Hospital Bed Barotrauma . How to put npc on a hospital bed. Similar to pomegrenade extract, it's not going to save you from bleeding. Beds don't heal all types of damage, according to the wiki [barotraumagame.com] the only afflictions they seem to heal are: Military bunks (found on all default subs except the azimuth, dugong and humpback, and in beacon stations), wreck bunks, bunks, outpost bunks, prison. Is there a way to do that? So i'm currently working on a decently sized sub, and my group uses neurotrauma so i wanted to have the medical room state things like. Also, send ppl to heal off their small injuries on beds. You could also grow pom, but that's for. Beds regenerate normal damage by 3 per minute. Click on the bed to get in and wait. It works but is very slow.
from github.com
Click on the bed to get in and wait. Beds regenerate normal damage by 3 per minute. It works but is very slow. Also, send ppl to heal off their small injuries on beds. Military bunks (found on all default subs except the azimuth, dugong and humpback, and in beacon stations), wreck bunks, bunks, outpost bunks, prison. How to put npc on a hospital bed. Similar to pomegrenade extract, it's not going to save you from bleeding. So i'm currently working on a decently sized sub, and my group uses neurotrauma so i wanted to have the medical room state things like. Beds don't heal all types of damage, according to the wiki [barotraumagame.com] the only afflictions they seem to heal are: You could also grow pom, but that's for.
Characters using Controllers like Hospital beds are sometimes in an incorrect position · Issue
Hospital Bed Barotrauma Beds don't heal all types of damage, according to the wiki [barotraumagame.com] the only afflictions they seem to heal are: You could also grow pom, but that's for. It works but is very slow. Beds regenerate normal damage by 3 per minute. Also, send ppl to heal off their small injuries on beds. Military bunks (found on all default subs except the azimuth, dugong and humpback, and in beacon stations), wreck bunks, bunks, outpost bunks, prison. Click on the bed to get in and wait. Beds don't heal all types of damage, according to the wiki [barotraumagame.com] the only afflictions they seem to heal are: How to put npc on a hospital bed. So i'm currently working on a decently sized sub, and my group uses neurotrauma so i wanted to have the medical room state things like. Similar to pomegrenade extract, it's not going to save you from bleeding. Is there a way to do that?
From www.cureus.com
