Extension Type Supracondylar Fracture . Supracondylar fractures are initially divided into two types, depending on the direction of displacement of the distal fragment: Most common elbow fracture in patients age <8yr. Distal humerus fractures are traumatic injuries to the elbow that comprise of supracondylar fractures, single column fractures, column fractures or coronal shear. 95% are extension type (foosh mechanism) clinical features. The majority of all extension type supracondylar fractures show a rupture of the anterior (cubital) and medial periosteum (as shown in these x. Do not encourage active/passive elbow movement until.
from www.researchgate.net
The majority of all extension type supracondylar fractures show a rupture of the anterior (cubital) and medial periosteum (as shown in these x. 95% are extension type (foosh mechanism) clinical features. Do not encourage active/passive elbow movement until. Most common elbow fracture in patients age <8yr. Supracondylar fractures are initially divided into two types, depending on the direction of displacement of the distal fragment: Distal humerus fractures are traumatic injuries to the elbow that comprise of supracondylar fractures, single column fractures, column fractures or coronal shear.
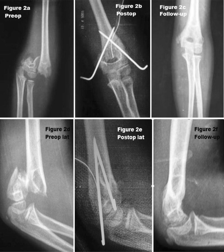
A sevenyearold boy with a PFPSpositive displaced extension type
Extension Type Supracondylar Fracture 95% are extension type (foosh mechanism) clinical features. 95% are extension type (foosh mechanism) clinical features. Do not encourage active/passive elbow movement until. Distal humerus fractures are traumatic injuries to the elbow that comprise of supracondylar fractures, single column fractures, column fractures or coronal shear. The majority of all extension type supracondylar fractures show a rupture of the anterior (cubital) and medial periosteum (as shown in these x. Most common elbow fracture in patients age <8yr. Supracondylar fractures are initially divided into two types, depending on the direction of displacement of the distal fragment:
From www.researchgate.net
Displaced extension type supracondylar fracture humerus Download Extension Type Supracondylar Fracture Distal humerus fractures are traumatic injuries to the elbow that comprise of supracondylar fractures, single column fractures, column fractures or coronal shear. Do not encourage active/passive elbow movement until. 95% are extension type (foosh mechanism) clinical features. Supracondylar fractures are initially divided into two types, depending on the direction of displacement of the distal fragment: Most common elbow fracture in. Extension Type Supracondylar Fracture.
From pacs.de
extension supracondylar humeral fracture pacs Extension Type Supracondylar Fracture The majority of all extension type supracondylar fractures show a rupture of the anterior (cubital) and medial periosteum (as shown in these x. 95% are extension type (foosh mechanism) clinical features. Do not encourage active/passive elbow movement until. Most common elbow fracture in patients age <8yr. Supracondylar fractures are initially divided into two types, depending on the direction of displacement. Extension Type Supracondylar Fracture.
From www.pinterest.com
Gartland Classification Of Supracondylar Fracture Humerus fracture Extension Type Supracondylar Fracture Most common elbow fracture in patients age <8yr. Distal humerus fractures are traumatic injuries to the elbow that comprise of supracondylar fractures, single column fractures, column fractures or coronal shear. The majority of all extension type supracondylar fractures show a rupture of the anterior (cubital) and medial periosteum (as shown in these x. 95% are extension type (foosh mechanism) clinical. Extension Type Supracondylar Fracture.
From www.cureus.com
Cureus Role of the Posterior Fat Pad Sign in Treating Displaced Extension Type Supracondylar Fracture Supracondylar fractures are initially divided into two types, depending on the direction of displacement of the distal fragment: Distal humerus fractures are traumatic injuries to the elbow that comprise of supracondylar fractures, single column fractures, column fractures or coronal shear. Most common elbow fracture in patients age <8yr. The majority of all extension type supracondylar fractures show a rupture of. Extension Type Supracondylar Fracture.
