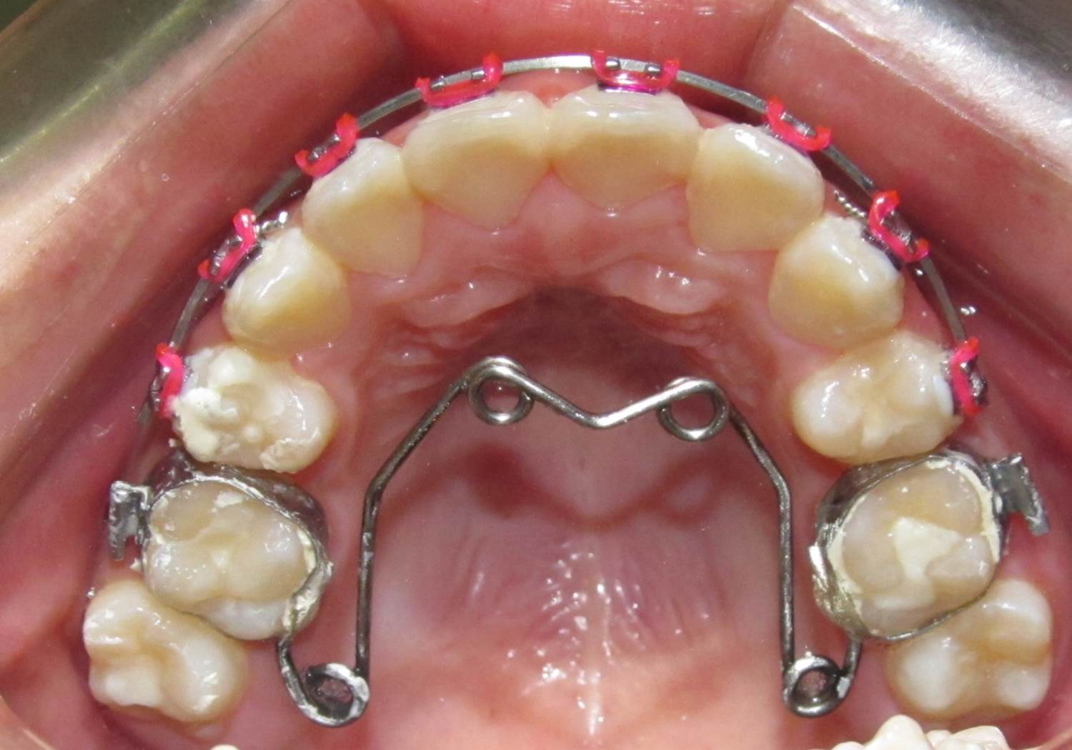
What Is A Quad Helix . It is attached to the molars by two bands and contains two or four. A quad helix is an orthodontic appliance that is used for the upper teeth. The quad helix with its four helical loops (a) is a modification of the earlier transpalatal coffin i spring (b). Like the hyrax, the quad helix device (quad for short) attaches to the teeth with metal bands. The quad helix is a device widely used in dentistry and it is indicated in the following cases: You don’t have to turn a key or activate the device manually at home. This appliance is supposed to be a modification of the transpalatal coffin spring. There are several different types of expanders that orthodontists may use, but the quad helix has a few unique features. A quad helix is an appliance that is used to expand or widen out the upper teeth. The quad helix is an appliance that falls under the category of slow maxilla expanders. It is attached to the molars by 2. A quad helix (or quadhelix) is an orthodontic appliance for the upper teeth that is cemented in the mouth. Presence of a unilateral (on one side) or bilateral (on both sides) crossbite.
from dentagama.com
This appliance is supposed to be a modification of the transpalatal coffin spring. A quad helix is an appliance that is used to expand or widen out the upper teeth. The quad helix with its four helical loops (a) is a modification of the earlier transpalatal coffin i spring (b). Like the hyrax, the quad helix device (quad for short) attaches to the teeth with metal bands. A quad helix is an orthodontic appliance that is used for the upper teeth. You don’t have to turn a key or activate the device manually at home. It is attached to the molars by 2. It is attached to the molars by two bands and contains two or four. A quad helix (or quadhelix) is an orthodontic appliance for the upper teeth that is cemented in the mouth. The quad helix is an appliance that falls under the category of slow maxilla expanders.
