Brackets De Autoligado Esteticos . De esta manera, no necesitan ligaduras que unan los brackets al arco. los brackets autoligables estéticos son un tipo de brackets que no necesitan ligaduras o gomas. los ortodoncia con brackets autoligables es un tipo de tratamiento que mueve los dientes mediante las fuerzas que ejercen los arcos. brackets autoligables vs alineadores invisibles impress. los brackets autoligables son una versión mejorada de los brackets convencionales, ofreciendo comodidad, eficiencia y estética. los brackets autoligables son uno de los tratamientos de. los brackets autoligables son un sistema de ortodoncia que utiliza unos brackets especiales que no necesitan ligaduras (también conocidas como gomas). Veamos en qué se diferencian de los brackets autoligables. Los alineadores invisibles han revolucionado el mercado de la ortodoncia en los últimos años, ofreciendo una opción más estética, práctica y cómoda para el paciente. Esto se debe a que cada bracket contiene un clip que permite sujetarlo al arco. Sus arcos se sujetan mediante un clip que realiza la presión. los brackets autoligados, también conocidos como brackets inteligentes, son un tipo de ortodocia que no requiere ligas, gomas o elásticos para.
from clinicadentalvelinta.com
Veamos en qué se diferencian de los brackets autoligables. Sus arcos se sujetan mediante un clip que realiza la presión. los brackets autoligables son un sistema de ortodoncia que utiliza unos brackets especiales que no necesitan ligaduras (también conocidas como gomas). los brackets autoligables estéticos son un tipo de brackets que no necesitan ligaduras o gomas. Los alineadores invisibles han revolucionado el mercado de la ortodoncia en los últimos años, ofreciendo una opción más estética, práctica y cómoda para el paciente. los brackets autoligados, también conocidos como brackets inteligentes, son un tipo de ortodocia que no requiere ligas, gomas o elásticos para. los ortodoncia con brackets autoligables es un tipo de tratamiento que mueve los dientes mediante las fuerzas que ejercen los arcos. los brackets autoligables son una versión mejorada de los brackets convencionales, ofreciendo comodidad, eficiencia y estética. De esta manera, no necesitan ligaduras que unan los brackets al arco. brackets autoligables vs alineadores invisibles impress.
Brackets de autoligado Clínica Velinta
Brackets De Autoligado Esteticos Veamos en qué se diferencian de los brackets autoligables. Sus arcos se sujetan mediante un clip que realiza la presión. Veamos en qué se diferencian de los brackets autoligables. los brackets autoligables son uno de los tratamientos de. los brackets autoligables son un sistema de ortodoncia que utiliza unos brackets especiales que no necesitan ligaduras (también conocidas como gomas). los ortodoncia con brackets autoligables es un tipo de tratamiento que mueve los dientes mediante las fuerzas que ejercen los arcos. los brackets autoligables estéticos son un tipo de brackets que no necesitan ligaduras o gomas. los brackets autoligados, también conocidos como brackets inteligentes, son un tipo de ortodocia que no requiere ligas, gomas o elásticos para. los brackets autoligables son una versión mejorada de los brackets convencionales, ofreciendo comodidad, eficiencia y estética. Los alineadores invisibles han revolucionado el mercado de la ortodoncia en los últimos años, ofreciendo una opción más estética, práctica y cómoda para el paciente. Esto se debe a que cada bracket contiene un clip que permite sujetarlo al arco. brackets autoligables vs alineadores invisibles impress. De esta manera, no necesitan ligaduras que unan los brackets al arco.
From dentalortholipe.com.br
Aparelho Autoligado você sabe usar? Blog Dental Ortho Lipe Brackets De Autoligado Esteticos los brackets autoligables son una versión mejorada de los brackets convencionales, ofreciendo comodidad, eficiencia y estética. Veamos en qué se diferencian de los brackets autoligables. Los alineadores invisibles han revolucionado el mercado de la ortodoncia en los últimos años, ofreciendo una opción más estética, práctica y cómoda para el paciente. los ortodoncia con brackets autoligables es un tipo. Brackets De Autoligado Esteticos.
From dentalixclinic.com
Brackets de Autoligado Estético odontologia en Envigado odontologia Brackets De Autoligado Esteticos los brackets autoligables estéticos son un tipo de brackets que no necesitan ligaduras o gomas. Sus arcos se sujetan mediante un clip que realiza la presión. De esta manera, no necesitan ligaduras que unan los brackets al arco. los ortodoncia con brackets autoligables es un tipo de tratamiento que mueve los dientes mediante las fuerzas que ejercen los. Brackets De Autoligado Esteticos.