From www.cureus.com
Surgical Management of Flexion Type Supracondylar Humeral Fracture With Extension Type Supracondylar Fracture 95% are extension type (foosh mechanism) clinical features. Most common elbow fracture in patients age <8yr. Supracondylar fractures are initially divided into two types, depending on the direction of displacement of the distal fragment: The majority of all extension type supracondylar fractures show a rupture of the anterior (cubital) and medial periosteum (as shown in these x. Do not encourage. Extension Type Supracondylar Fracture.
From www.semanticscholar.org
Figure 1 from Assessing the reliability of the modified Gartland Extension Type Supracondylar Fracture 95% are extension type (foosh mechanism) clinical features. Most common elbow fracture in patients age <8yr. Supracondylar fractures are initially divided into two types, depending on the direction of displacement of the distal fragment: The majority of all extension type supracondylar fractures show a rupture of the anterior (cubital) and medial periosteum (as shown in these x. Distal humerus fractures. Extension Type Supracondylar Fracture.
From file.scirp.org
The Radial Nerve Entrapment in Pediatric ExtensionType Supracondylar Extension Type Supracondylar Fracture 95% are extension type (foosh mechanism) clinical features. Distal humerus fractures are traumatic injuries to the elbow that comprise of supracondylar fractures, single column fractures, column fractures or coronal shear. The majority of all extension type supracondylar fractures show a rupture of the anterior (cubital) and medial periosteum (as shown in these x. Do not encourage active/passive elbow movement until.. Extension Type Supracondylar Fracture.
From www.researchgate.net
Anterioposterior (AP) and lateral view of elbow showing gartland type Extension Type Supracondylar Fracture Supracondylar fractures are initially divided into two types, depending on the direction of displacement of the distal fragment: 95% are extension type (foosh mechanism) clinical features. Most common elbow fracture in patients age <8yr. Do not encourage active/passive elbow movement until. The majority of all extension type supracondylar fractures show a rupture of the anterior (cubital) and medial periosteum (as. Extension Type Supracondylar Fracture.
From radiopaedia.org
Supracondylar fracture adult Image Extension Type Supracondylar Fracture The majority of all extension type supracondylar fractures show a rupture of the anterior (cubital) and medial periosteum (as shown in these x. Supracondylar fractures are initially divided into two types, depending on the direction of displacement of the distal fragment: Most common elbow fracture in patients age <8yr. Distal humerus fractures are traumatic injuries to the elbow that comprise. Extension Type Supracondylar Fracture.
From www.semanticscholar.org
Figure 2 from The Reduction Maneuver for Pediatric Extension Type 3 Extension Type Supracondylar Fracture 95% are extension type (foosh mechanism) clinical features. Distal humerus fractures are traumatic injuries to the elbow that comprise of supracondylar fractures, single column fractures, column fractures or coronal shear. Most common elbow fracture in patients age <8yr. The majority of all extension type supracondylar fractures show a rupture of the anterior (cubital) and medial periosteum (as shown in these. Extension Type Supracondylar Fracture.
From www.cureus.com
Cureus The Reduction Maneuver for Pediatric Extension Type 3 Extension Type Supracondylar Fracture The majority of all extension type supracondylar fractures show a rupture of the anterior (cubital) and medial periosteum (as shown in these x. Do not encourage active/passive elbow movement until. Most common elbow fracture in patients age <8yr. Distal humerus fractures are traumatic injuries to the elbow that comprise of supracondylar fractures, single column fractures, column fractures or coronal shear.. Extension Type Supracondylar Fracture.
From link.springer.com
Open reduction and pinning for the treatment of Gartland extension type Extension Type Supracondylar Fracture Most common elbow fracture in patients age <8yr. Distal humerus fractures are traumatic injuries to the elbow that comprise of supracondylar fractures, single column fractures, column fractures or coronal shear. 95% are extension type (foosh mechanism) clinical features. Do not encourage active/passive elbow movement until. The majority of all extension type supracondylar fractures show a rupture of the anterior (cubital). Extension Type Supracondylar Fracture.