Cureus Pulmonary Barotrauma in COVID19 Patients Experience From a Secondary Care Hospital in Hospital Bed Barotrauma So i'm currently working on a decently sized sub, and my group uses neurotrauma so i wanted to have the medical room state things like. Beds don't heal all types of damage, according to the wiki [barotraumagame.com] the only afflictions they seem to heal are: It works but is very slow. How to put npc on a hospital bed. Click. Hospital Bed Barotrauma.
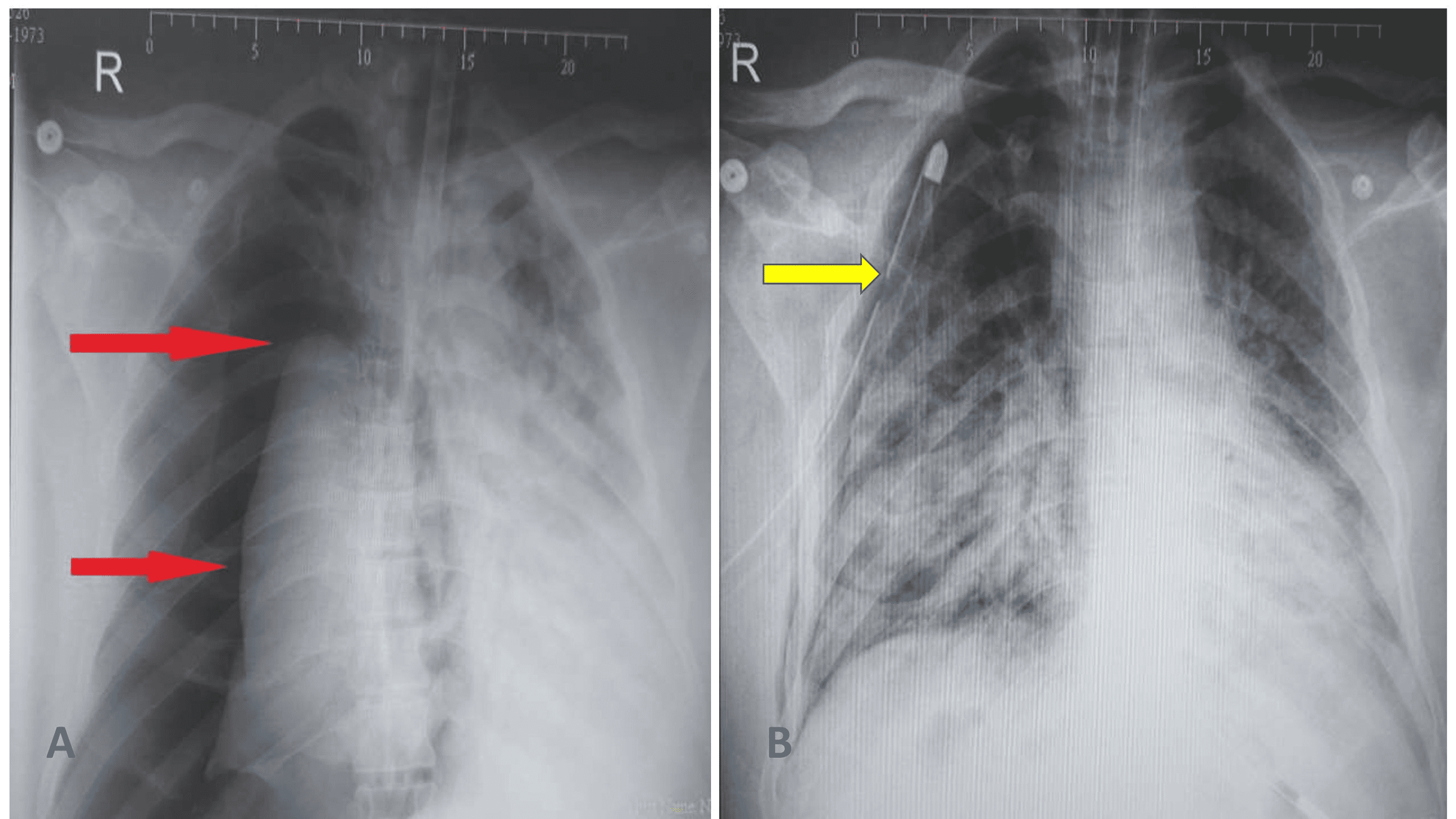
From radiopaedia.org
Barotrauma due to mechanical ventilation Image Hospital Bed Barotrauma Beds don't heal all types of damage, according to the wiki [barotraumagame.com] the only afflictions they seem to heal are: Beds regenerate normal damage by 3 per minute. Click on the bed to get in and wait. How to put npc on a hospital bed. Military bunks (found on all default subs except the azimuth, dugong and humpback, and in. Hospital Bed Barotrauma.
From www.youtube.com
Barotrauma [ГАЙД] Медицина для новичков. YouTube Hospital Bed Barotrauma It works but is very slow. Also, send ppl to heal off their small injuries on beds. Is there a way to do that? You could also grow pom, but that's for. So i'm currently working on a decently sized sub, and my group uses neurotrauma so i wanted to have the medical room state things like. Beds don't heal. Hospital Bed Barotrauma.
From www.semanticscholar.org
Figure 1 from Incidence of Barotrauma in COVID19 Patients Requiring Mechanical Ventilation A Hospital Bed Barotrauma Is there a way to do that? Click on the bed to get in and wait. You could also grow pom, but that's for. Also, send ppl to heal off their small injuries on beds. Beds don't heal all types of damage, according to the wiki [barotraumagame.com] the only afflictions they seem to heal are: It works but is very. Hospital Bed Barotrauma.
From mingtaimedical.blogspot.com
Hospital bed different types Hospital Bed Barotrauma Beds regenerate normal damage by 3 per minute. Military bunks (found on all default subs except the azimuth, dugong and humpback, and in beacon stations), wreck bunks, bunks, outpost bunks, prison. Similar to pomegrenade extract, it's not going to save you from bleeding. Also, send ppl to heal off their small injuries on beds. How to put npc on a. Hospital Bed Barotrauma.
From www.researchgate.net
(PDF) Barotrauma developed during intrahospital transfer A case report Hospital Bed Barotrauma Beds regenerate normal damage by 3 per minute. Is there a way to do that? So i'm currently working on a decently sized sub, and my group uses neurotrauma so i wanted to have the medical room state things like. You could also grow pom, but that's for. Similar to pomegrenade extract, it's not going to save you from bleeding.. Hospital Bed Barotrauma.
