What Is Nrbc On Blood Test . nrbc blood test is a diagnostic test that measures the number of nrbcs in your blood. Nrbc blood test is typically ordered as a part of a. nucleated red blood cells (nrbcs) are counted (regardless of technique, i.e. nucleated red blood cells (nrbcs) are immature red blood cells that have not yet expelled their nucleus. unlike standard blood tests that primarily focus on red and white blood cell counts, nrbc tests specifically measure the presence of nucleated red blood cells. Manual or automated) as white blood cells (wbc). nucleated red blood cells (nrbcs) are immature blood cells that have not completed development. Nucleated red blood cells are immature red blood cells that can indicate various health conditions when present in the bloodstream. Normally, red blood cells are nucleated, meaning they do not have a nucleus, as the nucleus is lost during their development to make room for more hemoglobin, which carries oxygen. nucleated red blood cells (nrbcs) are red blood cells that contain a nucleus. nucleated red blood cells (nrbc) are immature red blood cells. Their presence in the bloodstream may indicate serious problems with.
from www.researchgate.net
Normally, red blood cells are nucleated, meaning they do not have a nucleus, as the nucleus is lost during their development to make room for more hemoglobin, which carries oxygen. nucleated red blood cells (nrbcs) are red blood cells that contain a nucleus. Nucleated red blood cells are immature red blood cells that can indicate various health conditions when present in the bloodstream. Manual or automated) as white blood cells (wbc). Nrbc blood test is typically ordered as a part of a. nrbc blood test is a diagnostic test that measures the number of nrbcs in your blood. nucleated red blood cells (nrbcs) are immature blood cells that have not completed development. unlike standard blood tests that primarily focus on red and white blood cell counts, nrbc tests specifically measure the presence of nucleated red blood cells. Their presence in the bloodstream may indicate serious problems with. nucleated red blood cells (nrbcs) are counted (regardless of technique, i.e.
(PDF) A study on the measurement of the nucleated red blood cell (nRBC
What Is Nrbc On Blood Test nrbc blood test is a diagnostic test that measures the number of nrbcs in your blood. unlike standard blood tests that primarily focus on red and white blood cell counts, nrbc tests specifically measure the presence of nucleated red blood cells. Manual or automated) as white blood cells (wbc). Nucleated red blood cells are immature red blood cells that can indicate various health conditions when present in the bloodstream. Normally, red blood cells are nucleated, meaning they do not have a nucleus, as the nucleus is lost during their development to make room for more hemoglobin, which carries oxygen. nucleated red blood cells (nrbcs) are immature blood cells that have not completed development. Nrbc blood test is typically ordered as a part of a. nucleated red blood cells (nrbcs) are counted (regardless of technique, i.e. nrbc blood test is a diagnostic test that measures the number of nrbcs in your blood. nucleated red blood cells (nrbcs) are immature red blood cells that have not yet expelled their nucleus. Their presence in the bloodstream may indicate serious problems with. nucleated red blood cells (nrbcs) are red blood cells that contain a nucleus. nucleated red blood cells (nrbc) are immature red blood cells.
From guarden.co
تحليل Wbc الطبيعي في البول What Is Nrbc On Blood Test unlike standard blood tests that primarily focus on red and white blood cell counts, nrbc tests specifically measure the presence of nucleated red blood cells. Nrbc blood test is typically ordered as a part of a. Their presence in the bloodstream may indicate serious problems with. nucleated red blood cells (nrbcs) are red blood cells that contain a. What Is Nrbc On Blood Test.
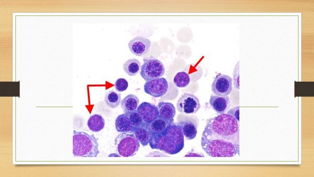
From blog.healthmatters.io
What are Nucleated red blood cell (NRBC)? HealthMatters.io Lab What Is Nrbc On Blood Test nucleated red blood cells (nrbcs) are counted (regardless of technique, i.e. Nrbc blood test is typically ordered as a part of a. Normally, red blood cells are nucleated, meaning they do not have a nucleus, as the nucleus is lost during their development to make room for more hemoglobin, which carries oxygen. Manual or automated) as white blood cells. What Is Nrbc On Blood Test.
