Braces Slight Underbite . Braces are a common underbite treatment. Read more about this dental condition and how to fix an underbite in children or adults with. Braces alone typically cannot correct an underbite. An underbite, a type of teeth misalignment, occurs when the lower teeth protrude beyond the upper front teeth. While braces are primarily used to straighten misaligned teeth and correct bite issues such as overbites, crossbites, and spacing problems, correcting an underbite often requires a comprehensive treatment plan that may involve other interventions, such as jaw. An underbite is a dental word that refers to a protruding lower jaw. The degree of the underbite varies from moderate to. An underbite is a condition where the lower jaw protrudes outwards more than the upper jaw,making the bottom front teeth stick out. This results in an extension of the lower jaw beyond the upper teeth. In lots of people, an underbite jaw is barely noticeable, with the bottom teeth resting just slightly in front of the top teeth. It ranges from mild, affecting only teeth, to severe, involving the jaw. Do you need underbite correction? Can braces fix an underbite?
from www.nagato.cc
While braces are primarily used to straighten misaligned teeth and correct bite issues such as overbites, crossbites, and spacing problems, correcting an underbite often requires a comprehensive treatment plan that may involve other interventions, such as jaw. Can braces fix an underbite? Braces are a common underbite treatment. Do you need underbite correction? Read more about this dental condition and how to fix an underbite in children or adults with. Braces alone typically cannot correct an underbite. In lots of people, an underbite jaw is barely noticeable, with the bottom teeth resting just slightly in front of the top teeth. This results in an extension of the lower jaw beyond the upper teeth. It ranges from mild, affecting only teeth, to severe, involving the jaw. An underbite, a type of teeth misalignment, occurs when the lower teeth protrude beyond the upper front teeth.
How To Fix Underbite With Braces
Braces Slight Underbite This results in an extension of the lower jaw beyond the upper teeth. The degree of the underbite varies from moderate to. It ranges from mild, affecting only teeth, to severe, involving the jaw. An underbite is a condition where the lower jaw protrudes outwards more than the upper jaw,making the bottom front teeth stick out. While braces are primarily used to straighten misaligned teeth and correct bite issues such as overbites, crossbites, and spacing problems, correcting an underbite often requires a comprehensive treatment plan that may involve other interventions, such as jaw. Can braces fix an underbite? In lots of people, an underbite jaw is barely noticeable, with the bottom teeth resting just slightly in front of the top teeth. Do you need underbite correction? This results in an extension of the lower jaw beyond the upper teeth. An underbite is a dental word that refers to a protruding lower jaw. Braces alone typically cannot correct an underbite. Read more about this dental condition and how to fix an underbite in children or adults with. Braces are a common underbite treatment. An underbite, a type of teeth misalignment, occurs when the lower teeth protrude beyond the upper front teeth.
From www.youtube.com
1 Year Underbite Transformation with Braces! Update/Recap YouTube Braces Slight Underbite While braces are primarily used to straighten misaligned teeth and correct bite issues such as overbites, crossbites, and spacing problems, correcting an underbite often requires a comprehensive treatment plan that may involve other interventions, such as jaw. Do you need underbite correction? An underbite is a condition where the lower jaw protrudes outwards more than the upper jaw,making the bottom. Braces Slight Underbite.