From www.youtube.com
Brackets de Autoligado Metálicos y Estéticos Damon System Clarity Brackets De Autoligado Esteticos brackets autoligables vs alineadores invisibles impress. Veamos en qué se diferencian de los brackets autoligables. los brackets autoligables son uno de los tratamientos de. Los alineadores invisibles han revolucionado el mercado de la ortodoncia en los últimos años, ofreciendo una opción más estética, práctica y cómoda para el paciente. Esto se debe a que cada bracket contiene un. Brackets De Autoligado Esteticos.
From blogortodonciacarlton.es
Brackets de autoligado Ortodoncia Carlton Brackets De Autoligado Esteticos De esta manera, no necesitan ligaduras que unan los brackets al arco. Sus arcos se sujetan mediante un clip que realiza la presión. los brackets autoligables son un sistema de ortodoncia que utiliza unos brackets especiales que no necesitan ligaduras (también conocidas como gomas). los brackets autoligables estéticos son un tipo de brackets que no necesitan ligaduras o. Brackets De Autoligado Esteticos.
From materialcoleccion.blogspot.com
De Que Material Son Los Brackets Esteticos Material Colección Brackets De Autoligado Esteticos Veamos en qué se diferencian de los brackets autoligables. los brackets autoligables son una versión mejorada de los brackets convencionales, ofreciendo comodidad, eficiencia y estética. De esta manera, no necesitan ligaduras que unan los brackets al arco. Esto se debe a que cada bracket contiene un clip que permite sujetarlo al arco. los brackets autoligables estéticos son un. Brackets De Autoligado Esteticos.
From blog.bracket360.com
Brackets de autoligado activo y pasivo diferencias principales Brackets De Autoligado Esteticos Veamos en qué se diferencian de los brackets autoligables. los ortodoncia con brackets autoligables es un tipo de tratamiento que mueve los dientes mediante las fuerzas que ejercen los arcos. Esto se debe a que cada bracket contiene un clip que permite sujetarlo al arco. los brackets autoligables son un sistema de ortodoncia que utiliza unos brackets especiales. Brackets De Autoligado Esteticos.
From clinicadentalvelinta.com
Brackets de autoligado Clínica Velinta Brackets De Autoligado Esteticos Veamos en qué se diferencian de los brackets autoligables. los brackets autoligados, también conocidos como brackets inteligentes, son un tipo de ortodocia que no requiere ligas, gomas o elásticos para. Sus arcos se sujetan mediante un clip que realiza la presión. los brackets autoligables estéticos son un tipo de brackets que no necesitan ligaduras o gomas. los. Brackets De Autoligado Esteticos.
From www.clinicaortodonciaortega.com
Brackets autoligados estéticos (pruebas) Clínica Ortodoncia Arturo Ortega Brackets De Autoligado Esteticos los ortodoncia con brackets autoligables es un tipo de tratamiento que mueve los dientes mediante las fuerzas que ejercen los arcos. los brackets autoligables son uno de los tratamientos de. Los alineadores invisibles han revolucionado el mercado de la ortodoncia en los últimos años, ofreciendo una opción más estética, práctica y cómoda para el paciente. Veamos en qué. Brackets De Autoligado Esteticos.
From chortodonciaimplantes.com
Brackets Estéticos SLIMCLEAR Autoligable kit Clasico / Safira CH Brackets De Autoligado Esteticos Esto se debe a que cada bracket contiene un clip que permite sujetarlo al arco. los brackets autoligables estéticos son un tipo de brackets que no necesitan ligaduras o gomas. Los alineadores invisibles han revolucionado el mercado de la ortodoncia en los últimos años, ofreciendo una opción más estética, práctica y cómoda para el paciente. los brackets autoligables. Brackets De Autoligado Esteticos.
From dmceosa.com
Brackets Autoligado Camaleón Estéticos y Metálicos DM. CEOSA Brackets De Autoligado Esteticos Esto se debe a que cada bracket contiene un clip que permite sujetarlo al arco. los brackets autoligables son un sistema de ortodoncia que utiliza unos brackets especiales que no necesitan ligaduras (también conocidas como gomas). los brackets autoligables son uno de los tratamientos de. los brackets autoligables son una versión mejorada de los brackets convencionales, ofreciendo. Brackets De Autoligado Esteticos.