From imagebank.hematology.org
Peripheral blood smear with too many NRBCs 1 What Is Nrbc On Blood Test Nucleated red blood cells are immature red blood cells that can indicate various health conditions when present in the bloodstream. Nrbc blood test is typically ordered as a part of a. Manual or automated) as white blood cells (wbc). nucleated red blood cells (nrbc) are immature red blood cells. nucleated red blood cells (nrbcs) are counted (regardless of. What Is Nrbc On Blood Test.
From www.labtestsguide.com
Nucleated red blood cells (NRBCs) Lab Tests Guide What Is Nrbc On Blood Test nucleated red blood cells (nrbcs) are immature red blood cells that have not yet expelled their nucleus. nucleated red blood cells (nrbc) are immature red blood cells. nucleated red blood cells (nrbcs) are immature blood cells that have not completed development. nucleated red blood cells (nrbcs) are red blood cells that contain a nucleus. nrbc. What Is Nrbc On Blood Test.
From www.youtube.com
Nucleated Cells on slide nRBC under microscope What is nRBC is What Is Nrbc On Blood Test nrbc blood test is a diagnostic test that measures the number of nrbcs in your blood. nucleated red blood cells (nrbcs) are red blood cells that contain a nucleus. nucleated red blood cells (nrbc) are immature red blood cells. unlike standard blood tests that primarily focus on red and white blood cell counts, nrbc tests specifically. What Is Nrbc On Blood Test.
From www.happyspeedy.com
NRBC Blood Test What Is Nrbc On Blood Test nrbc blood test is a diagnostic test that measures the number of nrbcs in your blood. nucleated red blood cells (nrbc) are immature red blood cells. nucleated red blood cells (nrbcs) are counted (regardless of technique, i.e. nucleated red blood cells (nrbcs) are immature red blood cells that have not yet expelled their nucleus. Nrbc blood. What Is Nrbc On Blood Test.
From blog.healthmatters.io
What are Nucleated red blood cell (NRBC)? What Is Nrbc On Blood Test unlike standard blood tests that primarily focus on red and white blood cell counts, nrbc tests specifically measure the presence of nucleated red blood cells. Normally, red blood cells are nucleated, meaning they do not have a nucleus, as the nucleus is lost during their development to make room for more hemoglobin, which carries oxygen. nucleated red blood. What Is Nrbc On Blood Test.
From www.slideshare.net
NRBC Nucleated Red Blood Cells What Is Nrbc On Blood Test Normally, red blood cells are nucleated, meaning they do not have a nucleus, as the nucleus is lost during their development to make room for more hemoglobin, which carries oxygen. Manual or automated) as white blood cells (wbc). Nrbc blood test is typically ordered as a part of a. nucleated red blood cells (nrbcs) are immature red blood cells. What Is Nrbc On Blood Test.
From matildahowells.z19.web.core.windows.net
List Of Normal Lab Values What Is Nrbc On Blood Test nucleated red blood cells (nrbc) are immature red blood cells. Manual or automated) as white blood cells (wbc). nucleated red blood cells (nrbcs) are immature blood cells that have not completed development. Nucleated red blood cells are immature red blood cells that can indicate various health conditions when present in the bloodstream. nucleated red blood cells (nrbcs). What Is Nrbc On Blood Test.
From vetclinpathimages.com
metarubricyte Cells and Smears What Is Nrbc On Blood Test Nrbc blood test is typically ordered as a part of a. nucleated red blood cells (nrbcs) are red blood cells that contain a nucleus. Nucleated red blood cells are immature red blood cells that can indicate various health conditions when present in the bloodstream. nrbc blood test is a diagnostic test that measures the number of nrbcs in. What Is Nrbc On Blood Test.
