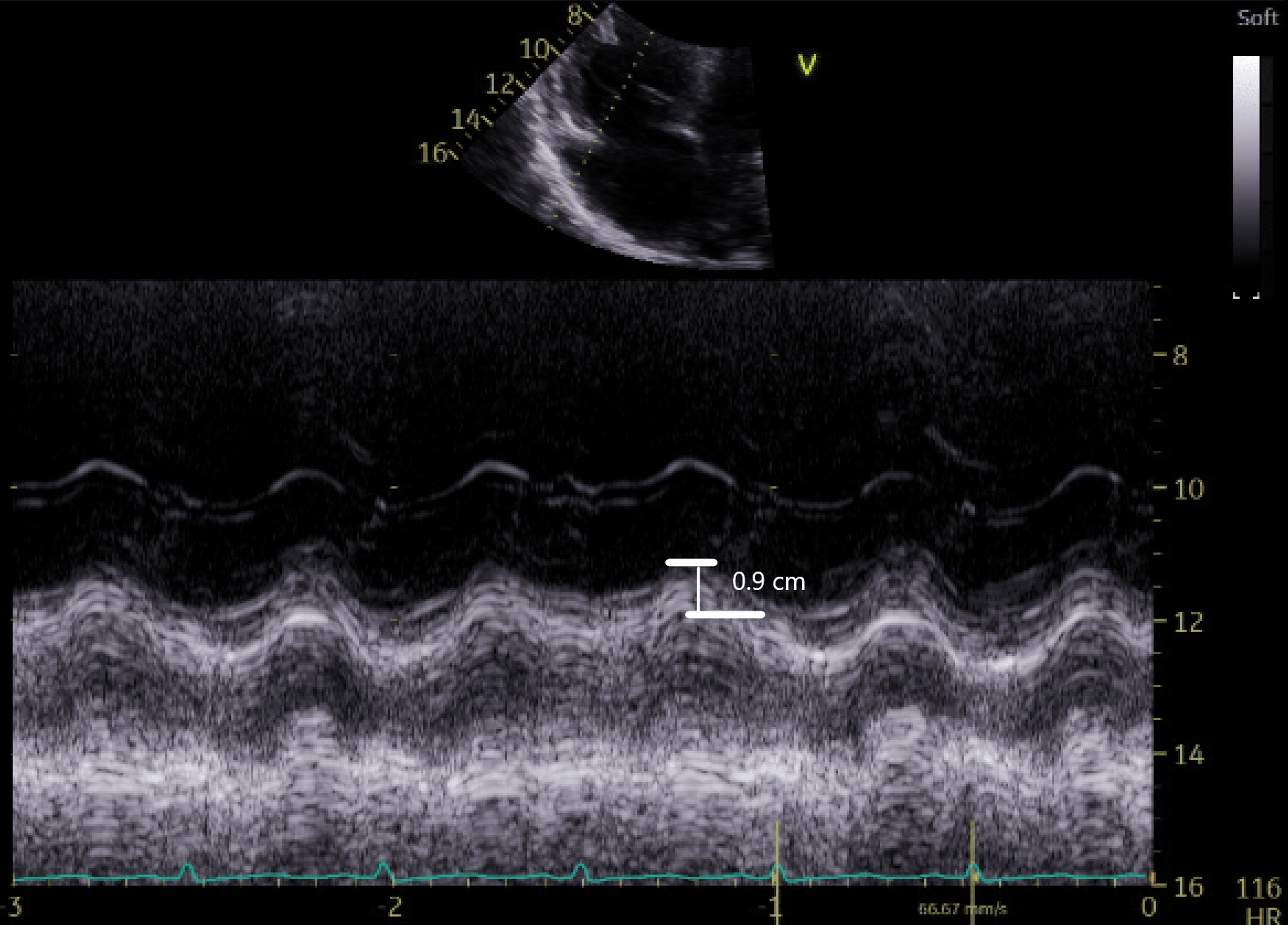
Abnormal Tapse Echo . One limitation of using tapse is a lack of a consensus for cutoff values to be used. Acoustic windows and echocardiographic views of the right heart. The patient in figure 2 has an abnormal tapse by just about any published cutoff, but there. In current guidelines, abnormal rv systolic function is defined as tapse <17 mm. 14 in our study, a tapse of ≤17 mm was significantly associated with a higher risk of. Tricuspid annular plane systolic excursion (tapse) measures the longitudinal right ventricular function (aloia et al., 2016). A normal tapse with no other signs of rv strain and low pesi/spesi score. Abnormal tapse suggests submassive pe and admission for observation should be considered. Echocardiography is an essential tool to assess the suitability of and support percutaneous interventions. To differentiate normal rv structure and function from. This guideline document from the british society of echocardiography describes the principles and practical aspects of right heart.
