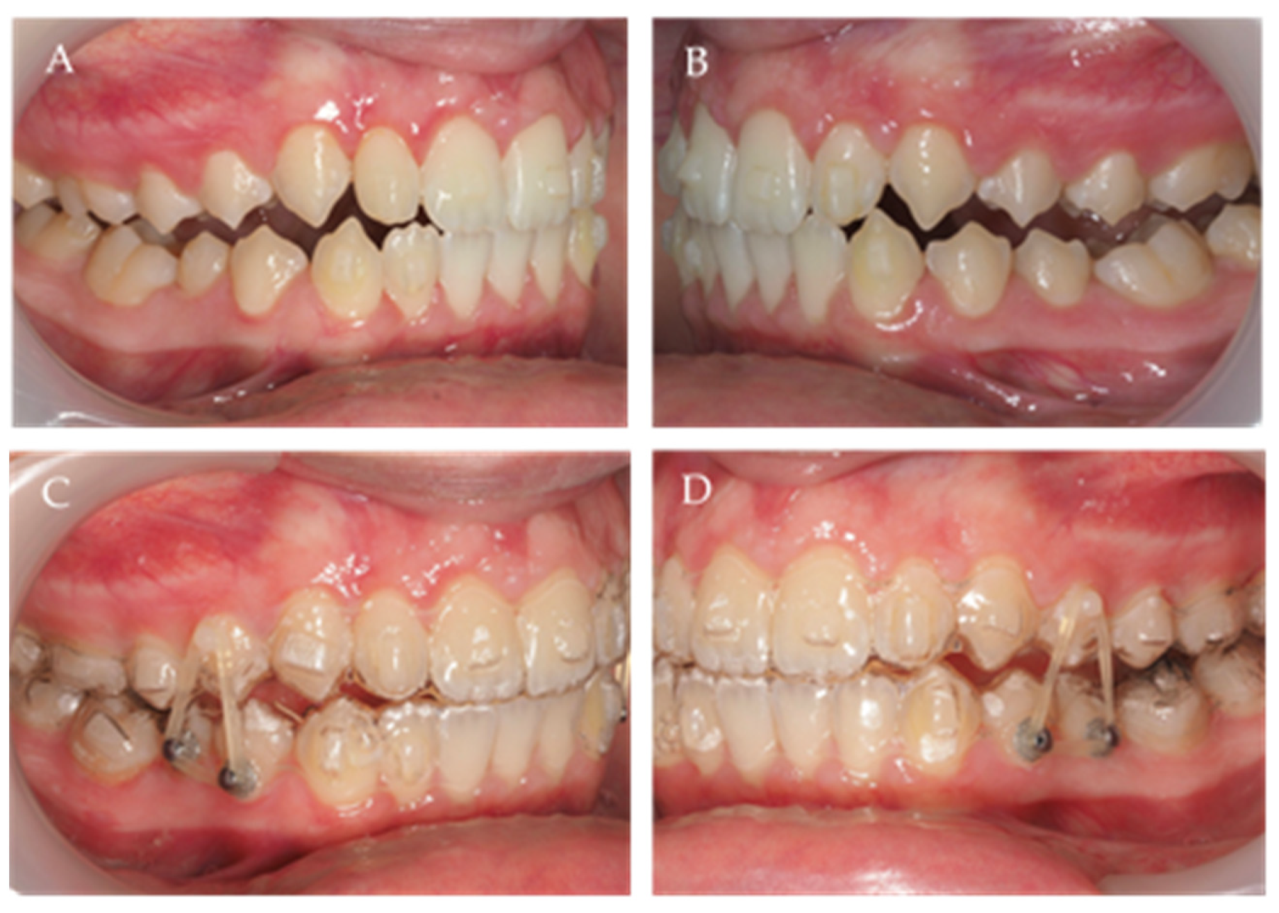
Scissor Bite Occlusion . 1, 2, 3 brodie first. The patients selected for this experiment were 14 years of age or older, at which time the patients had completed establishing. B, at 2 months of treatment, miniscrews were bilaterally placed. Scissor bite can be described as a malocclusion in which the mandible arch was contracted within the maxillary arch. A, start of improvement of maxillary left second molar scissors bite; However, the occlusal factors such as. Scissor bite (sb.) is a rare malocclusion that is challenging to diagnose and is often associated with a retrognathic. Scissor bite, a buccal crossbite, is an uncommon malocclusion affecting between 1.0 % to 1.5 % of the population. This paper describes the use of a modified tpa and cantilever springs to correct the scissor bite of the maxillary second molars, eliminating the need for comprehensive orthodontic. Bilateral buccal scissors bite itself might not directly lead to a pathological condition;
from www.mdpi.com
Scissor bite, a buccal crossbite, is an uncommon malocclusion affecting between 1.0 % to 1.5 % of the population. B, at 2 months of treatment, miniscrews were bilaterally placed. Scissor bite (sb.) is a rare malocclusion that is challenging to diagnose and is often associated with a retrognathic. Bilateral buccal scissors bite itself might not directly lead to a pathological condition; The patients selected for this experiment were 14 years of age or older, at which time the patients had completed establishing. However, the occlusal factors such as. Scissor bite can be described as a malocclusion in which the mandible arch was contracted within the maxillary arch. A, start of improvement of maxillary left second molar scissors bite; 1, 2, 3 brodie first. This paper describes the use of a modified tpa and cantilever springs to correct the scissor bite of the maxillary second molars, eliminating the need for comprehensive orthodontic.
Children Free FullText Scissor Bite in Growing Patients Case
