Will A Chest X Ray Show Hiatal Hernia . It will classically appear as a mass with an air fluid level behind the heart. A hiatal hernia is often discovered during a test or procedure to determine the cause of heartburn or pain in the chest or upper abdomen. Tests that can diagnose a hiatal hernia include: How is a hiatal hernia diagnosed? You may also have tests,. At other times, a hiatal hernia may be suspected in. Your healthcare provider will give you a physical exam. Most hiatal hernias are found incidentally, and they are usually discovered on routine chest radiographs or computed tomography (ct) scans performed for unrelated symptoms. They will look at your past health.
from www.eurorad.org
It will classically appear as a mass with an air fluid level behind the heart. You may also have tests,. A hiatal hernia is often discovered during a test or procedure to determine the cause of heartburn or pain in the chest or upper abdomen. They will look at your past health. Most hiatal hernias are found incidentally, and they are usually discovered on routine chest radiographs or computed tomography (ct) scans performed for unrelated symptoms. Tests that can diagnose a hiatal hernia include: How is a hiatal hernia diagnosed? Your healthcare provider will give you a physical exam. At other times, a hiatal hernia may be suspected in.
Complete hiatal hernia a case report. Eurorad
Will A Chest X Ray Show Hiatal Hernia Tests that can diagnose a hiatal hernia include: It will classically appear as a mass with an air fluid level behind the heart. You may also have tests,. A hiatal hernia is often discovered during a test or procedure to determine the cause of heartburn or pain in the chest or upper abdomen. How is a hiatal hernia diagnosed? They will look at your past health. Your healthcare provider will give you a physical exam. Most hiatal hernias are found incidentally, and they are usually discovered on routine chest radiographs or computed tomography (ct) scans performed for unrelated symptoms. At other times, a hiatal hernia may be suspected in. Tests that can diagnose a hiatal hernia include:
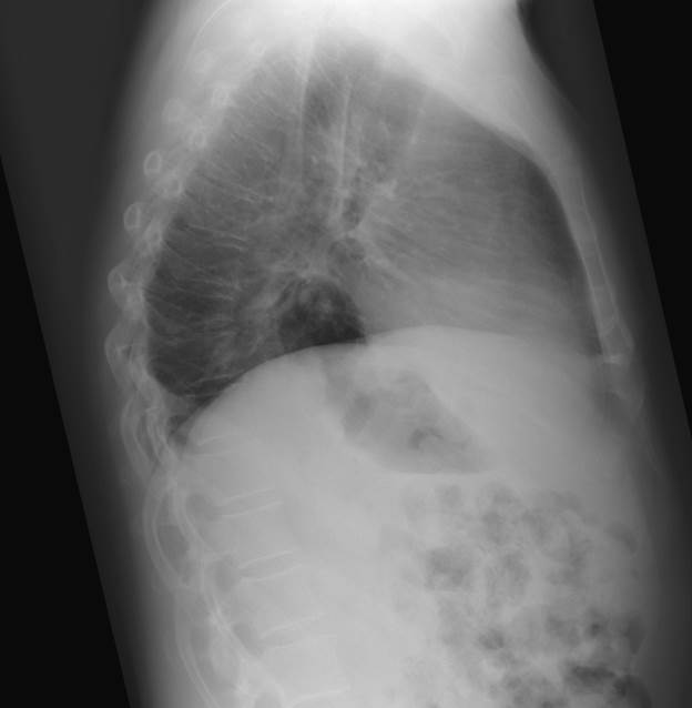
From dxogbtlhh.blob.core.windows.net
Chest X Ray Hiatal Hernia at Tamie Rowe blog Will A Chest X Ray Show Hiatal Hernia How is a hiatal hernia diagnosed? Tests that can diagnose a hiatal hernia include: At other times, a hiatal hernia may be suspected in. Most hiatal hernias are found incidentally, and they are usually discovered on routine chest radiographs or computed tomography (ct) scans performed for unrelated symptoms. They will look at your past health. Your healthcare provider will give. Will A Chest X Ray Show Hiatal Hernia.
