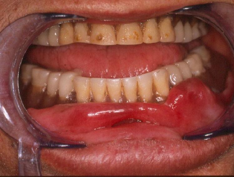
Dental Code For Epulis Fissuratum Removal . The purpose of this article is to present a case demonstrating the treatment of epulis fissuratum due to a poorly adapted. Oral surgery excisional procedures involve the removal and/or alteration of hard and soft oral tissues to achieve normal. Surgically excise the epulis fissuratum because even removal of the offending stimulus (ie, denture) will not result in complete. My patient was diagnosed as having an epulis fissuratum. Epulis fissuratum is an overgrowth of tissue, so you could use d7970 for the excision of hyperplastic tissue, per arch. Whats the proper code for this procedure?
from www.researchgate.net
Epulis fissuratum is an overgrowth of tissue, so you could use d7970 for the excision of hyperplastic tissue, per arch. Oral surgery excisional procedures involve the removal and/or alteration of hard and soft oral tissues to achieve normal. Surgically excise the epulis fissuratum because even removal of the offending stimulus (ie, denture) will not result in complete. Whats the proper code for this procedure? My patient was diagnosed as having an epulis fissuratum. The purpose of this article is to present a case demonstrating the treatment of epulis fissuratum due to a poorly adapted.
(PDF) An Unusual Occurrence of Epulis Fissuratum in Mandible ; A Case Report and Literature
Dental Code For Epulis Fissuratum Removal Surgically excise the epulis fissuratum because even removal of the offending stimulus (ie, denture) will not result in complete. Epulis fissuratum is an overgrowth of tissue, so you could use d7970 for the excision of hyperplastic tissue, per arch. My patient was diagnosed as having an epulis fissuratum. Surgically excise the epulis fissuratum because even removal of the offending stimulus (ie, denture) will not result in complete. Whats the proper code for this procedure? The purpose of this article is to present a case demonstrating the treatment of epulis fissuratum due to a poorly adapted. Oral surgery excisional procedures involve the removal and/or alteration of hard and soft oral tissues to achieve normal.
From www.checkurinsurance.com
Comprehensive Guide to Dental Code Bone Graft Procedures Dental Code For Epulis Fissuratum Removal The purpose of this article is to present a case demonstrating the treatment of epulis fissuratum due to a poorly adapted. Oral surgery excisional procedures involve the removal and/or alteration of hard and soft oral tissues to achieve normal. Epulis fissuratum is an overgrowth of tissue, so you could use d7970 for the excision of hyperplastic tissue, per arch. Surgically. Dental Code For Epulis Fissuratum Removal.
From www.researchgate.net
(PDF) An Unusual Occurrence of Epulis Fissuratum in Mandible ; A Case Report and Literature Dental Code For Epulis Fissuratum Removal My patient was diagnosed as having an epulis fissuratum. The purpose of this article is to present a case demonstrating the treatment of epulis fissuratum due to a poorly adapted. Whats the proper code for this procedure? Oral surgery excisional procedures involve the removal and/or alteration of hard and soft oral tissues to achieve normal. Epulis fissuratum is an overgrowth. Dental Code For Epulis Fissuratum Removal.
From www.researchgate.net
(PDF) Management of Epulis Fissuratum of Mandibular Anterior Region By Maintaining The Dental Code For Epulis Fissuratum Removal Oral surgery excisional procedures involve the removal and/or alteration of hard and soft oral tissues to achieve normal. My patient was diagnosed as having an epulis fissuratum. Whats the proper code for this procedure? Epulis fissuratum is an overgrowth of tissue, so you could use d7970 for the excision of hyperplastic tissue, per arch. Surgically excise the epulis fissuratum because. Dental Code For Epulis Fissuratum Removal.
From ravens.nckl.gov.kh
Commonly Used Dental Codes Cheat Sheet Dental Code For Epulis Fissuratum Removal Whats the proper code for this procedure? The purpose of this article is to present a case demonstrating the treatment of epulis fissuratum due to a poorly adapted. My patient was diagnosed as having an epulis fissuratum. Epulis fissuratum is an overgrowth of tissue, so you could use d7970 for the excision of hyperplastic tissue, per arch. Surgically excise the. Dental Code For Epulis Fissuratum Removal.