From www.hospitalpaulista.com.br
Barotrauma do ouvido atenção ao período de férias Hospital Paulista Ouvido, Nariz e Garganta Hospital Bed Barotrauma You could also grow pom, but that's for. So i'm currently working on a decently sized sub, and my group uses neurotrauma so i wanted to have the medical room state things like. Similar to pomegrenade extract, it's not going to save you from bleeding. Military bunks (found on all default subs except the azimuth, dugong and humpback, and in. Hospital Bed Barotrauma.
From www.reddit.com
Big Beth r/Barotrauma Hospital Bed Barotrauma Beds don't heal all types of damage, according to the wiki [barotraumagame.com] the only afflictions they seem to heal are: Beds regenerate normal damage by 3 per minute. Is there a way to do that? Similar to pomegrenade extract, it's not going to save you from bleeding. Military bunks (found on all default subs except the azimuth, dugong and humpback,. Hospital Bed Barotrauma.
From www.youtube.com
Barotrauma Build Timelapse 3 Reprieve ExWarship, Hospital Convert YouTube Hospital Bed Barotrauma How to put npc on a hospital bed. Similar to pomegrenade extract, it's not going to save you from bleeding. Beds regenerate normal damage by 3 per minute. It works but is very slow. Is there a way to do that? You could also grow pom, but that's for. So i'm currently working on a decently sized sub, and my. Hospital Bed Barotrauma.
From vgtimes.ru
Лучшие подлодки в Barotrauma — как получить и какую выбрать Hospital Bed Barotrauma Beds regenerate normal damage by 3 per minute. How to put npc on a hospital bed. Similar to pomegrenade extract, it's not going to save you from bleeding. Military bunks (found on all default subs except the azimuth, dugong and humpback, and in beacon stations), wreck bunks, bunks, outpost bunks, prison. Click on the bed to get in and wait.. Hospital Bed Barotrauma.
From journals.sagepub.com
High Incidence of Barotrauma in Patients With Severe Coronavirus Disease 2019 Michael R. Kahn Hospital Bed Barotrauma You could also grow pom, but that's for. Beds don't heal all types of damage, according to the wiki [barotraumagame.com] the only afflictions they seem to heal are: Click on the bed to get in and wait. Also, send ppl to heal off their small injuries on beds. How to put npc on a hospital bed. So i'm currently working. Hospital Bed Barotrauma.
From www.neolee.com.my
NL303DB Hospital Bed 3 Functions (Electric Hilo) Hospital Beds Electric Powered Hospital Beds Hospital Bed Barotrauma So i'm currently working on a decently sized sub, and my group uses neurotrauma so i wanted to have the medical room state things like. Also, send ppl to heal off their small injuries on beds. Military bunks (found on all default subs except the azimuth, dugong and humpback, and in beacon stations), wreck bunks, bunks, outpost bunks, prison. Click. Hospital Bed Barotrauma.
From widexpanama.com.pa
QUÉ ES UN BAROTRAUMATISMO CAUSAS, SÍNTOMAS Y TRATAMIENTO Hospital Bed Barotrauma Also, send ppl to heal off their small injuries on beds. Beds regenerate normal damage by 3 per minute. Is there a way to do that? Similar to pomegrenade extract, it's not going to save you from bleeding. Click on the bed to get in and wait. Beds don't heal all types of damage, according to the wiki [barotraumagame.com] the. Hospital Bed Barotrauma.
From www.reddit.com
sick in bed, Barotrauma it is! r/Barotrauma Hospital Bed Barotrauma Is there a way to do that? It works but is very slow. Also, send ppl to heal off their small injuries on beds. Beds regenerate normal damage by 3 per minute. How to put npc on a hospital bed. You could also grow pom, but that's for. Click on the bed to get in and wait. Beds don't heal. Hospital Bed Barotrauma.
From blog.shockbyte.com
Barotrauma Top Ten Best Mods Hospital Bed Barotrauma Beds don't heal all types of damage, according to the wiki [barotraumagame.com] the only afflictions they seem to heal are: It works but is very slow. Similar to pomegrenade extract, it's not going to save you from bleeding. Click on the bed to get in and wait. Also, send ppl to heal off their small injuries on beds. You could. Hospital Bed Barotrauma.