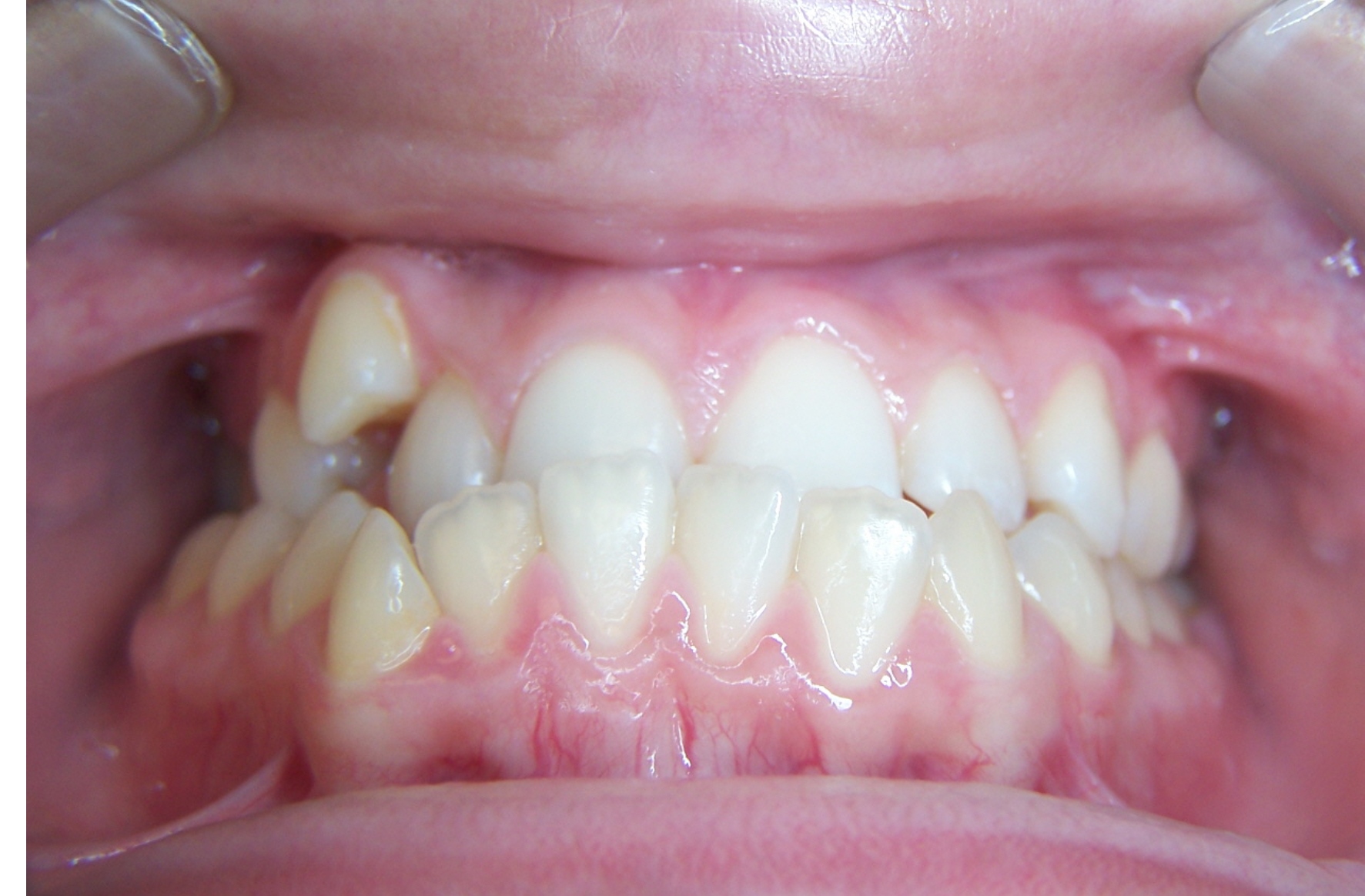
From cejnvsho.blob.core.windows.net
Underbite Teeth Braces at Kerry Denning blog Braces Slight Underbite It ranges from mild, affecting only teeth, to severe, involving the jaw. An underbite is a condition where the lower jaw protrudes outwards more than the upper jaw,making the bottom front teeth stick out. Read more about this dental condition and how to fix an underbite in children or adults with. In lots of people, an underbite jaw is barely. Braces Slight Underbite.
From yourazbraces.com
How Do Braces Fix Underbites? Premier Orthodontics Braces Slight Underbite An underbite is a dental word that refers to a protruding lower jaw. This results in an extension of the lower jaw beyond the upper teeth. An underbite is a condition where the lower jaw protrudes outwards more than the upper jaw,making the bottom front teeth stick out. Do you need underbite correction? Can braces fix an underbite? An underbite,. Braces Slight Underbite.
From cejnvsho.blob.core.windows.net
Underbite Teeth Braces at Kerry Denning blog Braces Slight Underbite Can braces fix an underbite? An underbite is a dental word that refers to a protruding lower jaw. In lots of people, an underbite jaw is barely noticeable, with the bottom teeth resting just slightly in front of the top teeth. An underbite is a condition where the lower jaw protrudes outwards more than the upper jaw,making the bottom front. Braces Slight Underbite.
From www.nwph.net
How To Fix Underbite Braces vs Surgery for Underbite Correction Braces Slight Underbite Can braces fix an underbite? Braces alone typically cannot correct an underbite. It ranges from mild, affecting only teeth, to severe, involving the jaw. An underbite is a condition where the lower jaw protrudes outwards more than the upper jaw,making the bottom front teeth stick out. While braces are primarily used to straighten misaligned teeth and correct bite issues such. Braces Slight Underbite.
