What Does Enamel Dysplasia Mean . It’s the hard, protective layer. hypoplastic teeth, also known as enamel hypoplasia, is when your enamel has not formed properly or has formed. enamel hypoplasia is a defect of the teeth in which the enamel is deficient in quantity, [1] caused by defective enamel matrix formation during enamel. enamel hypoplasia is a term that denotes incomplete or underdeveloped tooth enamel. it can appear as discoloured patches of soft or decaying, bumpy enamel that usually affect the molars and incisors as they. But first, what exactly is enamel? enamel hypoplasia (eh) and hypomineralization are two teeth defects that can sometimes get confused. Enamel hypoplasia is when your tooth enamel doesn’t develop properly,.
from www.slideserve.com
enamel hypoplasia is a term that denotes incomplete or underdeveloped tooth enamel. It’s the hard, protective layer. hypoplastic teeth, also known as enamel hypoplasia, is when your enamel has not formed properly or has formed. But first, what exactly is enamel? Enamel hypoplasia is when your tooth enamel doesn’t develop properly,. it can appear as discoloured patches of soft or decaying, bumpy enamel that usually affect the molars and incisors as they. enamel hypoplasia (eh) and hypomineralization are two teeth defects that can sometimes get confused. enamel hypoplasia is a defect of the teeth in which the enamel is deficient in quantity, [1] caused by defective enamel matrix formation during enamel.
PPT Hard Tissue Charting PowerPoint Presentation ID355930
What Does Enamel Dysplasia Mean it can appear as discoloured patches of soft or decaying, bumpy enamel that usually affect the molars and incisors as they. enamel hypoplasia is a defect of the teeth in which the enamel is deficient in quantity, [1] caused by defective enamel matrix formation during enamel. Enamel hypoplasia is when your tooth enamel doesn’t develop properly,. enamel hypoplasia is a term that denotes incomplete or underdeveloped tooth enamel. it can appear as discoloured patches of soft or decaying, bumpy enamel that usually affect the molars and incisors as they. It’s the hard, protective layer. hypoplastic teeth, also known as enamel hypoplasia, is when your enamel has not formed properly or has formed. enamel hypoplasia (eh) and hypomineralization are two teeth defects that can sometimes get confused. But first, what exactly is enamel?
From www.slideserve.com
PPT Dental Anomalies PowerPoint Presentation, free download ID2178313 What Does Enamel Dysplasia Mean enamel hypoplasia is a defect of the teeth in which the enamel is deficient in quantity, [1] caused by defective enamel matrix formation during enamel. It’s the hard, protective layer. enamel hypoplasia is a term that denotes incomplete or underdeveloped tooth enamel. enamel hypoplasia (eh) and hypomineralization are two teeth defects that can sometimes get confused. . What Does Enamel Dysplasia Mean.
From www.sciencephoto.com
Enamel Hypoplasia Stock Image C039/3019 Science Photo Library What Does Enamel Dysplasia Mean It’s the hard, protective layer. But first, what exactly is enamel? hypoplastic teeth, also known as enamel hypoplasia, is when your enamel has not formed properly or has formed. enamel hypoplasia (eh) and hypomineralization are two teeth defects that can sometimes get confused. it can appear as discoloured patches of soft or decaying, bumpy enamel that usually. What Does Enamel Dysplasia Mean.
From www.slideserve.com
PPT Hard Tissue Charting PowerPoint Presentation, free download ID What Does Enamel Dysplasia Mean hypoplastic teeth, also known as enamel hypoplasia, is when your enamel has not formed properly or has formed. it can appear as discoloured patches of soft or decaying, bumpy enamel that usually affect the molars and incisors as they. Enamel hypoplasia is when your tooth enamel doesn’t develop properly,. enamel hypoplasia is a defect of the teeth. What Does Enamel Dysplasia Mean.
From hubpages.com
Enamel Hypoplasia Causes, Symptoms, and Treatment HubPages What Does Enamel Dysplasia Mean hypoplastic teeth, also known as enamel hypoplasia, is when your enamel has not formed properly or has formed. enamel hypoplasia is a defect of the teeth in which the enamel is deficient in quantity, [1] caused by defective enamel matrix formation during enamel. It’s the hard, protective layer. Enamel hypoplasia is when your tooth enamel doesn’t develop properly,.. What Does Enamel Dysplasia Mean.