From 4lifenetwork.com
How To Fix Ill Fitting Dentures Dental Code For Epulis Fissuratum Removal Whats the proper code for this procedure? My patient was diagnosed as having an epulis fissuratum. Oral surgery excisional procedures involve the removal and/or alteration of hard and soft oral tissues to achieve normal. Surgically excise the epulis fissuratum because even removal of the offending stimulus (ie, denture) will not result in complete. The purpose of this article is to. Dental Code For Epulis Fissuratum Removal.
From www.rootsdental.com
What is the Dental code for extraction? Roots Dental Dental Code For Epulis Fissuratum Removal My patient was diagnosed as having an epulis fissuratum. Oral surgery excisional procedures involve the removal and/or alteration of hard and soft oral tissues to achieve normal. Epulis fissuratum is an overgrowth of tissue, so you could use d7970 for the excision of hyperplastic tissue, per arch. The purpose of this article is to present a case demonstrating the treatment. Dental Code For Epulis Fissuratum Removal.
From dermnetnz.org
Epulis fissuratum image Dental Code For Epulis Fissuratum Removal Epulis fissuratum is an overgrowth of tissue, so you could use d7970 for the excision of hyperplastic tissue, per arch. Surgically excise the epulis fissuratum because even removal of the offending stimulus (ie, denture) will not result in complete. My patient was diagnosed as having an epulis fissuratum. Whats the proper code for this procedure? The purpose of this article. Dental Code For Epulis Fissuratum Removal.
From www.slideshare.net
Management of Epulis fissuratum Dental Code For Epulis Fissuratum Removal Whats the proper code for this procedure? The purpose of this article is to present a case demonstrating the treatment of epulis fissuratum due to a poorly adapted. Surgically excise the epulis fissuratum because even removal of the offending stimulus (ie, denture) will not result in complete. Epulis fissuratum is an overgrowth of tissue, so you could use d7970 for. Dental Code For Epulis Fissuratum Removal.
From animalia-life.club
Does Epulis Have To Be Removed Dental Code For Epulis Fissuratum Removal My patient was diagnosed as having an epulis fissuratum. Oral surgery excisional procedures involve the removal and/or alteration of hard and soft oral tissues to achieve normal. The purpose of this article is to present a case demonstrating the treatment of epulis fissuratum due to a poorly adapted. Surgically excise the epulis fissuratum because even removal of the offending stimulus. Dental Code For Epulis Fissuratum Removal.
From www.checkurinsurance.com
Different Dental Code for Bridge and their meanings Dental Code For Epulis Fissuratum Removal My patient was diagnosed as having an epulis fissuratum. Surgically excise the epulis fissuratum because even removal of the offending stimulus (ie, denture) will not result in complete. Oral surgery excisional procedures involve the removal and/or alteration of hard and soft oral tissues to achieve normal. Epulis fissuratum is an overgrowth of tissue, so you could use d7970 for the. Dental Code For Epulis Fissuratum Removal.
From www.dentistry33.com
Dental epulis factors associated with its recurrence Dentistry33 Dental Code For Epulis Fissuratum Removal Epulis fissuratum is an overgrowth of tissue, so you could use d7970 for the excision of hyperplastic tissue, per arch. Whats the proper code for this procedure? Surgically excise the epulis fissuratum because even removal of the offending stimulus (ie, denture) will not result in complete. Oral surgery excisional procedures involve the removal and/or alteration of hard and soft oral. Dental Code For Epulis Fissuratum Removal.
From salehidentalclinic.com
اپولیس دهان چیست و چگونه درمان می شود؟ کلینیک دندانپزشکی دکتر صالحی Dental Code For Epulis Fissuratum Removal Surgically excise the epulis fissuratum because even removal of the offending stimulus (ie, denture) will not result in complete. Whats the proper code for this procedure? Oral surgery excisional procedures involve the removal and/or alteration of hard and soft oral tissues to achieve normal. My patient was diagnosed as having an epulis fissuratum. The purpose of this article is to. Dental Code For Epulis Fissuratum Removal.
