Smoking And Brain Function . Smoking reinforcement could be due to the initial cognitive improvement, that is, individuals can learn that smoking temporarily increases. Cigarette smoking has a major impact on global health and morbidity, and positron emission tomographic research has. In most studies, exposure to smoke is associated with increased risk for negative preclinical and cognitive outcomes in younger people as well. Chronic smoking is related to global brain atrophy and to structural and biochemical abnormalities in anterior frontal regions,.
from www.scientificworldinfo.com
Cigarette smoking has a major impact on global health and morbidity, and positron emission tomographic research has. In most studies, exposure to smoke is associated with increased risk for negative preclinical and cognitive outcomes in younger people as well. Smoking reinforcement could be due to the initial cognitive improvement, that is, individuals can learn that smoking temporarily increases. Chronic smoking is related to global brain atrophy and to structural and biochemical abnormalities in anterior frontal regions,.
How Does Smoking Affect the Nervous System?
Smoking And Brain Function Smoking reinforcement could be due to the initial cognitive improvement, that is, individuals can learn that smoking temporarily increases. Cigarette smoking has a major impact on global health and morbidity, and positron emission tomographic research has. In most studies, exposure to smoke is associated with increased risk for negative preclinical and cognitive outcomes in younger people as well. Chronic smoking is related to global brain atrophy and to structural and biochemical abnormalities in anterior frontal regions,. Smoking reinforcement could be due to the initial cognitive improvement, that is, individuals can learn that smoking temporarily increases.
From www.scientificworldinfo.com
How Does Smoking Affect the Nervous System? Smoking And Brain Function In most studies, exposure to smoke is associated with increased risk for negative preclinical and cognitive outcomes in younger people as well. Smoking reinforcement could be due to the initial cognitive improvement, that is, individuals can learn that smoking temporarily increases. Cigarette smoking has a major impact on global health and morbidity, and positron emission tomographic research has. Chronic smoking. Smoking And Brain Function.
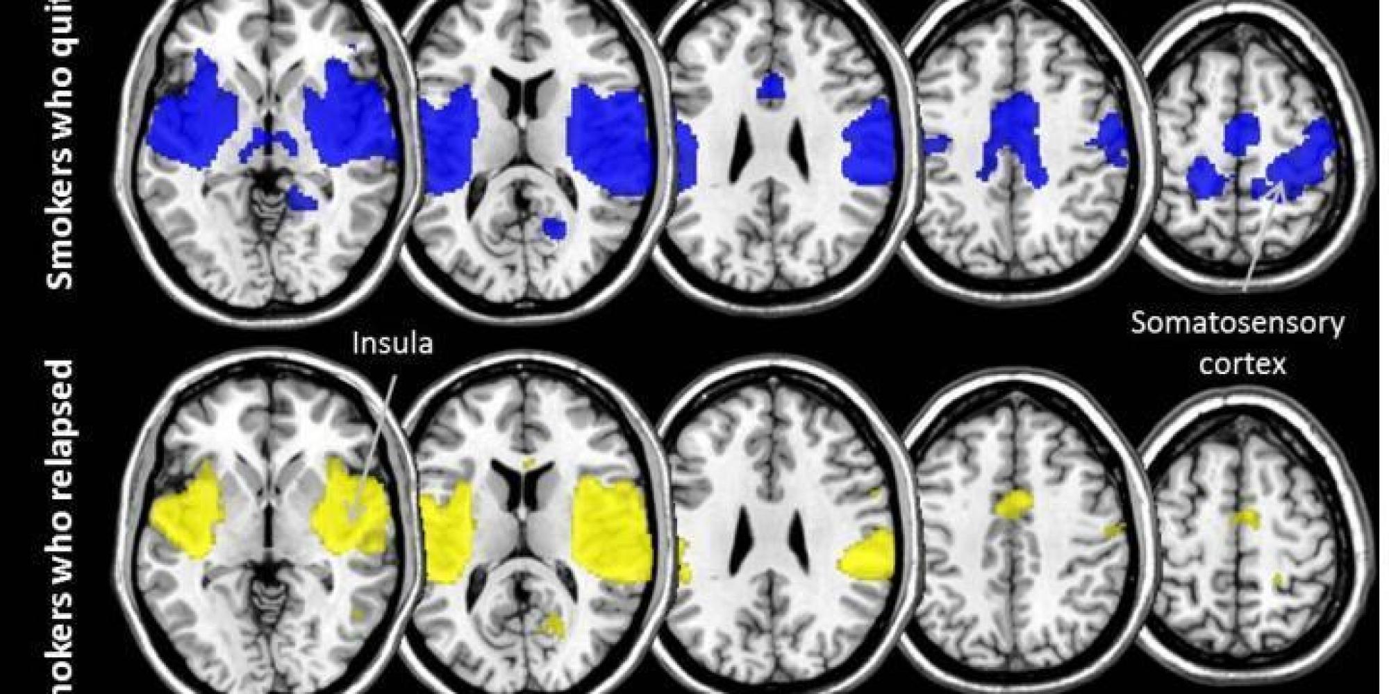
From neuroscienceresearch.wustl.edu
Smoking causes brain shrinkage Office of Neuroscience Research Smoking And Brain Function Chronic smoking is related to global brain atrophy and to structural and biochemical abnormalities in anterior frontal regions,. In most studies, exposure to smoke is associated with increased risk for negative preclinical and cognitive outcomes in younger people as well. Smoking reinforcement could be due to the initial cognitive improvement, that is, individuals can learn that smoking temporarily increases. Cigarette. Smoking And Brain Function.
From www.medicalnewstoday.com