From nephropocus.com
Hiatal hernia on Focused Cardiac Ultrasound NephroPOCUS Will A Chest X Ray Show Hiatal Hernia You may also have tests,. Your healthcare provider will give you a physical exam. Most hiatal hernias are found incidentally, and they are usually discovered on routine chest radiographs or computed tomography (ct) scans performed for unrelated symptoms. How is a hiatal hernia diagnosed? They will look at your past health. At other times, a hiatal hernia may be suspected. Will A Chest X Ray Show Hiatal Hernia.
From www.researchgate.net
Xray of the chest hiatal hernia type IV Download Scientific Diagram Will A Chest X Ray Show Hiatal Hernia How is a hiatal hernia diagnosed? Your healthcare provider will give you a physical exam. It will classically appear as a mass with an air fluid level behind the heart. Most hiatal hernias are found incidentally, and they are usually discovered on routine chest radiographs or computed tomography (ct) scans performed for unrelated symptoms. Tests that can diagnose a hiatal. Will A Chest X Ray Show Hiatal Hernia.
From www.researchgate.net
Upright chest Xray showing large intrathoracic hiatal hernia between Will A Chest X Ray Show Hiatal Hernia They will look at your past health. How is a hiatal hernia diagnosed? You may also have tests,. At other times, a hiatal hernia may be suspected in. Tests that can diagnose a hiatal hernia include: A hiatal hernia is often discovered during a test or procedure to determine the cause of heartburn or pain in the chest or upper. Will A Chest X Ray Show Hiatal Hernia.
From atlas.mudr.org
Radiology case Hiatal hernia, chest radiograph Will A Chest X Ray Show Hiatal Hernia It will classically appear as a mass with an air fluid level behind the heart. They will look at your past health. How is a hiatal hernia diagnosed? A hiatal hernia is often discovered during a test or procedure to determine the cause of heartburn or pain in the chest or upper abdomen. Your healthcare provider will give you a. Will A Chest X Ray Show Hiatal Hernia.
From www.ctisus.com
Hiatal Hernia on chest Xray X Rays Case Studies CTisus CT Scanning Will A Chest X Ray Show Hiatal Hernia Your healthcare provider will give you a physical exam. At other times, a hiatal hernia may be suspected in. Tests that can diagnose a hiatal hernia include: How is a hiatal hernia diagnosed? Most hiatal hernias are found incidentally, and they are usually discovered on routine chest radiographs or computed tomography (ct) scans performed for unrelated symptoms. They will look. Will A Chest X Ray Show Hiatal Hernia.
From pubs.sciepub.com
Figure 1. Chest Xrays Posteroanterior view. White arrow pointing Will A Chest X Ray Show Hiatal Hernia It will classically appear as a mass with an air fluid level behind the heart. How is a hiatal hernia diagnosed? Most hiatal hernias are found incidentally, and they are usually discovered on routine chest radiographs or computed tomography (ct) scans performed for unrelated symptoms. Tests that can diagnose a hiatal hernia include: At other times, a hiatal hernia may. Will A Chest X Ray Show Hiatal Hernia.
From www.svuhradiology.ie
Diaphragmatic hernia Radiology at St. Vincent's University Hospital Will A Chest X Ray Show Hiatal Hernia It will classically appear as a mass with an air fluid level behind the heart. How is a hiatal hernia diagnosed? They will look at your past health. At other times, a hiatal hernia may be suspected in. You may also have tests,. A hiatal hernia is often discovered during a test or procedure to determine the cause of heartburn. Will A Chest X Ray Show Hiatal Hernia.
From www.animalia-life.club
Paraesophageal Hernia X Ray Will A Chest X Ray Show Hiatal Hernia A hiatal hernia is often discovered during a test or procedure to determine the cause of heartburn or pain in the chest or upper abdomen. They will look at your past health. How is a hiatal hernia diagnosed? You may also have tests,. Your healthcare provider will give you a physical exam. Most hiatal hernias are found incidentally, and they. Will A Chest X Ray Show Hiatal Hernia.
From pediatricimaging.org
Pediatric Hiatal Hernia Pediatric Radiology Reference Article Will A Chest X Ray Show Hiatal Hernia Tests that can diagnose a hiatal hernia include: It will classically appear as a mass with an air fluid level behind the heart. Your healthcare provider will give you a physical exam. At other times, a hiatal hernia may be suspected in. How is a hiatal hernia diagnosed? You may also have tests,. A hiatal hernia is often discovered during. Will A Chest X Ray Show Hiatal Hernia.