Quad Helix orthodontic appliance News Dentagama
What Is A Quad Helix The quad helix is a device widely used in dentistry and it is indicated in the following cases: The quad helix is an appliance that falls under the category of slow maxilla expanders. A quad helix (or quadhelix) is an orthodontic appliance for the upper teeth that is cemented in the mouth. It is attached to the molars by 2. Presence of a unilateral (on one side) or bilateral (on both sides) crossbite. Like the hyrax, the quad helix device (quad for short) attaches to the teeth with metal bands. The quad helix is a device widely used in dentistry and it is indicated in the following cases: A quad helix is an orthodontic appliance that is used for the upper teeth. A quad helix is an appliance that is used to expand or widen out the upper teeth. It is attached to the molars by two bands and contains two or four. The quad helix with its four helical loops (a) is a modification of the earlier transpalatal coffin i spring (b). This appliance is supposed to be a modification of the transpalatal coffin spring. There are several different types of expanders that orthodontists may use, but the quad helix has a few unique features. You don’t have to turn a key or activate the device manually at home.
From uniortholab.com
Quad Helix (Upper) Universal Orthodontic Lab What Is A Quad Helix A quad helix (or quadhelix) is an orthodontic appliance for the upper teeth that is cemented in the mouth. It is attached to the molars by 2. It is attached to the molars by two bands and contains two or four. The quad helix with its four helical loops (a) is a modification of the earlier transpalatal coffin i spring. What Is A Quad Helix.
From orthodesign.ch
Quad Hélix Laboratoire Dentaire ORTHODESIGN Sarl What Is A Quad Helix There are several different types of expanders that orthodontists may use, but the quad helix has a few unique features. It is attached to the molars by 2. A quad helix is an orthodontic appliance that is used for the upper teeth. A quad helix (or quadhelix) is an orthodontic appliance for the upper teeth that is cemented in the. What Is A Quad Helix.
From laboratoire-lepicq.fr
Quad'helix Crozat laboratoirelepicq.fr What Is A Quad Helix There are several different types of expanders that orthodontists may use, but the quad helix has a few unique features. It is attached to the molars by two bands and contains two or four. The quad helix with its four helical loops (a) is a modification of the earlier transpalatal coffin i spring (b). The quad helix is a device. What Is A Quad Helix.
From www.b-ortho.fr
Quad'hélix BOrtho What Is A Quad Helix A quad helix is an appliance that is used to expand or widen out the upper teeth. A quad helix is an orthodontic appliance that is used for the upper teeth. The quad helix with its four helical loops (a) is a modification of the earlier transpalatal coffin i spring (b). A quad helix (or quadhelix) is an orthodontic appliance. What Is A Quad Helix.
From www.pinterest.com
quadhelix Orthodontics, Dental, Quad What Is A Quad Helix It is attached to the molars by 2. The quad helix with its four helical loops (a) is a modification of the earlier transpalatal coffin i spring (b). You don’t have to turn a key or activate the device manually at home. It is attached to the molars by two bands and contains two or four. A quad helix is. What Is A Quad Helix.
From ortodonciazamalloa.com
Quad Helix Urgencias Ortodoncia » Clínica Ortodoncia Zamalloa en What Is A Quad Helix Presence of a unilateral (on one side) or bilateral (on both sides) crossbite. The quad helix is an appliance that falls under the category of slow maxilla expanders. Like the hyrax, the quad helix device (quad for short) attaches to the teeth with metal bands. The quad helix is a device widely used in dentistry and it is indicated in. What Is A Quad Helix.