Study finds link between cigarette smoking and loss of brain matter Smoking And Brain Function Smoking reinforcement could be due to the initial cognitive improvement, that is, individuals can learn that smoking temporarily increases. Cigarette smoking has a major impact on global health and morbidity, and positron emission tomographic research has. Chronic smoking is related to global brain atrophy and to structural and biochemical abnormalities in anterior frontal regions,. In most studies, exposure to smoke. Smoking And Brain Function.
From www.medicalnewstoday.com
Smoking and the brain What are the effects? Smoking And Brain Function Cigarette smoking has a major impact on global health and morbidity, and positron emission tomographic research has. Smoking reinforcement could be due to the initial cognitive improvement, that is, individuals can learn that smoking temporarily increases. Chronic smoking is related to global brain atrophy and to structural and biochemical abnormalities in anterior frontal regions,. In most studies, exposure to smoke. Smoking And Brain Function.
From tobacco.cleartheair.org.hk
Smoking Fact Nicotine Is MORE Addictive Than Cocaine, Morphine, Heroin Smoking And Brain Function In most studies, exposure to smoke is associated with increased risk for negative preclinical and cognitive outcomes in younger people as well. Smoking reinforcement could be due to the initial cognitive improvement, that is, individuals can learn that smoking temporarily increases. Chronic smoking is related to global brain atrophy and to structural and biochemical abnormalities in anterior frontal regions,. Cigarette. Smoking And Brain Function.
From brainposts.blogspot.com
Tobacco smoking and nicotine dependence produce harmful effects on the Smoking And Brain Function Chronic smoking is related to global brain atrophy and to structural and biochemical abnormalities in anterior frontal regions,. In most studies, exposure to smoke is associated with increased risk for negative preclinical and cognitive outcomes in younger people as well. Cigarette smoking has a major impact on global health and morbidity, and positron emission tomographic research has. Smoking reinforcement could. Smoking And Brain Function.
From www.youtube.com
Smoking And Your Brain YouTube Smoking And Brain Function Smoking reinforcement could be due to the initial cognitive improvement, that is, individuals can learn that smoking temporarily increases. In most studies, exposure to smoke is associated with increased risk for negative preclinical and cognitive outcomes in younger people as well. Chronic smoking is related to global brain atrophy and to structural and biochemical abnormalities in anterior frontal regions,. Cigarette. Smoking And Brain Function.
From www.cnn.com
Quitting smoking relies on stronger brain networks CNN Smoking And Brain Function In most studies, exposure to smoke is associated with increased risk for negative preclinical and cognitive outcomes in younger people as well. Chronic smoking is related to global brain atrophy and to structural and biochemical abnormalities in anterior frontal regions,. Smoking reinforcement could be due to the initial cognitive improvement, that is, individuals can learn that smoking temporarily increases. Cigarette. Smoking And Brain Function.