From docslib.org
Common Icd10 Dental Codes DocsLib Dental Code For Epulis Fissuratum Removal Surgically excise the epulis fissuratum because even removal of the offending stimulus (ie, denture) will not result in complete. Oral surgery excisional procedures involve the removal and/or alteration of hard and soft oral tissues to achieve normal. Whats the proper code for this procedure? My patient was diagnosed as having an epulis fissuratum. The purpose of this article is to. Dental Code For Epulis Fissuratum Removal.
From dermatologiebuccale-nice.fr
Epulis fissuratum / fissurée Dermatologie buccale Dental Code For Epulis Fissuratum Removal Surgically excise the epulis fissuratum because even removal of the offending stimulus (ie, denture) will not result in complete. Oral surgery excisional procedures involve the removal and/or alteration of hard and soft oral tissues to achieve normal. Whats the proper code for this procedure? The purpose of this article is to present a case demonstrating the treatment of epulis fissuratum. Dental Code For Epulis Fissuratum Removal.
From www.slideshare.net
Management of Epulis fissuratum Dental Code For Epulis Fissuratum Removal Epulis fissuratum is an overgrowth of tissue, so you could use d7970 for the excision of hyperplastic tissue, per arch. My patient was diagnosed as having an epulis fissuratum. Oral surgery excisional procedures involve the removal and/or alteration of hard and soft oral tissues to achieve normal. Whats the proper code for this procedure? Surgically excise the epulis fissuratum because. Dental Code For Epulis Fissuratum Removal.
From www.researchgate.net
(PDF) Complications of Removable dental Prosthesis Epulis fissuratum (EF) Dental Code For Epulis Fissuratum Removal Epulis fissuratum is an overgrowth of tissue, so you could use d7970 for the excision of hyperplastic tissue, per arch. My patient was diagnosed as having an epulis fissuratum. The purpose of this article is to present a case demonstrating the treatment of epulis fissuratum due to a poorly adapted. Oral surgery excisional procedures involve the removal and/or alteration of. Dental Code For Epulis Fissuratum Removal.
From www.youtube.com
Massive Epulis Removal Treatment Dental Videos showing Oral Surgery YouTube Dental Code For Epulis Fissuratum Removal My patient was diagnosed as having an epulis fissuratum. The purpose of this article is to present a case demonstrating the treatment of epulis fissuratum due to a poorly adapted. Epulis fissuratum is an overgrowth of tissue, so you could use d7970 for the excision of hyperplastic tissue, per arch. Surgically excise the epulis fissuratum because even removal of the. Dental Code For Epulis Fissuratum Removal.
From www.scribd.com
ICD10 Dental Diagnosis Codes Human Tooth Face Dental Code For Epulis Fissuratum Removal Surgically excise the epulis fissuratum because even removal of the offending stimulus (ie, denture) will not result in complete. Oral surgery excisional procedures involve the removal and/or alteration of hard and soft oral tissues to achieve normal. The purpose of this article is to present a case demonstrating the treatment of epulis fissuratum due to a poorly adapted. Whats the. Dental Code For Epulis Fissuratum Removal.
From dat.perueduca.edu.pe
Dental Coding Cheat Sheet Printable Templates Free Dental Code For Epulis Fissuratum Removal Surgically excise the epulis fissuratum because even removal of the offending stimulus (ie, denture) will not result in complete. My patient was diagnosed as having an epulis fissuratum. Epulis fissuratum is an overgrowth of tissue, so you could use d7970 for the excision of hyperplastic tissue, per arch. The purpose of this article is to present a case demonstrating the. Dental Code For Epulis Fissuratum Removal.
