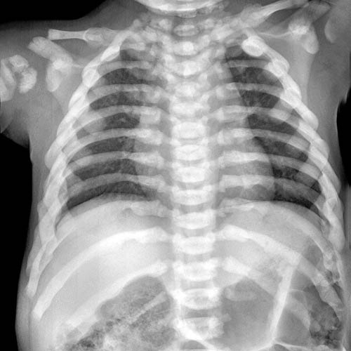
Define Marble Bone Disease . Marble bone disease, rare disorder in which the bones become extremely dense, hard, and brittle. Osteopetrosis, or marble bone disease, is a rare skeletal disorder due to a defective function of the osteoclasts. The disease progresses as long as bone growth. Therefore, the disease is often referred to colloquially as “marble bone disease.” the disease was originally described by a radiologist. Osteopetrosis is a congenital metabolic bone disease caused by defective osteoclastic resorption of immature bone that presents with increased frequency of long bone fractures, cranial nerve palsies,. Excessive formation of dense trabecular bone and calcified cartilage, especially in long bones, leading to obliteration of marrow spaces and to anemia.
from www.youtube.com
Excessive formation of dense trabecular bone and calcified cartilage, especially in long bones, leading to obliteration of marrow spaces and to anemia. Osteopetrosis is a congenital metabolic bone disease caused by defective osteoclastic resorption of immature bone that presents with increased frequency of long bone fractures, cranial nerve palsies,. Marble bone disease, rare disorder in which the bones become extremely dense, hard, and brittle. Therefore, the disease is often referred to colloquially as “marble bone disease.” the disease was originally described by a radiologist. Osteopetrosis, or marble bone disease, is a rare skeletal disorder due to a defective function of the osteoclasts. The disease progresses as long as bone growth.
Osteopetrosis (Marble Bone Disease) Causes, Symptoms, Diagnosis, Treatment YouTube
Define Marble Bone Disease The disease progresses as long as bone growth. Excessive formation of dense trabecular bone and calcified cartilage, especially in long bones, leading to obliteration of marrow spaces and to anemia. Osteopetrosis is a congenital metabolic bone disease caused by defective osteoclastic resorption of immature bone that presents with increased frequency of long bone fractures, cranial nerve palsies,. Marble bone disease, rare disorder in which the bones become extremely dense, hard, and brittle. The disease progresses as long as bone growth. Therefore, the disease is often referred to colloquially as “marble bone disease.” the disease was originally described by a radiologist. Osteopetrosis, or marble bone disease, is a rare skeletal disorder due to a defective function of the osteoclasts.
From journals.lww.com
A rare cause of anemia and hepatosplenomegalymarble bone di... Paediatric Nephrology Journal Define Marble Bone Disease Osteopetrosis, or marble bone disease, is a rare skeletal disorder due to a defective function of the osteoclasts. Therefore, the disease is often referred to colloquially as “marble bone disease.” the disease was originally described by a radiologist. Marble bone disease, rare disorder in which the bones become extremely dense, hard, and brittle. Osteopetrosis is a congenital metabolic bone disease. Define Marble Bone Disease.
From www.researchgate.net
(PDF) Marble bone disease and the Anaesthesiologist Define Marble Bone Disease The disease progresses as long as bone growth. Osteopetrosis, or marble bone disease, is a rare skeletal disorder due to a defective function of the osteoclasts. Osteopetrosis is a congenital metabolic bone disease caused by defective osteoclastic resorption of immature bone that presents with increased frequency of long bone fractures, cranial nerve palsies,. Therefore, the disease is often referred to. Define Marble Bone Disease.
From humanap.community.uaf.edu
OSTEOPETROSIS (MARBLE BONE DISEASE) Human STEAM Define Marble Bone Disease Excessive formation of dense trabecular bone and calcified cartilage, especially in long bones, leading to obliteration of marrow spaces and to anemia. The disease progresses as long as bone growth. Therefore, the disease is often referred to colloquially as “marble bone disease.” the disease was originally described by a radiologist. Osteopetrosis, or marble bone disease, is a rare skeletal disorder. Define Marble Bone Disease.