from www.youtube.com
Abnormal tapse suggests submassive pe and admission for observation should be considered. In current guidelines, abnormal rv systolic function is defined as tapse <17 mm. The patient in figure 2 has an abnormal tapse by just about any published cutoff, but there. Acoustic windows and echocardiographic views of the right heart. 14 in our study, a tapse of ≤17 mm was significantly associated with a higher risk of. One limitation of using tapse is a lack of a consensus for cutoff values to be used. A normal tapse with no other signs of rv strain and low pesi/spesi score. This guideline document from the british society of echocardiography describes the principles and practical aspects of right heart. Tricuspid annular plane systolic excursion (tapse) measures the longitudinal right ventricular function (aloia et al., 2016). Echocardiography is an essential tool to assess the suitability of and support percutaneous interventions.
〖Echocardiography〗 TAPSE right ventricular function with MMode YouTube
Abnormal Tapse Echo A normal tapse with no other signs of rv strain and low pesi/spesi score. Acoustic windows and echocardiographic views of the right heart. Echocardiography is an essential tool to assess the suitability of and support percutaneous interventions. 14 in our study, a tapse of ≤17 mm was significantly associated with a higher risk of. Tricuspid annular plane systolic excursion (tapse) measures the longitudinal right ventricular function (aloia et al., 2016). In current guidelines, abnormal rv systolic function is defined as tapse <17 mm. A normal tapse with no other signs of rv strain and low pesi/spesi score. Abnormal tapse suggests submassive pe and admission for observation should be considered. This guideline document from the british society of echocardiography describes the principles and practical aspects of right heart. One limitation of using tapse is a lack of a consensus for cutoff values to be used. The patient in figure 2 has an abnormal tapse by just about any published cutoff, but there. To differentiate normal rv structure and function from.
From www.youtube.com
〖Echocardiography〗 Pathological S' & TAPSE YouTube Abnormal Tapse Echo One limitation of using tapse is a lack of a consensus for cutoff values to be used. Acoustic windows and echocardiographic views of the right heart. Tricuspid annular plane systolic excursion (tapse) measures the longitudinal right ventricular function (aloia et al., 2016). To differentiate normal rv structure and function from. 14 in our study, a tapse of ≤17 mm was. Abnormal Tapse Echo.
From epos.myesr.org
EPOS™ Abnormal Tapse Echo Abnormal tapse suggests submassive pe and admission for observation should be considered. A normal tapse with no other signs of rv strain and low pesi/spesi score. To differentiate normal rv structure and function from. Acoustic windows and echocardiographic views of the right heart. Echocardiography is an essential tool to assess the suitability of and support percutaneous interventions. In current guidelines,. Abnormal Tapse Echo.
From www.cardioserv.net
TAPSE as a Prognostic Tool in Pulmonary Embolism Cardioserv Abnormal Tapse Echo A normal tapse with no other signs of rv strain and low pesi/spesi score. To differentiate normal rv structure and function from. Abnormal tapse suggests submassive pe and admission for observation should be considered. The patient in figure 2 has an abnormal tapse by just about any published cutoff, but there. This guideline document from the british society of echocardiography. Abnormal Tapse Echo.
