How Are Pet Tracers Made . It includes some history of pet, the basic formation of radionuclides in a cyclotron target, the processing of the precursor molecules into. The accessibility of molecular imaging probes for pet is built on 3 major pillars: Radionuclide production, methodology for radiolabeling, and techniques for radiotracer production. • positron emission tomography (pet) is a technique that measures. Radioactive tracers form the basis of a variety of imaging systems, such as, pet scans, spect scans and technetium scans. Radiopaedia.org provides details on pet radiotracers used in medical imaging. The overall process of a pet‐tracer production is explained starting from the production of the radionuclide in a cyclotron, followed by the.
from www.researchgate.net
• positron emission tomography (pet) is a technique that measures. The overall process of a pet‐tracer production is explained starting from the production of the radionuclide in a cyclotron, followed by the. Radionuclide production, methodology for radiolabeling, and techniques for radiotracer production. Radioactive tracers form the basis of a variety of imaging systems, such as, pet scans, spect scans and technetium scans. It includes some history of pet, the basic formation of radionuclides in a cyclotron target, the processing of the precursor molecules into. The accessibility of molecular imaging probes for pet is built on 3 major pillars: Radiopaedia.org provides details on pet radiotracers used in medical imaging.
Schematic illustration of the procedure of PET tracer based molecular
How Are Pet Tracers Made Radiopaedia.org provides details on pet radiotracers used in medical imaging. It includes some history of pet, the basic formation of radionuclides in a cyclotron target, the processing of the precursor molecules into. Radiopaedia.org provides details on pet radiotracers used in medical imaging. Radionuclide production, methodology for radiolabeling, and techniques for radiotracer production. The accessibility of molecular imaging probes for pet is built on 3 major pillars: The overall process of a pet‐tracer production is explained starting from the production of the radionuclide in a cyclotron, followed by the. Radioactive tracers form the basis of a variety of imaging systems, such as, pet scans, spect scans and technetium scans. • positron emission tomography (pet) is a technique that measures.
From www.slideshare.net
PET Production of [18F] PET tracers Beyond [18F]FDG How Are Pet Tracers Made The accessibility of molecular imaging probes for pet is built on 3 major pillars: Radionuclide production, methodology for radiolabeling, and techniques for radiotracer production. The overall process of a pet‐tracer production is explained starting from the production of the radionuclide in a cyclotron, followed by the. It includes some history of pet, the basic formation of radionuclides in a cyclotron. How Are Pet Tracers Made.
From medicalxpress.com
New PET tracer shows promise for uPARtargeted therapy of How Are Pet Tracers Made Radiopaedia.org provides details on pet radiotracers used in medical imaging. It includes some history of pet, the basic formation of radionuclides in a cyclotron target, the processing of the precursor molecules into. • positron emission tomography (pet) is a technique that measures. The overall process of a pet‐tracer production is explained starting from the production of the radionuclide in a. How Are Pet Tracers Made.
From www.researchgate.net
4. Pathway from cyclotron production to final use of a PET tracer How Are Pet Tracers Made Radioactive tracers form the basis of a variety of imaging systems, such as, pet scans, spect scans and technetium scans. The overall process of a pet‐tracer production is explained starting from the production of the radionuclide in a cyclotron, followed by the. • positron emission tomography (pet) is a technique that measures. It includes some history of pet, the basic. How Are Pet Tracers Made.