From radiologycases.my
Supracondylar fracture Radiology Cases Extension Type Supracondylar Fracture Do not encourage active/passive elbow movement until. Supracondylar fractures are initially divided into two types, depending on the direction of displacement of the distal fragment: 95% are extension type (foosh mechanism) clinical features. The majority of all extension type supracondylar fractures show a rupture of the anterior (cubital) and medial periosteum (as shown in these x. Distal humerus fractures are. Extension Type Supracondylar Fracture.
From www.youtube.com
Humerus Supracondylar fracture Extension type YouTube Extension Type Supracondylar Fracture Most common elbow fracture in patients age <8yr. 95% are extension type (foosh mechanism) clinical features. Distal humerus fractures are traumatic injuries to the elbow that comprise of supracondylar fractures, single column fractures, column fractures or coronal shear. Supracondylar fractures are initially divided into two types, depending on the direction of displacement of the distal fragment: The majority of all. Extension Type Supracondylar Fracture.
From www.semanticscholar.org
Figure 3 from Management of displaced extensiontype supracondylar Extension Type Supracondylar Fracture Supracondylar fractures are initially divided into two types, depending on the direction of displacement of the distal fragment: Distal humerus fractures are traumatic injuries to the elbow that comprise of supracondylar fractures, single column fractures, column fractures or coronal shear. The majority of all extension type supracondylar fractures show a rupture of the anterior (cubital) and medial periosteum (as shown. Extension Type Supracondylar Fracture.
From www.researchgate.net
A sevenyearold boy with a PFPSpositive displaced extension type Extension Type Supracondylar Fracture Supracondylar fractures are initially divided into two types, depending on the direction of displacement of the distal fragment: The majority of all extension type supracondylar fractures show a rupture of the anterior (cubital) and medial periosteum (as shown in these x. Distal humerus fractures are traumatic injuries to the elbow that comprise of supracondylar fractures, single column fractures, column fractures. Extension Type Supracondylar Fracture.
From boneandjoint.org.uk
Posterior intrafocal pinning for extensiontype supracondylar fractures Extension Type Supracondylar Fracture Most common elbow fracture in patients age <8yr. Do not encourage active/passive elbow movement until. The majority of all extension type supracondylar fractures show a rupture of the anterior (cubital) and medial periosteum (as shown in these x. Supracondylar fractures are initially divided into two types, depending on the direction of displacement of the distal fragment: 95% are extension type. Extension Type Supracondylar Fracture.
From slidetodoc.com
Trauma Radiography Dr Hammad N A Qadi Fractures Extension Type Supracondylar Fracture Do not encourage active/passive elbow movement until. The majority of all extension type supracondylar fractures show a rupture of the anterior (cubital) and medial periosteum (as shown in these x. 95% are extension type (foosh mechanism) clinical features. Distal humerus fractures are traumatic injuries to the elbow that comprise of supracondylar fractures, single column fractures, column fractures or coronal shear.. Extension Type Supracondylar Fracture.
From coreem.net
Pediatric Supracondylar Fractures Core EM Extension Type Supracondylar Fracture Distal humerus fractures are traumatic injuries to the elbow that comprise of supracondylar fractures, single column fractures, column fractures or coronal shear. The majority of all extension type supracondylar fractures show a rupture of the anterior (cubital) and medial periosteum (as shown in these x. Supracondylar fractures are initially divided into two types, depending on the direction of displacement of. Extension Type Supracondylar Fracture.
From www.orthobullets.com
Supracondylar Fracture Pediatric Pediatrics Orthobullets Extension Type Supracondylar Fracture 95% are extension type (foosh mechanism) clinical features. Distal humerus fractures are traumatic injuries to the elbow that comprise of supracondylar fractures, single column fractures, column fractures or coronal shear. Supracondylar fractures are initially divided into two types, depending on the direction of displacement of the distal fragment: The majority of all extension type supracondylar fractures show a rupture of. Extension Type Supracondylar Fracture.
