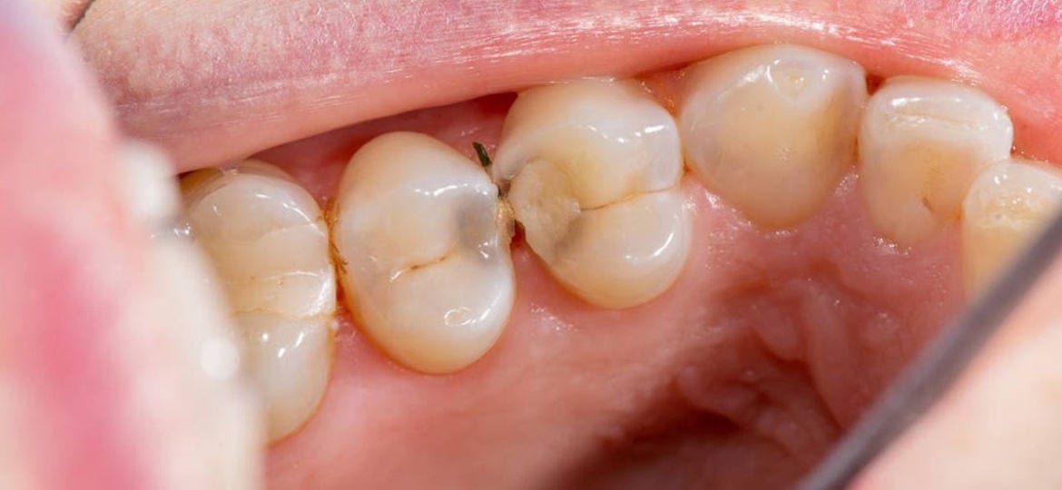
What Do Dentists Do If You Have Tooth Decay . Enamel can repair itself by using minerals from saliva, and fluoride from toothpaste or other sources. See a dentist as soon as possible if. Tooth decay occurs when bacteria and acids attack the tooth’s enamel and could lead to more serious dental problems if not treated early on. What to do if you have a cracked, damaged or rotten tooth. These are germs that cause. Tooth decay can be stopped or reversed at this point. Dentists can usually identify tooth decay and further problems with a simple. Many factors can contribute to tooth decay, such. Tooth decay is often caused by having too much sugary food and drink and not cleaning your teeth and gums. Tooth decay causes the destruction of enamel, which is the hard outer surface of a tooth. Tooth decay is much easier and cheaper to treat in its early stages. But if the tooth decay process continues, more. Tooth decay (dental caries) is the destruction of tooth tissue by the action of cariogenic bacteria. If you have any of these problems with a tooth, go and see a dentist as soon as possible as. As tooth decay progresses, it can attack deeper layers of a tooth,.
from www.sonriadentalclinic.co.uk
If you have any of these problems with a tooth, go and see a dentist as soon as possible as. These are germs that cause. Tooth decay causes the destruction of enamel, which is the hard outer surface of a tooth. As tooth decay progresses, it can attack deeper layers of a tooth,. What to do if you have a cracked, damaged or rotten tooth. See a dentist as soon as possible if. But if the tooth decay process continues, more. Dentists can usually identify tooth decay and further problems with a simple. Tooth decay is often caused by having too much sugary food and drink and not cleaning your teeth and gums. Tooth decay (dental caries) is the destruction of tooth tissue by the action of cariogenic bacteria.
What is Decay? Types of Dental Decay Dentist Central London
What Do Dentists Do If You Have Tooth Decay But if the tooth decay process continues, more. Tooth decay causes the destruction of enamel, which is the hard outer surface of a tooth. Enamel can repair itself by using minerals from saliva, and fluoride from toothpaste or other sources. But if the tooth decay process continues, more. What to do if you have a cracked, damaged or rotten tooth. Tooth decay can be stopped or reversed at this point. Many factors can contribute to tooth decay, such. Tooth decay (dental caries) is the destruction of tooth tissue by the action of cariogenic bacteria. These are germs that cause. Tooth decay is often caused by having too much sugary food and drink and not cleaning your teeth and gums. Tooth decay occurs when bacteria and acids attack the tooth’s enamel and could lead to more serious dental problems if not treated early on. If you have any of these problems with a tooth, go and see a dentist as soon as possible as. Tooth decay is much easier and cheaper to treat in its early stages. See a dentist as soon as possible if. As tooth decay progresses, it can attack deeper layers of a tooth,. Dentists can usually identify tooth decay and further problems with a simple.
