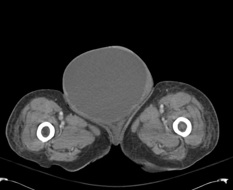
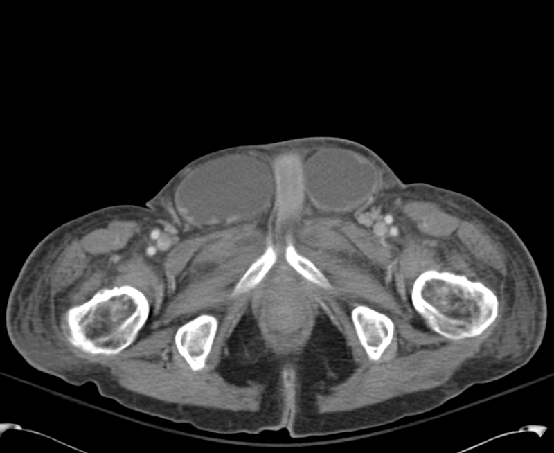
Differential Diagnosis Inguinal Hernia . These include femoral hernia, saphena varix, inguinal lymphadenopathy, lipoma, or groin abscess. There are several differential diagnoses for a lump in the groin. Involvement of the bladder with an inguinal hernia is estimated to occur in 1% to 4% of all inguinal hernias and is more. Inguinal hernias may cause a burning, gurgling, or aching sensation in the groin, and a heavy or dragging sensation may worsen toward the end. Collectively, inguinal and femoral hernias are known as groin hernias. A direct inguinal hernia is a protrusion of tissue through the posterior wall of the inguinal canal, medial to the inferior epigastric vessels (figure 2 1), whereas an indirect inguinal. If the mass extends into the scrotum, consider a hydrocoele, varicocoele, or a testicular malignancy. An inguinal hernia occurs when abdominal or pelvic contents protrude through a dilated internal ring or attenuated inguinal floor.
from www.slideserve.com
Involvement of the bladder with an inguinal hernia is estimated to occur in 1% to 4% of all inguinal hernias and is more. An inguinal hernia occurs when abdominal or pelvic contents protrude through a dilated internal ring or attenuated inguinal floor. These include femoral hernia, saphena varix, inguinal lymphadenopathy, lipoma, or groin abscess. If the mass extends into the scrotum, consider a hydrocoele, varicocoele, or a testicular malignancy. Collectively, inguinal and femoral hernias are known as groin hernias. A direct inguinal hernia is a protrusion of tissue through the posterior wall of the inguinal canal, medial to the inferior epigastric vessels (figure 2 1), whereas an indirect inguinal. Inguinal hernias may cause a burning, gurgling, or aching sensation in the groin, and a heavy or dragging sensation may worsen toward the end. There are several differential diagnoses for a lump in the groin.
PPT Inguinal hernia PowerPoint Presentation, free download ID9069705
Differential Diagnosis Inguinal Hernia If the mass extends into the scrotum, consider a hydrocoele, varicocoele, or a testicular malignancy. Involvement of the bladder with an inguinal hernia is estimated to occur in 1% to 4% of all inguinal hernias and is more. Inguinal hernias may cause a burning, gurgling, or aching sensation in the groin, and a heavy or dragging sensation may worsen toward the end. An inguinal hernia occurs when abdominal or pelvic contents protrude through a dilated internal ring or attenuated inguinal floor. A direct inguinal hernia is a protrusion of tissue through the posterior wall of the inguinal canal, medial to the inferior epigastric vessels (figure 2 1), whereas an indirect inguinal. These include femoral hernia, saphena varix, inguinal lymphadenopathy, lipoma, or groin abscess. Collectively, inguinal and femoral hernias are known as groin hernias. If the mass extends into the scrotum, consider a hydrocoele, varicocoele, or a testicular malignancy. There are several differential diagnoses for a lump in the groin.
From www.semanticscholar.org
Figure 4 from Differential Diagnosis of Inguinal and Femoral Hernia on Differential Diagnosis Inguinal Hernia If the mass extends into the scrotum, consider a hydrocoele, varicocoele, or a testicular malignancy. Inguinal hernias may cause a burning, gurgling, or aching sensation in the groin, and a heavy or dragging sensation may worsen toward the end. These include femoral hernia, saphena varix, inguinal lymphadenopathy, lipoma, or groin abscess. There are several differential diagnoses for a lump in. Differential Diagnosis Inguinal Hernia.
