Air Pocket In Liver . even the smallest area of gas in the biliary tree is detected on ct images. pneumobilia is typically seen as linear branching gas within the liver most prominent in central large caliber ducts as the flow of bile pushes. pneumobilia is caused when an air bubble is entrapped in the biliary system. It is typically the result of an abnormal communication. Pneumobilia is usually characterized by the presence. Pneumobilia usually can be distinguished from air in the portal venous system by its appearance on computed tomography (ct) scan. This can be diagnosed in the imaging studies e.g. pneumobilia refers to the presence of air within the bile ducts, gallbladder, or liver. In 50 % of patients, supine radiographs often. pneumobilia, or air within the biliary tree of the liver, suggests an abnormal communication between the biliary tract. as the flow of bile pushes gas toward the hilum, air within the liver is most prominent in central ducts.
from sreegastroliverclinic.com
Pneumobilia is usually characterized by the presence. This can be diagnosed in the imaging studies e.g. pneumobilia, or air within the biliary tree of the liver, suggests an abnormal communication between the biliary tract. as the flow of bile pushes gas toward the hilum, air within the liver is most prominent in central ducts. pneumobilia is caused when an air bubble is entrapped in the biliary system. In 50 % of patients, supine radiographs often. Pneumobilia usually can be distinguished from air in the portal venous system by its appearance on computed tomography (ct) scan. even the smallest area of gas in the biliary tree is detected on ct images. pneumobilia refers to the presence of air within the bile ducts, gallbladder, or liver. It is typically the result of an abnormal communication.
Fibroscan Test of Liver Sree Gastro and Liver Clinic
Air Pocket In Liver pneumobilia is typically seen as linear branching gas within the liver most prominent in central large caliber ducts as the flow of bile pushes. Pneumobilia is usually characterized by the presence. pneumobilia, or air within the biliary tree of the liver, suggests an abnormal communication between the biliary tract. In 50 % of patients, supine radiographs often. It is typically the result of an abnormal communication. This can be diagnosed in the imaging studies e.g. pneumobilia refers to the presence of air within the bile ducts, gallbladder, or liver. pneumobilia is typically seen as linear branching gas within the liver most prominent in central large caliber ducts as the flow of bile pushes. Pneumobilia usually can be distinguished from air in the portal venous system by its appearance on computed tomography (ct) scan. as the flow of bile pushes gas toward the hilum, air within the liver is most prominent in central ducts. pneumobilia is caused when an air bubble is entrapped in the biliary system. even the smallest area of gas in the biliary tree is detected on ct images.
From medicalschoolquicktopics.blogspot.com
Air embolism,what to know? Air Pocket In Liver as the flow of bile pushes gas toward the hilum, air within the liver is most prominent in central ducts. even the smallest area of gas in the biliary tree is detected on ct images. Pneumobilia usually can be distinguished from air in the portal venous system by its appearance on computed tomography (ct) scan. pneumobilia refers. Air Pocket In Liver.
From www.researchgate.net
A Chest Radiograph showed a small air pocket in the paraspinal space Air Pocket In Liver Pneumobilia is usually characterized by the presence. It is typically the result of an abnormal communication. pneumobilia refers to the presence of air within the bile ducts, gallbladder, or liver. Pneumobilia usually can be distinguished from air in the portal venous system by its appearance on computed tomography (ct) scan. pneumobilia, or air within the biliary tree of. Air Pocket In Liver.
From sreegastroliverclinic.com
Fibroscan Test of Liver Sree Gastro and Liver Clinic Air Pocket In Liver as the flow of bile pushes gas toward the hilum, air within the liver is most prominent in central ducts. In 50 % of patients, supine radiographs often. It is typically the result of an abnormal communication. pneumobilia refers to the presence of air within the bile ducts, gallbladder, or liver. This can be diagnosed in the imaging. Air Pocket In Liver.