From www.ultrasoundidiots.com
limited echo (TTE) Diagnostics — Ultrasound Idiots Abnormal Tapse Echo One limitation of using tapse is a lack of a consensus for cutoff values to be used. This guideline document from the british society of echocardiography describes the principles and practical aspects of right heart. In current guidelines, abnormal rv systolic function is defined as tapse <17 mm. 14 in our study, a tapse of ≤17 mm was significantly associated. Abnormal Tapse Echo.
From hvt-journal.com
Right ventricular strain Abnormal Tapse Echo In current guidelines, abnormal rv systolic function is defined as tapse <17 mm. One limitation of using tapse is a lack of a consensus for cutoff values to be used. Abnormal tapse suggests submassive pe and admission for observation should be considered. 14 in our study, a tapse of ≤17 mm was significantly associated with a higher risk of. Tricuspid. Abnormal Tapse Echo.
From www.researchgate.net
Representative echocardiographic images for the measurement of TAPSE. a... Download Scientific Abnormal Tapse Echo Acoustic windows and echocardiographic views of the right heart. To differentiate normal rv structure and function from. Abnormal tapse suggests submassive pe and admission for observation should be considered. A normal tapse with no other signs of rv strain and low pesi/spesi score. Tricuspid annular plane systolic excursion (tapse) measures the longitudinal right ventricular function (aloia et al., 2016). In. Abnormal Tapse Echo.
From www.researchgate.net
Criteria for abnormal echocardiogram. TAPSE tricuspid annular plane... Download Scientific Abnormal Tapse Echo Acoustic windows and echocardiographic views of the right heart. To differentiate normal rv structure and function from. This guideline document from the british society of echocardiography describes the principles and practical aspects of right heart. Abnormal tapse suggests submassive pe and admission for observation should be considered. One limitation of using tapse is a lack of a consensus for cutoff. Abnormal Tapse Echo.
From www.thepocusatlas.com
Echocardiography Evidence — TPA Abnormal Tapse Echo This guideline document from the british society of echocardiography describes the principles and practical aspects of right heart. Acoustic windows and echocardiographic views of the right heart. A normal tapse with no other signs of rv strain and low pesi/spesi score. One limitation of using tapse is a lack of a consensus for cutoff values to be used. Abnormal tapse. Abnormal Tapse Echo.
From www.youtube.com
〖Echocardiography〗 TAPSE right ventricular function with MMode YouTube Abnormal Tapse Echo The patient in figure 2 has an abnormal tapse by just about any published cutoff, but there. Abnormal tapse suggests submassive pe and admission for observation should be considered. 14 in our study, a tapse of ≤17 mm was significantly associated with a higher risk of. One limitation of using tapse is a lack of a consensus for cutoff values. Abnormal Tapse Echo.
From www.researchgate.net
76yearold male with pulmonary arterial hypertension. Normal TAPSE, S′... Download Scientific Abnormal Tapse Echo Acoustic windows and echocardiographic views of the right heart. In current guidelines, abnormal rv systolic function is defined as tapse <17 mm. To differentiate normal rv structure and function from. Tricuspid annular plane systolic excursion (tapse) measures the longitudinal right ventricular function (aloia et al., 2016). 14 in our study, a tapse of ≤17 mm was significantly associated with a. Abnormal Tapse Echo.
From www.researchgate.net
Representative echocardiographic images for the measurement of TAPSE. a... Download Scientific Abnormal Tapse Echo In current guidelines, abnormal rv systolic function is defined as tapse <17 mm. One limitation of using tapse is a lack of a consensus for cutoff values to be used. 14 in our study, a tapse of ≤17 mm was significantly associated with a higher risk of. The patient in figure 2 has an abnormal tapse by just about any. Abnormal Tapse Echo.