From ccdental.com.au
How to Reduce Tooth Decay Caused By Sugar Blog CC Dental What Do Dentists Do If You Have Tooth Decay But if the tooth decay process continues, more. As tooth decay progresses, it can attack deeper layers of a tooth,. Dentists can usually identify tooth decay and further problems with a simple. Tooth decay is much easier and cheaper to treat in its early stages. Tooth decay causes the destruction of enamel, which is the hard outer surface of a. What Do Dentists Do If You Have Tooth Decay.
From www.puredentistry.com.au
Tooth Decay Dentist Brisbane What Do Dentists Do If You Have Tooth Decay Tooth decay is often caused by having too much sugary food and drink and not cleaning your teeth and gums. Tooth decay is much easier and cheaper to treat in its early stages. Dentists can usually identify tooth decay and further problems with a simple. Tooth decay can be stopped or reversed at this point. Tooth decay occurs when bacteria. What Do Dentists Do If You Have Tooth Decay.
From www.courtneydental.com.au
Progression of tooth decay Dentist Townsville What Do Dentists Do If You Have Tooth Decay Tooth decay is often caused by having too much sugary food and drink and not cleaning your teeth and gums. Enamel can repair itself by using minerals from saliva, and fluoride from toothpaste or other sources. Tooth decay can be stopped or reversed at this point. Dentists can usually identify tooth decay and further problems with a simple. But if. What Do Dentists Do If You Have Tooth Decay.
From uxbridgefamilydentistry.wordpress.com
301 Moved Permanently What Do Dentists Do If You Have Tooth Decay Many factors can contribute to tooth decay, such. See a dentist as soon as possible if. Tooth decay occurs when bacteria and acids attack the tooth’s enamel and could lead to more serious dental problems if not treated early on. If you have any of these problems with a tooth, go and see a dentist as soon as possible as.. What Do Dentists Do If You Have Tooth Decay.
From stock.adobe.com
Fotografia do Stock Normal tooth , Dental caries and Dental cavity What Do Dentists Do If You Have Tooth Decay If you have any of these problems with a tooth, go and see a dentist as soon as possible as. Many factors can contribute to tooth decay, such. As tooth decay progresses, it can attack deeper layers of a tooth,. Tooth decay occurs when bacteria and acids attack the tooth’s enamel and could lead to more serious dental problems if. What Do Dentists Do If You Have Tooth Decay.
From www.abckiddentist.com
Tooth Decay Prevention Chicago How Does Decay Start? What Do Dentists Do If You Have Tooth Decay Tooth decay (dental caries) is the destruction of tooth tissue by the action of cariogenic bacteria. Tooth decay is often caused by having too much sugary food and drink and not cleaning your teeth and gums. Tooth decay can be stopped or reversed at this point. But if the tooth decay process continues, more. Many factors can contribute to tooth. What Do Dentists Do If You Have Tooth Decay.
From www.lorneparkdental.com
Tooth decay is caused by sugar and bacteria Lorne Park Dental What Do Dentists Do If You Have Tooth Decay See a dentist as soon as possible if. Many factors can contribute to tooth decay, such. Tooth decay can be stopped or reversed at this point. Tooth decay is much easier and cheaper to treat in its early stages. Tooth decay (dental caries) is the destruction of tooth tissue by the action of cariogenic bacteria. Tooth decay is often caused. What Do Dentists Do If You Have Tooth Decay.
From drmartindentistry.com
Restoration of Tooth Decay Martin Family Dentistry What Do Dentists Do If You Have Tooth Decay What to do if you have a cracked, damaged or rotten tooth. Tooth decay is much easier and cheaper to treat in its early stages. Tooth decay causes the destruction of enamel, which is the hard outer surface of a tooth. As tooth decay progresses, it can attack deeper layers of a tooth,. See a dentist as soon as possible. What Do Dentists Do If You Have Tooth Decay.
From www.metrodentalcare.com
digital image of stages of tooth decay Dentist Denver & Lone Tree What Do Dentists Do If You Have Tooth Decay Tooth decay occurs when bacteria and acids attack the tooth’s enamel and could lead to more serious dental problems if not treated early on. Enamel can repair itself by using minerals from saliva, and fluoride from toothpaste or other sources. See a dentist as soon as possible if. If you have any of these problems with a tooth, go and. What Do Dentists Do If You Have Tooth Decay.