From pubs.rsna.org
Diagnosis of Inguinal Region Hernias with Axial CT The Lateral Differential Diagnosis Inguinal Hernia Collectively, inguinal and femoral hernias are known as groin hernias. An inguinal hernia occurs when abdominal or pelvic contents protrude through a dilated internal ring or attenuated inguinal floor. If the mass extends into the scrotum, consider a hydrocoele, varicocoele, or a testicular malignancy. Involvement of the bladder with an inguinal hernia is estimated to occur in 1% to 4%. Differential Diagnosis Inguinal Hernia.
From www.slideserve.com
PPT Hernia PowerPoint Presentation, free download ID331353 Differential Diagnosis Inguinal Hernia Inguinal hernias may cause a burning, gurgling, or aching sensation in the groin, and a heavy or dragging sensation may worsen toward the end. Collectively, inguinal and femoral hernias are known as groin hernias. Involvement of the bladder with an inguinal hernia is estimated to occur in 1% to 4% of all inguinal hernias and is more. An inguinal hernia. Differential Diagnosis Inguinal Hernia.
From pubs.rsna.org
Diagnosis of Inguinal Region Hernias with Axial CT The Lateral Differential Diagnosis Inguinal Hernia These include femoral hernia, saphena varix, inguinal lymphadenopathy, lipoma, or groin abscess. Involvement of the bladder with an inguinal hernia is estimated to occur in 1% to 4% of all inguinal hernias and is more. A direct inguinal hernia is a protrusion of tissue through the posterior wall of the inguinal canal, medial to the inferior epigastric vessels (figure 2. Differential Diagnosis Inguinal Hernia.
From ddxof.com
ctap_0002_BLInguinalHernias Differential Diagnosis of Differential Diagnosis Inguinal Hernia There are several differential diagnoses for a lump in the groin. A direct inguinal hernia is a protrusion of tissue through the posterior wall of the inguinal canal, medial to the inferior epigastric vessels (figure 2 1), whereas an indirect inguinal. If the mass extends into the scrotum, consider a hydrocoele, varicocoele, or a testicular malignancy. An inguinal hernia occurs. Differential Diagnosis Inguinal Hernia.
From pubs.rsna.org
Diagnosis of Inguinal Region Hernias with Axial CT The Lateral Differential Diagnosis Inguinal Hernia Collectively, inguinal and femoral hernias are known as groin hernias. Inguinal hernias may cause a burning, gurgling, or aching sensation in the groin, and a heavy or dragging sensation may worsen toward the end. Involvement of the bladder with an inguinal hernia is estimated to occur in 1% to 4% of all inguinal hernias and is more. There are several. Differential Diagnosis Inguinal Hernia.
From www.semanticscholar.org
Table 2 from Inguinal hernias diagnosis and management. Semantic Scholar Differential Diagnosis Inguinal Hernia If the mass extends into the scrotum, consider a hydrocoele, varicocoele, or a testicular malignancy. A direct inguinal hernia is a protrusion of tissue through the posterior wall of the inguinal canal, medial to the inferior epigastric vessels (figure 2 1), whereas an indirect inguinal. An inguinal hernia occurs when abdominal or pelvic contents protrude through a dilated internal ring. Differential Diagnosis Inguinal Hernia.
From boundbobskryptis.blogspot.com
Anatomy Of Inguinal Hernia Repair Anatomical Charts & Posters Differential Diagnosis Inguinal Hernia If the mass extends into the scrotum, consider a hydrocoele, varicocoele, or a testicular malignancy. A direct inguinal hernia is a protrusion of tissue through the posterior wall of the inguinal canal, medial to the inferior epigastric vessels (figure 2 1), whereas an indirect inguinal. Involvement of the bladder with an inguinal hernia is estimated to occur in 1% to. Differential Diagnosis Inguinal Hernia.
From www.aafp.org
Inguinal Hernias Diagnosis and Management AAFP Differential Diagnosis Inguinal Hernia Collectively, inguinal and femoral hernias are known as groin hernias. If the mass extends into the scrotum, consider a hydrocoele, varicocoele, or a testicular malignancy. There are several differential diagnoses for a lump in the groin. A direct inguinal hernia is a protrusion of tissue through the posterior wall of the inguinal canal, medial to the inferior epigastric vessels (figure. Differential Diagnosis Inguinal Hernia.
From www.slideserve.com
PPT HERNIA PowerPoint Presentation, free download ID4286239 Differential Diagnosis Inguinal Hernia If the mass extends into the scrotum, consider a hydrocoele, varicocoele, or a testicular malignancy. These include femoral hernia, saphena varix, inguinal lymphadenopathy, lipoma, or groin abscess. Involvement of the bladder with an inguinal hernia is estimated to occur in 1% to 4% of all inguinal hernias and is more. Inguinal hernias may cause a burning, gurgling, or aching sensation. Differential Diagnosis Inguinal Hernia.