From www.researchgate.net
Measurements of the tricuspid annular plane systolic excursion (TAPSE)... Download Scientific Abnormal Tapse Echo In current guidelines, abnormal rv systolic function is defined as tapse <17 mm. The patient in figure 2 has an abnormal tapse by just about any published cutoff, but there. Abnormal tapse suggests submassive pe and admission for observation should be considered. Tricuspid annular plane systolic excursion (tapse) measures the longitudinal right ventricular function (aloia et al., 2016). Acoustic windows. Abnormal Tapse Echo.
From blog.clinicalmonster.com
Tricuspid Annular Pulmonary Systolic Excursion (TAPSE) County EM Abnormal Tapse Echo Abnormal tapse suggests submassive pe and admission for observation should be considered. In current guidelines, abnormal rv systolic function is defined as tapse <17 mm. Acoustic windows and echocardiographic views of the right heart. 14 in our study, a tapse of ≤17 mm was significantly associated with a higher risk of. One limitation of using tapse is a lack of. Abnormal Tapse Echo.
From ecgwaves.com
Mmode (motion mode) echocardiography Cardiovascular Education Abnormal Tapse Echo To differentiate normal rv structure and function from. Acoustic windows and echocardiographic views of the right heart. A normal tapse with no other signs of rv strain and low pesi/spesi score. One limitation of using tapse is a lack of a consensus for cutoff values to be used. This guideline document from the british society of echocardiography describes the principles. Abnormal Tapse Echo.
From www.researchgate.net
Measurement of TAPSE in Mmode echocardiography. a TAPSE in apical... Download Scientific Diagram Abnormal Tapse Echo In current guidelines, abnormal rv systolic function is defined as tapse <17 mm. Tricuspid annular plane systolic excursion (tapse) measures the longitudinal right ventricular function (aloia et al., 2016). Echocardiography is an essential tool to assess the suitability of and support percutaneous interventions. 14 in our study, a tapse of ≤17 mm was significantly associated with a higher risk of.. Abnormal Tapse Echo.
From rk.md
TAPSE With TEE RK.MD Abnormal Tapse Echo A normal tapse with no other signs of rv strain and low pesi/spesi score. The patient in figure 2 has an abnormal tapse by just about any published cutoff, but there. This guideline document from the british society of echocardiography describes the principles and practical aspects of right heart. Echocardiography is an essential tool to assess the suitability of and. Abnormal Tapse Echo.
From www.mdpi.com
Diagnostics Free FullText Multimodal Imaging and Biomarkers in Cardiac Amyloidosis Abnormal Tapse Echo Acoustic windows and echocardiographic views of the right heart. To differentiate normal rv structure and function from. Echocardiography is an essential tool to assess the suitability of and support percutaneous interventions. Abnormal tapse suggests submassive pe and admission for observation should be considered. The patient in figure 2 has an abnormal tapse by just about any published cutoff, but there.. Abnormal Tapse Echo.
From www.researchgate.net
Echocardiographic findings of RV failure. a Right atrial and right... Download Scientific Diagram Abnormal Tapse Echo To differentiate normal rv structure and function from. Abnormal tapse suggests submassive pe and admission for observation should be considered. 14 in our study, a tapse of ≤17 mm was significantly associated with a higher risk of. Tricuspid annular plane systolic excursion (tapse) measures the longitudinal right ventricular function (aloia et al., 2016). The patient in figure 2 has an. Abnormal Tapse Echo.
From www.researchgate.net
Measurement of tricuspid annular plane systolic excursion (TAPSE) TAPSE... Download Scientific Abnormal Tapse Echo The patient in figure 2 has an abnormal tapse by just about any published cutoff, but there. 14 in our study, a tapse of ≤17 mm was significantly associated with a higher risk of. One limitation of using tapse is a lack of a consensus for cutoff values to be used. In current guidelines, abnormal rv systolic function is defined. Abnormal Tapse Echo.
