Morel Level Lesion . surgical interventions such as open debridement, techniques to close dead space, negative pressure wound therapy,. The thigh, hip, and pelvic region are the most. morel‐lavallée lesion is a closed soft tissue degloving injury caused by high‐energy violence, usually associated.
from www.ajronline.org
morel‐lavallée lesion is a closed soft tissue degloving injury caused by high‐energy violence, usually associated. surgical interventions such as open debridement, techniques to close dead space, negative pressure wound therapy,. The thigh, hip, and pelvic region are the most.
MorelLavallée Lesions of the Knee MRI Findings Compared With
Morel Level Lesion surgical interventions such as open debridement, techniques to close dead space, negative pressure wound therapy,. The thigh, hip, and pelvic region are the most. morel‐lavallée lesion is a closed soft tissue degloving injury caused by high‐energy violence, usually associated. surgical interventions such as open debridement, techniques to close dead space, negative pressure wound therapy,.
From westjem.com
MorelLavallee Lesion Initially Diagnosed as Quadriceps Contusion Morel Level Lesion The thigh, hip, and pelvic region are the most. surgical interventions such as open debridement, techniques to close dead space, negative pressure wound therapy,. morel‐lavallée lesion is a closed soft tissue degloving injury caused by high‐energy violence, usually associated. Morel Level Lesion.
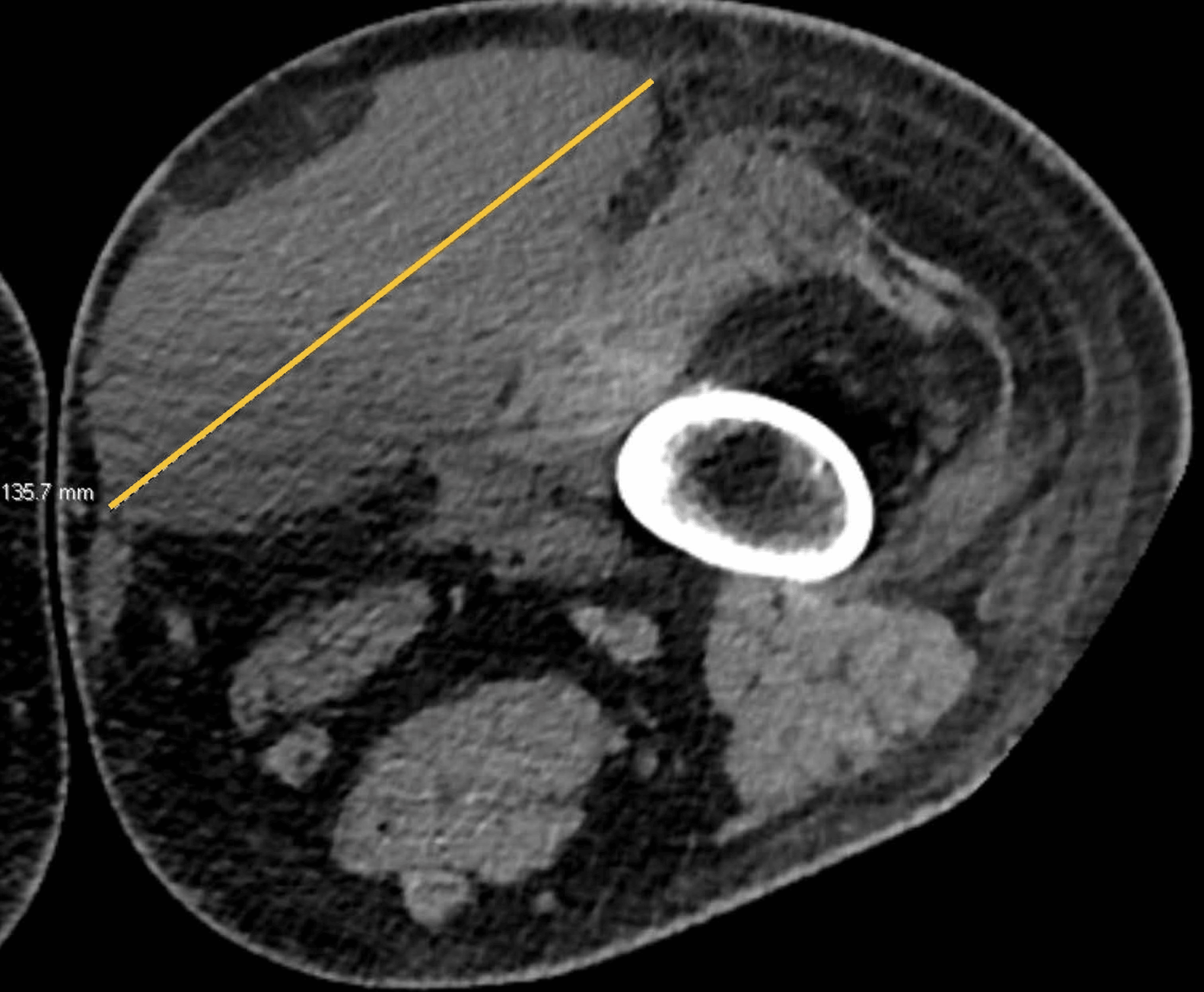
From www.orthobullets.com
MorelLavallee Lesion Trauma Orthobullets Morel Level Lesion The thigh, hip, and pelvic region are the most. morel‐lavallée lesion is a closed soft tissue degloving injury caused by high‐energy violence, usually associated. surgical interventions such as open debridement, techniques to close dead space, negative pressure wound therapy,. Morel Level Lesion.