From www.wikiradiography.net
Imaging Supracondylar Fractures of the Humerus wikiRadiography Extension Type Supracondylar Fracture The majority of all extension type supracondylar fractures show a rupture of the anterior (cubital) and medial periosteum (as shown in these x. Distal humerus fractures are traumatic injuries to the elbow that comprise of supracondylar fractures, single column fractures, column fractures or coronal shear. 95% are extension type (foosh mechanism) clinical features. Most common elbow fracture in patients age. Extension Type Supracondylar Fracture.
From www.orthobullets.com
Supracondylar Fracture Pediatric Pediatrics Orthobullets Extension Type Supracondylar Fracture 95% are extension type (foosh mechanism) clinical features. Distal humerus fractures are traumatic injuries to the elbow that comprise of supracondylar fractures, single column fractures, column fractures or coronal shear. The majority of all extension type supracondylar fractures show a rupture of the anterior (cubital) and medial periosteum (as shown in these x. Most common elbow fracture in patients age. Extension Type Supracondylar Fracture.
From boneandjoint.org.uk
Posterior intrafocal pinning for extensiontype supracondylar fractures Extension Type Supracondylar Fracture The majority of all extension type supracondylar fractures show a rupture of the anterior (cubital) and medial periosteum (as shown in these x. 95% are extension type (foosh mechanism) clinical features. Supracondylar fractures are initially divided into two types, depending on the direction of displacement of the distal fragment: Do not encourage active/passive elbow movement until. Most common elbow fracture. Extension Type Supracondylar Fracture.
From www.semanticscholar.org
Figure 1 from A Type IV Extension Supracondylar Fracture With Extension Type Supracondylar Fracture Supracondylar fractures are initially divided into two types, depending on the direction of displacement of the distal fragment: 95% are extension type (foosh mechanism) clinical features. Do not encourage active/passive elbow movement until. Distal humerus fractures are traumatic injuries to the elbow that comprise of supracondylar fractures, single column fractures, column fractures or coronal shear. The majority of all extension. Extension Type Supracondylar Fracture.
From clinicalgate.com
Supracondylar Fractures of the Elbow in Children Clinical Gate Extension Type Supracondylar Fracture The majority of all extension type supracondylar fractures show a rupture of the anterior (cubital) and medial periosteum (as shown in these x. Most common elbow fracture in patients age <8yr. 95% are extension type (foosh mechanism) clinical features. Do not encourage active/passive elbow movement until. Distal humerus fractures are traumatic injuries to the elbow that comprise of supracondylar fractures,. Extension Type Supracondylar Fracture.
From www.jposna.org
View of The Open Approach to a Supracondylar Humerus Fracture Journal Extension Type Supracondylar Fracture Supracondylar fractures are initially divided into two types, depending on the direction of displacement of the distal fragment: Most common elbow fracture in patients age <8yr. The majority of all extension type supracondylar fractures show a rupture of the anterior (cubital) and medial periosteum (as shown in these x. 95% are extension type (foosh mechanism) clinical features. Do not encourage. Extension Type Supracondylar Fracture.
From www.semanticscholar.org
Figure 2 from Management of displaced extensiontype supracondylar Extension Type Supracondylar Fracture Distal humerus fractures are traumatic injuries to the elbow that comprise of supracondylar fractures, single column fractures, column fractures or coronal shear. Supracondylar fractures are initially divided into two types, depending on the direction of displacement of the distal fragment: Most common elbow fracture in patients age <8yr. 95% are extension type (foosh mechanism) clinical features. The majority of all. Extension Type Supracondylar Fracture.