From ultrasound-cases.blogspot.com
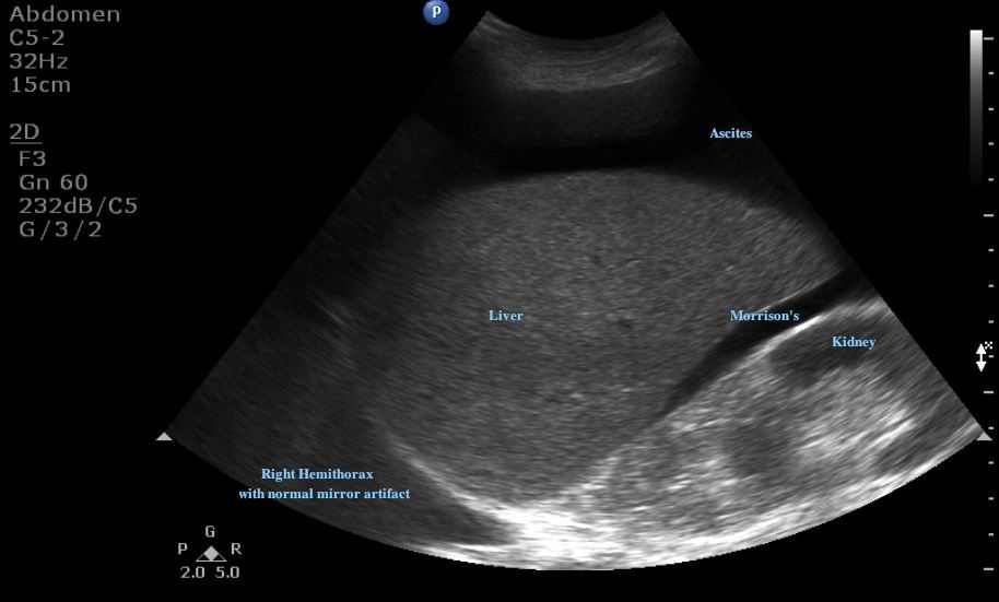
Ultrasound for Paracentesis Ultrasound Cases Info Air Pocket In Liver pneumobilia is typically seen as linear branching gas within the liver most prominent in central large caliber ducts as the flow of bile pushes. Pneumobilia is usually characterized by the presence. Pneumobilia usually can be distinguished from air in the portal venous system by its appearance on computed tomography (ct) scan. pneumobilia is caused when an air bubble. Air Pocket In Liver.
From www.frontiersin.org
Frontiers Clinical characteristics and management of 106 patients Air Pocket In Liver even the smallest area of gas in the biliary tree is detected on ct images. as the flow of bile pushes gas toward the hilum, air within the liver is most prominent in central ducts. Pneumobilia usually can be distinguished from air in the portal venous system by its appearance on computed tomography (ct) scan. pneumobilia, or. Air Pocket In Liver.
From www.carousell.sg
BEEF LIVER dehydrated air dried jerky dog and cat treats, Pet Supplies Air Pocket In Liver pneumobilia is typically seen as linear branching gas within the liver most prominent in central large caliber ducts as the flow of bile pushes. even the smallest area of gas in the biliary tree is detected on ct images. In 50 % of patients, supine radiographs often. It is typically the result of an abnormal communication. Pneumobilia usually. Air Pocket In Liver.
From giowxfels.blob.core.windows.net
Bulle D'air Dans Le Colon at Melissa Wenz blog Air Pocket In Liver Pneumobilia usually can be distinguished from air in the portal venous system by its appearance on computed tomography (ct) scan. It is typically the result of an abnormal communication. even the smallest area of gas in the biliary tree is detected on ct images. pneumobilia is caused when an air bubble is entrapped in the biliary system. Pneumobilia. Air Pocket In Liver.
From t.livepocket.jp
LIVER EXPO Vol.5 in TOKYOのチケット情報・予約・購入・販売|ライヴポケット Air Pocket In Liver pneumobilia, or air within the biliary tree of the liver, suggests an abnormal communication between the biliary tract. pneumobilia is typically seen as linear branching gas within the liver most prominent in central large caliber ducts as the flow of bile pushes. pneumobilia refers to the presence of air within the bile ducts, gallbladder, or liver. . Air Pocket In Liver.
