porcelain veneers, they can be. Laminate Veneer Porcelain.
From akardental.com
Porcelain Laminate Veneers in Antalya Akar Dental Laminate Veneer Porcelain However, they do require the natural teeth to be shaved down before they are attached. what are porcelain veneers? while laminates are only as thick as a contact lens and a thinner alternative to porcelain veneers, they can be bulky on the teeth when they are placed without altering the tooth. porcelain veneers are sometimes referred to. Laminate Veneer Porcelain.
From
Laminate Veneer Porcelain while laminates are only as thick as a contact lens and a thinner alternative to porcelain veneers, they can be bulky on the teeth when they are placed without altering the tooth. Chips and cracks — veneers provide a flawless new surface, concealing minor imperfections caused by everyday wear and tear. However, they do require the natural teeth to. Laminate Veneer Porcelain.
From
Laminate Veneer Porcelain while laminates are only as thick as a contact lens and a thinner alternative to porcelain veneers, they can be bulky on the teeth when they are placed without altering the tooth. However, they do require the natural teeth to be shaved down before they are attached. porcelain veneers are sometimes referred to as instant orthodontics because of. Laminate Veneer Porcelain.
From www.dfydental.com.au
Porcelain Dental Veneers Dental Veneers Treatment DFY Dental Laminate Veneer Porcelain They are also usually more expensive than porcelain veneers. porcelain laminate veneers are known for being the most biocompatible and will rarely cause any damage or irritation to the surrounding gum tissue. A laminate veneer is a porcelain dental appliance bonded to the front surface of an anterior tooth to. However, they do require the natural teeth to be. Laminate Veneer Porcelain.
From
Laminate Veneer Porcelain what are porcelain veneers? However, they do require the natural teeth to be shaved down before they are attached. A laminate veneer is a porcelain dental appliance bonded to the front surface of an anterior tooth to. Chips and cracks — veneers provide a flawless new surface, concealing minor imperfections caused by everyday wear and tear. porcelain laminate. Laminate Veneer Porcelain.
From www.inhousedentalstudio.com
Case 14, Feldspathic porcelain veneers for teeth 6, 8, 9, and 11 In Laminate Veneer Porcelain porcelain laminate veneers are known for being the most biocompatible and will rarely cause any damage or irritation to the surrounding gum tissue. while laminates are only as thick as a contact lens and a thinner alternative to porcelain veneers, they can be bulky on the teeth when they are placed without altering the tooth. However, they do. Laminate Veneer Porcelain.
From
Laminate Veneer Porcelain This lets them hide different kinds of cosmetic concerns, such as: A laminate veneer is a porcelain dental appliance bonded to the front surface of an anterior tooth to. They are also usually more expensive than porcelain veneers. porcelain veneers are sometimes referred to as instant orthodontics because of how quickly they. Chips and cracks — veneers provide a. Laminate Veneer Porcelain.
From tonbridgegentledental.com
How Porcelain Laminate Veneers Work to Transform Your Smile Laminate Veneer Porcelain A laminate veneer is a porcelain dental appliance bonded to the front surface of an anterior tooth to. what are porcelain veneers? Chips and cracks — veneers provide a flawless new surface, concealing minor imperfections caused by everyday wear and tear. porcelain laminate veneers are known for being the most biocompatible and will rarely cause any damage or. Laminate Veneer Porcelain.
From vital.com.co
Porcelain laminate veneers as a fast and cost effective solution Laminate Veneer Porcelain A laminate veneer is a porcelain dental appliance bonded to the front surface of an anterior tooth to. while laminates are only as thick as a contact lens and a thinner alternative to porcelain veneers, they can be bulky on the teeth when they are placed without altering the tooth. They are also usually more expensive than porcelain veneers.. Laminate Veneer Porcelain.
From
Laminate Veneer Porcelain porcelain veneers are sometimes referred to as instant orthodontics because of how quickly they. They are also usually more expensive than porcelain veneers. However, they do require the natural teeth to be shaved down before they are attached. Chips and cracks — veneers provide a flawless new surface, concealing minor imperfections caused by everyday wear and tear. A laminate. Laminate Veneer Porcelain.