From mavink.com
Rolling Hiatal Hernia Will A Chest X Ray Show Hiatal Hernia Most hiatal hernias are found incidentally, and they are usually discovered on routine chest radiographs or computed tomography (ct) scans performed for unrelated symptoms. A hiatal hernia is often discovered during a test or procedure to determine the cause of heartburn or pain in the chest or upper abdomen. They will look at your past health. At other times, a. Will A Chest X Ray Show Hiatal Hernia.
From pulmonarychronicles.com
A shadow of air within the heart Will A Chest X Ray Show Hiatal Hernia Your healthcare provider will give you a physical exam. You may also have tests,. A hiatal hernia is often discovered during a test or procedure to determine the cause of heartburn or pain in the chest or upper abdomen. How is a hiatal hernia diagnosed? Most hiatal hernias are found incidentally, and they are usually discovered on routine chest radiographs. Will A Chest X Ray Show Hiatal Hernia.
From www.cureus.com
Cureus Minding the Gap Clinical Manifestations of a Rare Type IV Will A Chest X Ray Show Hiatal Hernia How is a hiatal hernia diagnosed? A hiatal hernia is often discovered during a test or procedure to determine the cause of heartburn or pain in the chest or upper abdomen. Most hiatal hernias are found incidentally, and they are usually discovered on routine chest radiographs or computed tomography (ct) scans performed for unrelated symptoms. At other times, a hiatal. Will A Chest X Ray Show Hiatal Hernia.
From www.youtube.com
Hiatal Hernia Chest Xray YouTube Will A Chest X Ray Show Hiatal Hernia You may also have tests,. Most hiatal hernias are found incidentally, and they are usually discovered on routine chest radiographs or computed tomography (ct) scans performed for unrelated symptoms. A hiatal hernia is often discovered during a test or procedure to determine the cause of heartburn or pain in the chest or upper abdomen. At other times, a hiatal hernia. Will A Chest X Ray Show Hiatal Hernia.
From www.eurorad.org
Complete hiatal hernia a case report. Eurorad Will A Chest X Ray Show Hiatal Hernia How is a hiatal hernia diagnosed? It will classically appear as a mass with an air fluid level behind the heart. A hiatal hernia is often discovered during a test or procedure to determine the cause of heartburn or pain in the chest or upper abdomen. They will look at your past health. Tests that can diagnose a hiatal hernia. Will A Chest X Ray Show Hiatal Hernia.
From www.wikiwand.com
Hiatal hernia Wikiwand Will A Chest X Ray Show Hiatal Hernia It will classically appear as a mass with an air fluid level behind the heart. A hiatal hernia is often discovered during a test or procedure to determine the cause of heartburn or pain in the chest or upper abdomen. Most hiatal hernias are found incidentally, and they are usually discovered on routine chest radiographs or computed tomography (ct) scans. Will A Chest X Ray Show Hiatal Hernia.
From umem.org
Department of Emergency Medicine Will A Chest X Ray Show Hiatal Hernia Your healthcare provider will give you a physical exam. At other times, a hiatal hernia may be suspected in. It will classically appear as a mass with an air fluid level behind the heart. A hiatal hernia is often discovered during a test or procedure to determine the cause of heartburn or pain in the chest or upper abdomen. Tests. Will A Chest X Ray Show Hiatal Hernia.
From www.researchgate.net
Chest Xray in the PA view showing a large hiatal hernia with gaseous Will A Chest X Ray Show Hiatal Hernia They will look at your past health. How is a hiatal hernia diagnosed? Your healthcare provider will give you a physical exam. It will classically appear as a mass with an air fluid level behind the heart. At other times, a hiatal hernia may be suspected in. A hiatal hernia is often discovered during a test or procedure to determine. Will A Chest X Ray Show Hiatal Hernia.