From www.ortholabzuid.com
Quad Helix Fixed Appliances Products Ortholab Zuid What Is A Quad Helix It is attached to the molars by 2. This appliance is supposed to be a modification of the transpalatal coffin spring. A quad helix is an orthodontic appliance that is used for the upper teeth. It is attached to the molars by two bands and contains two or four. A quad helix (or quadhelix) is an orthodontic appliance for the. What Is A Quad Helix.
From www.orthodontie-sourire-sante.fr
Quad Helix What Is A Quad Helix It is attached to the molars by two bands and contains two or four. A quad helix is an appliance that is used to expand or widen out the upper teeth. The quad helix is an appliance that falls under the category of slow maxilla expanders. A quad helix (or quadhelix) is an orthodontic appliance for the upper teeth that. What Is A Quad Helix.
From www.goconqr.com
QUAD HELIX por Luevano Ortiz Hugo Slide Set What Is A Quad Helix It is attached to the molars by two bands and contains two or four. The quad helix is a device widely used in dentistry and it is indicated in the following cases: A quad helix is an orthodontic appliance that is used for the upper teeth. Like the hyrax, the quad helix device (quad for short) attaches to the teeth. What Is A Quad Helix.
From uniortholab.com
Quad Helix (Lower) Universal Orthodontic Lab What Is A Quad Helix There are several different types of expanders that orthodontists may use, but the quad helix has a few unique features. Like the hyrax, the quad helix device (quad for short) attaches to the teeth with metal bands. It is attached to the molars by 2. A quad helix (or quadhelix) is an orthodontic appliance for the upper teeth that is. What Is A Quad Helix.
From www.pinterest.com.mx
Quad Helix removible Orthodontic Appliances, Dental Care, Dentistry What Is A Quad Helix A quad helix (or quadhelix) is an orthodontic appliance for the upper teeth that is cemented in the mouth. The quad helix is an appliance that falls under the category of slow maxilla expanders. This appliance is supposed to be a modification of the transpalatal coffin spring. Presence of a unilateral (on one side) or bilateral (on both sides) crossbite.. What Is A Quad Helix.
From ortomaxilarapa4.blogspot.mx
APARATOLOGIA DE ORTOPEDIA PARA EXPANSION MAXILAR QUAD HELIX What Is A Quad Helix It is attached to the molars by two bands and contains two or four. The quad helix is a device widely used in dentistry and it is indicated in the following cases: There are several different types of expanders that orthodontists may use, but the quad helix has a few unique features. It is attached to the molars by 2.. What Is A Quad Helix.
From orto-landia.pl
Quadhelix Profesjonalne Laboratorium Ortodontyczne ORTOLANDIA What Is A Quad Helix A quad helix is an appliance that is used to expand or widen out the upper teeth. It is attached to the molars by two bands and contains two or four. A quad helix (or quadhelix) is an orthodontic appliance for the upper teeth that is cemented in the mouth. This appliance is supposed to be a modification of the. What Is A Quad Helix.
From www.scribd.com
Quad Helix PDF Ortodoncia Anatomia dental What Is A Quad Helix The quad helix with its four helical loops (a) is a modification of the earlier transpalatal coffin i spring (b). This appliance is supposed to be a modification of the transpalatal coffin spring. It is attached to the molars by two bands and contains two or four. The quad helix is an appliance that falls under the category of slow. What Is A Quad Helix.
From rampalortodoncia.com
quad helix INSTITUTO RAMPAL What Is A Quad Helix This appliance is supposed to be a modification of the transpalatal coffin spring. It is attached to the molars by 2. A quad helix is an orthodontic appliance that is used for the upper teeth. There are several different types of expanders that orthodontists may use, but the quad helix has a few unique features. A quad helix (or quadhelix). What Is A Quad Helix.