From healthlibrary.askapollo.com
Complete Blood Count Test What is it's Significance and Importance What Is Nrbc On Blood Test nucleated red blood cells (nrbcs) are red blood cells that contain a nucleus. Nucleated red blood cells are immature red blood cells that can indicate various health conditions when present in the bloodstream. nucleated red blood cells (nrbcs) are immature blood cells that have not completed development. Manual or automated) as white blood cells (wbc). nrbc blood. What Is Nrbc On Blood Test.
From eclinpath.com
basophilic stippling eClinpath What Is Nrbc On Blood Test nucleated red blood cells (nrbcs) are immature red blood cells that have not yet expelled their nucleus. unlike standard blood tests that primarily focus on red and white blood cell counts, nrbc tests specifically measure the presence of nucleated red blood cells. nucleated red blood cells (nrbcs) are red blood cells that contain a nucleus. Nrbc blood. What Is Nrbc On Blood Test.
From www.thebloodproject.com
How are nucleated RBCs (nRBCs) counted? • The Blood Project What Is Nrbc On Blood Test Manual or automated) as white blood cells (wbc). Normally, red blood cells are nucleated, meaning they do not have a nucleus, as the nucleus is lost during their development to make room for more hemoglobin, which carries oxygen. Nrbc blood test is typically ordered as a part of a. nucleated red blood cells (nrbcs) are counted (regardless of technique,. What Is Nrbc On Blood Test.
From eclinpath.com
Camelid blood eClinpath What Is Nrbc On Blood Test unlike standard blood tests that primarily focus on red and white blood cell counts, nrbc tests specifically measure the presence of nucleated red blood cells. nucleated red blood cells (nrbcs) are counted (regardless of technique, i.e. nucleated red blood cells (nrbc) are immature red blood cells. nucleated red blood cells (nrbcs) are immature blood cells that. What Is Nrbc On Blood Test.
From imagebank.hematology.org
Presence of nucleated RBCs (NRBCs) in peripheral blood smear 1 What Is Nrbc On Blood Test Manual or automated) as white blood cells (wbc). nucleated red blood cells (nrbcs) are immature red blood cells that have not yet expelled their nucleus. Their presence in the bloodstream may indicate serious problems with. unlike standard blood tests that primarily focus on red and white blood cell counts, nrbc tests specifically measure the presence of nucleated red. What Is Nrbc On Blood Test.
From exocnatxe.blob.core.windows.net
Cbc Differential Count Interpretation at Anthony Molinaro blog What Is Nrbc On Blood Test nucleated red blood cells (nrbcs) are red blood cells that contain a nucleus. Nrbc blood test is typically ordered as a part of a. Their presence in the bloodstream may indicate serious problems with. nucleated red blood cells (nrbc) are immature red blood cells. Nucleated red blood cells are immature red blood cells that can indicate various health. What Is Nrbc On Blood Test.
From www.eclinpath.com
lymphocyte Archives eClinpath What Is Nrbc On Blood Test nrbc blood test is a diagnostic test that measures the number of nrbcs in your blood. Nrbc blood test is typically ordered as a part of a. Their presence in the bloodstream may indicate serious problems with. nucleated red blood cells (nrbcs) are counted (regardless of technique, i.e. nucleated red blood cells (nrbcs) are immature red blood. What Is Nrbc On Blood Test.
From www.youtube.com
Plasma Cell versus nRBC YouTube What Is Nrbc On Blood Test Nucleated red blood cells are immature red blood cells that can indicate various health conditions when present in the bloodstream. nucleated red blood cells (nrbcs) are immature red blood cells that have not yet expelled their nucleus. nrbc blood test is a diagnostic test that measures the number of nrbcs in your blood. nucleated red blood cells. What Is Nrbc On Blood Test.