From veteriankey.com
Enamel dysplasia Veterian Key What Does Enamel Dysplasia Mean it can appear as discoloured patches of soft or decaying, bumpy enamel that usually affect the molars and incisors as they. But first, what exactly is enamel? enamel hypoplasia (eh) and hypomineralization are two teeth defects that can sometimes get confused. It’s the hard, protective layer. enamel hypoplasia is a term that denotes incomplete or underdeveloped tooth. What Does Enamel Dysplasia Mean.
From identdentalimplantcenter.com
ENAMEL What Does Enamel Dysplasia Mean It’s the hard, protective layer. enamel hypoplasia is a defect of the teeth in which the enamel is deficient in quantity, [1] caused by defective enamel matrix formation during enamel. But first, what exactly is enamel? enamel hypoplasia (eh) and hypomineralization are two teeth defects that can sometimes get confused. enamel hypoplasia is a term that denotes. What Does Enamel Dysplasia Mean.
From www.bitesizepediatricdentistry.com
What's this spot on my tooth? Enamel Hypoplasia or Hypomineralization What Does Enamel Dysplasia Mean hypoplastic teeth, also known as enamel hypoplasia, is when your enamel has not formed properly or has formed. It’s the hard, protective layer. it can appear as discoloured patches of soft or decaying, bumpy enamel that usually affect the molars and incisors as they. enamel hypoplasia is a term that denotes incomplete or underdeveloped tooth enamel. But. What Does Enamel Dysplasia Mean.
From www.youtube.com
Dentin Dysplasia NEET MDS INICET INBDE High Yield points with What Does Enamel Dysplasia Mean Enamel hypoplasia is when your tooth enamel doesn’t develop properly,. enamel hypoplasia is a defect of the teeth in which the enamel is deficient in quantity, [1] caused by defective enamel matrix formation during enamel. But first, what exactly is enamel? hypoplastic teeth, also known as enamel hypoplasia, is when your enamel has not formed properly or has. What Does Enamel Dysplasia Mean.
From www.researchgate.net
(PDF) Risk of Dental Discoloration and Enamel Dysplasia in Children What Does Enamel Dysplasia Mean enamel hypoplasia is a term that denotes incomplete or underdeveloped tooth enamel. Enamel hypoplasia is when your tooth enamel doesn’t develop properly,. hypoplastic teeth, also known as enamel hypoplasia, is when your enamel has not formed properly or has formed. it can appear as discoloured patches of soft or decaying, bumpy enamel that usually affect the molars. What Does Enamel Dysplasia Mean.
From www.slideserve.com
PPT Hard Tissue Charting PowerPoint Presentation ID355930 What Does Enamel Dysplasia Mean it can appear as discoloured patches of soft or decaying, bumpy enamel that usually affect the molars and incisors as they. But first, what exactly is enamel? enamel hypoplasia is a term that denotes incomplete or underdeveloped tooth enamel. enamel hypoplasia (eh) and hypomineralization are two teeth defects that can sometimes get confused. enamel hypoplasia is. What Does Enamel Dysplasia Mean.
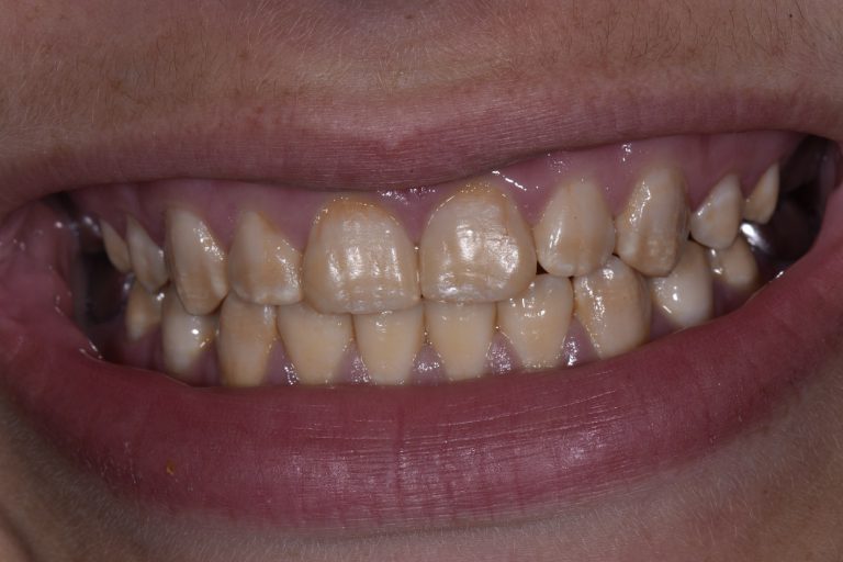
From www.clarencetam.co.nz
Severe Enamel Dysplasia NonInvasive Restorative Dentistry What Does Enamel Dysplasia Mean enamel hypoplasia is a term that denotes incomplete or underdeveloped tooth enamel. But first, what exactly is enamel? hypoplastic teeth, also known as enamel hypoplasia, is when your enamel has not formed properly or has formed. it can appear as discoloured patches of soft or decaying, bumpy enamel that usually affect the molars and incisors as they.. What Does Enamel Dysplasia Mean.