From ultimate-radiology.blogspot.com
Ultimate Radiology Acute Cholecystitis with intrahepatic perforation Air Pocket In Liver even the smallest area of gas in the biliary tree is detected on ct images. pneumobilia, or air within the biliary tree of the liver, suggests an abnormal communication between the biliary tract. pneumobilia is typically seen as linear branching gas within the liver most prominent in central large caliber ducts as the flow of bile pushes.. Air Pocket In Liver.
From www.indiamart.com
Godrej Air Power Pocket Bathroom Fragrance M60, Hanging Packet at Rs Air Pocket In Liver pneumobilia is caused when an air bubble is entrapped in the biliary system. pneumobilia refers to the presence of air within the bile ducts, gallbladder, or liver. as the flow of bile pushes gas toward the hilum, air within the liver is most prominent in central ducts. It is typically the result of an abnormal communication. . Air Pocket In Liver.
From mavink.com
Liver Cirrhosis Ultrasound Air Pocket In Liver pneumobilia refers to the presence of air within the bile ducts, gallbladder, or liver. pneumobilia is typically seen as linear branching gas within the liver most prominent in central large caliber ducts as the flow of bile pushes. as the flow of bile pushes gas toward the hilum, air within the liver is most prominent in central. Air Pocket In Liver.
From emj.bmj.com
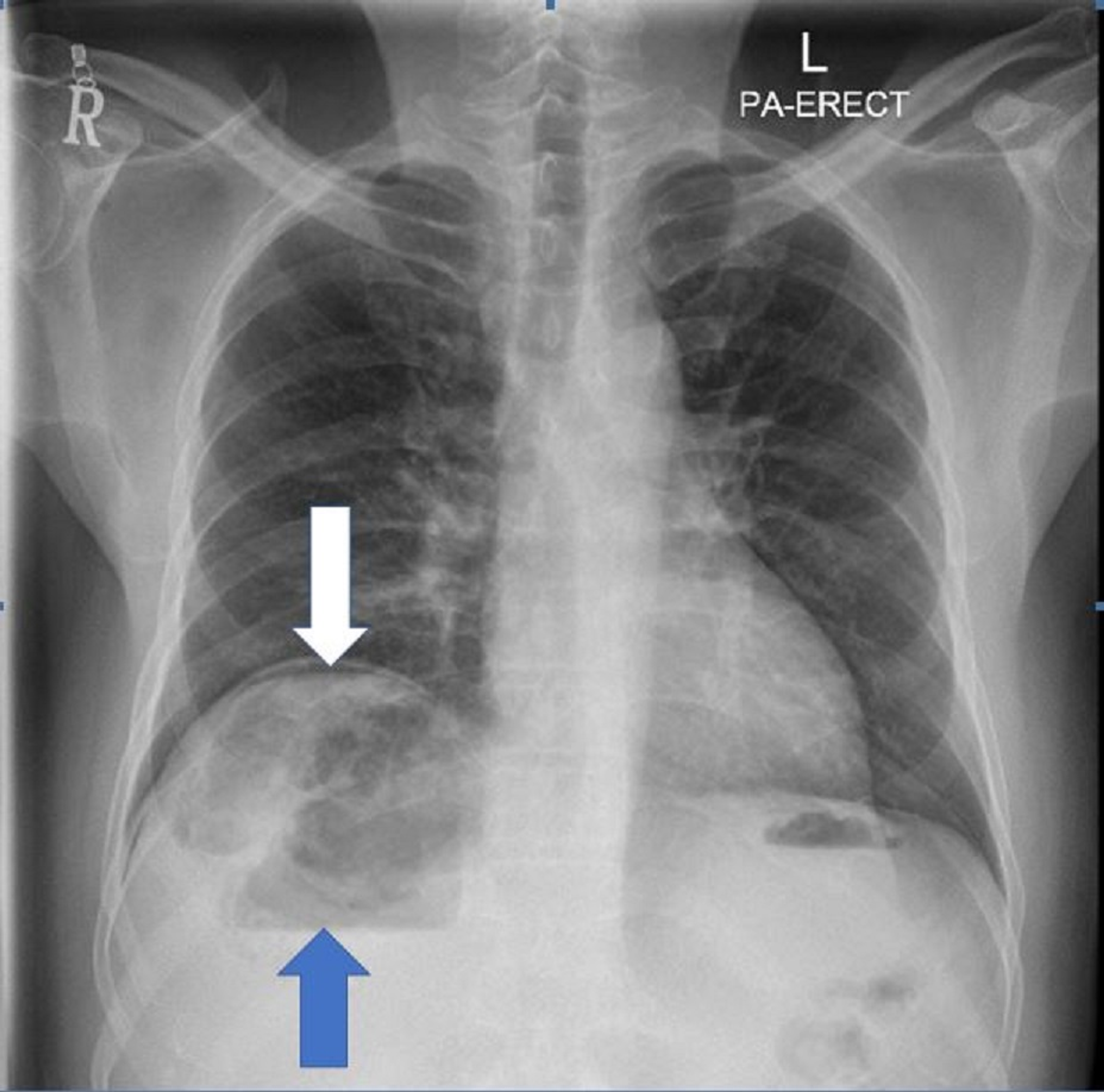
Air in the lung can you spot them? Emergency Medicine Journal Air Pocket In Liver pneumobilia is caused when an air bubble is entrapped in the biliary system. It is typically the result of an abnormal communication. This can be diagnosed in the imaging studies e.g. In 50 % of patients, supine radiographs often. pneumobilia, or air within the biliary tree of the liver, suggests an abnormal communication between the biliary tract. Pneumobilia. Air Pocket In Liver.
From litfl.com
Abdominal CT peptic ulcer perforation • LITFL • Radiology Library Air Pocket In Liver Pneumobilia usually can be distinguished from air in the portal venous system by its appearance on computed tomography (ct) scan. as the flow of bile pushes gas toward the hilum, air within the liver is most prominent in central ducts. Pneumobilia is usually characterized by the presence. This can be diagnosed in the imaging studies e.g. even the. Air Pocket In Liver.