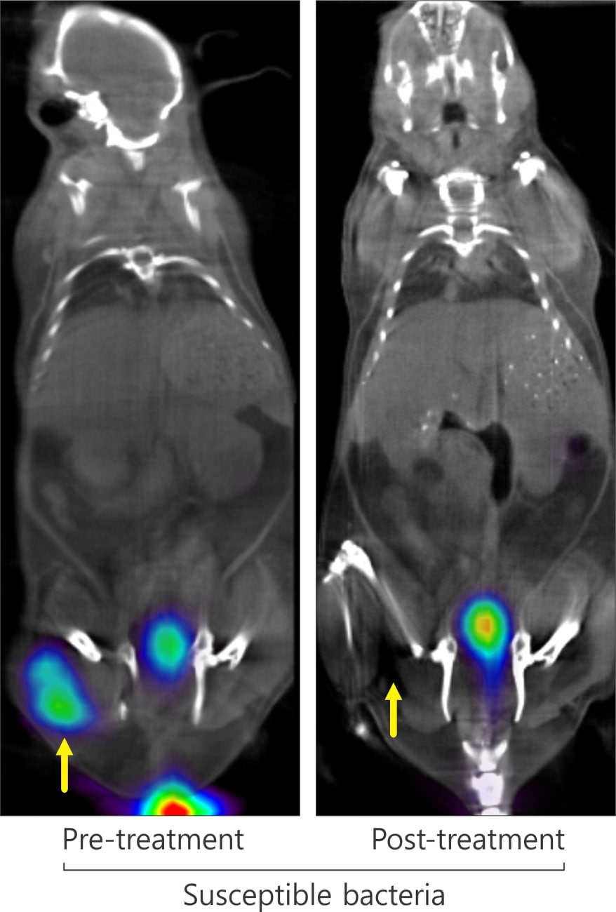
From clinicalconnection.hopkinsmedicine.org
Johns Hopkins Develops New Approach to Target Bacteria Using PET How Are Pet Tracers Made The overall process of a pet‐tracer production is explained starting from the production of the radionuclide in a cyclotron, followed by the. Radioactive tracers form the basis of a variety of imaging systems, such as, pet scans, spect scans and technetium scans. The accessibility of molecular imaging probes for pet is built on 3 major pillars: • positron emission tomography. How Are Pet Tracers Made.
From www.slideshare.net
PET Production of [18F] PET tracers Beyond [18F]FDG How Are Pet Tracers Made Radiopaedia.org provides details on pet radiotracers used in medical imaging. The overall process of a pet‐tracer production is explained starting from the production of the radionuclide in a cyclotron, followed by the. Radioactive tracers form the basis of a variety of imaging systems, such as, pet scans, spect scans and technetium scans. It includes some history of pet, the basic. How Are Pet Tracers Made.
From www.researchgate.net
(PDF) Tracer modeling in PET How Are Pet Tracers Made The accessibility of molecular imaging probes for pet is built on 3 major pillars: • positron emission tomography (pet) is a technique that measures. Radioactive tracers form the basis of a variety of imaging systems, such as, pet scans, spect scans and technetium scans. The overall process of a pet‐tracer production is explained starting from the production of the radionuclide. How Are Pet Tracers Made.
From www.researchgate.net
PET tracer production and synthesis workflow and resulting functional How Are Pet Tracers Made Radiopaedia.org provides details on pet radiotracers used in medical imaging. Radioactive tracers form the basis of a variety of imaging systems, such as, pet scans, spect scans and technetium scans. It includes some history of pet, the basic formation of radionuclides in a cyclotron target, the processing of the precursor molecules into. Radionuclide production, methodology for radiolabeling, and techniques for. How Are Pet Tracers Made.
From www.researchgate.net
of key pathophysiologic features of PET tracers used for... Download How Are Pet Tracers Made Radioactive tracers form the basis of a variety of imaging systems, such as, pet scans, spect scans and technetium scans. Radiopaedia.org provides details on pet radiotracers used in medical imaging. It includes some history of pet, the basic formation of radionuclides in a cyclotron target, the processing of the precursor molecules into. • positron emission tomography (pet) is a technique. How Are Pet Tracers Made.
From www.slideshare.net
PET Production of [18F] PET tracers Beyond [18F]FDG How Are Pet Tracers Made Radiopaedia.org provides details on pet radiotracers used in medical imaging. • positron emission tomography (pet) is a technique that measures. Radioactive tracers form the basis of a variety of imaging systems, such as, pet scans, spect scans and technetium scans. The accessibility of molecular imaging probes for pet is built on 3 major pillars: The overall process of a pet‐tracer. How Are Pet Tracers Made.