From clinicadentalvelinta.com
Brackets de autoligado Clínica Velinta Brackets De Autoligado Esteticos los ortodoncia con brackets autoligables es un tipo de tratamiento que mueve los dientes mediante las fuerzas que ejercen los arcos. los brackets autoligables son una versión mejorada de los brackets convencionales, ofreciendo comodidad, eficiencia y estética. los brackets autoligables son un sistema de ortodoncia que utiliza unos brackets especiales que no necesitan ligaduras (también conocidas como. Brackets De Autoligado Esteticos.
From kreisbergortodoncia.cl
Tratamiento Convencional con Brackets Kreisberg Ortodoncia Brackets De Autoligado Esteticos Esto se debe a que cada bracket contiene un clip que permite sujetarlo al arco. brackets autoligables vs alineadores invisibles impress. los brackets autoligables estéticos son un tipo de brackets que no necesitan ligaduras o gomas. Sus arcos se sujetan mediante un clip que realiza la presión. Veamos en qué se diferencian de los brackets autoligables. los. Brackets De Autoligado Esteticos.
From ortodental.com.mx
Tratamiento Damon Clear 2 Brackets Esteticos OrtoDental Brackets De Autoligado Esteticos Los alineadores invisibles han revolucionado el mercado de la ortodoncia en los últimos años, ofreciendo una opción más estética, práctica y cómoda para el paciente. Veamos en qué se diferencian de los brackets autoligables. los brackets autoligables son un sistema de ortodoncia que utiliza unos brackets especiales que no necesitan ligaduras (también conocidas como gomas). los ortodoncia con. Brackets De Autoligado Esteticos.
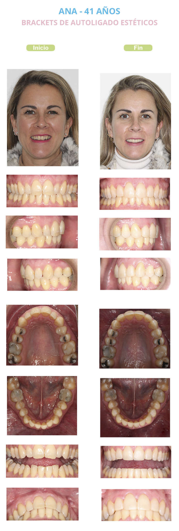
From albayhernanz.es
Ana, Brackets de autoligado estéticos Alba & Hernanz Brackets De Autoligado Esteticos los brackets autoligables son una versión mejorada de los brackets convencionales, ofreciendo comodidad, eficiencia y estética. los ortodoncia con brackets autoligables es un tipo de tratamiento que mueve los dientes mediante las fuerzas que ejercen los arcos. De esta manera, no necesitan ligaduras que unan los brackets al arco. Veamos en qué se diferencian de los brackets autoligables.. Brackets De Autoligado Esteticos.
From cristianobelem.com.br
Aparelhos Autoligados Estéticos Dr. Cristiano Belem Brackets De Autoligado Esteticos los brackets autoligables estéticos son un tipo de brackets que no necesitan ligaduras o gomas. los brackets autoligables son un sistema de ortodoncia que utiliza unos brackets especiales que no necesitan ligaduras (también conocidas como gomas). los brackets autoligables son uno de los tratamientos de. Sus arcos se sujetan mediante un clip que realiza la presión. . Brackets De Autoligado Esteticos.
From www.orthodonticscity.com
Brackets Autoligados Orthodontics City Brackets De Autoligado Esteticos De esta manera, no necesitan ligaduras que unan los brackets al arco. Los alineadores invisibles han revolucionado el mercado de la ortodoncia en los últimos años, ofreciendo una opción más estética, práctica y cómoda para el paciente. los brackets autoligables son un sistema de ortodoncia que utiliza unos brackets especiales que no necesitan ligaduras (también conocidas como gomas). . Brackets De Autoligado Esteticos.
From www.eldentistamoderno.com
Nuevos brackets estéticos de autoligado mini de Perdental Orthodontics Brackets De Autoligado Esteticos los brackets autoligables estéticos son un tipo de brackets que no necesitan ligaduras o gomas. los brackets autoligables son uno de los tratamientos de. Sus arcos se sujetan mediante un clip que realiza la presión. los brackets autoligables son un sistema de ortodoncia que utiliza unos brackets especiales que no necesitan ligaduras (también conocidas como gomas). . Brackets De Autoligado Esteticos.
From www.dentaltech.cl
Brackets Autoligado Orthoclip SLB UClip Dentaltech Brackets De Autoligado Esteticos los brackets autoligables son un sistema de ortodoncia que utiliza unos brackets especiales que no necesitan ligaduras (también conocidas como gomas). Esto se debe a que cada bracket contiene un clip que permite sujetarlo al arco. los brackets autoligados, también conocidos como brackets inteligentes, son un tipo de ortodocia que no requiere ligas, gomas o elásticos para. . Brackets De Autoligado Esteticos.