From www.cureus.com
Cureus Role of the Posterior Fat Pad Sign in Treating Displaced Extension Type Supracondylar Fracture Distal humerus fractures are traumatic injuries to the elbow that comprise of supracondylar fractures, single column fractures, column fractures or coronal shear. The majority of all extension type supracondylar fractures show a rupture of the anterior (cubital) and medial periosteum (as shown in these x. Do not encourage active/passive elbow movement until. Most common elbow fracture in patients age <8yr.. Extension Type Supracondylar Fracture.
From www.orthobullets.com
Supracondylar Fracture Pediatric Pediatrics Orthobullets Extension Type Supracondylar Fracture Supracondylar fractures are initially divided into two types, depending on the direction of displacement of the distal fragment: The majority of all extension type supracondylar fractures show a rupture of the anterior (cubital) and medial periosteum (as shown in these x. Distal humerus fractures are traumatic injuries to the elbow that comprise of supracondylar fractures, single column fractures, column fractures. Extension Type Supracondylar Fracture.
From www.researchgate.net
A, B, E, F Two cases of extensiontype supracondylar fracture of the Extension Type Supracondylar Fracture Supracondylar fractures are initially divided into two types, depending on the direction of displacement of the distal fragment: 95% are extension type (foosh mechanism) clinical features. The majority of all extension type supracondylar fractures show a rupture of the anterior (cubital) and medial periosteum (as shown in these x. Distal humerus fractures are traumatic injuries to the elbow that comprise. Extension Type Supracondylar Fracture.
From www.maimonidesem.org
Supracondylar Fractures — Maimonides Emergency Medicine Residency Extension Type Supracondylar Fracture The majority of all extension type supracondylar fractures show a rupture of the anterior (cubital) and medial periosteum (as shown in these x. Do not encourage active/passive elbow movement until. Distal humerus fractures are traumatic injuries to the elbow that comprise of supracondylar fractures, single column fractures, column fractures or coronal shear. 95% are extension type (foosh mechanism) clinical features.. Extension Type Supracondylar Fracture.
From www.scirp.org
The Radial Nerve Entrapment in Pediatric ExtensionType Supracondylar Extension Type Supracondylar Fracture Do not encourage active/passive elbow movement until. Supracondylar fractures are initially divided into two types, depending on the direction of displacement of the distal fragment: The majority of all extension type supracondylar fractures show a rupture of the anterior (cubital) and medial periosteum (as shown in these x. Most common elbow fracture in patients age <8yr. Distal humerus fractures are. Extension Type Supracondylar Fracture.
From www.cureus.com
Cureus Surgical Management of Flexion Type Supracondylar Humeral Extension Type Supracondylar Fracture The majority of all extension type supracondylar fractures show a rupture of the anterior (cubital) and medial periosteum (as shown in these x. Distal humerus fractures are traumatic injuries to the elbow that comprise of supracondylar fractures, single column fractures, column fractures or coronal shear. Supracondylar fractures are initially divided into two types, depending on the direction of displacement of. Extension Type Supracondylar Fracture.
From radiopaedia.org
Supracondylar fracture Image Extension Type Supracondylar Fracture Most common elbow fracture in patients age <8yr. Supracondylar fractures are initially divided into two types, depending on the direction of displacement of the distal fragment: Do not encourage active/passive elbow movement until. 95% are extension type (foosh mechanism) clinical features. The majority of all extension type supracondylar fractures show a rupture of the anterior (cubital) and medial periosteum (as. Extension Type Supracondylar Fracture.
From coreem.net
Pediatric Supracondylar Fractures Core EM Extension Type Supracondylar Fracture Distal humerus fractures are traumatic injuries to the elbow that comprise of supracondylar fractures, single column fractures, column fractures or coronal shear. The majority of all extension type supracondylar fractures show a rupture of the anterior (cubital) and medial periosteum (as shown in these x. Most common elbow fracture in patients age <8yr. 95% are extension type (foosh mechanism) clinical. Extension Type Supracondylar Fracture.