From mavink.com
Inguinal Hernia Diagnosis Differential Diagnosis Inguinal Hernia A direct inguinal hernia is a protrusion of tissue through the posterior wall of the inguinal canal, medial to the inferior epigastric vessels (figure 2 1), whereas an indirect inguinal. Involvement of the bladder with an inguinal hernia is estimated to occur in 1% to 4% of all inguinal hernias and is more. An inguinal hernia occurs when abdominal or. Differential Diagnosis Inguinal Hernia.
From ddxof.com
ctap_0003_LargeRInguinalHernia Differential Diagnosis of Differential Diagnosis Inguinal Hernia Inguinal hernias may cause a burning, gurgling, or aching sensation in the groin, and a heavy or dragging sensation may worsen toward the end. A direct inguinal hernia is a protrusion of tissue through the posterior wall of the inguinal canal, medial to the inferior epigastric vessels (figure 2 1), whereas an indirect inguinal. An inguinal hernia occurs when abdominal. Differential Diagnosis Inguinal Hernia.
From pubs.rsna.org
Diagnosis of Inguinal Region Hernias with Axial CT The Lateral Differential Diagnosis Inguinal Hernia A direct inguinal hernia is a protrusion of tissue through the posterior wall of the inguinal canal, medial to the inferior epigastric vessels (figure 2 1), whereas an indirect inguinal. Collectively, inguinal and femoral hernias are known as groin hernias. An inguinal hernia occurs when abdominal or pelvic contents protrude through a dilated internal ring or attenuated inguinal floor. There. Differential Diagnosis Inguinal Hernia.
From www.slideserve.com
PPT Inguinal hernia PowerPoint Presentation, free download ID9069705 Differential Diagnosis Inguinal Hernia Involvement of the bladder with an inguinal hernia is estimated to occur in 1% to 4% of all inguinal hernias and is more. If the mass extends into the scrotum, consider a hydrocoele, varicocoele, or a testicular malignancy. Collectively, inguinal and femoral hernias are known as groin hernias. An inguinal hernia occurs when abdominal or pelvic contents protrude through a. Differential Diagnosis Inguinal Hernia.
From vdocuments.mx
The inguinal bladder diverticulum A rare differential diagnosis of Differential Diagnosis Inguinal Hernia If the mass extends into the scrotum, consider a hydrocoele, varicocoele, or a testicular malignancy. A direct inguinal hernia is a protrusion of tissue through the posterior wall of the inguinal canal, medial to the inferior epigastric vessels (figure 2 1), whereas an indirect inguinal. Collectively, inguinal and femoral hernias are known as groin hernias. An inguinal hernia occurs when. Differential Diagnosis Inguinal Hernia.
From www.semanticscholar.org
Diagnosis of inguinal region hernias with axial CT the lateral Differential Diagnosis Inguinal Hernia A direct inguinal hernia is a protrusion of tissue through the posterior wall of the inguinal canal, medial to the inferior epigastric vessels (figure 2 1), whereas an indirect inguinal. If the mass extends into the scrotum, consider a hydrocoele, varicocoele, or a testicular malignancy. Inguinal hernias may cause a burning, gurgling, or aching sensation in the groin, and a. Differential Diagnosis Inguinal Hernia.
From www.aafp.org
Inguinal Hernias Diagnosis and Management AAFP Differential Diagnosis Inguinal Hernia Collectively, inguinal and femoral hernias are known as groin hernias. Inguinal hernias may cause a burning, gurgling, or aching sensation in the groin, and a heavy or dragging sensation may worsen toward the end. An inguinal hernia occurs when abdominal or pelvic contents protrude through a dilated internal ring or attenuated inguinal floor. There are several differential diagnoses for a. Differential Diagnosis Inguinal Hernia.
From www.slideserve.com
PPT Inguinal Hernia PowerPoint Presentation, free download ID2204764 Differential Diagnosis Inguinal Hernia An inguinal hernia occurs when abdominal or pelvic contents protrude through a dilated internal ring or attenuated inguinal floor. If the mass extends into the scrotum, consider a hydrocoele, varicocoele, or a testicular malignancy. A direct inguinal hernia is a protrusion of tissue through the posterior wall of the inguinal canal, medial to the inferior epigastric vessels (figure 2 1),. Differential Diagnosis Inguinal Hernia.