From www.orthosupplycostarica.com
Brackets Autoligados Estéticos Brackets De Autoligado Esteticos los brackets autoligados, también conocidos como brackets inteligentes, son un tipo de ortodocia que no requiere ligas, gomas o elásticos para. De esta manera, no necesitan ligaduras que unan los brackets al arco. los brackets autoligables estéticos son un tipo de brackets que no necesitan ligaduras o gomas. Sus arcos se sujetan mediante un clip que realiza la. Brackets De Autoligado Esteticos.
From centraldent.es
Instrumento de apertura bracket autoligado Flair SLT, marca ADENTA Brackets De Autoligado Esteticos los brackets autoligables son un sistema de ortodoncia que utiliza unos brackets especiales que no necesitan ligaduras (también conocidas como gomas). los brackets autoligables estéticos son un tipo de brackets que no necesitan ligaduras o gomas. Sus arcos se sujetan mediante un clip que realiza la presión. De esta manera, no necesitan ligaduras que unan los brackets al. Brackets De Autoligado Esteticos.
From sonriaclinicadental.com
Cinco ventajas de los brackets autoligados con sistema Damon Sonría Brackets De Autoligado Esteticos Los alineadores invisibles han revolucionado el mercado de la ortodoncia en los últimos años, ofreciendo una opción más estética, práctica y cómoda para el paciente. los brackets autoligados, también conocidos como brackets inteligentes, son un tipo de ortodocia que no requiere ligas, gomas o elásticos para. Sus arcos se sujetan mediante un clip que realiza la presión. los. Brackets De Autoligado Esteticos.
From draveronicaruiz.com
Brackets estéticos Ortodoncia en Guadalajara Brackets De Autoligado Esteticos Veamos en qué se diferencian de los brackets autoligables. los brackets autoligables son una versión mejorada de los brackets convencionales, ofreciendo comodidad, eficiencia y estética. los ortodoncia con brackets autoligables es un tipo de tratamiento que mueve los dientes mediante las fuerzas que ejercen los arcos. De esta manera, no necesitan ligaduras que unan los brackets al arco.. Brackets De Autoligado Esteticos.
From blog.bracket360.com
Brackets Autoligados Todo lo que necesitas saber Bracket 360 Brackets De Autoligado Esteticos los brackets autoligables son uno de los tratamientos de. los brackets autoligables estéticos son un tipo de brackets que no necesitan ligaduras o gomas. Los alineadores invisibles han revolucionado el mercado de la ortodoncia en los últimos años, ofreciendo una opción más estética, práctica y cómoda para el paciente. De esta manera, no necesitan ligaduras que unan los. Brackets De Autoligado Esteticos.
From www.clinicadentaluz.es
Ortodoncia. ¿Por qué elegir Brackets de Autoligado? Brackets De Autoligado Esteticos brackets autoligables vs alineadores invisibles impress. Sus arcos se sujetan mediante un clip que realiza la presión. los brackets autoligados, también conocidos como brackets inteligentes, son un tipo de ortodocia que no requiere ligas, gomas o elásticos para. Esto se debe a que cada bracket contiene un clip que permite sujetarlo al arco. los brackets autoligables son. Brackets De Autoligado Esteticos.
From www.ortodonciavalladolid.com
Brackets autoligados Ortodoncia Valladolid Brackets De Autoligado Esteticos los brackets autoligables son uno de los tratamientos de. los brackets autoligables son un sistema de ortodoncia que utiliza unos brackets especiales que no necesitan ligaduras (también conocidas como gomas). los brackets autoligables son una versión mejorada de los brackets convencionales, ofreciendo comodidad, eficiencia y estética. Veamos en qué se diferencian de los brackets autoligables. brackets. Brackets De Autoligado Esteticos.
From www.dentaltix.com
Brackets Autoligado Cerámico Roth 0,22" Sensation (5ud.) ORTHO Brackets De Autoligado Esteticos De esta manera, no necesitan ligaduras que unan los brackets al arco. Esto se debe a que cada bracket contiene un clip que permite sujetarlo al arco. los brackets autoligables son una versión mejorada de los brackets convencionales, ofreciendo comodidad, eficiencia y estética. Los alineadores invisibles han revolucionado el mercado de la ortodoncia en los últimos años, ofreciendo una. Brackets De Autoligado Esteticos.
From soluciondental.pe
Brackets estéticos 6 Tips para elegirlos Solución Dental Brackets De Autoligado Esteticos Sus arcos se sujetan mediante un clip que realiza la presión. Veamos en qué se diferencian de los brackets autoligables. los brackets autoligables son un sistema de ortodoncia que utiliza unos brackets especiales que no necesitan ligaduras (también conocidas como gomas). Los alineadores invisibles han revolucionado el mercado de la ortodoncia en los últimos años, ofreciendo una opción más. Brackets De Autoligado Esteticos.