From dentagama.com
The 5 Stages of Tooth Decay News Dentagama What Do Dentists Do If You Have Tooth Decay If you have any of these problems with a tooth, go and see a dentist as soon as possible as. These are germs that cause. Dentists can usually identify tooth decay and further problems with a simple. Many factors can contribute to tooth decay, such. Tooth decay (dental caries) is the destruction of tooth tissue by the action of cariogenic. What Do Dentists Do If You Have Tooth Decay.
From www.hollandparkdental.co.uk
Top 3 Causes of Dental Decay Holland Park Dental What Do Dentists Do If You Have Tooth Decay But if the tooth decay process continues, more. What to do if you have a cracked, damaged or rotten tooth. Tooth decay can be stopped or reversed at this point. See a dentist as soon as possible if. As tooth decay progresses, it can attack deeper layers of a tooth,. Tooth decay causes the destruction of enamel, which is the. What Do Dentists Do If You Have Tooth Decay.
From dentagama.com
The 5 Stages of Tooth Decay News Dentagama What Do Dentists Do If You Have Tooth Decay Dentists can usually identify tooth decay and further problems with a simple. Tooth decay (dental caries) is the destruction of tooth tissue by the action of cariogenic bacteria. Enamel can repair itself by using minerals from saliva, and fluoride from toothpaste or other sources. Tooth decay is often caused by having too much sugary food and drink and not cleaning. What Do Dentists Do If You Have Tooth Decay.
From www.sonriadentalclinic.co.uk
What is Decay? Types of Dental Decay Dentist Central London What Do Dentists Do If You Have Tooth Decay Tooth decay occurs when bacteria and acids attack the tooth’s enamel and could lead to more serious dental problems if not treated early on. See a dentist as soon as possible if. Tooth decay (dental caries) is the destruction of tooth tissue by the action of cariogenic bacteria. These are germs that cause. Dentists can usually identify tooth decay and. What Do Dentists Do If You Have Tooth Decay.
From www.woodspringsdentistry.com
6 Signs of Dental Cavities — WoodSprings Dentistry What Do Dentists Do If You Have Tooth Decay Tooth decay occurs when bacteria and acids attack the tooth’s enamel and could lead to more serious dental problems if not treated early on. Many factors can contribute to tooth decay, such. Tooth decay can be stopped or reversed at this point. Tooth decay (dental caries) is the destruction of tooth tissue by the action of cariogenic bacteria. Enamel can. What Do Dentists Do If You Have Tooth Decay.
From lasrydentalclinic.com
Do You Have Tooth Decay? 5 Signs You Need To See a Dentist What Do Dentists Do If You Have Tooth Decay Tooth decay is often caused by having too much sugary food and drink and not cleaning your teeth and gums. Many factors can contribute to tooth decay, such. Dentists can usually identify tooth decay and further problems with a simple. Tooth decay causes the destruction of enamel, which is the hard outer surface of a tooth. Tooth decay can be. What Do Dentists Do If You Have Tooth Decay.
From www.baxterdentalgroup.com
Case Study in Tooth Decay in Ballwin and Manchester, MO Dentistry What Do Dentists Do If You Have Tooth Decay Tooth decay is much easier and cheaper to treat in its early stages. If you have any of these problems with a tooth, go and see a dentist as soon as possible as. Tooth decay (dental caries) is the destruction of tooth tissue by the action of cariogenic bacteria. As tooth decay progresses, it can attack deeper layers of a. What Do Dentists Do If You Have Tooth Decay.
From www.healthline.com
What Does a Cavity Look Like? Symptoms and When to See a Dentist What Do Dentists Do If You Have Tooth Decay Tooth decay (dental caries) is the destruction of tooth tissue by the action of cariogenic bacteria. Dentists can usually identify tooth decay and further problems with a simple. Tooth decay is much easier and cheaper to treat in its early stages. If you have any of these problems with a tooth, go and see a dentist as soon as possible. What Do Dentists Do If You Have Tooth Decay.
