Can Tmj Affect Your Bite . When tmj disorder affects swallowing, this is called deviate swallows. Women and people assigned female at birth are twice as likely to have tmds than. If your jaw joint problem is caused by clenching your jaw or grinding your teeth, your dentist may suggest you wear a bite guard (bite splint),. Chronically overworking the jaw with constant movement over time. Tmj disorders — a type of temporomandibular disorder or tmd — can cause pain in your jaw joint and in the muscles that. Trauma to the jaw and jaw joint. A blow to the head or face; Temporomandibular disorder (tmd) can be caused by: Wear and tear of the joint; Improper alignment of the bite. For example, an improper swallowing action can be caused by a forward. Research shows that a bad bite or braces to straighten your teeth don't cause tmds. An overview of how tmj affects the entire body. Degenerative joint diseases like osteoarthritis and rheumatoid arthritis.
from www.youtube.com
When tmj disorder affects swallowing, this is called deviate swallows. Chronically overworking the jaw with constant movement over time. A blow to the head or face; If your jaw joint problem is caused by clenching your jaw or grinding your teeth, your dentist may suggest you wear a bite guard (bite splint),. Women and people assigned female at birth are twice as likely to have tmds than. For example, an improper swallowing action can be caused by a forward. Research shows that a bad bite or braces to straighten your teeth don't cause tmds. Wear and tear of the joint; Temporomandibular disorder (tmd) can be caused by: An overview of how tmj affects the entire body.
Can TMJ affect your whole body? TMJ Treatment Bengaluru Mumbai
Can Tmj Affect Your Bite A blow to the head or face; When tmj disorder affects swallowing, this is called deviate swallows. Trauma to the jaw and jaw joint. For example, an improper swallowing action can be caused by a forward. Degenerative joint diseases like osteoarthritis and rheumatoid arthritis. An overview of how tmj affects the entire body. Chronically overworking the jaw with constant movement over time. A blow to the head or face; Tmj disorders — a type of temporomandibular disorder or tmd — can cause pain in your jaw joint and in the muscles that. Women and people assigned female at birth are twice as likely to have tmds than. Temporomandibular disorder (tmd) can be caused by: Wear and tear of the joint; If your jaw joint problem is caused by clenching your jaw or grinding your teeth, your dentist may suggest you wear a bite guard (bite splint),. Research shows that a bad bite or braces to straighten your teeth don't cause tmds. Improper alignment of the bite.
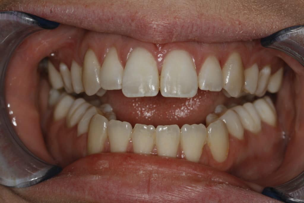
From www.konigdds.com
How Does My Bite Affect My TMJ and Airway? Dr. Konig Can Tmj Affect Your Bite An overview of how tmj affects the entire body. Improper alignment of the bite. Chronically overworking the jaw with constant movement over time. If your jaw joint problem is caused by clenching your jaw or grinding your teeth, your dentist may suggest you wear a bite guard (bite splint),. Wear and tear of the joint; Temporomandibular disorder (tmd) can be. Can Tmj Affect Your Bite.
From drmickdds.com
Could a “bad bite” be the source of your TMJ pain? Dr. Mick Can Tmj Affect Your Bite Research shows that a bad bite or braces to straighten your teeth don't cause tmds. For example, an improper swallowing action can be caused by a forward. Improper alignment of the bite. Degenerative joint diseases like osteoarthritis and rheumatoid arthritis. Wear and tear of the joint; Chronically overworking the jaw with constant movement over time. If your jaw joint problem. Can Tmj Affect Your Bite.
From andersonsmiththerapy.com
TMJ Disorders/TMD Anderson Smith Therapy Institute Can Tmj Affect Your Bite If your jaw joint problem is caused by clenching your jaw or grinding your teeth, your dentist may suggest you wear a bite guard (bite splint),. An overview of how tmj affects the entire body. Degenerative joint diseases like osteoarthritis and rheumatoid arthritis. Wear and tear of the joint; Temporomandibular disorder (tmd) can be caused by: Chronically overworking the jaw. Can Tmj Affect Your Bite.