From www.semanticscholar.org
[PDF] Urinary bladder herniation in the differential diagnosis of Differential Diagnosis Inguinal Hernia Collectively, inguinal and femoral hernias are known as groin hernias. Involvement of the bladder with an inguinal hernia is estimated to occur in 1% to 4% of all inguinal hernias and is more. If the mass extends into the scrotum, consider a hydrocoele, varicocoele, or a testicular malignancy. These include femoral hernia, saphena varix, inguinal lymphadenopathy, lipoma, or groin abscess.. Differential Diagnosis Inguinal Hernia.
From www.aafp.org
Inguinal Hernias Diagnosis and Management AAFP Differential Diagnosis Inguinal Hernia Inguinal hernias may cause a burning, gurgling, or aching sensation in the groin, and a heavy or dragging sensation may worsen toward the end. If the mass extends into the scrotum, consider a hydrocoele, varicocoele, or a testicular malignancy. A direct inguinal hernia is a protrusion of tissue through the posterior wall of the inguinal canal, medial to the inferior. Differential Diagnosis Inguinal Hernia.
From inguinalhernias.weebly.com
6. Clinical Presentation and Diagnosis Inguinal Hernias Differential Diagnosis Inguinal Hernia There are several differential diagnoses for a lump in the groin. A direct inguinal hernia is a protrusion of tissue through the posterior wall of the inguinal canal, medial to the inferior epigastric vessels (figure 2 1), whereas an indirect inguinal. If the mass extends into the scrotum, consider a hydrocoele, varicocoele, or a testicular malignancy. Collectively, inguinal and femoral. Differential Diagnosis Inguinal Hernia.
From www.vrogue.co
Inguinal Hernia Classification Management Teachmesurg vrogue.co Differential Diagnosis Inguinal Hernia If the mass extends into the scrotum, consider a hydrocoele, varicocoele, or a testicular malignancy. A direct inguinal hernia is a protrusion of tissue through the posterior wall of the inguinal canal, medial to the inferior epigastric vessels (figure 2 1), whereas an indirect inguinal. An inguinal hernia occurs when abdominal or pelvic contents protrude through a dilated internal ring. Differential Diagnosis Inguinal Hernia.
From www.slideserve.com
PPT Inguinal hernia PowerPoint Presentation, free download ID9069705 Differential Diagnosis Inguinal Hernia Collectively, inguinal and femoral hernias are known as groin hernias. These include femoral hernia, saphena varix, inguinal lymphadenopathy, lipoma, or groin abscess. Involvement of the bladder with an inguinal hernia is estimated to occur in 1% to 4% of all inguinal hernias and is more. A direct inguinal hernia is a protrusion of tissue through the posterior wall of the. Differential Diagnosis Inguinal Hernia.
From www.slideserve.com
PPT Hernia PowerPoint Presentation, free download ID2306551 Differential Diagnosis Inguinal Hernia These include femoral hernia, saphena varix, inguinal lymphadenopathy, lipoma, or groin abscess. There are several differential diagnoses for a lump in the groin. A direct inguinal hernia is a protrusion of tissue through the posterior wall of the inguinal canal, medial to the inferior epigastric vessels (figure 2 1), whereas an indirect inguinal. If the mass extends into the scrotum,. Differential Diagnosis Inguinal Hernia.
From www.vrogue.co
Figure 1 From Diagnosis Of Inguinal Region Hernias Wi vrogue.co Differential Diagnosis Inguinal Hernia Inguinal hernias may cause a burning, gurgling, or aching sensation in the groin, and a heavy or dragging sensation may worsen toward the end. These include femoral hernia, saphena varix, inguinal lymphadenopathy, lipoma, or groin abscess. There are several differential diagnoses for a lump in the groin. A direct inguinal hernia is a protrusion of tissue through the posterior wall. Differential Diagnosis Inguinal Hernia.
From www.drvpareek.com
Inguinal hernia Diagnosis and treatment Differential Diagnosis Inguinal Hernia These include femoral hernia, saphena varix, inguinal lymphadenopathy, lipoma, or groin abscess. A direct inguinal hernia is a protrusion of tissue through the posterior wall of the inguinal canal, medial to the inferior epigastric vessels (figure 2 1), whereas an indirect inguinal. An inguinal hernia occurs when abdominal or pelvic contents protrude through a dilated internal ring or attenuated inguinal. Differential Diagnosis Inguinal Hernia.
From pubs.rsna.org
Diagnosis of Inguinal Region Hernias with Axial CT The Lateral Differential Diagnosis Inguinal Hernia There are several differential diagnoses for a lump in the groin. If the mass extends into the scrotum, consider a hydrocoele, varicocoele, or a testicular malignancy. Involvement of the bladder with an inguinal hernia is estimated to occur in 1% to 4% of all inguinal hernias and is more. An inguinal hernia occurs when abdominal or pelvic contents protrude through. Differential Diagnosis Inguinal Hernia.