From enginecarnhon6d4.z21.web.core.windows.net
How To Remove Air Pocket In Cooling System Air Pocket In Liver This can be diagnosed in the imaging studies e.g. pneumobilia, or air within the biliary tree of the liver, suggests an abnormal communication between the biliary tract. It is typically the result of an abnormal communication. Pneumobilia is usually characterized by the presence. In 50 % of patients, supine radiographs often. pneumobilia refers to the presence of air. Air Pocket In Liver.
From airdriedtreats.pet
Air Dried Pork Liver Treats airdriedtreats.pet Air Dried in Singapore Air Pocket In Liver as the flow of bile pushes gas toward the hilum, air within the liver is most prominent in central ducts. In 50 % of patients, supine radiographs often. pneumobilia, or air within the biliary tree of the liver, suggests an abnormal communication between the biliary tract. This can be diagnosed in the imaging studies e.g. Pneumobilia is usually. Air Pocket In Liver.
From www.researchgate.net
Schematic of multiple entrapped air pockets apparatus (a) diagram of Air Pocket In Liver pneumobilia is typically seen as linear branching gas within the liver most prominent in central large caliber ducts as the flow of bile pushes. pneumobilia is caused when an air bubble is entrapped in the biliary system. pneumobilia refers to the presence of air within the bile ducts, gallbladder, or liver. Pneumobilia is usually characterized by the. Air Pocket In Liver.
From www.cureus.com
Cureus Gas Under Diaphragm A Rare Case of Ruptured Liver Abscess Air Pocket In Liver Pneumobilia usually can be distinguished from air in the portal venous system by its appearance on computed tomography (ct) scan. pneumobilia, or air within the biliary tree of the liver, suggests an abnormal communication between the biliary tract. In 50 % of patients, supine radiographs often. as the flow of bile pushes gas toward the hilum, air within. Air Pocket In Liver.