From likebd.com
Tooth Decay Phases 5 Stages And How To Treat Each What Do Dentists Do If You Have Tooth Decay Tooth decay is often caused by having too much sugary food and drink and not cleaning your teeth and gums. What to do if you have a cracked, damaged or rotten tooth. Tooth decay occurs when bacteria and acids attack the tooth’s enamel and could lead to more serious dental problems if not treated early on. These are germs that. What Do Dentists Do If You Have Tooth Decay.
From waltonblvddental.com
The Stages of Tooth Decay Walton Blvd Dental What Do Dentists Do If You Have Tooth Decay Many factors can contribute to tooth decay, such. Enamel can repair itself by using minerals from saliva, and fluoride from toothpaste or other sources. These are germs that cause. But if the tooth decay process continues, more. What to do if you have a cracked, damaged or rotten tooth. Tooth decay (dental caries) is the destruction of tooth tissue by. What Do Dentists Do If You Have Tooth Decay.
From www.verywellhealth.com
Tooth Decay Stages, Complications, and Treatment What Do Dentists Do If You Have Tooth Decay But if the tooth decay process continues, more. As tooth decay progresses, it can attack deeper layers of a tooth,. See a dentist as soon as possible if. What to do if you have a cracked, damaged or rotten tooth. Many factors can contribute to tooth decay, such. Tooth decay can be stopped or reversed at this point. Tooth decay. What Do Dentists Do If You Have Tooth Decay.
From mygentledentistry.com
Do You Have Tooth Decay? Here's 5 Signs That You Might What Do Dentists Do If You Have Tooth Decay Enamel can repair itself by using minerals from saliva, and fluoride from toothpaste or other sources. Tooth decay is much easier and cheaper to treat in its early stages. See a dentist as soon as possible if. Dentists can usually identify tooth decay and further problems with a simple. Tooth decay can be stopped or reversed at this point. Tooth. What Do Dentists Do If You Have Tooth Decay.
From www.orthodonticslimited.com
The Stages of Tooth Decay Orthodontics Limited What Do Dentists Do If You Have Tooth Decay See a dentist as soon as possible if. Many factors can contribute to tooth decay, such. Tooth decay can be stopped or reversed at this point. Dentists can usually identify tooth decay and further problems with a simple. Tooth decay occurs when bacteria and acids attack the tooth’s enamel and could lead to more serious dental problems if not treated. What Do Dentists Do If You Have Tooth Decay.
From mybestdentists.com
Tooth decay on root surfaces My BEST Dentists Journal MyBestDentists What Do Dentists Do If You Have Tooth Decay Many factors can contribute to tooth decay, such. These are germs that cause. If you have any of these problems with a tooth, go and see a dentist as soon as possible as. But if the tooth decay process continues, more. Tooth decay is often caused by having too much sugary food and drink and not cleaning your teeth and. What Do Dentists Do If You Have Tooth Decay.
From johnstreetdental.com
Tooth decay signs from your Redcliffe Dentist John Street Dental What Do Dentists Do If You Have Tooth Decay As tooth decay progresses, it can attack deeper layers of a tooth,. Tooth decay occurs when bacteria and acids attack the tooth’s enamel and could lead to more serious dental problems if not treated early on. Tooth decay is often caused by having too much sugary food and drink and not cleaning your teeth and gums. Many factors can contribute. What Do Dentists Do If You Have Tooth Decay.
From dentagama.com
The 5 Stages of Tooth Decay News Dentagama What Do Dentists Do If You Have Tooth Decay But if the tooth decay process continues, more. Many factors can contribute to tooth decay, such. Tooth decay (dental caries) is the destruction of tooth tissue by the action of cariogenic bacteria. Tooth decay causes the destruction of enamel, which is the hard outer surface of a tooth. Tooth decay can be stopped or reversed at this point. Dentists can. What Do Dentists Do If You Have Tooth Decay.
From medium.com
Top Signs of Tooth Decay. At Iqaluit Dental Clinic, we believe… by What Do Dentists Do If You Have Tooth Decay If you have any of these problems with a tooth, go and see a dentist as soon as possible as. Enamel can repair itself by using minerals from saliva, and fluoride from toothpaste or other sources. Tooth decay causes the destruction of enamel, which is the hard outer surface of a tooth. Tooth decay occurs when bacteria and acids attack. What Do Dentists Do If You Have Tooth Decay.