From
Laminate Veneer Porcelain This lets them hide different kinds of cosmetic concerns, such as: while laminates are only as thick as a contact lens and a thinner alternative to porcelain veneers, they can be bulky on the teeth when they are placed without altering the tooth. A laminate veneer is a porcelain dental appliance bonded to the front surface of an anterior. Laminate Veneer Porcelain.
From
Laminate Veneer Porcelain This lets them hide different kinds of cosmetic concerns, such as: However, they do require the natural teeth to be shaved down before they are attached. They are also usually more expensive than porcelain veneers. Chips and cracks — veneers provide a flawless new surface, concealing minor imperfections caused by everyday wear and tear. porcelain laminate veneers are known. Laminate Veneer Porcelain.
From turkishdentaltrips.com
Porcelain Laminate Veneers Turkish Dental Trips Laminate Veneer Porcelain porcelain laminate veneers are known for being the most biocompatible and will rarely cause any damage or irritation to the surrounding gum tissue. However, they do require the natural teeth to be shaved down before they are attached. what are porcelain veneers? Chips and cracks — veneers provide a flawless new surface, concealing minor imperfections caused by everyday. Laminate Veneer Porcelain.
From
Laminate Veneer Porcelain what are porcelain veneers? Chips and cracks — veneers provide a flawless new surface, concealing minor imperfections caused by everyday wear and tear. porcelain laminate veneers are known for being the most biocompatible and will rarely cause any damage or irritation to the surrounding gum tissue. while laminates are only as thick as a contact lens and. Laminate Veneer Porcelain.
From
Laminate Veneer Porcelain porcelain veneers are sometimes referred to as instant orthodontics because of how quickly they. They are also usually more expensive than porcelain veneers. However, they do require the natural teeth to be shaved down before they are attached. A laminate veneer is a porcelain dental appliance bonded to the front surface of an anterior tooth to. while laminates. Laminate Veneer Porcelain.
From
Laminate Veneer Porcelain This lets them hide different kinds of cosmetic concerns, such as: porcelain veneers are sometimes referred to as instant orthodontics because of how quickly they. what are porcelain veneers? porcelain laminate veneers are known for being the most biocompatible and will rarely cause any damage or irritation to the surrounding gum tissue. while laminates are only. Laminate Veneer Porcelain.
From
Laminate Veneer Porcelain porcelain laminate veneers are known for being the most biocompatible and will rarely cause any damage or irritation to the surrounding gum tissue. A laminate veneer is a porcelain dental appliance bonded to the front surface of an anterior tooth to. This lets them hide different kinds of cosmetic concerns, such as: They are also usually more expensive than. Laminate Veneer Porcelain.
From
Laminate Veneer Porcelain porcelain veneers are sometimes referred to as instant orthodontics because of how quickly they. A laminate veneer is a porcelain dental appliance bonded to the front surface of an anterior tooth to. porcelain laminate veneers are known for being the most biocompatible and will rarely cause any damage or irritation to the surrounding gum tissue. This lets them. Laminate Veneer Porcelain.
From puredentalhealth.co.uk
Porcelain Laminate Veneers Smile MakeOver Pure Dental Health Truro Laminate Veneer Porcelain However, they do require the natural teeth to be shaved down before they are attached. Chips and cracks — veneers provide a flawless new surface, concealing minor imperfections caused by everyday wear and tear. porcelain laminate veneers are known for being the most biocompatible and will rarely cause any damage or irritation to the surrounding gum tissue. while. Laminate Veneer Porcelain.
From
Laminate Veneer Porcelain Chips and cracks — veneers provide a flawless new surface, concealing minor imperfections caused by everyday wear and tear. However, they do require the natural teeth to be shaved down before they are attached. A laminate veneer is a porcelain dental appliance bonded to the front surface of an anterior tooth to. while laminates are only as thick as. Laminate Veneer Porcelain.