From www.researchgate.net
(PDF) A study on the measurement of the nucleated red blood cell (nRBC What Is Nrbc On Blood Test unlike standard blood tests that primarily focus on red and white blood cell counts, nrbc tests specifically measure the presence of nucleated red blood cells. Their presence in the bloodstream may indicate serious problems with. nucleated red blood cells (nrbcs) are red blood cells that contain a nucleus. Nucleated red blood cells are immature red blood cells that. What Is Nrbc On Blood Test.
From textbookhaematology4medical-scientist.blogspot.com
Haematology in a NutShell WBC Correction for the Presence of Nucleated What Is Nrbc On Blood Test Normally, red blood cells are nucleated, meaning they do not have a nucleus, as the nucleus is lost during their development to make room for more hemoglobin, which carries oxygen. Their presence in the bloodstream may indicate serious problems with. Nucleated red blood cells are immature red blood cells that can indicate various health conditions when present in the bloodstream.. What Is Nrbc On Blood Test.
From hubpages.com
How To Transcribe A Complete Blood Count hubpages What Is Nrbc On Blood Test nrbc blood test is a diagnostic test that measures the number of nrbcs in your blood. Normally, red blood cells are nucleated, meaning they do not have a nucleus, as the nucleus is lost during their development to make room for more hemoglobin, which carries oxygen. nucleated red blood cells (nrbc) are immature red blood cells. Nucleated red. What Is Nrbc On Blood Test.
From poe.com
What is the significance of consistently having 0.1 NRBC Auto Rel on What Is Nrbc On Blood Test unlike standard blood tests that primarily focus on red and white blood cell counts, nrbc tests specifically measure the presence of nucleated red blood cells. nrbc blood test is a diagnostic test that measures the number of nrbcs in your blood. Nucleated red blood cells are immature red blood cells that can indicate various health conditions when present. What Is Nrbc On Blood Test.
From blog.healthmatters.io
What are Nucleated red blood cell (NRBC)? HealthMatters.io Lab What Is Nrbc On Blood Test Manual or automated) as white blood cells (wbc). nrbc blood test is a diagnostic test that measures the number of nrbcs in your blood. unlike standard blood tests that primarily focus on red and white blood cell counts, nrbc tests specifically measure the presence of nucleated red blood cells. nucleated red blood cells (nrbcs) are counted (regardless. What Is Nrbc On Blood Test.
From www.healthline.com
Nucleated Red Blood Cell (NRBC) Blood Test Purpose, Results What Is Nrbc On Blood Test nucleated red blood cells (nrbcs) are immature blood cells that have not completed development. nucleated red blood cells (nrbcs) are counted (regardless of technique, i.e. nucleated red blood cells (nrbc) are immature red blood cells. nrbc blood test is a diagnostic test that measures the number of nrbcs in your blood. nucleated red blood cells. What Is Nrbc On Blood Test.
From exozsentq.blob.core.windows.net
Differential Wbc Count Clinical Significance at Shawn Hollis blog What Is Nrbc On Blood Test nucleated red blood cells (nrbcs) are counted (regardless of technique, i.e. Nucleated red blood cells are immature red blood cells that can indicate various health conditions when present in the bloodstream. nucleated red blood cells (nrbcs) are immature blood cells that have not completed development. unlike standard blood tests that primarily focus on red and white blood. What Is Nrbc On Blood Test.
From fn.bmj.com
Nucleated red blood cell count in term and preterm newborns reference What Is Nrbc On Blood Test nucleated red blood cells (nrbcs) are immature blood cells that have not completed development. Normally, red blood cells are nucleated, meaning they do not have a nucleus, as the nucleus is lost during their development to make room for more hemoglobin, which carries oxygen. nucleated red blood cells (nrbcs) are immature red blood cells that have not yet. What Is Nrbc On Blood Test.
From cura4u.com
Interpreting NRBC Blood Test Results in the Context of Health and What Is Nrbc On Blood Test nucleated red blood cells (nrbcs) are red blood cells that contain a nucleus. nucleated red blood cells (nrbc) are immature red blood cells. nucleated red blood cells (nrbcs) are counted (regardless of technique, i.e. Their presence in the bloodstream may indicate serious problems with. nucleated red blood cells (nrbcs) are immature blood cells that have not. What Is Nrbc On Blood Test.