From www.cureus.com
Cureus A Complex Surgical Case of a MorelLavallee Lesion Morel Level Lesion The thigh, hip, and pelvic region are the most. surgical interventions such as open debridement, techniques to close dead space, negative pressure wound therapy,. morel‐lavallée lesion is a closed soft tissue degloving injury caused by high‐energy violence, usually associated. Morel Level Lesion.
From mrionline.com
MorelLavallee Lesion (MLL) Diagnosis MRI Online Morel Level Lesion morel‐lavallée lesion is a closed soft tissue degloving injury caused by high‐energy violence, usually associated. surgical interventions such as open debridement, techniques to close dead space, negative pressure wound therapy,. The thigh, hip, and pelvic region are the most. Morel Level Lesion.
From www.sportsmedreview.com
MorelLavallee lesions Sports Medicine Review Morel Level Lesion The thigh, hip, and pelvic region are the most. surgical interventions such as open debridement, techniques to close dead space, negative pressure wound therapy,. morel‐lavallée lesion is a closed soft tissue degloving injury caused by high‐energy violence, usually associated. Morel Level Lesion.
From www.hmpgloballearningnetwork.com
MorelLavallee Lesion Morel Level Lesion The thigh, hip, and pelvic region are the most. morel‐lavallée lesion is a closed soft tissue degloving injury caused by high‐energy violence, usually associated. surgical interventions such as open debridement, techniques to close dead space, negative pressure wound therapy,. Morel Level Lesion.
From www.slideshare.net
Presentation1, radiological imaging of morel lavallee lesion. Morel Level Lesion surgical interventions such as open debridement, techniques to close dead space, negative pressure wound therapy,. The thigh, hip, and pelvic region are the most. morel‐lavallée lesion is a closed soft tissue degloving injury caused by high‐energy violence, usually associated. Morel Level Lesion.
From www.orthobullets.com
MorelLavallee Lesion Trauma Orthobullets Morel Level Lesion The thigh, hip, and pelvic region are the most. morel‐lavallée lesion is a closed soft tissue degloving injury caused by high‐energy violence, usually associated. surgical interventions such as open debridement, techniques to close dead space, negative pressure wound therapy,. Morel Level Lesion.
From www.sportsmedreview.com
MorelLavallee lesions Sports Medicine Review Morel Level Lesion The thigh, hip, and pelvic region are the most. surgical interventions such as open debridement, techniques to close dead space, negative pressure wound therapy,. morel‐lavallée lesion is a closed soft tissue degloving injury caused by high‐energy violence, usually associated. Morel Level Lesion.
From www.sportsinjurybulletin.com
Sports Injury Bulletin Anatomy The Lesser Known MorelLavallée Lesion Morel Level Lesion morel‐lavallée lesion is a closed soft tissue degloving injury caused by high‐energy violence, usually associated. The thigh, hip, and pelvic region are the most. surgical interventions such as open debridement, techniques to close dead space, negative pressure wound therapy,. Morel Level Lesion.
From blogs.bmj.com
MorelLavallee Lesions Diagnosis and practical management of these Morel Level Lesion morel‐lavallée lesion is a closed soft tissue degloving injury caused by high‐energy violence, usually associated. The thigh, hip, and pelvic region are the most. surgical interventions such as open debridement, techniques to close dead space, negative pressure wound therapy,. Morel Level Lesion.