From curofy.com
OSTEOPETROSIS or MARBLE BONE DISEASE Define Marble Bone Disease Marble bone disease, rare disorder in which the bones become extremely dense, hard, and brittle. Therefore, the disease is often referred to colloquially as “marble bone disease.” the disease was originally described by a radiologist. Excessive formation of dense trabecular bone and calcified cartilage, especially in long bones, leading to obliteration of marrow spaces and to anemia. Osteopetrosis is a. Define Marble Bone Disease.
From www.slideserve.com
PPT bone diseases PowerPoint Presentation, free download ID2153457 Define Marble Bone Disease Osteopetrosis is a congenital metabolic bone disease caused by defective osteoclastic resorption of immature bone that presents with increased frequency of long bone fractures, cranial nerve palsies,. Marble bone disease, rare disorder in which the bones become extremely dense, hard, and brittle. Excessive formation of dense trabecular bone and calcified cartilage, especially in long bones, leading to obliteration of marrow. Define Marble Bone Disease.
From www.slideserve.com
PPT PowerPoint Define Marble Bone Disease Osteopetrosis is a congenital metabolic bone disease caused by defective osteoclastic resorption of immature bone that presents with increased frequency of long bone fractures, cranial nerve palsies,. Osteopetrosis, or marble bone disease, is a rare skeletal disorder due to a defective function of the osteoclasts. The disease progresses as long as bone growth. Excessive formation of dense trabecular bone and. Define Marble Bone Disease.
From www.researchgate.net
(PDF) Osteopetrosis (Marble Bone Disease) A Rare Disease in Children Define Marble Bone Disease Osteopetrosis, or marble bone disease, is a rare skeletal disorder due to a defective function of the osteoclasts. Excessive formation of dense trabecular bone and calcified cartilage, especially in long bones, leading to obliteration of marrow spaces and to anemia. The disease progresses as long as bone growth. Osteopetrosis is a congenital metabolic bone disease caused by defective osteoclastic resorption. Define Marble Bone Disease.
From www.cureus.com
Cureus Marble Bone Disease A Rare Bone Disorder Define Marble Bone Disease Marble bone disease, rare disorder in which the bones become extremely dense, hard, and brittle. Excessive formation of dense trabecular bone and calcified cartilage, especially in long bones, leading to obliteration of marrow spaces and to anemia. The disease progresses as long as bone growth. Therefore, the disease is often referred to colloquially as “marble bone disease.” the disease was. Define Marble Bone Disease.
From www.cureus.com
Cureus Marble Bone Disease A Rare Bone Disorder Define Marble Bone Disease Osteopetrosis is a congenital metabolic bone disease caused by defective osteoclastic resorption of immature bone that presents with increased frequency of long bone fractures, cranial nerve palsies,. The disease progresses as long as bone growth. Therefore, the disease is often referred to colloquially as “marble bone disease.” the disease was originally described by a radiologist. Osteopetrosis, or marble bone disease,. Define Marble Bone Disease.
From www.youtube.com
Osteopetrosis (Marble Bone Disease) Causes, Symptoms, Diagnosis, Treatment YouTube Define Marble Bone Disease Osteopetrosis is a congenital metabolic bone disease caused by defective osteoclastic resorption of immature bone that presents with increased frequency of long bone fractures, cranial nerve palsies,. The disease progresses as long as bone growth. Osteopetrosis, or marble bone disease, is a rare skeletal disorder due to a defective function of the osteoclasts. Therefore, the disease is often referred to. Define Marble Bone Disease.
From www.semanticscholar.org
Figure 1 from Osteopetrosis (Marble Bone Disease) A Rare Disease in Children Semantic Scholar Define Marble Bone Disease Therefore, the disease is often referred to colloquially as “marble bone disease.” the disease was originally described by a radiologist. Excessive formation of dense trabecular bone and calcified cartilage, especially in long bones, leading to obliteration of marrow spaces and to anemia. Osteopetrosis is a congenital metabolic bone disease caused by defective osteoclastic resorption of immature bone that presents with. Define Marble Bone Disease.