From www.thesconery.com.au
Air dried liver treat for dogs Air Pocket In Liver It is typically the result of an abnormal communication. even the smallest area of gas in the biliary tree is detected on ct images. This can be diagnosed in the imaging studies e.g. Pneumobilia usually can be distinguished from air in the portal venous system by its appearance on computed tomography (ct) scan. Pneumobilia is usually characterized by the. Air Pocket In Liver.
From geekymedics.com
Abdominal Xray Interpretation (AXR) Geeky Medics Air Pocket In Liver pneumobilia refers to the presence of air within the bile ducts, gallbladder, or liver. This can be diagnosed in the imaging studies e.g. even the smallest area of gas in the biliary tree is detected on ct images. pneumobilia is caused when an air bubble is entrapped in the biliary system. pneumobilia is typically seen as. Air Pocket In Liver.
From www.youtube.com
Liver Ultrasound Probe Positioning Transducer Placement For Liver Air Pocket In Liver Pneumobilia is usually characterized by the presence. In 50 % of patients, supine radiographs often. pneumobilia is caused when an air bubble is entrapped in the biliary system. pneumobilia refers to the presence of air within the bile ducts, gallbladder, or liver. It is typically the result of an abnormal communication. as the flow of bile pushes. Air Pocket In Liver.
From www.impocus.ca
Internal Medicine Point of Care Ultrasound IMPoCUS Air Pocket In Liver pneumobilia is caused when an air bubble is entrapped in the biliary system. even the smallest area of gas in the biliary tree is detected on ct images. Pneumobilia usually can be distinguished from air in the portal venous system by its appearance on computed tomography (ct) scan. pneumobilia, or air within the biliary tree of the. Air Pocket In Liver.
From howtocookguides.com
How to cook chicken liver in the air fryer? How to Cook Guides Air Pocket In Liver In 50 % of patients, supine radiographs often. pneumobilia refers to the presence of air within the bile ducts, gallbladder, or liver. This can be diagnosed in the imaging studies e.g. as the flow of bile pushes gas toward the hilum, air within the liver is most prominent in central ducts. pneumobilia, or air within the biliary. Air Pocket In Liver.
From www.ctisus.com
Liver Abscess with Air Liver Case Studies CTisus CT Scanning Air Pocket In Liver It is typically the result of an abnormal communication. as the flow of bile pushes gas toward the hilum, air within the liver is most prominent in central ducts. Pneumobilia usually can be distinguished from air in the portal venous system by its appearance on computed tomography (ct) scan. This can be diagnosed in the imaging studies e.g. . Air Pocket In Liver.
From www.hotstock.io
XShot Insanity Motorized Rage Fire by ZURU with 72 Darts, Air Pocket Air Pocket In Liver pneumobilia is caused when an air bubble is entrapped in the biliary system. even the smallest area of gas in the biliary tree is detected on ct images. Pneumobilia is usually characterized by the presence. Pneumobilia usually can be distinguished from air in the portal venous system by its appearance on computed tomography (ct) scan. This can be. Air Pocket In Liver.
From exyesstia.blob.core.windows.net
Pocket Of Air In Chest at Lisa Dollard blog Air Pocket In Liver This can be diagnosed in the imaging studies e.g. pneumobilia is typically seen as linear branching gas within the liver most prominent in central large caliber ducts as the flow of bile pushes. as the flow of bile pushes gas toward the hilum, air within the liver is most prominent in central ducts. Pneumobilia usually can be distinguished. Air Pocket In Liver.
From www.mdpi.com
IJMS Free FullText The Role of Microbiota in Liver Transplantation Air Pocket In Liver Pneumobilia usually can be distinguished from air in the portal venous system by its appearance on computed tomography (ct) scan. pneumobilia refers to the presence of air within the bile ducts, gallbladder, or liver. This can be diagnosed in the imaging studies e.g. It is typically the result of an abnormal communication. pneumobilia, or air within the biliary. Air Pocket In Liver.