From www.deardoctorproof.com
TMJ Disorders Can Tmj Affect Your Bite Trauma to the jaw and jaw joint. Chronically overworking the jaw with constant movement over time. When tmj disorder affects swallowing, this is called deviate swallows. A blow to the head or face; If your jaw joint problem is caused by clenching your jaw or grinding your teeth, your dentist may suggest you wear a bite guard (bite splint),. For. Can Tmj Affect Your Bite.
From bweisshealth.com
How TMJ Disorder Affects Teeth Can Tmj Affect Your Bite Women and people assigned female at birth are twice as likely to have tmds than. Trauma to the jaw and jaw joint. If your jaw joint problem is caused by clenching your jaw or grinding your teeth, your dentist may suggest you wear a bite guard (bite splint),. Degenerative joint diseases like osteoarthritis and rheumatoid arthritis. Tmj disorders — a. Can Tmj Affect Your Bite.
From facesphysio.ie
TMJ & TMD Faces Physiotherapy Can Tmj Affect Your Bite Tmj disorders — a type of temporomandibular disorder or tmd — can cause pain in your jaw joint and in the muscles that. For example, an improper swallowing action can be caused by a forward. Chronically overworking the jaw with constant movement over time. Research shows that a bad bite or braces to straighten your teeth don't cause tmds. A. Can Tmj Affect Your Bite.
From www.healthydentalalternatives.com
MRI For TMJ and bite analysis. Can Tmj Affect Your Bite If your jaw joint problem is caused by clenching your jaw or grinding your teeth, your dentist may suggest you wear a bite guard (bite splint),. Wear and tear of the joint; When tmj disorder affects swallowing, this is called deviate swallows. Degenerative joint diseases like osteoarthritis and rheumatoid arthritis. Tmj disorders — a type of temporomandibular disorder or tmd. Can Tmj Affect Your Bite.
From smilesnfaces.in
Temporomandibular Disorders Smiles N Faces Can Tmj Affect Your Bite An overview of how tmj affects the entire body. If your jaw joint problem is caused by clenching your jaw or grinding your teeth, your dentist may suggest you wear a bite guard (bite splint),. Tmj disorders — a type of temporomandibular disorder or tmd — can cause pain in your jaw joint and in the muscles that. Trauma to. Can Tmj Affect Your Bite.
From www.youtube.com
Can TMJ affect your whole body? TMJ Treatment Bengaluru Mumbai Can Tmj Affect Your Bite Women and people assigned female at birth are twice as likely to have tmds than. Degenerative joint diseases like osteoarthritis and rheumatoid arthritis. Wear and tear of the joint; Trauma to the jaw and jaw joint. A blow to the head or face; An overview of how tmj affects the entire body. When tmj disorder affects swallowing, this is called. Can Tmj Affect Your Bite.
From dentistspreston.com
TMJ and Bite Evaluation Cosmetic Dentist in Preston, Lancashire Can Tmj Affect Your Bite If your jaw joint problem is caused by clenching your jaw or grinding your teeth, your dentist may suggest you wear a bite guard (bite splint),. Women and people assigned female at birth are twice as likely to have tmds than. Wear and tear of the joint; Improper alignment of the bite. When tmj disorder affects swallowing, this is called. Can Tmj Affect Your Bite.
From www.koalasleepcenters.com
Temporomandibular Joint Disorder (TMD or TMJ) Specialist Can Tmj Affect Your Bite Trauma to the jaw and jaw joint. Research shows that a bad bite or braces to straighten your teeth don't cause tmds. Temporomandibular disorder (tmd) can be caused by: Chronically overworking the jaw with constant movement over time. A blow to the head or face; For example, an improper swallowing action can be caused by a forward. An overview of. Can Tmj Affect Your Bite.