From www.voicesofyouth.org
Let's talk alcohol and tobacco Voices of Youth Smoking And Brain Function Cigarette smoking has a major impact on global health and morbidity, and positron emission tomographic research has. Smoking reinforcement could be due to the initial cognitive improvement, that is, individuals can learn that smoking temporarily increases. Chronic smoking is related to global brain atrophy and to structural and biochemical abnormalities in anterior frontal regions,. In most studies, exposure to smoke. Smoking And Brain Function.
From www.medicalnewstoday.com
What are the effects of marijuana on the body? Smoking And Brain Function In most studies, exposure to smoke is associated with increased risk for negative preclinical and cognitive outcomes in younger people as well. Cigarette smoking has a major impact on global health and morbidity, and positron emission tomographic research has. Chronic smoking is related to global brain atrophy and to structural and biochemical abnormalities in anterior frontal regions,. Smoking reinforcement could. Smoking And Brain Function.
From www.mdpi.com
IJMS Free FullText Traumatic Brain Injury and BloodBrain Barrier Smoking And Brain Function In most studies, exposure to smoke is associated with increased risk for negative preclinical and cognitive outcomes in younger people as well. Cigarette smoking has a major impact on global health and morbidity, and positron emission tomographic research has. Smoking reinforcement could be due to the initial cognitive improvement, that is, individuals can learn that smoking temporarily increases. Chronic smoking. Smoking And Brain Function.
From www.lifeadvancer.com
11 Effects of Smoking Weed on Your Brain and Body Functions Smoking And Brain Function Chronic smoking is related to global brain atrophy and to structural and biochemical abnormalities in anterior frontal regions,. In most studies, exposure to smoke is associated with increased risk for negative preclinical and cognitive outcomes in younger people as well. Cigarette smoking has a major impact on global health and morbidity, and positron emission tomographic research has. Smoking reinforcement could. Smoking And Brain Function.
From www.brainhealthmatterscoaching.com
The Brain of a Smoker — Brain Health Coaching Smoking And Brain Function Smoking reinforcement could be due to the initial cognitive improvement, that is, individuals can learn that smoking temporarily increases. In most studies, exposure to smoke is associated with increased risk for negative preclinical and cognitive outcomes in younger people as well. Cigarette smoking has a major impact on global health and morbidity, and positron emission tomographic research has. Chronic smoking. Smoking And Brain Function.
From technoblender.com
Smoking Causes Brain Shrinkage “It Sounds Bad, and It Is Bad Smoking And Brain Function In most studies, exposure to smoke is associated with increased risk for negative preclinical and cognitive outcomes in younger people as well. Cigarette smoking has a major impact on global health and morbidity, and positron emission tomographic research has. Chronic smoking is related to global brain atrophy and to structural and biochemical abnormalities in anterior frontal regions,. Smoking reinforcement could. Smoking And Brain Function.
From theconversation.com
Smoking harms not just your physical health, but your mental health too Smoking And Brain Function Smoking reinforcement could be due to the initial cognitive improvement, that is, individuals can learn that smoking temporarily increases. In most studies, exposure to smoke is associated with increased risk for negative preclinical and cognitive outcomes in younger people as well. Chronic smoking is related to global brain atrophy and to structural and biochemical abnormalities in anterior frontal regions,. Cigarette. Smoking And Brain Function.
From www.pinterest.com
Pin on Brain Smoking And Brain Function In most studies, exposure to smoke is associated with increased risk for negative preclinical and cognitive outcomes in younger people as well. Cigarette smoking has a major impact on global health and morbidity, and positron emission tomographic research has. Chronic smoking is related to global brain atrophy and to structural and biochemical abnormalities in anterior frontal regions,. Smoking reinforcement could. Smoking And Brain Function.
From www.huffingtonpost.com
What Studying The Brains Of Smokers Reveals About Quitting Successfully Smoking And Brain Function Smoking reinforcement could be due to the initial cognitive improvement, that is, individuals can learn that smoking temporarily increases. Chronic smoking is related to global brain atrophy and to structural and biochemical abnormalities in anterior frontal regions,. In most studies, exposure to smoke is associated with increased risk for negative preclinical and cognitive outcomes in younger people as well. Cigarette. Smoking And Brain Function.