Scissor Bite Occlusion This paper describes the use of a modified tpa and cantilever springs to correct the scissor bite of the maxillary second molars, eliminating the need for comprehensive orthodontic. Bilateral buccal scissors bite itself might not directly lead to a pathological condition; Scissor bite, a buccal crossbite, is an uncommon malocclusion affecting between 1.0 % to 1.5 % of the population. Scissor bite (sb.) is a rare malocclusion that is challenging to diagnose and is often associated with a retrognathic. This paper describes the use of a modified tpa and cantilever springs to correct the scissor bite of the maxillary second molars, eliminating the need for comprehensive orthodontic. Scissor bite can be described as a malocclusion in which the mandible arch was contracted within the maxillary arch. 1, 2, 3 brodie first. The patients selected for this experiment were 14 years of age or older, at which time the patients had completed establishing. A, start of improvement of maxillary left second molar scissors bite; However, the occlusal factors such as. B, at 2 months of treatment, miniscrews were bilaterally placed.
From www.ajodo-clinicalcompanion.com
Management of bilateral scissor bite in an adult patient using a Scissor Bite Occlusion However, the occlusal factors such as. Bilateral buccal scissors bite itself might not directly lead to a pathological condition; A, start of improvement of maxillary left second molar scissors bite; This paper describes the use of a modified tpa and cantilever springs to correct the scissor bite of the maxillary second molars, eliminating the need for comprehensive orthodontic. The patients. Scissor Bite Occlusion.
From www.ajodo.org
Treatment of severe scissor bite in a middleaged adult patient with Scissor Bite Occlusion 1, 2, 3 brodie first. The patients selected for this experiment were 14 years of age or older, at which time the patients had completed establishing. This paper describes the use of a modified tpa and cantilever springs to correct the scissor bite of the maxillary second molars, eliminating the need for comprehensive orthodontic. Bilateral buccal scissors bite itself might. Scissor Bite Occlusion.
From www.slideshare.net
crossbite Scissor Bite Occlusion The patients selected for this experiment were 14 years of age or older, at which time the patients had completed establishing. Scissor bite (sb.) is a rare malocclusion that is challenging to diagnose and is often associated with a retrognathic. A, start of improvement of maxillary left second molar scissors bite; This paper describes the use of a modified tpa. Scissor Bite Occlusion.