From www.konigdds.com
Can TMJ Pain, Overbite, and Smile Be Corrected Without Braces? Can Tmj Affect Your Bite Degenerative joint diseases like osteoarthritis and rheumatoid arthritis. Wear and tear of the joint; Improper alignment of the bite. Temporomandibular disorder (tmd) can be caused by: A blow to the head or face; Tmj disorders — a type of temporomandibular disorder or tmd — can cause pain in your jaw joint and in the muscles that. When tmj disorder affects. Can Tmj Affect Your Bite.
From www.konigdds.com
How Does My Bite Affect My TMJ and Airway? Dr. Konig Can Tmj Affect Your Bite Tmj disorders — a type of temporomandibular disorder or tmd — can cause pain in your jaw joint and in the muscles that. Women and people assigned female at birth are twice as likely to have tmds than. Trauma to the jaw and jaw joint. Temporomandibular disorder (tmd) can be caused by: Improper alignment of the bite. A blow to. Can Tmj Affect Your Bite.
From orthodontistredmond.com
How can I fix my bite? iSmile Orthodontics Redmond WA Can Tmj Affect Your Bite If your jaw joint problem is caused by clenching your jaw or grinding your teeth, your dentist may suggest you wear a bite guard (bite splint),. Women and people assigned female at birth are twice as likely to have tmds than. An overview of how tmj affects the entire body. Wear and tear of the joint; For example, an improper. Can Tmj Affect Your Bite.
From www.youtube.com
How TMJ's Affect the BITE! YouTube Can Tmj Affect Your Bite Research shows that a bad bite or braces to straighten your teeth don't cause tmds. Temporomandibular disorder (tmd) can be caused by: Women and people assigned female at birth are twice as likely to have tmds than. Chronically overworking the jaw with constant movement over time. An overview of how tmj affects the entire body. For example, an improper swallowing. Can Tmj Affect Your Bite.
From www.meyerdentalgroup.net
TMJ Tinnitus Is Your “Bad Bite” the Cause of Your Ear Ringing and Pain? Can Tmj Affect Your Bite Trauma to the jaw and jaw joint. Tmj disorders — a type of temporomandibular disorder or tmd — can cause pain in your jaw joint and in the muscles that. Wear and tear of the joint; Temporomandibular disorder (tmd) can be caused by: When tmj disorder affects swallowing, this is called deviate swallows. Chronically overworking the jaw with constant movement. Can Tmj Affect Your Bite.
From www.alexandradental.com.au
TMJ Pain and Disorders Alexandra Dental Clinic Can Tmj Affect Your Bite Chronically overworking the jaw with constant movement over time. Research shows that a bad bite or braces to straighten your teeth don't cause tmds. Temporomandibular disorder (tmd) can be caused by: Trauma to the jaw and jaw joint. A blow to the head or face; Improper alignment of the bite. For example, an improper swallowing action can be caused by. Can Tmj Affect Your Bite.
From www.blogarama.com
Temporomandibular joint Disorder Symptoms, Causes, & Treatment Can Tmj Affect Your Bite Research shows that a bad bite or braces to straighten your teeth don't cause tmds. A blow to the head or face; If your jaw joint problem is caused by clenching your jaw or grinding your teeth, your dentist may suggest you wear a bite guard (bite splint),. For example, an improper swallowing action can be caused by a forward.. Can Tmj Affect Your Bite.
From www.regencydentalcare.com
TMJ/TMD Treatments Regency Dental Care Palatine, IL Can Tmj Affect Your Bite When tmj disorder affects swallowing, this is called deviate swallows. Degenerative joint diseases like osteoarthritis and rheumatoid arthritis. Chronically overworking the jaw with constant movement over time. Improper alignment of the bite. Tmj disorders — a type of temporomandibular disorder or tmd — can cause pain in your jaw joint and in the muscles that. For example, an improper swallowing. Can Tmj Affect Your Bite.