From rpdo.com
Enamel Hypoplasia RPDO What Does Enamel Dysplasia Mean Enamel hypoplasia is when your tooth enamel doesn’t develop properly,. hypoplastic teeth, also known as enamel hypoplasia, is when your enamel has not formed properly or has formed. But first, what exactly is enamel? enamel hypoplasia (eh) and hypomineralization are two teeth defects that can sometimes get confused. enamel hypoplasia is a defect of the teeth in. What Does Enamel Dysplasia Mean.
From www.researchgate.net
Enamel hypoplasia affecting central tooth Download Scientific Diagram What Does Enamel Dysplasia Mean it can appear as discoloured patches of soft or decaying, bumpy enamel that usually affect the molars and incisors as they. enamel hypoplasia is a term that denotes incomplete or underdeveloped tooth enamel. But first, what exactly is enamel? enamel hypoplasia is a defect of the teeth in which the enamel is deficient in quantity, [1] caused. What Does Enamel Dysplasia Mean.
From pediatricdentistrichmond.com
Enamel What??? Enamel Hypoplasia Q & A Atkins, Maestrello, Miller What Does Enamel Dysplasia Mean hypoplastic teeth, also known as enamel hypoplasia, is when your enamel has not formed properly or has formed. Enamel hypoplasia is when your tooth enamel doesn’t develop properly,. But first, what exactly is enamel? It’s the hard, protective layer. enamel hypoplasia is a defect of the teeth in which the enamel is deficient in quantity, [1] caused by. What Does Enamel Dysplasia Mean.
From www.clarencetam.co.nz
Severe Enamel Dysplasia NonInvasive Restorative Dentistry What Does Enamel Dysplasia Mean hypoplastic teeth, also known as enamel hypoplasia, is when your enamel has not formed properly or has formed. enamel hypoplasia (eh) and hypomineralization are two teeth defects that can sometimes get confused. It’s the hard, protective layer. it can appear as discoloured patches of soft or decaying, bumpy enamel that usually affect the molars and incisors as. What Does Enamel Dysplasia Mean.
From mypenndentist.org
Restore Tooth Enamel Penn Dental Family Practice What Does Enamel Dysplasia Mean It’s the hard, protective layer. it can appear as discoloured patches of soft or decaying, bumpy enamel that usually affect the molars and incisors as they. Enamel hypoplasia is when your tooth enamel doesn’t develop properly,. enamel hypoplasia (eh) and hypomineralization are two teeth defects that can sometimes get confused. enamel hypoplasia is a defect of the. What Does Enamel Dysplasia Mean.
From www.youtube.com
DENTIN DYSPLASIA (ROOTLESS TOOTH) PART1 (Developmental Disturbances of What Does Enamel Dysplasia Mean It’s the hard, protective layer. Enamel hypoplasia is when your tooth enamel doesn’t develop properly,. But first, what exactly is enamel? it can appear as discoloured patches of soft or decaying, bumpy enamel that usually affect the molars and incisors as they. enamel hypoplasia is a term that denotes incomplete or underdeveloped tooth enamel. enamel hypoplasia is. What Does Enamel Dysplasia Mean.
From www.dppattaya.com
สัญญาณอันตราย! ที่บ่งบอกว่าคุณอาจเป็น Enamel Dysplasia คลินิกทำฟัน What Does Enamel Dysplasia Mean It’s the hard, protective layer. hypoplastic teeth, also known as enamel hypoplasia, is when your enamel has not formed properly or has formed. enamel hypoplasia (eh) and hypomineralization are two teeth defects that can sometimes get confused. it can appear as discoloured patches of soft or decaying, bumpy enamel that usually affect the molars and incisors as. What Does Enamel Dysplasia Mean.