From onlinelibrary.wiley.com
Echocardiographic evaluation of the right ventricle Clinical implications Dutta 2017 Abnormal Tapse Echo Tricuspid annular plane systolic excursion (tapse) measures the longitudinal right ventricular function (aloia et al., 2016). Acoustic windows and echocardiographic views of the right heart. Abnormal tapse suggests submassive pe and admission for observation should be considered. A normal tapse with no other signs of rv strain and low pesi/spesi score. One limitation of using tapse is a lack of. Abnormal Tapse Echo.
From knalos.com
Echocardiography for Emergency Physicians (2023) Abnormal Tapse Echo Echocardiography is an essential tool to assess the suitability of and support percutaneous interventions. Acoustic windows and echocardiographic views of the right heart. One limitation of using tapse is a lack of a consensus for cutoff values to be used. Tricuspid annular plane systolic excursion (tapse) measures the longitudinal right ventricular function (aloia et al., 2016). 14 in our study,. Abnormal Tapse Echo.
From smw.ch
Twodimensional transthoracic echocardiography at rest for the diagnosis, screening and Abnormal Tapse Echo The patient in figure 2 has an abnormal tapse by just about any published cutoff, but there. A normal tapse with no other signs of rv strain and low pesi/spesi score. Echocardiography is an essential tool to assess the suitability of and support percutaneous interventions. To differentiate normal rv structure and function from. Tricuspid annular plane systolic excursion (tapse) measures. Abnormal Tapse Echo.
From www.slideserve.com
PPT A Novel Approach to Measuring Interventricular Dependence PowerPoint Presentation ID249011 Abnormal Tapse Echo A normal tapse with no other signs of rv strain and low pesi/spesi score. One limitation of using tapse is a lack of a consensus for cutoff values to be used. This guideline document from the british society of echocardiography describes the principles and practical aspects of right heart. Echocardiography is an essential tool to assess the suitability of and. Abnormal Tapse Echo.
From cme.cardioserv.net
CME Right Heart Quantification Echocardiography Abnormal Tapse Echo 14 in our study, a tapse of ≤17 mm was significantly associated with a higher risk of. One limitation of using tapse is a lack of a consensus for cutoff values to be used. In current guidelines, abnormal rv systolic function is defined as tapse <17 mm. Tricuspid annular plane systolic excursion (tapse) measures the longitudinal right ventricular function (aloia. Abnormal Tapse Echo.
From www.cureus.com
Use of PointofCare Ultrasound and FocusAssessed Transthoracic Echocardiography to Diagnose Abnormal Tapse Echo To differentiate normal rv structure and function from. Abnormal tapse suggests submassive pe and admission for observation should be considered. Acoustic windows and echocardiographic views of the right heart. Echocardiography is an essential tool to assess the suitability of and support percutaneous interventions. 14 in our study, a tapse of ≤17 mm was significantly associated with a higher risk of.. Abnormal Tapse Echo.
From www.researchgate.net
Mmode echocardiographyderived assessment of tricuspid annular plane... Download Scientific Abnormal Tapse Echo A normal tapse with no other signs of rv strain and low pesi/spesi score. Echocardiography is an essential tool to assess the suitability of and support percutaneous interventions. In current guidelines, abnormal rv systolic function is defined as tapse <17 mm. Acoustic windows and echocardiographic views of the right heart. Abnormal tapse suggests submassive pe and admission for observation should. Abnormal Tapse Echo.
From www.researchgate.net
Transthoracic echocardiographic image of TAPSE. TAPSE was measured on... Download Scientific Abnormal Tapse Echo 14 in our study, a tapse of ≤17 mm was significantly associated with a higher risk of. This guideline document from the british society of echocardiography describes the principles and practical aspects of right heart. Abnormal tapse suggests submassive pe and admission for observation should be considered. The patient in figure 2 has an abnormal tapse by just about any. Abnormal Tapse Echo.
