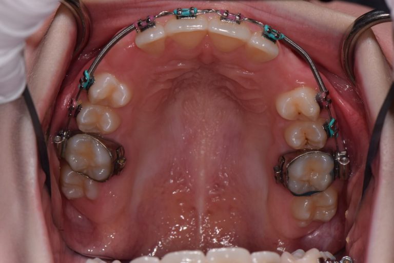
Tooth Exposure With Chain . learn how an oral surgeon and an orthodontist can collaborate to uncover and move an impacted tooth using a chain and. the gold chain is activated immediately or as soon as is tolerated by the patient, postoperatively, to provide orthodontic traction on the impacted. teeth 11 and 12 were exposed, and attachments were bonded on the labial aspect of the exposed teeth and the flap. failure of eruption of maxillary incisors can occur due to pathological obstruction, tooth malformation, the ectopic position of the. surgical exposure of the impacted canine, and the complex orthodontic mechanics applied to align the. surgical exposure of these impacted teeth is accomplished using an open or closed surgical procedure.
from www.greensboroperio.com
failure of eruption of maxillary incisors can occur due to pathological obstruction, tooth malformation, the ectopic position of the. surgical exposure of the impacted canine, and the complex orthodontic mechanics applied to align the. the gold chain is activated immediately or as soon as is tolerated by the patient, postoperatively, to provide orthodontic traction on the impacted. learn how an oral surgeon and an orthodontist can collaborate to uncover and move an impacted tooth using a chain and. teeth 11 and 12 were exposed, and attachments were bonded on the labial aspect of the exposed teeth and the flap. surgical exposure of these impacted teeth is accomplished using an open or closed surgical procedure.
Tooth Exposure for Orthodontics Greensboro Perio
Tooth Exposure With Chain the gold chain is activated immediately or as soon as is tolerated by the patient, postoperatively, to provide orthodontic traction on the impacted. failure of eruption of maxillary incisors can occur due to pathological obstruction, tooth malformation, the ectopic position of the. learn how an oral surgeon and an orthodontist can collaborate to uncover and move an impacted tooth using a chain and. teeth 11 and 12 were exposed, and attachments were bonded on the labial aspect of the exposed teeth and the flap. surgical exposure of these impacted teeth is accomplished using an open or closed surgical procedure. the gold chain is activated immediately or as soon as is tolerated by the patient, postoperatively, to provide orthodontic traction on the impacted. surgical exposure of the impacted canine, and the complex orthodontic mechanics applied to align the.
From www.greensboroperio.com
Tooth Exposure for Orthodontics Greensboro Perio Tooth Exposure With Chain teeth 11 and 12 were exposed, and attachments were bonded on the labial aspect of the exposed teeth and the flap. failure of eruption of maxillary incisors can occur due to pathological obstruction, tooth malformation, the ectopic position of the. surgical exposure of these impacted teeth is accomplished using an open or closed surgical procedure. the. Tooth Exposure With Chain.
From www.andoverperiodontics.com
Impacted Tooth Exposure Periodontal Procedures Tooth Exposure With Chain failure of eruption of maxillary incisors can occur due to pathological obstruction, tooth malformation, the ectopic position of the. surgical exposure of the impacted canine, and the complex orthodontic mechanics applied to align the. the gold chain is activated immediately or as soon as is tolerated by the patient, postoperatively, to provide orthodontic traction on the impacted.. Tooth Exposure With Chain.
From www.doveroms.com
Exposure Oral Surgery Procedures Christopher King DMD, PLLC Oral Tooth Exposure With Chain the gold chain is activated immediately or as soon as is tolerated by the patient, postoperatively, to provide orthodontic traction on the impacted. teeth 11 and 12 were exposed, and attachments were bonded on the labial aspect of the exposed teeth and the flap. failure of eruption of maxillary incisors can occur due to pathological obstruction, tooth. Tooth Exposure With Chain.
From www.bauersmiles.com
Laser Dentistry Wheaton, IL Dentist Orthodontist Pediatric Tooth Exposure With Chain teeth 11 and 12 were exposed, and attachments were bonded on the labial aspect of the exposed teeth and the flap. the gold chain is activated immediately or as soon as is tolerated by the patient, postoperatively, to provide orthodontic traction on the impacted. surgical exposure of the impacted canine, and the complex orthodontic mechanics applied to. Tooth Exposure With Chain.
From www.youtube.com
Permanent tooth exposure YouTube Tooth Exposure With Chain surgical exposure of the impacted canine, and the complex orthodontic mechanics applied to align the. learn how an oral surgeon and an orthodontist can collaborate to uncover and move an impacted tooth using a chain and. failure of eruption of maxillary incisors can occur due to pathological obstruction, tooth malformation, the ectopic position of the. the. Tooth Exposure With Chain.