From www.slideserve.com
PPT PET Tracer Coordination [ F18] labeled PowerPoint Presentation How Are Pet Tracers Made Radionuclide production, methodology for radiolabeling, and techniques for radiotracer production. Radiopaedia.org provides details on pet radiotracers used in medical imaging. Radioactive tracers form the basis of a variety of imaging systems, such as, pet scans, spect scans and technetium scans. • positron emission tomography (pet) is a technique that measures. The accessibility of molecular imaging probes for pet is built. How Are Pet Tracers Made.
From medicalxpress.com
Translational PET tracer visualizes brain cholesterol metabolism How Are Pet Tracers Made • positron emission tomography (pet) is a technique that measures. The accessibility of molecular imaging probes for pet is built on 3 major pillars: It includes some history of pet, the basic formation of radionuclides in a cyclotron target, the processing of the precursor molecules into. The overall process of a pet‐tracer production is explained starting from the production of. How Are Pet Tracers Made.
From www.researchgate.net
Model of novel tracers PET imaging. In the process of cardiomyocyte How Are Pet Tracers Made Radiopaedia.org provides details on pet radiotracers used in medical imaging. It includes some history of pet, the basic formation of radionuclides in a cyclotron target, the processing of the precursor molecules into. Radionuclide production, methodology for radiolabeling, and techniques for radiotracer production. • positron emission tomography (pet) is a technique that measures. Radioactive tracers form the basis of a variety. How Are Pet Tracers Made.
From radiologykey.com
Novel Tracers and Radionuclides in PET Imaging Radiology Key How Are Pet Tracers Made The accessibility of molecular imaging probes for pet is built on 3 major pillars: • positron emission tomography (pet) is a technique that measures. It includes some history of pet, the basic formation of radionuclides in a cyclotron target, the processing of the precursor molecules into. The overall process of a pet‐tracer production is explained starting from the production of. How Are Pet Tracers Made.
From www.slideserve.com
PPT ZW 0911 GMP Lab for production of PET tracers for clinical and How Are Pet Tracers Made It includes some history of pet, the basic formation of radionuclides in a cyclotron target, the processing of the precursor molecules into. • positron emission tomography (pet) is a technique that measures. The accessibility of molecular imaging probes for pet is built on 3 major pillars: Radionuclide production, methodology for radiolabeling, and techniques for radiotracer production. Radioactive tracers form the. How Are Pet Tracers Made.
From slideplayer.com
PET Tracers for Clinical Cardiac Imaging ppt download How Are Pet Tracers Made Radionuclide production, methodology for radiolabeling, and techniques for radiotracer production. The accessibility of molecular imaging probes for pet is built on 3 major pillars: The overall process of a pet‐tracer production is explained starting from the production of the radionuclide in a cyclotron, followed by the. Radioactive tracers form the basis of a variety of imaging systems, such as, pet. How Are Pet Tracers Made.
From www.slideshare.net
PET Production of [18F] PET tracers Beyond [18F]FDG How Are Pet Tracers Made It includes some history of pet, the basic formation of radionuclides in a cyclotron target, the processing of the precursor molecules into. • positron emission tomography (pet) is a technique that measures. The overall process of a pet‐tracer production is explained starting from the production of the radionuclide in a cyclotron, followed by the. Radioactive tracers form the basis of. How Are Pet Tracers Made.
From jnm.snmjournals.org
Direct Comparison of the Tau PET Tracers 18FFlortaucipir and 18FMK How Are Pet Tracers Made Radiopaedia.org provides details on pet radiotracers used in medical imaging. • positron emission tomography (pet) is a technique that measures. It includes some history of pet, the basic formation of radionuclides in a cyclotron target, the processing of the precursor molecules into. The accessibility of molecular imaging probes for pet is built on 3 major pillars: Radioactive tracers form the. How Are Pet Tracers Made.
From medicalxpress.com
New PET tracer noninvasively identifies cancer gene mutation, allows How Are Pet Tracers Made The overall process of a pet‐tracer production is explained starting from the production of the radionuclide in a cyclotron, followed by the. Radionuclide production, methodology for radiolabeling, and techniques for radiotracer production. • positron emission tomography (pet) is a technique that measures. Radiopaedia.org provides details on pet radiotracers used in medical imaging. Radioactive tracers form the basis of a variety. How Are Pet Tracers Made.
