Lumbar Hernia Images . lumbar hernias occur through defects in the lumbar muscles or the posterior fascia, below the 12 th rib and above the iliac. Browse 136 lumbar hernia photos and images. lumbar hernia occurs when tissue pushes through a weak spot in the muscles of the lower back, also known as. In this article a systematic approach to patients with nerve root compression in the lumbar region is presented. lumbar hernia is an uncommon abdominal wall hernia, making its diagnosis and management a challenge to. Lumbar disc herniation is a very common cause of low back pain and unilateral leg pain, known as radiculopathy.
from
lumbar hernias occur through defects in the lumbar muscles or the posterior fascia, below the 12 th rib and above the iliac. In this article a systematic approach to patients with nerve root compression in the lumbar region is presented. lumbar hernia is an uncommon abdominal wall hernia, making its diagnosis and management a challenge to. Lumbar disc herniation is a very common cause of low back pain and unilateral leg pain, known as radiculopathy. lumbar hernia occurs when tissue pushes through a weak spot in the muscles of the lower back, also known as. Browse 136 lumbar hernia photos and images.
Lumbar Hernia Images In this article a systematic approach to patients with nerve root compression in the lumbar region is presented. Browse 136 lumbar hernia photos and images. lumbar hernias occur through defects in the lumbar muscles or the posterior fascia, below the 12 th rib and above the iliac. lumbar hernia is an uncommon abdominal wall hernia, making its diagnosis and management a challenge to. lumbar hernia occurs when tissue pushes through a weak spot in the muscles of the lower back, also known as. In this article a systematic approach to patients with nerve root compression in the lumbar region is presented. Lumbar disc herniation is a very common cause of low back pain and unilateral leg pain, known as radiculopathy.
From orthopedicinstitutesf.com
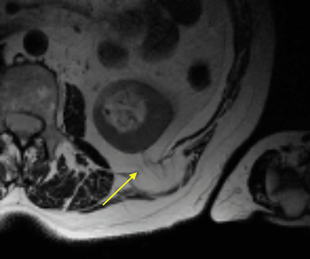
Lumbar Disc Herniation Orthopedic Institute of Sioux Falls Lumbar Hernia Images Lumbar disc herniation is a very common cause of low back pain and unilateral leg pain, known as radiculopathy. lumbar hernias occur through defects in the lumbar muscles or the posterior fascia, below the 12 th rib and above the iliac. lumbar hernia occurs when tissue pushes through a weak spot in the muscles of the lower back,. Lumbar Hernia Images.
From drpablosomoza.es
Hernia Discal Lumbar Diagnóstico y Cirugía Dr. Pablo Somoza Lumbar Hernia Images lumbar hernia is an uncommon abdominal wall hernia, making its diagnosis and management a challenge to. Browse 136 lumbar hernia photos and images. lumbar hernia occurs when tissue pushes through a weak spot in the muscles of the lower back, also known as. Lumbar disc herniation is a very common cause of low back pain and unilateral leg. Lumbar Hernia Images.
From tlcdetailing.co.uk
potom Mučedník posluchač 4 stages of disc herniation za Občas Přiblížení Lumbar Hernia Images lumbar hernias occur through defects in the lumbar muscles or the posterior fascia, below the 12 th rib and above the iliac. In this article a systematic approach to patients with nerve root compression in the lumbar region is presented. Browse 136 lumbar hernia photos and images. lumbar hernia is an uncommon abdominal wall hernia, making its diagnosis. Lumbar Hernia Images.
From
Lumbar Hernia Images Browse 136 lumbar hernia photos and images. In this article a systematic approach to patients with nerve root compression in the lumbar region is presented. lumbar hernias occur through defects in the lumbar muscles or the posterior fascia, below the 12 th rib and above the iliac. lumbar hernia occurs when tissue pushes through a weak spot in. Lumbar Hernia Images.