From www.emaze.com
Marble Bone Disease at emaze Presentation Define Marble Bone Disease Osteopetrosis is a congenital metabolic bone disease caused by defective osteoclastic resorption of immature bone that presents with increased frequency of long bone fractures, cranial nerve palsies,. Osteopetrosis, or marble bone disease, is a rare skeletal disorder due to a defective function of the osteoclasts. Excessive formation of dense trabecular bone and calcified cartilage, especially in long bones, leading to. Define Marble Bone Disease.
From medizzy.com
Albers Schönberg disease? MEDizzy Define Marble Bone Disease Therefore, the disease is often referred to colloquially as “marble bone disease.” the disease was originally described by a radiologist. Excessive formation of dense trabecular bone and calcified cartilage, especially in long bones, leading to obliteration of marrow spaces and to anemia. Osteopetrosis, or marble bone disease, is a rare skeletal disorder due to a defective function of the osteoclasts.. Define Marble Bone Disease.
From healthjade.net
Osteopetrosis causes, types, symptoms, diagnosis, treatment & prognosis Define Marble Bone Disease Osteopetrosis, or marble bone disease, is a rare skeletal disorder due to a defective function of the osteoclasts. Therefore, the disease is often referred to colloquially as “marble bone disease.” the disease was originally described by a radiologist. Excessive formation of dense trabecular bone and calcified cartilage, especially in long bones, leading to obliteration of marrow spaces and to anemia.. Define Marble Bone Disease.
From www.slideserve.com
PPT Musculoskeletal Disease PowerPoint Presentation, free download ID3128210 Define Marble Bone Disease Osteopetrosis, or marble bone disease, is a rare skeletal disorder due to a defective function of the osteoclasts. Marble bone disease, rare disorder in which the bones become extremely dense, hard, and brittle. The disease progresses as long as bone growth. Excessive formation of dense trabecular bone and calcified cartilage, especially in long bones, leading to obliteration of marrow spaces. Define Marble Bone Disease.
From healthtian.com
What Is Marble Bone Disease? Healthtian Define Marble Bone Disease Osteopetrosis is a congenital metabolic bone disease caused by defective osteoclastic resorption of immature bone that presents with increased frequency of long bone fractures, cranial nerve palsies,. Therefore, the disease is often referred to colloquially as “marble bone disease.” the disease was originally described by a radiologist. Marble bone disease, rare disorder in which the bones become extremely dense, hard,. Define Marble Bone Disease.
From www.semanticscholar.org
Figure 3 from Osteopetrosis (Marble Bone Disease) A Rare Disease in Children Semantic Scholar Define Marble Bone Disease Osteopetrosis, or marble bone disease, is a rare skeletal disorder due to a defective function of the osteoclasts. Therefore, the disease is often referred to colloquially as “marble bone disease.” the disease was originally described by a radiologist. The disease progresses as long as bone growth. Osteopetrosis is a congenital metabolic bone disease caused by defective osteoclastic resorption of immature. Define Marble Bone Disease.
From www.slideserve.com
PPT Osteogenesis imperfecta (OI) (Brittle bone/ Lobstein’s disease) PowerPoint Presentation Define Marble Bone Disease The disease progresses as long as bone growth. Excessive formation of dense trabecular bone and calcified cartilage, especially in long bones, leading to obliteration of marrow spaces and to anemia. Osteopetrosis is a congenital metabolic bone disease caused by defective osteoclastic resorption of immature bone that presents with increased frequency of long bone fractures, cranial nerve palsies,. Marble bone disease,. Define Marble Bone Disease.
From mavink.com
Marble Bone Disease Osteopetrosis Define Marble Bone Disease Marble bone disease, rare disorder in which the bones become extremely dense, hard, and brittle. Excessive formation of dense trabecular bone and calcified cartilage, especially in long bones, leading to obliteration of marrow spaces and to anemia. Osteopetrosis is a congenital metabolic bone disease caused by defective osteoclastic resorption of immature bone that presents with increased frequency of long bone. Define Marble Bone Disease.