From www.researchgate.net
Concept of the ComptonPET hybrid camera. The PET tracers are How Are Pet Tracers Made • positron emission tomography (pet) is a technique that measures. The accessibility of molecular imaging probes for pet is built on 3 major pillars: Radionuclide production, methodology for radiolabeling, and techniques for radiotracer production. It includes some history of pet, the basic formation of radionuclides in a cyclotron target, the processing of the precursor molecules into. Radioactive tracers form the. How Are Pet Tracers Made.
From www.researchgate.net
Structure of tau PET tracers. Download Scientific Diagram How Are Pet Tracers Made Radiopaedia.org provides details on pet radiotracers used in medical imaging. It includes some history of pet, the basic formation of radionuclides in a cyclotron target, the processing of the precursor molecules into. The overall process of a pet‐tracer production is explained starting from the production of the radionuclide in a cyclotron, followed by the. • positron emission tomography (pet) is. How Are Pet Tracers Made.
From www.mdpi.com
Pharmaceuticals Free FullText AlphaSynuclein PET Tracer How Are Pet Tracers Made • positron emission tomography (pet) is a technique that measures. The overall process of a pet‐tracer production is explained starting from the production of the radionuclide in a cyclotron, followed by the. Radionuclide production, methodology for radiolabeling, and techniques for radiotracer production. It includes some history of pet, the basic formation of radionuclides in a cyclotron target, the processing of. How Are Pet Tracers Made.
From www.withpower.com
PET Tracer for COVID19 Clinical Trial 2023 Power How Are Pet Tracers Made The overall process of a pet‐tracer production is explained starting from the production of the radionuclide in a cyclotron, followed by the. • positron emission tomography (pet) is a technique that measures. The accessibility of molecular imaging probes for pet is built on 3 major pillars: It includes some history of pet, the basic formation of radionuclides in a cyclotron. How Are Pet Tracers Made.
From www.researchgate.net
Schematic illustration of the procedure of PET tracer based molecular How Are Pet Tracers Made Radiopaedia.org provides details on pet radiotracers used in medical imaging. The accessibility of molecular imaging probes for pet is built on 3 major pillars: • positron emission tomography (pet) is a technique that measures. Radionuclide production, methodology for radiolabeling, and techniques for radiotracer production. It includes some history of pet, the basic formation of radionuclides in a cyclotron target, the. How Are Pet Tracers Made.
From www.researchgate.net
PET tracers numerical distribution based on the radioisotope with (A How Are Pet Tracers Made Radioactive tracers form the basis of a variety of imaging systems, such as, pet scans, spect scans and technetium scans. It includes some history of pet, the basic formation of radionuclides in a cyclotron target, the processing of the precursor molecules into. The overall process of a pet‐tracer production is explained starting from the production of the radionuclide in a. How Are Pet Tracers Made.
From www.researchgate.net
Chemical structure of the various PET tracers designed for hypoxia How Are Pet Tracers Made The overall process of a pet‐tracer production is explained starting from the production of the radionuclide in a cyclotron, followed by the. Radioactive tracers form the basis of a variety of imaging systems, such as, pet scans, spect scans and technetium scans. It includes some history of pet, the basic formation of radionuclides in a cyclotron target, the processing of. How Are Pet Tracers Made.
From www.slideserve.com
PPT ZW 0911 GMP Lab for production of PET tracers for clinical and How Are Pet Tracers Made Radionuclide production, methodology for radiolabeling, and techniques for radiotracer production. Radioactive tracers form the basis of a variety of imaging systems, such as, pet scans, spect scans and technetium scans. The overall process of a pet‐tracer production is explained starting from the production of the radionuclide in a cyclotron, followed by the. The accessibility of molecular imaging probes for pet. How Are Pet Tracers Made.
From radiologykey.com
Novel Tracers and Radionuclides in PET Imaging Radiology Key How Are Pet Tracers Made The overall process of a pet‐tracer production is explained starting from the production of the radionuclide in a cyclotron, followed by the. The accessibility of molecular imaging probes for pet is built on 3 major pillars: • positron emission tomography (pet) is a technique that measures. It includes some history of pet, the basic formation of radionuclides in a cyclotron. How Are Pet Tracers Made.