From www.researchgate.net
lumbar hernia containing large bowel through superior triangle Lumbar Hernia Images Lumbar disc herniation is a very common cause of low back pain and unilateral leg pain, known as radiculopathy. lumbar hernias occur through defects in the lumbar muscles or the posterior fascia, below the 12 th rib and above the iliac. lumbar hernia occurs when tissue pushes through a weak spot in the muscles of the lower back,. Lumbar Hernia Images.
From vertebralclinic.es
¿Cómo tratar la hernia discal lumbar? Vertebral Clinic Lumbar Hernia Images Browse 136 lumbar hernia photos and images. lumbar hernias occur through defects in the lumbar muscles or the posterior fascia, below the 12 th rib and above the iliac. Lumbar disc herniation is a very common cause of low back pain and unilateral leg pain, known as radiculopathy. lumbar hernia is an uncommon abdominal wall hernia, making its. Lumbar Hernia Images.
From
Lumbar Hernia Images lumbar hernia occurs when tissue pushes through a weak spot in the muscles of the lower back, also known as. Lumbar disc herniation is a very common cause of low back pain and unilateral leg pain, known as radiculopathy. In this article a systematic approach to patients with nerve root compression in the lumbar region is presented. Browse 136. Lumbar Hernia Images.
From
Lumbar Hernia Images lumbar hernia is an uncommon abdominal wall hernia, making its diagnosis and management a challenge to. Lumbar disc herniation is a very common cause of low back pain and unilateral leg pain, known as radiculopathy. lumbar hernia occurs when tissue pushes through a weak spot in the muscles of the lower back, also known as. Browse 136 lumbar. Lumbar Hernia Images.
From neurocirugiaequipodelatorre.es
Hernia Discal Lumbar Unidad de Neurocirugía de la Torre Lumbar Hernia Images lumbar hernia occurs when tissue pushes through a weak spot in the muscles of the lower back, also known as. lumbar hernia is an uncommon abdominal wall hernia, making its diagnosis and management a challenge to. Browse 136 lumbar hernia photos and images. In this article a systematic approach to patients with nerve root compression in the lumbar. Lumbar Hernia Images.
From
Lumbar Hernia Images lumbar hernia occurs when tissue pushes through a weak spot in the muscles of the lower back, also known as. In this article a systematic approach to patients with nerve root compression in the lumbar region is presented. Browse 136 lumbar hernia photos and images. lumbar hernias occur through defects in the lumbar muscles or the posterior fascia,. Lumbar Hernia Images.
From
Lumbar Hernia Images lumbar hernia is an uncommon abdominal wall hernia, making its diagnosis and management a challenge to. Browse 136 lumbar hernia photos and images. lumbar hernias occur through defects in the lumbar muscles or the posterior fascia, below the 12 th rib and above the iliac. Lumbar disc herniation is a very common cause of low back pain and. Lumbar Hernia Images.
From
Lumbar Hernia Images lumbar hernias occur through defects in the lumbar muscles or the posterior fascia, below the 12 th rib and above the iliac. Lumbar disc herniation is a very common cause of low back pain and unilateral leg pain, known as radiculopathy. lumbar hernia is an uncommon abdominal wall hernia, making its diagnosis and management a challenge to. Browse. Lumbar Hernia Images.
From
Lumbar Hernia Images lumbar hernias occur through defects in the lumbar muscles or the posterior fascia, below the 12 th rib and above the iliac. In this article a systematic approach to patients with nerve root compression in the lumbar region is presented. lumbar hernia occurs when tissue pushes through a weak spot in the muscles of the lower back, also. Lumbar Hernia Images.
From
Lumbar Hernia Images In this article a systematic approach to patients with nerve root compression in the lumbar region is presented. Browse 136 lumbar hernia photos and images. lumbar hernia is an uncommon abdominal wall hernia, making its diagnosis and management a challenge to. Lumbar disc herniation is a very common cause of low back pain and unilateral leg pain, known as. Lumbar Hernia Images.