From www.freepik.com
Premium Photo Smoke brain Smoking And Brain Function Chronic smoking is related to global brain atrophy and to structural and biochemical abnormalities in anterior frontal regions,. Cigarette smoking has a major impact on global health and morbidity, and positron emission tomographic research has. Smoking reinforcement could be due to the initial cognitive improvement, that is, individuals can learn that smoking temporarily increases. In most studies, exposure to smoke. Smoking And Brain Function.
From www.alamy.com
Medical 3D illustration xray human head image with highlighted brain Smoking And Brain Function Cigarette smoking has a major impact on global health and morbidity, and positron emission tomographic research has. Smoking reinforcement could be due to the initial cognitive improvement, that is, individuals can learn that smoking temporarily increases. In most studies, exposure to smoke is associated with increased risk for negative preclinical and cognitive outcomes in younger people as well. Chronic smoking. Smoking And Brain Function.
From ash.wales
Mental Health Action on Smoking and Health Smoking and Mental Health Smoking And Brain Function Cigarette smoking has a major impact on global health and morbidity, and positron emission tomographic research has. In most studies, exposure to smoke is associated with increased risk for negative preclinical and cognitive outcomes in younger people as well. Smoking reinforcement could be due to the initial cognitive improvement, that is, individuals can learn that smoking temporarily increases. Chronic smoking. Smoking And Brain Function.
From neurosciencenews.com
Smoking Linked to Brain Shrinkage, Irreversible Even After Quitting Smoking And Brain Function Smoking reinforcement could be due to the initial cognitive improvement, that is, individuals can learn that smoking temporarily increases. Cigarette smoking has a major impact on global health and morbidity, and positron emission tomographic research has. Chronic smoking is related to global brain atrophy and to structural and biochemical abnormalities in anterior frontal regions,. In most studies, exposure to smoke. Smoking And Brain Function.
From www.dreamstime.com
Brain Character Attacking the Cigarette. Smoking is Harmful To the Smoking And Brain Function Cigarette smoking has a major impact on global health and morbidity, and positron emission tomographic research has. In most studies, exposure to smoke is associated with increased risk for negative preclinical and cognitive outcomes in younger people as well. Chronic smoking is related to global brain atrophy and to structural and biochemical abnormalities in anterior frontal regions,. Smoking reinforcement could. Smoking And Brain Function.
From www.psypost.org
Smoking is strongly associated with decreased brain volume, study finds Smoking And Brain Function In most studies, exposure to smoke is associated with increased risk for negative preclinical and cognitive outcomes in younger people as well. Chronic smoking is related to global brain atrophy and to structural and biochemical abnormalities in anterior frontal regions,. Cigarette smoking has a major impact on global health and morbidity, and positron emission tomographic research has. Smoking reinforcement could. Smoking And Brain Function.
From www.youtube.com
What Happens To Your Brain, If You Smoke Everyday!! Health and Smoking And Brain Function Chronic smoking is related to global brain atrophy and to structural and biochemical abnormalities in anterior frontal regions,. Smoking reinforcement could be due to the initial cognitive improvement, that is, individuals can learn that smoking temporarily increases. In most studies, exposure to smoke is associated with increased risk for negative preclinical and cognitive outcomes in younger people as well. Cigarette. Smoking And Brain Function.
From www.frontiersin.org
Frontiers Brain Structure Alterations in Respect to Tobacco Smoking And Brain Function Chronic smoking is related to global brain atrophy and to structural and biochemical abnormalities in anterior frontal regions,. Smoking reinforcement could be due to the initial cognitive improvement, that is, individuals can learn that smoking temporarily increases. Cigarette smoking has a major impact on global health and morbidity, and positron emission tomographic research has. In most studies, exposure to smoke. Smoking And Brain Function.
From istbi.fudan.edu.cn
Discovered different brain areas linked to smoking and drinking Smoking And Brain Function Smoking reinforcement could be due to the initial cognitive improvement, that is, individuals can learn that smoking temporarily increases. Cigarette smoking has a major impact on global health and morbidity, and positron emission tomographic research has. Chronic smoking is related to global brain atrophy and to structural and biochemical abnormalities in anterior frontal regions,. In most studies, exposure to smoke. Smoking And Brain Function.