From www.dentaly.org
What is Underbite & How Do You Correct It Braces? Surgery? Braces Slight Underbite An underbite, a type of teeth misalignment, occurs when the lower teeth protrude beyond the upper front teeth. While braces are primarily used to straighten misaligned teeth and correct bite issues such as overbites, crossbites, and spacing problems, correcting an underbite often requires a comprehensive treatment plan that may involve other interventions, such as jaw. An underbite is a condition. Braces Slight Underbite.
From www.youtube.com
[BRACES EXPLAINED] Underbite / Crossbite Correction YouTube Braces Slight Underbite Braces alone typically cannot correct an underbite. Braces are a common underbite treatment. Do you need underbite correction? This results in an extension of the lower jaw beyond the upper teeth. An underbite, a type of teeth misalignment, occurs when the lower teeth protrude beyond the upper front teeth. Read more about this dental condition and how to fix an. Braces Slight Underbite.
From www.youtube.com
How to fix Underbite with Braces YouTube Braces Slight Underbite An underbite, a type of teeth misalignment, occurs when the lower teeth protrude beyond the upper front teeth. An underbite is a dental word that refers to a protruding lower jaw. The degree of the underbite varies from moderate to. While braces are primarily used to straighten misaligned teeth and correct bite issues such as overbites, crossbites, and spacing problems,. Braces Slight Underbite.
From www.nwph.net
How To Fix Underbite Braces vs Surgery for Underbite Correction Braces Slight Underbite An underbite is a condition where the lower jaw protrudes outwards more than the upper jaw,making the bottom front teeth stick out. An underbite, a type of teeth misalignment, occurs when the lower teeth protrude beyond the upper front teeth. Can braces fix an underbite? An underbite is a dental word that refers to a protruding lower jaw. In lots. Braces Slight Underbite.
From hvsmatthewm.blogspot.com
How Long To Fix Underbite With Braces / An Underbite Might Be Improved Braces Slight Underbite Braces are a common underbite treatment. An underbite is a condition where the lower jaw protrudes outwards more than the upper jaw,making the bottom front teeth stick out. In lots of people, an underbite jaw is barely noticeable, with the bottom teeth resting just slightly in front of the top teeth. An underbite is a dental word that refers to. Braces Slight Underbite.
From www.youtube.com
Underbite Braces Treatment [BEFORE & AFTER] YouTube Braces Slight Underbite An underbite is a dental word that refers to a protruding lower jaw. Do you need underbite correction? This results in an extension of the lower jaw beyond the upper teeth. Braces are a common underbite treatment. Braces alone typically cannot correct an underbite. Read more about this dental condition and how to fix an underbite in children or adults. Braces Slight Underbite.
From www.dentaly.org
What is Underbite & How Do You Correct It Braces? Surgery? Braces Slight Underbite Read more about this dental condition and how to fix an underbite in children or adults with. The degree of the underbite varies from moderate to. This results in an extension of the lower jaw beyond the upper teeth. Braces alone typically cannot correct an underbite. Can braces fix an underbite? An underbite is a dental word that refers to. Braces Slight Underbite.
From www.pinterest.com
Braces before and after underbite Braces before and after, Dental Braces Slight Underbite Braces alone typically cannot correct an underbite. Can braces fix an underbite? An underbite is a dental word that refers to a protruding lower jaw. This results in an extension of the lower jaw beyond the upper teeth. In lots of people, an underbite jaw is barely noticeable, with the bottom teeth resting just slightly in front of the top. Braces Slight Underbite.
From www.faceliftdentistry.com
Underbite Correction, No Surgery or Braces in 8Days Braces Slight Underbite An underbite is a dental word that refers to a protruding lower jaw. Read more about this dental condition and how to fix an underbite in children or adults with. This results in an extension of the lower jaw beyond the upper teeth. The degree of the underbite varies from moderate to. Braces alone typically cannot correct an underbite. Braces. Braces Slight Underbite.
From ar.inspiredpencil.com
Underbite Before And After Braces Braces Slight Underbite An underbite is a dental word that refers to a protruding lower jaw. This results in an extension of the lower jaw beyond the upper teeth. Braces alone typically cannot correct an underbite. While braces are primarily used to straighten misaligned teeth and correct bite issues such as overbites, crossbites, and spacing problems, correcting an underbite often requires a comprehensive. Braces Slight Underbite.