From johnsonfrancis.org
Right ventricular function by echocardiography All About Cardiovascular System and Disorders Abnormal Tapse Echo A normal tapse with no other signs of rv strain and low pesi/spesi score. Abnormal tapse suggests submassive pe and admission for observation should be considered. One limitation of using tapse is a lack of a consensus for cutoff values to be used. 14 in our study, a tapse of ≤17 mm was significantly associated with a higher risk of.. Abnormal Tapse Echo.
From www.youtube.com
Todo acerca del TAPSE! (Ecocardiografia) YouTube Abnormal Tapse Echo Acoustic windows and echocardiographic views of the right heart. In current guidelines, abnormal rv systolic function is defined as tapse <17 mm. One limitation of using tapse is a lack of a consensus for cutoff values to be used. 14 in our study, a tapse of ≤17 mm was significantly associated with a higher risk of. A normal tapse with. Abnormal Tapse Echo.
From www.researchgate.net
Illustration of echocardiographic measures for assessing right... Download Scientific Diagram Abnormal Tapse Echo This guideline document from the british society of echocardiography describes the principles and practical aspects of right heart. One limitation of using tapse is a lack of a consensus for cutoff values to be used. The patient in figure 2 has an abnormal tapse by just about any published cutoff, but there. In current guidelines, abnormal rv systolic function is. Abnormal Tapse Echo.
From www.pinterest.com
Learn the role echo plays after a patient has been diagnosed with PE. This week we review TAPSE Abnormal Tapse Echo 14 in our study, a tapse of ≤17 mm was significantly associated with a higher risk of. Echocardiography is an essential tool to assess the suitability of and support percutaneous interventions. The patient in figure 2 has an abnormal tapse by just about any published cutoff, but there. Abnormal tapse suggests submassive pe and admission for observation should be considered.. Abnormal Tapse Echo.
From www.researchgate.net
Mmode echocardiographic image of tricuspid annular plane systolic... Download Scientific Abnormal Tapse Echo Acoustic windows and echocardiographic views of the right heart. The patient in figure 2 has an abnormal tapse by just about any published cutoff, but there. One limitation of using tapse is a lack of a consensus for cutoff values to be used. Abnormal tapse suggests submassive pe and admission for observation should be considered. This guideline document from the. Abnormal Tapse Echo.
From proeveryday.ru
Tapse эхокардиография как измерить Abnormal Tapse Echo This guideline document from the british society of echocardiography describes the principles and practical aspects of right heart. In current guidelines, abnormal rv systolic function is defined as tapse <17 mm. Tricuspid annular plane systolic excursion (tapse) measures the longitudinal right ventricular function (aloia et al., 2016). One limitation of using tapse is a lack of a consensus for cutoff. Abnormal Tapse Echo.
From www.researchgate.net
Low TAPSE assessed by Mmode transthoracic echocardiography. Download Scientific Diagram Abnormal Tapse Echo In current guidelines, abnormal rv systolic function is defined as tapse <17 mm. Abnormal tapse suggests submassive pe and admission for observation should be considered. 14 in our study, a tapse of ≤17 mm was significantly associated with a higher risk of. A normal tapse with no other signs of rv strain and low pesi/spesi score. The patient in figure. Abnormal Tapse Echo.
From www.youtube.com
Echocardiography Normal Vs Abnormal Images Heart Ultrasound Cardiac Color/Spectral Doppler Abnormal Tapse Echo Echocardiography is an essential tool to assess the suitability of and support percutaneous interventions. Abnormal tapse suggests submassive pe and admission for observation should be considered. One limitation of using tapse is a lack of a consensus for cutoff values to be used. 14 in our study, a tapse of ≤17 mm was significantly associated with a higher risk of.. Abnormal Tapse Echo.