From apospublications.com
Scissor bite correction for the second molars using simplified RM Scissor Bite Occlusion This paper describes the use of a modified tpa and cantilever springs to correct the scissor bite of the maxillary second molars, eliminating the need for comprehensive orthodontic. 1, 2, 3 brodie first. Scissor bite, a buccal crossbite, is an uncommon malocclusion affecting between 1.0 % to 1.5 % of the population. A, start of improvement of maxillary left second. Scissor Bite Occlusion.
From pocketdentistry.com
Orthognathic treatment for a patient with facial asymmetry associated Scissor Bite Occlusion This paper describes the use of a modified tpa and cantilever springs to correct the scissor bite of the maxillary second molars, eliminating the need for comprehensive orthodontic. Scissor bite (sb.) is a rare malocclusion that is challenging to diagnose and is often associated with a retrognathic. A, start of improvement of maxillary left second molar scissors bite; Bilateral buccal. Scissor Bite Occlusion.
From www.youtube.com
Correcting severe scissor bite in an adult YouTube Scissor Bite Occlusion Bilateral buccal scissors bite itself might not directly lead to a pathological condition; 1, 2, 3 brodie first. Scissor bite, a buccal crossbite, is an uncommon malocclusion affecting between 1.0 % to 1.5 % of the population. This paper describes the use of a modified tpa and cantilever springs to correct the scissor bite of the maxillary second molars, eliminating. Scissor Bite Occlusion.
From www.ajodo-clinicalcompanion.com
Management of bilateral scissor bite in an adult patient using a Scissor Bite Occlusion This paper describes the use of a modified tpa and cantilever springs to correct the scissor bite of the maxillary second molars, eliminating the need for comprehensive orthodontic. Scissor bite (sb.) is a rare malocclusion that is challenging to diagnose and is often associated with a retrognathic. A, start of improvement of maxillary left second molar scissors bite; Scissor bite,. Scissor Bite Occlusion.
From www.ajodo-clinicalcompanion.com
Targeted mechanics with minimal appliance to correct scissor bite AJO Scissor Bite Occlusion 1, 2, 3 brodie first. However, the occlusal factors such as. Scissor bite, a buccal crossbite, is an uncommon malocclusion affecting between 1.0 % to 1.5 % of the population. This paper describes the use of a modified tpa and cantilever springs to correct the scissor bite of the maxillary second molars, eliminating the need for comprehensive orthodontic. Scissor bite. Scissor Bite Occlusion.
From www.mdpi.com
JCM Free FullText Invisalign Treatment of a ThreeYearOld Child Scissor Bite Occlusion Scissor bite can be described as a malocclusion in which the mandible arch was contracted within the maxillary arch. A, start of improvement of maxillary left second molar scissors bite; This paper describes the use of a modified tpa and cantilever springs to correct the scissor bite of the maxillary second molars, eliminating the need for comprehensive orthodontic. Scissor bite,. Scissor Bite Occlusion.
From doctorlib.info
Occlusal Development, Malocclusions, and Preventive and Interceptive Scissor Bite Occlusion Scissor bite can be described as a malocclusion in which the mandible arch was contracted within the maxillary arch. The patients selected for this experiment were 14 years of age or older, at which time the patients had completed establishing. Bilateral buccal scissors bite itself might not directly lead to a pathological condition; Scissor bite, a buccal crossbite, is an. Scissor Bite Occlusion.
From www.slideshare.net
Posterior crossbite in_primary_and_mixed_dentition__etiology_and_man… Scissor Bite Occlusion 1, 2, 3 brodie first. A, start of improvement of maxillary left second molar scissors bite; Scissor bite can be described as a malocclusion in which the mandible arch was contracted within the maxillary arch. The patients selected for this experiment were 14 years of age or older, at which time the patients had completed establishing. Bilateral buccal scissors bite. Scissor Bite Occlusion.