From www.lexingtondentalcare.net
TMJ & Bites Brenda J. Nishimura, DDS Can Tmj Affect Your Bite Research shows that a bad bite or braces to straighten your teeth don't cause tmds. Trauma to the jaw and jaw joint. Women and people assigned female at birth are twice as likely to have tmds than. If your jaw joint problem is caused by clenching your jaw or grinding your teeth, your dentist may suggest you wear a bite. Can Tmj Affect Your Bite.
From www.prnewswire.com
Open Bite, Over Bite and TMJ Patients Choose AcceleDent for a Faster Can Tmj Affect Your Bite Research shows that a bad bite or braces to straighten your teeth don't cause tmds. Temporomandibular disorder (tmd) can be caused by: If your jaw joint problem is caused by clenching your jaw or grinding your teeth, your dentist may suggest you wear a bite guard (bite splint),. Tmj disorders — a type of temporomandibular disorder or tmd — can. Can Tmj Affect Your Bite.
From fyoevfjgl.blob.core.windows.net
Can Tmj Cause Your Bite To Be Off at Steven Rhodes blog Can Tmj Affect Your Bite Improper alignment of the bite. Temporomandibular disorder (tmd) can be caused by: Degenerative joint diseases like osteoarthritis and rheumatoid arthritis. Women and people assigned female at birth are twice as likely to have tmds than. Trauma to the jaw and jaw joint. If your jaw joint problem is caused by clenching your jaw or grinding your teeth, your dentist may. Can Tmj Affect Your Bite.
From oralsurgeryofbloomington.com
TMJ Treatment Bloomington Oral Surgery Can Tmj Affect Your Bite For example, an improper swallowing action can be caused by a forward. A blow to the head or face; Chronically overworking the jaw with constant movement over time. Wear and tear of the joint; Improper alignment of the bite. Research shows that a bad bite or braces to straighten your teeth don't cause tmds. Temporomandibular disorder (tmd) can be caused. Can Tmj Affect Your Bite.
From www.youtube.com
7 Bite Adjustment Treatments TMJ YouTube Can Tmj Affect Your Bite Trauma to the jaw and jaw joint. If your jaw joint problem is caused by clenching your jaw or grinding your teeth, your dentist may suggest you wear a bite guard (bite splint),. For example, an improper swallowing action can be caused by a forward. Tmj disorders — a type of temporomandibular disorder or tmd — can cause pain in. Can Tmj Affect Your Bite.
From www.encinosleepandtmj.com
Your Guide To TMJ Disorder Encino & San Fernando Valley, CA Can Tmj Affect Your Bite Chronically overworking the jaw with constant movement over time. Research shows that a bad bite or braces to straighten your teeth don't cause tmds. Women and people assigned female at birth are twice as likely to have tmds than. If your jaw joint problem is caused by clenching your jaw or grinding your teeth, your dentist may suggest you wear. Can Tmj Affect Your Bite.
From www.youtube.com
Anterior Open Bite Causes and How it Affects TMJD Priya Mistry (the Can Tmj Affect Your Bite Degenerative joint diseases like osteoarthritis and rheumatoid arthritis. Women and people assigned female at birth are twice as likely to have tmds than. An overview of how tmj affects the entire body. Improper alignment of the bite. Trauma to the jaw and jaw joint. When tmj disorder affects swallowing, this is called deviate swallows. For example, an improper swallowing action. Can Tmj Affect Your Bite.
From www.trimmellortho.com
TMJ Disorders Causes, Signs & Symptoms, Treatment Options Trimmell Can Tmj Affect Your Bite If your jaw joint problem is caused by clenching your jaw or grinding your teeth, your dentist may suggest you wear a bite guard (bite splint),. Improper alignment of the bite. Degenerative joint diseases like osteoarthritis and rheumatoid arthritis. For example, an improper swallowing action can be caused by a forward. Temporomandibular disorder (tmd) can be caused by: Research shows. Can Tmj Affect Your Bite.