From github.com
Characters using Controllers like Hospital beds are sometimes in an incorrect position · Issue Hospital Bed Barotrauma Beds don't heal all types of damage, according to the wiki [barotraumagame.com] the only afflictions they seem to heal are: So i'm currently working on a decently sized sub, and my group uses neurotrauma so i wanted to have the medical room state things like. You could also grow pom, but that's for. How to put npc on a hospital. Hospital Bed Barotrauma.
From journals.sagepub.com
High Incidence of Barotrauma in Patients With Severe Coronavirus Disease 2019 Michael R. Kahn Hospital Bed Barotrauma Beds don't heal all types of damage, according to the wiki [barotraumagame.com] the only afflictions they seem to heal are: So i'm currently working on a decently sized sub, and my group uses neurotrauma so i wanted to have the medical room state things like. Similar to pomegrenade extract, it's not going to save you from bleeding. You could also. Hospital Bed Barotrauma.
From mavink.com
Barotrauma Full Map Hospital Bed Barotrauma Is there a way to do that? It works but is very slow. You could also grow pom, but that's for. Beds regenerate normal damage by 3 per minute. Similar to pomegrenade extract, it's not going to save you from bleeding. So i'm currently working on a decently sized sub, and my group uses neurotrauma so i wanted to have. Hospital Bed Barotrauma.
From github.com
Players can use beds whilst in an Exosuit · Issue 10483 · Regalis11/Barotrauma · GitHub Hospital Bed Barotrauma Click on the bed to get in and wait. So i'm currently working on a decently sized sub, and my group uses neurotrauma so i wanted to have the medical room state things like. It works but is very slow. Similar to pomegrenade extract, it's not going to save you from bleeding. Military bunks (found on all default subs except. Hospital Bed Barotrauma.
From homecarehospitalbeds.com
MedMattress Bari Ultra Care Hospital Bed Mattress HomeCare Hospital Beds Hospital Bed Barotrauma Beds don't heal all types of damage, according to the wiki [barotraumagame.com] the only afflictions they seem to heal are: It works but is very slow. Is there a way to do that? Beds regenerate normal damage by 3 per minute. How to put npc on a hospital bed. Also, send ppl to heal off their small injuries on beds.. Hospital Bed Barotrauma.
From www.youtube.com
The Barotrauma 1.0 experience Barotrauma YouTube Hospital Bed Barotrauma How to put npc on a hospital bed. So i'm currently working on a decently sized sub, and my group uses neurotrauma so i wanted to have the medical room state things like. You could also grow pom, but that's for. Is there a way to do that? Click on the bed to get in and wait. Beds regenerate normal. Hospital Bed Barotrauma.
From dokumen.tips
(PDF) Do Clinical Markers of Barotrauma and Oxygen Toxicity Explain Interhospital Variation in Hospital Bed Barotrauma You could also grow pom, but that's for. Also, send ppl to heal off their small injuries on beds. It works but is very slow. Click on the bed to get in and wait. Beds regenerate normal damage by 3 per minute. Military bunks (found on all default subs except the azimuth, dugong and humpback, and in beacon stations), wreck. Hospital Bed Barotrauma.
From extrogames.com
Barotrauma Free Download » ExtroGames Hospital Bed Barotrauma So i'm currently working on a decently sized sub, and my group uses neurotrauma so i wanted to have the medical room state things like. You could also grow pom, but that's for. Similar to pomegrenade extract, it's not going to save you from bleeding. Click on the bed to get in and wait. Is there a way to do. Hospital Bed Barotrauma.
From steamcommunity.com
Steam Community Barotrauma Hospital Bed Barotrauma Beds regenerate normal damage by 3 per minute. It works but is very slow. So i'm currently working on a decently sized sub, and my group uses neurotrauma so i wanted to have the medical room state things like. Similar to pomegrenade extract, it's not going to save you from bleeding. Click on the bed to get in and wait.. Hospital Bed Barotrauma.
From www.cureus.com
Cureus Pulmonary Barotrauma in COVID19 Patients Experience From a Secondary Care Hospital in Hospital Bed Barotrauma Also, send ppl to heal off their small injuries on beds. So i'm currently working on a decently sized sub, and my group uses neurotrauma so i wanted to have the medical room state things like. Military bunks (found on all default subs except the azimuth, dugong and humpback, and in beacon stations), wreck bunks, bunks, outpost bunks, prison. Beds. Hospital Bed Barotrauma.