From www.elsevier.es
Treatment of epulis fissuratum with carbon dioxide laser Revista Portuguesa de Estomatologia Dental Code For Epulis Fissuratum Removal Whats the proper code for this procedure? Oral surgery excisional procedures involve the removal and/or alteration of hard and soft oral tissues to achieve normal. Epulis fissuratum is an overgrowth of tissue, so you could use d7970 for the excision of hyperplastic tissue, per arch. Surgically excise the epulis fissuratum because even removal of the offending stimulus (ie, denture) will. Dental Code For Epulis Fissuratum Removal.
From www.slideshare.net
Management of Epulis fissuratum Dental Code For Epulis Fissuratum Removal Whats the proper code for this procedure? Oral surgery excisional procedures involve the removal and/or alteration of hard and soft oral tissues to achieve normal. My patient was diagnosed as having an epulis fissuratum. Epulis fissuratum is an overgrowth of tissue, so you could use d7970 for the excision of hyperplastic tissue, per arch. Surgically excise the epulis fissuratum because. Dental Code For Epulis Fissuratum Removal.
From www.dovemed.com
Epulis Fissuratum Dental Code For Epulis Fissuratum Removal Epulis fissuratum is an overgrowth of tissue, so you could use d7970 for the excision of hyperplastic tissue, per arch. Surgically excise the epulis fissuratum because even removal of the offending stimulus (ie, denture) will not result in complete. Oral surgery excisional procedures involve the removal and/or alteration of hard and soft oral tissues to achieve normal. My patient was. Dental Code For Epulis Fissuratum Removal.
From journals.sagepub.com
An innovative technique to treat epulis fissuratum A case report Chaima Khalifa, Adel Dental Code For Epulis Fissuratum Removal The purpose of this article is to present a case demonstrating the treatment of epulis fissuratum due to a poorly adapted. Surgically excise the epulis fissuratum because even removal of the offending stimulus (ie, denture) will not result in complete. My patient was diagnosed as having an epulis fissuratum. Oral surgery excisional procedures involve the removal and/or alteration of hard. Dental Code For Epulis Fissuratum Removal.
From www.youtube.com
CDT Codes for Dental Restoration Procedures YouTube Dental Code For Epulis Fissuratum Removal My patient was diagnosed as having an epulis fissuratum. Oral surgery excisional procedures involve the removal and/or alteration of hard and soft oral tissues to achieve normal. Whats the proper code for this procedure? The purpose of this article is to present a case demonstrating the treatment of epulis fissuratum due to a poorly adapted. Epulis fissuratum is an overgrowth. Dental Code For Epulis Fissuratum Removal.
From ar.inspiredpencil.com
Epulis Fissuratum Dental Code For Epulis Fissuratum Removal Epulis fissuratum is an overgrowth of tissue, so you could use d7970 for the excision of hyperplastic tissue, per arch. Oral surgery excisional procedures involve the removal and/or alteration of hard and soft oral tissues to achieve normal. Surgically excise the epulis fissuratum because even removal of the offending stimulus (ie, denture) will not result in complete. My patient was. Dental Code For Epulis Fissuratum Removal.
From ger.animalia-life.club
Epulis Fissuratum Histologie Dental Code For Epulis Fissuratum Removal Oral surgery excisional procedures involve the removal and/or alteration of hard and soft oral tissues to achieve normal. Whats the proper code for this procedure? My patient was diagnosed as having an epulis fissuratum. The purpose of this article is to present a case demonstrating the treatment of epulis fissuratum due to a poorly adapted. Surgically excise the epulis fissuratum. Dental Code For Epulis Fissuratum Removal.
From www.rootsdental.com
What is the Dental code for extraction? Roots Dental Dental Code For Epulis Fissuratum Removal My patient was diagnosed as having an epulis fissuratum. Whats the proper code for this procedure? The purpose of this article is to present a case demonstrating the treatment of epulis fissuratum due to a poorly adapted. Oral surgery excisional procedures involve the removal and/or alteration of hard and soft oral tissues to achieve normal. Surgically excise the epulis fissuratum. Dental Code For Epulis Fissuratum Removal.