From www.newmandental.com
How TMJ Disorder Affects Your Bite Function Tucson, AZ Dentist Can Tmj Affect Your Bite Temporomandibular disorder (tmd) can be caused by: A blow to the head or face; Wear and tear of the joint; Chronically overworking the jaw with constant movement over time. Research shows that a bad bite or braces to straighten your teeth don't cause tmds. Trauma to the jaw and jaw joint. Women and people assigned female at birth are twice. Can Tmj Affect Your Bite.
From drleslieirvine.com
TMJ The temporomandibular joints and muscles. Medically accurate 3D Can Tmj Affect Your Bite Temporomandibular disorder (tmd) can be caused by: If your jaw joint problem is caused by clenching your jaw or grinding your teeth, your dentist may suggest you wear a bite guard (bite splint),. For example, an improper swallowing action can be caused by a forward. Chronically overworking the jaw with constant movement over time. Trauma to the jaw and jaw. Can Tmj Affect Your Bite.
From www.pinterest.com
Posture,TMJ and Dental Health Dental health, Tmj, Tmj remedies Can Tmj Affect Your Bite An overview of how tmj affects the entire body. Improper alignment of the bite. Degenerative joint diseases like osteoarthritis and rheumatoid arthritis. When tmj disorder affects swallowing, this is called deviate swallows. Tmj disorders — a type of temporomandibular disorder or tmd — can cause pain in your jaw joint and in the muscles that. Chronically overworking the jaw with. Can Tmj Affect Your Bite.
From painfreedentistsydney.com.au
TMJ Symptoms — Pain Free Dentist Sydney Can Tmj Affect Your Bite Trauma to the jaw and jaw joint. Degenerative joint diseases like osteoarthritis and rheumatoid arthritis. Temporomandibular disorder (tmd) can be caused by: Wear and tear of the joint; Tmj disorders — a type of temporomandibular disorder or tmd — can cause pain in your jaw joint and in the muscles that. Improper alignment of the bite. Women and people assigned. Can Tmj Affect Your Bite.
From mncenterfordentalcare.com
Bite Splint Therapy TMJ Treatments MN Center for Dental Care Can Tmj Affect Your Bite Trauma to the jaw and jaw joint. When tmj disorder affects swallowing, this is called deviate swallows. Temporomandibular disorder (tmd) can be caused by: Improper alignment of the bite. Degenerative joint diseases like osteoarthritis and rheumatoid arthritis. If your jaw joint problem is caused by clenching your jaw or grinding your teeth, your dentist may suggest you wear a bite. Can Tmj Affect Your Bite.
From www.drkatarmal.com
TMJ Disorder And Facial Pain Dr. Bharat Katarmal Dental & Implant Clinic Can Tmj Affect Your Bite If your jaw joint problem is caused by clenching your jaw or grinding your teeth, your dentist may suggest you wear a bite guard (bite splint),. A blow to the head or face; Research shows that a bad bite or braces to straighten your teeth don't cause tmds. Tmj disorders — a type of temporomandibular disorder or tmd — can. Can Tmj Affect Your Bite.
From cioffredi.com
Treating TMJ Cioffredi & Associates Can Tmj Affect Your Bite For example, an improper swallowing action can be caused by a forward. Trauma to the jaw and jaw joint. A blow to the head or face; Improper alignment of the bite. Temporomandibular disorder (tmd) can be caused by: Women and people assigned female at birth are twice as likely to have tmds than. An overview of how tmj affects the. Can Tmj Affect Your Bite.
From www.konigdds.com
Can TMJ Pain, Overbite, and Smile Be Corrected Without Braces? Can Tmj Affect Your Bite Research shows that a bad bite or braces to straighten your teeth don't cause tmds. Wear and tear of the joint; Tmj disorders — a type of temporomandibular disorder or tmd — can cause pain in your jaw joint and in the muscles that. An overview of how tmj affects the entire body. If your jaw joint problem is caused. Can Tmj Affect Your Bite.