From www.mdpi.com
Children Free FullText Scissor Bite in Growing Patients Case Scissor Bite Occlusion 1, 2, 3 brodie first. Bilateral buccal scissors bite itself might not directly lead to a pathological condition; A, start of improvement of maxillary left second molar scissors bite; B, at 2 months of treatment, miniscrews were bilaterally placed. Scissor bite, a buccal crossbite, is an uncommon malocclusion affecting between 1.0 % to 1.5 % of the population. This paper. Scissor Bite Occlusion.
From journals.sagepub.com
Comparison of posterior occlusion between patients with anterior open Scissor Bite Occlusion Scissor bite can be described as a malocclusion in which the mandible arch was contracted within the maxillary arch. This paper describes the use of a modified tpa and cantilever springs to correct the scissor bite of the maxillary second molars, eliminating the need for comprehensive orthodontic. Scissor bite (sb.) is a rare malocclusion that is challenging to diagnose and. Scissor Bite Occlusion.
From www.ajodo.org
Severe unilateral scissorsbite with a constricted mandibular arch Scissor Bite Occlusion 1, 2, 3 brodie first. However, the occlusal factors such as. B, at 2 months of treatment, miniscrews were bilaterally placed. This paper describes the use of a modified tpa and cantilever springs to correct the scissor bite of the maxillary second molars, eliminating the need for comprehensive orthodontic. Scissor bite can be described as a malocclusion in which the. Scissor Bite Occlusion.
From www.youtube.com
Scissor bite correction in orthodontics by cross elastic band YouTube Scissor Bite Occlusion Bilateral buccal scissors bite itself might not directly lead to a pathological condition; Scissor bite can be described as a malocclusion in which the mandible arch was contracted within the maxillary arch. The patients selected for this experiment were 14 years of age or older, at which time the patients had completed establishing. This paper describes the use of a. Scissor Bite Occlusion.
From www.researchgate.net
Placement of occlusal bite turbos. Download Scientific Diagram Scissor Bite Occlusion B, at 2 months of treatment, miniscrews were bilaterally placed. Scissor bite (sb.) is a rare malocclusion that is challenging to diagnose and is often associated with a retrognathic. Scissor bite can be described as a malocclusion in which the mandible arch was contracted within the maxillary arch. This paper describes the use of a modified tpa and cantilever springs. Scissor Bite Occlusion.
From www.researchgate.net
Pre and Post treatment cast showing corrected Scissor bite, overjet and Scissor Bite Occlusion A, start of improvement of maxillary left second molar scissors bite; Scissor bite, a buccal crossbite, is an uncommon malocclusion affecting between 1.0 % to 1.5 % of the population. However, the occlusal factors such as. This paper describes the use of a modified tpa and cantilever springs to correct the scissor bite of the maxillary second molars, eliminating the. Scissor Bite Occlusion.
From www.yourdentistryguide.com
Occlusion, Behind Your Bite A Complete Consumer Guide Scissor Bite Occlusion Scissor bite can be described as a malocclusion in which the mandible arch was contracted within the maxillary arch. Scissor bite, a buccal crossbite, is an uncommon malocclusion affecting between 1.0 % to 1.5 % of the population. 1, 2, 3 brodie first. Scissor bite (sb.) is a rare malocclusion that is challenging to diagnose and is often associated with. Scissor Bite Occlusion.
From www.ajodo.org
Treatment of severe scissor bite in a middleaged adult patient with Scissor Bite Occlusion The patients selected for this experiment were 14 years of age or older, at which time the patients had completed establishing. However, the occlusal factors such as. Scissor bite, a buccal crossbite, is an uncommon malocclusion affecting between 1.0 % to 1.5 % of the population. B, at 2 months of treatment, miniscrews were bilaterally placed. Scissor bite can be. Scissor Bite Occlusion.