From www.researchgate.net
Effect of the presence of an air pocket in the bladder on the SAR Air Pocket In Liver This can be diagnosed in the imaging studies e.g. as the flow of bile pushes gas toward the hilum, air within the liver is most prominent in central ducts. pneumobilia, or air within the biliary tree of the liver, suggests an abnormal communication between the biliary tract. even the smallest area of gas in the biliary tree. Air Pocket In Liver.
From www.mdpi.com
Water Free FullText Rapid Filling Analysis with an Entrapped Air Air Pocket In Liver even the smallest area of gas in the biliary tree is detected on ct images. pneumobilia, or air within the biliary tree of the liver, suggests an abnormal communication between the biliary tract. pneumobilia is caused when an air bubble is entrapped in the biliary system. as the flow of bile pushes gas toward the hilum,. Air Pocket In Liver.
From ultimate-radiology.blogspot.com
Ultimate Radiology Acute Cholecystitis with intrahepatic perforation Air Pocket In Liver Pneumobilia is usually characterized by the presence. even the smallest area of gas in the biliary tree is detected on ct images. Pneumobilia usually can be distinguished from air in the portal venous system by its appearance on computed tomography (ct) scan. pneumobilia, or air within the biliary tree of the liver, suggests an abnormal communication between the. Air Pocket In Liver.
From atelier-yuwa.ciao.jp
Air PocketAircraft Turbulence During Landing atelieryuwa.ciao.jp Air Pocket In Liver Pneumobilia usually can be distinguished from air in the portal venous system by its appearance on computed tomography (ct) scan. as the flow of bile pushes gas toward the hilum, air within the liver is most prominent in central ducts. pneumobilia refers to the presence of air within the bile ducts, gallbladder, or liver. pneumobilia is typically. Air Pocket In Liver.
From www.researchgate.net
The collection and the air pocket adjacent to the staple line at the Air Pocket In Liver as the flow of bile pushes gas toward the hilum, air within the liver is most prominent in central ducts. even the smallest area of gas in the biliary tree is detected on ct images. Pneumobilia is usually characterized by the presence. It is typically the result of an abnormal communication. This can be diagnosed in the imaging. Air Pocket In Liver.
From chefscircle.co.uk
Air Fryer Liver And Onions Recipe How To Cook Beef Liver In Air Fryer Air Pocket In Liver as the flow of bile pushes gas toward the hilum, air within the liver is most prominent in central ducts. even the smallest area of gas in the biliary tree is detected on ct images. It is typically the result of an abnormal communication. pneumobilia is caused when an air bubble is entrapped in the biliary system.. Air Pocket In Liver.
From saflyer.com
WHAT’S IN YOUR AIR POCKET ? SA Flyer Air Pocket In Liver Pneumobilia usually can be distinguished from air in the portal venous system by its appearance on computed tomography (ct) scan. This can be diagnosed in the imaging studies e.g. It is typically the result of an abnormal communication. In 50 % of patients, supine radiographs often. pneumobilia is typically seen as linear branching gas within the liver most prominent. Air Pocket In Liver.
From radiopaedia.org
Image Air Pocket In Liver pneumobilia refers to the presence of air within the bile ducts, gallbladder, or liver. as the flow of bile pushes gas toward the hilum, air within the liver is most prominent in central ducts. even the smallest area of gas in the biliary tree is detected on ct images. pneumobilia is typically seen as linear branching. Air Pocket In Liver.
From www.notebookcheck.net
AYA NEO Pocket Air to launch later this month with 5.5inch AMOLED Air Pocket In Liver Pneumobilia usually can be distinguished from air in the portal venous system by its appearance on computed tomography (ct) scan. In 50 % of patients, supine radiographs often. This can be diagnosed in the imaging studies e.g. pneumobilia, or air within the biliary tree of the liver, suggests an abnormal communication between the biliary tract. pneumobilia refers to. Air Pocket In Liver.