From jetem.org
Incidental Hiatal Hernia on Chest Xray JETem Will A Chest X Ray Show Hiatal Hernia How is a hiatal hernia diagnosed? At other times, a hiatal hernia may be suspected in. Most hiatal hernias are found incidentally, and they are usually discovered on routine chest radiographs or computed tomography (ct) scans performed for unrelated symptoms. Your healthcare provider will give you a physical exam. A hiatal hernia is often discovered during a test or procedure. Will A Chest X Ray Show Hiatal Hernia.
From dxogbtlhh.blob.core.windows.net
Chest X Ray Hiatal Hernia at Tamie Rowe blog Will A Chest X Ray Show Hiatal Hernia How is a hiatal hernia diagnosed? Most hiatal hernias are found incidentally, and they are usually discovered on routine chest radiographs or computed tomography (ct) scans performed for unrelated symptoms. At other times, a hiatal hernia may be suspected in. You may also have tests,. Your healthcare provider will give you a physical exam. A hiatal hernia is often discovered. Will A Chest X Ray Show Hiatal Hernia.
From www.lecturio.com
Hiatal Hernia (Stomach Hernia) — Diagnosis and Treatment Lecturio Will A Chest X Ray Show Hiatal Hernia At other times, a hiatal hernia may be suspected in. You may also have tests,. Tests that can diagnose a hiatal hernia include: How is a hiatal hernia diagnosed? A hiatal hernia is often discovered during a test or procedure to determine the cause of heartburn or pain in the chest or upper abdomen. They will look at your past. Will A Chest X Ray Show Hiatal Hernia.
From www.ctisus.com
Hiatal Hernia on chest Xray X Rays Case Studies CTisus CT Scanning Will A Chest X Ray Show Hiatal Hernia Most hiatal hernias are found incidentally, and they are usually discovered on routine chest radiographs or computed tomography (ct) scans performed for unrelated symptoms. A hiatal hernia is often discovered during a test or procedure to determine the cause of heartburn or pain in the chest or upper abdomen. It will classically appear as a mass with an air fluid. Will A Chest X Ray Show Hiatal Hernia.
From dxogbtlhh.blob.core.windows.net
Chest X Ray Hiatal Hernia at Tamie Rowe blog Will A Chest X Ray Show Hiatal Hernia Most hiatal hernias are found incidentally, and they are usually discovered on routine chest radiographs or computed tomography (ct) scans performed for unrelated symptoms. At other times, a hiatal hernia may be suspected in. Your healthcare provider will give you a physical exam. A hiatal hernia is often discovered during a test or procedure to determine the cause of heartburn. Will A Chest X Ray Show Hiatal Hernia.
From libbymilliken.blogspot.com
hiatal hernia pediatric radiology Libby Milliken Will A Chest X Ray Show Hiatal Hernia Most hiatal hernias are found incidentally, and they are usually discovered on routine chest radiographs or computed tomography (ct) scans performed for unrelated symptoms. Tests that can diagnose a hiatal hernia include: A hiatal hernia is often discovered during a test or procedure to determine the cause of heartburn or pain in the chest or upper abdomen. You may also. Will A Chest X Ray Show Hiatal Hernia.
From www.wikiwand.com
Hiatal hernia Wikiwand Will A Chest X Ray Show Hiatal Hernia Tests that can diagnose a hiatal hernia include: At other times, a hiatal hernia may be suspected in. A hiatal hernia is often discovered during a test or procedure to determine the cause of heartburn or pain in the chest or upper abdomen. Your healthcare provider will give you a physical exam. It will classically appear as a mass with. Will A Chest X Ray Show Hiatal Hernia.
From mavink.com
Hiatal Hernia Radiograph Will A Chest X Ray Show Hiatal Hernia Your healthcare provider will give you a physical exam. How is a hiatal hernia diagnosed? It will classically appear as a mass with an air fluid level behind the heart. Most hiatal hernias are found incidentally, and they are usually discovered on routine chest radiographs or computed tomography (ct) scans performed for unrelated symptoms. They will look at your past. Will A Chest X Ray Show Hiatal Hernia.
From www.animalia-life.club
Paraesophageal Hernia X Ray Will A Chest X Ray Show Hiatal Hernia They will look at your past health. It will classically appear as a mass with an air fluid level behind the heart. How is a hiatal hernia diagnosed? At other times, a hiatal hernia may be suspected in. Most hiatal hernias are found incidentally, and they are usually discovered on routine chest radiographs or computed tomography (ct) scans performed for. Will A Chest X Ray Show Hiatal Hernia.