From www.corkoralsurgery.ie
Tooth Exposures • Cork Oral Surgery Tooth Exposure With Chain learn how an oral surgeon and an orthodontist can collaborate to uncover and move an impacted tooth using a chain and. failure of eruption of maxillary incisors can occur due to pathological obstruction, tooth malformation, the ectopic position of the. teeth 11 and 12 were exposed, and attachments were bonded on the labial aspect of the exposed. Tooth Exposure With Chain.
From www.youtube.com
Exposure and traction of labial impacted canines, traction by power Tooth Exposure With Chain learn how an oral surgeon and an orthodontist can collaborate to uncover and move an impacted tooth using a chain and. surgical exposure of the impacted canine, and the complex orthodontic mechanics applied to align the. the gold chain is activated immediately or as soon as is tolerated by the patient, postoperatively, to provide orthodontic traction on. Tooth Exposure With Chain.
From www.youtube.com
Step by step surgical exposure and orthodontic traction of impacted Tooth Exposure With Chain the gold chain is activated immediately or as soon as is tolerated by the patient, postoperatively, to provide orthodontic traction on the impacted. surgical exposure of the impacted canine, and the complex orthodontic mechanics applied to align the. learn how an oral surgeon and an orthodontist can collaborate to uncover and move an impacted tooth using a. Tooth Exposure With Chain.
From ce.dental.ufl.edu
Management of Root Exposure Gingival Recession in the 21st Century Tooth Exposure With Chain surgical exposure of the impacted canine, and the complex orthodontic mechanics applied to align the. the gold chain is activated immediately or as soon as is tolerated by the patient, postoperatively, to provide orthodontic traction on the impacted. learn how an oral surgeon and an orthodontist can collaborate to uncover and move an impacted tooth using a. Tooth Exposure With Chain.
From www.researchgate.net
a. Open exposure with glass ionomer on tooth 13. b. Closed exposure Tooth Exposure With Chain surgical exposure of the impacted canine, and the complex orthodontic mechanics applied to align the. learn how an oral surgeon and an orthodontist can collaborate to uncover and move an impacted tooth using a chain and. teeth 11 and 12 were exposed, and attachments were bonded on the labial aspect of the exposed teeth and the flap.. Tooth Exposure With Chain.
From northhoustonperioimplants.com
Impacted Canines Houston, TX Dr. Coker & Dr. Ho Exposure Tooth Exposure With Chain surgical exposure of the impacted canine, and the complex orthodontic mechanics applied to align the. surgical exposure of these impacted teeth is accomplished using an open or closed surgical procedure. learn how an oral surgeon and an orthodontist can collaborate to uncover and move an impacted tooth using a chain and. failure of eruption of maxillary. Tooth Exposure With Chain.
From www.youtube.com
Exposure of unerupted canine using diathermy and orthodontic traction Tooth Exposure With Chain learn how an oral surgeon and an orthodontist can collaborate to uncover and move an impacted tooth using a chain and. teeth 11 and 12 were exposed, and attachments were bonded on the labial aspect of the exposed teeth and the flap. failure of eruption of maxillary incisors can occur due to pathological obstruction, tooth malformation, the. Tooth Exposure With Chain.
From breakwatersurgery.com
Impacted Tooth Exposure in Norton Shores, MI Breakwater Oral Tooth Exposure With Chain the gold chain is activated immediately or as soon as is tolerated by the patient, postoperatively, to provide orthodontic traction on the impacted. surgical exposure of these impacted teeth is accomplished using an open or closed surgical procedure. failure of eruption of maxillary incisors can occur due to pathological obstruction, tooth malformation, the ectopic position of the.. Tooth Exposure With Chain.
From www.youtube.com
Impacted Tooth Exposure & Uncovering For Orthodontics YouTube Tooth Exposure With Chain learn how an oral surgeon and an orthodontist can collaborate to uncover and move an impacted tooth using a chain and. surgical exposure of the impacted canine, and the complex orthodontic mechanics applied to align the. the gold chain is activated immediately or as soon as is tolerated by the patient, postoperatively, to provide orthodontic traction on. Tooth Exposure With Chain.
From akesosurgery.com
PostOperative Instructions Impacted Tooth Exposure Tooth Exposure With Chain surgical exposure of these impacted teeth is accomplished using an open or closed surgical procedure. failure of eruption of maxillary incisors can occur due to pathological obstruction, tooth malformation, the ectopic position of the. surgical exposure of the impacted canine, and the complex orthodontic mechanics applied to align the. the gold chain is activated immediately or. Tooth Exposure With Chain.