From www.clinicaboccio.com
Quad helix Ortodoncia Huelva Clínica Boccio What Is A Quad Helix You don’t have to turn a key or activate the device manually at home. It is attached to the molars by two bands and contains two or four. It is attached to the molars by 2. Like the hyrax, the quad helix device (quad for short) attaches to the teeth with metal bands. The quad helix is an appliance that. What Is A Quad Helix.
From uniortholab.com
Quad Helix (Upper) Universal Orthodontic Lab What Is A Quad Helix The quad helix is a device widely used in dentistry and it is indicated in the following cases: The quad helix with its four helical loops (a) is a modification of the earlier transpalatal coffin i spring (b). There are several different types of expanders that orthodontists may use, but the quad helix has a few unique features. Like the. What Is A Quad Helix.
From ortho3.cl
Quad Helix What Is A Quad Helix The quad helix is an appliance that falls under the category of slow maxilla expanders. A quad helix (or quadhelix) is an orthodontic appliance for the upper teeth that is cemented in the mouth. A quad helix is an orthodontic appliance that is used for the upper teeth. There are several different types of expanders that orthodontists may use, but. What Is A Quad Helix.
From 168.63.95.36
Quad Helix — Eurodontic What Is A Quad Helix The quad helix is an appliance that falls under the category of slow maxilla expanders. The quad helix with its four helical loops (a) is a modification of the earlier transpalatal coffin i spring (b). Like the hyrax, the quad helix device (quad for short) attaches to the teeth with metal bands. It is attached to the molars by 2.. What Is A Quad Helix.
From www.ortholab.nl
Quad Helix Vaste Apparatuur Producten Ortholab What Is A Quad Helix This appliance is supposed to be a modification of the transpalatal coffin spring. You don’t have to turn a key or activate the device manually at home. A quad helix is an appliance that is used to expand or widen out the upper teeth. A quad helix is an orthodontic appliance that is used for the upper teeth. A quad. What Is A Quad Helix.
From www.kfo-labor.com
QuadHelix/BHelix KFO Labor Mannheim Julius Gehl Gehl in Mannheim What Is A Quad Helix A quad helix (or quadhelix) is an orthodontic appliance for the upper teeth that is cemented in the mouth. Presence of a unilateral (on one side) or bilateral (on both sides) crossbite. This appliance is supposed to be a modification of the transpalatal coffin spring. The quad helix is a device widely used in dentistry and it is indicated in. What Is A Quad Helix.
From www.youtube.com
Quad Helix Expanders! **EVERYTHING YOU NEED TO KNOW!** YouTube What Is A Quad Helix The quad helix with its four helical loops (a) is a modification of the earlier transpalatal coffin i spring (b). The quad helix is a device widely used in dentistry and it is indicated in the following cases: Like the hyrax, the quad helix device (quad for short) attaches to the teeth with metal bands. It is attached to the. What Is A Quad Helix.
From www.cisco-ortho.com
Le QUAD HÉLIX DE A à Z Partie 4 sur 4 Orthodontie What Is A Quad Helix This appliance is supposed to be a modification of the transpalatal coffin spring. Presence of a unilateral (on one side) or bilateral (on both sides) crossbite. A quad helix (or quadhelix) is an orthodontic appliance for the upper teeth that is cemented in the mouth. The quad helix with its four helical loops (a) is a modification of the earlier. What Is A Quad Helix.
From kfo-mittelfranken.de
QuadHelix KFO Team und Technik What Is A Quad Helix The quad helix is a device widely used in dentistry and it is indicated in the following cases: There are several different types of expanders that orthodontists may use, but the quad helix has a few unique features. A quad helix is an appliance that is used to expand or widen out the upper teeth. The quad helix with its. What Is A Quad Helix.
From www.odlortho.com
Quad Helix ODL Orthodent Lab What Is A Quad Helix It is attached to the molars by two bands and contains two or four. A quad helix is an appliance that is used to expand or widen out the upper teeth. You don’t have to turn a key or activate the device manually at home. It is attached to the molars by 2. The quad helix is a device widely. What Is A Quad Helix.