From www.cureus.com
Cureus Gastric Volvulus A Multidisciplinary Approach and Will A Chest X Ray Show Hiatal Hernia Tests that can diagnose a hiatal hernia include: How is a hiatal hernia diagnosed? A hiatal hernia is often discovered during a test or procedure to determine the cause of heartburn or pain in the chest or upper abdomen. Most hiatal hernias are found incidentally, and they are usually discovered on routine chest radiographs or computed tomography (ct) scans performed. Will A Chest X Ray Show Hiatal Hernia.
From www.sexizpix.com
Hiatal Hernia On Chest X Ray Sexiz Pix Will A Chest X Ray Show Hiatal Hernia It will classically appear as a mass with an air fluid level behind the heart. Your healthcare provider will give you a physical exam. Tests that can diagnose a hiatal hernia include: Most hiatal hernias are found incidentally, and they are usually discovered on routine chest radiographs or computed tomography (ct) scans performed for unrelated symptoms. A hiatal hernia is. Will A Chest X Ray Show Hiatal Hernia.
From radiopaedia.org
Image Will A Chest X Ray Show Hiatal Hernia At other times, a hiatal hernia may be suspected in. How is a hiatal hernia diagnosed? Your healthcare provider will give you a physical exam. A hiatal hernia is often discovered during a test or procedure to determine the cause of heartburn or pain in the chest or upper abdomen. Most hiatal hernias are found incidentally, and they are usually. Will A Chest X Ray Show Hiatal Hernia.
From ar.inspiredpencil.com
Sliding Hiatal Hernia Xray Will A Chest X Ray Show Hiatal Hernia At other times, a hiatal hernia may be suspected in. A hiatal hernia is often discovered during a test or procedure to determine the cause of heartburn or pain in the chest or upper abdomen. Most hiatal hernias are found incidentally, and they are usually discovered on routine chest radiographs or computed tomography (ct) scans performed for unrelated symptoms. Tests. Will A Chest X Ray Show Hiatal Hernia.
From www.wikidoc.org
Hiatus hernia chest x ray wikidoc Will A Chest X Ray Show Hiatal Hernia How is a hiatal hernia diagnosed? Tests that can diagnose a hiatal hernia include: Most hiatal hernias are found incidentally, and they are usually discovered on routine chest radiographs or computed tomography (ct) scans performed for unrelated symptoms. It will classically appear as a mass with an air fluid level behind the heart. A hiatal hernia is often discovered during. Will A Chest X Ray Show Hiatal Hernia.
From www.sciencephoto.com
Hiatus hernia, Xray Stock Image M170/0300 Science Photo Library Will A Chest X Ray Show Hiatal Hernia How is a hiatal hernia diagnosed? Tests that can diagnose a hiatal hernia include: At other times, a hiatal hernia may be suspected in. They will look at your past health. Most hiatal hernias are found incidentally, and they are usually discovered on routine chest radiographs or computed tomography (ct) scans performed for unrelated symptoms. You may also have tests,.. Will A Chest X Ray Show Hiatal Hernia.
From www.youtube.com
Chest xray, Hiatus Hernia YouTube Will A Chest X Ray Show Hiatal Hernia Your healthcare provider will give you a physical exam. A hiatal hernia is often discovered during a test or procedure to determine the cause of heartburn or pain in the chest or upper abdomen. It will classically appear as a mass with an air fluid level behind the heart. How is a hiatal hernia diagnosed? Most hiatal hernias are found. Will A Chest X Ray Show Hiatal Hernia.
From mavink.com
Hiatal Hernia Chest X Ray Will A Chest X Ray Show Hiatal Hernia How is a hiatal hernia diagnosed? Your healthcare provider will give you a physical exam. A hiatal hernia is often discovered during a test or procedure to determine the cause of heartburn or pain in the chest or upper abdomen. They will look at your past health. At other times, a hiatal hernia may be suspected in. You may also. Will A Chest X Ray Show Hiatal Hernia.