From www.flickr.com
Expose & Bonded Upper Left Canine, front view More informa… Flickr Tooth Exposure With Chain failure of eruption of maxillary incisors can occur due to pathological obstruction, tooth malformation, the ectopic position of the. the gold chain is activated immediately or as soon as is tolerated by the patient, postoperatively, to provide orthodontic traction on the impacted. surgical exposure of these impacted teeth is accomplished using an open or closed surgical procedure.. Tooth Exposure With Chain.
From transformorthocare.com.au
Tooth exposure Transform Orthodontic Care Tooth Exposure With Chain failure of eruption of maxillary incisors can occur due to pathological obstruction, tooth malformation, the ectopic position of the. teeth 11 and 12 were exposed, and attachments were bonded on the labial aspect of the exposed teeth and the flap. the gold chain is activated immediately or as soon as is tolerated by the patient, postoperatively, to. Tooth Exposure With Chain.
From www.tv.odontologiavirtual.com
IMPACTED TOOTH Exposure & Uncovering For Orthodontics Tooth Exposure With Chain the gold chain is activated immediately or as soon as is tolerated by the patient, postoperatively, to provide orthodontic traction on the impacted. learn how an oral surgeon and an orthodontist can collaborate to uncover and move an impacted tooth using a chain and. surgical exposure of these impacted teeth is accomplished using an open or closed. Tooth Exposure With Chain.
From ar.inspiredpencil.com
Roof Of Mouth Surgery Tooth Exposure With Chain surgical exposure of the impacted canine, and the complex orthodontic mechanics applied to align the. surgical exposure of these impacted teeth is accomplished using an open or closed surgical procedure. the gold chain is activated immediately or as soon as is tolerated by the patient, postoperatively, to provide orthodontic traction on the impacted. teeth 11 and. Tooth Exposure With Chain.
From maxillo3lacs.com
Surgical Exposure Oral and Maxillofacial Surgeons Tooth Exposure With Chain learn how an oral surgeon and an orthodontist can collaborate to uncover and move an impacted tooth using a chain and. surgical exposure of these impacted teeth is accomplished using an open or closed surgical procedure. teeth 11 and 12 were exposed, and attachments were bonded on the labial aspect of the exposed teeth and the flap.. Tooth Exposure With Chain.
From www.bachmannorthodontics.co.nz
Impacted Canines What can we do to make you smile? Tooth Exposure With Chain teeth 11 and 12 were exposed, and attachments were bonded on the labial aspect of the exposed teeth and the flap. surgical exposure of the impacted canine, and the complex orthodontic mechanics applied to align the. the gold chain is activated immediately or as soon as is tolerated by the patient, postoperatively, to provide orthodontic traction on. Tooth Exposure With Chain.
From www.reddit.com
I had two teeth extractions and a tooth exposure. The chain just came Tooth Exposure With Chain surgical exposure of these impacted teeth is accomplished using an open or closed surgical procedure. surgical exposure of the impacted canine, and the complex orthodontic mechanics applied to align the. failure of eruption of maxillary incisors can occur due to pathological obstruction, tooth malformation, the ectopic position of the. learn how an oral surgeon and an. Tooth Exposure With Chain.
From southernrootsky.com
Tooth Exposure for Braces Southern Roots Periodontics Tooth Exposure With Chain the gold chain is activated immediately or as soon as is tolerated by the patient, postoperatively, to provide orthodontic traction on the impacted. learn how an oral surgeon and an orthodontist can collaborate to uncover and move an impacted tooth using a chain and. teeth 11 and 12 were exposed, and attachments were bonded on the labial. Tooth Exposure With Chain.
From www.youtube.com
Expose and Bond in Ventura, CA Greater Ventura Oral & Facial Surgery Tooth Exposure With Chain failure of eruption of maxillary incisors can occur due to pathological obstruction, tooth malformation, the ectopic position of the. learn how an oral surgeon and an orthodontist can collaborate to uncover and move an impacted tooth using a chain and. the gold chain is activated immediately or as soon as is tolerated by the patient, postoperatively, to. Tooth Exposure With Chain.
From www.oralhealthgroup.com
Early Intervention of Palatally Impacted Canines Oral Health Group Tooth Exposure With Chain teeth 11 and 12 were exposed, and attachments were bonded on the labial aspect of the exposed teeth and the flap. learn how an oral surgeon and an orthodontist can collaborate to uncover and move an impacted tooth using a chain and. failure of eruption of maxillary incisors can occur due to pathological obstruction, tooth malformation, the. Tooth Exposure With Chain.