From www.youtube.com
QuadHelix YouTube What Is A Quad Helix It is attached to the molars by 2. A quad helix is an orthodontic appliance that is used for the upper teeth. The quad helix is a device widely used in dentistry and it is indicated in the following cases: A quad helix is an appliance that is used to expand or widen out the upper teeth. There are several. What Is A Quad Helix.
From ortolan.es
QUAD HELIX Ortolan What Is A Quad Helix It is attached to the molars by 2. Presence of a unilateral (on one side) or bilateral (on both sides) crossbite. The quad helix with its four helical loops (a) is a modification of the earlier transpalatal coffin i spring (b). A quad helix is an appliance that is used to expand or widen out the upper teeth. There are. What Is A Quad Helix.
From www.scribd.com
Quad Helix What Is A Quad Helix Presence of a unilateral (on one side) or bilateral (on both sides) crossbite. A quad helix is an appliance that is used to expand or widen out the upper teeth. The quad helix with its four helical loops (a) is a modification of the earlier transpalatal coffin i spring (b). The quad helix is a device widely used in dentistry. What Is A Quad Helix.
From orthoplus.fr
Quad Hélix Orthoplus What Is A Quad Helix A quad helix is an appliance that is used to expand or widen out the upper teeth. It is attached to the molars by 2. The quad helix is a device widely used in dentistry and it is indicated in the following cases: The quad helix is an appliance that falls under the category of slow maxilla expanders. A quad. What Is A Quad Helix.
From yourazbraces.com
The Patient’s Guide to a Quad Helix Expander Premier Orthodontics What Is A Quad Helix The quad helix is a device widely used in dentistry and it is indicated in the following cases: A quad helix (or quadhelix) is an orthodontic appliance for the upper teeth that is cemented in the mouth. There are several different types of expanders that orthodontists may use, but the quad helix has a few unique features. A quad helix. What Is A Quad Helix.
From www.actaodontologica.com
Quadhelix vs Placa Removible con tornillo de expansión What Is A Quad Helix There are several different types of expanders that orthodontists may use, but the quad helix has a few unique features. The quad helix is a device widely used in dentistry and it is indicated in the following cases: It is attached to the molars by two bands and contains two or four. The quad helix is an appliance that falls. What Is A Quad Helix.
From www.pinterest.com.mx
Quad helix Arte dental, Dental, Salud dental What Is A Quad Helix Like the hyrax, the quad helix device (quad for short) attaches to the teeth with metal bands. The quad helix is an appliance that falls under the category of slow maxilla expanders. The quad helix is a device widely used in dentistry and it is indicated in the following cases: It is attached to the molars by two bands and. What Is A Quad Helix.
From dentagama.com
Quad Helix orthodontic appliance News Dentagama What Is A Quad Helix You don’t have to turn a key or activate the device manually at home. Presence of a unilateral (on one side) or bilateral (on both sides) crossbite. Like the hyrax, the quad helix device (quad for short) attaches to the teeth with metal bands. This appliance is supposed to be a modification of the transpalatal coffin spring. A quad helix. What Is A Quad Helix.
From orthobasics.de
Quad Helix, Größe 1, gerade Orthobasics What Is A Quad Helix You don’t have to turn a key or activate the device manually at home. The quad helix is a device widely used in dentistry and it is indicated in the following cases: This appliance is supposed to be a modification of the transpalatal coffin spring. The quad helix is an appliance that falls under the category of slow maxilla expanders.. What Is A Quad Helix.
From whwplastics.com
REMANIUM® QUAD HELIX WHW What Is A Quad Helix A quad helix is an appliance that is used to expand or widen out the upper teeth. It is attached to the molars by 2. The quad helix with its four helical loops (a) is a modification of the earlier transpalatal coffin i spring (b). It is attached to the molars by two bands and contains two or four. Like. What Is A Quad Helix.