From www.ajronline.org
MorelLavallée Lesions of the Knee MRI Findings Compared With Morel Level Lesion The thigh, hip, and pelvic region are the most. morel‐lavallée lesion is a closed soft tissue degloving injury caused by high‐energy violence, usually associated. surgical interventions such as open debridement, techniques to close dead space, negative pressure wound therapy,. Morel Level Lesion.
From www.hmpgloballearningnetwork.com
MorelLavallee Lesion Morel Level Lesion The thigh, hip, and pelvic region are the most. morel‐lavallée lesion is a closed soft tissue degloving injury caused by high‐energy violence, usually associated. surgical interventions such as open debridement, techniques to close dead space, negative pressure wound therapy,. Morel Level Lesion.
From blogs.bmj.com
MorelLavallee Lesions Diagnosis and practical management of these Morel Level Lesion surgical interventions such as open debridement, techniques to close dead space, negative pressure wound therapy,. morel‐lavallée lesion is a closed soft tissue degloving injury caused by high‐energy violence, usually associated. The thigh, hip, and pelvic region are the most. Morel Level Lesion.
From www.researchgate.net
(PDF) The MorelLavallée Lesion Diagnosis and Management Morel Level Lesion The thigh, hip, and pelvic region are the most. morel‐lavallée lesion is a closed soft tissue degloving injury caused by high‐energy violence, usually associated. surgical interventions such as open debridement, techniques to close dead space, negative pressure wound therapy,. Morel Level Lesion.
From www.ajronline.org
LongStanding MorelLavallée Lesions of the Trochanteric Region and Morel Level Lesion surgical interventions such as open debridement, techniques to close dead space, negative pressure wound therapy,. morel‐lavallée lesion is a closed soft tissue degloving injury caused by high‐energy violence, usually associated. The thigh, hip, and pelvic region are the most. Morel Level Lesion.
From www.sportsinjurybulletin.com
Sports Injury Bulletin Joint Injuries The Lesser Known Morel Morel Level Lesion morel‐lavallée lesion is a closed soft tissue degloving injury caused by high‐energy violence, usually associated. surgical interventions such as open debridement, techniques to close dead space, negative pressure wound therapy,. The thigh, hip, and pelvic region are the most. Morel Level Lesion.
From www.sportsmedreview.com
MorelLavallee lesions Sports Medicine Review Morel Level Lesion morel‐lavallée lesion is a closed soft tissue degloving injury caused by high‐energy violence, usually associated. surgical interventions such as open debridement, techniques to close dead space, negative pressure wound therapy,. The thigh, hip, and pelvic region are the most. Morel Level Lesion.
From www.cureus.com
Cureus Diagnosis and Treatment of a MorelLavallée Lesion in the Morel Level Lesion morel‐lavallée lesion is a closed soft tissue degloving injury caused by high‐energy violence, usually associated. surgical interventions such as open debridement, techniques to close dead space, negative pressure wound therapy,. The thigh, hip, and pelvic region are the most. Morel Level Lesion.
From mungfali.com
Morel Lavallee Lesion Thigh Morel Level Lesion morel‐lavallée lesion is a closed soft tissue degloving injury caused by high‐energy violence, usually associated. The thigh, hip, and pelvic region are the most. surgical interventions such as open debridement, techniques to close dead space, negative pressure wound therapy,. Morel Level Lesion.
From www.researchgate.net
Illustration of MorelLavallée lesions. Tangential shearing force Morel Level Lesion surgical interventions such as open debridement, techniques to close dead space, negative pressure wound therapy,. The thigh, hip, and pelvic region are the most. morel‐lavallée lesion is a closed soft tissue degloving injury caused by high‐energy violence, usually associated. Morel Level Lesion.
From www.slideshare.net
Presentation1, radiological imaging of morel lavallee lesion. Morel Level Lesion The thigh, hip, and pelvic region are the most. morel‐lavallée lesion is a closed soft tissue degloving injury caused by high‐energy violence, usually associated. surgical interventions such as open debridement, techniques to close dead space, negative pressure wound therapy,. Morel Level Lesion.
From www.slideshare.net
Presentation1, radiological imaging of morel lavallee lesion. Morel Level Lesion surgical interventions such as open debridement, techniques to close dead space, negative pressure wound therapy,. The thigh, hip, and pelvic region are the most. morel‐lavallée lesion is a closed soft tissue degloving injury caused by high‐energy violence, usually associated. Morel Level Lesion.