From inguinalhernias.weebly.com
4.1 Clinical Classification of Inguinal Hernias Inguinal Hernias Differential Diagnosis Inguinal Hernia An inguinal hernia occurs when abdominal or pelvic contents protrude through a dilated internal ring or attenuated inguinal floor. There are several differential diagnoses for a lump in the groin. Inguinal hernias may cause a burning, gurgling, or aching sensation in the groin, and a heavy or dragging sensation may worsen toward the end. A direct inguinal hernia is a. Differential Diagnosis Inguinal Hernia.
From pubs.rsna.org
Diagnosis of Inguinal Region Hernias with Axial CT The Lateral Differential Diagnosis Inguinal Hernia Collectively, inguinal and femoral hernias are known as groin hernias. An inguinal hernia occurs when abdominal or pelvic contents protrude through a dilated internal ring or attenuated inguinal floor. Involvement of the bladder with an inguinal hernia is estimated to occur in 1% to 4% of all inguinal hernias and is more. Inguinal hernias may cause a burning, gurgling, or. Differential Diagnosis Inguinal Hernia.
From www.gettyimages.com
Diagnosis Of Inguinal Region Hernias With Sagittal T2 Mri Image High Differential Diagnosis Inguinal Hernia An inguinal hernia occurs when abdominal or pelvic contents protrude through a dilated internal ring or attenuated inguinal floor. Involvement of the bladder with an inguinal hernia is estimated to occur in 1% to 4% of all inguinal hernias and is more. If the mass extends into the scrotum, consider a hydrocoele, varicocoele, or a testicular malignancy. These include femoral. Differential Diagnosis Inguinal Hernia.
From www.aafp.org
Inguinal Hernias Diagnosis and Management AAFP Differential Diagnosis Inguinal Hernia If the mass extends into the scrotum, consider a hydrocoele, varicocoele, or a testicular malignancy. These include femoral hernia, saphena varix, inguinal lymphadenopathy, lipoma, or groin abscess. Inguinal hernias may cause a burning, gurgling, or aching sensation in the groin, and a heavy or dragging sensation may worsen toward the end. Collectively, inguinal and femoral hernias are known as groin. Differential Diagnosis Inguinal Hernia.
From pubs.rsna.org
Diagnosis of Inguinal Region Hernias with Axial CT The Lateral Differential Diagnosis Inguinal Hernia A direct inguinal hernia is a protrusion of tissue through the posterior wall of the inguinal canal, medial to the inferior epigastric vessels (figure 2 1), whereas an indirect inguinal. Involvement of the bladder with an inguinal hernia is estimated to occur in 1% to 4% of all inguinal hernias and is more. Inguinal hernias may cause a burning, gurgling,. Differential Diagnosis Inguinal Hernia.
From teachmesurgery.com
Inguinal Hernia Classification Management TeachMeSurgery Differential Diagnosis Inguinal Hernia There are several differential diagnoses for a lump in the groin. Inguinal hernias may cause a burning, gurgling, or aching sensation in the groin, and a heavy or dragging sensation may worsen toward the end. Involvement of the bladder with an inguinal hernia is estimated to occur in 1% to 4% of all inguinal hernias and is more. These include. Differential Diagnosis Inguinal Hernia.
From www.semanticscholar.org
Figure 3 from Differential Diagnosis of Inguinal and Femoral Hernia on Differential Diagnosis Inguinal Hernia Involvement of the bladder with an inguinal hernia is estimated to occur in 1% to 4% of all inguinal hernias and is more. These include femoral hernia, saphena varix, inguinal lymphadenopathy, lipoma, or groin abscess. There are several differential diagnoses for a lump in the groin. An inguinal hernia occurs when abdominal or pelvic contents protrude through a dilated internal. Differential Diagnosis Inguinal Hernia.
From pubs.rsna.org
Diagnosis of Inguinal Region Hernias with Axial CT The Lateral Differential Diagnosis Inguinal Hernia Involvement of the bladder with an inguinal hernia is estimated to occur in 1% to 4% of all inguinal hernias and is more. Collectively, inguinal and femoral hernias are known as groin hernias. If the mass extends into the scrotum, consider a hydrocoele, varicocoele, or a testicular malignancy. These include femoral hernia, saphena varix, inguinal lymphadenopathy, lipoma, or groin abscess.. Differential Diagnosis Inguinal Hernia.