From
Lumbar Hernia Images Browse 136 lumbar hernia photos and images. Lumbar disc herniation is a very common cause of low back pain and unilateral leg pain, known as radiculopathy. lumbar hernia is an uncommon abdominal wall hernia, making its diagnosis and management a challenge to. In this article a systematic approach to patients with nerve root compression in the lumbar region is. Lumbar Hernia Images.
From
Lumbar Hernia Images In this article a systematic approach to patients with nerve root compression in the lumbar region is presented. lumbar hernias occur through defects in the lumbar muscles or the posterior fascia, below the 12 th rib and above the iliac. Browse 136 lumbar hernia photos and images. lumbar hernia is an uncommon abdominal wall hernia, making its diagnosis. Lumbar Hernia Images.
From
Lumbar Hernia Images lumbar hernia is an uncommon abdominal wall hernia, making its diagnosis and management a challenge to. Lumbar disc herniation is a very common cause of low back pain and unilateral leg pain, known as radiculopathy. Browse 136 lumbar hernia photos and images. lumbar hernia occurs when tissue pushes through a weak spot in the muscles of the lower. Lumbar Hernia Images.
From
Lumbar Hernia Images lumbar hernias occur through defects in the lumbar muscles or the posterior fascia, below the 12 th rib and above the iliac. In this article a systematic approach to patients with nerve root compression in the lumbar region is presented. Browse 136 lumbar hernia photos and images. lumbar hernia occurs when tissue pushes through a weak spot in. Lumbar Hernia Images.
From clinicamartingomez.es
¿Qué es una hernia discal? Clínica Martín Gómez Lumbar Hernia Images In this article a systematic approach to patients with nerve root compression in the lumbar region is presented. Lumbar disc herniation is a very common cause of low back pain and unilateral leg pain, known as radiculopathy. Browse 136 lumbar hernia photos and images. lumbar hernias occur through defects in the lumbar muscles or the posterior fascia, below the. Lumbar Hernia Images.
From
Lumbar Hernia Images In this article a systematic approach to patients with nerve root compression in the lumbar region is presented. Lumbar disc herniation is a very common cause of low back pain and unilateral leg pain, known as radiculopathy. Browse 136 lumbar hernia photos and images. lumbar hernias occur through defects in the lumbar muscles or the posterior fascia, below the. Lumbar Hernia Images.
From
Lumbar Hernia Images Lumbar disc herniation is a very common cause of low back pain and unilateral leg pain, known as radiculopathy. lumbar hernias occur through defects in the lumbar muscles or the posterior fascia, below the 12 th rib and above the iliac. lumbar hernia is an uncommon abdominal wall hernia, making its diagnosis and management a challenge to. . Lumbar Hernia Images.
From
Lumbar Hernia Images Browse 136 lumbar hernia photos and images. Lumbar disc herniation is a very common cause of low back pain and unilateral leg pain, known as radiculopathy. lumbar hernias occur through defects in the lumbar muscles or the posterior fascia, below the 12 th rib and above the iliac. In this article a systematic approach to patients with nerve root. Lumbar Hernia Images.
From
Lumbar Hernia Images In this article a systematic approach to patients with nerve root compression in the lumbar region is presented. lumbar hernias occur through defects in the lumbar muscles or the posterior fascia, below the 12 th rib and above the iliac. lumbar hernia is an uncommon abdominal wall hernia, making its diagnosis and management a challenge to. Browse 136. Lumbar Hernia Images.
From
Lumbar Hernia Images lumbar hernia is an uncommon abdominal wall hernia, making its diagnosis and management a challenge to. In this article a systematic approach to patients with nerve root compression in the lumbar region is presented. Lumbar disc herniation is a very common cause of low back pain and unilateral leg pain, known as radiculopathy. lumbar hernias occur through defects. Lumbar Hernia Images.
From
Lumbar Hernia Images In this article a systematic approach to patients with nerve root compression in the lumbar region is presented. lumbar hernias occur through defects in the lumbar muscles or the posterior fascia, below the 12 th rib and above the iliac. Lumbar disc herniation is a very common cause of low back pain and unilateral leg pain, known as radiculopathy.. Lumbar Hernia Images.