From barriedentist.ca
Explaining Underbites & Treating Underbites with Braces Braces Slight Underbite Braces are a common underbite treatment. The degree of the underbite varies from moderate to. Do you need underbite correction? An underbite is a condition where the lower jaw protrudes outwards more than the upper jaw,making the bottom front teeth stick out. While braces are primarily used to straighten misaligned teeth and correct bite issues such as overbites, crossbites, and. Braces Slight Underbite.
From www.youtube.com
Her underbite !Omg BRACES FIX TEETH YouTube Braces Slight Underbite It ranges from mild, affecting only teeth, to severe, involving the jaw. Braces alone typically cannot correct an underbite. While braces are primarily used to straighten misaligned teeth and correct bite issues such as overbites, crossbites, and spacing problems, correcting an underbite often requires a comprehensive treatment plan that may involve other interventions, such as jaw. Do you need underbite. Braces Slight Underbite.
From yourazbraces.com
How Do Braces Fix Underbites? Premier Orthodontics Braces Slight Underbite Braces are a common underbite treatment. Do you need underbite correction? Read more about this dental condition and how to fix an underbite in children or adults with. An underbite is a dental word that refers to a protruding lower jaw. The degree of the underbite varies from moderate to. An underbite, a type of teeth misalignment, occurs when the. Braces Slight Underbite.
From www.oregoncareersinhealthcare.com
An Overview About Underbite Braces Braces Slight Underbite An underbite, a type of teeth misalignment, occurs when the lower teeth protrude beyond the upper front teeth. An underbite is a condition where the lower jaw protrudes outwards more than the upper jaw,making the bottom front teeth stick out. Read more about this dental condition and how to fix an underbite in children or adults with. Do you need. Braces Slight Underbite.
From www.youtube.com
My Underbite Braces Journey YouTube Braces Slight Underbite An underbite is a dental word that refers to a protruding lower jaw. Braces are a common underbite treatment. In lots of people, an underbite jaw is barely noticeable, with the bottom teeth resting just slightly in front of the top teeth. The degree of the underbite varies from moderate to. While braces are primarily used to straighten misaligned teeth. Braces Slight Underbite.
From yourazbraces.com
How Do Braces Fix Underbites? Premier Orthodontics Braces Slight Underbite An underbite, a type of teeth misalignment, occurs when the lower teeth protrude beyond the upper front teeth. Read more about this dental condition and how to fix an underbite in children or adults with. The degree of the underbite varies from moderate to. Do you need underbite correction? Braces alone typically cannot correct an underbite. Can braces fix an. Braces Slight Underbite.
From www.signatureorthodontics.com
Underbite, full braces with jaw surgery 3 Signature Orthodontics Braces Slight Underbite It ranges from mild, affecting only teeth, to severe, involving the jaw. The degree of the underbite varies from moderate to. While braces are primarily used to straighten misaligned teeth and correct bite issues such as overbites, crossbites, and spacing problems, correcting an underbite often requires a comprehensive treatment plan that may involve other interventions, such as jaw. An underbite,. Braces Slight Underbite.
From www.nwph.net
How To Fix Underbite Braces vs Surgery for Underbite Correction Braces Slight Underbite Braces are a common underbite treatment. Can braces fix an underbite? An underbite, a type of teeth misalignment, occurs when the lower teeth protrude beyond the upper front teeth. This results in an extension of the lower jaw beyond the upper teeth. An underbite is a condition where the lower jaw protrudes outwards more than the upper jaw,making the bottom. Braces Slight Underbite.
From www.aestheticjawsurgery.com
Why Braces Aren't Always Enough to Fix an Underbite Braces Slight Underbite The degree of the underbite varies from moderate to. While braces are primarily used to straighten misaligned teeth and correct bite issues such as overbites, crossbites, and spacing problems, correcting an underbite often requires a comprehensive treatment plan that may involve other interventions, such as jaw. Do you need underbite correction? An underbite is a dental word that refers to. Braces Slight Underbite.
From bigcockdaddies.blogspot.com
How To Fix Underbite With Braces bigcockdaddies Braces Slight Underbite Braces alone typically cannot correct an underbite. An underbite is a dental word that refers to a protruding lower jaw. Braces are a common underbite treatment. The degree of the underbite varies from moderate to. An underbite is a condition where the lower jaw protrudes outwards more than the upper jaw,making the bottom front teeth stick out. Read more about. Braces Slight Underbite.