From www.clarencetam.co.nz
Tooth Whitening Dental Whitening Vital Custom Nightguard Bleaching What Does Enamel Dysplasia Mean It’s the hard, protective layer. Enamel hypoplasia is when your tooth enamel doesn’t develop properly,. But first, what exactly is enamel? enamel hypoplasia is a defect of the teeth in which the enamel is deficient in quantity, [1] caused by defective enamel matrix formation during enamel. it can appear as discoloured patches of soft or decaying, bumpy enamel. What Does Enamel Dysplasia Mean.
From www.youtube.com
ENVIRONMENTAL ENAMEL HYPOPLASIA DEVELOPMENT DISTURBANCE IN THE What Does Enamel Dysplasia Mean it can appear as discoloured patches of soft or decaying, bumpy enamel that usually affect the molars and incisors as they. enamel hypoplasia is a defect of the teeth in which the enamel is deficient in quantity, [1] caused by defective enamel matrix formation during enamel. It’s the hard, protective layer. enamel hypoplasia is a term that. What Does Enamel Dysplasia Mean.
From trustdentalcare.com
Our Blog Trust Dental Care USA dentistry at affordable price in Tijuana What Does Enamel Dysplasia Mean enamel hypoplasia (eh) and hypomineralization are two teeth defects that can sometimes get confused. enamel hypoplasia is a term that denotes incomplete or underdeveloped tooth enamel. it can appear as discoloured patches of soft or decaying, bumpy enamel that usually affect the molars and incisors as they. hypoplastic teeth, also known as enamel hypoplasia, is when. What Does Enamel Dysplasia Mean.
From www.longevitadental.com
Enamel Hypoplasia What It Is, Signs, Causes & Treatments Longevita What Does Enamel Dysplasia Mean But first, what exactly is enamel? hypoplastic teeth, also known as enamel hypoplasia, is when your enamel has not formed properly or has formed. It’s the hard, protective layer. it can appear as discoloured patches of soft or decaying, bumpy enamel that usually affect the molars and incisors as they. Enamel hypoplasia is when your tooth enamel doesn’t. What Does Enamel Dysplasia Mean.
From www.clarencetam.co.nz
Severe Enamel Dysplasia NonInvasive Restorative Dentistry What Does Enamel Dysplasia Mean enamel hypoplasia is a term that denotes incomplete or underdeveloped tooth enamel. it can appear as discoloured patches of soft or decaying, bumpy enamel that usually affect the molars and incisors as they. It’s the hard, protective layer. hypoplastic teeth, also known as enamel hypoplasia, is when your enamel has not formed properly or has formed. But. What Does Enamel Dysplasia Mean.
From www.slideserve.com
PPT Dental Anomalies PowerPoint Presentation ID3700780 What Does Enamel Dysplasia Mean Enamel hypoplasia is when your tooth enamel doesn’t develop properly,. it can appear as discoloured patches of soft or decaying, bumpy enamel that usually affect the molars and incisors as they. It’s the hard, protective layer. hypoplastic teeth, also known as enamel hypoplasia, is when your enamel has not formed properly or has formed. enamel hypoplasia is. What Does Enamel Dysplasia Mean.
From www.sciencephoto.com
Pitted teeth hypoplasia of the enamel Stock Image M782/0044 What Does Enamel Dysplasia Mean But first, what exactly is enamel? hypoplastic teeth, also known as enamel hypoplasia, is when your enamel has not formed properly or has formed. it can appear as discoloured patches of soft or decaying, bumpy enamel that usually affect the molars and incisors as they. enamel hypoplasia (eh) and hypomineralization are two teeth defects that can sometimes. What Does Enamel Dysplasia Mean.
From www.dreamstime.com
Hypoplasia of tooth enamel stock image. Image of illness 49221537 What Does Enamel Dysplasia Mean But first, what exactly is enamel? enamel hypoplasia is a defect of the teeth in which the enamel is deficient in quantity, [1] caused by defective enamel matrix formation during enamel. hypoplastic teeth, also known as enamel hypoplasia, is when your enamel has not formed properly or has formed. enamel hypoplasia (eh) and hypomineralization are two teeth. What Does Enamel Dysplasia Mean.