From sportdoctorlondon.com
A Comprehensive Guide to Morel Lavallee Lesion Morel Level Lesion morel‐lavallée lesion is a closed soft tissue degloving injury caused by high‐energy violence, usually associated. surgical interventions such as open debridement, techniques to close dead space, negative pressure wound therapy,. The thigh, hip, and pelvic region are the most. Morel Level Lesion.
From www.injuryjournal.com
Endoscopic treatment of MorelLavallee lesion Injury Morel Level Lesion The thigh, hip, and pelvic region are the most. surgical interventions such as open debridement, techniques to close dead space, negative pressure wound therapy,. morel‐lavallée lesion is a closed soft tissue degloving injury caused by high‐energy violence, usually associated. Morel Level Lesion.
From www.slideshare.net
Presentation1, radiological imaging of morel lavallee lesion. Morel Level Lesion The thigh, hip, and pelvic region are the most. morel‐lavallée lesion is a closed soft tissue degloving injury caused by high‐energy violence, usually associated. surgical interventions such as open debridement, techniques to close dead space, negative pressure wound therapy,. Morel Level Lesion.
From mungfali.com
Morel Lavallee Lesion Thigh Morel Level Lesion The thigh, hip, and pelvic region are the most. morel‐lavallée lesion is a closed soft tissue degloving injury caused by high‐energy violence, usually associated. surgical interventions such as open debridement, techniques to close dead space, negative pressure wound therapy,. Morel Level Lesion.
From www.sportsmedreview.com
MorelLavallee lesions Sports Medicine Review Morel Level Lesion morel‐lavallée lesion is a closed soft tissue degloving injury caused by high‐energy violence, usually associated. The thigh, hip, and pelvic region are the most. surgical interventions such as open debridement, techniques to close dead space, negative pressure wound therapy,. Morel Level Lesion.
From www.youtube.com
MorelLavallée lesion radiology video tutorial (MRI, ultrasound Morel Level Lesion surgical interventions such as open debridement, techniques to close dead space, negative pressure wound therapy,. The thigh, hip, and pelvic region are the most. morel‐lavallée lesion is a closed soft tissue degloving injury caused by high‐energy violence, usually associated. Morel Level Lesion.
From blogs.bmj.com
MorelLavallee Lesions Diagnosis and practical management of these Morel Level Lesion morel‐lavallée lesion is a closed soft tissue degloving injury caused by high‐energy violence, usually associated. The thigh, hip, and pelvic region are the most. surgical interventions such as open debridement, techniques to close dead space, negative pressure wound therapy,. Morel Level Lesion.
From pubs.rsna.org
MorelLavallée Lesion AIRP Best Cases in RadiologicPathologic Morel Level Lesion surgical interventions such as open debridement, techniques to close dead space, negative pressure wound therapy,. The thigh, hip, and pelvic region are the most. morel‐lavallée lesion is a closed soft tissue degloving injury caused by high‐energy violence, usually associated. Morel Level Lesion.
From www.ajronline.org
MorelLavallée Lesions of the Knee MRI Findings Compared With Morel Level Lesion The thigh, hip, and pelvic region are the most. surgical interventions such as open debridement, techniques to close dead space, negative pressure wound therapy,. morel‐lavallée lesion is a closed soft tissue degloving injury caused by high‐energy violence, usually associated. Morel Level Lesion.
From www.orthobullets.com
MorelLavallee Lesion Trauma Orthobullets Morel Level Lesion surgical interventions such as open debridement, techniques to close dead space, negative pressure wound therapy,. The thigh, hip, and pelvic region are the most. morel‐lavallée lesion is a closed soft tissue degloving injury caused by high‐energy violence, usually associated. Morel Level Lesion.
From mskultrasound.net
Hematoma and Morrel Lavallee Lesion Book Of MSK Ultrasound Morel Level Lesion The thigh, hip, and pelvic region are the most. surgical interventions such as open debridement, techniques to close dead space, negative pressure wound therapy,. morel‐lavallée lesion is a closed soft tissue degloving injury caused by high‐energy violence, usually associated. Morel Level Lesion.
From www.researchgate.net
Ultrasound image of a chronic MorelLavallée lesion presenting with Morel Level Lesion surgical interventions such as open debridement, techniques to close dead space, negative pressure wound therapy,. The thigh, hip, and pelvic region are the most. morel‐lavallée lesion is a closed soft tissue degloving injury caused by high‐energy violence, usually associated. Morel Level Lesion.