From clinicalconnection.hopkinsmedicine.org
Johns Hopkins Develops New Approach to Target Bacteria Using PET How Are Pet Tracers Made • positron emission tomography (pet) is a technique that measures. Radiopaedia.org provides details on pet radiotracers used in medical imaging. Radionuclide production, methodology for radiolabeling, and techniques for radiotracer production. It includes some history of pet, the basic formation of radionuclides in a cyclotron target, the processing of the precursor molecules into. Radioactive tracers form the basis of a variety. How Are Pet Tracers Made.
From physicsworld.com
New PET tracers show immense promise in cancer imaging Physics World How Are Pet Tracers Made Radiopaedia.org provides details on pet radiotracers used in medical imaging. It includes some history of pet, the basic formation of radionuclides in a cyclotron target, the processing of the precursor molecules into. • positron emission tomography (pet) is a technique that measures. The overall process of a pet‐tracer production is explained starting from the production of the radionuclide in a. How Are Pet Tracers Made.
From www.oncidiumfoundation.org
New PET Tracer Shows Promise for NENs Oncidium Foundation How Are Pet Tracers Made Radionuclide production, methodology for radiolabeling, and techniques for radiotracer production. Radioactive tracers form the basis of a variety of imaging systems, such as, pet scans, spect scans and technetium scans. Radiopaedia.org provides details on pet radiotracers used in medical imaging. The accessibility of molecular imaging probes for pet is built on 3 major pillars: • positron emission tomography (pet) is. How Are Pet Tracers Made.
From www.researchgate.net
Chemical structures and flowchart of the development of tau PET How Are Pet Tracers Made The overall process of a pet‐tracer production is explained starting from the production of the radionuclide in a cyclotron, followed by the. Radiopaedia.org provides details on pet radiotracers used in medical imaging. The accessibility of molecular imaging probes for pet is built on 3 major pillars: • positron emission tomography (pet) is a technique that measures. It includes some history. How Are Pet Tracers Made.
From www.researchgate.net
Qualitative images of PET tracers. Download Scientific Diagram How Are Pet Tracers Made Radioactive tracers form the basis of a variety of imaging systems, such as, pet scans, spect scans and technetium scans. Radiopaedia.org provides details on pet radiotracers used in medical imaging. • positron emission tomography (pet) is a technique that measures. The overall process of a pet‐tracer production is explained starting from the production of the radionuclide in a cyclotron, followed. How Are Pet Tracers Made.
From www.researchgate.net
Structures of firstand secondgeneration tauPET tracers. Download How Are Pet Tracers Made • positron emission tomography (pet) is a technique that measures. Radionuclide production, methodology for radiolabeling, and techniques for radiotracer production. It includes some history of pet, the basic formation of radionuclides in a cyclotron target, the processing of the precursor molecules into. The accessibility of molecular imaging probes for pet is built on 3 major pillars: The overall process of. How Are Pet Tracers Made.
From www.mskcc.org
About Your PETCT with Cerianna Tracer Memorial Sloan Kettering How Are Pet Tracers Made Radionuclide production, methodology for radiolabeling, and techniques for radiotracer production. The overall process of a pet‐tracer production is explained starting from the production of the radionuclide in a cyclotron, followed by the. The accessibility of molecular imaging probes for pet is built on 3 major pillars: Radioactive tracers form the basis of a variety of imaging systems, such as, pet. How Are Pet Tracers Made.
From www.shi.co.jp
PET Tracer Production Systems Sumitomo Heavy Industries, Ltd. How Are Pet Tracers Made Radionuclide production, methodology for radiolabeling, and techniques for radiotracer production. Radioactive tracers form the basis of a variety of imaging systems, such as, pet scans, spect scans and technetium scans. • positron emission tomography (pet) is a technique that measures. It includes some history of pet, the basic formation of radionuclides in a cyclotron target, the processing of the precursor. How Are Pet Tracers Made.