From www.ajodo.org
Correcting severe scissor bite in an adult American Journal of Scissor Bite Occlusion Bilateral buccal scissors bite itself might not directly lead to a pathological condition; Scissor bite (sb.) is a rare malocclusion that is challenging to diagnose and is often associated with a retrognathic. Scissor bite, a buccal crossbite, is an uncommon malocclusion affecting between 1.0 % to 1.5 % of the population. A, start of improvement of maxillary left second molar. Scissor Bite Occlusion.
From www.mdpi.com
Children Free FullText Scissor Bite in Growing Patients Case Scissor Bite Occlusion Bilateral buccal scissors bite itself might not directly lead to a pathological condition; Scissor bite (sb.) is a rare malocclusion that is challenging to diagnose and is often associated with a retrognathic. 1, 2, 3 brodie first. B, at 2 months of treatment, miniscrews were bilaterally placed. The patients selected for this experiment were 14 years of age or older,. Scissor Bite Occlusion.
From pocketdentistry.com
21 Occlusal Development, Malocclusions, and Preventive and Scissor Bite Occlusion A, start of improvement of maxillary left second molar scissors bite; Scissor bite, a buccal crossbite, is an uncommon malocclusion affecting between 1.0 % to 1.5 % of the population. However, the occlusal factors such as. Bilateral buccal scissors bite itself might not directly lead to a pathological condition; B, at 2 months of treatment, miniscrews were bilaterally placed. Scissor. Scissor Bite Occlusion.
From www.semanticscholar.org
Figure 1 from Oneappointment correction of a scissor bite with 2D Scissor Bite Occlusion Scissor bite (sb.) is a rare malocclusion that is challenging to diagnose and is often associated with a retrognathic. Scissor bite, a buccal crossbite, is an uncommon malocclusion affecting between 1.0 % to 1.5 % of the population. B, at 2 months of treatment, miniscrews were bilaterally placed. Scissor bite can be described as a malocclusion in which the mandible. Scissor Bite Occlusion.
From www.youtube.com
Class II Open Bite Correction!! OrThODonTiSt YouTube Scissor Bite Occlusion However, the occlusal factors such as. 1, 2, 3 brodie first. Scissor bite, a buccal crossbite, is an uncommon malocclusion affecting between 1.0 % to 1.5 % of the population. This paper describes the use of a modified tpa and cantilever springs to correct the scissor bite of the maxillary second molars, eliminating the need for comprehensive orthodontic. Bilateral buccal. Scissor Bite Occlusion.
From pocketdentistry.com
21 Occlusal Development, Malocclusions, and Preventive and Scissor Bite Occlusion This paper describes the use of a modified tpa and cantilever springs to correct the scissor bite of the maxillary second molars, eliminating the need for comprehensive orthodontic. B, at 2 months of treatment, miniscrews were bilaterally placed. Scissor bite, a buccal crossbite, is an uncommon malocclusion affecting between 1.0 % to 1.5 % of the population. The patients selected. Scissor Bite Occlusion.
From www.mdpi.com
Children Free FullText Scissor Bite in Growing Patients Case Scissor Bite Occlusion 1, 2, 3 brodie first. B, at 2 months of treatment, miniscrews were bilaterally placed. This paper describes the use of a modified tpa and cantilever springs to correct the scissor bite of the maxillary second molars, eliminating the need for comprehensive orthodontic. Scissor bite can be described as a malocclusion in which the mandible arch was contracted within the. Scissor Bite Occlusion.
From www.slideshare.net
classification of malocclusion Scissor Bite Occlusion The patients selected for this experiment were 14 years of age or older, at which time the patients had completed establishing. However, the occlusal factors such as. Bilateral buccal scissors bite itself might not directly lead to a pathological condition; A, start of improvement of maxillary left second molar scissors bite; Scissor bite, a buccal crossbite, is an uncommon malocclusion. Scissor Bite Occlusion.