From www.vrogue.co
Complete Blood Count Cbc Test Results Interpretation vrogue.co What Is Nrbc On Blood Test nucleated red blood cells (nrbcs) are immature blood cells that have not completed development. Nucleated red blood cells are immature red blood cells that can indicate various health conditions when present in the bloodstream. Their presence in the bloodstream may indicate serious problems with. nrbc blood test is a diagnostic test that measures the number of nrbcs in. What Is Nrbc On Blood Test.
From www.speedysticks.com
Your Guide to NRBC Blood Test What It Means and Why It’s Important What Is Nrbc On Blood Test nucleated red blood cells (nrbcs) are immature red blood cells that have not yet expelled their nucleus. Nrbc blood test is typically ordered as a part of a. Normally, red blood cells are nucleated, meaning they do not have a nucleus, as the nucleus is lost during their development to make room for more hemoglobin, which carries oxygen. . What Is Nrbc On Blood Test.
From slidetodoc.com
Practical Hematology Lab LAB 1 Blood Smear Examination What Is Nrbc On Blood Test nucleated red blood cells (nrbcs) are red blood cells that contain a nucleus. nucleated red blood cells (nrbcs) are immature red blood cells that have not yet expelled their nucleus. nucleated red blood cells (nrbcs) are counted (regardless of technique, i.e. nucleated red blood cells (nrbcs) are immature blood cells that have not completed development. Manual. What Is Nrbc On Blood Test.
From www.eclinpath.com
Nucleated RBC versus lymphocytes eClinpath What Is Nrbc On Blood Test nucleated red blood cells (nrbcs) are red blood cells that contain a nucleus. nucleated red blood cells (nrbcs) are immature blood cells that have not completed development. unlike standard blood tests that primarily focus on red and white blood cell counts, nrbc tests specifically measure the presence of nucleated red blood cells. nucleated red blood cells. What Is Nrbc On Blood Test.
From www.ccjm.org
Three neglected numbers in the CBC The RDW, MPV, and NRBC count What Is Nrbc On Blood Test nucleated red blood cells (nrbcs) are immature red blood cells that have not yet expelled their nucleus. nucleated red blood cells (nrbc) are immature red blood cells. Normally, red blood cells are nucleated, meaning they do not have a nucleus, as the nucleus is lost during their development to make room for more hemoglobin, which carries oxygen. Nrbc. What Is Nrbc On Blood Test.
From www.reddit.com
Toddler had a Nucleated Red Blood Cell (NRBC) Please advise!! AskDocs What Is Nrbc On Blood Test Manual or automated) as white blood cells (wbc). Their presence in the bloodstream may indicate serious problems with. nrbc blood test is a diagnostic test that measures the number of nrbcs in your blood. nucleated red blood cells (nrbcs) are immature red blood cells that have not yet expelled their nucleus. unlike standard blood tests that primarily. What Is Nrbc On Blood Test.
From cartoondealer.com
Blood Smear Anemia Patient Show NRBC Medical Science RoyaltyFree Stock What Is Nrbc On Blood Test nucleated red blood cells (nrbcs) are red blood cells that contain a nucleus. nucleated red blood cells (nrbc) are immature red blood cells. Nucleated red blood cells are immature red blood cells that can indicate various health conditions when present in the bloodstream. Nrbc blood test is typically ordered as a part of a. Their presence in the. What Is Nrbc On Blood Test.
From imagebank.hematology.org
NRBC’s 1. What Is Nrbc On Blood Test nucleated red blood cells (nrbcs) are immature blood cells that have not completed development. Normally, red blood cells are nucleated, meaning they do not have a nucleus, as the nucleus is lost during their development to make room for more hemoglobin, which carries oxygen. nucleated red blood cells (nrbcs) are immature red blood cells that have not yet. What Is Nrbc On Blood Test.