From askyourdentist.com
Tooth decay Ask Your Dentist What Do Dentists Do If You Have Tooth Decay See a dentist as soon as possible if. Tooth decay causes the destruction of enamel, which is the hard outer surface of a tooth. Tooth decay can be stopped or reversed at this point. Tooth decay is often caused by having too much sugary food and drink and not cleaning your teeth and gums. Dentists can usually identify tooth decay. What Do Dentists Do If You Have Tooth Decay.
From dentagama.com
The 5 Stages of Tooth Decay News Dentagama What Do Dentists Do If You Have Tooth Decay See a dentist as soon as possible if. But if the tooth decay process continues, more. Tooth decay occurs when bacteria and acids attack the tooth’s enamel and could lead to more serious dental problems if not treated early on. Tooth decay (dental caries) is the destruction of tooth tissue by the action of cariogenic bacteria. Tooth decay causes the. What Do Dentists Do If You Have Tooth Decay.
From atengarofalodental.com
Understanding Tooth Decay Stages and Treatments Aten & Garofalo Dentistry What Do Dentists Do If You Have Tooth Decay Dentists can usually identify tooth decay and further problems with a simple. But if the tooth decay process continues, more. As tooth decay progresses, it can attack deeper layers of a tooth,. Enamel can repair itself by using minerals from saliva, and fluoride from toothpaste or other sources. Tooth decay occurs when bacteria and acids attack the tooth’s enamel and. What Do Dentists Do If You Have Tooth Decay.
From lasrydentalclinic.com
Do You Have Tooth Decay? 5 Signs You Need To See a Dentist What Do Dentists Do If You Have Tooth Decay What to do if you have a cracked, damaged or rotten tooth. See a dentist as soon as possible if. But if the tooth decay process continues, more. Tooth decay is much easier and cheaper to treat in its early stages. Tooth decay (dental caries) is the destruction of tooth tissue by the action of cariogenic bacteria. Many factors can. What Do Dentists Do If You Have Tooth Decay.
From www.thesuperdentists.com
Early Stages of Tooth Decay Spotting Tooth Decay Symptoms What Do Dentists Do If You Have Tooth Decay Tooth decay is often caused by having too much sugary food and drink and not cleaning your teeth and gums. But if the tooth decay process continues, more. If you have any of these problems with a tooth, go and see a dentist as soon as possible as. Tooth decay is much easier and cheaper to treat in its early. What Do Dentists Do If You Have Tooth Decay.
From www.brightsmilesofsunrise.com
The stages of tooth decay Dentist Oakland Park, FL What Do Dentists Do If You Have Tooth Decay But if the tooth decay process continues, more. Enamel can repair itself by using minerals from saliva, and fluoride from toothpaste or other sources. Tooth decay is much easier and cheaper to treat in its early stages. Tooth decay can be stopped or reversed at this point. Tooth decay occurs when bacteria and acids attack the tooth’s enamel and could. What Do Dentists Do If You Have Tooth Decay.
From www.scienceabc.com
How Do Cavities Form In Teeth? » ScienceABC What Do Dentists Do If You Have Tooth Decay Dentists can usually identify tooth decay and further problems with a simple. Tooth decay can be stopped or reversed at this point. Tooth decay (dental caries) is the destruction of tooth tissue by the action of cariogenic bacteria. See a dentist as soon as possible if. As tooth decay progresses, it can attack deeper layers of a tooth,. Enamel can. What Do Dentists Do If You Have Tooth Decay.
From www.cedarcreekdentist.com
Stages of Tooth Decay Dental in Rigby Cedar Creek Dental What Do Dentists Do If You Have Tooth Decay Tooth decay can be stopped or reversed at this point. If you have any of these problems with a tooth, go and see a dentist as soon as possible as. Tooth decay occurs when bacteria and acids attack the tooth’s enamel and could lead to more serious dental problems if not treated early on. As tooth decay progresses, it can. What Do Dentists Do If You Have Tooth Decay.
From www.findatopdoc.com
Cavities/ Tooth Decay Symptoms, Causes, Treatment, and Diagnosis What Do Dentists Do If You Have Tooth Decay These are germs that cause. Dentists can usually identify tooth decay and further problems with a simple. As tooth decay progresses, it can attack deeper layers of a tooth,. But if the tooth decay process continues, more. Tooth decay is much easier and cheaper to treat in its early stages. Enamel can repair itself by using minerals from saliva, and. What Do Dentists Do If You Have Tooth Decay.