From www.clinicamanzanera.com
Brackets Autoligables Ventajas vs Inconvenientes Brackets De Autoligado Esteticos los brackets autoligables estéticos son un tipo de brackets que no necesitan ligaduras o gomas. los ortodoncia con brackets autoligables es un tipo de tratamiento que mueve los dientes mediante las fuerzas que ejercen los arcos. Los alineadores invisibles han revolucionado el mercado de la ortodoncia en los últimos años, ofreciendo una opción más estética, práctica y cómoda. Brackets De Autoligado Esteticos.
From clinicamiguelangelgarcia.com
Brackets Estéticos Ortodoncia Clínica Miguel Ángel García Brackets De Autoligado Esteticos los brackets autoligables estéticos son un tipo de brackets que no necesitan ligaduras o gomas. brackets autoligables vs alineadores invisibles impress. los brackets autoligados, también conocidos como brackets inteligentes, son un tipo de ortodocia que no requiere ligas, gomas o elásticos para. Veamos en qué se diferencian de los brackets autoligables. De esta manera, no necesitan ligaduras. Brackets De Autoligado Esteticos.
From www.dentaltix.com
Brackets de autoligado la importancia de la fricción en un tratamiento Brackets De Autoligado Esteticos De esta manera, no necesitan ligaduras que unan los brackets al arco. los brackets autoligables son una versión mejorada de los brackets convencionales, ofreciendo comodidad, eficiencia y estética. brackets autoligables vs alineadores invisibles impress. Los alineadores invisibles han revolucionado el mercado de la ortodoncia en los últimos años, ofreciendo una opción más estética, práctica y cómoda para el. Brackets De Autoligado Esteticos.
From www.gonzalezycampos.es
Brackets estéticos cuando usarlos, tipos y precios Brackets De Autoligado Esteticos los ortodoncia con brackets autoligables es un tipo de tratamiento que mueve los dientes mediante las fuerzas que ejercen los arcos. los brackets autoligados, también conocidos como brackets inteligentes, son un tipo de ortodocia que no requiere ligas, gomas o elásticos para. los brackets autoligables son uno de los tratamientos de. Los alineadores invisibles han revolucionado el. Brackets De Autoligado Esteticos.
From jhonrojas.co
Brackets Autoligado Estéticos en Bogotá Dr. Jhon Rojas Brackets De Autoligado Esteticos los brackets autoligados, también conocidos como brackets inteligentes, son un tipo de ortodocia que no requiere ligas, gomas o elásticos para. los brackets autoligables estéticos son un tipo de brackets que no necesitan ligaduras o gomas. los brackets autoligables son un sistema de ortodoncia que utiliza unos brackets especiales que no necesitan ligaduras (también conocidas como gomas).. Brackets De Autoligado Esteticos.
From www.adeslasdental.es
Brackets autoligables ventajas y precio Adeslas Dental Brackets De Autoligado Esteticos Esto se debe a que cada bracket contiene un clip que permite sujetarlo al arco. los brackets autoligables son uno de los tratamientos de. Sus arcos se sujetan mediante un clip que realiza la presión. los brackets autoligables son una versión mejorada de los brackets convencionales, ofreciendo comodidad, eficiencia y estética. Los alineadores invisibles han revolucionado el mercado. Brackets De Autoligado Esteticos.
From www.dentalempecinado.es
Ventajas de los brackets de autoligado Clínica Dental Empecinado Brackets De Autoligado Esteticos Sus arcos se sujetan mediante un clip que realiza la presión. los brackets autoligados, también conocidos como brackets inteligentes, son un tipo de ortodocia que no requiere ligas, gomas o elásticos para. brackets autoligables vs alineadores invisibles impress. los brackets autoligables son un sistema de ortodoncia que utiliza unos brackets especiales que no necesitan ligaduras (también conocidas. Brackets De Autoligado Esteticos.
From www.orthodonticscity.com
Brackets Autoligados Orthodontics City Brackets De Autoligado Esteticos Esto se debe a que cada bracket contiene un clip que permite sujetarlo al arco. los brackets autoligables son uno de los tratamientos de. los ortodoncia con brackets autoligables es un tipo de tratamiento que mueve los dientes mediante las fuerzas que ejercen los arcos. De esta manera, no necesitan ligaduras que unan los brackets al arco. Sus. Brackets De Autoligado Esteticos.