From www.researchgate.net
(PDF) Prosthetic Rehabilitation in Marble Bone Disease Define Marble Bone Disease Osteopetrosis is a congenital metabolic bone disease caused by defective osteoclastic resorption of immature bone that presents with increased frequency of long bone fractures, cranial nerve palsies,. Osteopetrosis, or marble bone disease, is a rare skeletal disorder due to a defective function of the osteoclasts. Therefore, the disease is often referred to colloquially as “marble bone disease.” the disease was. Define Marble Bone Disease.
From www.orthopaedicsandtraumajournal.co.uk
Marble bone disease Current Orthopaedics Define Marble Bone Disease Therefore, the disease is often referred to colloquially as “marble bone disease.” the disease was originally described by a radiologist. Osteopetrosis is a congenital metabolic bone disease caused by defective osteoclastic resorption of immature bone that presents with increased frequency of long bone fractures, cranial nerve palsies,. Excessive formation of dense trabecular bone and calcified cartilage, especially in long bones,. Define Marble Bone Disease.
From slidetodoc.com
Developmental Disorders of the Bone Osteogenesis Imperfecta Brittle Define Marble Bone Disease Osteopetrosis is a congenital metabolic bone disease caused by defective osteoclastic resorption of immature bone that presents with increased frequency of long bone fractures, cranial nerve palsies,. Osteopetrosis, or marble bone disease, is a rare skeletal disorder due to a defective function of the osteoclasts. Excessive formation of dense trabecular bone and calcified cartilage, especially in long bones, leading to. Define Marble Bone Disease.
From www.youtube.com
Osteopetrosis/Marble bone disease Important Notes Diseases of Bone and Joint 1 Oral Define Marble Bone Disease Marble bone disease, rare disorder in which the bones become extremely dense, hard, and brittle. Osteopetrosis is a congenital metabolic bone disease caused by defective osteoclastic resorption of immature bone that presents with increased frequency of long bone fractures, cranial nerve palsies,. Osteopetrosis, or marble bone disease, is a rare skeletal disorder due to a defective function of the osteoclasts.. Define Marble Bone Disease.
From www.slideserve.com
PPT Developmental Disorders of the Bone PowerPoint Presentation, free download ID8674600 Define Marble Bone Disease The disease progresses as long as bone growth. Osteopetrosis, or marble bone disease, is a rare skeletal disorder due to a defective function of the osteoclasts. Marble bone disease, rare disorder in which the bones become extremely dense, hard, and brittle. Therefore, the disease is often referred to colloquially as “marble bone disease.” the disease was originally described by a. Define Marble Bone Disease.
From pathologyandponies.ca
Marble Bone Disease Pathology and Ponies Define Marble Bone Disease Marble bone disease, rare disorder in which the bones become extremely dense, hard, and brittle. The disease progresses as long as bone growth. Therefore, the disease is often referred to colloquially as “marble bone disease.” the disease was originally described by a radiologist. Excessive formation of dense trabecular bone and calcified cartilage, especially in long bones, leading to obliteration of. Define Marble Bone Disease.
From www.osc-ortho.com
What are Osteoporosis & Osteopenia? Orthopaedic and Spine Center of Newport News Define Marble Bone Disease Osteopetrosis is a congenital metabolic bone disease caused by defective osteoclastic resorption of immature bone that presents with increased frequency of long bone fractures, cranial nerve palsies,. Marble bone disease, rare disorder in which the bones become extremely dense, hard, and brittle. The disease progresses as long as bone growth. Osteopetrosis, or marble bone disease, is a rare skeletal disorder. Define Marble Bone Disease.
From pathologyandponies.ca
Marble Bone Disease Pathology and Ponies Define Marble Bone Disease Osteopetrosis, or marble bone disease, is a rare skeletal disorder due to a defective function of the osteoclasts. Osteopetrosis is a congenital metabolic bone disease caused by defective osteoclastic resorption of immature bone that presents with increased frequency of long bone fractures, cranial nerve palsies,. Therefore, the disease is often referred to colloquially as “marble bone disease.” the disease was. Define Marble Bone Disease.