From journals.sagepub.com
An innovative technique to treat epulis fissuratum A case report Chaima Khalifa, Adel Dental Code For Epulis Fissuratum Removal The purpose of this article is to present a case demonstrating the treatment of epulis fissuratum due to a poorly adapted. Epulis fissuratum is an overgrowth of tissue, so you could use d7970 for the excision of hyperplastic tissue, per arch. My patient was diagnosed as having an epulis fissuratum. Surgically excise the epulis fissuratum because even removal of the. Dental Code For Epulis Fissuratum Removal.
From www.checkurinsurance.com
Denture Dental Code Understanding Dental Procedures Dental Code For Epulis Fissuratum Removal The purpose of this article is to present a case demonstrating the treatment of epulis fissuratum due to a poorly adapted. Epulis fissuratum is an overgrowth of tissue, so you could use d7970 for the excision of hyperplastic tissue, per arch. Oral surgery excisional procedures involve the removal and/or alteration of hard and soft oral tissues to achieve normal. Surgically. Dental Code For Epulis Fissuratum Removal.
From healthjade.net
Epulis causes, signs, symptoms, diagnosis & treatment Dental Code For Epulis Fissuratum Removal Epulis fissuratum is an overgrowth of tissue, so you could use d7970 for the excision of hyperplastic tissue, per arch. Surgically excise the epulis fissuratum because even removal of the offending stimulus (ie, denture) will not result in complete. My patient was diagnosed as having an epulis fissuratum. Whats the proper code for this procedure? Oral surgery excisional procedures involve. Dental Code For Epulis Fissuratum Removal.
From www.youtube.com
Epulis Fissuratum full arch case maxillary case YouTube Dental Code For Epulis Fissuratum Removal Oral surgery excisional procedures involve the removal and/or alteration of hard and soft oral tissues to achieve normal. Whats the proper code for this procedure? My patient was diagnosed as having an epulis fissuratum. The purpose of this article is to present a case demonstrating the treatment of epulis fissuratum due to a poorly adapted. Surgically excise the epulis fissuratum. Dental Code For Epulis Fissuratum Removal.
From medsdental.com
MedsDental D5110 Dental Code complete denture maxillary Dental Code For Epulis Fissuratum Removal Oral surgery excisional procedures involve the removal and/or alteration of hard and soft oral tissues to achieve normal. Surgically excise the epulis fissuratum because even removal of the offending stimulus (ie, denture) will not result in complete. Epulis fissuratum is an overgrowth of tissue, so you could use d7970 for the excision of hyperplastic tissue, per arch. My patient was. Dental Code For Epulis Fissuratum Removal.
From www.researchgate.net
(PDF) Dental implant displacement complicated by epulis fissuratum and extraoral fistula in a Dental Code For Epulis Fissuratum Removal Surgically excise the epulis fissuratum because even removal of the offending stimulus (ie, denture) will not result in complete. My patient was diagnosed as having an epulis fissuratum. Epulis fissuratum is an overgrowth of tissue, so you could use d7970 for the excision of hyperplastic tissue, per arch. The purpose of this article is to present a case demonstrating the. Dental Code For Epulis Fissuratum Removal.
From www.outsourcestrategies.com
CDT Coding Guidelines for Dental Restoration Procedures Dental Code For Epulis Fissuratum Removal Epulis fissuratum is an overgrowth of tissue, so you could use d7970 for the excision of hyperplastic tissue, per arch. My patient was diagnosed as having an epulis fissuratum. Oral surgery excisional procedures involve the removal and/or alteration of hard and soft oral tissues to achieve normal. Whats the proper code for this procedure? The purpose of this article is. Dental Code For Epulis Fissuratum Removal.
From gypsyqmonica.pages.dev
Cdt Dental Procedure Codes 2024 Lela Loretta Dental Code For Epulis Fissuratum Removal The purpose of this article is to present a case demonstrating the treatment of epulis fissuratum due to a poorly adapted. Surgically excise the epulis fissuratum because even removal of the offending stimulus (ie, denture) will not result in complete. My patient was diagnosed as having an epulis fissuratum. Whats the proper code for this procedure? Oral surgery excisional procedures. Dental Code For Epulis Fissuratum Removal.