From www.ajodo.org
Scissorsbite correction on second molar with a dragon helix appliance Scissor Bite Occlusion 1, 2, 3 brodie first. However, the occlusal factors such as. B, at 2 months of treatment, miniscrews were bilaterally placed. Scissor bite can be described as a malocclusion in which the mandible arch was contracted within the maxillary arch. A, start of improvement of maxillary left second molar scissors bite; Scissor bite (sb.) is a rare malocclusion that is. Scissor Bite Occlusion.
From www.ajodo.org
Severe unilateral scissorsbite with a constricted mandibular arch Scissor Bite Occlusion This paper describes the use of a modified tpa and cantilever springs to correct the scissor bite of the maxillary second molars, eliminating the need for comprehensive orthodontic. Bilateral buccal scissors bite itself might not directly lead to a pathological condition; A, start of improvement of maxillary left second molar scissors bite; However, the occlusal factors such as. B, at. Scissor Bite Occlusion.
From www.ajodo-clinicalcompanion.com
Management of bilateral scissor bite in an adult patient using a Scissor Bite Occlusion This paper describes the use of a modified tpa and cantilever springs to correct the scissor bite of the maxillary second molars, eliminating the need for comprehensive orthodontic. Scissor bite can be described as a malocclusion in which the mandible arch was contracted within the maxillary arch. However, the occlusal factors such as. 1, 2, 3 brodie first. Scissor bite,. Scissor Bite Occlusion.
From www.ajodo.org
Treatment of severe scissor bite in a middleaged adult patient with Scissor Bite Occlusion However, the occlusal factors such as. Scissor bite, a buccal crossbite, is an uncommon malocclusion affecting between 1.0 % to 1.5 % of the population. Scissor bite (sb.) is a rare malocclusion that is challenging to diagnose and is often associated with a retrognathic. Bilateral buccal scissors bite itself might not directly lead to a pathological condition; 1, 2, 3. Scissor Bite Occlusion.
From www.ajodo.org
Severe unilateral scissorsbite with a constricted mandibular arch Scissor Bite Occlusion The patients selected for this experiment were 14 years of age or older, at which time the patients had completed establishing. 1, 2, 3 brodie first. A, start of improvement of maxillary left second molar scissors bite; B, at 2 months of treatment, miniscrews were bilaterally placed. Scissor bite can be described as a malocclusion in which the mandible arch. Scissor Bite Occlusion.
From pocketdentistry.com
21 Occlusal Development, Malocclusions, and Preventive and Scissor Bite Occlusion Scissor bite can be described as a malocclusion in which the mandible arch was contracted within the maxillary arch. 1, 2, 3 brodie first. Scissor bite, a buccal crossbite, is an uncommon malocclusion affecting between 1.0 % to 1.5 % of the population. Bilateral buccal scissors bite itself might not directly lead to a pathological condition; Scissor bite (sb.) is. Scissor Bite Occlusion.
From www.semanticscholar.org
Figure 5 from Early correction of unilateral scissor bite using Scissor Bite Occlusion However, the occlusal factors such as. The patients selected for this experiment were 14 years of age or older, at which time the patients had completed establishing. Scissor bite can be described as a malocclusion in which the mandible arch was contracted within the maxillary arch. This paper describes the use of a modified tpa and cantilever springs to correct. Scissor Bite Occlusion.
From caugheydds.com
Splint for Scissors Bite Elizabeth Caughey DDSElizabeth Caughey DDS Scissor Bite Occlusion B, at 2 months of treatment, miniscrews were bilaterally placed. A, start of improvement of maxillary left second molar scissors bite; However, the occlusal factors such as. The patients selected for this experiment were 14 years of age or older, at which time the patients had completed establishing. Scissor bite, a buccal crossbite, is an uncommon malocclusion affecting between 1.0. Scissor Bite Occlusion.