From www.youtube.com
OSTEOPETROSIS OR MARBLE BONE DISEASE EPISODE 47 YouTube Define Marble Bone Disease The disease progresses as long as bone growth. Osteopetrosis is a congenital metabolic bone disease caused by defective osteoclastic resorption of immature bone that presents with increased frequency of long bone fractures, cranial nerve palsies,. Marble bone disease, rare disorder in which the bones become extremely dense, hard, and brittle. Osteopetrosis, or marble bone disease, is a rare skeletal disorder. Define Marble Bone Disease.
From www.youtube.com
Mnemonic For Osteopetrosis Clinical Features Marble Bone Disease Signs & Symptoms Dr Mubashar Define Marble Bone Disease Osteopetrosis, or marble bone disease, is a rare skeletal disorder due to a defective function of the osteoclasts. Marble bone disease, rare disorder in which the bones become extremely dense, hard, and brittle. The disease progresses as long as bone growth. Therefore, the disease is often referred to colloquially as “marble bone disease.” the disease was originally described by a. Define Marble Bone Disease.
From humanap.community.uaf.edu
The Marble Bone Disease Human STEAM Define Marble Bone Disease The disease progresses as long as bone growth. Therefore, the disease is often referred to colloquially as “marble bone disease.” the disease was originally described by a radiologist. Osteopetrosis, or marble bone disease, is a rare skeletal disorder due to a defective function of the osteoclasts. Marble bone disease, rare disorder in which the bones become extremely dense, hard, and. Define Marble Bone Disease.
From richkosh.blogspot.com
EXAMS AND ME Skull X Ray and Pathologies Define Marble Bone Disease The disease progresses as long as bone growth. Excessive formation of dense trabecular bone and calcified cartilage, especially in long bones, leading to obliteration of marrow spaces and to anemia. Osteopetrosis, or marble bone disease, is a rare skeletal disorder due to a defective function of the osteoclasts. Marble bone disease, rare disorder in which the bones become extremely dense,. Define Marble Bone Disease.
From www.researchgate.net
(PDF) Marble Bone Disease A Rare Bone Disorder Define Marble Bone Disease Osteopetrosis is a congenital metabolic bone disease caused by defective osteoclastic resorption of immature bone that presents with increased frequency of long bone fractures, cranial nerve palsies,. Osteopetrosis, or marble bone disease, is a rare skeletal disorder due to a defective function of the osteoclasts. Therefore, the disease is often referred to colloquially as “marble bone disease.” the disease was. Define Marble Bone Disease.
From mavink.com
Marble Bone Disease Osteopetrosis Define Marble Bone Disease Osteopetrosis, or marble bone disease, is a rare skeletal disorder due to a defective function of the osteoclasts. Excessive formation of dense trabecular bone and calcified cartilage, especially in long bones, leading to obliteration of marrow spaces and to anemia. Osteopetrosis is a congenital metabolic bone disease caused by defective osteoclastic resorption of immature bone that presents with increased frequency. Define Marble Bone Disease.
From www.scribd.com
Osteopetrosis (Marble Bones, AlbersSchönberg Disease) Definition PDF Bone Histology Define Marble Bone Disease Osteopetrosis is a congenital metabolic bone disease caused by defective osteoclastic resorption of immature bone that presents with increased frequency of long bone fractures, cranial nerve palsies,. Excessive formation of dense trabecular bone and calcified cartilage, especially in long bones, leading to obliteration of marrow spaces and to anemia. Marble bone disease, rare disorder in which the bones become extremely. Define Marble Bone Disease.
From www.cureus.com
Cureus Marble Bone Disease A Rare Bone Disorder Define Marble Bone Disease Osteopetrosis, or marble bone disease, is a rare skeletal disorder due to a defective function of the osteoclasts. The disease progresses as long as bone growth. Osteopetrosis is a congenital metabolic bone disease caused by defective osteoclastic resorption of immature bone that presents with increased frequency of long bone fractures, cranial nerve palsies,. Excessive formation of dense trabecular bone and. Define Marble Bone Disease.