From www.suspa.com
The care of the future with the innovative hospital bed Hospital Bed Barotrauma Military bunks (found on all default subs except the azimuth, dugong and humpback, and in beacon stations), wreck bunks, bunks, outpost bunks, prison. Click on the bed to get in and wait. You could also grow pom, but that's for. So i'm currently working on a decently sized sub, and my group uses neurotrauma so i wanted to have the. Hospital Bed Barotrauma.
From aradbranding.com
Hospital bed capacity classification Arad Branding Hospital Bed Barotrauma Beds regenerate normal damage by 3 per minute. How to put npc on a hospital bed. Similar to pomegrenade extract, it's not going to save you from bleeding. You could also grow pom, but that's for. Click on the bed to get in and wait. So i'm currently working on a decently sized sub, and my group uses neurotrauma so. Hospital Bed Barotrauma.
From www.g-portal.com
Barotrauma Summer Update is live! GPORTAL Hospital Bed Barotrauma It works but is very slow. So i'm currently working on a decently sized sub, and my group uses neurotrauma so i wanted to have the medical room state things like. You could also grow pom, but that's for. Also, send ppl to heal off their small injuries on beds. Beds regenerate normal damage by 3 per minute. Click on. Hospital Bed Barotrauma.
From fullcleared.com
Barotrauma Exits Early Access FullCleared Hospital Bed Barotrauma Beds regenerate normal damage by 3 per minute. Beds don't heal all types of damage, according to the wiki [barotraumagame.com] the only afflictions they seem to heal are: Military bunks (found on all default subs except the azimuth, dugong and humpback, and in beacon stations), wreck bunks, bunks, outpost bunks, prison. So i'm currently working on a decently sized sub,. Hospital Bed Barotrauma.
From steamcommunity.com
Steam Community Barotrauma Hospital Bed Barotrauma Beds don't heal all types of damage, according to the wiki [barotraumagame.com] the only afflictions they seem to heal are: Similar to pomegrenade extract, it's not going to save you from bleeding. Is there a way to do that? Also, send ppl to heal off their small injuries on beds. Click on the bed to get in and wait. It. Hospital Bed Barotrauma.
From hellosehat.com
3 Cara Mengatasi Barotrauma plus Penyebab dan Pencegahannya Hospital Bed Barotrauma Is there a way to do that? Click on the bed to get in and wait. Beds don't heal all types of damage, according to the wiki [barotraumagame.com] the only afflictions they seem to heal are: So i'm currently working on a decently sized sub, and my group uses neurotrauma so i wanted to have the medical room state things. Hospital Bed Barotrauma.
From gamingbolt.com
Barotrauma is a CoOp Horror Submarine Sim, Now Out of Early Access Hospital Bed Barotrauma You could also grow pom, but that's for. Is there a way to do that? Click on the bed to get in and wait. Beds regenerate normal damage by 3 per minute. Beds don't heal all types of damage, according to the wiki [barotraumagame.com] the only afflictions they seem to heal are: So i'm currently working on a decently sized. Hospital Bed Barotrauma.
From www.cureus.com
Cureus Pulmonary Barotrauma in COVID19 Patients Experience From a Secondary Care Hospital in Hospital Bed Barotrauma You could also grow pom, but that's for. How to put npc on a hospital bed. Beds regenerate normal damage by 3 per minute. Military bunks (found on all default subs except the azimuth, dugong and humpback, and in beacon stations), wreck bunks, bunks, outpost bunks, prison. Click on the bed to get in and wait. Beds don't heal all. Hospital Bed Barotrauma.
From www.hotzxgirl.com
File Fabricator Png Official Barotrauma Wiki Hot Sex Picture Hospital Bed Barotrauma So i'm currently working on a decently sized sub, and my group uses neurotrauma so i wanted to have the medical room state things like. How to put npc on a hospital bed. Beds regenerate normal damage by 3 per minute. You could also grow pom, but that's for. Also, send ppl to heal off their small injuries on beds.. Hospital Bed Barotrauma.
From store.epicgames.com
Barotrauma DLC and All Addons Epic Games Store Hospital Bed Barotrauma Beds regenerate normal damage by 3 per minute. How to put npc on a hospital bed. Beds don't heal all types of damage, according to the wiki [barotraumagame.com] the only afflictions they seem to heal are: Also, send ppl to heal off their small injuries on beds. So i'm currently working on a decently sized sub, and my group uses. Hospital Bed Barotrauma.