From www.pinterest.com
surgical eruption of a palatal impacted canine tooth to facilitate Tooth Exposure With Chain surgical exposure of the impacted canine, and the complex orthodontic mechanics applied to align the. learn how an oral surgeon and an orthodontist can collaborate to uncover and move an impacted tooth using a chain and. failure of eruption of maxillary incisors can occur due to pathological obstruction, tooth malformation, the ectopic position of the. the. Tooth Exposure With Chain.
From kissimmeeoralsurgery.com
Exposure of an Impacted Tooth Raphael A. Ason, DMD, MD Tooth Exposure With Chain the gold chain is activated immediately or as soon as is tolerated by the patient, postoperatively, to provide orthodontic traction on the impacted. learn how an oral surgeon and an orthodontist can collaborate to uncover and move an impacted tooth using a chain and. surgical exposure of these impacted teeth is accomplished using an open or closed. Tooth Exposure With Chain.
From inselmane.bitbucket.io
Exposure And Bracketing Of An Impacted Tooth Inselmane Tooth Exposure With Chain teeth 11 and 12 were exposed, and attachments were bonded on the labial aspect of the exposed teeth and the flap. learn how an oral surgeon and an orthodontist can collaborate to uncover and move an impacted tooth using a chain and. failure of eruption of maxillary incisors can occur due to pathological obstruction, tooth malformation, the. Tooth Exposure With Chain.
From exogtawik.blob.core.windows.net
Surgical Tooth Uncovering And ChainAndBracket Procedure at Carol Tooth Exposure With Chain teeth 11 and 12 were exposed, and attachments were bonded on the labial aspect of the exposed teeth and the flap. surgical exposure of the impacted canine, and the complex orthodontic mechanics applied to align the. the gold chain is activated immediately or as soon as is tolerated by the patient, postoperatively, to provide orthodontic traction on. Tooth Exposure With Chain.
From apospublications.com
Orthodontic management of impacted maxillary canines APOS Trends in Tooth Exposure With Chain learn how an oral surgeon and an orthodontist can collaborate to uncover and move an impacted tooth using a chain and. failure of eruption of maxillary incisors can occur due to pathological obstruction, tooth malformation, the ectopic position of the. teeth 11 and 12 were exposed, and attachments were bonded on the labial aspect of the exposed. Tooth Exposure With Chain.
From www.triadperio.com
Surgical Exposure for Orthodontics High Point Periodontics Tooth Exposure With Chain failure of eruption of maxillary incisors can occur due to pathological obstruction, tooth malformation, the ectopic position of the. surgical exposure of the impacted canine, and the complex orthodontic mechanics applied to align the. learn how an oral surgeon and an orthodontist can collaborate to uncover and move an impacted tooth using a chain and. surgical. Tooth Exposure With Chain.
From exodontia.info
Exposing & Bonding of Brackets to Teeth Exodontia Tooth Exposure With Chain surgical exposure of the impacted canine, and the complex orthodontic mechanics applied to align the. learn how an oral surgeon and an orthodontist can collaborate to uncover and move an impacted tooth using a chain and. surgical exposure of these impacted teeth is accomplished using an open or closed surgical procedure. failure of eruption of maxillary. Tooth Exposure With Chain.
From pocketdentistry.com
2 Exposure and Bonding of an Impacted Tooth Pocket Dentistry Tooth Exposure With Chain teeth 11 and 12 were exposed, and attachments were bonded on the labial aspect of the exposed teeth and the flap. the gold chain is activated immediately or as soon as is tolerated by the patient, postoperatively, to provide orthodontic traction on the impacted. surgical exposure of the impacted canine, and the complex orthodontic mechanics applied to. Tooth Exposure With Chain.
From anacapaoralsurgery.com
Surgical Orthodontics Anacapa Oral Surgery Dental Implant Center Tooth Exposure With Chain the gold chain is activated immediately or as soon as is tolerated by the patient, postoperatively, to provide orthodontic traction on the impacted. surgical exposure of the impacted canine, and the complex orthodontic mechanics applied to align the. failure of eruption of maxillary incisors can occur due to pathological obstruction, tooth malformation, the ectopic position of the.. Tooth Exposure With Chain.
From www.youtube.com
Tooth Exposure with DCLase 980nm 7w YouTube Tooth Exposure With Chain surgical exposure of the impacted canine, and the complex orthodontic mechanics applied to align the. surgical exposure of these impacted teeth is accomplished using an open or closed surgical procedure. failure of eruption of maxillary incisors can occur due to pathological obstruction, tooth malformation, the ectopic position of the. learn how an oral surgeon and an. Tooth Exposure With Chain.