From
Lumbar Hernia Images In this article a systematic approach to patients with nerve root compression in the lumbar region is presented. lumbar hernia occurs when tissue pushes through a weak spot in the muscles of the lower back, also known as. lumbar hernias occur through defects in the lumbar muscles or the posterior fascia, below the 12 th rib and above. Lumbar Hernia Images.
From
Lumbar Hernia Images Browse 136 lumbar hernia photos and images. lumbar hernia occurs when tissue pushes through a weak spot in the muscles of the lower back, also known as. lumbar hernias occur through defects in the lumbar muscles or the posterior fascia, below the 12 th rib and above the iliac. lumbar hernia is an uncommon abdominal wall hernia,. Lumbar Hernia Images.
From
Lumbar Hernia Images lumbar hernia is an uncommon abdominal wall hernia, making its diagnosis and management a challenge to. Lumbar disc herniation is a very common cause of low back pain and unilateral leg pain, known as radiculopathy. Browse 136 lumbar hernia photos and images. lumbar hernias occur through defects in the lumbar muscles or the posterior fascia, below the 12. Lumbar Hernia Images.
From
Lumbar Hernia Images Lumbar disc herniation is a very common cause of low back pain and unilateral leg pain, known as radiculopathy. lumbar hernias occur through defects in the lumbar muscles or the posterior fascia, below the 12 th rib and above the iliac. lumbar hernia is an uncommon abdominal wall hernia, making its diagnosis and management a challenge to. Browse. Lumbar Hernia Images.
From
Lumbar Hernia Images In this article a systematic approach to patients with nerve root compression in the lumbar region is presented. lumbar hernia is an uncommon abdominal wall hernia, making its diagnosis and management a challenge to. Browse 136 lumbar hernia photos and images. lumbar hernia occurs when tissue pushes through a weak spot in the muscles of the lower back,. Lumbar Hernia Images.
From actasmedicas.ec
Reabsorción de hernia discal sin tratamiento quirúrgico Reporte de Lumbar Hernia Images lumbar hernia occurs when tissue pushes through a weak spot in the muscles of the lower back, also known as. In this article a systematic approach to patients with nerve root compression in the lumbar region is presented. lumbar hernia is an uncommon abdominal wall hernia, making its diagnosis and management a challenge to. lumbar hernias occur. Lumbar Hernia Images.
From
Lumbar Hernia Images Browse 136 lumbar hernia photos and images. Lumbar disc herniation is a very common cause of low back pain and unilateral leg pain, known as radiculopathy. lumbar hernia is an uncommon abdominal wall hernia, making its diagnosis and management a challenge to. lumbar hernia occurs when tissue pushes through a weak spot in the muscles of the lower. Lumbar Hernia Images.
From
Lumbar Hernia Images lumbar hernias occur through defects in the lumbar muscles or the posterior fascia, below the 12 th rib and above the iliac. In this article a systematic approach to patients with nerve root compression in the lumbar region is presented. Browse 136 lumbar hernia photos and images. lumbar hernia occurs when tissue pushes through a weak spot in. Lumbar Hernia Images.
From
Lumbar Hernia Images In this article a systematic approach to patients with nerve root compression in the lumbar region is presented. Browse 136 lumbar hernia photos and images. lumbar hernia occurs when tissue pushes through a weak spot in the muscles of the lower back, also known as. Lumbar disc herniation is a very common cause of low back pain and unilateral. Lumbar Hernia Images.
From
Lumbar Hernia Images Browse 136 lumbar hernia photos and images. lumbar hernia is an uncommon abdominal wall hernia, making its diagnosis and management a challenge to. Lumbar disc herniation is a very common cause of low back pain and unilateral leg pain, known as radiculopathy. lumbar hernia occurs when tissue pushes through a weak spot in the muscles of the lower. Lumbar Hernia Images.