From www.youtube.com
How Do Braces Fix Underbites? Premier Orthodontics YouTube Braces Slight Underbite In lots of people, an underbite jaw is barely noticeable, with the bottom teeth resting just slightly in front of the top teeth. An underbite is a dental word that refers to a protruding lower jaw. Read more about this dental condition and how to fix an underbite in children or adults with. It ranges from mild, affecting only teeth,. Braces Slight Underbite.
From www.pinterest.com
How Do Braces Fix Underbites? Braces, Orthodontics, Learning Braces Slight Underbite Read more about this dental condition and how to fix an underbite in children or adults with. An underbite is a condition where the lower jaw protrudes outwards more than the upper jaw,making the bottom front teeth stick out. An underbite, a type of teeth misalignment, occurs when the lower teeth protrude beyond the upper front teeth. An underbite is. Braces Slight Underbite.
From twitter.com
TenBrook Orthodontics on Twitter "Abbey came to us with severe Braces Slight Underbite This results in an extension of the lower jaw beyond the upper teeth. An underbite, a type of teeth misalignment, occurs when the lower teeth protrude beyond the upper front teeth. It ranges from mild, affecting only teeth, to severe, involving the jaw. While braces are primarily used to straighten misaligned teeth and correct bite issues such as overbites, crossbites,. Braces Slight Underbite.
From www.reddit.com
For my fellow mild underbite / crossbite friends who have considered Braces Slight Underbite While braces are primarily used to straighten misaligned teeth and correct bite issues such as overbites, crossbites, and spacing problems, correcting an underbite often requires a comprehensive treatment plan that may involve other interventions, such as jaw. This results in an extension of the lower jaw beyond the upper teeth. Can braces fix an underbite? Do you need underbite correction?. Braces Slight Underbite.
From www.nagato.cc
How To Fix Underbite With Braces Braces Slight Underbite Do you need underbite correction? The degree of the underbite varies from moderate to. While braces are primarily used to straighten misaligned teeth and correct bite issues such as overbites, crossbites, and spacing problems, correcting an underbite often requires a comprehensive treatment plan that may involve other interventions, such as jaw. This results in an extension of the lower jaw. Braces Slight Underbite.
From www.faceliftdentistry.com
Before and After Photos Bite Correction without Surgery or Braces Braces Slight Underbite Braces alone typically cannot correct an underbite. In lots of people, an underbite jaw is barely noticeable, with the bottom teeth resting just slightly in front of the top teeth. While braces are primarily used to straighten misaligned teeth and correct bite issues such as overbites, crossbites, and spacing problems, correcting an underbite often requires a comprehensive treatment plan that. Braces Slight Underbite.
From www.reddit.com
I have an underbite that looks like this. Is it possible that braces Braces Slight Underbite This results in an extension of the lower jaw beyond the upper teeth. Can braces fix an underbite? In lots of people, an underbite jaw is barely noticeable, with the bottom teeth resting just slightly in front of the top teeth. An underbite, a type of teeth misalignment, occurs when the lower teeth protrude beyond the upper front teeth. It. Braces Slight Underbite.
From fyoydzkoh.blob.core.windows.net
Underbite X Ray at Betty Roland blog Braces Slight Underbite In lots of people, an underbite jaw is barely noticeable, with the bottom teeth resting just slightly in front of the top teeth. Do you need underbite correction? It ranges from mild, affecting only teeth, to severe, involving the jaw. An underbite is a dental word that refers to a protruding lower jaw. Read more about this dental condition and. Braces Slight Underbite.
From orthodonticsinlondon.co.uk
Orthodontic Problems and Solutions Underbite Orthodontics in London Braces Slight Underbite An underbite is a dental word that refers to a protruding lower jaw. Braces are a common underbite treatment. This results in an extension of the lower jaw beyond the upper teeth. In lots of people, an underbite jaw is barely noticeable, with the bottom teeth resting just slightly in front of the top teeth. While braces are primarily used. Braces Slight Underbite.
From www.ismilespecialists.com
Underbite correction without surgery in Sugar Land and Houston Braces Slight Underbite An underbite is a dental word that refers to a protruding lower jaw. An underbite, a type of teeth misalignment, occurs when the lower teeth protrude beyond the upper front teeth. Read more about this dental condition and how to fix an underbite in children or adults with. While braces are primarily used to straighten misaligned teeth and correct bite. Braces Slight Underbite.