From www.sciencephoto.com
Smoking brain scans Stock Image M370/0778 Science Photo Library Smoking And Brain Function Chronic smoking is related to global brain atrophy and to structural and biochemical abnormalities in anterior frontal regions,. In most studies, exposure to smoke is associated with increased risk for negative preclinical and cognitive outcomes in younger people as well. Cigarette smoking has a major impact on global health and morbidity, and positron emission tomographic research has. Smoking reinforcement could. Smoking And Brain Function.
From azmarijuana.com
Infographic Areas of Brain Affected by Cannabinoids Smoking And Brain Function Smoking reinforcement could be due to the initial cognitive improvement, that is, individuals can learn that smoking temporarily increases. Chronic smoking is related to global brain atrophy and to structural and biochemical abnormalities in anterior frontal regions,. Cigarette smoking has a major impact on global health and morbidity, and positron emission tomographic research has. In most studies, exposure to smoke. Smoking And Brain Function.
From joiecbxhz.blob.core.windows.net
Smoking Cigarettes Breath at Leah Razo blog Smoking And Brain Function Chronic smoking is related to global brain atrophy and to structural and biochemical abnormalities in anterior frontal regions,. In most studies, exposure to smoke is associated with increased risk for negative preclinical and cognitive outcomes in younger people as well. Smoking reinforcement could be due to the initial cognitive improvement, that is, individuals can learn that smoking temporarily increases. Cigarette. Smoking And Brain Function.
From www.vecteezy.com
no tobacco, smoking negative effect for brain 10596137 Vector Art at Smoking And Brain Function In most studies, exposure to smoke is associated with increased risk for negative preclinical and cognitive outcomes in younger people as well. Cigarette smoking has a major impact on global health and morbidity, and positron emission tomographic research has. Chronic smoking is related to global brain atrophy and to structural and biochemical abnormalities in anterior frontal regions,. Smoking reinforcement could. Smoking And Brain Function.
From www.thedailybeast.com
Brain Lesions Caused By Strokes Led to a Cure in Smokers’ Nicotine Smoking And Brain Function Cigarette smoking has a major impact on global health and morbidity, and positron emission tomographic research has. In most studies, exposure to smoke is associated with increased risk for negative preclinical and cognitive outcomes in younger people as well. Smoking reinforcement could be due to the initial cognitive improvement, that is, individuals can learn that smoking temporarily increases. Chronic smoking. Smoking And Brain Function.
From www.nature.com
Neural substrates of smoking and reward cue reactivity in smokers a Smoking And Brain Function Chronic smoking is related to global brain atrophy and to structural and biochemical abnormalities in anterior frontal regions,. Smoking reinforcement could be due to the initial cognitive improvement, that is, individuals can learn that smoking temporarily increases. In most studies, exposure to smoke is associated with increased risk for negative preclinical and cognitive outcomes in younger people as well. Cigarette. Smoking And Brain Function.
From www.dreamstime.com
Human Brain with Cigarette (clipping Path Included) Stock Illustration Smoking And Brain Function In most studies, exposure to smoke is associated with increased risk for negative preclinical and cognitive outcomes in younger people as well. Smoking reinforcement could be due to the initial cognitive improvement, that is, individuals can learn that smoking temporarily increases. Chronic smoking is related to global brain atrophy and to structural and biochemical abnormalities in anterior frontal regions,. Cigarette. Smoking And Brain Function.
From www.neurologyadvisor.com
Cognitive Function Affected by Early Adult to Midlife Smoking Smoking And Brain Function In most studies, exposure to smoke is associated with increased risk for negative preclinical and cognitive outcomes in younger people as well. Cigarette smoking has a major impact on global health and morbidity, and positron emission tomographic research has. Chronic smoking is related to global brain atrophy and to structural and biochemical abnormalities in anterior frontal regions,. Smoking reinforcement could. Smoking And Brain Function.
From www.scientificpublishing.com
Effects of Smoking Scientific Publishing Smoking And Brain Function In most studies, exposure to smoke is associated with increased risk for negative preclinical and cognitive outcomes in younger people as well. Smoking reinforcement could be due to the initial cognitive improvement, that is, individuals can learn that smoking temporarily increases. Chronic smoking is related to global brain atrophy and to structural and biochemical abnormalities in anterior frontal regions,. Cigarette. Smoking And Brain Function.