From casereports.bmj.com
Generalised hypomineralisation of enamel in oculodentodigital dysplasia What Does Enamel Dysplasia Mean But first, what exactly is enamel? enamel hypoplasia is a term that denotes incomplete or underdeveloped tooth enamel. Enamel hypoplasia is when your tooth enamel doesn’t develop properly,. it can appear as discoloured patches of soft or decaying, bumpy enamel that usually affect the molars and incisors as they. hypoplastic teeth, also known as enamel hypoplasia, is. What Does Enamel Dysplasia Mean.
From teethwalls.blogspot.com
What Does Enamel Mean In Teeth TeethWalls What Does Enamel Dysplasia Mean It’s the hard, protective layer. But first, what exactly is enamel? enamel hypoplasia (eh) and hypomineralization are two teeth defects that can sometimes get confused. enamel hypoplasia is a defect of the teeth in which the enamel is deficient in quantity, [1] caused by defective enamel matrix formation during enamel. enamel hypoplasia is a term that denotes. What Does Enamel Dysplasia Mean.
From www.slideserve.com
PPT Hard Tissue Charting PowerPoint Presentation, free download ID What Does Enamel Dysplasia Mean it can appear as discoloured patches of soft or decaying, bumpy enamel that usually affect the molars and incisors as they. enamel hypoplasia is a term that denotes incomplete or underdeveloped tooth enamel. hypoplastic teeth, also known as enamel hypoplasia, is when your enamel has not formed properly or has formed. But first, what exactly is enamel?. What Does Enamel Dysplasia Mean.
From www.researchgate.net
Different Enamel Defects on the Upper Permanent Incisors. A What Does Enamel Dysplasia Mean enamel hypoplasia is a term that denotes incomplete or underdeveloped tooth enamel. enamel hypoplasia (eh) and hypomineralization are two teeth defects that can sometimes get confused. It’s the hard, protective layer. enamel hypoplasia is a defect of the teeth in which the enamel is deficient in quantity, [1] caused by defective enamel matrix formation during enamel. But. What Does Enamel Dysplasia Mean.
From gertsdental.com
Patient 2 Case of enamel dysplasia, treatment 6 units laminate veneers What Does Enamel Dysplasia Mean enamel hypoplasia is a term that denotes incomplete or underdeveloped tooth enamel. enamel hypoplasia is a defect of the teeth in which the enamel is deficient in quantity, [1] caused by defective enamel matrix formation during enamel. it can appear as discoloured patches of soft or decaying, bumpy enamel that usually affect the molars and incisors as. What Does Enamel Dysplasia Mean.
From www.slideserve.com
PPT Hard Tissue Charting PowerPoint Presentation, free download ID What Does Enamel Dysplasia Mean But first, what exactly is enamel? it can appear as discoloured patches of soft or decaying, bumpy enamel that usually affect the molars and incisors as they. enamel hypoplasia is a defect of the teeth in which the enamel is deficient in quantity, [1] caused by defective enamel matrix formation during enamel. Enamel hypoplasia is when your tooth. What Does Enamel Dysplasia Mean.
From www.scribd.com
Enamel Hypoplasia Human Tooth Tooth Enamel What Does Enamel Dysplasia Mean Enamel hypoplasia is when your tooth enamel doesn’t develop properly,. enamel hypoplasia is a term that denotes incomplete or underdeveloped tooth enamel. It’s the hard, protective layer. it can appear as discoloured patches of soft or decaying, bumpy enamel that usually affect the molars and incisors as they. enamel hypoplasia is a defect of the teeth in. What Does Enamel Dysplasia Mean.
From www.clarencetam.co.nz
Severe Enamel Dysplasia NonInvasive Restorative Dentistry What Does Enamel Dysplasia Mean enamel hypoplasia is a term that denotes incomplete or underdeveloped tooth enamel. hypoplastic teeth, also known as enamel hypoplasia, is when your enamel has not formed properly or has formed. enamel hypoplasia is a defect of the teeth in which the enamel is deficient in quantity, [1] caused by defective enamel matrix formation during enamel. Enamel hypoplasia. What Does Enamel Dysplasia Mean.
From www.youtube.com
Medical vocabulary What does Dentin Dysplasia mean YouTube What Does Enamel Dysplasia Mean It’s the hard, protective layer. Enamel hypoplasia is when your tooth enamel doesn’t develop properly,. enamel hypoplasia is a defect of the teeth in which the enamel is deficient in quantity, [1] caused by defective enamel matrix formation during enamel. enamel hypoplasia (eh) and hypomineralization are two teeth defects that can sometimes get confused. it can appear. What Does Enamel Dysplasia Mean.